【每日晨读】中年男性,咳嗽咳痰,肺内肿块是感染吗?


病例展示





























































































微信群讨论
幸福一半多多:
左肺下叶团片状高密度影,边缘尚清,短粗毛刺,其内看见支气管深入,呈空气征,多发小气道壁稍厚。病变未跨越胸膜裂,相邻胸膜裂未见明显牵拉,轻度膨隆,相邻纹理轻度牵拉增粗密度增高,肺野周围斑片状稍高密度影。结合临床,考虑感染可能性大。
张延军:
左肺下叶前内基底段肿块,跨叶,边缘不清,周围散在磨玻璃密度影,偏下方支气管壁增厚,腔内偏一侧增厚,腔狭窄(痰栓?炎性?),纵隔窗纵隔内见空洞(似乎近背侧方向,治疗后?),中年男性,抗炎治疗后有效,考虑炎性,建议继续抗炎治疗后复查
飞鹰行动:
中老年男性,左肺下叶团块,病灶与叶间胸膜相贴,边缘欠清晰,下方支气管扩张,抗炎治疗病灶有缩小,考虑炎性病变。
王开金江津中心医院呼吸科:
中年男性,中等病程,咳嗽,咳浓痰,左肺下叶类圆形实变,长毛刺,边界模糊,夜间裂未受累,无胸膜凹陷,无气管截断,考虑炎性病变。
?? 玫:
男,51咳嗽咳痰20余天,间断咳血2周,左肺下叶叶间胸膜处见病灶影,边缘模糊,并见少许短毛刺,叶间胸膜轻度膨隆,考虑炎性病变可能,除外腺癌。
一切∮随缘:
左肺实性肿块,平行叶裂胸膜,支气管堵塞不明显,增强扫描强化不明确,考虑炎性,OP,隐球菌。抗炎复查
丽:
左肺下叶叶间胸膜下结节,边缘毛躁,模糊,支气管管壁略增厚,无明显阻塞,周围可见长索条,临近叶间胸膜增厚,增强后均匀强化,考虑炎性肉芽肿性病变,建议抗炎治疗后复查除外腺癌
许慧良:
中年男性患者,咳嗽、咳痰20天,咳血2周,炎性指标正常,胸部CT:左肺下叶前基底段近斜裂处不规则斑片实变影,边界清楚,部分平直,部分彭隆,周边见界限清楚的磨玻璃影,分叶不明显,毛刺细软,内部密度不均匀,支气管有牵拉性扩张,首先考虑炎性病变,腺癌待排
张涛:
中年男性患者,咳嗽、咳痰20天,咳血2周,炎性指标正常,胸部CT:左肺下叶前基底段结节影,边界清楚,部分平直,部分彭隆,周边见界限清楚的磨玻璃影,分叶不明显,毛刺细软,强化均匀,周围见多发斑片状磨玻璃样密度影,首先考虑炎性病变
那个人:
中年男性,无诱因咳嗽脓痰,而且不发热,后期出现咯血,而且抗感染后似乎有效,吸入?没有特殊宿主因素。亚急性病程,化脓菌感染暂时不考虑,病毒病史影像不支持。影像,左肺下叶靠近斜裂一斑块影,边缘平直收缩,周围多发小斑片影?上叶胸膜下有小结节影,支气管通畅,壁厚,胸膜增厚似乎侵犯至上叶,斑块有轻度坏死,未形成空洞,纵隔肺门淋巴结无肿大。考虑肉芽肿性病变,结核?其他?非特异性感染?
衡妈:
左肺下叶团状实性密度为主病灶,边缘模糊,整体彭隆部分平直边,有软毛刺,与叶间胸膜宽基底相连,感觉部分层面突破叶间胸膜(跨裂?)且叶间胸膜明显增厚,而且有结节感;病灶周围见磨玻璃影及小结节感;与侧胸膜可见小梭形相连(是否淋巴道水肿改变)。支气管自然穿行,管壁未见明显增厚。增强后实性范围变小,相对均匀中等强化。未见明确肿大淋巴结。首次遇到基本考虑炎性病灶,治疗两周复查,鉴别腺癌。
红日东升:
中年男性,亚急性病程,咳嗽咳痰,左肺下叶团块影,内见支气管充气征,边缘平直、凹陷,周围见模糊GGO,明显强化,考虑炎性病变
小兜:
男,51岁,咳嗽咳痰就诊,咳黄脓痰,治疗后咯血,左肺下叶叶间胸膜下团块影,宽基底与斜裂相连,周边伴磨玻璃影及条索影,平扫密度均匀,支气管扩张,增强可见强化,首先考虑为炎性病变,鉴别淋巴瘤
秦化君:
左肺下叶前内基底段团块影,周围见淡片状渗出,部分边缘清晰光整,相邻叶间裂局部增厚,其内似见液化坏死,纵隔窗前后变化较大(未提供两次CT间隔时间),病变缩小内见空洞,内壁光整。考虑炎性病变,脓肿?隐球?结核?
采莲:
中年男性,咳嗽咳痰20天,咳黄脓痰,伴咯血,,左肺下叶靠近叶间裂处团片实变影,边缘平直为主,稍膨隆,边缘毛糙,支气管通畅,周围有磨玻璃及小斑片状影,内有坏死,边界欠清,有空洞,考虑感染性病变,肺脓肿,结核等,鉴别肺癌,以鳞癌,大细胞癌等。
放射线:
左肺下叶前基底段肿块影,边缘平直为主,稍膨隆,有分叶毛刺,支气管通畅,周围有磨玻璃及小斑片状影,内有坏死空洞,边界欠清,与叶间胸膜宽基底相贴,考虑炎性肉芽肿性病变,鉴别淋巴瘤
良孑:
左下肺肿块,边界不清,可见晕征及软毛刺,紧貼叶间胸膜但胸膜无牵拉移位,引流支气管管壁增厚,结节内有支气管穿行,显著强化,并见血管飘浮,纵隔窗肿块有平直及u型凹陷,综和考虑1.隐球菌,2.OP併脓肿,3.病史长,年龄大,淋巴瘤也要排除
淋巴瘤
病例结果








































                  编后语
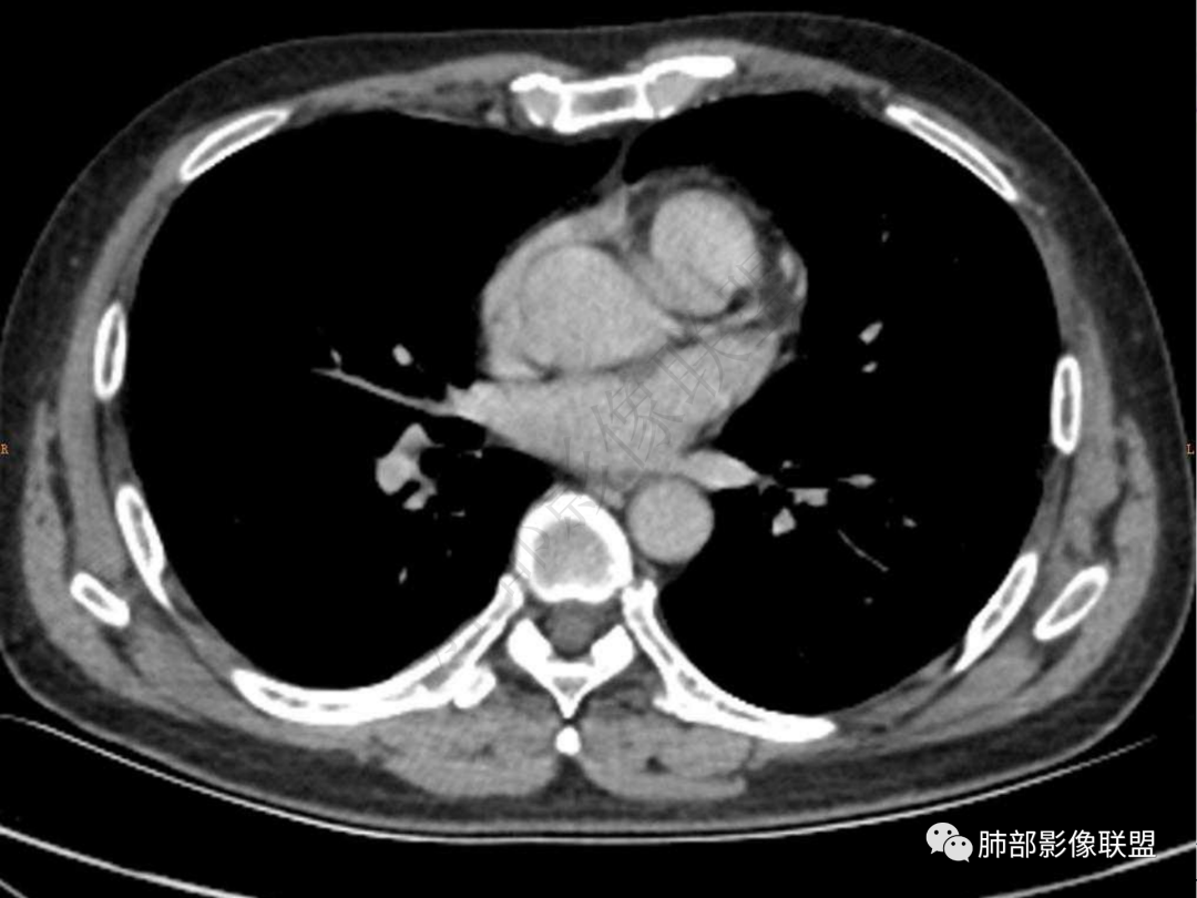
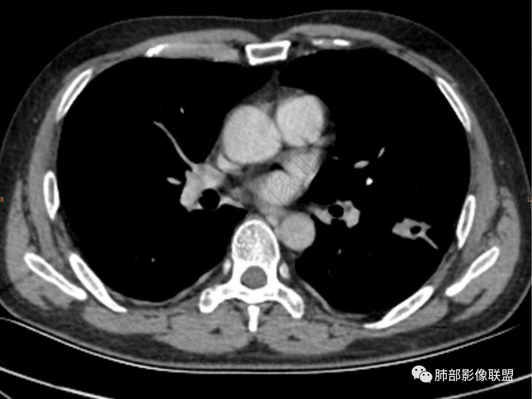
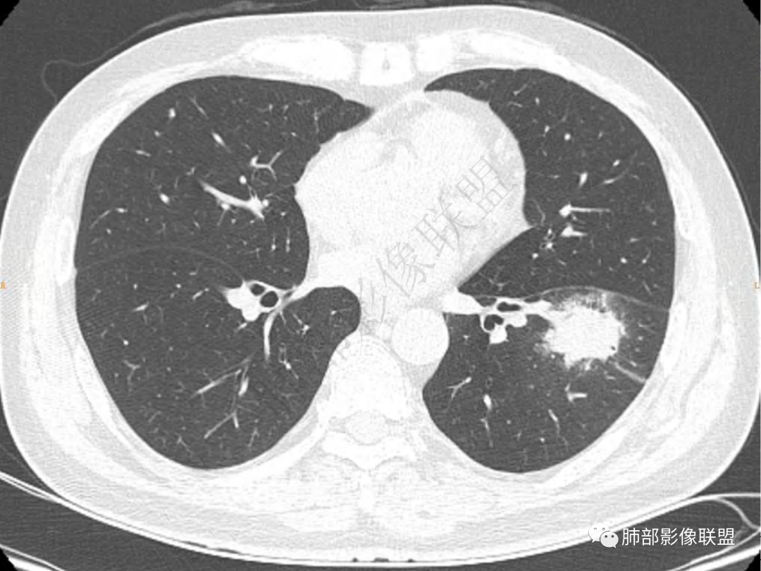
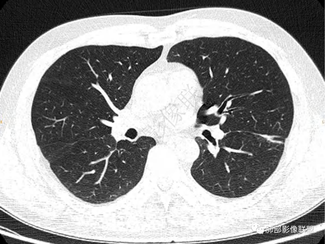
影像与临床:
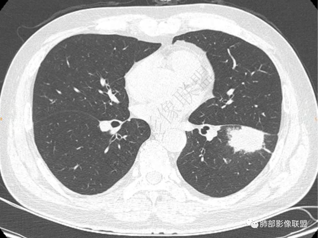
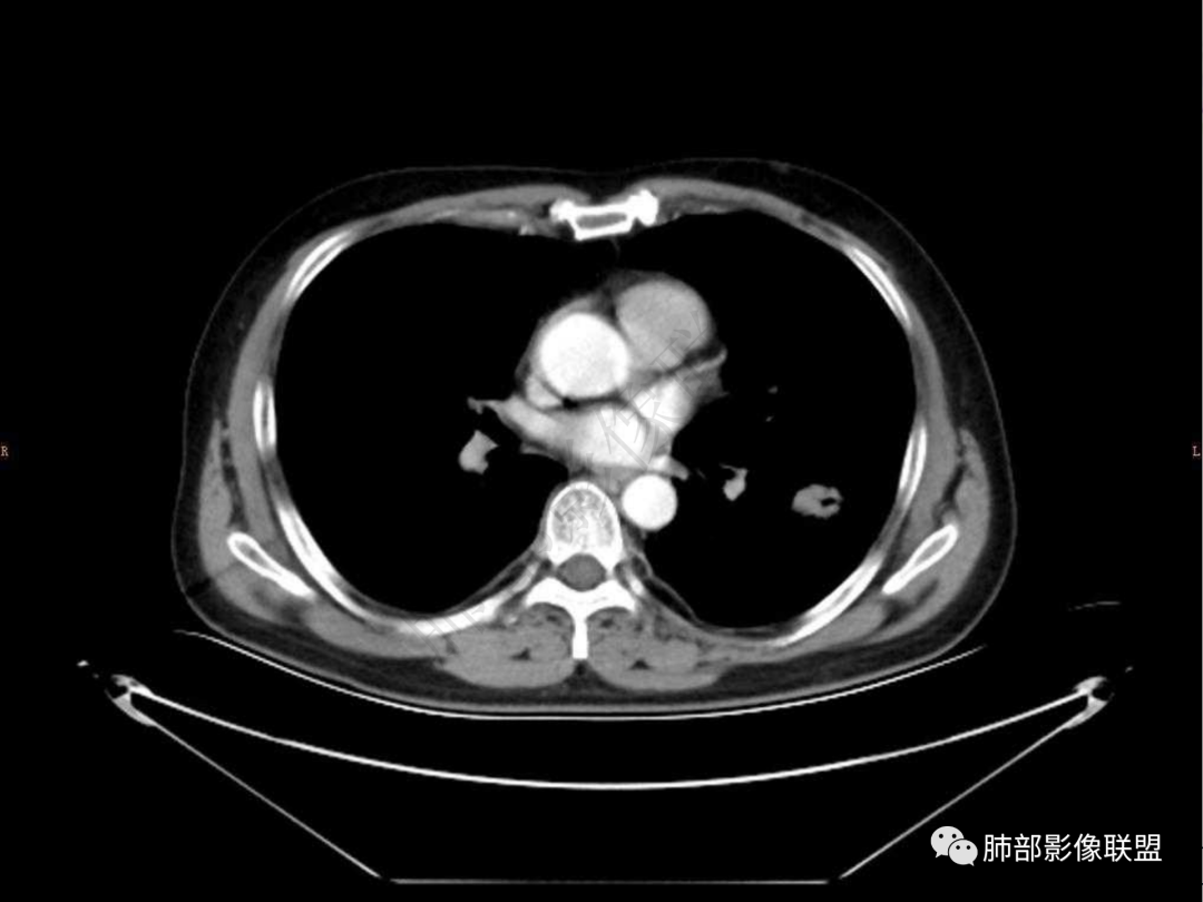
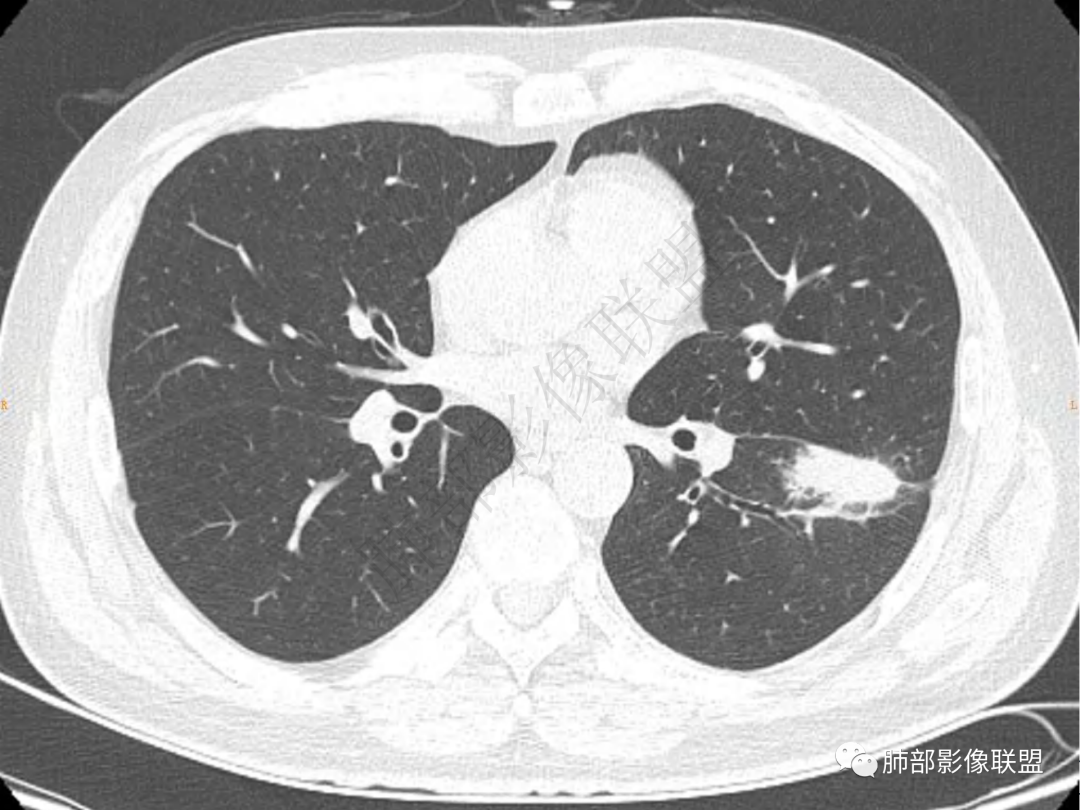
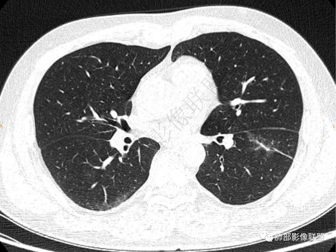
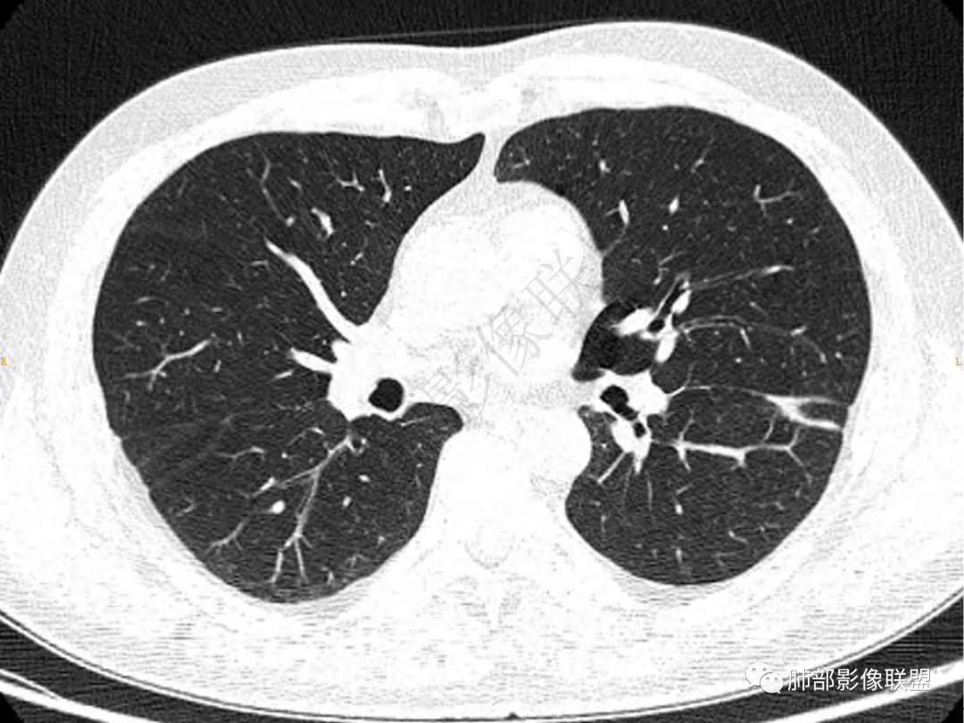
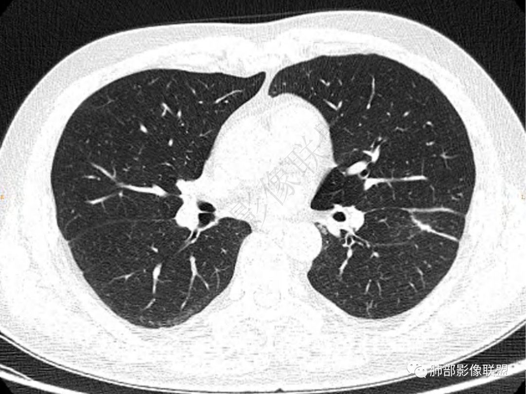
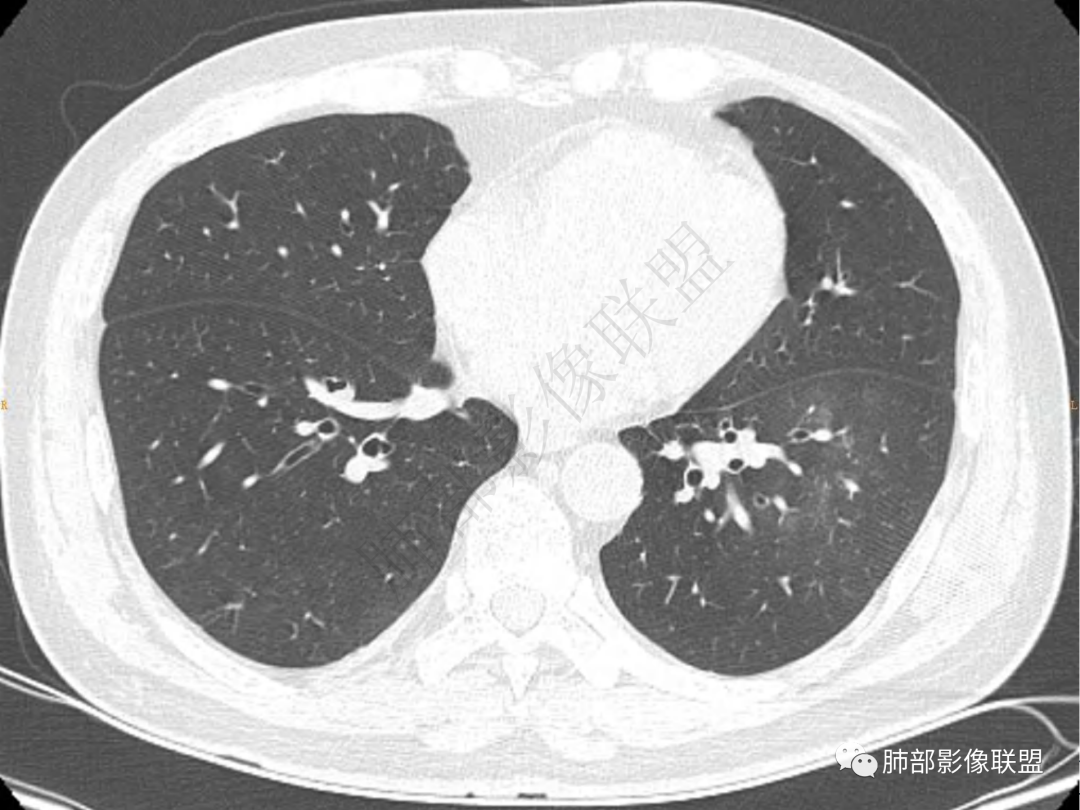
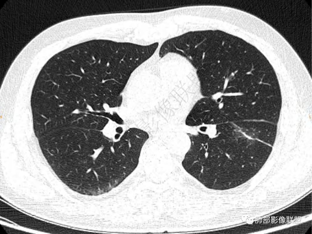
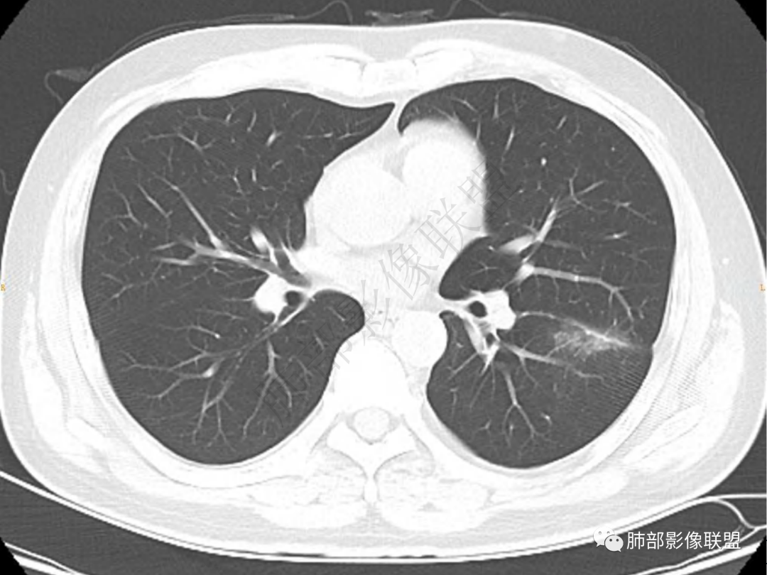
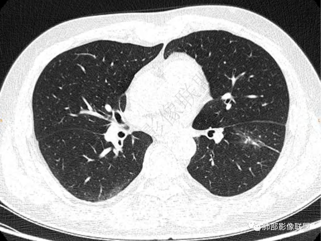
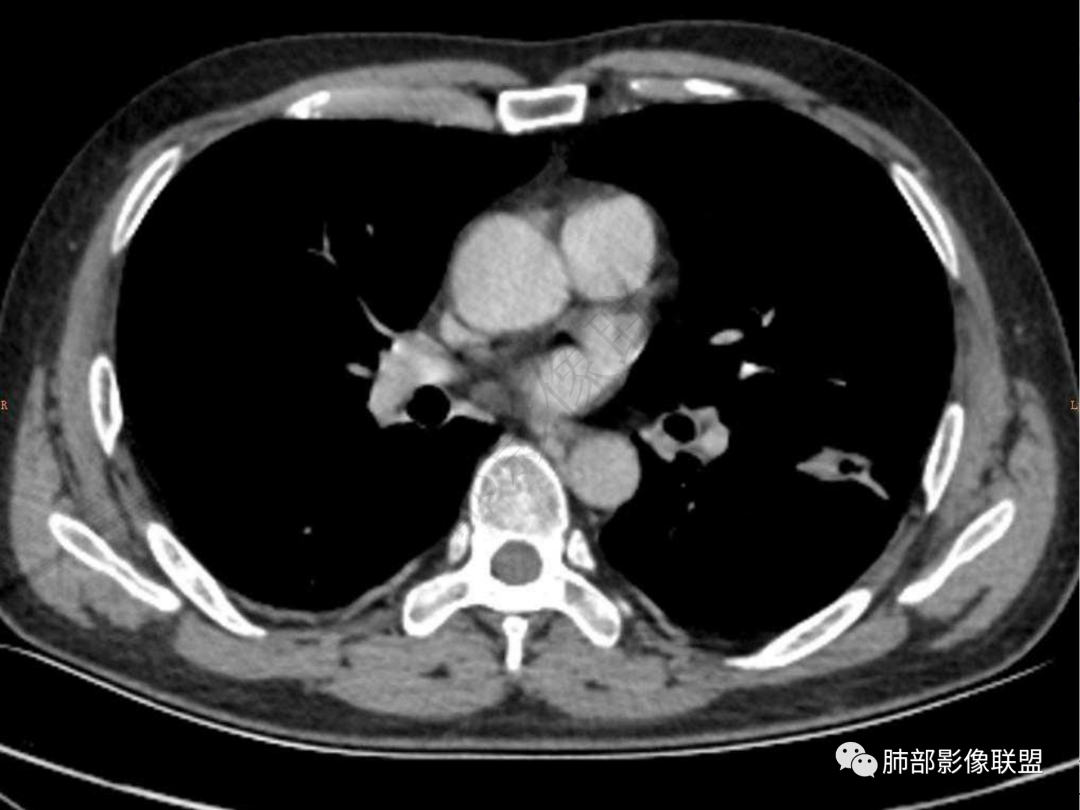
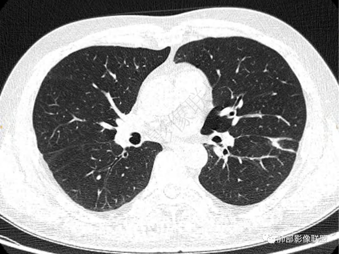
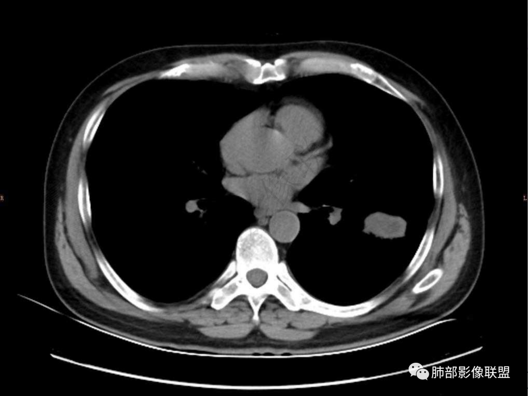
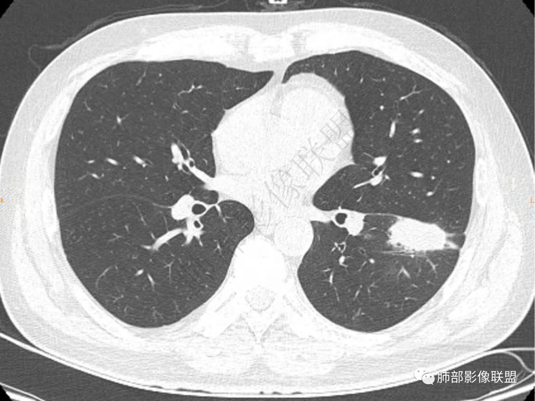
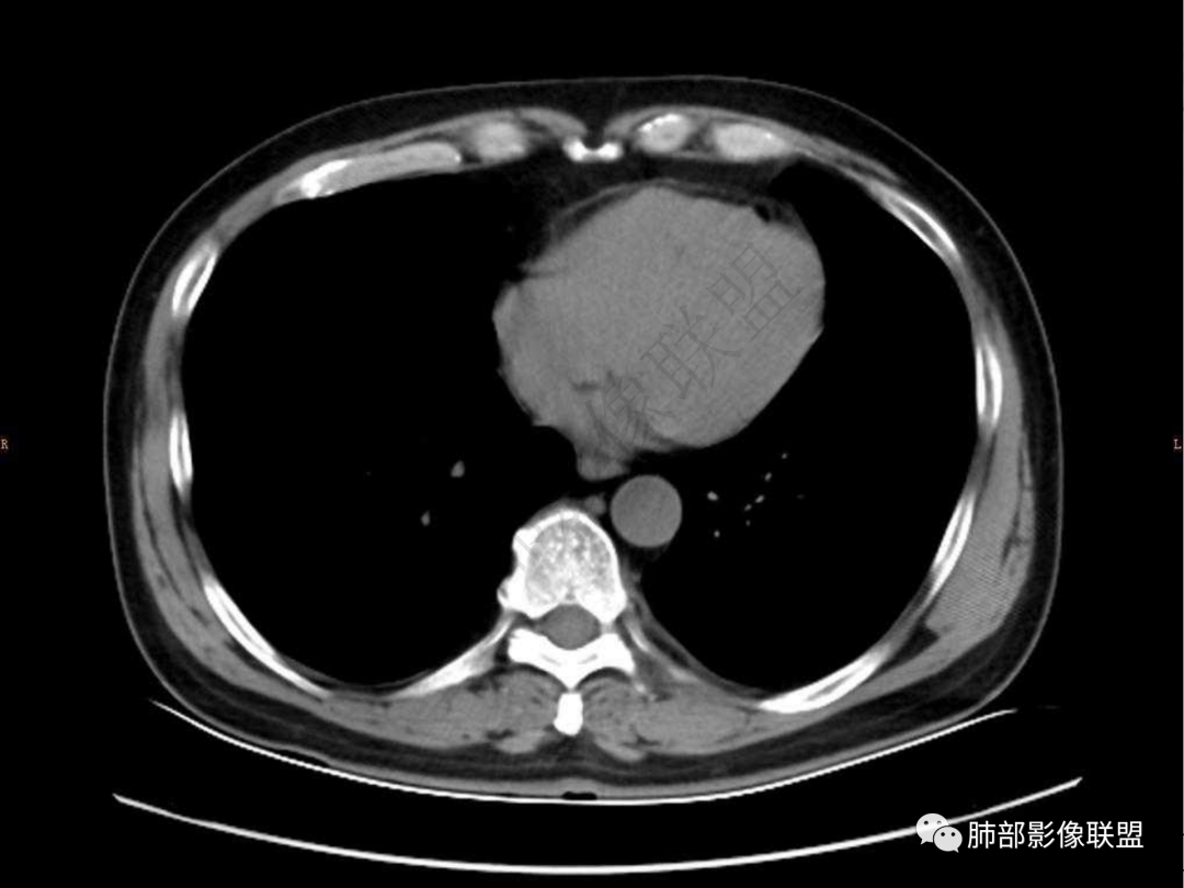
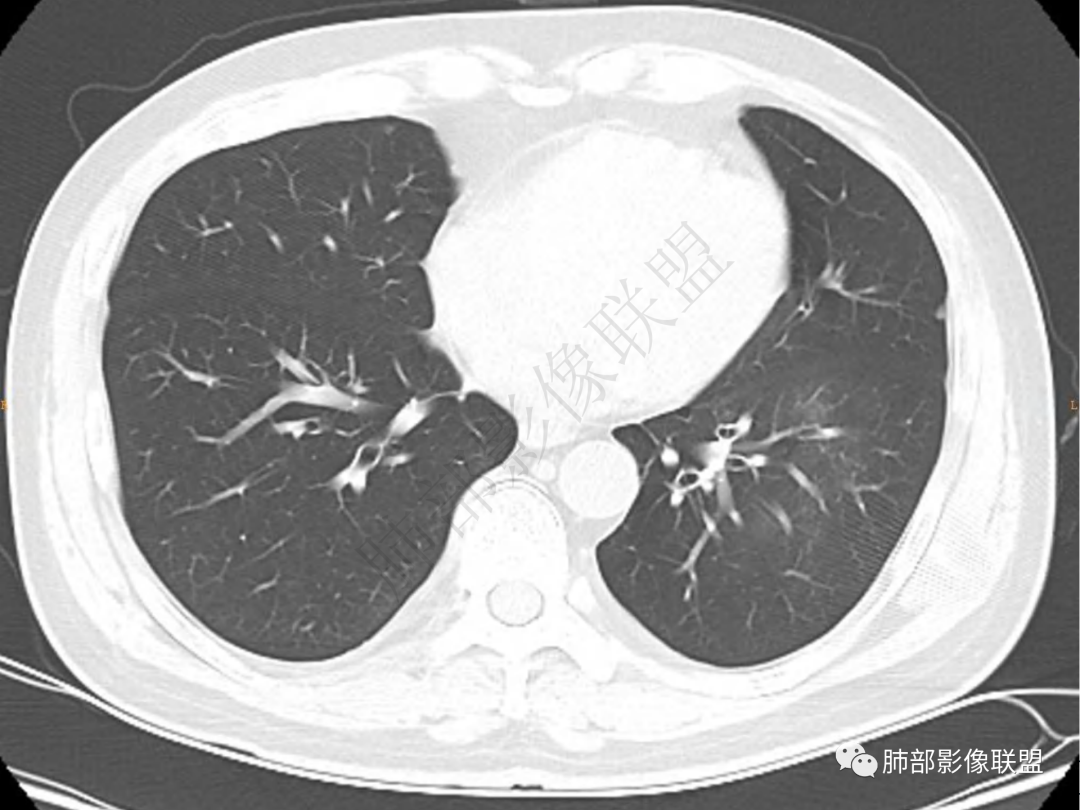
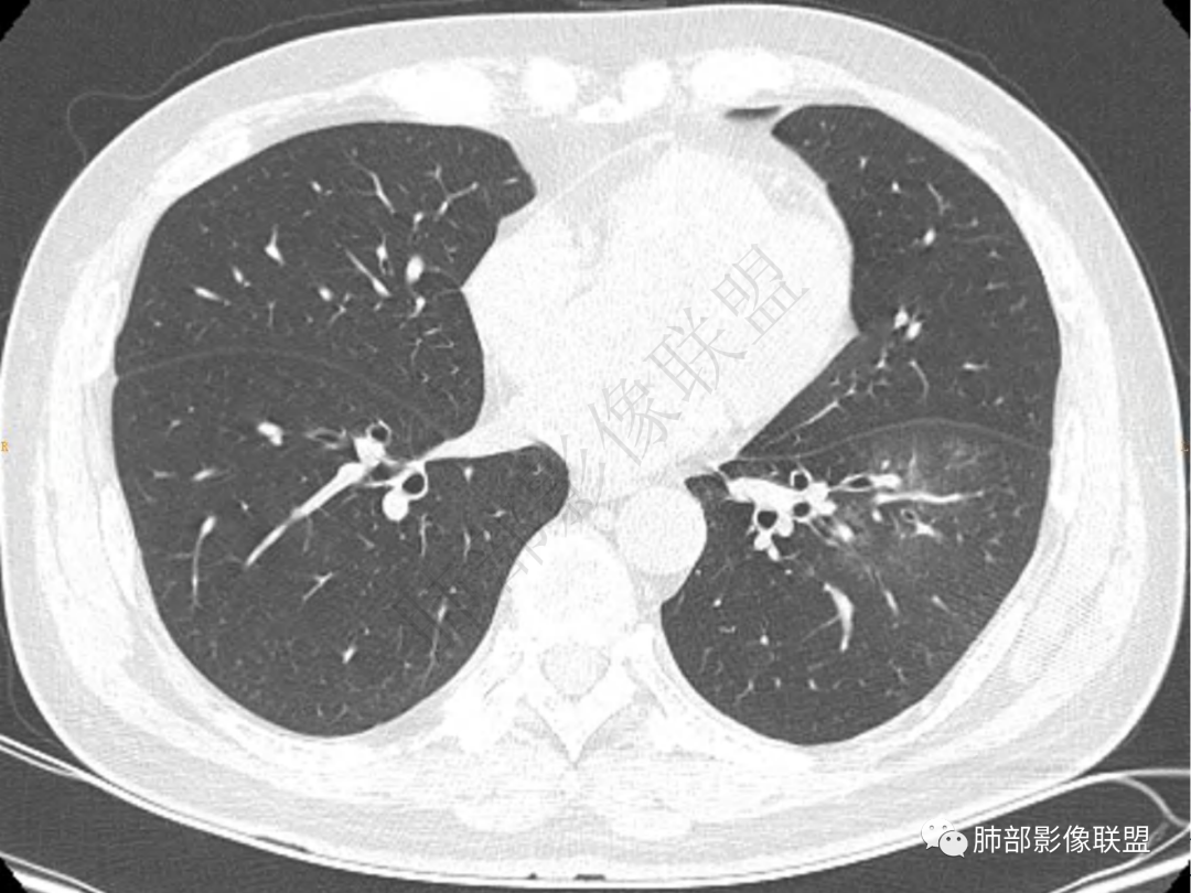
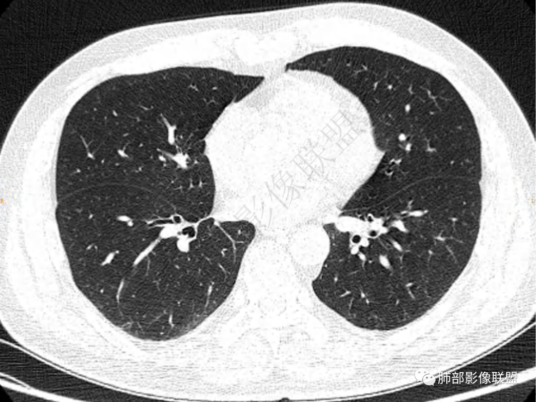
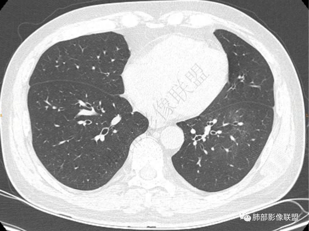
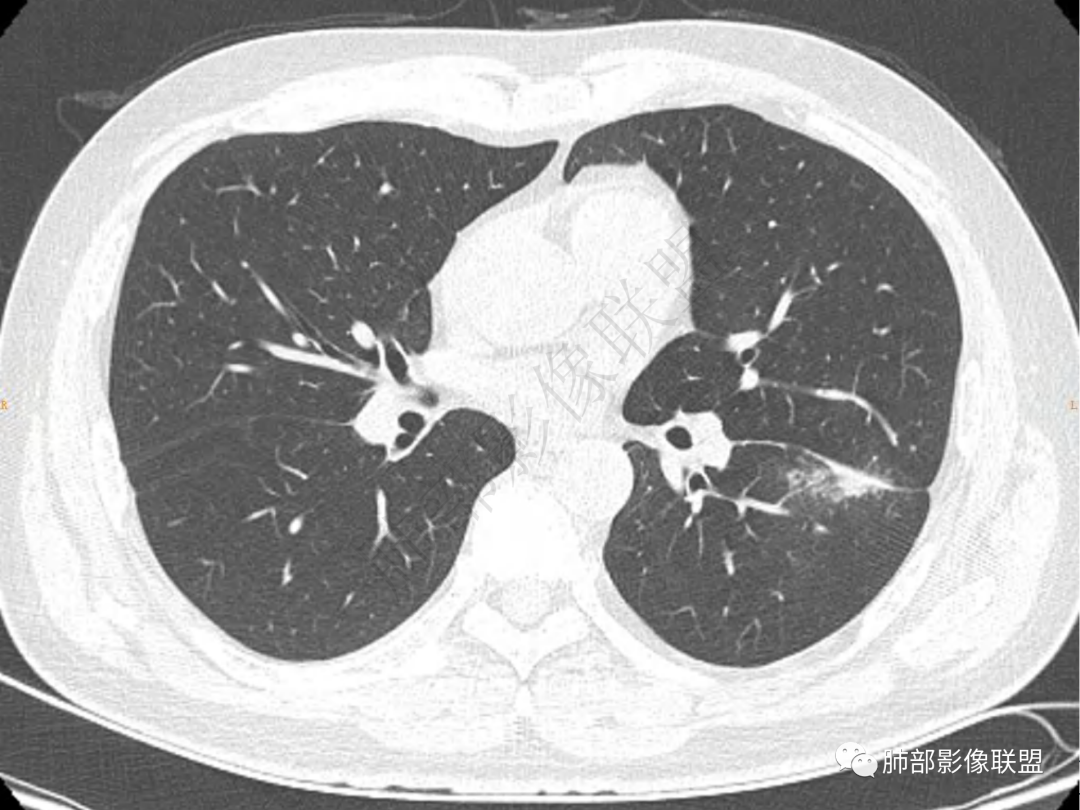
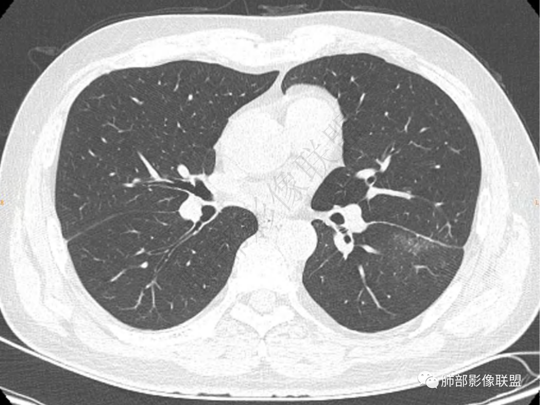
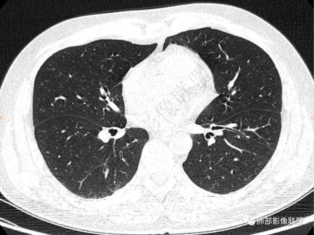
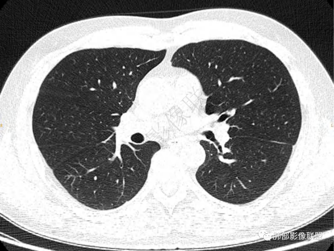
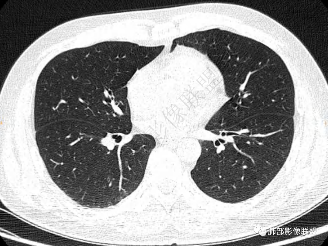
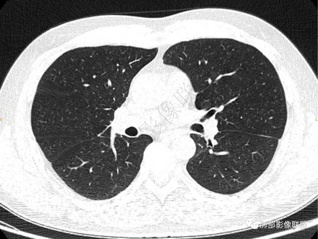
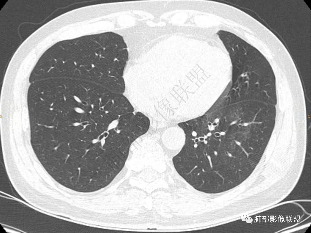
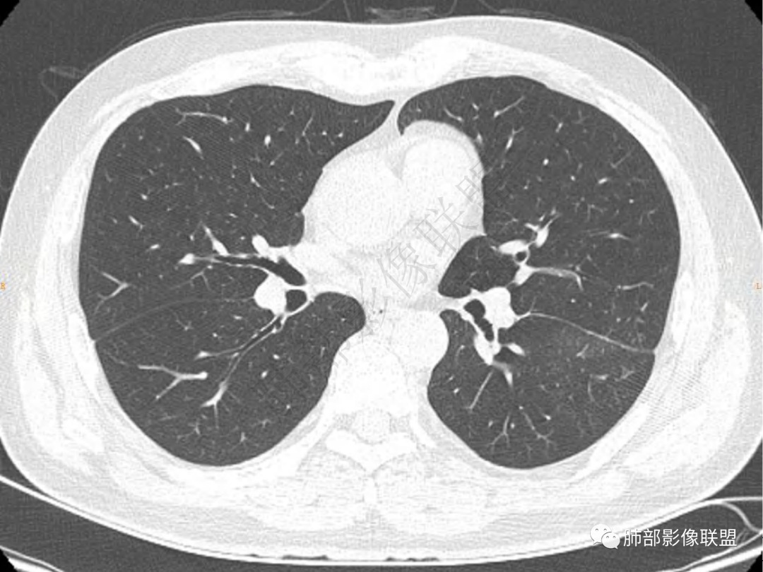
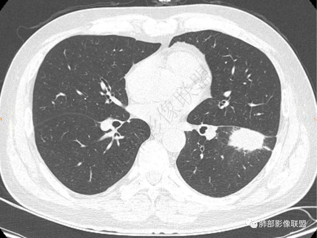
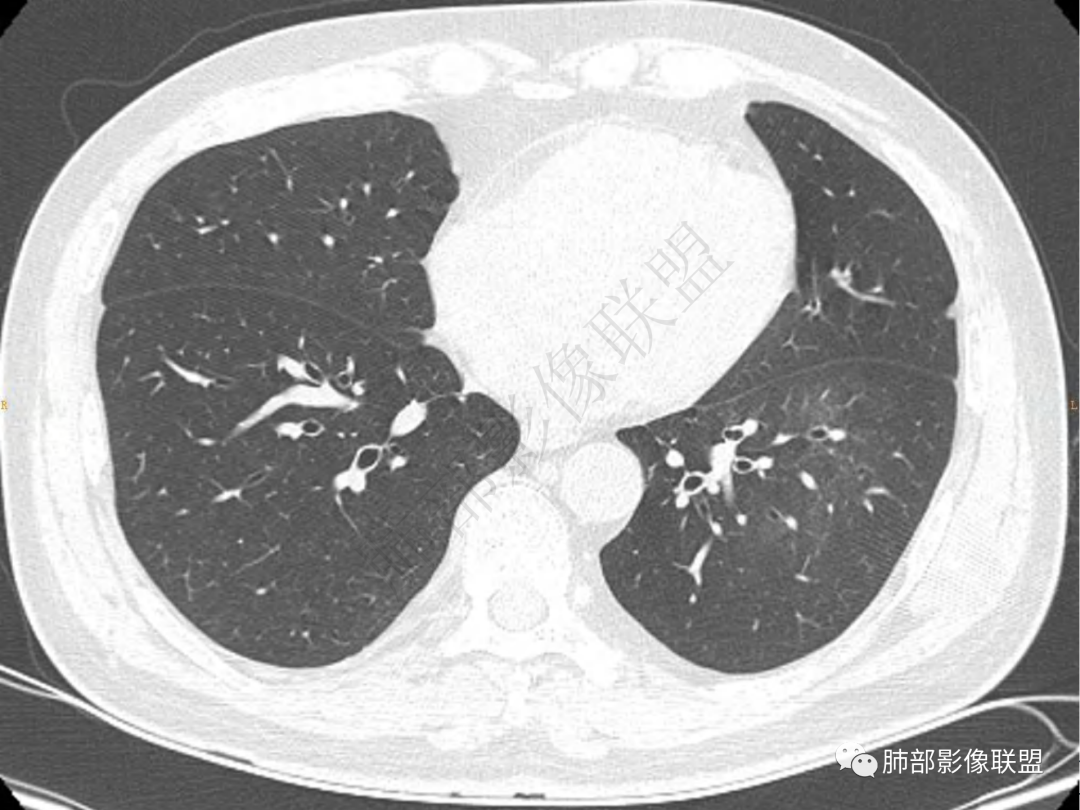
1.中年男性,咳嗽咳痰20余天,间断咯血2周
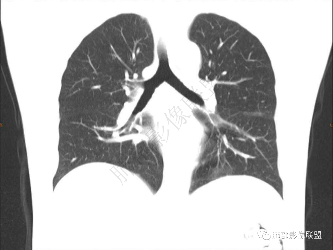
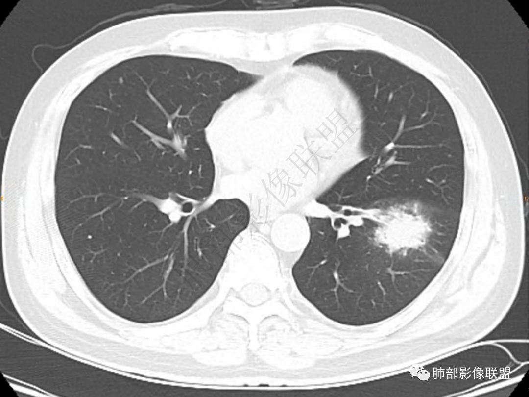
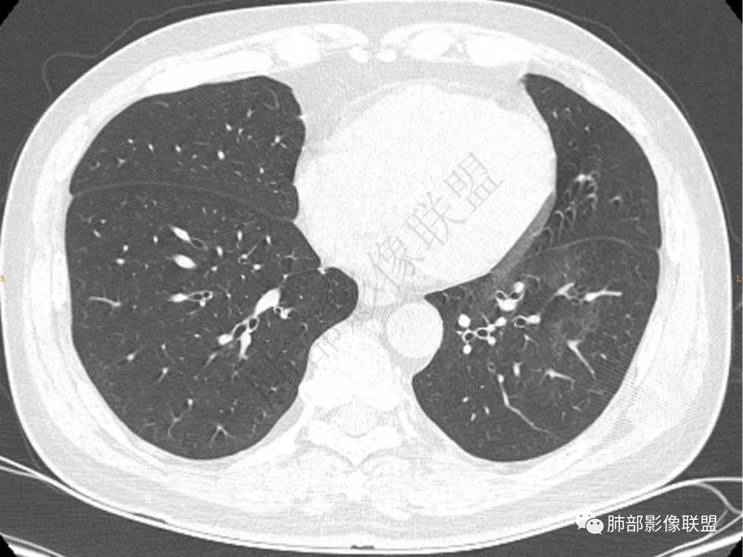
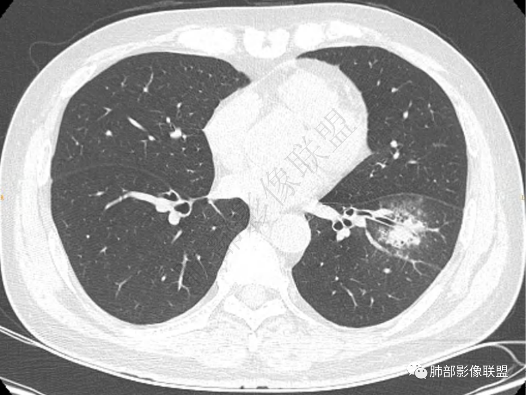
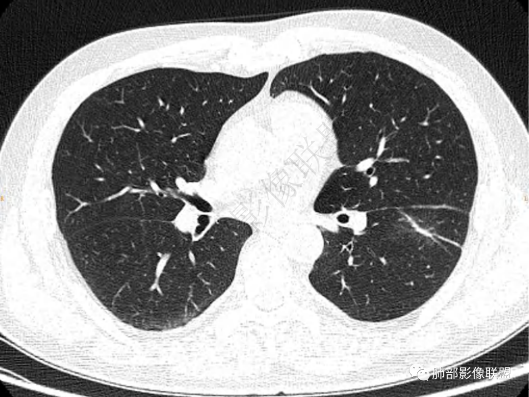
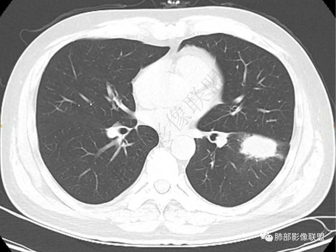
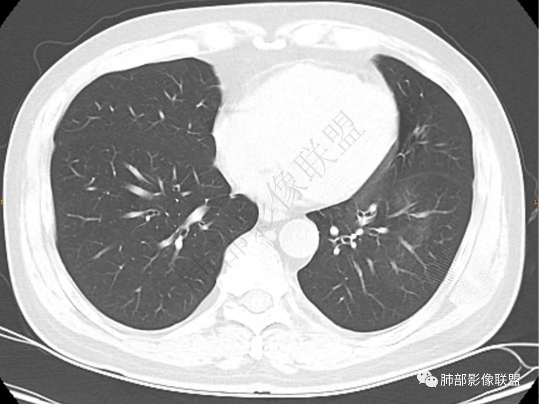
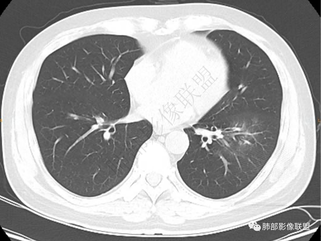
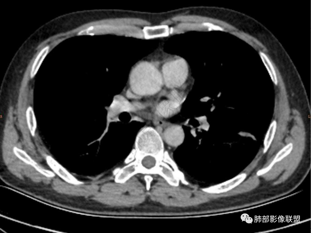
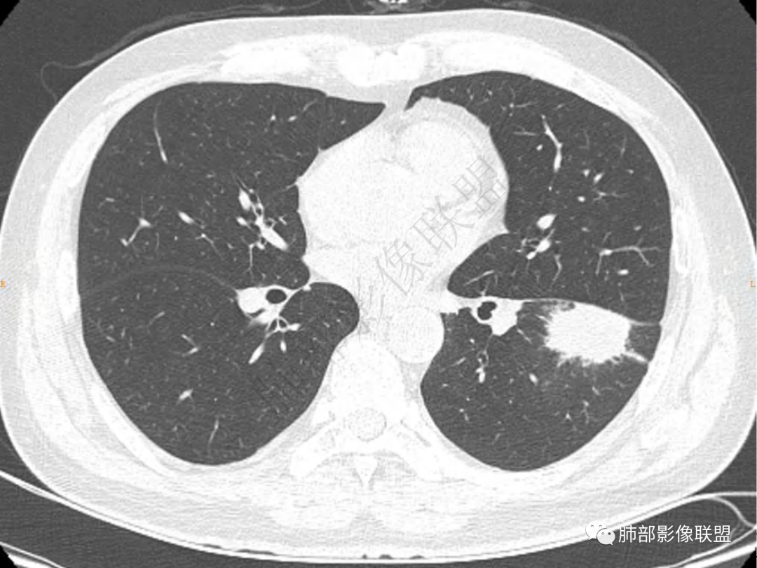
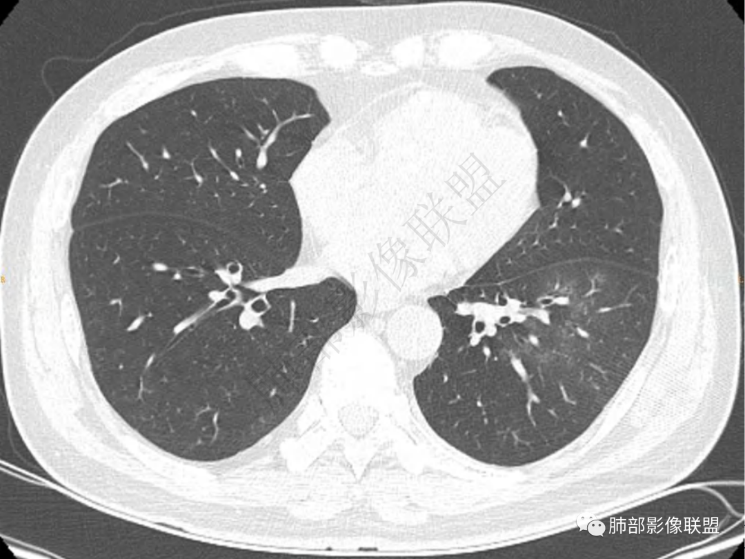
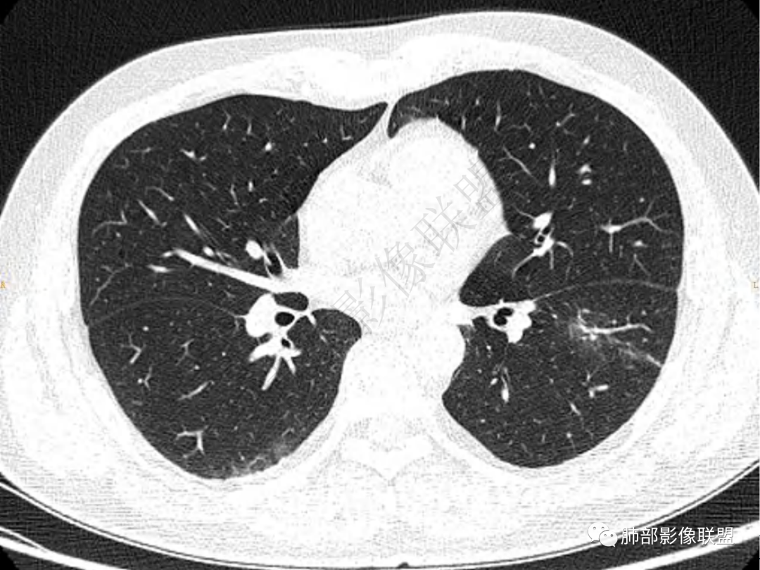
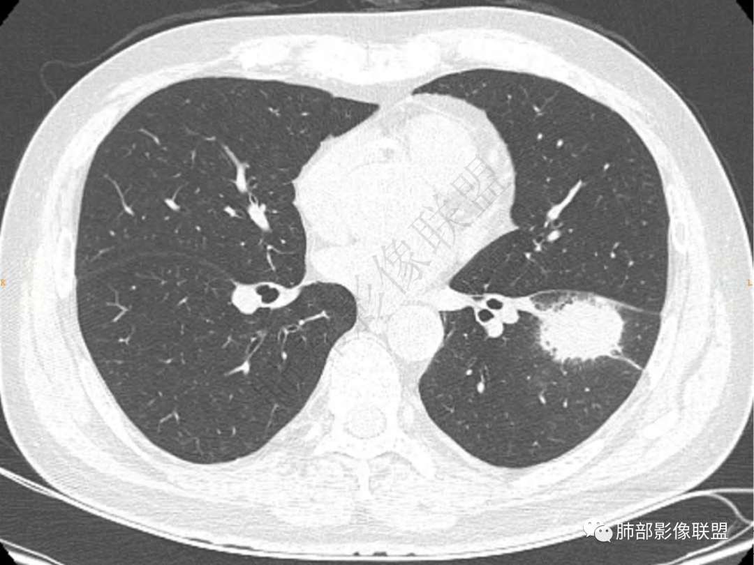
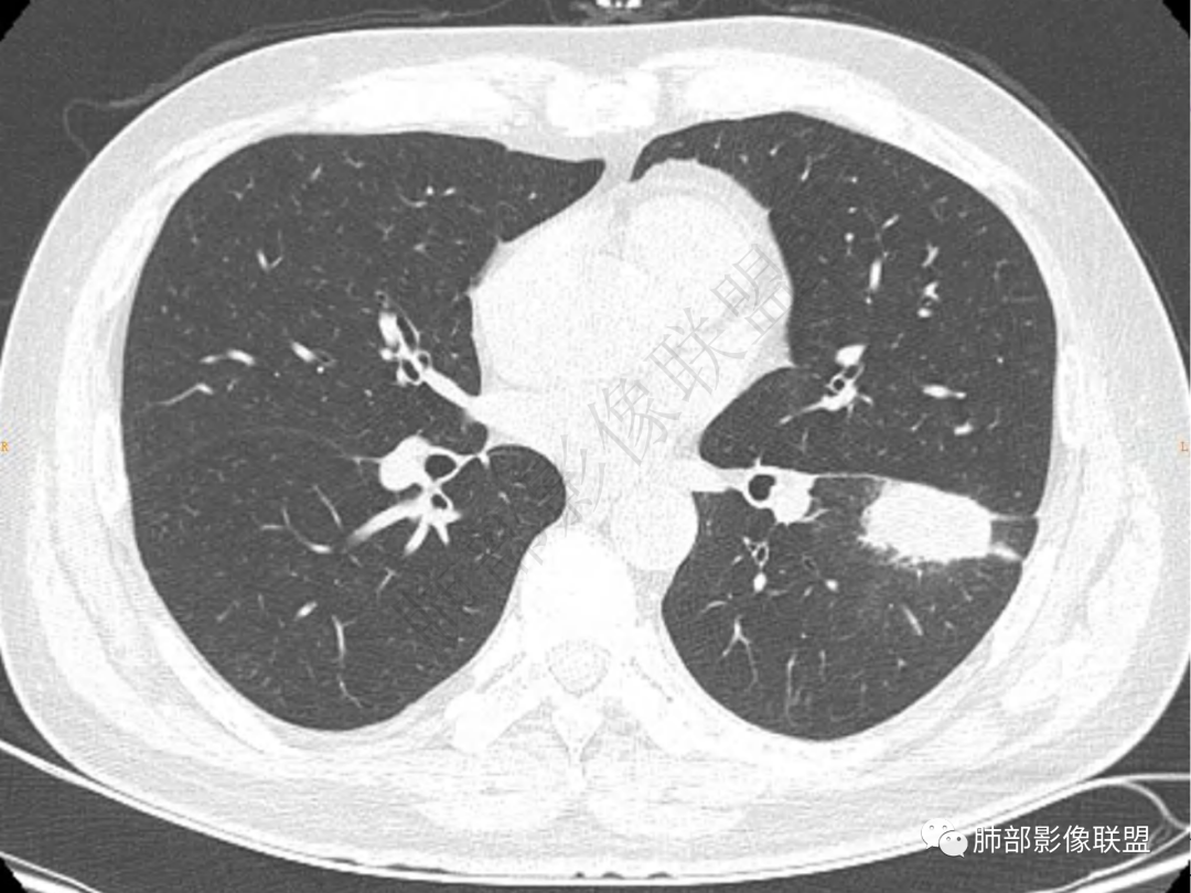
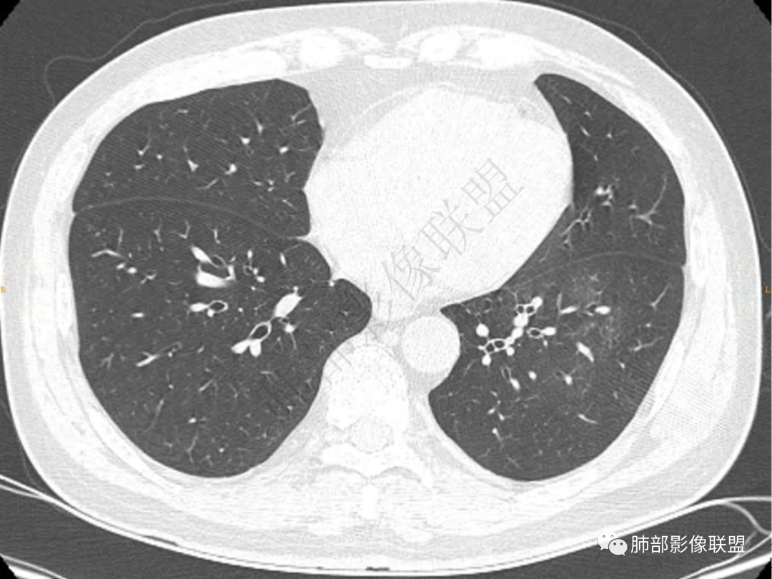
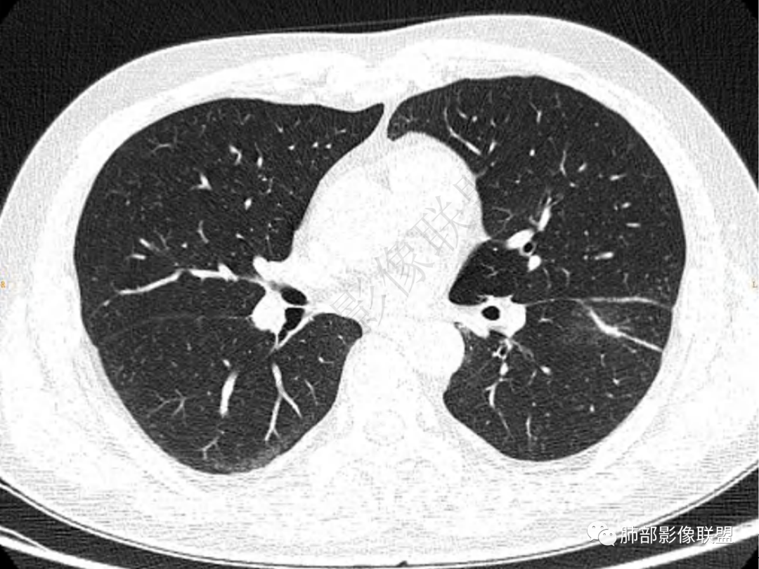
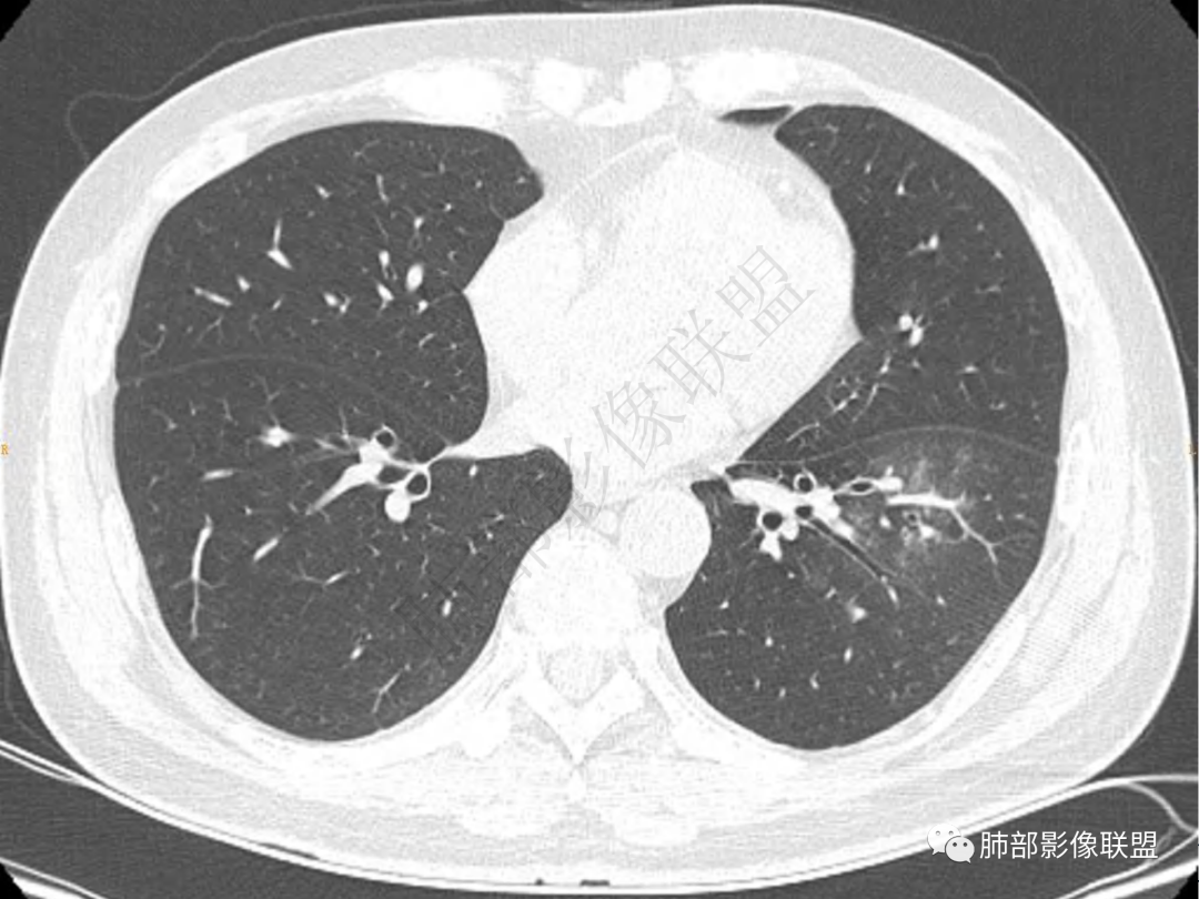
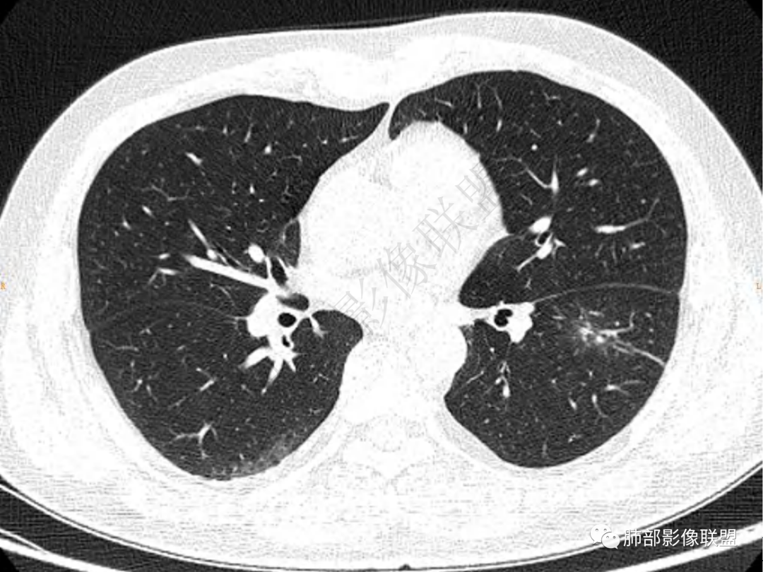
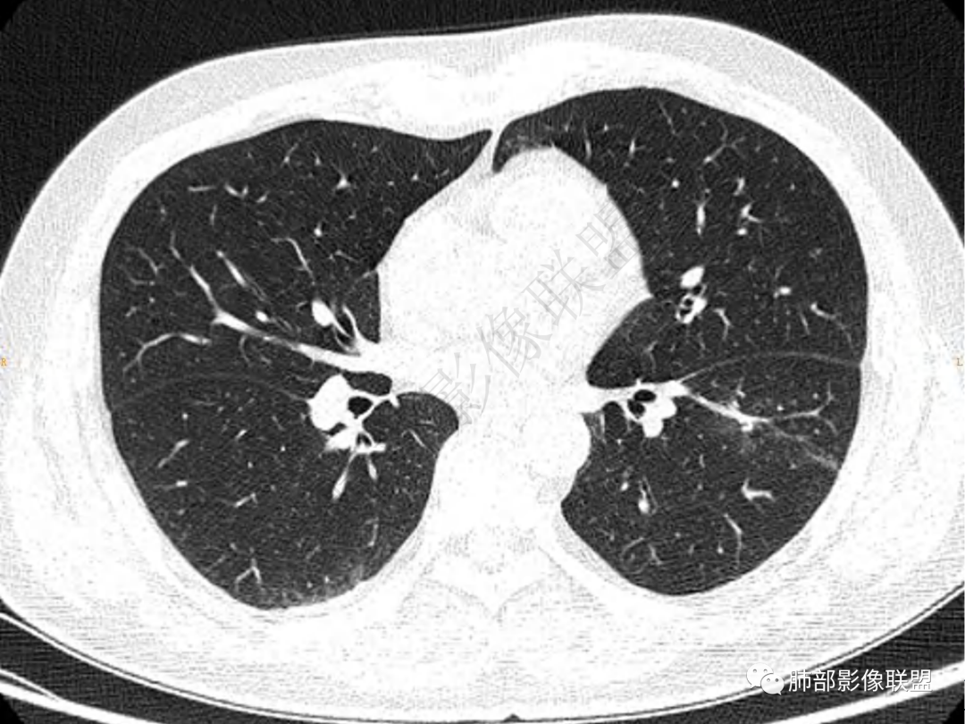
2.左肺下叶团片影,跨背段及内前基底段,实性部分类椭圆形,密度不甚均匀,可见毛刺及棘状突起,未见典型分叶及胸膜凹陷。病灶上下缘可见相应肺段支气管旁进侧出,管壁轻度增厚,未见狭窄阻塞。
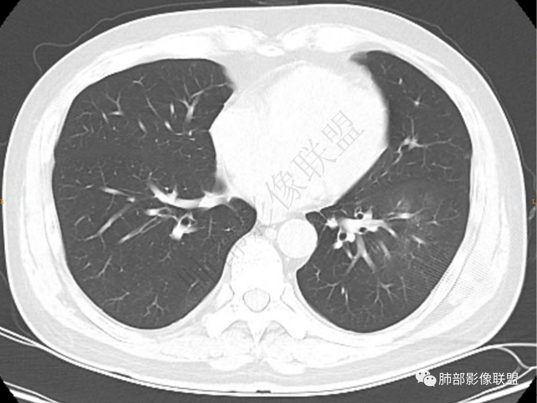
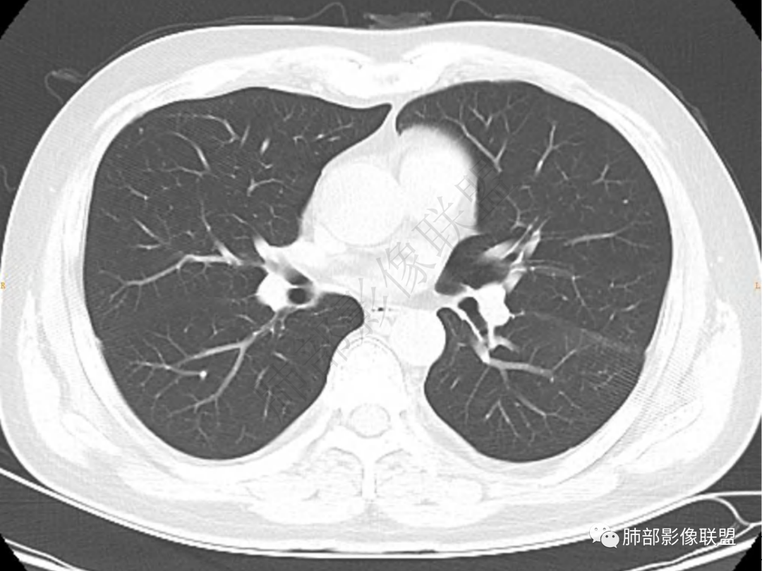
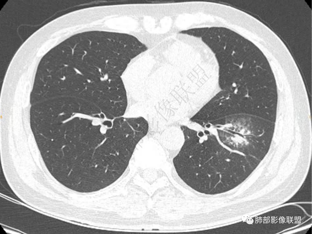
3.周边较大范围磨玻璃影,边界相当模糊,小叶增厚明显。注意叶裂另一侧、左肺舌段亦可见磨玻璃影及增厚的小叶间隔。未见明确卫星病灶。
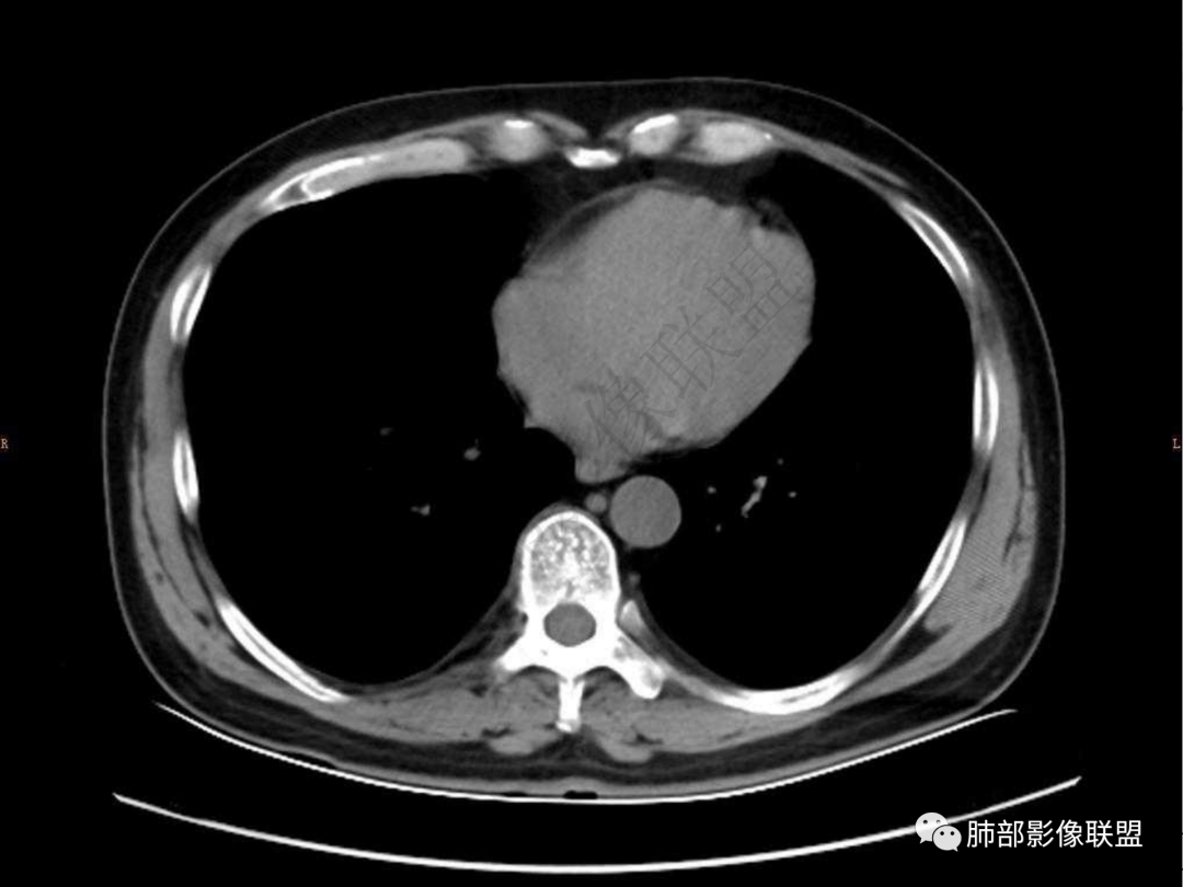
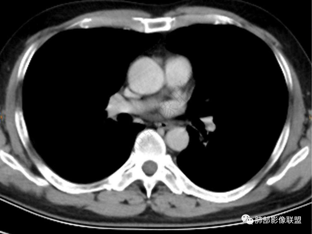
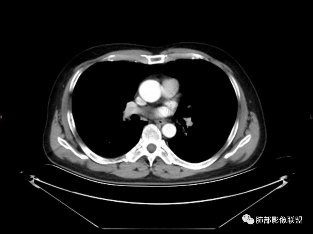
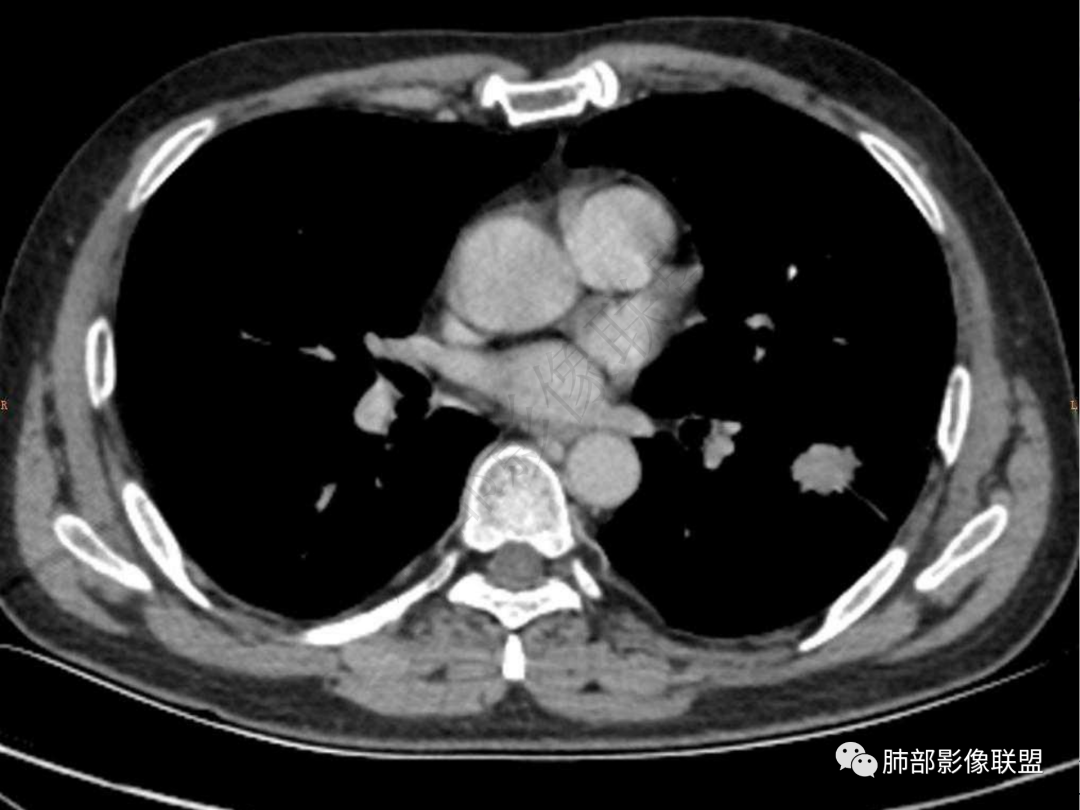
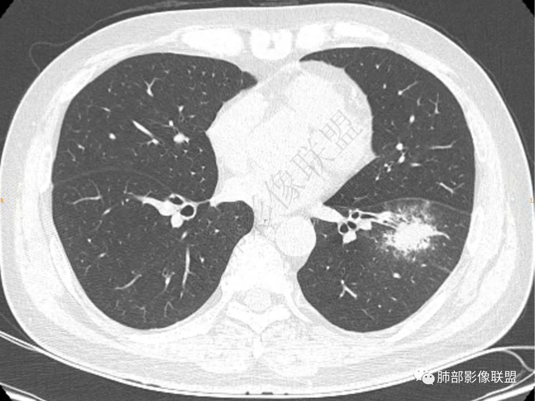
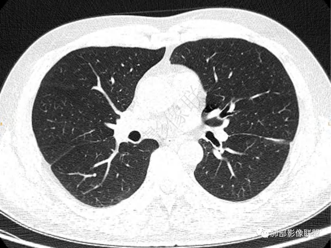
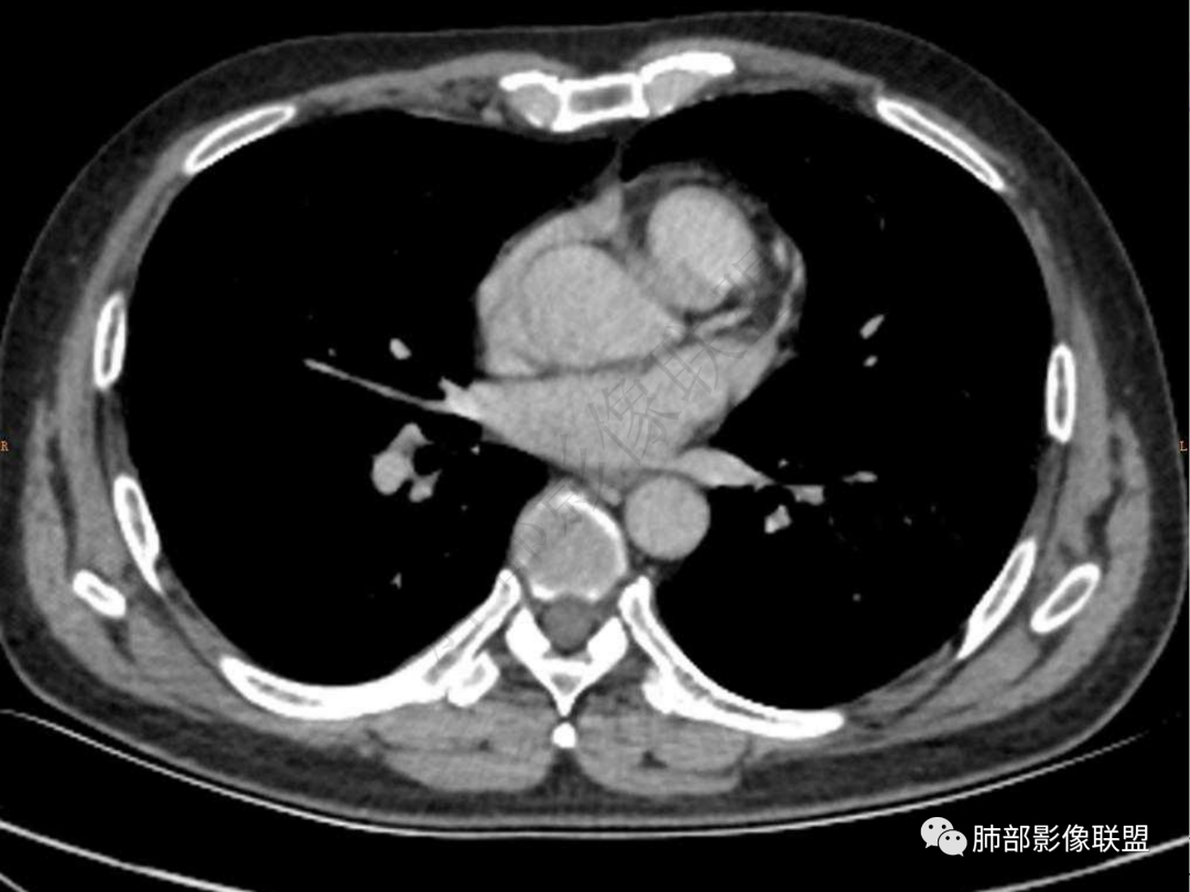
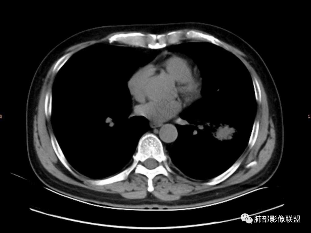
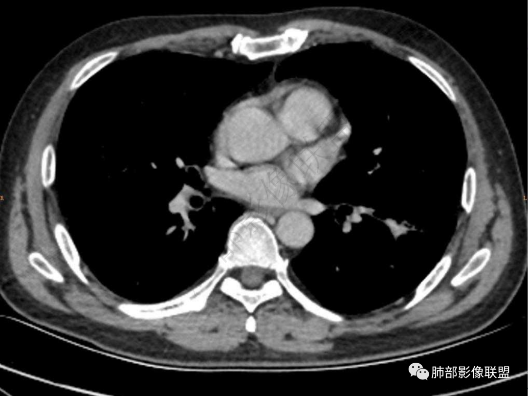
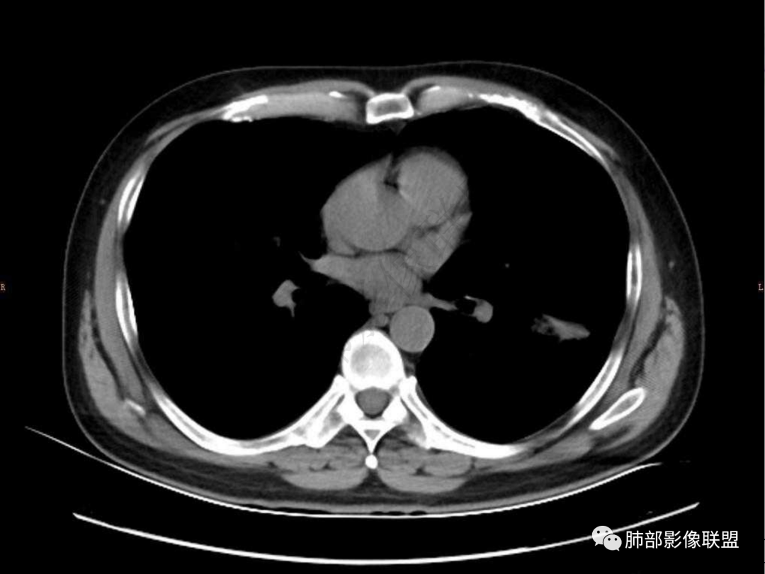
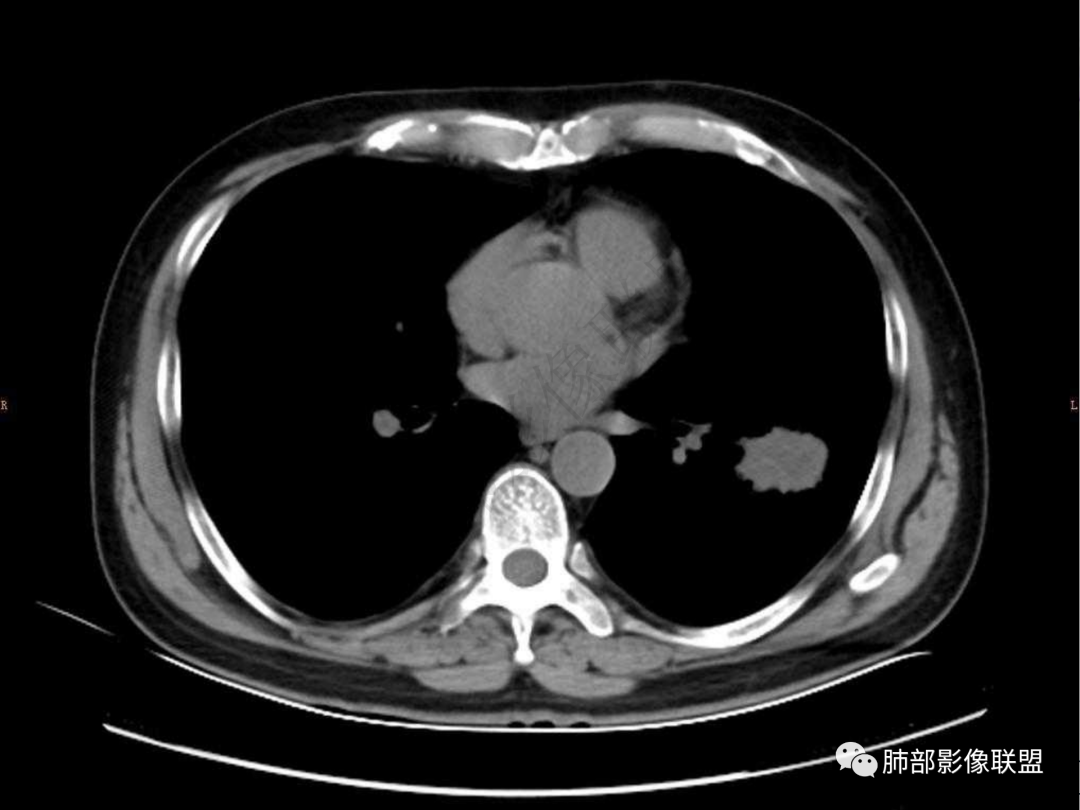
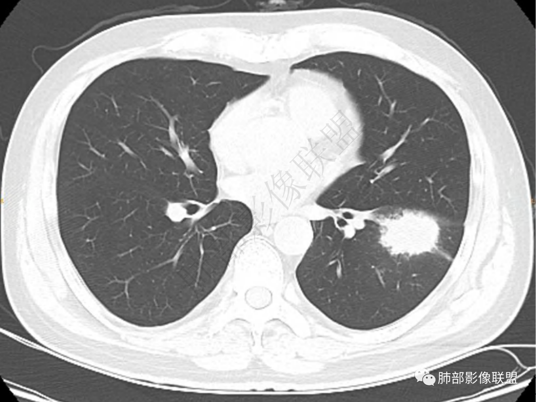
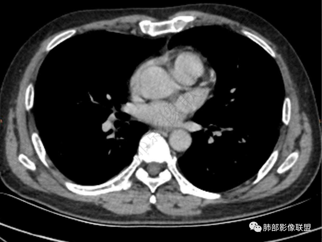
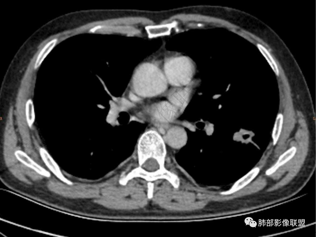
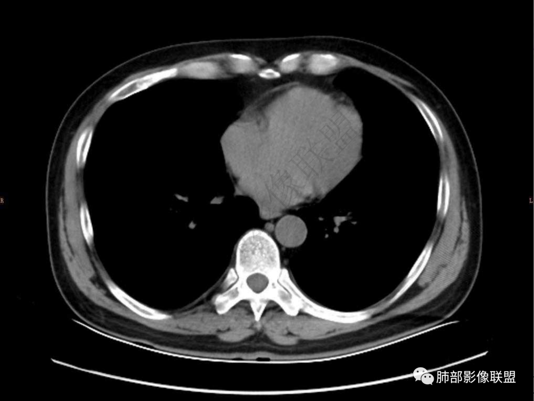
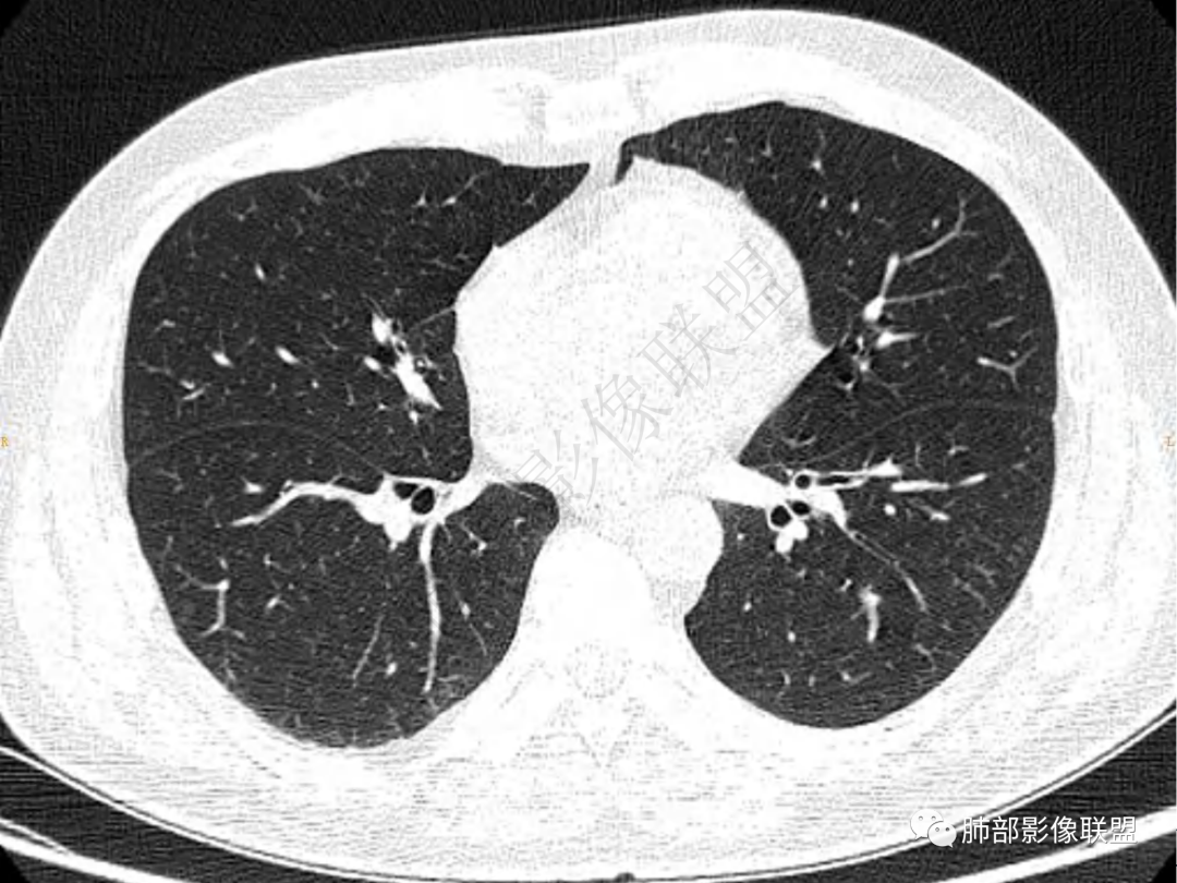
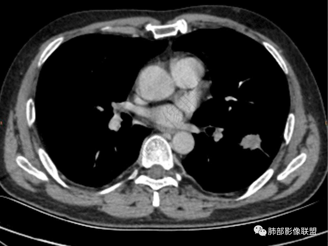
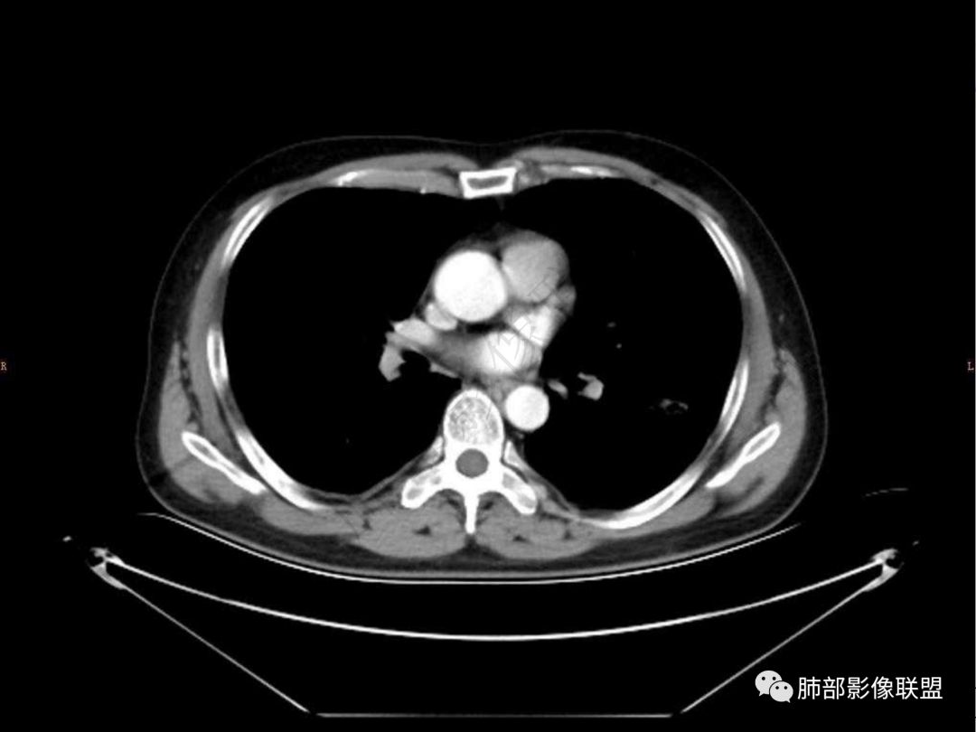
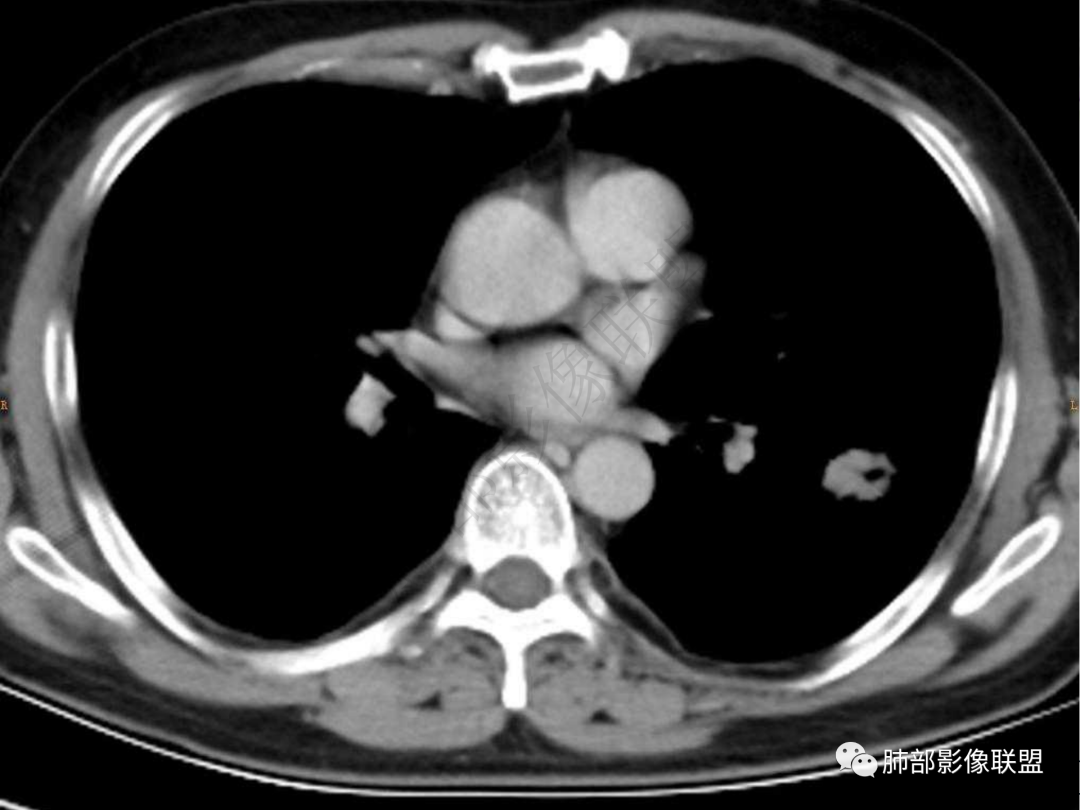
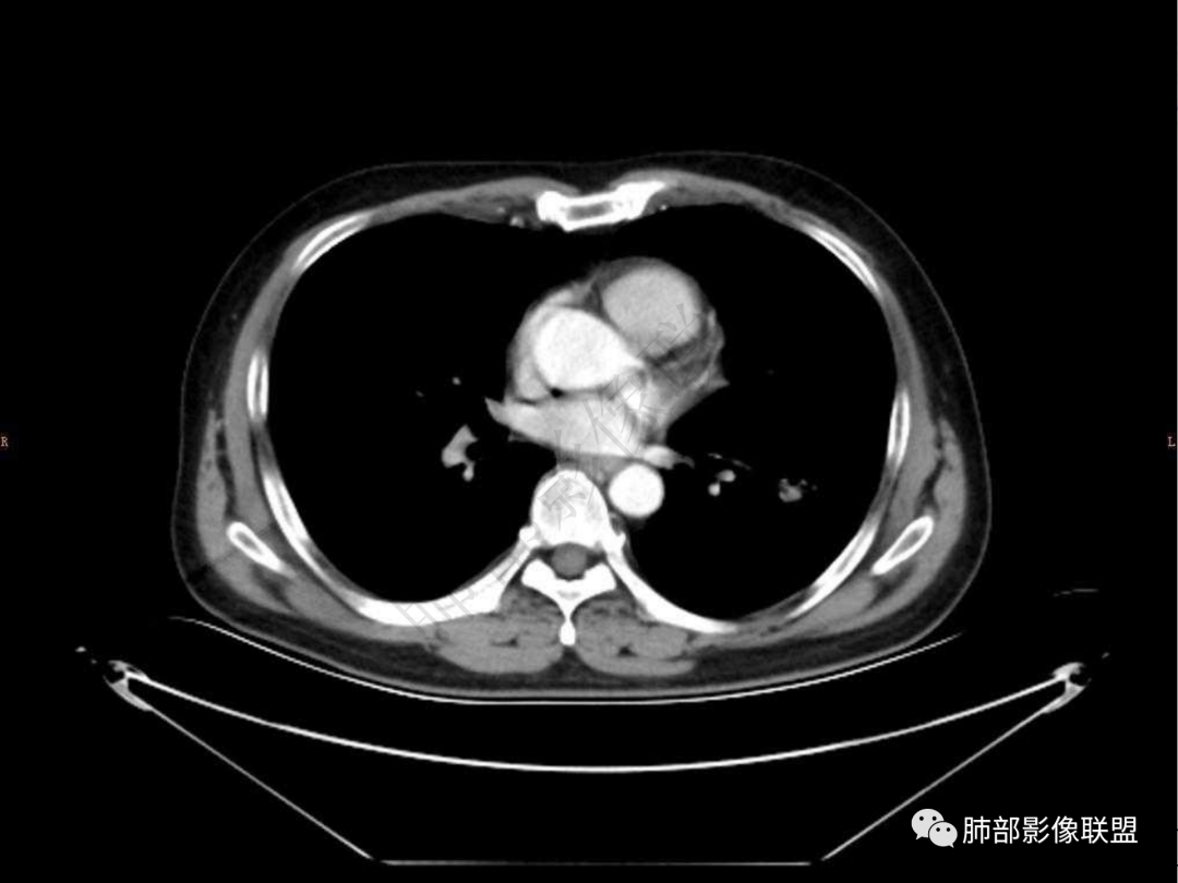
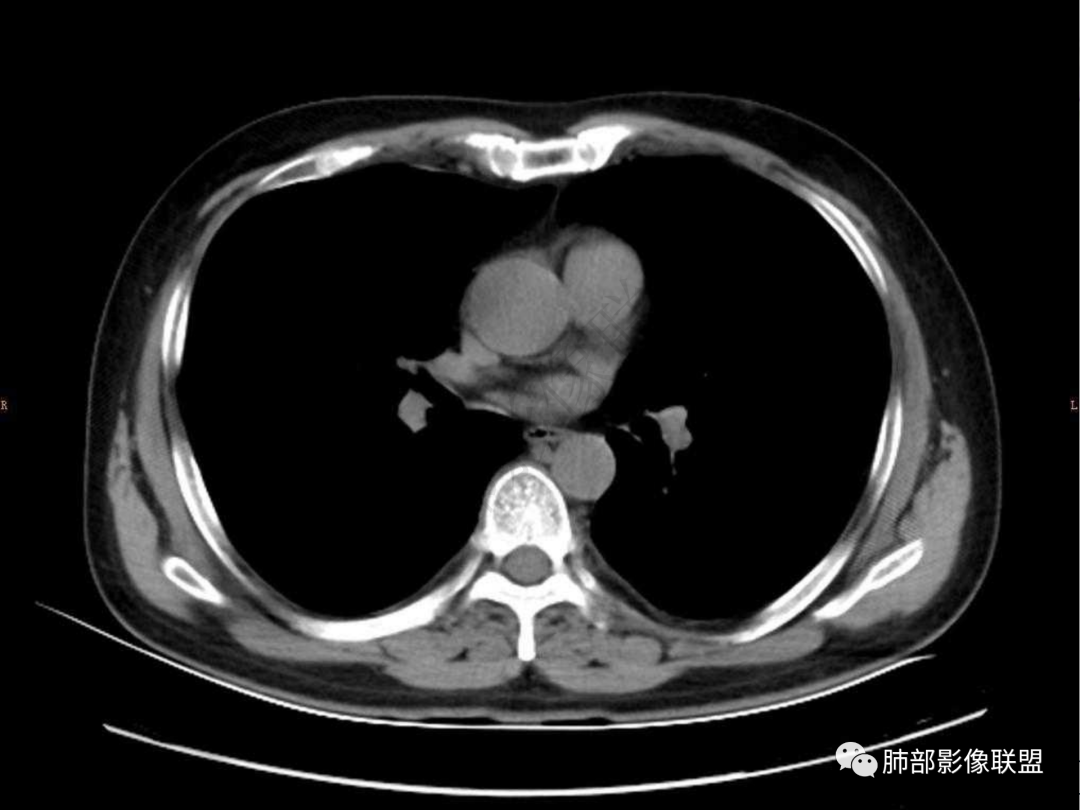
4.实性部分不均匀环形强化并显示一小范围低密度坏死区或空洞。较之肺窗,整体纵隔窗范围较小,提示病灶并不十分密实。抑或为不同时段图像。
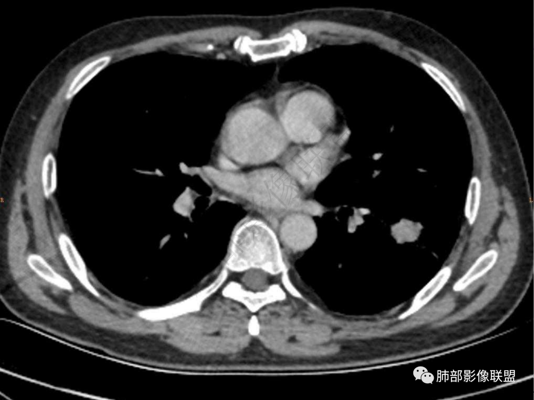
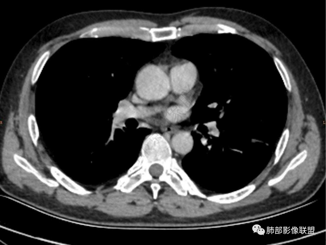
5.双肺门及纵隔未见增大淋巴结。未见胸腔积液。
综合分析:
1.病灶不够密实,没有典型分叶,收缩乏力等,支气管未见截断等,缺乏一般肿瘤性肿块特征。
2.周围磨玻璃影边界不清缺乏限制,甚至“激惹”到相邻肺叶,也许提示较明显的炎性水肿。
正如多数老师分析到的,本例病灶炎性特点比较明显。

诊断炎性病变肺脓肿的知识要点
一、与胸膜关系:
肺脓肿:可宽基底与胸膜相连,附近胸膜增厚——炎性特点
二、形态、边缘:
肺脓肿:边界模糊不清,或者块影为类圆形,无明显分叶,边缘平直为主,刀切征——炎性特点三、病灶周围特点:肺脓肿:病灶非远端有片状GGO——炎性特点四、近端支气管阻塞:肺脓肿:常有引流支气管伴管壁增厚或者支气管沿洞壁走行。五:坏死壁:肺脓肿:大多壁厚,少数壁薄,没有壁结节,内壁清楚光整——炎性特点
六:增强扫描:
肺脓肿:环形强化,强化较显著。如出现明显囊壁样强化甚至边缘“憩室”样突出,高度支持肺脓肿。

编辑:许慧良 蔡笑燕
审核:徐  晓

到顶部