【每日晨读】跨叶间裂结节,你能想到什么




病例资料


































































微信群讨论

Yishion:
肺门区,病灶跨叶间裂生长,似乎有尖角指向纵隔,可能的病变有PSP、CD、SFT,从强化看CD似乎弱一些,跨叶裂,支持肺外,综合考虑SFT>PSP>CD,尖角指向肺门,似乎提示来源纵隔,定位有点纠结

大雄:
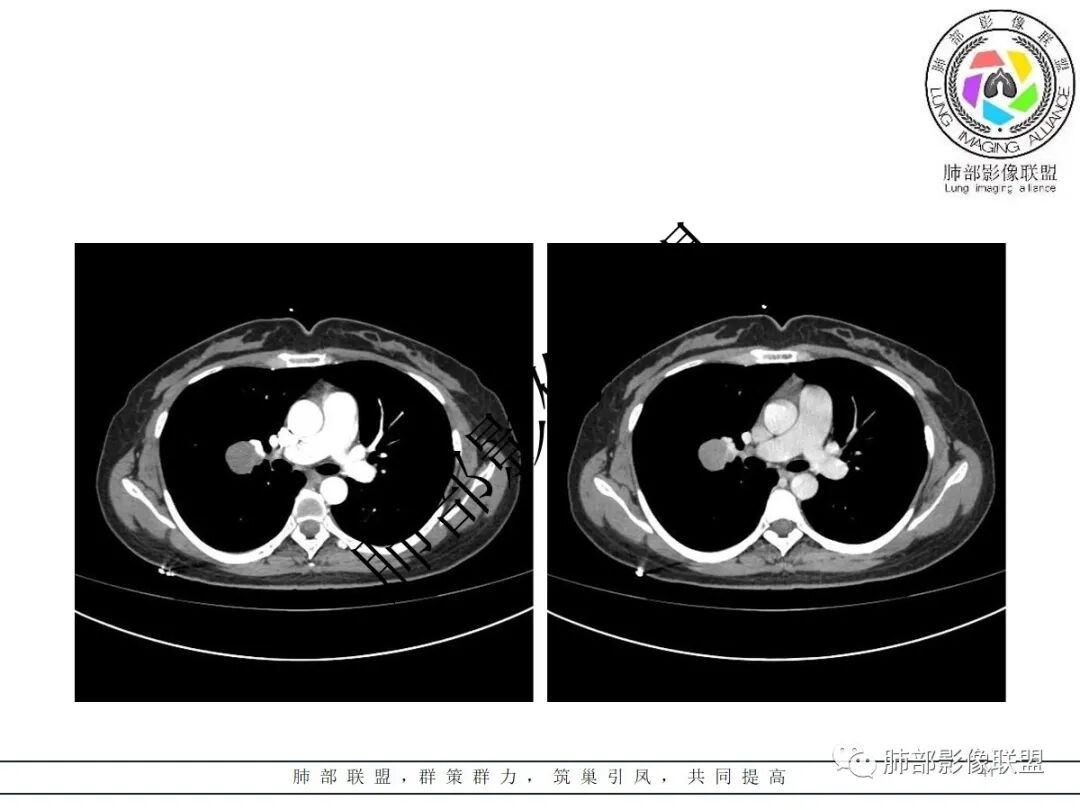
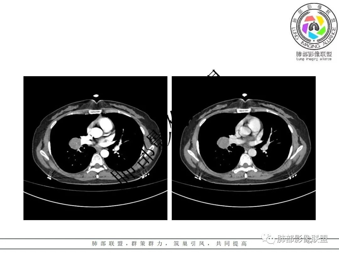
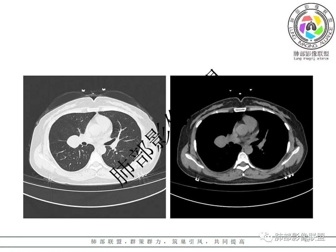
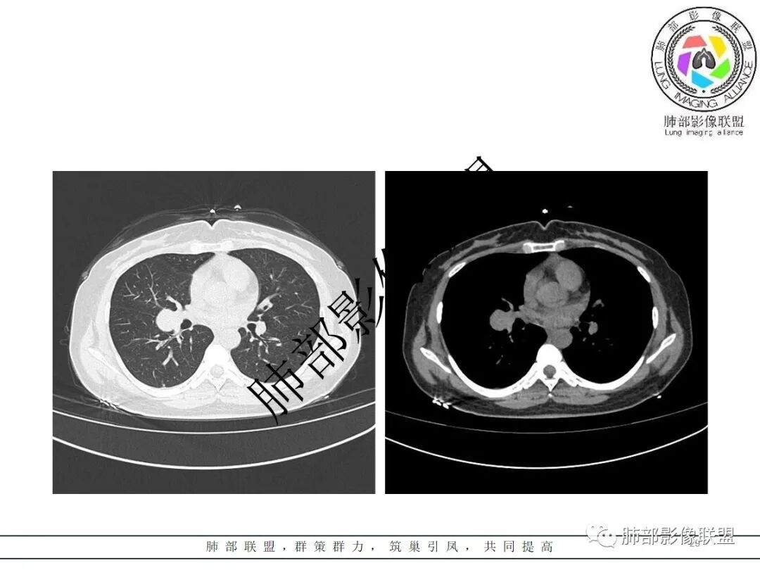
中年女性,胸闷气紧20天。各项实验室检查阴性。
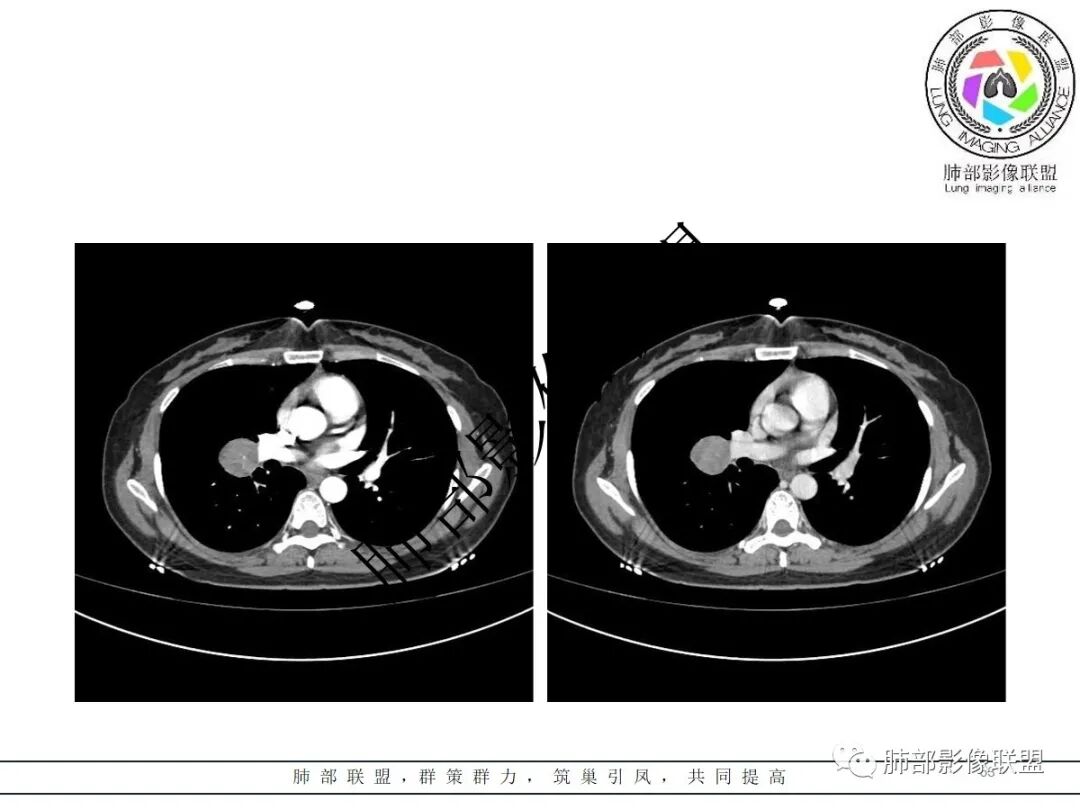
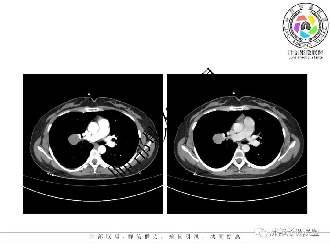
右肺门类圆形实性肿块,边缘光滑,无分叶毛刺,跨叶,推移血管,密度均匀,增强延迟强化相对明显,未见坏死及血管造影征。
倾向良性或交界性
肺门区占位疾病谱:CD,SFT,PSP
CD,强化似乎偏弱了一些
SFT,内部未见典型“蛇纹血管征”
PSP,女性好发,形态强化可以符合
PSP>CD>SFT
宇宙:
右肺门区类圆形肿块,跨叶,边缘光滑,密度均匀,血管贴边,推移,延迟强化,考虑PSP,鉴别CD
王江涛:
青年女性,右肺门旁结节,跨叶间裂分布,界清,强化,内有小血管影,右肺门血管边缘模糊,可能有侵犯,考虑神经内分泌肿瘤大于SFT
了:
右肺中叶跨叶间裂球形影,边缘光滑,均匀强化,可见血管贴边征,血管包绕征,周围有磨玻璃影,考虑硬化性肺细胞瘤,但是需排除淋巴瘤
谢加平:
右肺门旁肿块,类圆形,边缘光滑,骑跨右肺斜裂胸膜内侧,强化较明显,内见强化的血管影,右肺下动脉干受压变扁,方向右肺叶间胸膜来源PSP。肿块有浅分叶特点,与类Ca鉴别,工作中自己会补充VR重建,如血管推压,边缘光滑,把良性占位放在首诊断!
空格:
女性,41,定位很关键,感觉是从肺门发出,水平裂和斜裂交界处,所以和宜兴一样,横跨苏浙皖(上中下三叶)三省。肺外应该没有问题,和肺动脉紧贴,肺动脉受压,有抱球感觉,并且明确的肺动脉发出分支供血,(这块是知识死角,怎么利用供血动脉辨认病灶起源?),起源:要么来源斜裂、水平裂的sft,要么起源肺动脉周围的神经纤维组织,如神经纤维瘤,或者肺动脉壁来源外生性肿瘤? (因为有异常肺动脉分支供血)  流入型强化倒是符合纤维类肿瘤。  综合任性一把,肺动脉供血优先,神经纤维瘤》sft
看图说话:
右近肺门类圆形肿块,边缘光滑,密度均匀,压迫邻近肺动脉,跨叶间裂,持续不均匀强化,内见血管影,肺门纵隔淋巴结未见肿大,考虑PSP,鉴别类癌。
白小兔:
女性,41岁,胸闷气紧20天。各项实验室检查阴性。
CT提示:1-右肺门肿块,边界清楚,类圆形,膨胀性生长!2-定位在右肺中间支气管旁,此处常见神经内分泌肿瘤,淋巴来源和间质来源的!3-有肺动脉供血,且局部血管有破坏!4-周边血管受压变形!5-整体形态无收缩力6-增强强化,但不是持续性强化(和CD强化不一样)
考虑:大细胞癌??
琦遇:
中年女性,结核病史,病程20天,胸闷,气紧,症状逍遥 CT:右肺肺门球形病灶,边界清晰,跨斜裂  按位置分析该位置可能出现CD、神经鞘瘤、淋巴瘤、淋巴瘤样肉芽肿、淋巴结核、(支气管源性、淋巴源性)囊肿、SCLC、转移性、SFT、胸膜起源的肉瘤(纤维肉瘤、滑膜肉瘤、软骨肉瘤)、间皮瘤等  但是病灶强化后延迟轻度强化 病灶内部可见血管自然走形 大血管受挤压还是被侵犯不好说,未见胸膜尾征 内部似有少许无强化区  综合分析:SFT、肉瘤类、转移、SCLC
仲夏:
中年女性,右肺肺门处分叶肿块,边界清晰,边缘小空泡,增强后延迟不均匀强化,动脉期病灶内可见低密度区(考虑为粘液强化?)强化血管,右肺下动脉血管受侵?右肺下叶点胸膜下点状钙化,首先考虑粘液腺癌,鉴别CD,神经内分泌肿瘤小细胞肺癌 ,结核病史,结核带上?
摘星空竹子:
鉴别诊断:PSP、SFT类癌,肿块主要与血管关系密切,与气管关系不大,故类癌可能性小,肿块渐进性均匀强化,可见血管贴边征、肺动脉为主征,中年女性患者,首先考虑PSP,肿块与叶间裂关系比较密切,不能除外SFT,但与血管关系更为密切,SFT往后排一下。
嘻嘻??:
病灶应该是跨叶啦,首先考虑SFT,鉴别PSP,错构瘤,再加一个神经鞘瘤吧
南边:
跨叶裂,类圆形,有浅分叶,血管好像来源于肺动脉
支持SFT首选

PSP跨叶比较少,如果局部叶裂发育不良可以
结果

               病例小结
影像与临床:
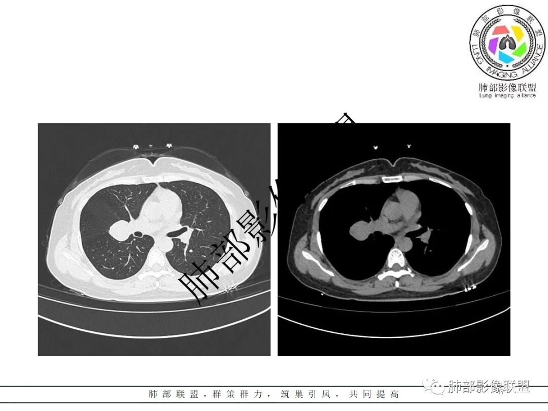
1.中青年女性,胸闷、气紧20天入院
查体及实验室检查未见异常
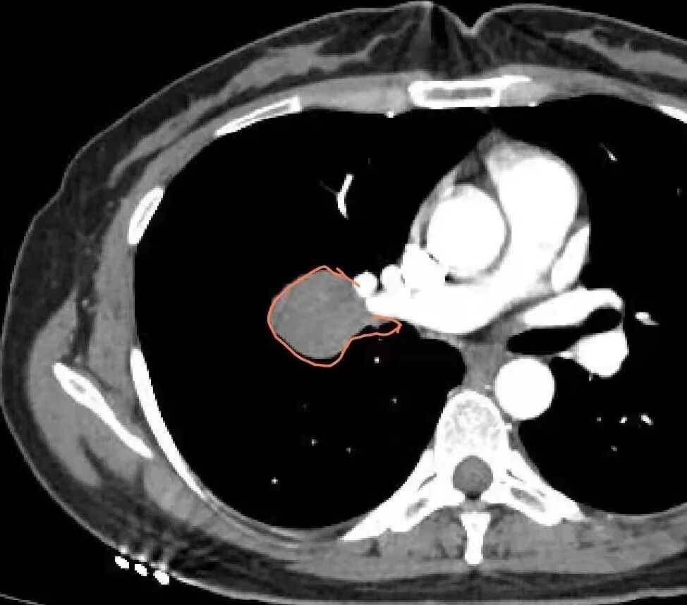
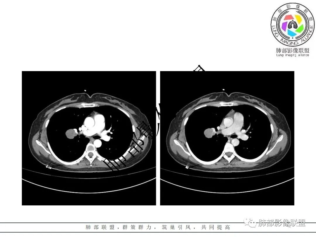
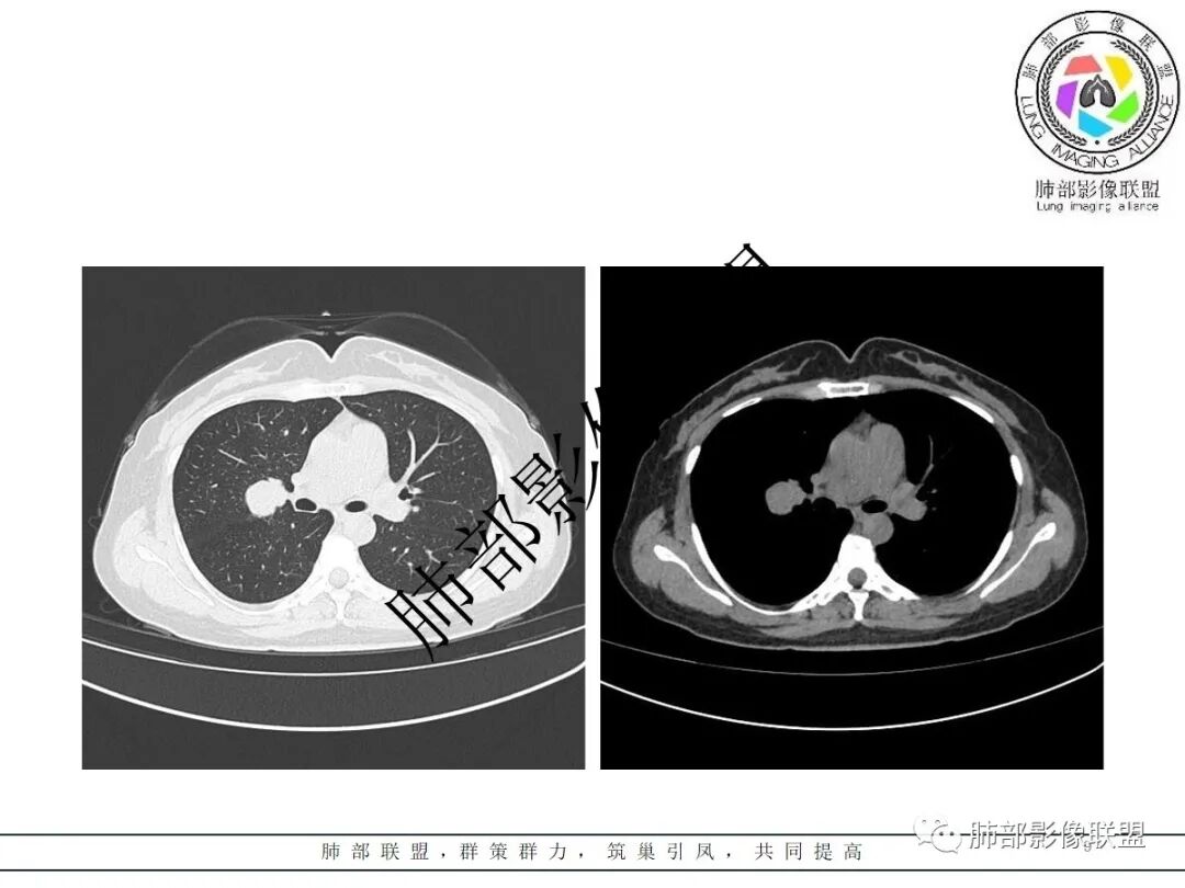
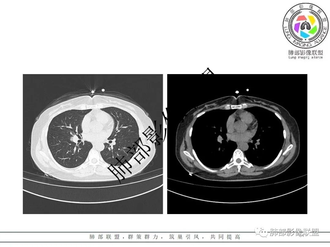
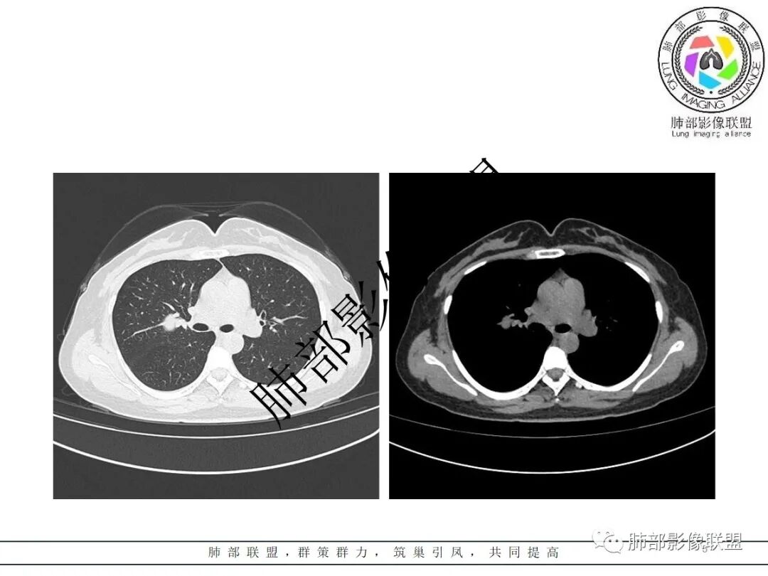
2.右肺水平叶裂斜叶裂肺门交界区类椭圆形块影,表面光整,未见分叶毛刺及棘状突起,未见邻近结构牵拉。与邻近支气管无关联。
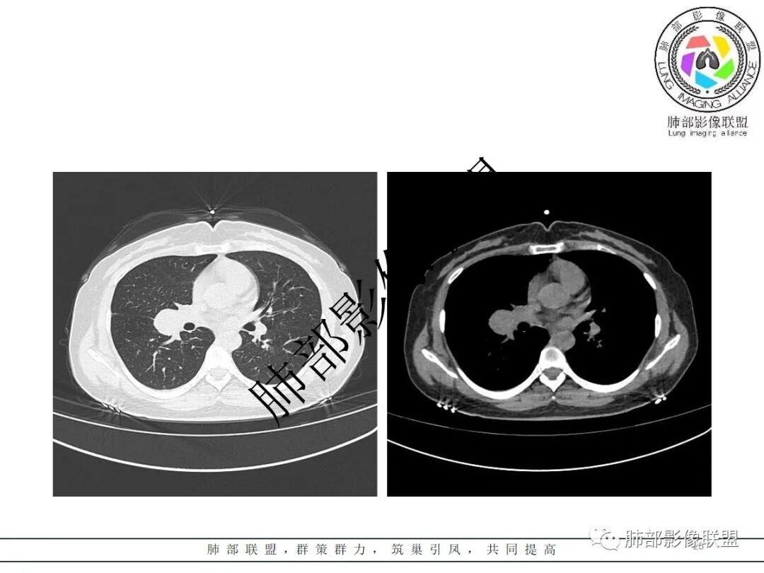
3.病灶密度均匀,未见液化坏死、钙化及脂肪低密度。轻度强化,可见纤细血管影蜿蜒穿行。右肺动脉推移变形,未见侵入或充盈缺损。
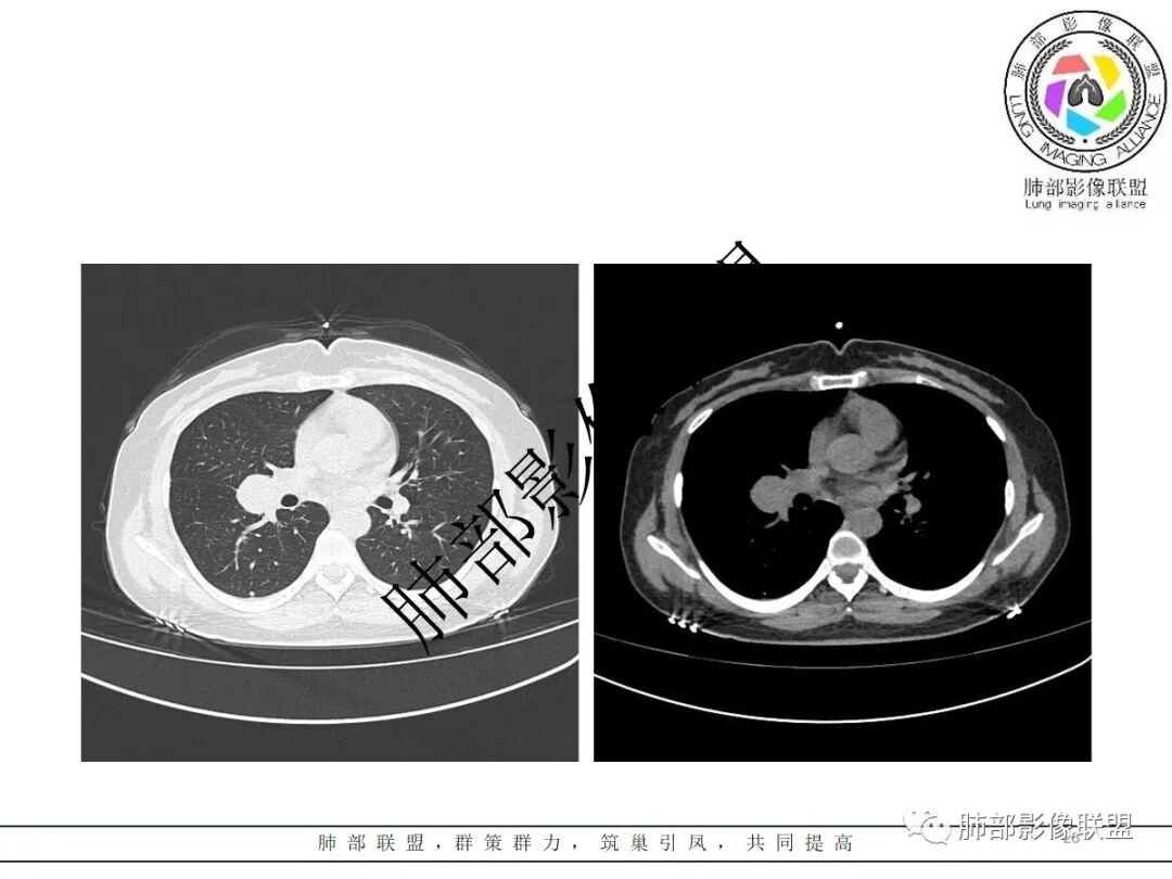
4.灶周未见磨玻璃晕或极低密度影环绕。右肺下叶背段胸膜下见微小实性密度结节影,边界清楚。
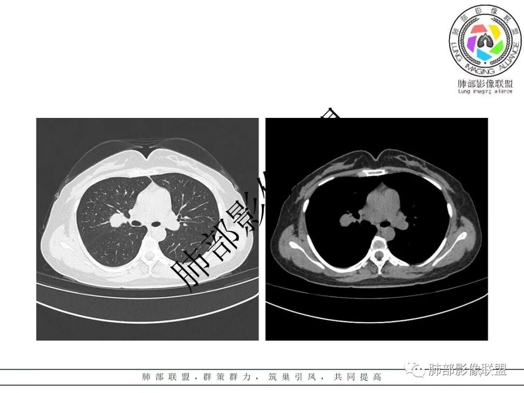
5.双肺门及纵隔未见增大淋巴结。双侧胸腔未见积液。
综合分析:
1.相对孤立表面光整无分叶块影或结节影,与支气管无关,肺门及纵隔未见增大淋巴结。
心中石头落地,良性可能性非常大!
2.无论是小细胞癌还是大细胞癌都不会重点考虑。
中青年女性,来自肠道等部位恶性程度不高的孤立性转移的概率也大大降低,何况患者没有相关病史。
3. 良性病灶好发部位由外而内排个序:孤立性纤维瘤(SFT)、硬化性肺细胞瘤(PSP)、错构瘤、巨淋巴结增生症(CD)等。
他们都好算作“错构”一族
1)巨淋巴结增生症(CD)大多动脉期高强化,毕竟透明血管型占多数,本例特征不足。
2)错构瘤也缺乏脂质密度区或爆米花样钙化等特征,尽管平滑肌型错构瘤不能完全排除。
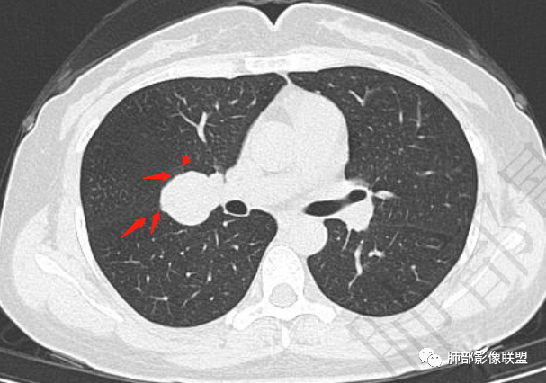
3)硬化性肺细胞瘤(PSP)可以血管贴边,常常强化比较显著。
4)发生于肺表面(近脏层胸膜或叶间裂),强化不显著,可见穿行血管,与本例的符合程度是最高的。

关于PSP分析思路

南大关于肺门区结节的分析思路
     我们都知道肺门区常见的结构有血管、支气管,还有神经、淋巴结。那么我们工作中判断近肺门区孤立性的,不大不小的结节,我个人认为还是有套路的。
      首先,我们判断它与支气管的关系如何,而不是与血管的关系。
     1、如果与支气管无关,支气管只是推压,没有支气管堵塞、进入,我们就考虑非支气管性病变。非支气管性病变有哪几类的?第一类,就是PSP。第二类是神经鞘瘤。第三类是淋巴道来源的,巨淋。然后就是错构瘤,还有畸胎瘤、支气管管囊肿。就这几类,然后我们再进一步鉴别;再分强化还是不强化。如果不强化,首先考虑错构瘤,还有畸胎瘤、支气管囊肿。他们之间的差异性还有的,畸胎瘤是不均匀的、实性的,囊肿完全囊性的。这类病变我们一般能定个方向,就是大多数是良性的,当然前提是孤立的、一个的,不是很大个的。
    2、气道来源的:支气管相关的,无非两大类,第一大类恶性,常规来说癌,我们所谓的癌一般鳞癌多,也可以腺癌。第二大类是炎性肌纤维母细胞瘤。
      就是说如果常规分析,肺门区一个肿块,边缘很光滑,我们发现和支气管一点关系都没有,我们心里就很踏实了,不担心了。如果和支气管有关系,就要紧张了,因为要鉴别癌和炎性病变了。这个时候也可以建议做支气管镜。问题是我们现在拿来读片的病例,往往忽略了病灶和支气管的关系,所以我建议下次读肺门区孤立性结节时,大家首先交代支气管和病灶的关系,如果支气管和它无关,那我们大方向就定了,然后再去细分,再去鉴别他们,我们都不用太担心。
psp的CT表现具有一定特征
1)好发于中老年女性;
2)CT平扫呈圆形或椭圆形,密度多较均匀,边界清楚少部分密度不均匀者,内可见囊变、出血及粗颗粒状钙化;
3)CT増强多呈中度至明显均匀强化,多期扫描呈持续性强化,部分病灶早期强化不均匀,呈花斑状,延迟后强化较早期均匀;
4)瘤周可出现晕征、空气新月征及贴边血管征,若同时出现,诊断PSP的信心更好。
链接:
【肺部影像系列】 肺部这光滑结节,是PSP吗?
 [肺部影像病理系列] 温柔的陷井?---- PSP
【每周一例】36期讨论实录  让人眼界大开的孤立性纤维瘤(SFT)
【肺部影像系列】近肺门区孤立性结节的套路分析
编辑:杨  丽
审核:蔡笑燕  徐  晓



到顶部