【每日晨读】一例不吸烟女性发生的小细胞肺癌




每日晨读





一、病例资料





































二、微信群精彩讨论

一切∮随缘:
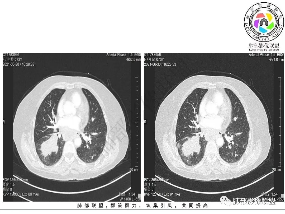
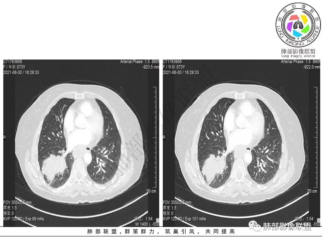
右肺下叶指套样高密度影,边界清楚,形态欠规则,累积多个叶段,平扫密度均匀,增强扫描不均匀强化,后纵隔淋巴结肿大,淋巴结内可见不均匀坏死,强化,女性,73岁,无实验室指标,考虑恶性:腺癌,鳞癌?神经内分泌癌(大细胞?),淋巴上皮瘤样癌。加一个转移瘤。
Kirin 9000:
右肺下叶不规则形肿块,密度不均,轻度强化,纵隔肺门肿大淋巴结,里面血管好像破坏了,考虑恶性,鳞癌?鉴别结核。
良孑:
右下肺肿块,多发浅分叶呈锯齿状,有指样突起和胸膜牵拉,不均匀强化,肿块内血管增粗模糊,后纵隔淋巴结肿大坏死融合呈冰冻状,定性恶性,低分化腺癌>小细胞肺癌。
滕翔:
老年女性,有桶状胸,长期吸烟?右肺下叶占位并纵膈7组,肺门10组淋巴结明显肿大融合,有不均匀性强化,肺内可见下叶支气管外压性狭窄,管腔近段感觉支气管没有影响,整体病灶成支气管走形,边界清楚,考虑恶性可能性大,小?
李斌:
考虑小细,纵膈及右侧肺门淋巴结肿大并左下肺小叶间隔增厚,提示周围及中央淋巴管转移,左心房及左下肺静脉受累。
位移:
右肺下叶不规则肿块,纵隔及右侧肺门淋巴结肿大,不均匀强化,见坏死,考虑恶性,小细胞癌或鳞癌。
尘缘:
肺癌伴纵隔淋巴结转移,小、低腺、复合性癌都可能,没有一锤定音的支持表现,所以,反正已经没法手术,都会支气管镜或EBUS取活检后才会确定治疗方案,我就懒得猜具体的病理类型了。
黄精燕:
强化不明显,纵膈淋巴结肿大融合,考虑小,鉴别腺癌
尘缘:
@洪桥爱 湘西自治州人民医院感染科 今天这个真不好猜。小可以,低腺可以,腺鳞复合癌可以,肉瘤样癌可以,复合性小细胞癌也可以。不管最后结果是哪一个,这影像表现都有符合的地方。这种就算平时写报告,也不敢轻易去说病理是什么,所以强行猜测也没啥意义了。
peek_knight:
右肺下叶占位,形态不规则,有分叶毛刺,不均匀性强化,纵隔内肿大淋巴结,考虑恶性肿瘤,小细胞癌,腺癌可能。
周宇元-九江学院附属医院影像科:
老年女性,右肺下叶占位,右肺门纵隔多发结节,部分环形强化,考虑恶性肿瘤,腺癌,神经内分泌肿瘤可能。
?? 玫:
女,73岁,右肺下叶不规则形软组织密度肿块影,边界清晰,密度均匀,边缘见深分叶及细短毛刺,病灶旁另见实性结节影,增强扫描,病灶呈不均匀性强化,纵隔内见肿大淋巴结,考虑恶性病变,小细胞癌,鳞癌可能。
飞鹰行动:
老年女性,右肺下叶不规则高密度影,边界清楚,右肺下叶背段支气管阻塞,增强病灶不均匀强化,后纵隔淋巴结肿大 强化,考虑恶性病变,鳞癌,腺癌,神经内分泌癌,复合癌。
洪桥爱:
右下肺恶性肿瘤并纵隔淋巴结转移,坏死不明显,鳞癌似乎不支持;如此肺内肿瘤,没有出现“冰冻纵隔”,小细胞似乎不符;近端支气管有堵塞(不是很确定),腺癌似乎也不是很支持;肿瘤沿支气管生长并破坏支气管,纵隔内淋巴转移,猜一个不典型类癌。
红星:
老年患者,右肺下叶分叶状的肿块影,支气管变窄,内密度欠均,强化不均,血管包埋,纵隔内淋巴结增大融合并出现斑片状的坏死。考虑恶性占位。倾向于中央型的肺癌,鳞癌或者小细胞癌、类癌。
王崇军:
右肺下叶后外支气管闭塞,前,内支气管通畅。后外基地段一不规则性肿块影,外侧大,内侧小,符合肿块? 不张的特点,增强中心有坏死,边界不清,纵隔淋巴结肿大,内有坏死,老年男性,考虑恶性,中心性肺癌伴肺不张,鳞癌可能。
放射小白:
右肺下叶指套样高密度影,边界清楚,形态欠规则,累积多个叶段,平扫密度均匀,增强扫描不均匀强化,肺门及气管隆突淋巴结肿大,淋巴结内可见不均匀坏死,强化,定性恶性,首先考虑小细胞肺癌,其次肺腺癌、肺粘液腺癌。
丽:
右肺下叶团块影,向支气管腔内突入,致支气管腔变窄,边缘膨隆,增强后不均匀强化。纵隔及右肺门多发肿大淋巴结,部分坏死,考虑恶性,小细胞肺癌,鉴别腺癌,鳞癌
食客:
右肺下叶不规则肿块,右肺下叶支气管闭塞,不均匀强化,纵隔淋巴结肿大, 坏死,考虑恶性病变,鳞癌。鉴别腺癌,小细胞肺癌,
陈学君:
右肺下叶段支气管狭窄,后外基地段一不规则性肿块影,增强有坏死,边界不清,纵隔淋巴结肿大、有坏死,老年男性,考虑恶性,鳞癌可能。
放射 小医生:
晨读病例:右肺下叶不规则软组织密度肿块,边界清楚,外围膨大,支气管近端似指套样,强化不均匀,内见坏死,边界模糊,纵隔淋巴结增大,考虑恶性,鳞癌?小细胞癌?
采莲:
老年女性,右肺下叶肿块,沿支气管走形长条状,边缘膨隆有分叶,周围毛刺不明显,纵隔淋巴结肿大,强化弱,CEA不高,考虑肺癌,小细胞肺癌或鳞癌可能。
看图说话:
右肺下叶不规则肿块,边界清晰,密度欠均匀,分叶毛刺,粘液栓,病灶不均匀性强化,纵隔内见肿大淋巴结,考虑恶性病变,小细胞癌,鳞癌可能,鉴别结核。
张延军:
老年女性,右肺下叶沿支气管走形肿块,背段支气管阻塞,密度不均,7区及肺门肿大淋巴结,前者侵及左心房,考虑恶性,小细胞?鳞癌?
Lenle董:
右肺下叶不规则高密度影,边界膨隆,支气管阻塞,增强病灶不均匀强化,纵隔内淋巴结肿大,考虑恶性病变,鳞癌,鉴别;腺癌,小细胞癌
宇宙:
老年女性,右肺下叶不规则肿块,分叶,沿支气管血管束生长,强化弱,纵隔淋巴结肿大伴坏死,考虑小细胞癌,鳞癌
谢加平:
右肺下叶大肿块,,背段支气管边缘阻断,实性密度,不均匀强化,胸膜下栽赃,气管隆突下淋巴结肿大,方向肺ca,肿块鸭蹼状,收缩力弱,小细胞Ca可能性大。
了:
右肺下叶背段及基地段肿块影,远处磨玻璃影,考虑阻塞性肺炎,边缘清楚,深分叶,支气管内可见结节,纵隔淋巴结肿大,不均匀强化,胸膜有侵犯,考虑恶性
许慧良:
老年女性患者,咳嗽两月,胸部CT:肺气肿背景,右肺下叶背段实变密度影,右肺门及纵隔淋巴结肿大,增强扫描无明显强化,考虑癌,结核待排
Zhuweichao:
老年女性,右肺下叶不规则肿块,分叶,沿支气管血管束生长,不均匀强化,纵隔淋巴结肿大伴坏死,考虑小细胞癌,不典型类癌。
红日东升:
老年女性,右肺下叶不规则肿块,右肺下叶支气管闭塞,不均匀强化,纵隔淋巴结肿大, 坏死,符合恶性,腺癌或混合小细胞癌
若晗:
右肺下叶病灶,隔淋巴结肿大,强化不明显,支气管堵塞,恶性是肯定的,病理类型倾向于小,鉴别腺
衡妈:
右肺下叶指套状占位性改变,增强后轻度强化,右肺门及气管隆突后方多发肿大淋巴结,坏死伴融合,考虑恶性肿瘤,小细胞肺癌,鉴别鳞癌,结核
小兜:
老年女性,右肺下叶不规则肿块,支气管进入后截断,呈指套样改变,增强扫描轻度强化,纵隔多发肿大淋巴结,融合伴坏死,考虑为恶性,小细胞肺癌可能
毛勤香:
纵隔淋巴结肿大明显,对邻近左心房有侵犯,右肺下叶肿块类指套征,定性恶性,右肺下叶肿块强化不明显,cea不高,猜小细胞癌或混合癌
周太狼:
老年女性,右肺下叶不规则形软组织密度肿块影,边界清晰,密度不均匀,分叶、毛刺,不均匀性强化,纵隔内肿大淋巴结影,考虑恶性,肺癌,小细胞>腺癌
月亮圆了!:
右肺下叶不规则高密度影,边界清楚,形态不规则,分叶,累积多个叶段,不均匀强化,后纵隔淋巴结肿大,淋巴结内可见坏死,考虑恶性肿瘤,肉瘤样癌。
蔣勝華:
老年女性,咳嗽2月,无发热,影像右肺下叶背段高密度影,阻塞,增强后不均匀强化。纵隔及右肺门多发肿大淋巴结,坏死,考虑恶性
琦遇:
右肺下叶背段以及下叶外后基底段支气管腔内占位性病灶,病灶远端可见轻度不完全阻塞性肺炎,病灶可见支气管进入,远端似有支气管气像,胸膜栽桩,增强后轻度不均匀强化,病灶内血管显示不清,隆突下淋巴结融合增大,大血管侵犯,强化似肺内病灶。考虑恶性 考虑范围:SCLC、鳞癌、腺癌、转移、腺样囊性癌、粘表、类癌 、恶性支气管鞘瘤、淋巴瘤等,考虑到老年女性 首先考虑低分化腺癌>腺样囊性癌>SCLC>鳞癌 >类癌   如果是男性 首先考虑SCLC  结核是妖 需要鉴别一下  淋巴结肿大融合、大血管侵犯、胸膜栽桩 都可以的 但是相对少见
飞杨:
右肺下叶团块影,呈指套样,边界清楚,形态不规则,支气管腔变窄,增强后不均匀强化。纵隔及右肺门多发肿大淋巴结,部分坏死,考虑恶性,小细胞肺癌,腺癌,鉴别鳞癌
琦遇:
如果只能选之一的话,考虑低分化腺癌!  不管是病灶内低强化、外向内发展趋势、胸膜栽桩、病灶内血管破坏、大血管侵犯、病灶内可见支气管气像,病灶边缘毛躁、老年女性就可以解释了
流心明智:
女,73,咳嗽2月。
胸部CT:桶胸,肺气肿背景,右下肺不规则肿块影,沿支气管血管束生长,边界较清,边缘毛糙、锯齿样,基底干支气管腔内隆起,部分支气管进入后堵塞。平扫密度较均匀,轻度强化,肿块内血管增粗模糊,7区淋巴结肿大明显,内见小片坏死,左房受侵,邻近胸膜增厚。考虑恶性,低分化腺?鳞?鉴别TB、PC等。
小锁:
老年女性,慢性咳嗽。
肿标阴性。
影像:右肺下叶楔形实变影,沿支气管血管树分布,边界清楚,部分支气管阻塞,增强病灶不均匀强化,后纵隔淋巴结肿大融合,不均匀强化,坏死边缘模糊,考虑恶性病变,鳞癌,神经内分泌癌,腺癌。

三、病理结果




四、回顾性分析病例
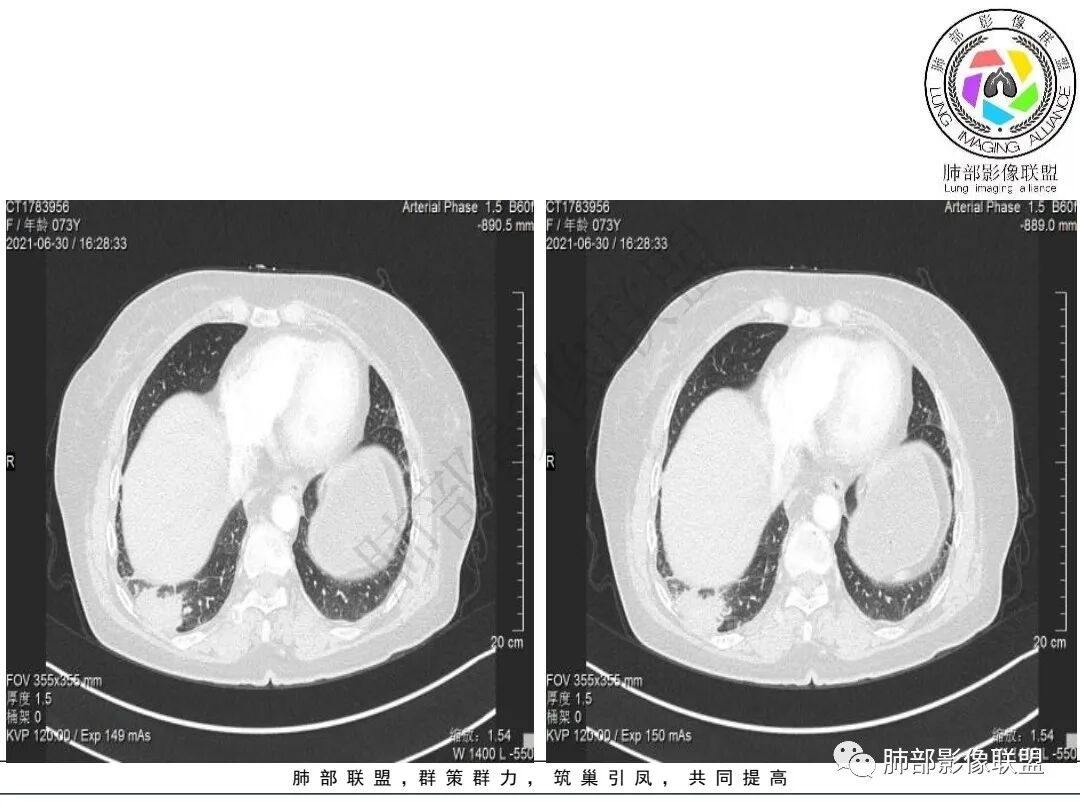
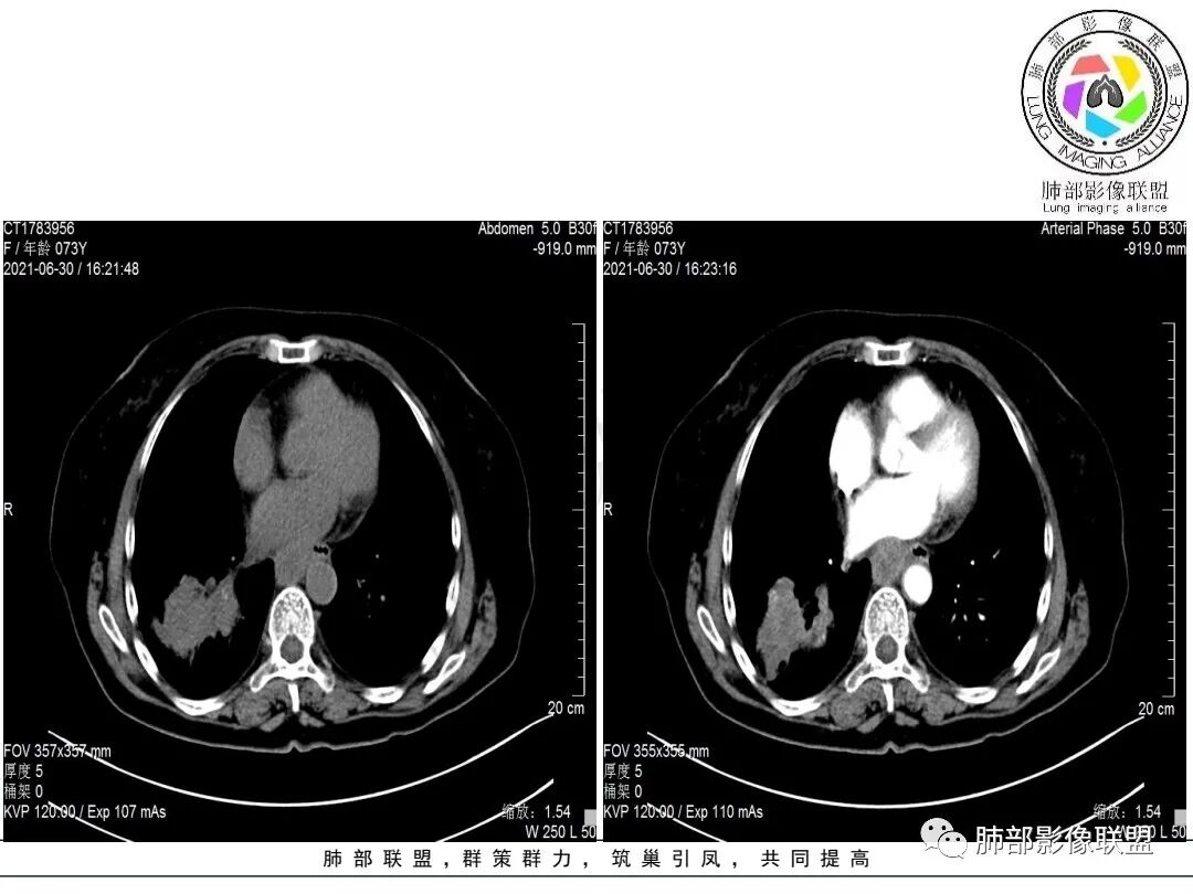
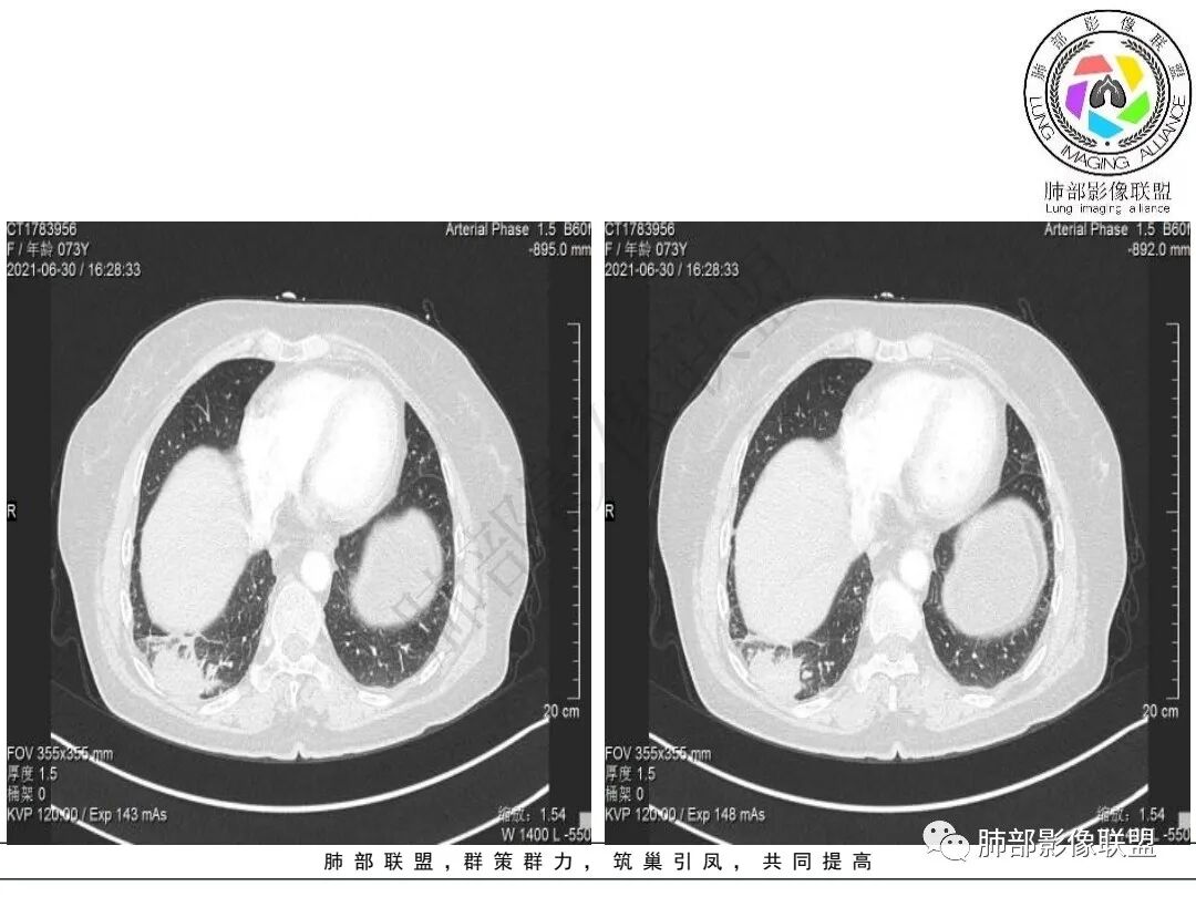
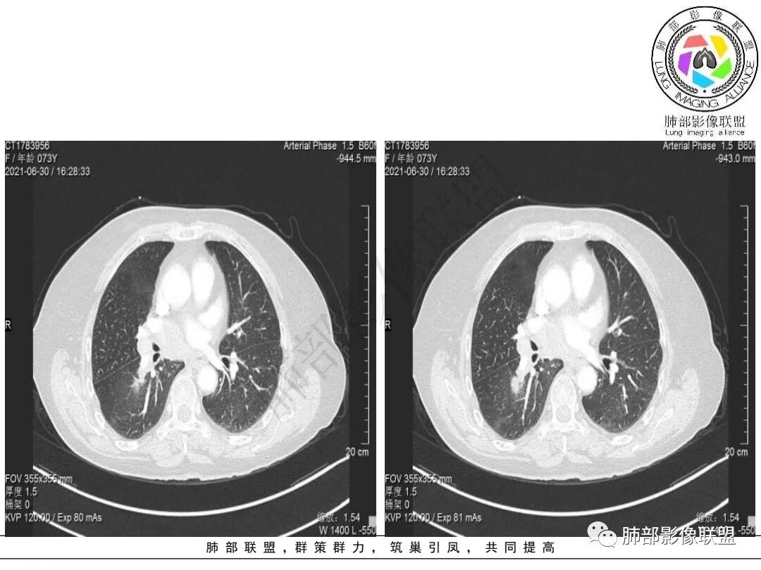
影像与临床:
1.老年女性,咳嗽两月。CEA,T-spot阴性。
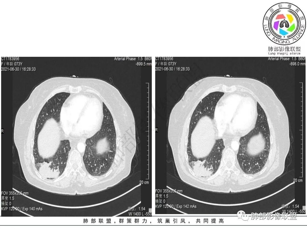
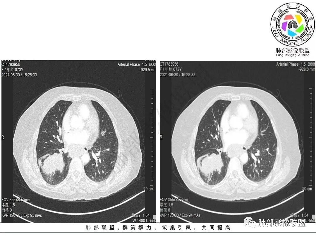
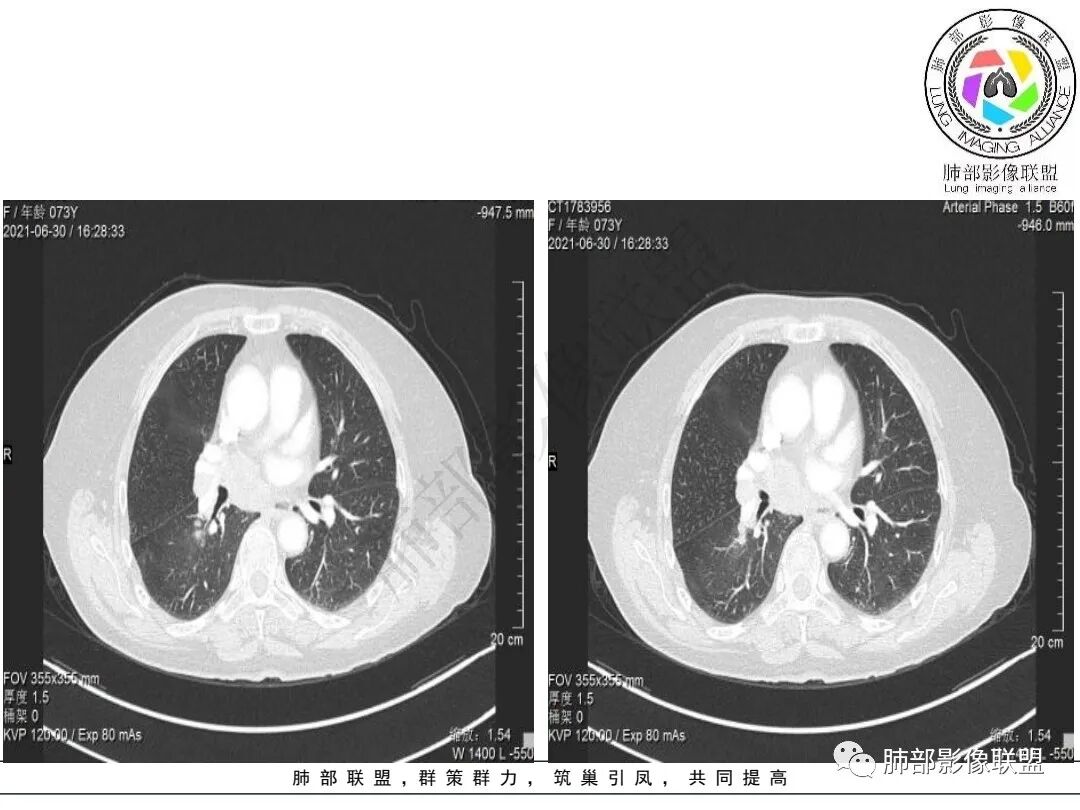
2.右肺下叶不规则实性密度块影,占据外后基底段及背段较大范围,可见轻度分叶、毛刺及棘状突起,未见明显胸膜牵拉及凹陷。
3.右肺下叶支气管轻度狭窄,病灶内见部分充气支气管征,外后基底段不能连续跟踪。
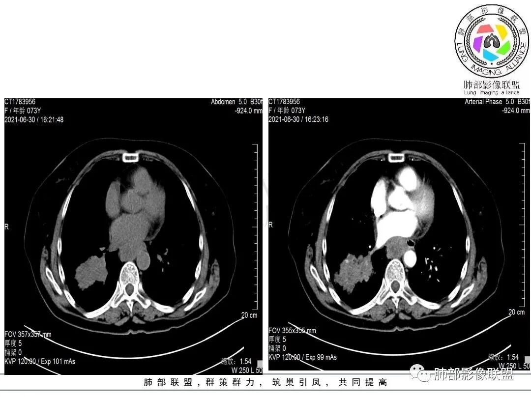
轻度不均匀强化,病灶内小血管显示不满意,未见明确坏死区。
4.右肺门及纵隔见多处增大淋巴结,不均匀环形强化,后下纵隔(隆突下)肿大淋巴结十分显眼!
综合分析:
1.老年女性,咳嗽两月。肺部明确块影,相应肺门及纵隔淋巴结肿大明显,怀疑肺部恶性肿瘤转移,影像学任务已基本。
2.有哪些倾向性?
1)女性不吸烟患者,病灶虽强化不显著,但未见大范围坏死或空洞,肺鳞癌的可能性较小。
2)块影收缩乏力,强化不显著,不是典型的肺腺癌影像学表现。
3)病灶强化不显著,支气管相关,纵隔淋巴结肿大明显,小细胞癌的可能性是比较大的。黄勇老师曾统计后下纵隔(隆突下)显著肿大淋巴结,小细胞癌占比相当高,临床实践也是如此。
4)应当排除的还有粘液表皮样癌、腺样囊性癌、淋巴上皮瘤样爱、混合癌等等……
编辑老师:雷  凤 蔡笑燕
审核老师:徐  晓



-END-

到顶部