【每日晨读】中年女性,探秘双肺弥漫性囊腔




每日晨读
2021年10月25日

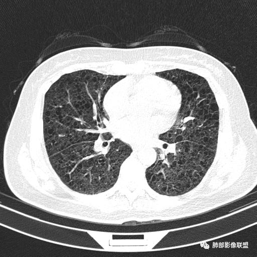
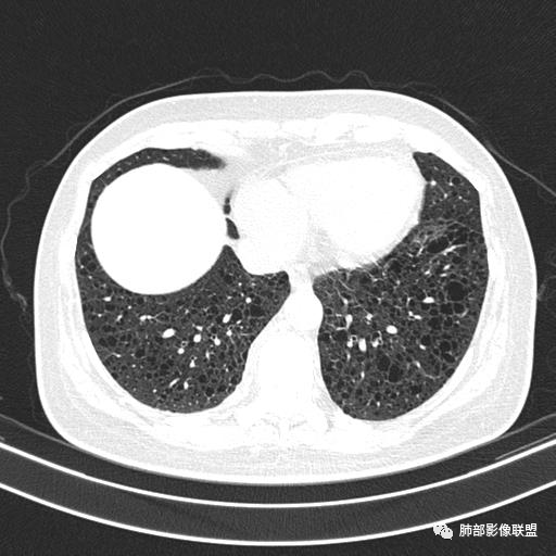
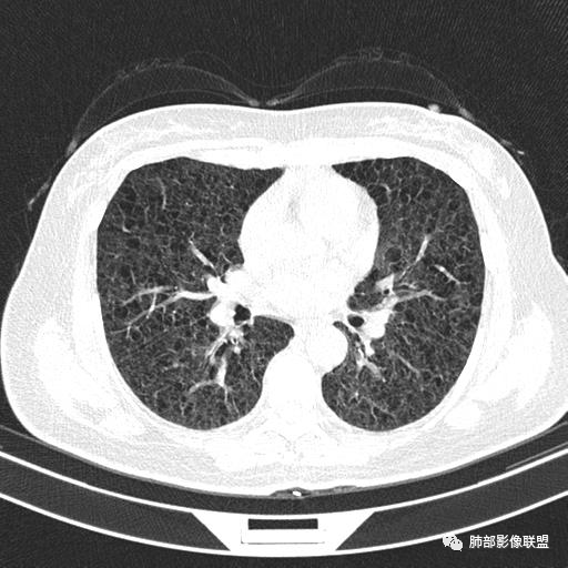
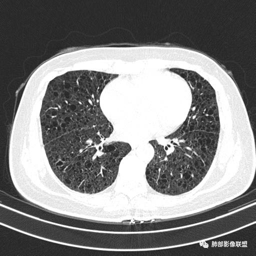
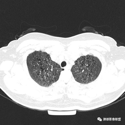
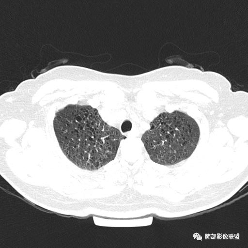
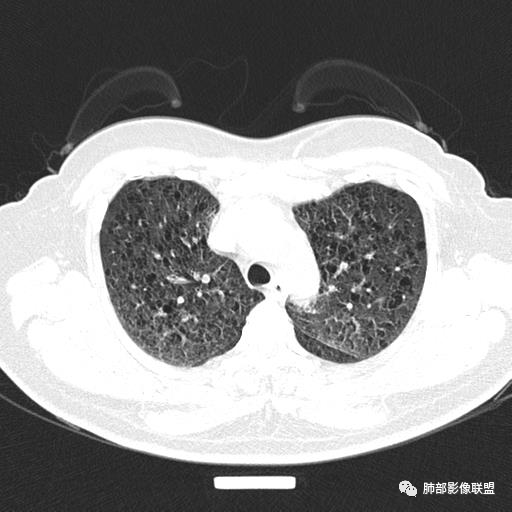
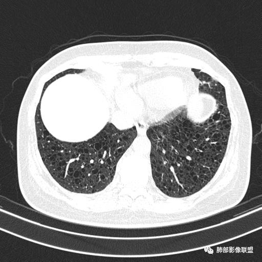
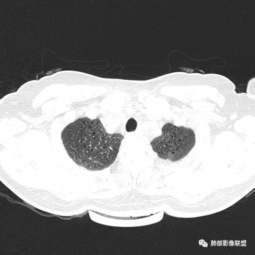
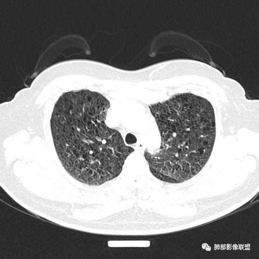
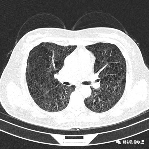
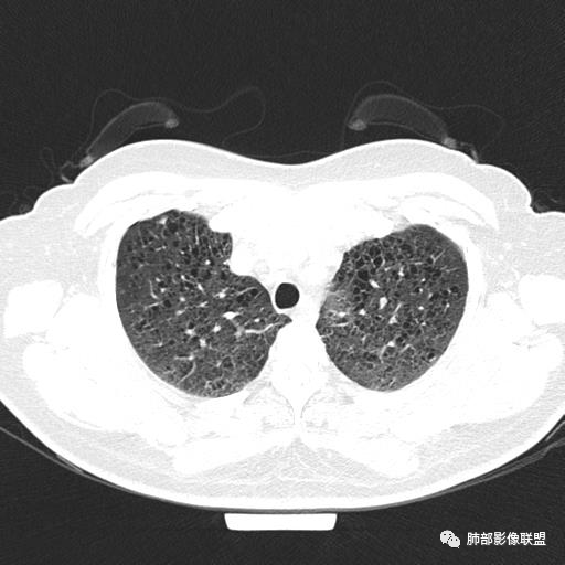
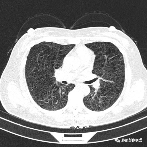
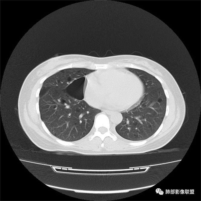
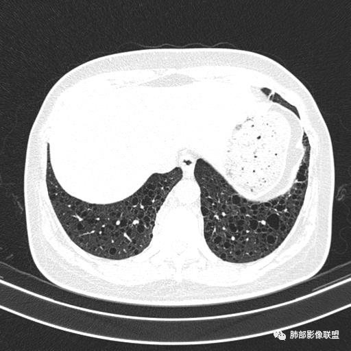
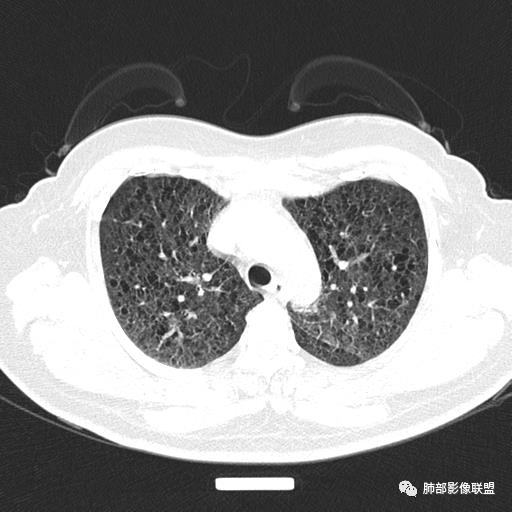
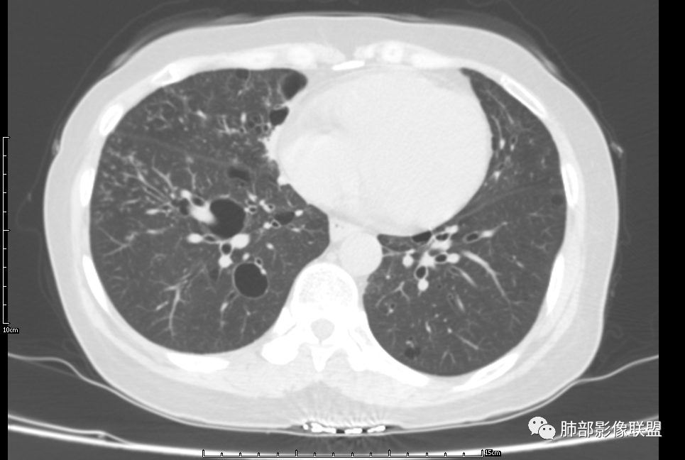
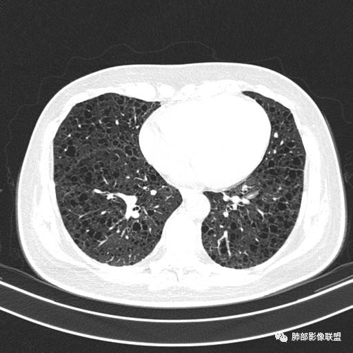
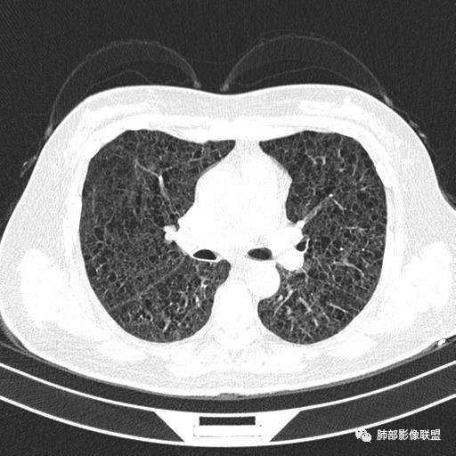
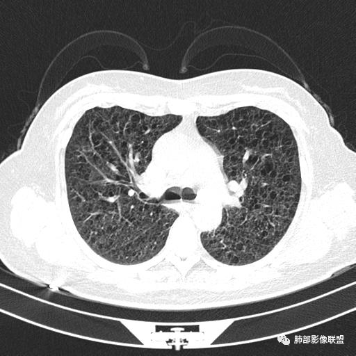
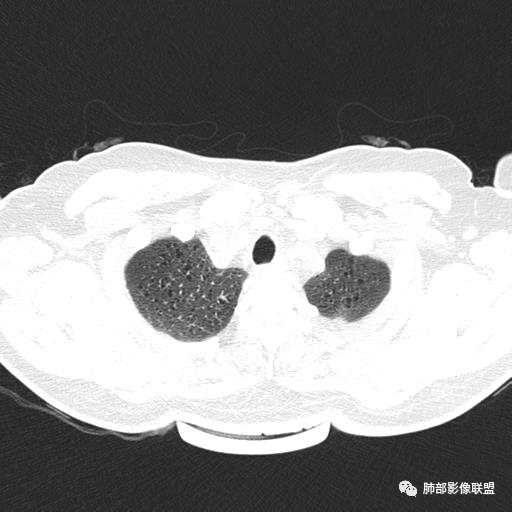
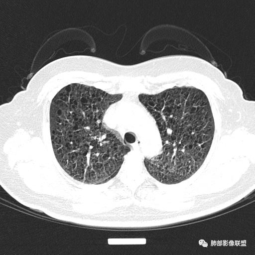
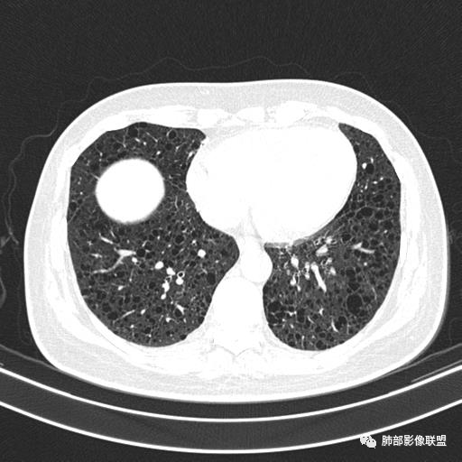
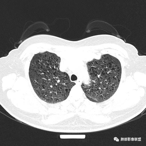
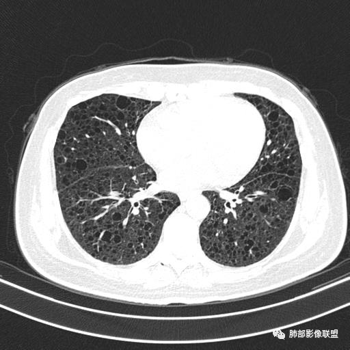
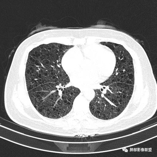
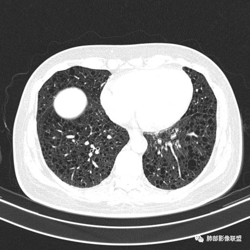
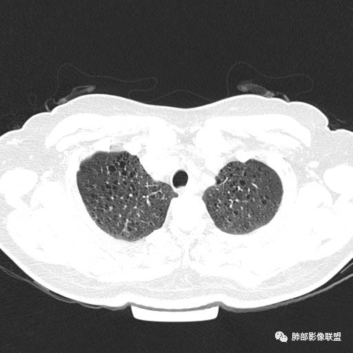
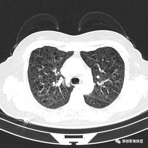
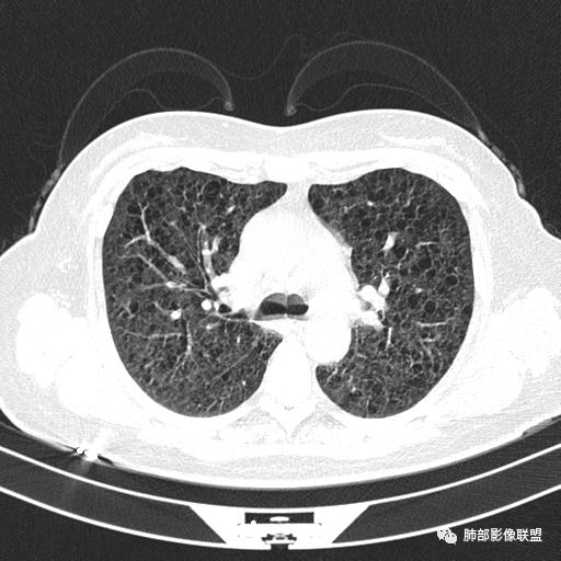
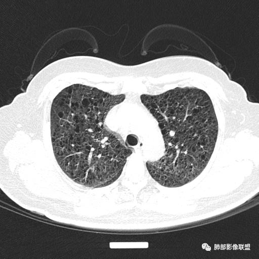
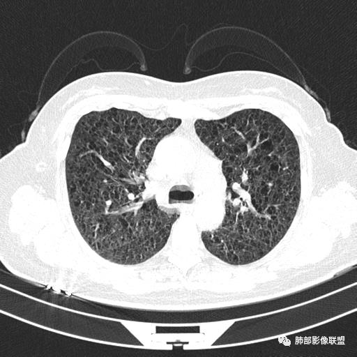
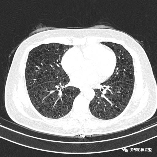
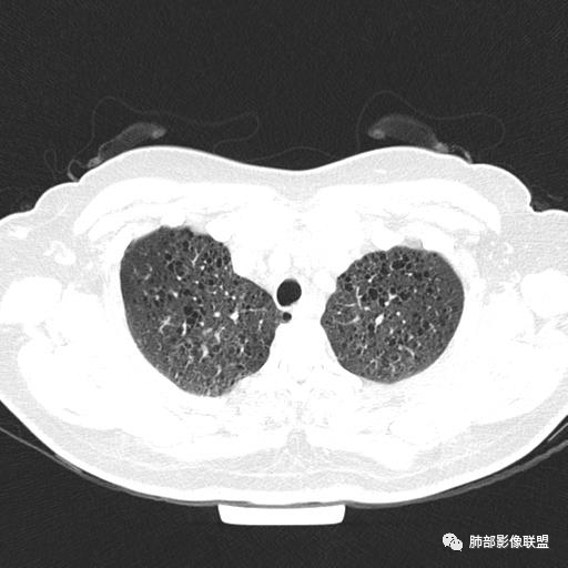
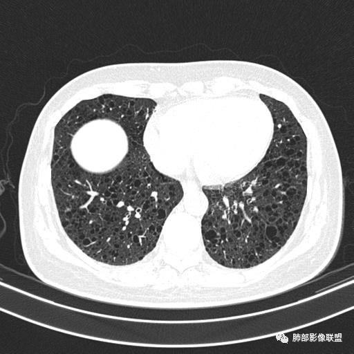
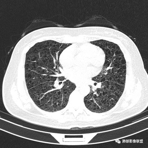
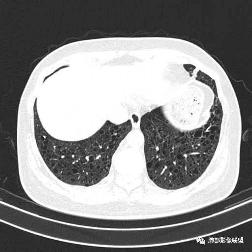
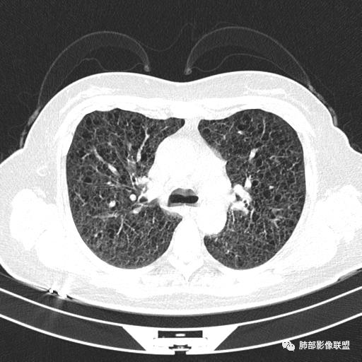
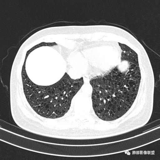
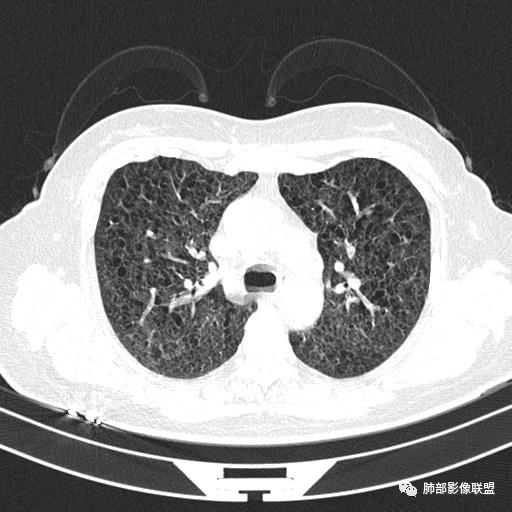
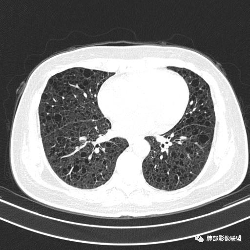
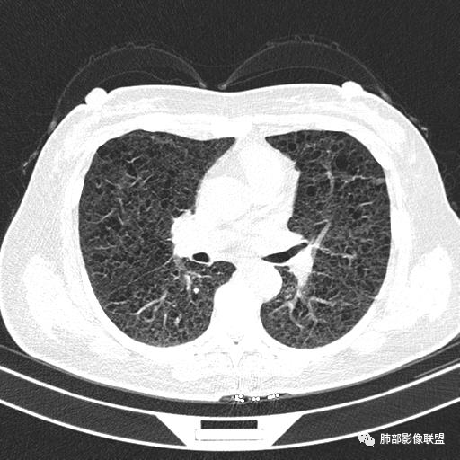
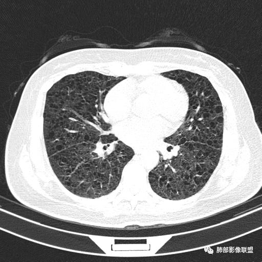
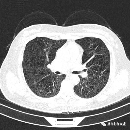
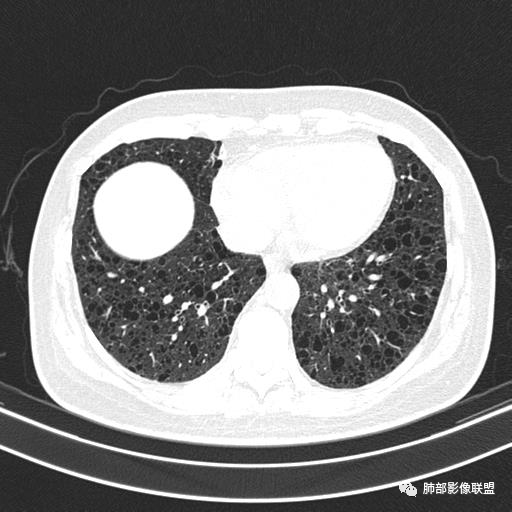
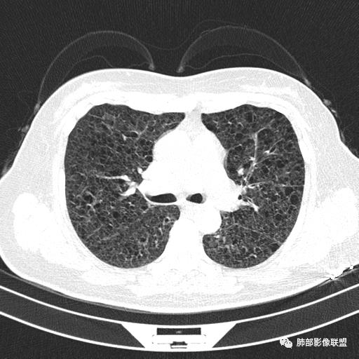
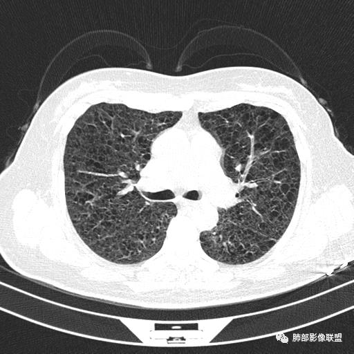
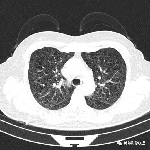
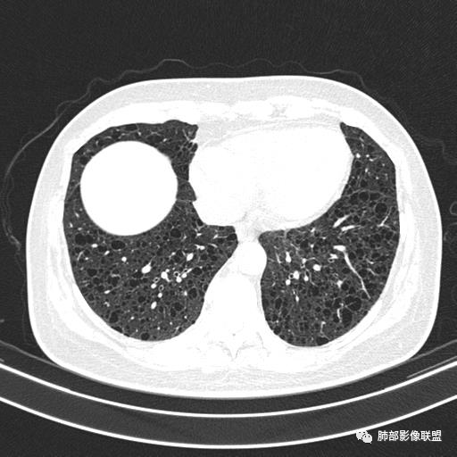
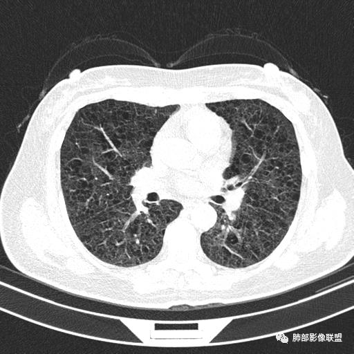
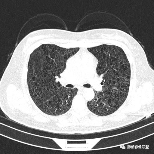
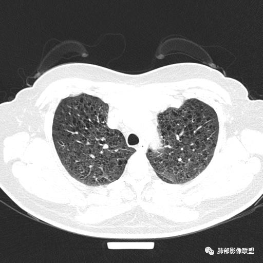
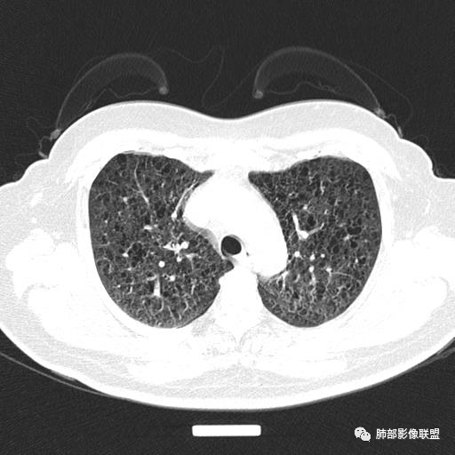
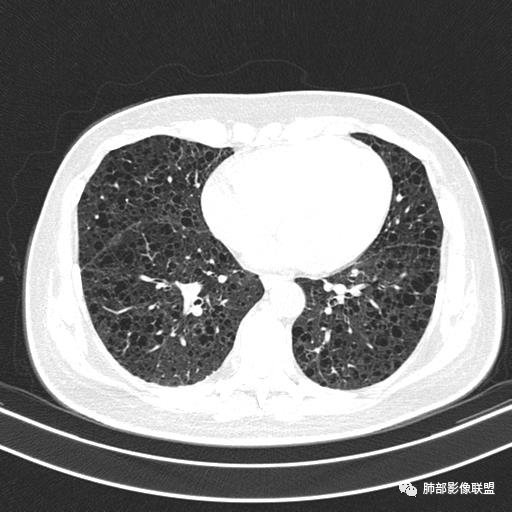
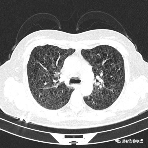
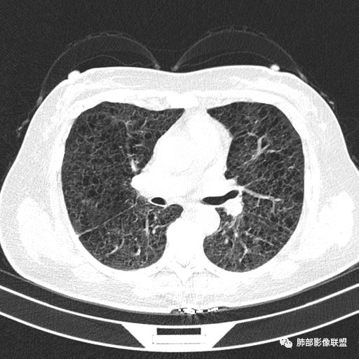
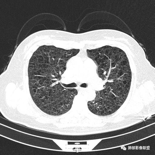
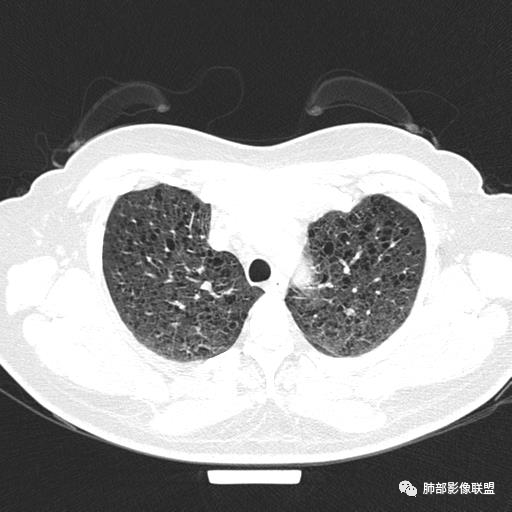
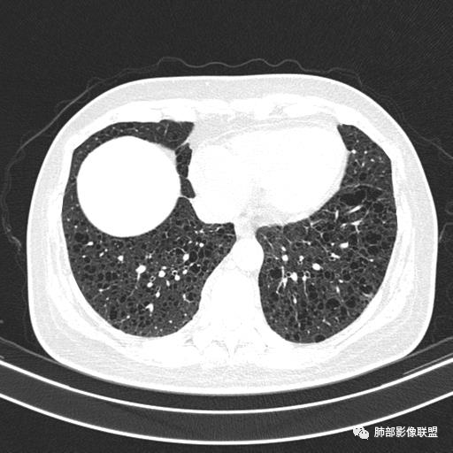
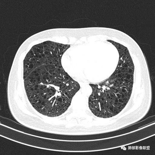
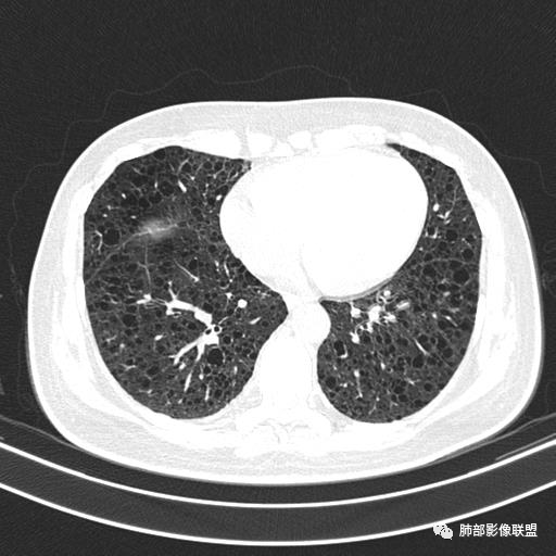
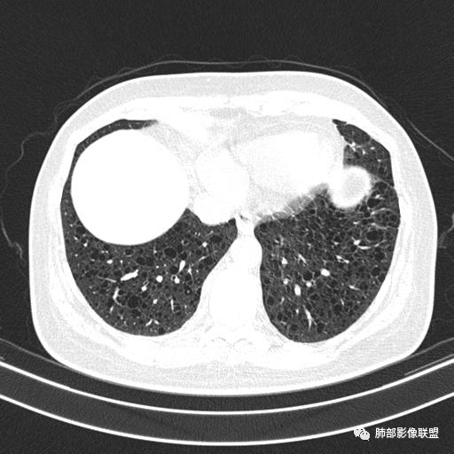
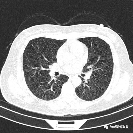
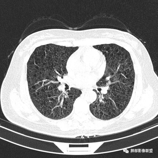
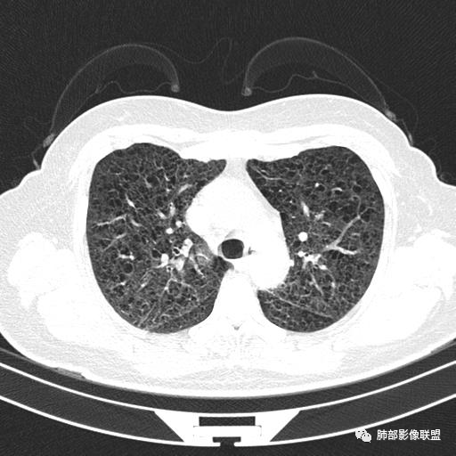
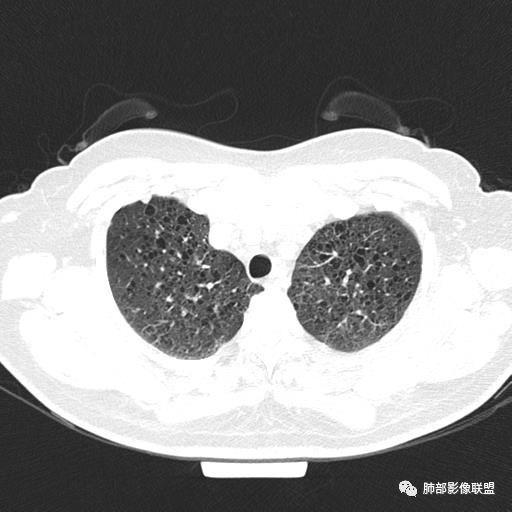
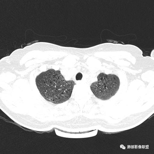
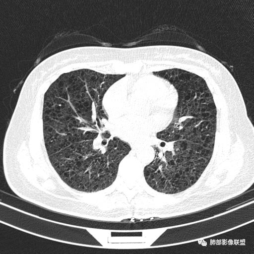
病例资料


































































































































































精彩发言
大雄:
中年女性,不吸烟
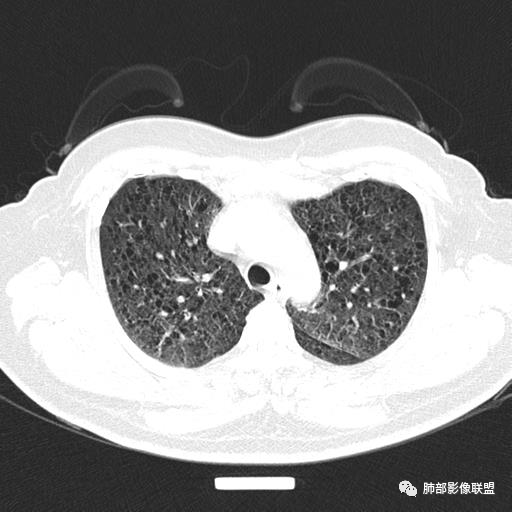
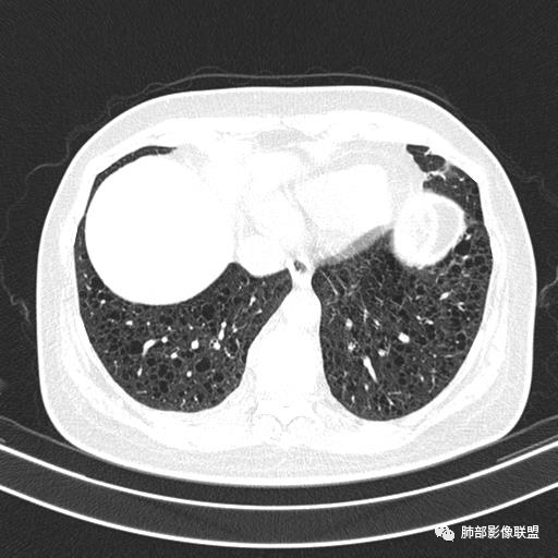
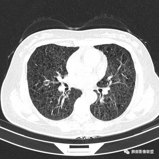
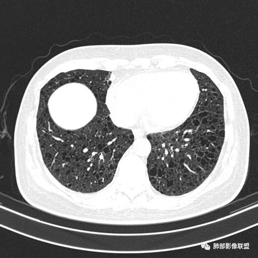
双肺弥漫囊腔,累及肋膈角,囊腔形态相对规则单一。
符合LAM
红星:
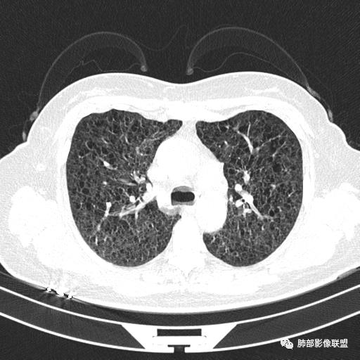
女性46岁
影像征象:
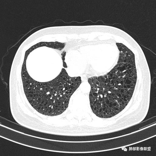
CT平扫示双肺弥漫分布大小不等囊状薄壁透光区,无内、中、外带分布差异,间质稍示增厚。拟LAM
采莲:
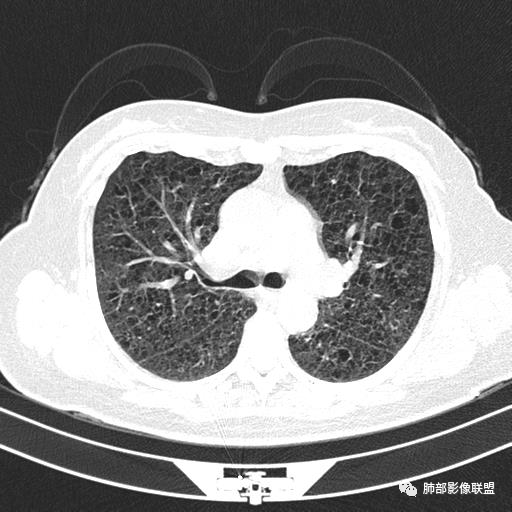
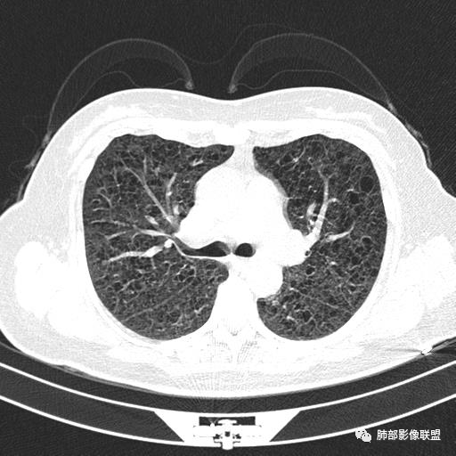
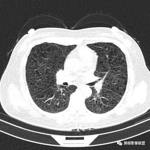
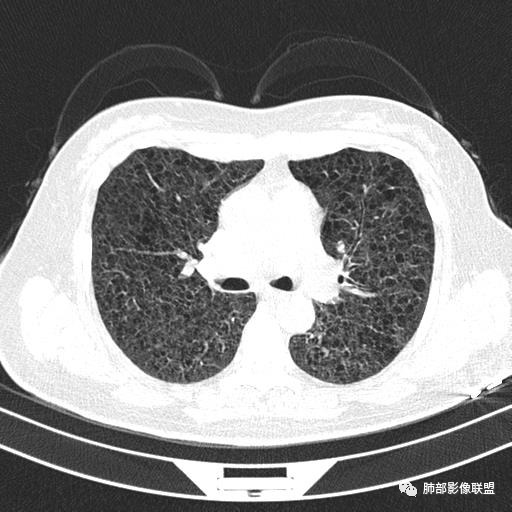
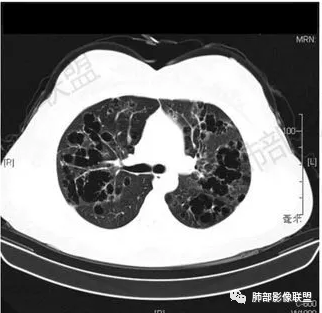
我也支持刘老师。中年女性,咳嗽气喘,有苯吸入史,双肺野多发囊腔,囊腔形态相对规则,大小不一,壁薄,有的似无壁,双肺弥漫磨玻璃影,有间质性改变,育龄期女性,首选考虑lam,但是患者有吸入苯病史半年,囊腔形态不是很规则,大小不一,分布不均匀,有的无壁似小叶中央肺气肿,有弥漫性磨玻璃及间质性改变,不排除吸入引起的间质性肺炎?
丽:
中年女性,双肺弥漫性磨玻璃密度影,并见弥漫性分布大小不一囊腔,壁薄,形态规则,考虑lam,鉴别苯中毒肺损伤致间质改变
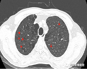
中年女性育龄期妇女,咳嗽气喘,无吸烟史,有苯吸入史。影像:双肺弥漫均匀小囊腔,无明显分布优势,囊腔形态欠规则,壁薄,部分囊腔边缘血管征,伴双肺弥漫磨玻璃影,无结节,考虑lam,鉴别苯中毒肺损伤,囊腔多有分布优势,小叶中心分布为主,形态规整等
宇宙:
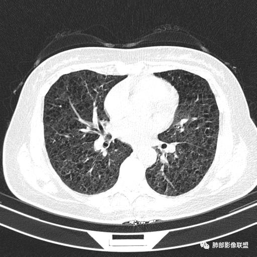
中年女性,两肺弥漫分布囊性低密度影,壁薄,相对规则,境界尚清晰,考虑LAM
良孑:
中年育龄期女性,双肺多发含气囊腔弥漫性分布,囊间肺组织结构正常,常规考虑Lam
流心明智:
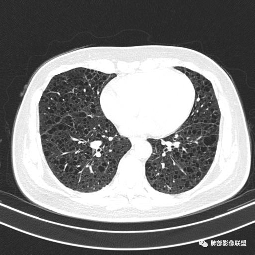
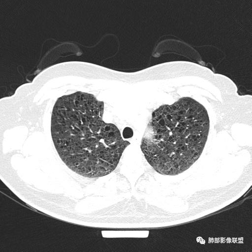
女,46,活动性气喘1年。苯吸入史半年。胸部CT:两肺弥漫囊腔,上至肺尖,下至肋膈角,形态类似小囊腔。考虑:LAM,鉴别LIP,BHD,PLCH等。
若尘:
双肺弥漫大小不一薄壁含气囊腔,囊间肺组织正常,正常肺背景,肺尖肺底受累;青年女性,气喘,支持LAM
张延军:
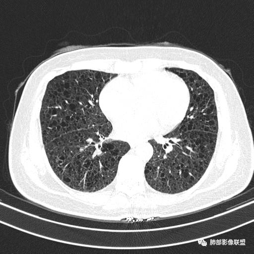
双肺多发大小相近的囊状影,分布趋势趋于一致,中年女性,考虑LAM。部分囊内见血管及分隔影,小叶中心性肺气肿代排


病理结果
         



关于肺淋巴管肌瘤病

 肺淋巴管肌瘤病(LAM)是一种罕见的弥漫性肺间质性疾病,病因不明,主要发生于育龄期女性;分为散发性LAM和合并有结节性硬化的LAM。
  病理改变:肺间质支气管、血管和淋巴管周围未成熟的平滑肌细胞增生,LAM细胞增生导致终末细支气管阻塞导致的空气潴留形成的囊腔;
  临床表现:进行性活动后呼吸困难,还有反复发作性气胸、咯血、乳糜胸等,往往有肺外脏器受到累及,可以合并肾脏、肝脏、骨骼、神经系统、淋巴结和面部皮肤软组织等多部位受累
  CT表现:双肺弥漫大小不等的薄壁囊腔,囊壁<2mm,外形规则,血管影多位于囊腔周围,囊腔之间肺组织正常,随着疾病进展到晚期,囊腔变大、增多,不可胜数,囊腔可融合成较大的囊,与肺气肿相似,形成间质性肺纤维化。部分病例可出现结节影。
  确诊LAM的诊断标准:①特征性的或与疾病相符的HRCT表现,且肺活检符合LAM病理标准;或②特征性肺HRCT表现及与疾病相符的临床病史:或者与疾病相符的HRCT表现,且具备下面任何一项:肾血管平滑肌瘤、胸腔或腹腔乳糜积液、淋巴管平滑肌瘤或淋巴结LAM受累,确诊或拟诊的结节性硬化。(欧洲呼吸病学会(ESR)2010初发布的世界第一部淋巴管肌瘤病的诊断和治疗指南)
  

双肺弥漫性囊腔的鉴别诊断

1.小叶中心性肺气肿:上肺为主,无壁,中央见小血管影,位于小叶核心周围,部分血管可推移到边缘,周围肺组织正常

2.肺朗格汉斯细胞组织细胞增生症(PLCH):
PLCH通常发生在青年人,男性多见,与吸烟密切相关,患者可无症状或有呼吸困难;肺组织病理是朗格汉斯细胞增生及浸润为特征,形成双肺多发细支气管旁间质结节囊腔。
CT表现:早期阶段以结节为主,小结节分布于小叶内、支气管血管束旁及小叶间隔,囊腔形态不规则,呈分支状、两叶或三叶,大小不一,囊壁厚薄不均,主要以中上肺受累为主,双侧肋膈角往往不受累,终末期过度充气及广泛囊腔形成网状纤维化或终末肺气肿,也可导致自发性气胸。

3.淋巴细胞性间质性肺炎(LIP):
  是一种罕见、良性的淋巴组织增生性疾病,组织学上是细支气管周围及肺间质内弥漫性淋巴细胞浸润为特征,特发性LIP罕见,常继发于结缔组织病(如干燥综合征、RA、SLE),免疫抑制状态(如HIV)有关,CT表现:双肺散在多发薄壁囊腔和小叶中心结节,囊腔沿血管支气管束周围间质分布,周围有磨玻璃密度影(反应出弥漫性间质炎症),小叶间隔和支气管血管束增厚。

4.Birt Hogg Dube综合征(BHD)
BHD综合征是一种罕见的常染色体显性遗传卵泡刺激素基因异常性疾病,首先于1977年由Birt、Hogg和Dubé三位医师报道, 典型临床表现为皮肤纤维毛囊瘤、肺囊肿、自发性气胸和肾肿瘤(通常为双侧), 甚至还可出现直肠息肉、直肠癌、卵巢囊肿、视网膜斑痕等改变。首诊的原因多为面部、颈部和上身躯干部位出现小的白色或正常肤色的丘疹, 这些皮肤的病损可随着时间而进展, 少数因肾肿瘤首诊。如果家族中有人经病理证实患纤维毛囊瘤 (临床上多在10岁以后出现) , 同时伴有BHD基因种系变异, 那么这个家族都有可能患BHD病。如果患者没有皮肤纤维毛囊瘤但携带BHD基因者往往有BHD基因的变异, 或是仅有BHD单倍体的遗传.
临床诊断BHD综合征需要满足一个主要或两个次要标准。主要标准包括:1、皮肤上至少发现5个纤维滤泡瘤,至少1个组织学证实;2、致病的FLCN种系突变阳性。次要标准:1、多发肺囊肿,双侧基底部,有或无自发性气胸;2、肾癌,起病早(<50岁)或多灶性或双侧;3、 BHD综合征一级亲属。BHD主要影像表现特征:1、两肺内肺囊肿:80%以上的BHD患者会出现肺内囊肿,且倾向于基底部近胸膜下分布,特别是纵膈侧肺膜下,囊肿形状不规则、囊肿可大可小,肺内囊肿多毗邻肺下动脉或静脉近端,胸部CT上囊肿分布和特点对诊断有提示意义。2、继发自发性气胸:BHD患者发生气胸风险是正常人的5倍,BHD患者的气胸发生率约为 1/4,气胸复发率则高达59%。3、肾肿瘤:(常为双侧性、倾向于嫌色细胞组织学亚型)4、皮肤表现(为面、颈部纤维性毛囊瘤、毛盘瘤)


5.囊性转移瘤
  空洞或囊腔型肺转移瘤相对少见,约占肺转移瘤4%,其中70%为鳞癌转移;常见的空洞型肺转移瘤的原发恶性肿瘤多见于头颈部的鳞状上皮癌、胃肠道的腺癌和女性的生殖系统肿瘤以及其他部位的肉瘤等,组织学以鳞癌和腺癌最多见。空洞型肺转移瘤常双肺随机分布。
 空洞型肺转移瘤成因尚不完全明确, 可能与鳞癌中心角化物排空 、腺癌黏液样退变后黏液排空 、肿瘤血供不足引起坏死 、肿瘤继发脓肿 、化疗等机制有关,其中部分薄壁囊腔样结可能是肿瘤细胞沿着原有的肺大泡或其它囊性结构生长或者肿瘤向小支气管侵犯引起活瓣性阻塞而形成 ,但无一种机制能解释全部现象。

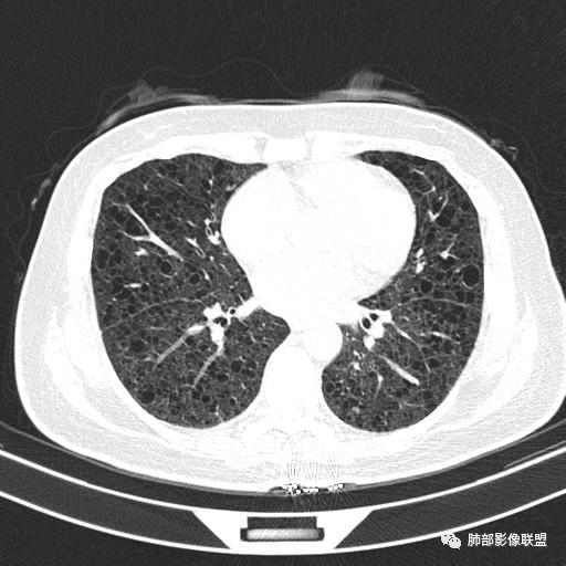
                               卵巢粘液囊腺癌肺转移

肺腺癌伴双肺转移,双肺多发环形薄壁囊腔转移瘤    来源于南京大学医学院鼓楼医院 周科峰
END
编辑:刘权威 蔡笑燕
审核:蔡笑燕 徐  晓


到顶部