【每日晨读】年轻女性,胸膜及肺内多发病灶






PART1
病例资料










































































1

PART2
精彩讨论
王开金江津中心医院呼吸科:
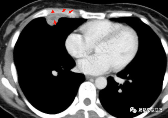
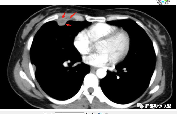
年轻女性,病程长,胸痛,抗结核无效,右侧胸膜下新生无,来源胸膜,肋骨破坏,抗结核治疗后,病灶增加,其他部位及肺内均出现病灶,考虑恶性,转移?恶性间皮瘤?
凝睦:
右肺胸膜下多发结节,与胸膜相贴,增强后内部见坏死,一个月后复查病灶有缩小,考虑结核。
丽:
青年女性,慢性病程,右侧胸膜见两个结节,宽基底连于胸膜,临近胸膜增厚,胸膜下脂肪间隙消失,周围见片状高密度影,模糊不清,增强后不均匀强化,见坏死,抗结核治疗一个月,病变无明显变化,考虑结核,鉴别转移瘤
放射线:
右肺中叶胸膜下结节,宽基底与胸膜相贴,胸膜顶起,密度不均,可见囊状低密度,强化明显,右肺下叶胸膜局限性增厚并向叶间裂延伸,考虑肋间神经鞘瘤,鉴别SFT
若晗:
右肺胸膜多发小结节,定位于肺外,增强后强化,年轻女性,考虑良性,SFT可能
衡妈:
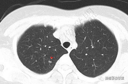
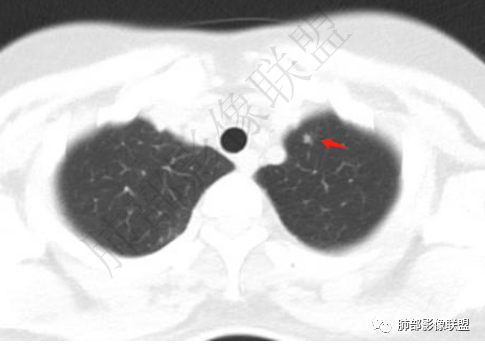
年轻女性,右侧胸膜多发实性结节,与胸膜宽基底相连,密度不均,邻近肺野见片絮状影及间质增厚,增强后不均匀强化,中心可见坏死,且与周围界限清晰,另两上肺散在见几枚小结节灶,抗结核治疗后病灶有缩小。我还是倾向结核。
许慧良:
青年女性患者,胸痛一年,胸部CT:右肺胸膜下两个结节,结节与肺界面部分清楚,部分模糊,前胸壁结节附近见纤维索条影,结节内部密度不均匀,似有坏死,考虑结核,SFT待排
放射小白:
两肺可见数枚实性小结节;右肺胸膜下见丘状凸起,较大者周围可见支气管血管束,增强边缘强化,首先考虑慢性炎性肉芽肿,鉴别球形肺不张。
流心明智:
女,34,胸痛1年余。胸部CT:两肺上叶小结节。右肺胸膜下两个结节,宽基底与胸膜相贴,胸膜尾;右前胸膜下结节影,胸膜局部增厚、糊墙,胸膜下脂肪间隙模糊,部分层面结节灶边缘毛糙、支气管血管进入,结节增强后内有片状坏死区,一月后复查有增大。慢性病史,多部位,多灶,多形性病变,肺内、胸膜都有病变,常规考虑结核等慢性特殊感染,鉴别淋巴瘤。
1

PART3
病例结果


PART4
南边老师分析
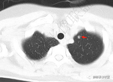
青年女性,胸痛1年,慢性病程


肺内多发小斑片状高密度影,密度不均匀,边缘稍平直



胸膜多个结节,附近胸壁脂肪间隙密度增高,提示有胸壁蔓延或侵犯。

  胸膜区病灶周围肺内有小斑片状影,内有条索影,而非放射状,提示提示病灶累及肺内。周围渗出明显——良性肿瘤排除

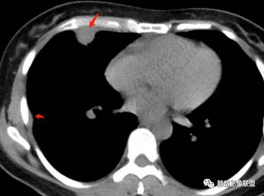
  一月后复查,肺内病灶密度增高,边缘收缩,体积缩小,提示渗出朝增生转变;胸膜病灶缩小。
综合分析:
1.胸膜多发结节,边缘比较光滑,累及胸壁(胸痛也符合,一年),表现为脂肪间隙密度增高,最大的病灶累及肺内,附近有渗出,但是无放射状表现,增强中央有坏死灶,一月后似有缩小,肋骨完整未见破坏,支持炎性可能大!
2.肺内多发斑片影,边缘光滑,支持炎性特点,不符合恶性侵犯的特点,一般恶性肿瘤侵犯肺内往往边界不清,复查附近病灶有收缩,更加支持炎性病变;
3.明显胸膜病变——隐球菌不支持,隐球菌是肺内的,胸膜受累充其量是有一点胸膜增厚或胸腔积液,不会出现胸膜结节;
胸膜多发结节常见疾病谱:
1、恶性(间皮瘤、转移瘤)
2、炎性(结核)
3、多发良性(神经纤维瘤病);
胸膜区病灶及肺内病灶符合炎性改变,支持一元论炎性。
编辑:谢壁樯 蔡笑燕
审核:徐  晓


到顶部