【每日晨读】左侧胸腔巨大占位性肿块



T

病例分享

































精彩分析

放射小白: 
晨读病例首先考虑肉瘤样癌,鉴别胸膜-肺滑膜肉瘤,肿块内可见高密度影,排除肺骨肉瘤。

放射线: 
左肺巨大肿块,边缘光滑,密度不均,内可见多发低密度坏死,坏死边缘清晰,左肺支气管受压变窄闭塞,考虑左肺肉瘤样癌?鉴别滑膜肉瘤?

毛勤香: 
左肺巨大肿块,气管受压闭塞并受侵犯,有坏死和粗大钙化,考虑恶性,肉瘤样癌,待排滑膜肉瘤,平滑肌肉瘤等

东哥: 
左肺大肿块,密度不均匀,可见坏死,考虑恶性,肉瘤样癌

宇宙: 
定位肺内,左下肺巨大肿块,边缘光整,密度不均,边缘少许钙化,中心坏死,外周强化,左肺支气管及心脏受压,考虑肉瘤样癌,鉴别滑膜肉瘤,SFT

看图说话: 
左肺巨大肿块,密度不均,边缘清晰,内有坏死和粗大钙化,不均匀强化,气管堵塞,考虑恶性,肉瘤样癌,鳞癌。

月亮圆了!: 
左肺巨大肿块,边缘光滑清晰,内见多发低密度影,边界也比较清楚,左肺支气管受压变窄闭塞,恶性。

丽: 
左侧胸腔巨大软组织肿块,边缘膨隆、清晰,临近血管及气管受压推移,肿块内密度不均匀,见大片状坏死及条形钙化,增强后不均匀强化,考虑恶性,定位肺内,肉瘤样癌可能大,定位肺外,纵隔来源恶性鞘瘤,胸膜来源sft

飞鹰行动: 
成年人,左肺巨大肿块,气管,支气管受压闭塞及被推挤,病灶内有坏死和钙化,增强病灶明显不均匀强化,考虑外向内生长的恶性病变,肉瘤样癌,癌肉瘤,滑膜肉瘤,平滑肌肉瘤等

流心明智: 
男,50岁,双下肢水肿10余天,发热3天。NSE、细胞角蛋白19片段增高。胸部CT:肺气肿背景,左下叶巨大肿块,边缘膨隆明显,与周围界限清楚,累及左肺门、左上叶,上叶支气管受压狭窄,下叶支气管截断,不均匀强化,湖泊样坏死,肿块边缘粗大点状钙化,肿块内血管影迂曲、模糊,蛇纹?考虑恶性,鳞癌?肉瘤样Ca?鉴别SFT。

大雄: 
定性 倾向恶性
肿块巨大,定位很难
肺内的话 肉瘤
胸膜的话 恶性SFT

蔣勝華: 
发热,肿标升高,巨大肿物,病灶内有坏死和钙化,增强后不均匀强化,考虑肺肉瘤样癌,肉瘤?

G,G,study: 
巨大占位,包绕下肺动脉,坏死囊变,胸膜疑似侵犯,支气管推移,神纹血管,考虑恶性,大神>肉瘤>sft

放射小大夫: 
中年男性,间断性发热3天,肿瘤指标增高,左肺巨大形肿块,平扫密度不均,内可见片状液化坏死区及钙化,邻近下叶支气管堵塞,增强不均匀强化,实性区明显强化,考虑恶性,肺内肉瘤、胸膜来源恶性SFT,NSE明显高,大神泌?

赵春杨: 
左肺大肿块,密度不均匀,可见湖泊样坏死,考虑恶性,病理倾向鳞癌跟肉瘤样癌。

?????天涯?????: 
巨大肿块,强化不均,有坏死,模糊迂曲血管影,支气管截断,肿标、炎性指标高,定恶性考虑可,病理类型选择困难,咋感觉神经内分泌肿瘤、肉瘤样癌、癌肉瘤、肉瘤及或鳞癌,恶性孤纤都可能呢,同时伴感染可能?

冬瓜: 
定位左下肺,巨大肿块,偏心性分枝状钙化,湖泊样坏死,坏死区边界清晰,首选间叶来源,肉瘤类,肺内滑膜肉瘤等,鉴别肉瘤样癌

宇宙星空: 
左肺巨大占位,其内可见坏死,其边界清楚,支气管阻断,病灶靠边缘处可见斑状高密度钙化灶,增强后不均强化,病灶边缘清楚光滑,其周围组织受移位,支持恶性,考虑肉瘤,鉴别肺外恶性孤立性纤维瘤。

王江涛: 
左下肺动脉分支进入肿块,考虑肺内病变。巨大肿块,不均匀强化,较多囊变坏死,少许钙化,考虑恶性肿瘤,以癌肉瘤、肉瘤样癌、肉瘤类、肺母可能


张延军: 
左侧巨大不规则肿块,密度不均,膈胸膜显示不清,增强后呈不均匀强化,内见片状坏死区,上叶支气管壁增厚,腔局部狭窄,肿块推挤心脏及血管向对侧偏移,考虑恶性,1胸膜来源,SFT。2下叶间叶组织来源肉瘤。

一切∮随缘: 
晨读:左肺下叶大肿块,自膈肌向上生长,边缘光滑,周围肺组织受压推移,平扫密度均匀,增强扫描不均匀强化,考虑恶性肉瘤(滑膜肉瘤,成人肺母细胞瘤),鉴别SFT
南大解析








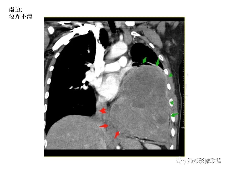
南边: 
还是支持脏层胸膜来源SFT首选,其次肺内肉瘤
因为:
1局部胸膜起源,所以与胸膜分界不清
2、肺内病变,局部胸膜侵犯
如果胸膜侵犯,局限在这里,而且支气管侵犯不是很明显,似乎不合理
内部坏死都可以,钙化,SFT几率高一些
琦遇: 
支持南大!感觉恶性程度偏低,这么巨大肉瘤,恶性SFT

病例结果


  


孤立性纤维性肿瘤(SFT)
    是一种少见的梭形细胞间叶组织源性肿瘤,大多数为良性和中间性,少数为恶性,可发生于全身各个组织,最常发生于胸膜,其他有腹膜腔、腹膜后等。
  影像表现:
    好发于肺胸壁交界区或纵隔交界区,病灶部位对病灶性质判断有较大价值。多单发,有包膜,边界清。
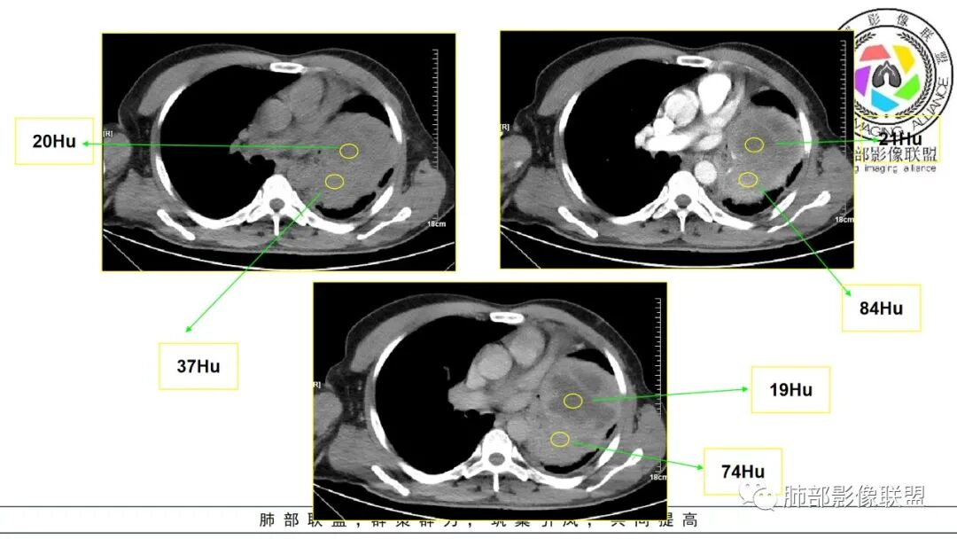
    密度:与肿瘤细胞疏松或密集、胶原纤维含量、出血、坏死、囊变及黏液变性等有关。镜下由梭形细胞组成、细胞间由胶原纤维沉积,CT平扫肿瘤实性部分为等、稍低密度,胶原纤维易发生黏液变性或囊变,导致密度不均匀,较少出现钙化。一般肿瘤小,密度多均匀,肿瘤大,多发生坏死、囊变,密度多不均匀。
    强化方式:多均匀或不均匀明显强化,增强肿瘤内可见迂曲血管影(蛇纹血管等),肿瘤较大可见“地图样”强化。
    恶性倾向:体积较大,多见出血、囊变及坏死;强化多不均匀;呈浸润性生长,与周围组织器官边界不清;出现远处转移等。    
    
                                             病例小结
影像与临床:
1.中年男性,双下肢水肿10余天,发热3天,发现肺部占位。
2.左肺巨大块影,上部边界较清楚,占据胸腔大部,对于左肺,“占据”及“推移”兼而有之,左肺上叶支气管推移狭窄,下叶支气管截断。下肺动脉穿行!
3.病灶密度不均,轻度强化,坏死或液化范围甚大,边界可分辨,部分“壁”可见钙化。
4.病灶紧贴胸壁,胸壁未见栽赃侵入。
5.纵隔左移,左肺门变形。左肺门及纵隔未见明显增大淋巴结。
综合分析:
1.无论是肺部还是胸腔“巨大实性密度”块影且边界较清楚者,较少为上皮来源的肺恶性肿瘤,而更符合间叶组织来源的肉瘤。
尤其是病程较长(纵隔移位明显),相对破坏力不强,缺乏远处转移证据的,表明其恶性程度并不那么高。
2.肉瘤更“擅长”的转移路径是血道,而非淋巴道。
3.本例纤维组织的恶性肿瘤(纤维肉瘤)、肉瘤样癌,甚至滑膜肉瘤等等都可以解释其影像学表现,临床实践中,巨大肿瘤有时会难以判明其发祥地。
但成骨肉瘤、Askin 瘤(PNET/EWING)等无论是发病年龄,还是生物学行为则多有不符。
相关链接:
【肺部影像病理系列】贴着胸壁的一梭形肿块,来源胸膜还是胸膜外?
【广西群读片系列】胸膜肿瘤知多少?
【每日晨读】塑形生长的胸膜肿块
【每日晨读】带你揭开星芒状的伤疤
编辑:杨新娟 蔡笑燕
审核:徐  晓



到顶部