【每日晨读】再读放线菌一例




病例分享


















精彩分析
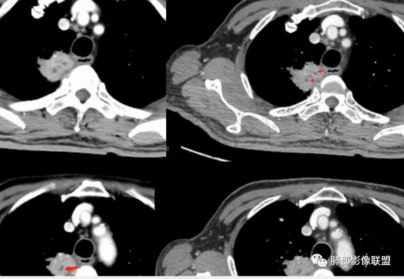
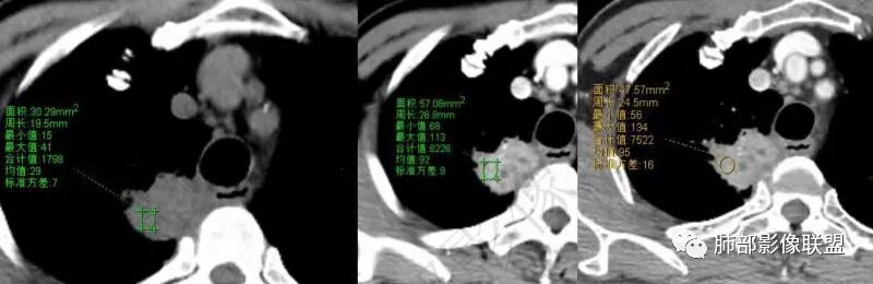
红日初升:老年男性,干咳十天,无发热,血象、肿标不高。右肺上叶团片,叶段分布,边缘多平直凹陷,强化见三层结构,考虑脓肿。边缘局部膨隆,近侧支气管阻塞,恶性不能排除,建议治疗后复查

丽:老年男性,急性病程,右肺上叶团片状高密度影,边缘有膨隆也有平直,胸膜下脂肪间隙消失,增强后明显强化,静脉期持续强化,并见条形低密度影无强化,考虑慢性炎症,建议抗炎治疗后复查除外恶性

爱跳舞的猫:老年男性,干咳,无发热,血象、肿标不高。右肺上叶团片影,呈条状,边缘多平直,增强扫描明显强化,其内见无强化坏死区,内壁光滑,考虑脓肿,建议治疗后复查除外恶性

凝睦:右肺上叶团块,边缘平直,胸膜糊墙,明显强化,内部血管走行自然,支气管粘液栓,考虑炎性。

采莲:老年男性,干咳,有吸烟史,右肺上叶不规则肿块,边缘平直收缩为主,,有细软毛刺,靠近纵隔边缘,明显强化,内有粘液栓,近端支气管阻塞,阻塞端圆盾,无明显胸膜增厚,感觉既有恶性征象,也有良性征象,血象不高,血沉快,肿标不高,但患者有吸烟史,主要是炎症和肿瘤鉴别,首选炎性肉芽肿,鉴别肺癌,毕竟有肺气肿背景,肿瘤不排除。建议穿刺。

王江涛:边缘平直,明显强化,血管穿行,部分支气管扩张积液,胸膜糊墙,支持炎性病变,结核不除外。

宇宙:右肺上叶纵隔旁肿块,形态欠规整,边缘平直为主,周围长索条,邻近胸膜增厚,明显强化,血管未见破坏,其内支气管粘液栓,考虑炎性肉芽肿

陈学君:右肺上叶实变灶,边缘平直为主,胸膜糊墙,强化较明显,似有支气管粘液栓,考虑慢性炎症。

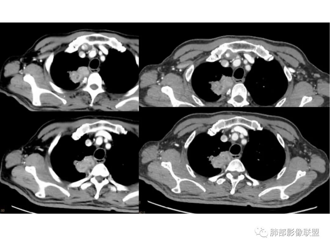
红星:老年男性患者有长期的吸烟的病史,临床症状是干咳。影像学表现右上肺胸膜下的分叶状的结节,密度欠均,内部见小灶性的坏死以及支气管空泡征,增强扫描呈明显的强化,从重建的图像来看,病灶的上下径较长,并沿着支气管的长轴生长,纵隔内无明显的肿大淋巴结。考虑肉芽肿性病变,结核性病变?炎性?鉴别诊断:肺鳞癌。

秦化君:老年男性 刺激干咳,右肺上叶纵隔胸膜下不规则软组织密度团块影。边缘部分膨隆、凹陷,可见分叶、毛刺。矢状位似可见支气管堵塞截断。肿块相邻胸膜栽桩,似侵及气管壁(刺激性干咳的原因)。增强后中等以上强化,内见条状无强化影(粘液栓?)。综合考虑恶性病变可能大。炎性肉芽肿待排。

放射线:右肺尖不规则肿块,有分叶毛刺,有胸膜栽赃,冠状位可见支气管粘液栓,矢状位病灶呈外朝内沿支气管分叉角生长,强化明显,考虑腺癌,鉴别炎性肉芽肿病变。

旁观者:老年男性,长期大量吸烟,刺激性干咳,无发热及胸痛,感染指标及肿瘤标记物阴性,影像,右肺上叶靠近纵隔长条状病灶,边缘收缩,长毛刺,明显强化,见粘液栓,支气管情况不好评估,无磨玻璃及树芽,纵隔淋巴结不大且无钙化,胸水无。建议支气管镜排除气道占位性病变,或者外朝内病变,结核或者腺癌,感染性病变OP伴脓肿,老年,吸烟,首先排除癌

飞鹰行动:老年男性,咳嗽入院,影像表现右肺上叶实变病变,局部边缘平直凹陷,与胸膜相贴,未见胸膜牵拉,近端支气管壁增厚,支气管进入病灶后阻塞,增强病灶强化较明显,内见支气管粘液栓,考虑慢性炎性病变,结核不排除。

周太狼:老年男性,吸烟,急性病程,右肺上叶团片状高密度影,边缘收缩膨隆,长毛刺,增强后明显强化,内见少许条形低密度影无强化区,支气管似有阻塞,考虑慢性炎症,建议抗炎治疗后复查除外肿瘤病变

衡妈:老年男性,右肺上叶尖段沿支气管走形片状实性密度,平扫密度相对均匀,横断面显示有明显平直、凹陷边,与周围肺野界限清晰,少许长软毛刺,与侧胸膜宽基底相连,未见明显支气管堵塞;增强后明显延时强化,强化不均匀,可见小灶性坏死,所见纵隔未见肿大淋巴结。考虑慢性炎性病变,炎性肌纤维母细胞瘤?鉴别腺癌。

小兜:老年男性,既往吸烟史,刺激性干咳十余天入院,血象及肿标未见异常。CT示右肺上叶脊柱旁不规则实变影,平扫密度较均匀,增强扫描呈渐进性明显强化,内部可见粘液栓。支气管进入病灶后狭窄阻塞,综合考虑为炎性病变

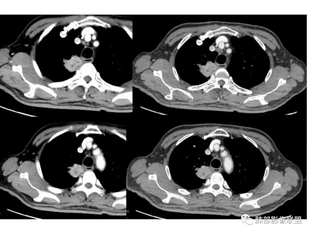
了:右肺上叶肿块影,边缘清楚,纤维条索影,均匀强化,内可见低密度坏死影,考虑慢性炎性肉芽肿

看图说话:右肺上叶团块状影,气管堵塞,边缘膨隆,密度不均,内见坏死,粘液栓,胸膜栽赃,增强后明显强化,考虑慢性炎症,鉴别腺癌。

安吉木子何方李:良恶性征象都要,感觉支气管鼠尾样狭窄,明显强化,还是先考虑恶性肿瘤。患者有支气管粘液栓,无强化,炎性肉芽肿需要考虑

?????天涯?????:内有小片状低密度影,强化这么显著,大概又是个肉芽肿性炎或脓肿之类的,建议抗炎治疗后复查,除外恶性肿瘤性病变鳞或腺癌可能。

信人生:老年男性,急性病程,右肺上叶尖后段团片状高密度影,明显桃尖征象,胸膜下脂肪间隙消失,增强后明显强化强化值约60HU,静脉期持续强化,并见条形低密度粘液栓,化验肿标及结核抗体均阴性,白细胞不高,考虑炎性肉芽肿/慢性炎症,建议抗炎治疗

安智轩:患者的炎性症状不明显,是否考虑一下真菌类感染

良孑:右上肺占位,有平直及u型凹陷,其内见粘液拴及虫蚀样坏死空洞,不均匀强化,坏死空洞环状强化,失状位病灶沿支气管长轴生长呈爬行征样改变,综合考虑为炎性肉芽肿,首选TB,鉴别诊断鳞癌

毛勤香:常规炎性肉芽肿,其内粘液栓支气管壁增厚,结核可能,有长期吸烟史,老年男性,建议治疗后复查除外肿瘤可能

小飞:右肺上叶软组织肿块,宽基底与胸膜相连,边缘平直为主,周围长索条,邻近胸膜增厚,增强明显强化,血管未见破坏,其内可见粘液栓,考虑炎性肉芽肿

琦遇:病灶沿右肺上叶尖段走形实变,远端大近端小,边缘平直收缩为主,近端尖段分支部分截断,内部可见扩张的支气管粘液栓,增强后明显强化,比较均匀,内部血管走形自然,与纵膈胸膜及后胸膜呈糊墙样,未见栽桩,纵膈未见明显肿大淋巴结 综合分析考虑炎性病灶可能性大 (IMT、OP、结核、慢性炎症) 因患者年龄大、老烟民 警惕恶性可能(淋巴瘤、鳞癌) 临床上下一步做支气管镜看看

穿越七海的风:右肺上叶占位,边缘平直,明显强化,支气管内粘液栓,考虑慢性感染病灶

谢加平:右肺上叶尖后段见长斑块实变影,边缘清楚,有平直征,渐进性明显强化及分布血管影自然,肿块内见连续未强化粘液栓,肺门侧引流支气管征,相应肺段支气管内壁环形增厚(肉性特点),肿块周边索条纤维化,及胸膜反应性增厚,综合方向炎性肉芽肿,常规抗炎诊断两周复查,注意结核性肉芽肿,建议支气管镜肺泡灌洗及肺穿刺活检。

小锁:老年男性,急性呼吸道症状,刺激性咳嗽10天。影像:病灶沿支气管血管束走形,边缘平直收缩为主,由外向内病变,与纵膈胸膜及胸膜呈糊墙样,疑似栽赃,增强后快速明显强化,比较均匀,内部血管走形自然,内坏死灶周围环形强化,考虑炎性病灶可能性大 ,鉴别恶性肿瘤

大雄:慢性非特异性炎?结核?依据:强化显著,内部坏死境界清晰(粘液栓?),局部边缘收缩平直,无明显分叶毛刺棘突征。

张延军:右肺上叶条片影,边缘以平直及凹陷为主,病灶内见管状低密度影,延迟后边缘有强化,近段气管截断,血管走形自然,整体外宽内窄,考虑炎性肉芽肿,结核不除外

南边老师解析


南边:捋一捋吧,老年男性,刺激性干咳10天,血沉稍高

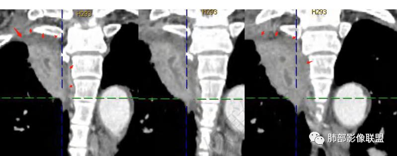
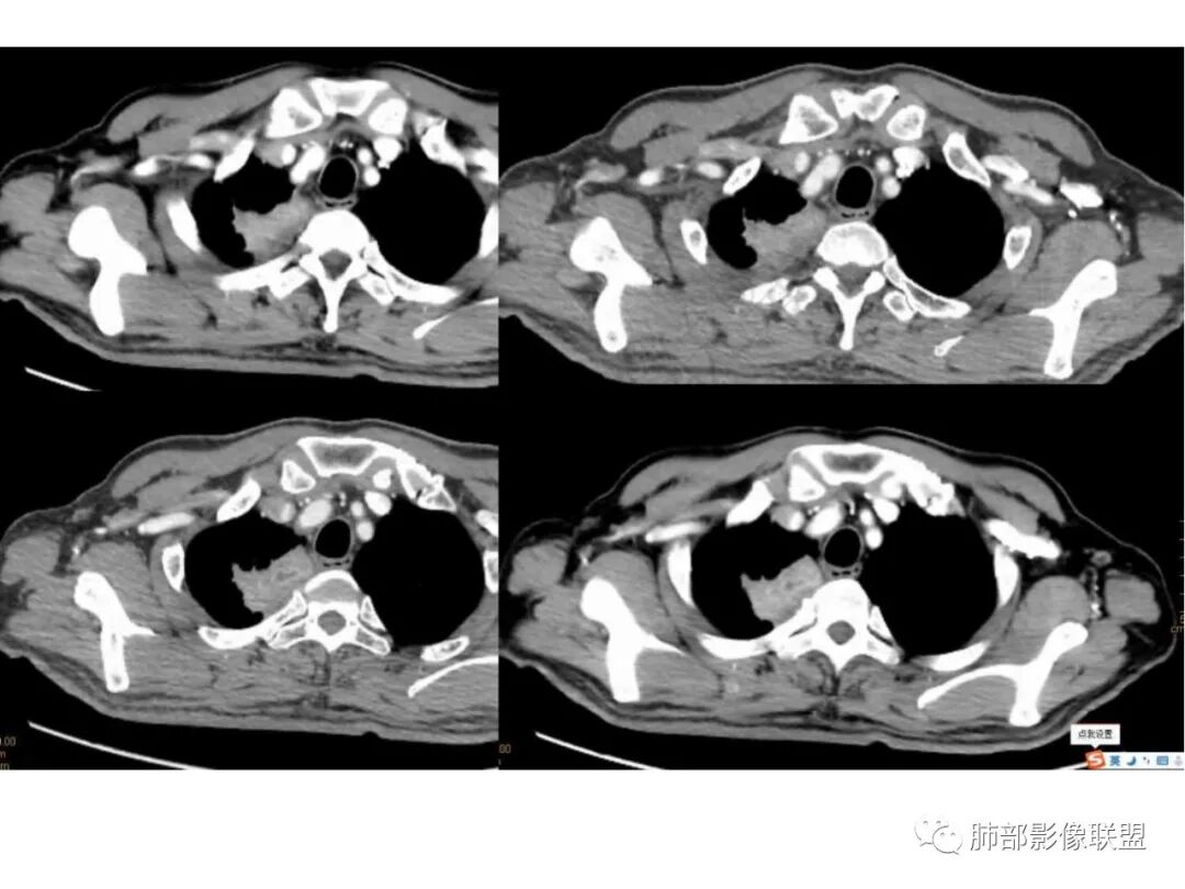
右上叶尖段带状实变影


外围大、内带小,宽基底与胸膜相连,附近卫星灶



支气管进入病灶内,广泛胸膜增厚


支气管粘液栓


血管走形自然



实变区强化较均匀,明显强化
边缘平直为主


支气管堵了,但是远端粘液栓:是粘液栓堵塞?还是狭窄或堵塞后继发粘液栓?
病灶是支气管腔内堵塞导致远端实变、不张?还是外围病灶融合、实变影响近端支气管?
整体考虑肿块应该不支持,因为支气管、血管走形还算自然,只是收缩在一起,如果肿块走形不会这么自然,会推移、变形,侵犯
现有的图显示近端支气管还是连续的,只是远端扩张,腔内粘液栓,其实还应当看重建的支气管连续的图,与近端含气部分的连续



南边:征象就这些,大家再考虑一下

病例结果


相关知识
关于放线菌病
一、放线菌病定义:放线菌病是放线菌引起人兽共患的一种渐进性、化脓性、肉芽肿性的亚急性至慢性感染性疾病。以局部扩散, 化脓或肉芽肿性炎症、多发脓肿和窦道形成-“硫磺颗粒”为特征。放线菌病由Langenbeek在1845 年首先叙述, 我国1904年首次在宜昌发现牛放线菌病, 1911年首次报告人颜面部放线菌病。二、病原学特点:1、放线菌(Actinomycetes)是一类丝状分枝的单细胞原核微生物, 属细菌的一种特殊类型。放线菌属多为厌氧性或微需氧性,革兰染色阳性、抗酸染色阴性, 菌体呈长丝状, 纤细分枝, 直径0.2 ~ 10μm, 其貌似真菌, 实为原核微生物,因菌落呈放射状而得名。

2、放线菌是条件致病菌, 常寄生于人类或动物口腔龋齿、扁桃体隐窝,上呼吸道、胃肠道和泌尿生殖道(女性外生殖器)。人类放线菌病致病菌多为衣氏(以色列)放线菌,其他少见菌种有内氏放线菌、龋齿放线菌等。
三、流行病学:1、放线菌病特点:散发、内源性疾病、无明显传染性;2、可发生于各个年龄组,青壮年多见,10岁以下儿童少见,男:女约为3:1,农民及野外作业者较多见, 城市发病率为农村的1 /10。3、主要侵犯口腔和面颈部(55%), 腹部(20%), 肺部(15%)。肺放线菌病发病率低,年发病率约为1/300000,但其在肺部致死疾病比例占到15%。4、易感因素:如口腔卫生差、糖尿病、免疫抑制、营养不良、外科手术、口腔肿瘤或感染、头颈部恶性肿瘤的放疗中等。随着人们生活质量提高、卫生条件改善及治疗手段改进,放线菌感染率已显著降低。但近年来抗生素、激素、细胞毒性药物和免疫抑制剂大量应用,该病的发病率又有增加趋势。四、发病机制:1、一般并不致病,当机体全身或局部(如皮肤粘膜机械屏障受损)抵抗力下降,尤其是同时伴有其它需氧菌感染而利于厌氧性的放线菌生长时,可引起放线菌病;2、肺放线菌病多伴发于因口咽部和胃肠分泌物吸入细小支气管引起的肺不张、肺炎。3、无抗生素时代,腹腔感染经横膈播散至胸腔引起肺部放线菌感染是主要致病途径;随着抗生素普及应用,上述感染途径已大大降低。4、极少数患者有明显免疫缺陷或/和感染的放线菌致病性较强时,可引起严重的血行播散五、治疗:肺放线菌病是种可致死性感染性疾病,早期治疗治愈率高达90% 。通过大量随机对照实验及临床观察证实青霉素为治疗放线菌感染的首选抗生素,但治疗方案应个体化,一般推荐剂量为:最初每天给予青霉素静脉注射1800-2400万单位,持续2-6周后继续给予青霉素或阿莫西林维持治疗6-12个月。青霉素过敏者可改用四环素替代治疗,孕妇可换用红霉素,氯霉素及克林霉素也可供选择。手术治疗目前尚有争议,在已有并发症如脓胸、窦道、肺脓肿等发生时单纯抗生素抗感染治疗效果不佳,需通过外科引流脓肿、脓胸同时切除窦道,术后立即给予抗生素作用于术区以防感染扩散。目前经皮穿刺引流术联合内科药物治疗是一种为多数临床医生赞同的治疗方式。近期有国外研究组应用短期疗法治愈此类扩散性胸部放线菌感染。Kinnear和Macfarlare报道了用抗生素治愈的19例胸部放线菌病患者平均时间为6周(最短时间为1周,最长为6个月),其中7例患者同时行手术治疗。Hsieh等用青霉素静脉注射2周再持续给予3个月静脉注射成功治愈16例患者,如有较大范围胸部或腹部感染灶者不能使用短期疗法(除非感染灶被切除)。术后必须使用足量抗生素,否则会引起严重并发症如支气管胸膜瘘或脓胸。目前尚无证据表明肺放线菌感染与机体免疫力低下直接相关,但据统计散发的各病例多见于HIV感染患者、急性白血病化疗期、肺或(和)肾移植术后及激素治疗期等免疫力低下或者缺陷患者 。六、肺放线菌病:临床起病隐匿缓慢,病程可持续几年,临床症状及体征无特异性,根据受累部位可表现为不同的症状及体征。常见症状包括咳嗽、咳痰、痰血、发热、胸痛等,这些表现类似于常见的呼吸道疾病如肺结核,肺癌,肺炎等; 累及胸膜可形成脓胸和胸壁瘘管并排出含硫磺色颗粒脓液; 累及纵隔,可致呼吸困难或吞咽困难,严重者可导致死亡。可出现肺部湿啰音、肺实变、胸膜摩擦音或胸腔积液等体征。七、病理: 早期病灶中放线菌的周围以中性粒细胞居多,形成多发脓肿,脓肿内可查到“硫磺颗粒”,周围有单核细胞和多核细胞,后期病灶中见上皮样细胞和巨噬细胞,类似结核性肉芽组织。放线菌病在组织学上的确诊有赖于在化脓灶内找到“硫磺颗粒”及革兰阳性的纤细分枝菌丝。“硫磺颗粒”由放线菌、巨噬细胞、类上皮细胞、多核巨细胞、嗜酸粒细胞和浆细胞及外层纤维蛋白包裹,呈黄色,核心部分是菌丝缠结而成,菌丝向四周放射状排列,形成菊花状,菌丝末端有胶质样物质,组成鞘包围,膨大呈棒状,折光性强。八、影像特征:1、慢性病程:慢性或亚急性化脓性肉芽肿性炎2、跨区域生长:放线菌不受解剖学屏障限制,可经胸膜进入胸腔或其他肺叶,可出现跨叶或累及胸膜、胸壁3、脓肿和坏死:局部扩散、多发脓肿、窦道形成,空气悬浮征



相关链接:肺放线菌病1例并文献学习
编辑:杨新娟
审核:蔡笑燕  徐  晓


到顶部