【每日晨读】 青年女性的支气管阻塞














                                               精彩讨论
大雄:
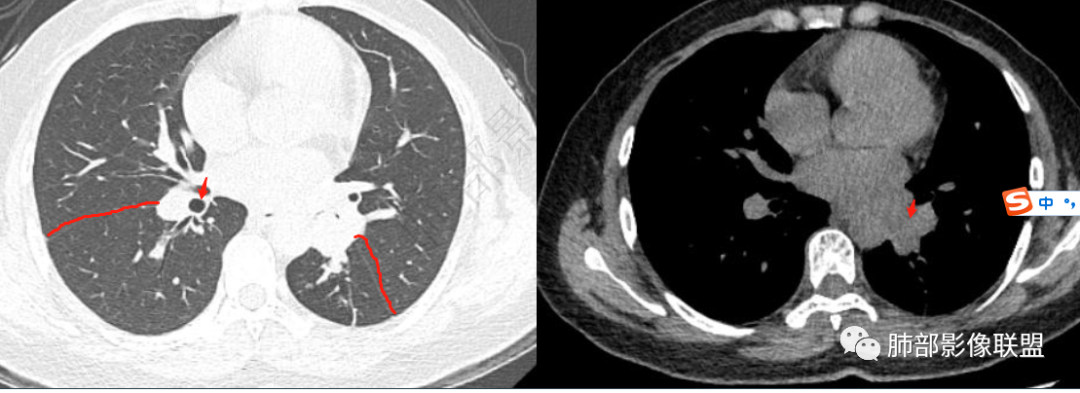
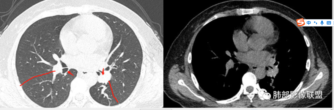
年轻女性 咯血 病史3年。
左肺门及下叶不规则实性结节,明显强化。3年前就有病灶,可对比一下。
腺癌?结核?
建议穿刺活检。
一切∮随缘:
左肺门肿块,包绕支气管生长,部分突向支气管内,形态欠规则,边缘清楚,平扫密度均匀,增强扫描不均匀强化,远端胸膜下可见一实性结节,内部可见空泡,增强扫描不均匀强化,考虑恶性,小细胞肺癌?腺癌,类癌?
秦化君:
左肺下叶胸膜下见结节影,内密度不均,可见小空泡,边缘较清晰,胸膜糊墙,增强不均匀强化。左下叶近肺门侧可见条片影,边缘清晰。左肺门见肿大淋巴结,平扫密度高,CT值60hu。首先考虑感染性病变,结核可能性大,隐球?恶性待排。
💞 玫:
女,31岁,间断咳嗽咳血3年余,左肺下叶胸膜下见实性结节影,边界清晰,期内见小空泡影,病灶呈宽基底与胸膜相连,病灶周围见少许斑片影,左侧肺门见不规则形肿块影,边界清晰,考虑结核可能,鉴别腺癌。
飞鹰行动:
中年女性,左肺门肿块,包绕支气管生长,部分突向支气管内,边缘清楚,平扫密度均匀,增强扫描病灶不均匀强化,远端胸膜下可见内部可见小泡征的结节,增强扫描不均匀强化,考虑恶性病变,小细胞肺癌?类癌?腺癌?
看图说话:
左肺下叶胸膜下结节,密度不均,可见小空泡,边缘膨隆,收缩,胸膜糊墙,不均匀强化。左肺门见肿大淋巴结,以前治疗有吸收,首先考虑感染性病变,结核,隐球,腺癌待排。
红日东升:
青年女性,病史三年。左肺门肿块、凸向气管,左肺下叶斑片,增强后不均匀强化。考虑恶性,类癌?涎腺肿瘤?
冬瓜:
看着像条片状病变,内可见钙化,支气管闭塞可能,考虑感染性病变可能,结核可能性大,鉴别恶性
采莲:
青年女性,间断咯血3年,有过敏性鼻炎,左肺下叶肺门肿块,腔内生长,支气管阻塞截断,密度较高,似有钙化?明显强化,胸膜下结节,边缘平直收缩,考虑良性肉芽肿结节,曲霉?结核?鉴别类癌。
那个人:
青年,病史3年,过敏性鼻炎病史,反复痰中带血,抗感染有效,无胸闷,喘。就病史,支气管哮喘,ABPA,EGPA,结核,支气管扩张,异物等。影像,左肺下叶基底段支气管周围抱绕实变影,强化明显,支气管是否堵塞最好支气管镜,远端散在小斑片结节。如果在支气管扩张基础上合并感染,环境菌。如果本身支气管腔内病变,恶性。结核,总觉得影像不太支持,病程不太支持
周太狼:
青年女性,慢性病程, 左肺门区及左肺下叶结节影,内密度不均,可见小空泡,增强不均匀强化。周围条索影,首先考虑慢性感染性病变,鉴别腺癌。
月亮圆了!:
左肺门肿块,绕支气管生长,形态欠规则,边缘清楚,平扫密度均匀,增强不均匀强化,远端胸膜下可见一实性结节,内部可见空泡,增强不均匀强化,考虑恶性,小细胞肺癌?穿刺活检
王江涛:
平扫密度较高,伴斑点状钙化,年轻女性,考虑结核可能性大
冥冥之中:
考虑恶性,三件套中,类癌强化不够。腺样囊腺癌与粘液表皮属于一类,都属于唾液腺肿瘤,其中腺样囊腺癌多发生在大气道,粘表多发生段以下,综合考虑粘表。
傅昌瑜:
左下肺支气管腔内病灶,有强化,考虑恶性可能。年轻女性,鳞癌罕见;强化后CT值增加20Hu左右,非明显强化,类癌可能性小;远端支气管内有低密度影(粘液栓?),考虑粘液表皮样癌、腺样囊性癌等。鉴别结核
尘缘:
青年女性,间断咳嗽、咯血3年,再发半天,炎性指标、血沉全正常。左下肺近肺门结节,跨叶裂,膨隆分叶,支气管门口截断,平扫密度高,有钙化,增强后强化明显,未见明显坏死及淋巴结肿大,稍远端支气管内低密度影,增强化强化不明显,左下叶后基底段胸膜下结节,内有小空洞,强化明显。思路:一、感染性病变:1、整体一元考虑结核,病史反复三年咳嗽,咯血三年支持,左肺门病灶跨叶伴远端支气管内粘液栓及左下肺胸膜下伴小空洞结节均支持,疑点:前两次发作抗感染治疗均有效好转,本次炎性指标及血沉等均正常不好解释。支气管门口截断不好解释,反复发作三年,无肿大淋巴结不好解释。2、慢性非特异性炎伴机化。病史三年反复,发作时抗感染治疗有效,要考虑。二、肿瘤:1、腺癌,肺门区及胸膜下多中心腺癌,膨隆、分叶,支气管门口截断,强化明显均支持,胸膜下结节强化明显支持,反复发作的症状考虑合并阻塞性炎症。2、类癌,平扫密度较高,有钙化,强化明显支持,3、涎腺类肿瘤,性别年龄要考虑,但增强明显较均匀强化不太支持。4、淋巴瘤,影像表现要考虑,但这个年龄段的淋巴瘤一般为HD,这个不符合。所以可能小。5、极端的二元肿瘤,肺门区类癌,胸膜下腺癌。三、非肿瘤非感染性病变,血管炎,反复发作三年的症状,有过敏性鼻炎,要考虑,需要查血管炎三项和副鼻窦情况排除。临床很简单:下一步EBUS穿刺肺门区及经皮穿刺胸膜下结节。至于读片嘛,还是先考虑恶性(腺癌>类癌>二元癌>淋巴瘤),鉴别诊断:结核>非特异性炎伴机化>血管炎
南边:

南边:
3年,反复发作,抗炎后好转



左下叶支气管占位才对
远端有病灶,左下叶体积缩小
病史:反复发作
提示应该是腔内病变堵塞,导致通气不畅,引起远端炎症,抗炎后好转

南边:

平扫密度偏高,60HU,增强后有强化,88HU
这些应该是粘液栓为主

南边:
考虑方向:
腔内占位并阻塞性炎症
反复发作,3年
1、良性或低度恶性肿瘤合并阻塞性炎症
2、特殊感染,结核?真菌?
倾向于前者
需要:
1、 补充前片对比
2、 重建左下叶支气管,观察支气管全貌
3、临床:建议支气管镜检查
南边:
这个病例的关键点在支气管。
我觉得首先应该把支气管重建出来。
我们要看病灶和支气管的关系,腔内的还是腔外突向腔内的,但我看这个是腔内的,附近是不是有淋巴结,这个都需要我们去鉴别。
然后它跟远端病灶的关系,外面病灶引起肺门区病灶,还是肺门区病变导致远端病变。
然后就是前后的变化,三年前或者一年前有什么差异,这个是我们判断的最基本的依据,但是这个缺失,造成方向不明晰,就是猜测,有可能是这种可能,有可能是那种可能。
目前看来看去是腔内的病变引起的,现有的资料不够。
 病例结果

尘缘:
还算不错,考虑恶性在前。只是把腺癌放类癌前面了。
肺门区肿块的恶性征像还是比较明确(膨隆,分叶,支气管门口截断,强化明显,平扫密度高,有钙化,比较符合类癌),只是有跨叶,又有远端的干扰(阻塞性粘液栓),还有胸膜下结节(现在有了结果,这个胸膜下结节应该是反复阻塞性炎后的OP改变),考虑的就要多些。
王江涛:
回顾,支气管阻塞,密实软组织结节灶,有强化,肿瘤还是首选
大雄:
年轻女性  肺门旁   与支气管关系密切  钙化  强化明显  咯血  病史长  
低度恶性肿瘤 →类癌
对类癌认识不够 ,今天加深印象了
                       相关知识学习-类癌
  肺原发性类癌(pulmonary carcinoid),肺类癌,属于低度恶性的肺神经内分泌癌,病理学上将其分为典型类癌(typical carcinoid tumor,TC)和不典型类癌(atypical carcinoid tumor,AC)。肺类癌比较少见,其影像学表现多样,与其它肺肿瘤鉴别存在一定困难,容易误诊或漏诊。
 
肺神经内分泌癌为起自位于支气管粘膜上皮或粘膜腺体的嗜银细胞 (Kulchitsky 细胞 ),分为K细胞癌I型--典型类癌,K细胞癌II型--不典型类癌。肺类癌中 90%为典型类癌 (过去称为支气管腺瘤 ),中央型类癌与K细胞分布有关,越靠近中心支气管K细胞分布越多,就越容易发生类癌,因此临床上以中央型类癌居多。文献报道典型类癌以中央型多见的特点。另有报道部分类癌可诱发类癌综合征,引起皮肤潮红、腹泻、哮喘、心动过速等临床症状。类癌以右肺居多,尤其好发于下叶。
肺类癌的CT表现 
中央型类癌表现为段以上支气管腔内结节或腔内结节并向腔外生长形成的肿块,即所谓的冰山征,可合并阻塞性肺不张或阻塞性肺炎。周围型类癌则多表现为孤立性结节,边缘光整,毛刺少见。肺类癌的钙化发生率约30%。肺类癌为富血管肿瘤,强化多呈明显或中等强度均匀强化。
鉴别诊断
1.肺癌:肺癌患者一般为中老年男性,病变多不规则,短毛刺,侵犯支气管壁致支气管壁不规则增厚,支气管壁狭窄甚至截断;周围型肺癌则多呈分叶状,血管集束征,胸膜凹陷征,坏死常见,钙化少见,增强后多呈不均匀中度强化,且多伴多发淋巴结肿大。
2.错构瘤:中年女性多见,多呈类圆形,内见爆米花样钙化,典型病例内可见脂肪密度。强化不明显,主要与周围型类癌鉴别。
3.硬化性血管瘤:女性多见,类圆形结节,边缘光滑,强化明显,但多见于胸膜下,与周围血管关系密切,可有血管贴边征。
4.结核:有结核病史,周围见卫星灶,内多见钙化,强化不明显或环形强化。
由此分析及综合文献报道,若出现以下特点,应高度怀疑肺原发性类癌:
①患者年龄较轻,尤其年青患者合并其他肺发育不良征象时;
②病变进展缓慢;
③冰山征或段以上支气管腔内光滑结节;
④钙化,无空洞;
⑤明显强化,多均匀强化;
⑥无肺门及纵膈淋巴结肿大;
⑦类癌综合征。
肺类癌仍需支气管镜及穿刺活检、手术来证实。
总之,CT影像学表现及临床特点对肺原发性类癌的诊断具有较高的参考价值。 
 
参考文献 
[1] Tadashi Terada.Bronchial atypical carcinoid tumor without invasion but with marked intraluminal growth like branchial tree cast [J].Respiratory Medicine  CME,2010,3(3):179—182.
[2] Rodriguez JA,Meyers MO,Jacome TH,et a1.Intraoperative deteetion of abronchial carcinoid with a radiolabeled somatostatin analog[J].Chest,2002,121(3):985-988.
[3] Thomas CF Jr,Tazelam HD,Jett JR.Typical and atypical pulmonarycarcinoids.Outcome in patients presenting with regional Lymph node involvement [J].Chest,2001,119(4):1143—1150.
[4] 万洁,陈宪.支气管肺类癌的影像学诊断 (附 13例分析)[J]放射学实践,2000,15(5):347—349.
[5] 鲍润贤,叶兆祥,刘佩芳.体部肿瘤CT诊断学[M].天津:天津科学技术 出版社,2005:164.
[6] Rosado DCM,et a1.Thoracic carcinoids:radiologic—pathologic correlation[J].RadioGraphics,1999,19(3):707-736.
[7] Jeung MY,Gasser B,Gangi A,et a1.Bronchial carcinoid tumors of the thorax:spectrum of radiologie findingsJ[J].Radiographics,2002,22(2):351—365.
编辑:任正纲
审核:蔡笑燕 徐  晓



到顶部