【每日晨读】结核继发气管支气管淀粉变



病例资料
01




































微信群讨论
02

衡妈:
老年男性,气管入口至右主支气管壁弥漫性增厚,累及膜部,未见结节状凸起,考虑气管支气管淀粉样变性,鉴别复发性多软骨炎(不累及膜部),弥漫肉芽肿多血管炎(结节状增厚)。


不吝慷慨:
老年男性,气管全层受累(膜部受累),累及气管、主支气管,纵隔、肺门区无肿大淋巴结,首先考虑淀粉样变性,没有结节感,不考虑TO,复发软骨炎不累及膜部
离殇??:
膜部有一点受累
黄高晓:
老年男性,气管、支气管气管
弥漫性增厚累及膜部。支气管狭窄并阻塞。考虑气管、支气管淀粉样变
    
谢加平:
老年男性,气管前壁及左右侧壁(软骨分布区)和右右主支气管对称性水肿增厚并强化,气管后壁(膜部,无软骨成份)受累轻,考虑复发性骨软骨炎,建议耳廊软骨穿刺活检!
大雄:
不累及膜部的有复发性多软骨炎,气管支气管骨化症
累及膜部的有淀粉样变性和GPA

小锁:
老年男性,气管支气管壁广泛增厚、钙化,膜部受累轻,增强轻中度强化,定位气管支气管软骨部病变,考虑复发性多软骨炎,鉴别淀粉样变性,排除韦格、骨化性气管支气管病、结节病、结核、真菌等
流心明智:
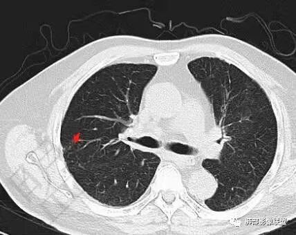
患者,男,73,间断咳嗽半年,加重半月。双肺底细湿啰音,双下肢轻度水肿。糖尿病、糖尿病微血管病变、慢性肾病、高血压、冠心病、陈旧心梗、冠脉支架、脑梗、慢性胃病史,得全了。吸烟史。血像、ESR增高。胸部CT:气管壁弥漫全层增厚,膜部也受累,气管腔外形仍在、无缩窄,病变延及左右主支气管,纵隔可见肿大淋巴结,大血管壁多发钙化,双肺上叶可见多发树芽,两侧胸膜局限性增厚。考虑:TB?淀粉样变?鉴别GPA、复发性多软骨炎、气管支气管骨化、转移性钙化等。

南边:
个人观点:结核还是肺内的,气管、大支气管改变还是支持淀粉样变性



尘缘:
没必要纠结,影像诊断到淀粉样变性,就很准确了。至于继发原因,这本身就是临床的事。你影像报了淀粉样变性,临床就会去找原发病。

病例小结
03

1.临床资料:
老年男性,间断咳嗽5个月,慢性长病程,炎性指标轻度升高。
2.影像表现:双肺上叶见结节影及条索影,树丫等,边界可分辨。气管支气管壁广泛增厚、钙化,形态相对均匀一致,上达声门区。支气管膜部受累。增强轻中度强化。纵隔见轻度增大淋巴结。
3.综合分析:双肺上叶病灶较符合继发性肺结核。支气管病变分布具有广泛性、一致性。支气管壁广泛增厚钙化常见于淀粉样变性。累及膜部气管支气管病变的有淀粉样变性和GPA
文献阅读
04
    淀粉样变是指一组表现各异的临床综合征,其共同特点为均具有细胞外淀粉样物质沉积。气管支气管淀粉样变(tracheobronchial amyloidosis,TBA)是属于良性气道病变的范畴,发病机制尚不明晰,病变可累及多个器官,临床表现各异,往往容易误诊或漏诊。
TBA是一种以淀粉样蛋白纤维在气管支气管黏膜下层异常沉积为病理基础的罕见气道疾病。淀粉样变性时淀粉蛋白纤维以不可溶的方式在细胞外沉积导致器官组织受损造成病变,所涉及的蛋白超过25种以上。据报道该病进展缓慢,需要1~20年才能确诊。TBA的发病率极低,男性多于女性,中位年龄在50岁。淀粉样变的临床分类有很多种,传统方法根据病因可分为原发性和继发性。原发性即无前期疾病及伴发疾病,主要由循环血液中免疫球蛋白的轻链及其碎片沉积于组织器官引起,称累积心脏、肾脏、血管壁、胃肠道、舌及呼吸道,以心脏和肾脏最多见,大多数累及1~2个器官;继发性淀粉样变可伴发于某些慢性疾病,如肺结核、梅毒等感染性疾病、恶性肿瘤、结缔组织疾病或与血液透析相关的淀粉样变。前苏联学者研究发现,合并淀粉样变的疾病首先是肺结核,其次是慢性非特异性肺部疾病。
TBA的临床表现无特异性,常为亚急性,多表现为咳嗽、咳大量白黏痰、胸闷、进行性呼吸困难等。也有报道描述症状为声音嘶哑、痰血,且常被误诊。TBA在胸部CT常表现为管腔不同程度增厚,管壁弥漫性钙化及支气管肿块部分钙化。TBA在支气管镜下可见气管支气管管壁多灶性隆起,或肥厚变形伴管腔不同程度扭曲狭窄,故支气管镜检查对其诊断有重要意义。典型病理学表现为黏膜下淀粉样物质沉积,刚果红染色(+)。
正因为TBA较为罕见且临床表现不典型容易误诊,所以更需引起关注,一方面需要排除是否属于继发性疾病,有无全身其他部位的淀粉样变,或是机体有无易引起其发生的疾病因素等,另一方面需要积极与其他疾病如慢性支气管炎、气管骨化症、复发性多软骨炎、支气管结核、支气管哮喘和肉芽肿性疾病等相鉴别。支气管镜检查是鉴别诊断等重要工具,通过病理的金标准即可明确诊断。在活检过程中,因为淀粉样变的组织质地脆,触之易出血,有部分患者入院即有痰血、咯血等临床症状,所以要做好镜下止血的准备工作,譬如去甲肾上腺素、血凝酶、氩气刀等,并根据情况给予相应处理。
对于TBA的治疗,没有确切的方法,因为病例数较少,缺乏随机试验。结合文献,如果无不适症状可暂不给予治疗;确需治疗,建议考虑药物对症、内镜治疗、激光、外照射和手术,其中药物治疗主要包括激素单药或联合或雾化吸入等,内镜下治疗有个别报道认为无明显效果,大多认为病灶较为局限的可以考虑内镜下局部消融,主要包括硬镜铲切、冷冻消融、氩离子束凝固术、激光以及支架置入等。因TBA多为个案报道,没有大数据支持,故远期疗效均不确切,仍需进一步探究。
文献来源:《国际呼吸杂志》2019年第1期    作者:唐飞 吕莉萍
注:本文献转载仅用于学习交流目的,无任何商业用途,如有版权问题,请联系公众号删除。 

编辑:杨  丽
审核:徐  晓


到顶部