【每日晨读】披着羊皮的狼の肺炎型肺癌



要让事情改变,先改变自己;要让事情变得更好,先让自己变得更好。失败会让人更坚强。崇高的理想就象生长在高山上的鲜花。如果要摘下它,勤奋才能是攀登的绳索。

晨读病例


























































精彩讨论
薏米
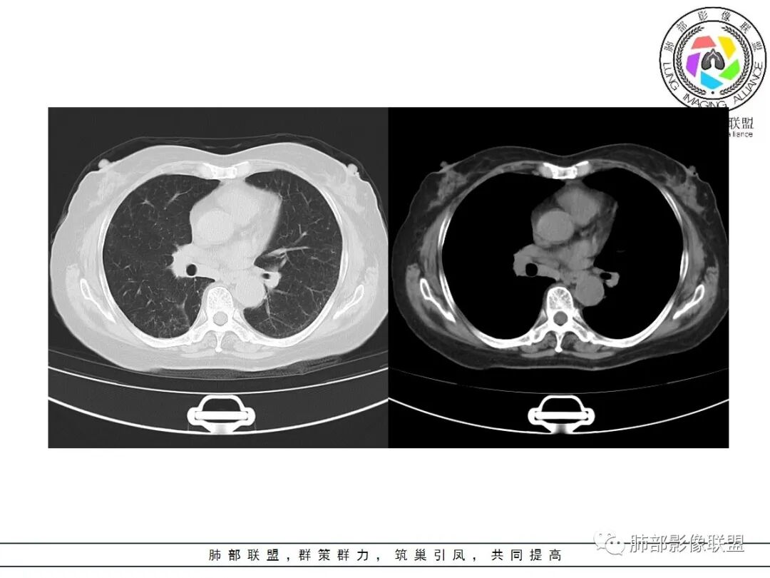
老年女性,咳嗽、咳痰气短9月余,胸部CT提示右下肺可见一斑片状密度增高影,宽基底与胸膜相连,内有散在透亮区,空泡,支气管走形礓直,周边可见散在结节影,不均匀强化,冠状位可见胸膜牵拉,考虑腺癌可能,鉴别结核;
小兜
老年女性,咳嗽咳痰,气促九月余,抗感染治疗症状稍改善,胸部CT示病灶稍缩小。右肺下叶可见大片实变影,宽基底与胸膜相连,内部支气管扩张,周边散在小结节影,增强扫描部分区域明显强化,病灶边缘可见血管影,冠状位叶间裂可见胸膜牵拉,综合考虑为恶性病变,肺炎性肺癌,鉴别结核,淋巴瘤;
徐飞
老年女性,咳嗽咳痰,少许粘痰,抗炎效果不佳,两次检查病灶较前进展,右下肺支气管牵拉扩张,内不均匀强化,周围小叶间隔及叶间裂见散在小结节,冠状位病灶有坠积效应。考虑恶性病变,肺炎型肺癌可能性大。
大雄
老年女性,呼吸道症状伴发热,病程9个月。右下肺基底段实变影,伴周围卫星灶,支气管无堵塞。隆突下淋巴结肿大。抗炎治疗后20天病灶不吸收,反而出现进展。常规还是考虑结核与腺癌的鉴别,不过莫西沙星对结核也应该有治疗效果老年人病程太长,经过反复抗感染治疗,一直不见吸收的肺部病灶,警惕恶性是必须的结合CEA,穿刺活检。
明日の路过
老年女性,起病缓,病程长,主诉咳嗽、咳痰,呼吸困难。血沉偏高,右下肺胸膜下病灶,长轴与胸膜平行,病灶胸膜下更实性,内部见支气管充气征,部分边缘磨玻璃影,多处胸膜下结节样病灶。考虑粘液腺癌可能性大,鉴别的话,鉴别肺结核。
王崇军
老年女性,初次发病没有发热,仅为咳嗽咳痰,少许粘痰,抗炎效果不佳,右下肺大片状实变影,内可见支气管通畅,轻度扩张,中轴间质轻度增厚,病灶内可见多发空泡征,增强内不均匀强化及低密度区,周围小叶间隔及叶间裂见散在小结节。两次检查病灶较前进展,考虑恶性病变,肺炎型肺癌可能性大。
水晶石头
患者老年女性,咳嗽、咳痰、气促九月余,发病初有发热,咳黄白痰。经抗感染治疗体温下降(具体用药不详)。本次入院查血常规血象不高,癌胚抗原稍显升高,PPD(+)。胸部CT:右肺下叶背段及后基底段大片状高密度影,宽基底与胸膜相连,支气管无截断,边界尚清楚,内可见蜂窝状改变,周围见卫星灶。经头孢+莫西抗感染两周症状稍好转,20天后复查胸部CT病灶稍缩小,增强扫描内可见低密度区,部分区域明显强化,病灶边缘可见血管影,结合支气管镜右下肺管腔内少许粘稠分泌物。综合考虑为结核,鉴别肺腺癌和淋巴瘤。
王江涛
老年女性,发热,病程较长,20天病变范围有增大,右肺下叶团片灶,邻近肺野多发小结节,主体病变边界不清,支气管通畅,隆突下淋巴结肿大。考虑:1 炎性病变,治疗后临床症状有改善,影像反而进展,临-影不同步?主体病变合并感染?2 结核,PPD阳性 血沉高支持,有些卫星灶,但上肺很干净 3 肿瘤,肺炎型肺癌、淋巴瘤要考虑。
joyzhy
病史长,胸膜平行,支气管枯树枝,边缘磨玻璃部分清晰,部分磨玻璃,周边小结节,抗炎吸收不佳,考虑肺炎肺癌,粘液腺癌需要考虑,建议穿刺。
淘时光
右肺下叶后基底段胸膜下混合磨玻璃影,临近肺野多发及右侧叶间裂多发结节,部分结节内见小空洞,主病灶强化低,考虑粘液腺癌,鉴别结核
一切随缘
右肺下叶脊柱旁不规则实变影,宽基底与胸膜相连,病灶形态不规则,边缘可见模糊渗出,整个病灶以收缩为主,内部可见支气管穿行,及小空泡及空洞影,洞壁可见小钙化灶,增强后实性明显强化,坏死无强化,内部似有小血管穿行,血管壁毛糙,治疗后第二次吸收不明显,考虑炎性病变:(结核,OP,放线菌)奴卡
傅昌瑜
老年女性,咳嗽咳痰气促9月余,病初伴发热。抗感染后体温下降,仍有上述呼吸道症状。血常规(—),血沉升高,CEA稍高。右下叶见宽基底长轴与胸膜平行的病灶(实变与蜂窝状?),未见支气管堵塞,增强后局部条状低密度区(粘液栓?其内血管显示欠佳),局部完全强化。周围有散在结节样病灶。20天后复查病灶稍增大,有膨胀感。整体考虑恶性病变,鉴别结核。
红日东升
老年女性,慢性病程。右肺下叶后基底段实变、磨玻璃,周围及右侧叶间裂多发结节,部分内见小空洞,支气管僵硬,强化不均匀,纵隔淋巴结大,考虑粘液腺癌,鉴别结核。
张小兵
右肺下叶胸膜下大片实变,整体体积缩小,胸膜牵拉,局部膨隆,支气管呈枯树枝样改变,周围肺散在多发结节、斑片影。结合老年女性,慢性病程,抗炎效果不佳,复查有进展,肿标高,综合考虑肺炎型肺癌可能。

右肺下叶大片状影,大部分边界模糊,可见含气支气管气相,支气管扭曲,有一定收缩力,胸膜有牵拉。肺结核:大部分边界模糊的片状影,右肺内有钙化,纵隔肺门淋巴结钙化,外基底段有些许卫星灶,血沉加快。不支持点:病灶呈现外朝内生长的特点,一般无强化。肺炎性肺癌?支持点:远端似堵塞,病灶外朝内长,近端支气管通畅,强化明显,咳白痰。优先考虑肺炎性肺癌,先完善结核相关检查。

南边老师精彩解析
病史:老年女性咳嗽、咳痰、气促9个月属于慢性病史,咳黄色痰、39℃,曾抗炎好转、反复发作,PPD试验阳性、CEA稍高,从临床上分析:结核要警惕,癌要警惕。
钙化结节

肿大淋巴结。

请问下图是什么?



支气管?蜂窝征?——蜂窝征


GGO的边界如何?——边界偏清


这些结节的特点如何?——中央空泡,边缘GGO边界清楚

实性部分的边界如何?——平直+膨隆

与胸膜的关系如何?长轴如何?——实性部分在外围,与胸膜平行

复查,范围稍大一些——考虑呼吸差异所致

前后对比出问题了:后面的吸气不足

复查时是呼气像,这些密度增高,你就觉得不可靠


增强有低强化区

这个病灶的特点包括:右下叶整体体积缩小,局部病灶是占位效应——明显膨隆,边缘是膨隆加收缩并存;病灶边缘磨玻璃影边界清楚;内部除了含气的支气管之外,还有一些小空泡样的蜂窝肺,并有残留的肺组织;附近结节里面有小空泡,和大病灶是一致的。整个胸膜跟斜裂与病灶有牵拉、凹陷、有收缩力;增强不是很明显,强化不均匀。实变在外围,长轴与胸膜平行。支气管进入到病灶里走行整体通畅,但是有些远端有些堵塞,我们通过后面增强可以看清。综合分析整个病灶还是符合肺炎型肺癌的特点。还有一点,上肺有个小钙化灶索条状影——考虑陈旧性肺结核。

病理结果


(右下肺肺穿刺活检)腺癌,请临床结核相关检查排除转移后考虑肠型腺癌。免疫组化结果:CK5/6(-),CK7(+),TTF-1(部分+),CgA(-),NapsinA(-),Syn(-),Ki-67(+,15%),CDX2(-)。特殊染色:PAS(+)。
该患者胃肠镜检查未见异常,综合评估未见远处转移,胸外科会诊转外科手术治疗。后患者家属自行联系外院胸外科,术后病检:


知识扩展—肺炎型肺癌与肺粘液腺癌
  肺炎型肺癌是一种炎性反应型或实变型肺癌的影像学描述形式,肺部影像学表现类似于肺炎,患者以咳嗽、咳痰为主要临床表现,可间断有发热,抗感染后肺内病变无明显吸收,随着病情进展,患者出现明显的咳泡沫样痰,甚至痰量非常的大,严重时可导致呼吸衰竭,抗感染治疗无效,最终依靠病理诊断为肺腺癌,临床上常称之为肺炎型肺癌。随着病程发展,可以出现进行性呼吸困难,肺功能检查有限制性通气障碍,这与瘤细胞覆壁生长、肺泡腔内充满黏液及瘤细胞而引起换气功能下降有关。
  肺炎型肺癌的患者病理以浸润性粘液腺癌为多见,但是并非所有的肺粘液腺癌均表现为肺炎型肺癌。此类肺癌血管侵袭少见,而气腔内播散较多见,绝大部分患者有肺内转移而少有肺外转移。浸润性黏液腺癌主要呈鳞屑样生长,这决定了其在 CT 表现的多样性,可以从磨玻璃影到小部分实变再到大部分实变及完全实变。由于腺癌细胞多具有浸润性,且主要通过支气管侵入性播散,表现为多灶性,两肺常见。由于肿瘤很少破坏肺的原有结构,原有的支气管完整保留,呈支气管充气征。实变肺组织中延伸、逐渐变细、管腔扩张的含气支气管提示肺炎型肺癌 。由于肿瘤细胞对于肺结构的破坏或者细支气管-肺泡堵塞产生活瓣效应,还有病灶中粘液或坏死物的排出,出现空腔或空洞影,部分呈蜂窝影,此类影像学表现亦高度提示肺炎型肺癌。
   肺炎型肺癌的 CT 表现多样,常见的表现为磨玻璃影及实变影、多发磨玻璃结节,可有支气管充气征、枯树枝征及蜂窝影,增强CT可见血管造影征;还有因为病灶因分泌大量粘液呈现重力效应。大部分患者有胸腔内转移:同侧或对侧肺转移,胸膜转移(少许)及纵隔淋巴结增大。可以从以下方面诊断肺炎型肺癌:①病程较长,有咳白色泡沫黏液痰病史;②抗感染治疗无效;③病变广泛,累及两肺多个肺叶,且多以肺下叶为主;④实变区因为大量粘液所以密度较低,增强后弱强化;⑤实变区内可见支气管充气征,但充气的支气管僵直、管腔狭窄;⑥实变区周围或远离实变区见磨玻璃影,且与正常肺组织边界清晰;⑦病变后期两肺常为多形式病灶混合,包括实变、磨玻璃、多发结节及囊腔;⑧随访复查病灶增大、增多,磨玻璃影及结节影融合,向实变影发展。
  鉴别诊断:①大叶性肺炎,好发于中青年,临床上有寒战、高热、咳黄痰、中性粒细胞升高等急性感染症状,起病急,病史较短, CT 示充气的支气管扩张,呈树枝样直达胸膜下,管腔光整,粗细均匀,有别于肺炎型肺癌实变影内充气支气管腔的狭窄、扭曲、粗细不均,且增强后肺炎型肺癌患者实变影强化不明显或不均匀,而大叶性肺炎实变影呈明显均匀强化,抗炎治疗后很快吸收。②肺结核,好发于青少年,临床有低热、盗汗等症状,好发于两上肺, CT 上充气的支气管表现与大叶性肺炎相似,同时实变的肺内可有虫蚀样空洞,同侧或对侧下肺野可有播散灶,且密度差别较大,可见钙化,部分肺结核患者 CT 表现与肺炎型肺癌表现相似,较难鉴别,肺结核患者抗结核治疗有效;③间质性肺炎,多有基础病因(结缔组织病、尘肺等),好发于两肺门区附近及肺下野,以两侧肺野弥漫分布网状影为主,可有小结节影及肺气肿,多呈对称性,肺炎型肺癌以实变及磨玻璃影为主,多为两肺多发,随机分布。
参考文献:
[1]陈璧颖,关玉宝,李靖煦,等.肺炎型肺癌的CT表现与病理特征[J].中国医学影像学杂志,2013,21(12):911-914.
[2]留永健,李霁,王世波,等.晚期肺炎型肺癌:一项中国单中心临床-放射-病理特征回顾性研究及预后分析[J].中国肺癌杂志,2019,22(06):329-335.
END
编辑:黄  震
病例提供:湖南省人民医院(马王堆院区)呼吸三科 符代炎
审核:蔡笑燕  徐  晓


到顶部