【每日晨读】上纵隔结节,惊讶拐角遇见它!


点击上方蓝字关注我们


1
病例资料

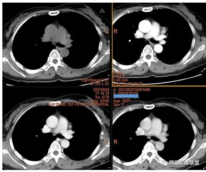
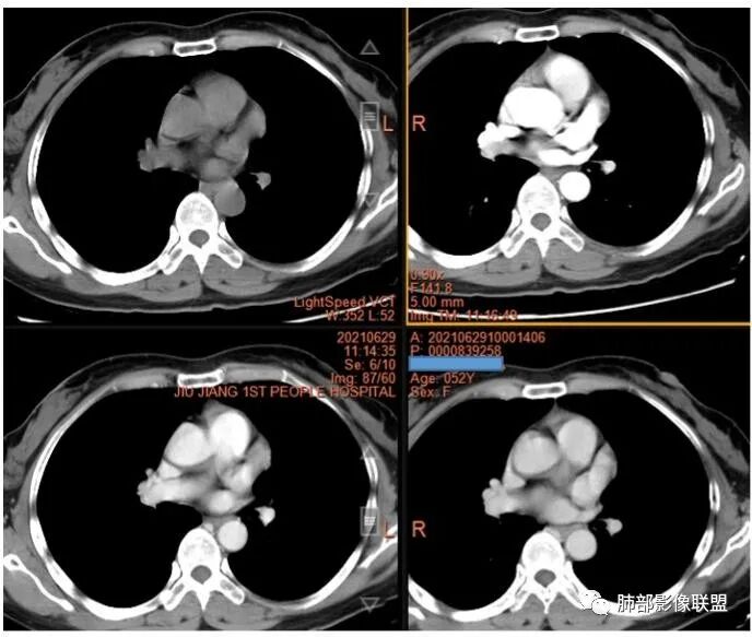
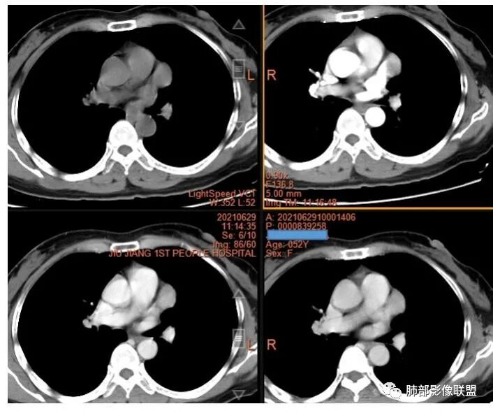
病史:女,52岁,体检发现






视频资料
2
精彩讨论
一切∮随缘:
主动脉旁实性结节,边缘光滑清晰,略膨胀性生长,平扫密度均匀,增强扫描明显强化,强化均匀,富血供病灶,考虑良性,血管瘤,副节瘤CD,鞘瘤,异位胸腺瘤。
烨:
纵膈来源,富血供,没有钙化,边缘清晰,考虑CD,胸腺瘤
秦化君:
纵隔内肺动脉干左侧见软组织密度结节影,边缘清晰,分叶,密度均匀,富血供,均匀高强化。考虑副节?血管瘤?异位甲状腺?CD?
飞鹰行动:
体检发现,主动脉旁实性占位,边缘光滑,密度均匀,增强扫描明显强化,强化均匀,富血供病灶,肺血管受压未见明显侵犯,考虑良性病变,CD,副节瘤,异位胸腺瘤待排除。
宇宙:
左侧纵隔旁实性结节,边缘光整,有分叶,密度均匀,明显强化,考虑CD、血管瘤、副节瘤
流心明智:
女,52。胸部CT:主动脉旁实性结节,边界清楚,两个/分隔?边缘光滑膨隆。平扫密度较均匀,增强扫描明显强化,强化均匀。富血供病灶,周围界清,考虑良性病灶,CD、副节瘤、血管瘤、胸腺瘤、异位甲状腺等。
自信人生:
体检 左纵膈主动脉旁实性结节,边缘血管受压显示清晰,结节边缘清晰,增强后各期强化值类似,富血供,
良性  首选CD
鉴别副节瘤   异位胸腺瘤
青藤之凉:
肺动脉干旁软组织密度结节,边界清晰,增强明显强化,考虑CD,鉴别鞘瘤,胸腺瘤
尘缘:
我不随大流了,考虑SFT,鉴别副节瘤,鞘瘤
若尘:
纵隔肺动脉干旁软组织密度结节,密度均匀,边界清,显著持续强化,血管受压,首先考虑CD,鉴别血管瘤,副节瘤,异位甲状腺。
尘缘:
形态看,异位胸腺瘤比较像,就是强化太厉害,所以我也没考虑
3
病例结果及纵隔分区知识点拓展
晨读结果:  B2型胸腺瘤
Dr. xiao:
晨读的病例确实非常有意思,位置比较偏,强化这么明显的b2很少见
定位应该还是前纵隔,不是中纵隔
Dr. xiao:
这是国际胸腺肿瘤协作组的共识文献里面的图,很经典,感兴趣的老师可以看看


 紫色部分代表前血管前(前纵隔),注意这一部分对心脏和大血管的包裹。蓝色部分代表内脏腔,黄色部分代表椎旁间隙,要注意椎旁间隙的后缘为椎体前缘向后1cm的连线。
Dr. xiao:
以前前中后纵隔的分区是按照胸片来分的,所以会有一些含糊不清的区域,比如说食管后方-椎体前方。最近的ITMIG按照CT和mri就行分区,分了血管前间隙(前纵隔)、内脏间隙(中纵隔)和椎旁间隙(后纵隔),简单、具体又好用,现在听老美、老欧、日本人讲课基本都是用这一版的纵隔分区
binby: 只不过以前还有觉得更细的有点画蛇添足的上下范围再分的上中下,这个中有时候就和前中后的中混淆了
Dr. xiao: 上、中、下分区意义不大,以前这样分是为了把甲状腺肿和纵隔肿瘤区分开,但实际上甲状腺肿的诊断难度不大
空格:
血管前间隙、内脏间隙、椎旁间隙简单又具体
按三个间隙分,组织来源就靠谱了
Dr. xiao: 对的,很好用,所以推广快。
4
胸腺瘤相关知识

胸腺上皮性肿瘤(thymic epithelial tumors, TET)是前纵隔最常见的原发肿瘤,起源于胸腺上皮细胞。
2004年WHO组织学分型根据上皮细胞形态及淋巴细胞与上皮细胞的比例将TET分为A、AB、B1、B2、B3、胸腺癌(包括神经内分泌癌)等亚型。
胸腺上皮性肿瘤形态多样,成分复杂,其分类变化较大,争议较多。近10年来使用最多的是2004年WHO胸腺上皮性肿瘤的分类,但仍存在不少病例分类困难、诊断重复性差的问题。
2015年国际癌症研究机构 (IARC) 出版了新的WHO胸腺上皮性肿瘤分类。
新版主要在以下几方面进行了修订: 增加新的肿瘤分型,对各亚型的诊断;标准更为细化;废弃“混合性胸腺瘤”的名称;纠正胸腺瘤是良性肿瘤的观点,除伴有淋巴样间质的微结节型胸腺瘤(MNT) 生物学行为编码保留原有的1( 交界性或生物学行为未定的肿瘤)、微小胸腺瘤(microscopic thymoma) 生物学编码由1改为0以外,其他所有胸腺瘤的编码均由1改为3; 增加了各亚型肿瘤的细胞学诊断; 增加了肿瘤间的鉴别诊断。
1、A型胸腺瘤:以往被认为是良性或生物学行为未定的肿瘤,现在直接归入( 低度) 恶性肿瘤范畴,因为它也会发展为进展期肿瘤甚至发生转移。
2、非典型A型胸腺瘤:新增加的亚型。即A型胸腺瘤伴有一定程度的异型性,如细胞增多,核分裂计数增高和局灶坏死等。
3、AB型胸腺瘤:同义词是混合型胸腺瘤,但现在不提倡使用这个名称。
4、B型胸腺瘤:仍保留原来B1、B2、B3型胸腺瘤的分型,因为这是一组连续过渡并各有特征的形态学谱系,但它们之间模糊的边界导致诊断重复性差,所以相应的组织学诊断标准应该更加细化。
5、胸腺癌:类似于胸腺外的其他恶性肿瘤,由于典型的分化、异型性大和器官样结构的缺失,使其完全不同于胸腺瘤而被单独区分开来。最常见的胸腺癌是鳞状细胞癌,由于高度异型的上皮、明显的浸润性生长方式及缺乏 TDT阳性T淋巴细胞使其不难诊断,但应排除不典型/间变型胸腺瘤及转移癌、生殖细胞肿瘤和具有上皮样特征的间叶源性肿瘤。鉴别诊断: 胸腺鳞状细胞癌主要与B3型胸腺瘤及肺的鳞状细胞癌鉴别。
6、混合性胸腺癌:新版单独提出的名称,指肿瘤中含有至少一种胸腺癌的成分,伴有任何其他胸腺上皮性肿瘤的类型( 包括胸腺瘤和胸腺癌) ,含有小细胞或大细胞神经内分泌癌成分的肿瘤除外( 它们分别称为混合性小细胞癌和混合性大细胞癌) 。最常见的混合性胸腺癌是鳞状细胞癌和B3型胸腺瘤的混合,其次是乳头状腺癌或肉瘤样癌混合A型胸腺瘤。
黄勇老师总结:












5
病例小结
影像与临床:
1.中年女性,体检发现结节影。
2.左上纵隔肺门夹角处孤立实性密度结节影,边界清楚浅分叶,密度均匀,未见液化、分隔及钙化。
3.动脉期起显著强化并延续至静脉期,强化程度均低于同期胸主动脉。病灶弧形推压左上肺动脉,毗邻左肺上叶支气管但未见侵蚀及突入,相应支气管未见狭窄。
4.余双肺未见病灶,双肺门及纵隔未见增大淋巴结。未见胸腔积液。
综合分析:
1.纵隔肺门区孤立结节,边界清楚,强化异常显著,首先应当想到的是巨淋巴结增生症(CD),即便病灶延迟强化期相有点长。
2.富血供应当想到副节瘤。应当结合临床表现,有无高血压,尿甲氧基肾上腺素水平或血浆儿茶酚胺的实验室数据等等。
3.血管瘤(如海绵状血管瘤)可以显著强化,但常为渐进性强化,且软组织内血管瘤一般也没那么“抱团”。
4.胸腺瘤多少出乎预料,背井离乡,且强化程度如此夸张。
但本例提示我们,发生于前纵隔的肿块我们不能轻易抛开胸腺这一来源。
【每日晨读】胸腺瘤or胸腺癌,且听南边老师娓娓道来
胸腺瘤的分型原来没那么复杂!

END

病例提供:九江市第一人民医院  於雄
编辑:杨宏刚 蔡笑燕
审核:徐  晓


到顶部