【每日晨读】罕见的胸腺血管瘤一例




病例资料














讨论部分
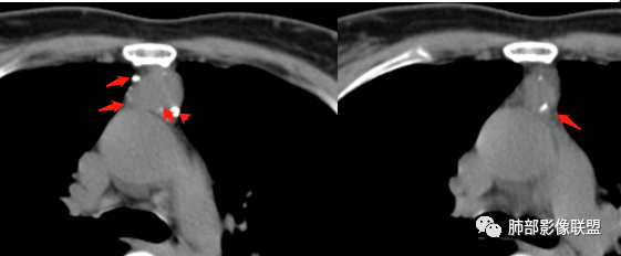
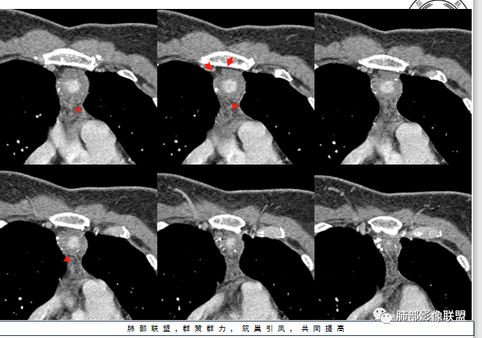
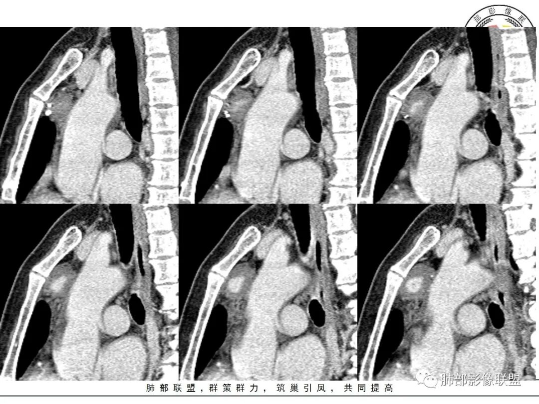
红星:女性病人48岁,前上纵隔,类圆形的实性病变,平扫密度比较均匀,周围卷见点状的钙化灶,增强扫描明显的强化, 多时相扫描中心可见跟大血管强化幅度一致的结节灶。常规胸腺瘤?鉴别血管瘤?
春秋:48岁,女性,前纵膈软组织肿物,有分叶,边缘毛糙,周边多发点状钙化,强化可见明显强化区,考虑血管瘤,鉴别胸腺癌。
周太狼:中年女性,前纵隔肿块,边界清,内不规则钙化灶,增强中央明显强化,与邻近血管强化程度相似。纵隔内无明显增大淋巴结。考虑良性或低度恶性病变。疾病谱:CD、副节、血管瘤、胸腺瘤/癌。个人倾向于CD或血管瘤可能大一些。
三个石头:前纵隔占位,残余胸腺组织可见,边缘钙化,增强中央出现与血管同步强化结节,病灶延迟强化。脉管瘤?胸腺瘤?血管瘤?异位甲状腺?
不吝慷慨:前上纵隔,边缘钙化,中央强化非常明显,形态不考虑胸内甲状腺,胸腺瘤强化又太明显,考虑嗜铬肿瘤或脉管类肿瘤。
黄兴:48岁,女性,前纵膈软组织肿物,有分叶,边缘毛糙,周边多发点状钙化,强化可见明显强化区,首先考虑胸腺瘤,鉴别血管瘤和内胚窦癌(需要生化)。
滴水海:疾病谱上面老师都说全了,CD,副节瘤,胸腺瘤,脉管瘤,异位甲状腺,畸胎瘤。副节瘤好像不会发生在此位置,胸腺瘤如此钙化一般A型,但周围脂肪间隙模糊,也可见增粗血管,不太像,异位甲状腺及畸胎瘤都无此征象,可能性较小。剩下巨淋和脉管瘤,巨淋边缘钙化不多见。脉管瘤见的少,按理可以有此表现。脉管瘤>巨淋>胸腺瘤>异位甲状腺
冥冥之中:48岁,排除生殖,形态及强化,排除淋巴瘤。胸腺来源瘤或者癌,包膜钙化支持瘤,但是强化后周围脂肪间隙模糊,与主动脉壁分界不清,提示侵袭性,考虑胸腺瘤AB或者B2以下病灶内累圆形高强化结节,提示血管破坏,有出血。综合考虑胸腺瘤B2-3,待排胸腺癌。
大雄:胸腺瘤所有病理亚型,良性只有两种显微镜下胸腺瘤脂肪纤维腺瘤其他全是恶性。
大雄:新版WHO肿瘤分类,胸腺瘤已经不讲侵袭和非侵袭了,A型切除术后一样可能会复发转移 ,有生存率的。再看看胸腺瘤分型的肿瘤icd编码,A型胸腺瘤编码也是3,和胸腺癌编码一样,生物学完全恶性。如果生物学偏良性的话, 编码会用1或者2,完全良性的是0。比如 ,原位腺癌和鳞癌是2,炎肌母是1,错构瘤就是0。胸腺瘤的预后不仅仅和分型有关,更和术前分期、手术方式及 切缘是否干净密切相关。所以A 和AB型胸腺瘤,一定不能用“良性”,可以讲“低危”。


南边老师分析
南边:定位前纵隔没问题

边缘多发条状、线样、结节状钙化

南边:边界尚清,位于残留胸腺组织内
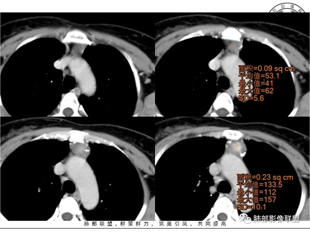
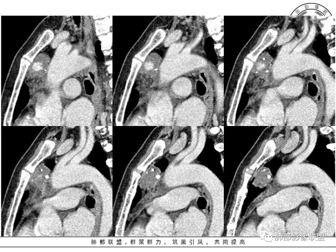
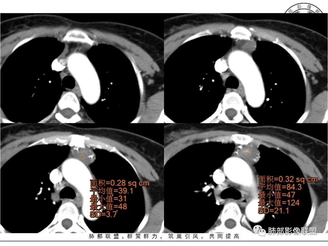
南边:

中央结节状强化, 类似于血管强化

定性:偏良性病变,血管瘤?胸腺瘤?


病例结果



文献复习
血管瘤是由胚胎期间成血管细胞增生而形成的先天良性肿瘤或血管畸形,是胚胎期血管异常改变所致,常见于皮肤和软组织内。血管瘤在组织结构上分为海绵状血瘤、毛细血管瘤和蔓状血管瘤等,且以海绵状血管瘤较为多见。血管瘤虽然常见,但发生于前纵隔者却颇为罕见,国内文献报道约占纵隔 肿 瘤 的2.1%,多见于个案报道。相关文献报道纵隔海绵状血管瘤患者以中老年为主,该组报道均为中老年患者,且发生在纵隔以前纵隔为主(约70%),后纵隔次之(约20%),中纵隔 极其罕见,这与国内外文献报道相同。
 前纵隔海绵状血管瘤的影像学特征包括:①发生于前纵隔的圆形、类圆形、不规则肿块影,边界清晰,与邻近结构分界清晰;②CT上呈稍低密度影,内见小结节状、小片状、针尖状的钙化灶,钙化灶、静脉石影是海绵状血管瘤的特征性表现。③增强后大多数肿块可显示肿块的范围及供血情况,动脉期病灶边缘呈点片状强化,静脉期及延迟期逐步向内填充,呈渐进性强化等典型特征,部分不强化或轻度强化,部分增强 后片状强化,强化程度与邻近血管相仿;血管瘤强化方式与肿块内组织成分、血窦内血栓、血流等因素有关;Moran等研究表明,肿块强化不均匀或呈轻度强化的原因可能与扩张的血窦腔内组织平滑肌增殖及炎性纤维化有关;肿块血管样强化可提示海绵状血管瘤。前纵隔海绵状血管瘤需与畸胎瘤、胸腺瘤、胸内甲腺肿、神经内分泌肿瘤等进行鉴 别 断:①畸胎瘤多呈混杂密度影,内有脂肪、毛发、钙化灶及水样密度;②胸腺瘤呈结节状、团块状影,密度较均匀,增强后强化较均匀,与周围组织分界清晰;③胸内甲状腺肿位于前上纵隔,平扫密度常较高,可见其上端与颈部甲状腺相连;④神经内分泌肿瘤多伴坏死囊变,点片状钙化,形态常呈分叶状或 不规则形,增强后肿瘤实性部分强化显著。
  综上所述,海绵状血管瘤发生在纵隔非常罕见,且缺乏典型的临床症状及特异性影像, 应从肿块的位 置、大小、形态、与周围组织的 关 系 以及CT平扫、增强特点进行分析,如前纵隔肿块内有钙化灶、静脉石、增强后点片状血管样强化及渐进性强化等特点,应考虑纵隔海绵状血管瘤的可能;薄层CT及其多平面重组有利于发现细小钙化灶,而动态增强CT扫描能更好显示肿块内血管强化,有助于术前诊断与鉴别诊断。
 
        文献参考:程刘兵,何永胜,刘志,杨宏楷,许敏.前纵隔海绵状血管瘤二例.放射学实                            践,2020(1):121-122.


往期推荐
【每日晨读】胸腺瘤or胸腺癌,且听南边老师娓娓道来
【肺部影像系列】华山论剑:淋巴瘤与胸腺瘤之争
【联盟讲堂】王兆宇主任11月08日晚8时直播《胸腺常见肿瘤的病理影像对照分析》


编辑:杨宏刚
审核:蔡笑燕  徐  晓
提供病例:九江市第一人民医院影像中心  於雄



到顶部