【每日晨读】胸膜下孤立性肿块的善恶之辨


肺部影像联盟

晨读
     每日一例,不同精彩

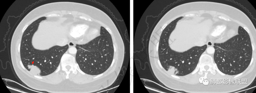
01
病例资料













02
微信群讨论

谢加平:
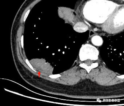
右肺下叶后基底段胸膜下斑块影,边缘清楚,软组密度有轻度强化,支气管边缘阻断(杯口状,炎性特点征),小血管束进入自然,末见破坏,胸膜下糊墙征,局部见水肿带(炎性特点之一),方向炎性肉芽肿,VR图像处理,抗炎诊断2周胸部CT复查,外形有山丘征特点,与小细胞Ca鉴别。
许慧良:
无症状体检发现右肺下叶不规则后基底段胸膜下实变影,整体边界清楚,部分有磨玻璃影,边界平直收缩,长轴平行胸膜,内部见支气管进入后截断,内部密度不均匀,增强扫描轻度不均匀强化,考虑炎性病变,隐球菌可能,鉴别腺癌
秦化君:
左肺下叶胸膜下团块影,长轴平行胸膜,边缘清晰,可见磨玻璃影,支气管进去后截断,胸膜糊墙,增强后轻度强化。考虑炎性肉芽肿病变,隐球可能。
doctor:
考虑隐球菌病?鉴别腺癌
宇宙:
右肺下叶胸膜下肿块,宽基底与胸膜相连,糊墙,边缘少许晕,局部边缘刀切,支气管进入后阻塞,强化均匀,考虑炎性病变,隐球菌可能,鉴别腺癌
大雄:
腺癌与隐球鉴别:
需要知道患者年龄,需要MPR多平面重建以及更清晰的图像来判断边缘是晕还是清晰的GGO,有无分叶毛刺等。
姜春雷:
支持隐球菌,鉴别腺癌
先血清荚膜抗原检测,阴性的话,然后穿刺活检
春秋:
胸膜下病灶,边缘磨玻璃清晰,胸膜下胸膜牵拉增厚,考虑恶性,腺癌可能大!
361度:
体检发现右肺下叶胸膜下结节影,宽基底与胸膜相贴,边缘光滑,无分叶,毛刺,糊墙,周围见磨玻璃晕,支气管进入后阻塞,增强后轻度强化,内血管正常。首先考虑炎性,隐球?鉴别腺癌。
空格:
腺癌pk 炎性灶 。偶发病灶 。  支持隐球菌征像:1 似乎晕中刺  2 门内堵   不支持点:肋间肌受侵,不符合撞了南墙就回头的特性   支持腺癌:1 支气管截断 2 略膨隆  3 胸膜缘收缩,伴少量积液  4 似有胸膜外侵润,但未直接接触肋间肌,肋间肌的肿胀,提示或排除炎性待验证,隐球菌大概率要去了  5 晕是否未周围磨玻璃灶?6 无症状的大病灶,多见于肿瘤偷袭        综合 腺癌》炎性灶
滕翔:
右肺下叶胸膜下病灶,长轴平行胸膜,支气管进入后堵塞,周边边界清楚,有少许周边磨玻璃影。强化可见内血管影,强化较均匀,无临床症状,考虑炎性病灶,肉芽肿性可能。
金豆:
体检发现,支气管进入后截断,长轴与胸膜平行,糊墙,晕,不均匀强化,隐球,鉴别腺癌。
位移:
年龄不详,体检发现,支气管进入后截断,长轴与胸膜平行,略膨隆,糊墙,胸膜下水肿,少许晕,不均匀强化,考虑炎性病灶,隐球可能,鉴别肺癌。
看图说话:
右肺下叶紧贴胸膜不规则结节,密度均匀,长轴平行于胸膜,胸膜糊墙,支气管进入阻塞,均匀强化,考虑炎性,隐球,鉴别腺癌。
peek_knight:
右下叶基底段胸膜下斑片影,界清,轻度强化,小血管束进入自然,了解胸膜增厚,水肿,考虑炎性病变,隐?,鉴别小细胞Ca,淋巴瘤。
光阴似箭:
体检发现,支气管进入后截断,长轴与胸膜平行,糊墙,晕,不均匀强化,隐球,鉴别腺癌。
夏威夷的风:
考虑炎性肉芽肿病变,隐球菌可能性大
刘和林:
右下肺肿块,边缘见局限性突起、膨胀感,可见支气管截断,其内见多发血管,密度均匀。考虑恶性,高分化腺癌,小细胞肺癌?鉴别隐球菌,建议穿刺活检。
尘缘:

大雄:
直接拍死了呀!如果这患者是20岁  我就敢拍
尘缘:
@於雄 九江市一医院影像 反正单凭影像来说,我只能诊断隐球,没看到多少支持腺癌的特点。至于粘液腺,长这么大还没有一点播散的可能性小,淋巴瘤的话,支气管半路堵了,没有扩张,所以我也不考虑。
提供的图像都指向隐球了。
大雄:
我也不考虑淋巴瘤.反正我一定会看MPR重建
杏林使者:
右肺下叶病灶,有膨隆、周围玻璃影、支气管截断近肺门侧有轻度扩张,增强轻~中度强化,内见血管增粗穿行,临近外侧壁胸膜受侵,考虑恶性肿瘤性病变(腺癌>小>肺淋巴瘤),鉴别:隐球菌、炎性假瘤等。
冯连彩:
体检发现,年龄不祥,右肺下叶靠近胸膜下实性肿块,长轴与胸膜平行,边缘光滑,无明显分叶及毛刺,边缘平直为主,支气管进入后截断,轻中度强化,胸膜下脂肪间隙清晰,考虑良性病变,炎性肉芽肿可能,鉴别肺癌。
南边:
增厚的胸膜?肺内病灶的一部分?
容积效应?边界清楚GGO?


03
病例结果



04
继结果之后的再讨论

꧁༺༽༾ཊ天涯ཏ༿༼༻꧂:
直接考虑粘液腺癌的高手老师,讲讲怎么定的可好?
赵春杨:
我是主要看边界,有分叶跟清晰的ggo,隐球菌周围渗出模糊,不会这么清晰分叶。
马春平(张家港市一院胸外科):
应该没有胸膜侵犯
大雄:
如果大病灶周围有几个葫芦娃,就可以拍死隐球,支持没有胸膜侵犯
马春平(张家港市一院胸外科):
这类单发肿块型或结节型粘液腺癌可能首诊在胸外科的会多一些
没症状和胸膜痛、有较清晰的GGO、分叶、长轴平行胸膜、重力感、支气管血管未完全侵犯、轻度强化,这些也都是粘液腺癌的特点,可能要考虑到粘液成分的多少、稀稠。
隐球菌毕竟是个亚急性感染
南边:
我觉得这个有价值。这不是胸膜,是肺内病灶的

马春平(张家港市一院胸外科):
个人认为,相对于隐球菌的亚急性感,粘液腺癌的CT征象其实还是要稍显单一些
南边:
这一条可能是胸膜

马春平(张家港市一院胸外科):
是的,病灶远端增厚水肿的脏层胸膜
良孑:
结节边缘多发淺分叶呈锯齿状也是腺癌的一个特点。

                  说在后面的话
影像与临床:
1.患者年龄不详,没有相关临床症状(体检发现)。
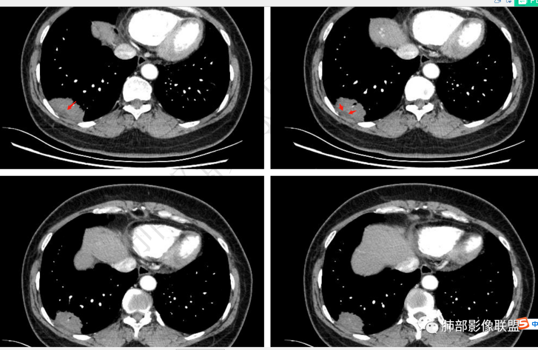
2.右肺下叶近胸壁处团片影,边界较清楚,表面欠规则,较均匀实行密度为主,边缘可见边界较清楚的磨玻璃密度区。相邻胸膜增厚,胸膜下隐约见液性密度区,壁层胸膜未见突破蔓延(栽赃)及凹陷。
3.病灶轻度强化,可见血管支气管进入,未显示“脐凹征”或“血管集束”。
4.肺门及纵隔未见增大淋巴结。
综合分析:
1.病灶缺乏极具说服力的影像学特征。
须注意的是患者“没有临床表现”、“胸膜下病灶范围较大”。
2.感染性病灶容易想到的是隐球菌以及结核感染,影像不支持结核,“胸膜下病灶范围较大”却缺乏胸痛以及任何呼吸道症状等等,即便怀疑隐球菌等感染也未免有些使人惴惴不安。
3.积极查找病原菌并予以相应处置是常用措施。
4.定期复查病灶持续存在则应有针对性排除肺炎型肺癌,如粘液腺癌、腺癌等等,毕竟病灶有磨玻璃影,且过于安静。
 
编辑老师:雷凤
审核老师:蔡笑燕  徐  晓
鸣谢病例提供老师:李运健
【广西群读片系列】似清非清磨玻璃—粘液腺癌与炎性肉芽肿孰是孰非
【肺部影像病理系列】磨玻璃边界似清不清------粘液腺癌
【每周一例】07期:琢磨不透的肺部结节型粘液腺癌
【曹捍波讲堂】结节型早期原发性肺粘液腺癌CT诊断及误诊对策
【联盟讲堂】曹捍波老师1月17日晚8时《表现为结节型早期肺粘液腺癌CT诊断及误诊分析》
 粘液腺癌、结核、曲霉影像—病理的拨云见日式分析



-END-
到顶部