【每日晨读】PSP与类癌之辩













































                                          讨论实录
一切∮随缘:
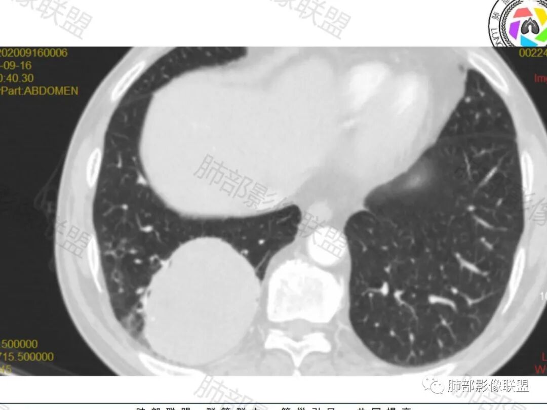
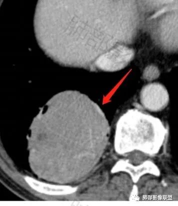
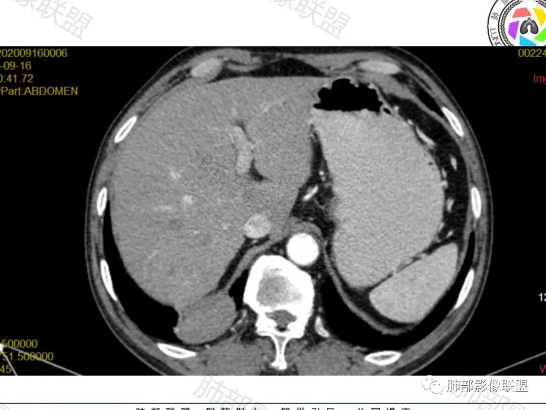
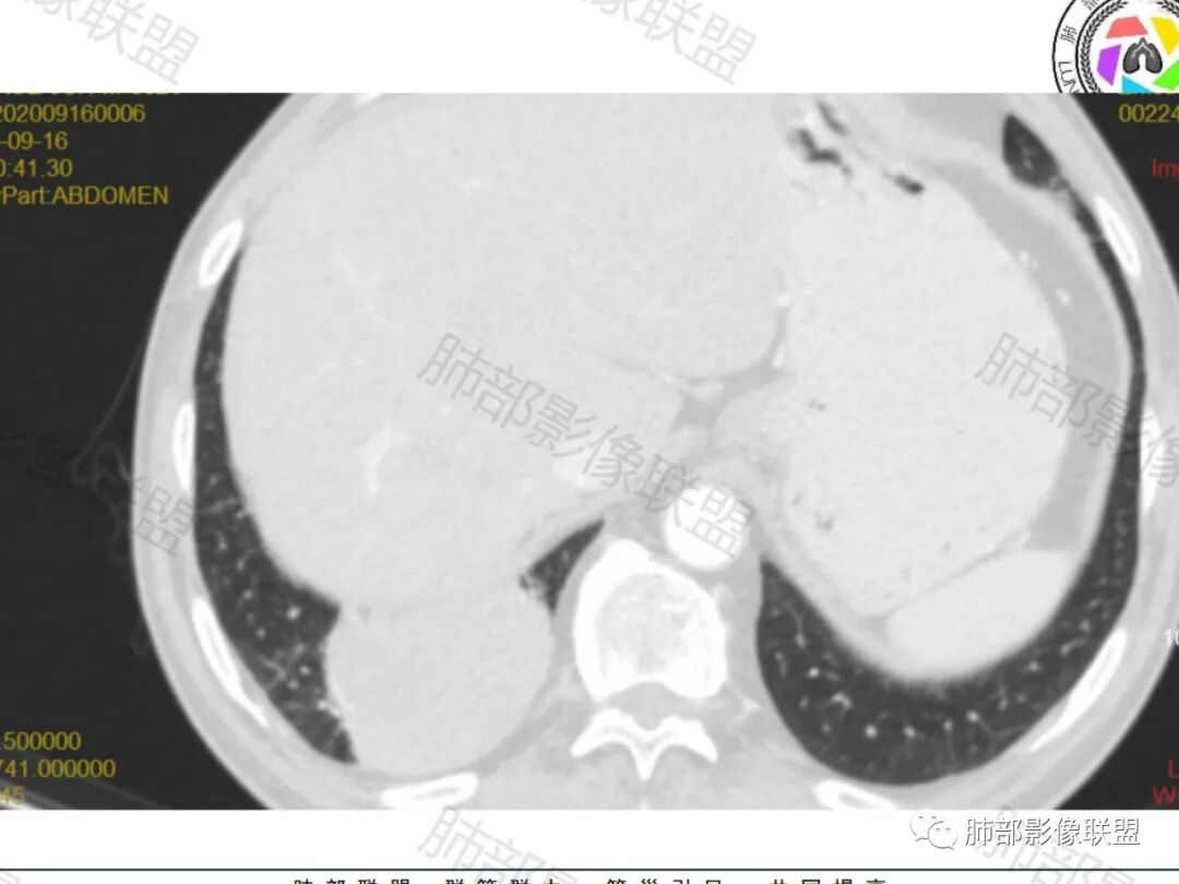
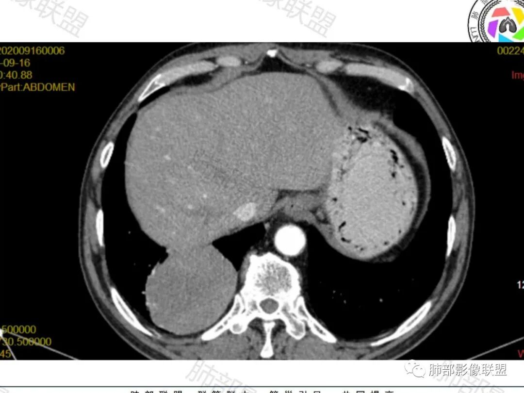
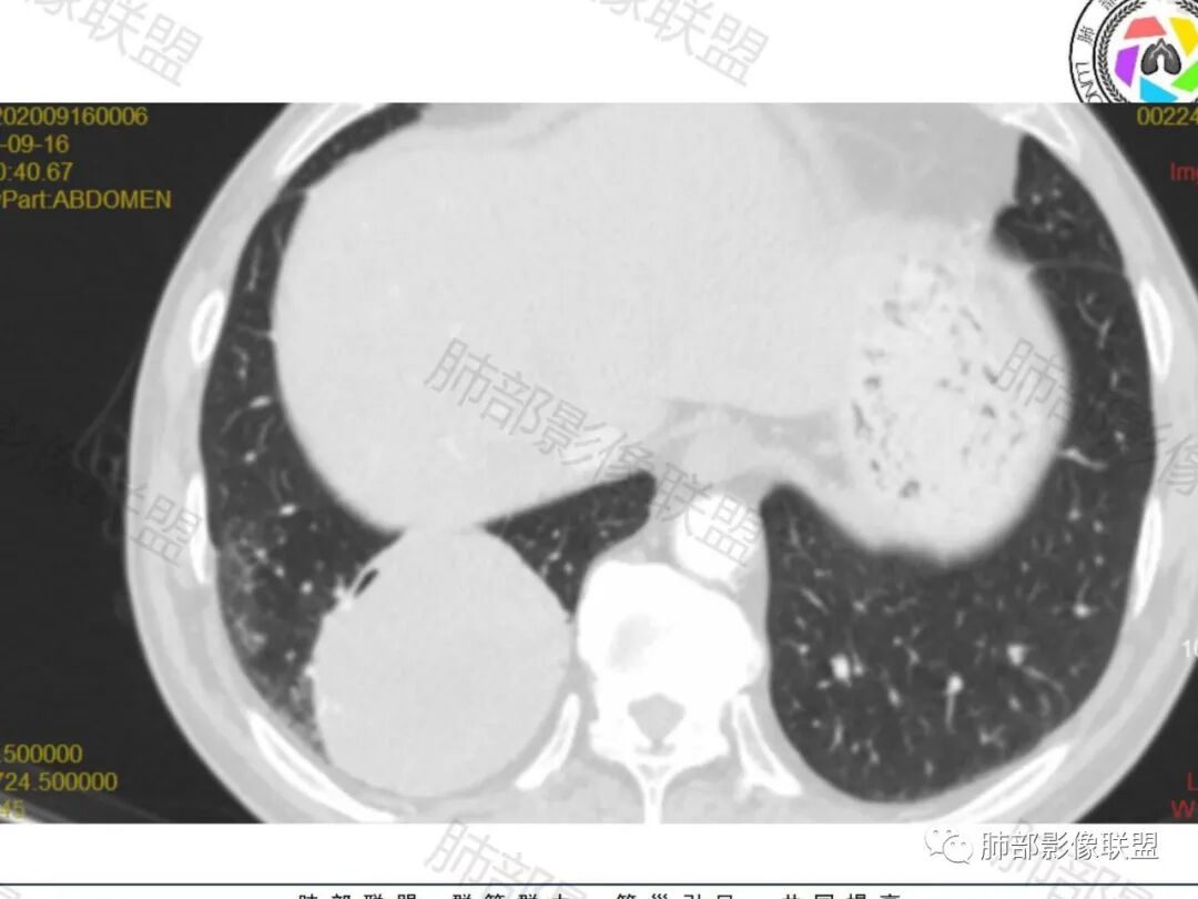
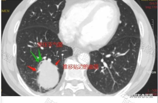
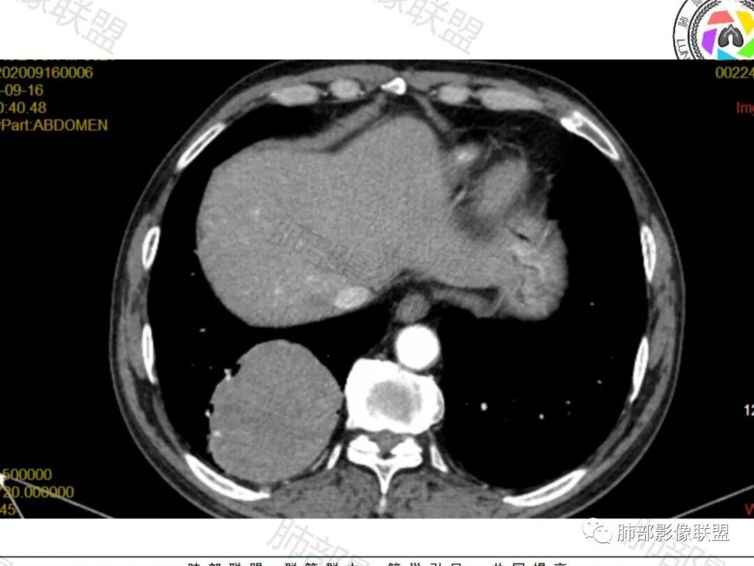
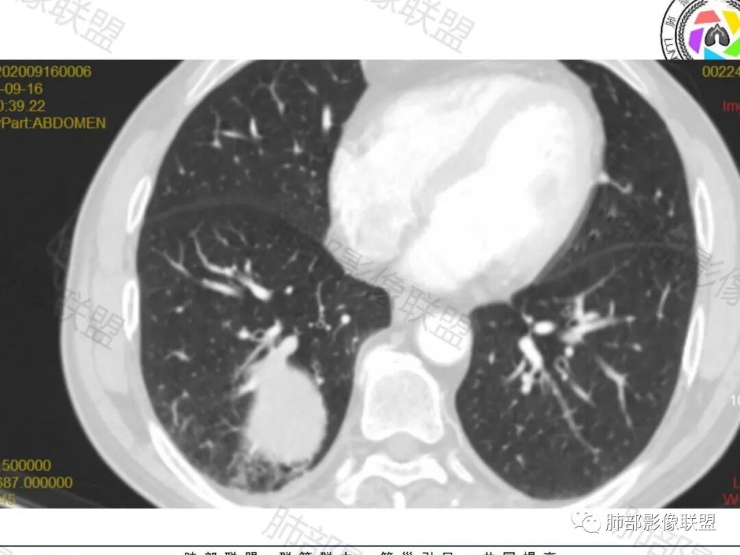
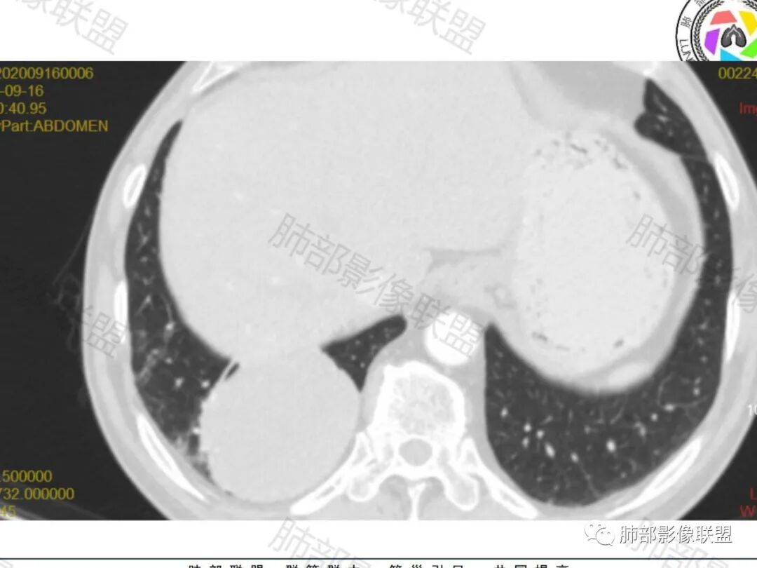
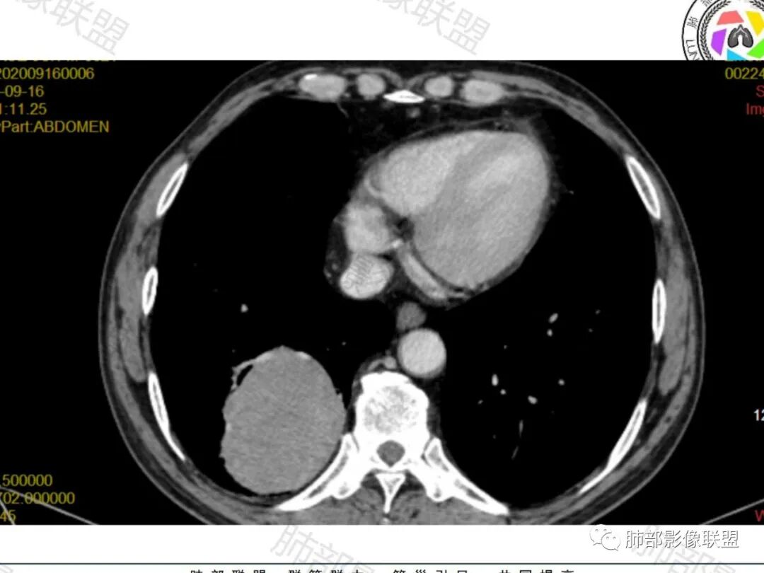
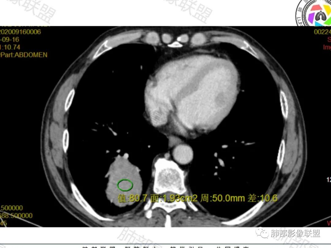
右肺下叶一类圆形肿块影,内缘边缘光滑,外缘边界模糊,可见磨玻璃影,整体以彭隆为主,部分边缘包绕支气管,平扫密度尚均匀,增强后不均匀强化,部分与膈肌黏连,临床,62岁男性,无症状,考虑恶性:腺癌,鳞癌,神经内分泌癌,肉瘤
飞鹰行动:
老年人,偶然发现,右肺下叶类圆形软组织占位,密度较均匀,病灶边缘光滑,无毛刺分叶,支气管血管受挤压向外移位,增强病灶强化较均匀。考虑恶性肿瘤,外向内生长,肉瘤,肉瘤样癌,癌肉瘤,其次神经内分泌癌。
春秋:
老年男性,右肺下叶软组织肿物,整体外形光整,周围组织推挤,可见血管贴边,貌似又有血管进入,整体强化均匀,考虑良性可能大,硬化性肺细胞瘤?鉴别sft
Yishion:
老年男性,偶然发现,说明平时没有症状,边缘光整,血管贴边,整体强化均匀,倾向于良性或者低度恶性(PSP?类癌?)
哦落花时节:
老年男性,肿瘤标志物高,右肺占位,边界清楚,内部密度均匀,坏死不明显,无明显分叶,血管贴边,考虑PSP,老年男性,肿块大,需鉴别恶性,肉瘤样癌?高分化鳞癌?
小兜:
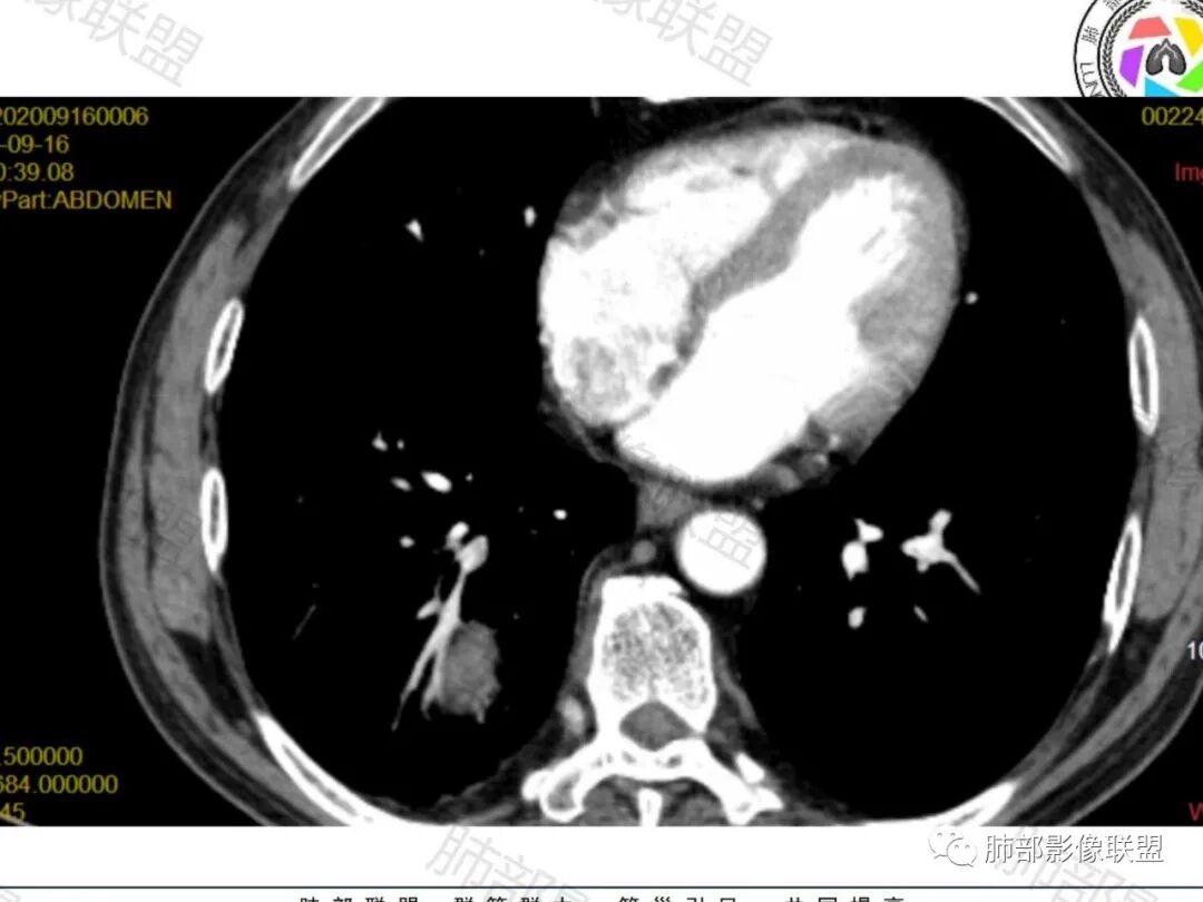
男性,62,胆结石入院胸部CT偶然发现占位。肿标稍增高,右肺下叶胸膜下肿块,边缘尚清,密度较均匀,增强明显强化,血管贴边,空气新月征?静脉期可见低强化区,首先考虑PSP,鉴别肉瘤样癌及神经内分泌肿瘤
王江涛:
老年男性,右肺下叶肿块,边缘光整,血管贴边,部分血管进入,整体强化尚均匀,考虑大细胞癌,鉴别PSP、SFT
王秀仙:
右肺下叶类圆形软组织肿块,病灶边缘光滑,无明显毛刺分叶,支气管受压推移,血管贴边,部分血管进入病灶,增强病灶强化不均匀,内可见低密度,病灶与右侧膈肌分界不清,考虑神经内分泌肿瘤,大细胞癌。鉴别PSP
宇宙:
老年男性,肿瘤标志物高,右肺下叶类圆形肿块,宽基底与胸膜相连,边缘光整,密度均匀,周围气管及血管受压推移,延迟强化,其内见纤细血管,似有小低密度灶,首先考虑间叶组织恶性肿瘤,良性平滑肌瘤、纤维瘤不除外
水晶石头:
患者中老年男性,检查发现右下肺占位。查肺癌标记物稍有升高。血常规白细胞计数稍降低。胸部CT:右肺下叶后基底段类圆形肿块,边缘光滑,边界清楚,周边见气管受压扩张,增强轻度强化,内见点状低密度影,见血管贴边。综合考虑良性过低度恶性病变,PSP可能,其它恶性肿瘤待排。
吴婧wj:
支气管,血管均受压推移,类圆形占位,无分叶,无毛刺,光滑表面,明显均匀强化,倾向于psp,鉴别错构瘤,肉瘤,肉瘤样癌,类癌等神经内分泌肿瘤,转移,imt。
支气管没有堵塞,无明显坏死不符合鳞癌,无淋巴结肿大不符合小细胞肺癌,无分叶,这样的腺癌也比较少见,一般这么大肿块如果是腺癌一般生长速度不同的,形态不符合。本例边缘朋友还是支持肿瘤而非炎症了。
内部无明显坏死,血管不杂乱不太符合肉瘤及肉瘤样癌。
错构瘤强化太高无分叶无脂肪密度无钙化,不典型。
综上,考虑psp优先。鉴别间叶来源恶性肿瘤,类癌等。
患者62岁,年轻,这个位置不可能不管,还是穿刺或直接切除。
丽:
老年男性,右肺下叶软组织肿块,边缘光滑,血管和支气管贴边,肿块与膈肌分界不清,增强后不均匀强化,可见点片状低密度影,考虑良性或低度恶性肿瘤,psp,神经内分泌肿瘤
毛勤香:
右肺下叶大肿块,血管贴边,部分小分支进入肿块内,密度略欠均匀,边缘总体光滑,支气管关系不明确,老年人,总体考虑恶性,nse高,首先考虑神经内分泌癌,鉴别肉瘤,转移瘤
必有路:
右下肺大团块,边界较清,病灶内有血管影,小灶低密度,胸膜下脂肪清晰,需要薄层确定肺血管有没穿行,疾病谱:神经内分泌癌(大 类),SFT,PSP,肉瘤样癌,间叶肿瘤,考虑神经内分泌癌(大 类)>sft>psp>肉瘤样癌 
边缘血管有没被包埋 需要薄层确定下
良性恶性拿旧片对比,两年前发现一目了然
Psp太靠外带了
肿瘤指标都是轻微增高
lily🌵🌵:
老年男性,NSE高。右肺下叶软组织肿块,平扫密度均匀,增强后不均匀强化,其内似可见小血管影。肿块边缘光滑,无分叶无毛刺,血管和支气管贴边。考虑神经内分泌肿瘤,鉴别:psp
傅昌瑜:
老年男性,检查发现右下肺占位。CT:右肺下叶一类圆形肿块影,膨隆,无分叶,边缘基本光滑,近端支气管推挤狭窄,与胸膜夹角为锐角,增强见不均匀强化,未见坏死,近端见血管贴边,胸壁脂肪间隙清楚。考虑良性病变——PSP可能性大。鉴别神经内分泌癌、肉瘤、SFT。
张延军:
右肺下叶软组织肿块,边缘光滑,临近血管受压变形且增粗,增强后见斑片状低强化区,界不清,实性部分见条状血管影,边缘光滑,考虑PSP可能,肿块与支气管关系不密切,腺癌,腺鳞癌不符合,肿块内增强后血管走形自然,间叶组织起源肉瘤不符
风往北吹:
有意思的病例,男性,右肺下叶肿块,强化中等,血管贴边,肿标高,考虑低度恶性肿瘤,神经内分泌肿瘤,类癌最可能,别的感觉都要往后放,PSP,我三十五例病例,男性只有3例,比例太低了,而且强化幅度也偏低,而且肿瘤标志物好几个高的,只敢放第二位了
尘缘:

尘缘:
右肺下叶肿块,呈外带大内带小的椭圆形改变(内带受支气管及血管挤压原因),边缘光滑,无分叶毛刺,支气管受压,增强后,均匀延迟强化,动脉期见血管贴边,静脉期内部瘤样血管强化区,相邻胸膜无侵犯,纵隔无淋巴结肿大,符合PSP,不鉴别。
何红贤、:
老年男性,肿瘤标志物高,右下肺占位性病变,密度均匀,其内无明显坏死,均匀强化,无毛刺分叶,考虑硬化性肺细胞瘤,鉴别肉瘤样癌
关于PSP,王兆宇老师做过很好的总结——
硬化性肺细胞瘤的影像特征:
1. 大多无分叶,圆圆的像个大核桃(胡桃)。
2. 血供丰富,通常增强幅度高于癌。
3. 部分有钙化(纤维化基础上的钙化)。
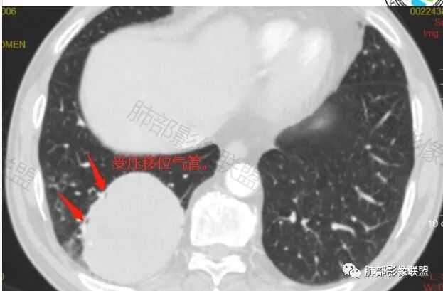
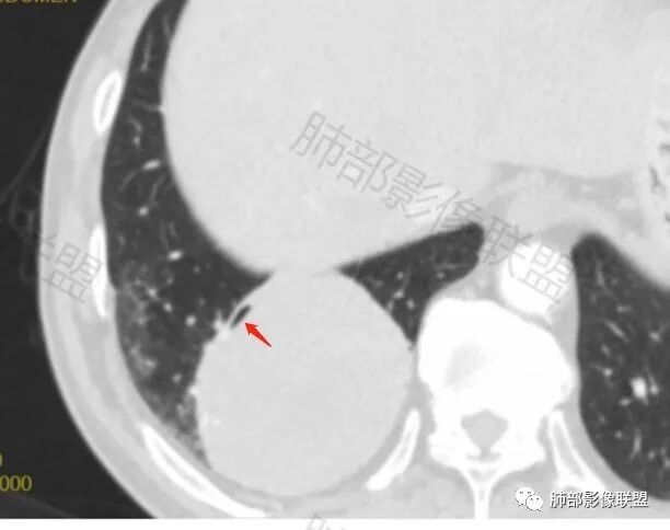
4. 大多有血管支气管贴边征,血管离开时比原来细一些(留下买路钱)。
5.部分病例周边有淡薄的出血晕。
6.女性多见,男女比例估计约1:5。
冥冥之中:

赵春杨:
老年男性,右肺下叶肿块,边界光滑,血管贴边,部分小分支进入,肿块内可见增粗血管,肿瘤指标偏高,总体考虑恶性,不典型类癌?大细胞癌?鉴别PSP。
流心明智:
男,62岁,体检发现病变。 
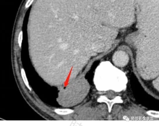
胸部CT:右肺下叶一类圆形肿块影,边界清楚,大部分边缘光滑、外缘边界模糊,邻近支气管推移、血管贴边,病灶内可见分枝状血管,平扫密度尚均匀,增强后大部分均匀延迟强化,部分与膈肌黏连、尾征?考虑:类Ca>PSP>SFT。鉴别肉瘤样Ca,CD等。
M-Imaging :
肿块位于周围(起自细支气管呼吸道上皮),均匀膨胀生长(符合良性的生长特点),病灶内部大部分密度较均匀,部分小低密度不强化区(囊变),增强强化较明显,边缘血管增粗贴边,临近支气管受压,支持PSP。
                                         南边老师分析
南边:
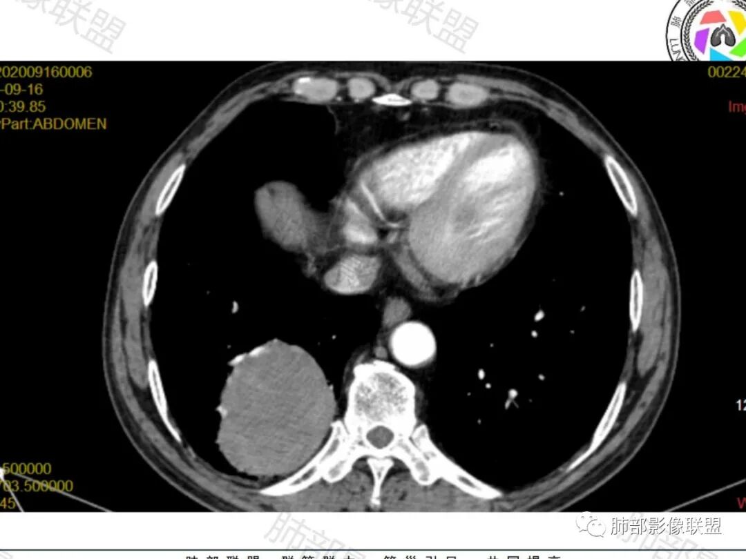
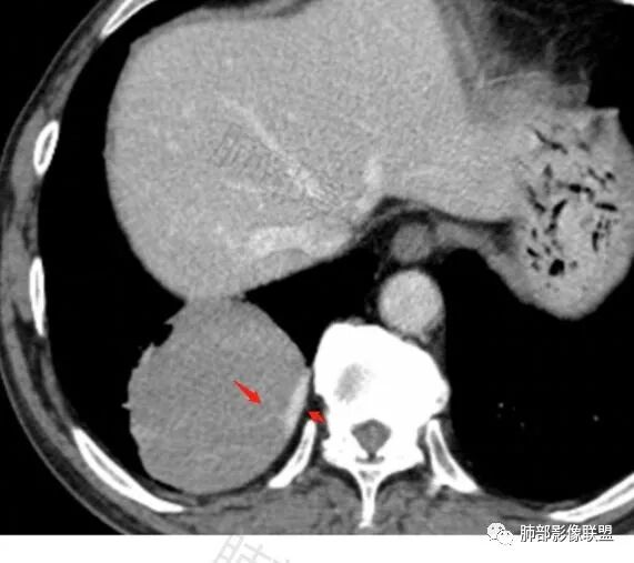
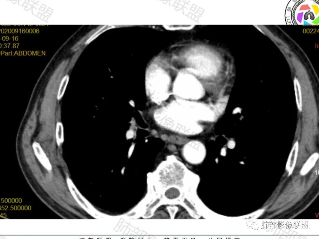
定位在哪?这是什么?

M-Imaging :
定位肺内吧
应该是气管
南边:
这条血管哪里来的?需要交代一下

最好有重建的图

南边:
这些是什么呢?
哦落花时节:
还是支气管
南边:

南边:
含气组织
哦落花时节:
受压推移
南边:
常规肿瘤如果背侧胸膜来源,肿瘤与胸膜之间不应该夹杂含气支气管,会推移
但是肺内可以将支气管外推,夹在胸膜之间
与膈面胸膜类似推断
支持肺内
但是这条血管需要交代一下:

哦落花时节:
有啥区别
南边:
如果胸壁来源更不一样
肺动脉供血


南边:
如果这是同一根肺动脉,支持PSP

因为肺门区来源肺动脉
                                              病例结果




                                                 后续讨论
南边:
这个就偏差大了
还是需要观察到支气管才行
尘缘:
刷新了我的认知,这个类癌这么大一点没分叶,而且支气管血管推移那么明显。而且影像上没看到支气管截断,从病理来看,也确实没有累及支气管,
工作中肯定要鉴别类癌的,主要也是这两个鉴别,而且有时候确实比较难,但这个支气管推移情况和血管情况确实让我比较肯定是PSP,结果太笃定,错了。😂
必有路:
对于读片,为了积累经验,更好的服务临床工作。
M-Imaging :
KI67  --1%   核分裂相很低
psp 女男比例4-5:1,一般小于3CM,这个是有点大,这个好像要8cm以上了
如果再小点,女性,就容易诊断了
尘缘:
这种KI67才1%的类癌随访是无法和PSP鉴别的
必有路:
两年多时间,良恶性,有所鉴别吧?
尘缘:
 这种真鉴别不了。
吴婧老师思路分享:
支气管,肺动静脉血管均贴边且受压推移,类圆形占位,无分叶,无毛刺,光滑表面,明显均匀强化,本例边缘形态还是支持肿瘤而非炎症了。诊断倾向于psp
鉴别:错构瘤,肉瘤,肉瘤样癌,类癌等神经内分泌肿瘤,转移,imt。
1.支气管没有堵塞,无明显坏死不符合鳞癌。
2.肺门纵隔无淋巴结肿大不符合小细胞肺癌。同样的理由也不大支持大细胞癌。
3.病灶无分叶,这样的腺癌也比较少见,一般这么大肿块如果是腺癌一般生长速度不同的,形态不符合。
4.内部无明显坏死,血管不杂乱不太符合肉瘤及肉瘤样癌。
5.错构瘤强化太高无分叶无脂肪密度无钙化,不典型。
综上:考虑psp优先。鉴别间叶来源恶性肿瘤,类癌等。
患者62岁,年轻,这个位置不可能不管,还是穿刺或直接切除。
需要提示的是:非典型类癌更容易出现在外围、强化程度可能会不那么显著、相对容易出现肺门纵隔淋巴结肿大。
                                           文献学习
      
    神经内分泌肿瘤(neuroendocrine tumor,NET)是一组少见的异质性恶性肿瘤,可全身发病,多见于肺和胃肠道。2015年世界卫生组织(WHO)最新的肿瘤分类中,肺部NET包括原发性肺类癌(pulmonary carcinoid,PC),大细胞神经内分泌癌(large cell neuroendocrinecarcinoma,LCNEC)和小细胞肺癌(small cell lung car⁃cinoma,SCLC)。其中,PC约占全部高、中度分化原发性NET的25%。
  在原发性肺部肿瘤中,PC约占2.2%。PC分为典型类癌(typical carcinoid,TC)和非典型类癌(atypicalcarcinoid,AC)。TC和AC均表现出神经内分泌分化的特征性生长方式和细胞形态学特点。但与胃肠道NET相比,PC患者出现激素相关的内分泌表现相对少见。
      2015年WHO最新的肿瘤分类中,肺部NET包括低级别 TC、中等级别 AC,以及高级别 LCNEC 和SCLC。最新的PC分类是根据核分裂像的数目、是否存在坏死以及Ki-67表达区分的。TC的特点是肿瘤活性区域<2 个核分裂像/2 mm2,无坏死和 Ki-67 表 达≤5%;而AC表现为肿瘤活性区域2~10个核分裂像/2 mm2,不伴有或伴有点状坏死,Ki-67表达≤20%。需特别注意的是,最新WHO分类修改了核分裂像的计数方法,取消了“每10个高倍镜视野”,改为肿瘤活性区域中“每2 mm2”的核分裂像数目。引入Ki-67表达作为TC和AC标准,目的是与SCLC组织(特别是受挤压的穿刺组织)进行鉴别诊断(SCLC:Ki-67≥50%;PC:Ki-67≤20%)。
        胸部CT是评估PC最常用的检测手段。PC的CT特征缺乏特异性。周围型PC多表现为圆形或卵圆的结节,边缘光滑或分叶,生长相对缓慢;而中央型PC的CT表现为肺不张等征象.
       有学者总结PC的胸部CT表现如下:
1、 中央型类癌
(1)肺门区支气管腔内“息肉样”病灶,肿块呈“水螅样”长条状或支气管腔狭窄。
(2)类癌生长缓慢,大多边缘光整
(3)向管外生长形成的软组织肿块
(4)15%〜30%的病变见局限性或弥漫性钙化。
(5)阻塞性肺炎或肺不张,部分患者可见“粘液镶嵌征”,为肿瘤阻塞支气管引起远端粘液阻滞所致;少数患者可合并胸腔积液及可见胸膜凹陷征
(6)增强扫描有显著、均匀的强化。
(7)很少出现坏死、液化、囊变和空洞,出现肺门、纵隔淋巴结转移非常少见,出现远处转移更少见
2、 周围型类癌:
(1)周围肺野内圆形或椭圆形结节、肿块。
(2)边界清晰、光整,可有轻度分叶
(3)密度多均匀,较中央型钙化少见。
(4)增强扫描有显著均匀的强化(支气管动脉供血)。
        由于80%~90%的TC和AC表达生长抑素受体,放射标记生长抑素类似物(somatostatin analogues,SSAs)的核医学功能影像方法对于诊断PC的部位和转移非常敏感。。影像学检查在鉴定PC特征、淋巴结和远处转移情况具有重要作用。
PC的确诊:
        更依赖于经支气管镜或经胸穿刺的组织活检。所有NET的诊断主要依靠神经内分泌标志物的免疫组织化学染色,包括嗜铬粒蛋白A(chromograninA,CgA)、CD56、突触素(synaptophysin,Syn)和神经元特异性烯醇化酶(neuron specific enolase,NSE)。大多数TC和AC呈现CgA和(或)Syn免疫组织化学阳性[7]。其 中,Syn被认为是神经内分泌分化最特异的标志物,其敏感性要高于CgA和NSE。然而,这些肿瘤标志物不能区分TC和AC。
  PC的治疗:
      1.各指南均支持手术切除是早期局限型PC的首选治疗方法,TC外科手术切除术后的5年总生存率可达到90%~95%。
      2.对于肿瘤位于气管腔内或身体情况不能耐受手术的PC患者,可以采用经支气管镜介入治疗。
     3.晚期/转移性 PC的治疗选择包括SSAs、靶向治疗、干扰素、化疗和肽受体放射性核素治疗(somatostatin receptors,SSTR) 等。依维莫司目前是唯一经美国食品药品监督管理局(FDA)批准治疗 PC 的药物,被 ENETS 推荐作为一线药物。

       根据美国国立癌症研究所(NCI)SEER数据(1988~2004 年),肺 NET 患者伴远处转移的 5 年死亡率为73%。TC的恶性程度和侵袭性比AC低。<15%的TC患者出现远处转移,而30%~50%的AC患者出现纵隔淋巴结转移。对于手术切除的早期患者,TC的5年OS一般超过85%,而AC的5年OS仅为44%~71%。PC为相对少见的肺部肿瘤,恶性程度较低,疾病进展缓慢,但仍可造成5%~25%的患者死亡。
参考文献:
1.徐嵩,李雄飞,陈军.原发性肺类癌的治疗进展与展望.中国肿瘤临床[J].2018,45(1):47-52.
2. 皮小军,赣州市立医院 影领学苑 2020-07-15 肺类癌课件
编辑:许慧良
审核:蔡笑燕  徐  晓
病例提供:青岛市第八人民医院 呼吸科 腾翔


到顶部