【每日晨读】前纵隔肿块—年轻男性有隐忧


病例资料












精彩讨论
放射小白:
前纵隔占位,前纵隔一般想到胸腺瘤、神经内分泌肿瘤、淋巴瘤、胸腺鳞癌、生殖类肿瘤,不知道有没有实验室检查,30岁之前不考虑胸腺瘤,这个可以考虑胸腺瘤、胸腺神经内分泌肿瘤及胸腺鳞癌,淋巴瘤及生殖源性囊肿咱不考虑。
飞鹰行动:
中青年男性,前纵膈偏右侧软组织肿块,形态不规则,有分叶,密度均匀,增强病灶轻中度强化,内部可见低或无强化区域,病灶与血管周围间隙分界不清晰,考虑恶性或交界性肿瘤,胸腺类癌>生殖细胞瘤>淋巴瘤。
不吝慷慨:
青年男性,前上纵隔占位,渐进强化,坏死不明显,nse稍高,首先考虑类癌,鉴别精原,内胚窦瘤,需要结合实验室检查HCG,AFP等
邢瑞欣:
中年男性,胸痛,既往健康,前上纵隔软组织肿块,形态不规则,密度不均,没有血管包埋及受侵征象,呈不均匀强化,考虑胸腺瘤,鉴别淋巴瘤,精原细胞瘤,胸腺癌
谢加平:
前纵隔右侧见大肿块,边缘清,同侧内乳动脉增粗,渐进性延迟强化明显,强化密度不均匀,中心见偏低密度灶,上腔静脉内后侧推压移位(提示肿块质地偏硬),副神经节瘤,与巨淋巴细胞增生症鉴别。
大雄:
虽然只有32岁,但还是常规考虑胸腺瘤吧,B2?
采莲:
青年男性,咳嗽,右上前纵隔不规则肿块,分叶,上腔静脉受压,内乳动脉增粗,延迟强化明显,坏死不明显,考虑来源纵隔,胸腺瘤,淋巴瘤,神经源性肿瘤都可以,比较年轻,猜个淋巴瘤吧。神经源性肿瘤代排。
丽:
青年男性,前纵隔软组织肿块,偏右侧生长,边缘多发分叶,包绕临近血管生长,增强后轻度强化,并呈渐进性,可见点状坏死,考虑胸腺瘤,鉴别淋巴瘤,生殖细胞肿瘤,巨淋巴结增生症
看图说话:
青年男性,前纵隔偏右侧软组织肿块,密度均匀,分叶,渐进性不均匀强化,可见点状坏死,考虑胸腺瘤,鉴别生殖细胞肿瘤,淋巴瘤,CD。
宇宙:
青年男性,前纵隔偏右侧肿块,分叶,与邻近血管分界不清,上腔静脉受压,不均匀渐进强化,点状坏死,考虑胸腺瘤,鉴别胸腺类癌
张延军:
男性32岁前纵隔偏右侧见一不规则软组织影,边缘毛刺,呈分叶征,同侧内乳动脉增粗,延迟性强化,内见条状分隔影,考虑胸腺瘤(B1、2,临界年龄段,分隔有些提示倾向),NSE轻度升高,中度强化,类癌代排。内胚窦及精原等生殖细胞肿瘤影像不符合,建议结合实验室检查
小兜:
年轻男性,NSE稍高,前纵隔偏右侧不规则实性肿块,平扫密度均匀,增强渐进性不均匀强化,内见低密度区,似见条样分隔。考虑为胸腺瘤,建议实验室检查HCG,AFP等鉴别生殖细胞肿瘤
Yishion:
青年男性,前上纵隔占位,偏侧生长,边缘不规则,可见分叶及分隔,内见少量无强化低密度区,常规考虑胸腺瘤,NSE稍偏高一点,会不会是实验室误差?
尘缘:
单看影像肯定要考虑恶性,首先是胸腺瘤或者胸腺类癌,但是年龄32岁,还是带几个鉴别:CD恶变?不典型淋巴瘤?生殖?侵袭性血管瘤?
若尘:
前纵隔右侧不规则软组织肿块,边缘欠清,增强渐进性强化,内见星状无强化分隔,部分分隔延迟强化,青年男性,首先考虑精原细胞瘤,鉴别胸腺瘤,NSE轻度升高,类癌也需鉴别!
徐超:
胸腺瘤这个表现,起码B1期以上,不均匀小灶性坏死,边界膨隆结节凸起明显,比较硬,但是侵袭性并不算强。与周围关系,加上发病年龄比较偏小一点,胸腺瘤B期级别或更高这样是少见的,精原细胞瘤贴合度更高一些。其它生殖来源的坏死和侵犯程度基本不符合。最主要鉴别还是临床实验室,少走弯路,afp和hcg等。
明显鉴别点从影像上可以达到同影异病特点的,主要还是更靠近哪个,也就是日常报告时候倾向于哪个,胸腺瘤当然除外不了
病理结果

病例小结
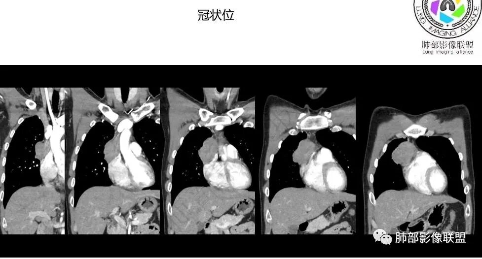
  前纵隔肿块,轻度分叶,边界不清楚,延迟强化,可见分隔,倾向恶性或具有一定侵袭性病灶。
一.精原细胞瘤  20-40岁 ,年轻男性多见,密度均匀,边界清楚,轻度强化,可有坏死,基本不出现钙化,HCG可升高,AFP一般不升高,侵犯血管的程度一般比淋巴瘤明显。
二.纵隔淋巴瘤 青少年(20-30)老年(60-80)两个高峰年龄段,男性略多。软组织肿块,常有多结节融合感,边缘较光整,少见分叶。跨间隙,跨中线生长,常见周围淋巴结影,治疗前较少钙化,少见胸膜及心包结节。淋巴瘤常往血管间隙生长,包绕临近大血管,而血管受侵犯较轻,多为轻中度强化,幅度大于30Hu。
三.高危型胸腺瘤 年龄偏大,以中老年多见,中度或明显强化,强化幅度大于淋巴瘤,有囊变和坏死,可见钙化,胸膜转移,三分之一有重症肌无力,尤其是B2-B3型等。胸腺癌可见淋巴结转移。
编辑 :任正纲
审核 :徐  晓



到顶部