【每日晨读】 青少年咯血,肺部空洞病变让人意想不到


病例资料





































微信群发言
大雄:
临床:男,15岁,咳嗽咳痰伴咯血盗汗10余天。既往有结核病患接触史。
实验室:血沉增高,淋巴细胞稍低,其他无特殊。
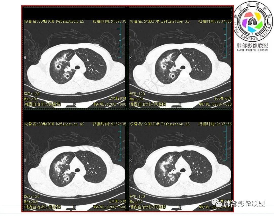
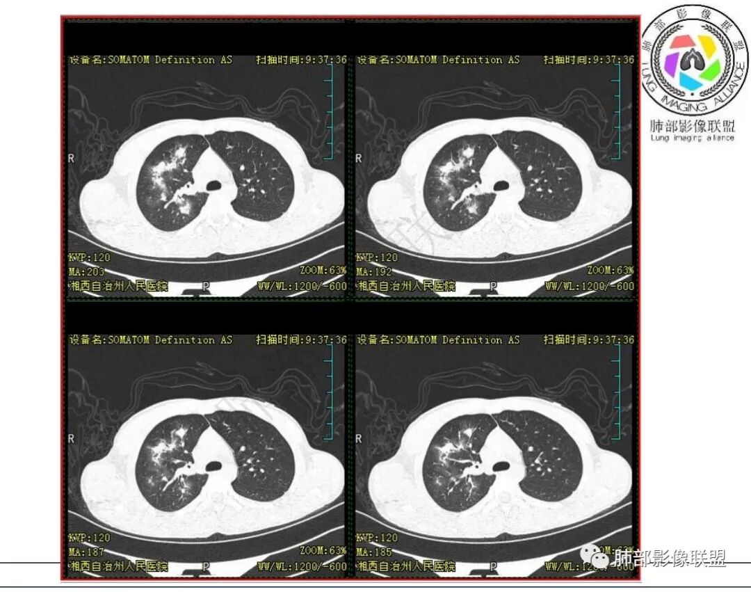
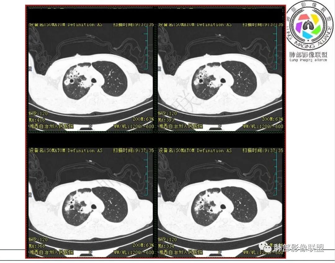
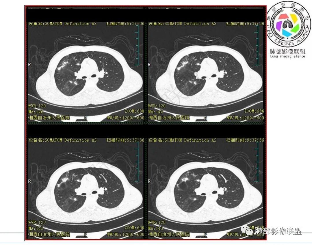
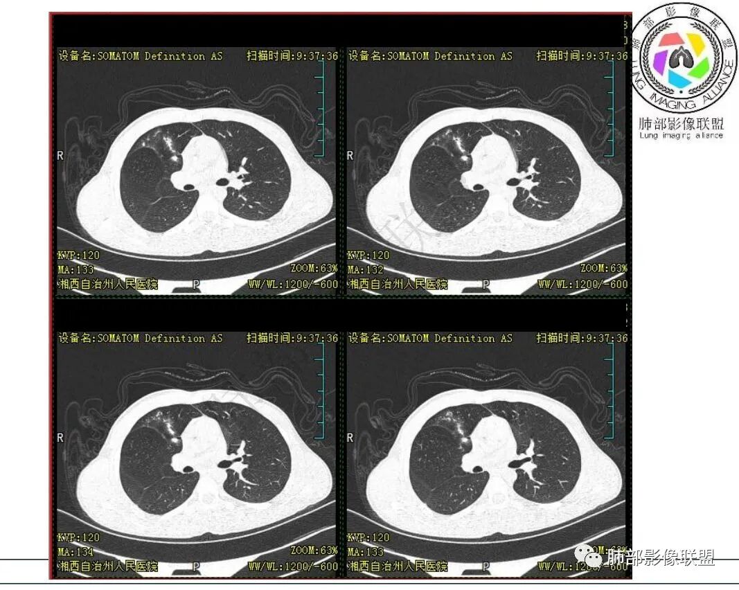
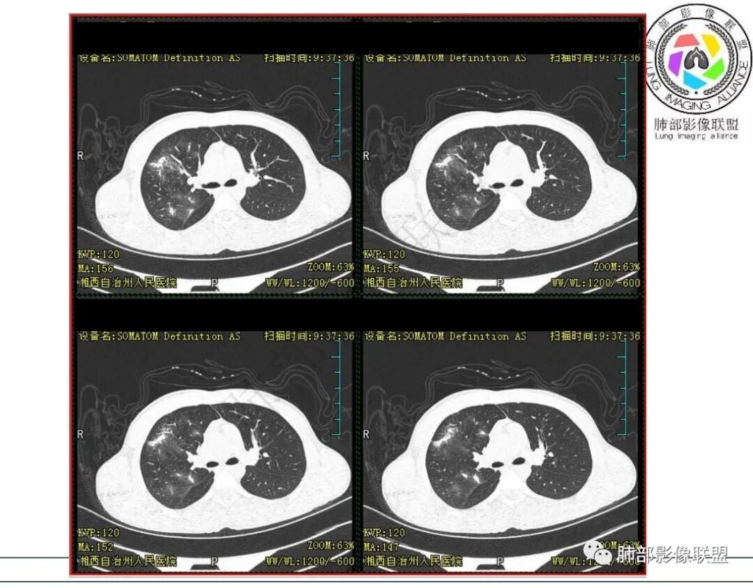
影像:右肺上叶多发实变影结节影,边界模糊,边缘收缩,伴多发空洞,洞壁光滑,部分支气管壁增厚。
临床与影像都要首选考虑结核,但是结核相关各项实验室检查均阴性,没有找到病原学依据。
因此,还需要怀疑NTM,影像可以模拟结核。
其次,寄生虫病,但是患者EOS不高,作为待排项,问一问有无生食史。
下一步,穿刺活检?还是临床也可以诊断性抗结核治疗复查?
大雄:
真菌感染方面,隐球影像不典型,曲霉没有宿主危险因素,不太好考虑
不吝慷慨:
空洞张力太高,NTM一般是软踏踏的空洞
丽:
青少年,咳嗽伴咯血,右肺上叶多发结节状及片状高密度影,边缘模糊,部分可见空洞,呈薄壁,内壁光整,支气管管壁增厚、部分扩张,结核不支持,考虑NTM,鉴别真菌、金葡
若晗:
青少年,病灶右肺上叶尖后段,多发空洞伴支扩,虽实验上无支持TB的依据,但结合临床考虑NTM可能性大,鉴别金葡
张延军:
右肺上叶体积略缩小,大片状实变区,内有空洞影,内壁光滑,张力偏高,实变区内见充气支气管,病变周围多发片状磨玻璃影,界不清,多次送检未检测到结核杆菌,儿童,咳嗽,咳痰,咳血病史,考虑NTM
看图说话:
右肺多发斑片,结节,边界模糊,有晕,内见空洞,空洞壁光滑,气管壁增厚,考虑感染性病变,常规考虑结核,鉴别隐球菌,NTM。
流心明智:
男,15岁,咳嗽咳痰伴咯血盗汗10余天。既往有结核病患接触史。血沉增高,淋巴细胞稍低。胸部CT:右肺上叶多发实性斑片影、结节影、索条影,边界模糊,周围晕,边缘收缩,部分病灶内空洞,洞壁光滑。感觉病灶与血管关系密切。考虑:多发,多形态,空洞,血管炎?WG?鉴别TB、NTM、奴卡等慢性感染。
小飞:
青少年男性,右肺多发斑片状实变影、结节影,长轴平行于胸膜,边缘收缩、模糊,另可见薄壁空洞,内壁光整,边缘模糊,考虑结核合并隐球菌
薏米:
儿童,右肺多发散在斑片影,结节,实变,边缘凹陷,可见多发空洞样改变,内壁光滑,周边散在磨玻璃样结节,考虑诺卡菌可能,鉴别金葡、血管炎
放射线:
右肺上叶多发斑片及结节影,边缘凹陷,可见多发空洞,内壁光滑,周边磨玻璃样改变,常规考虑结核,但临床不支持,考虑,寄生虫?努卡?鉴别隐球菌
小锁:
青少年,呼吸道症状,急性病程。有结核病患接触史。血沉增高,淋巴细胞稍低。胸部CT:右肺上叶多发结节并空洞,洞内干净,洞壁内缘光整,边界模糊,周围晕,边缘收缩,部分病灶侧向融合,定位气道来源病变。考虑感染性病变,疾病谱:NTM,TB、努卡、金葡。
毛勤香:
上叶多发空洞,有晕,局部沿支气管血管束走行,咳血,年轻男性,树芽征不明显,淋巴结肿大不明显,临床结核指标不支持,首先考虑ntm,鉴别结核,奴卡,曲菌,血管炎,马尼
南边:
从发病部位,实变病灶的边缘、密度,空洞的特点,支持慢性炎性病变,结核首选
曲霉菌不支持

                           病例回顾分析
1.青少年男性,急性起病,咳嗽咳痰伴咯血盗汗10余天。既往有结核病患接触史。
2.实验室:血沉增高,淋巴细胞稍低,其他无特殊。
3.首次CT提示:右肺上叶多发结节影及实变影,簇状分布,周围散在磨玻璃影,结节内多类圆形空洞,内壁光整,有一定张力,偶见液平。部分支气管壁增厚。
考虑良性感染性病变可能。
4.患者年龄、临床与影像都会首先考虑结核,但是结核相关各项实验室检查均阴性,没有找到病原学依据。
  因此,还应当排除NTM,影像可以酷似结核灶。
5.抛开分布不谈 其他的,临床中毒症状不明显、非易感人群,肺结节、实变、晕征、空洞等等都可以符合隐球感染。
  本例病灶分布特点比较偏中央分布,不是我们常见的隐球外围胸膜下。看来诊断隐球,分布不能太绝对,至少不能作为绝对排除项。
联盟推荐文章链接:【肺部影像系列】隐球菌肺炎诊断要点
https://mp.weixin.qq.com/s/fvJkooBcs1LdvjogHRzcQg
编辑:谢壁樯
审核:徐  晓
到顶部