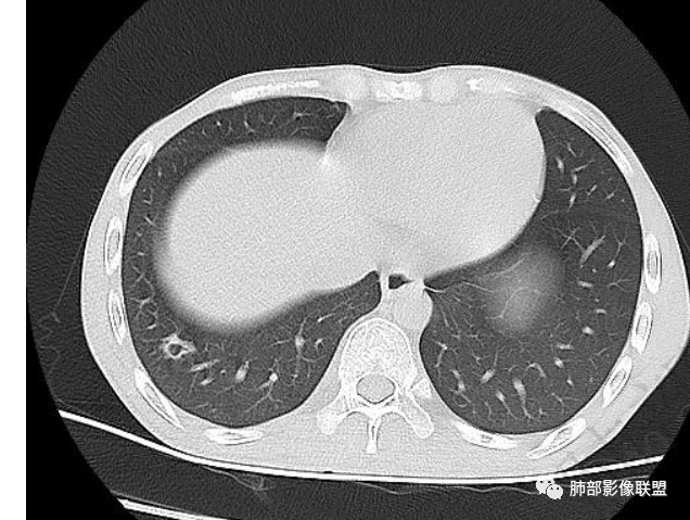
【每日晨读】 右肺下叶空洞性病灶,读罢病史,答案呼之欲出




精彩病例分享























































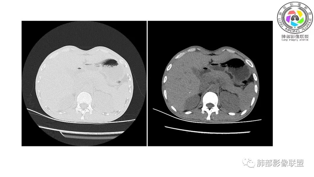
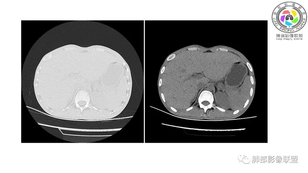
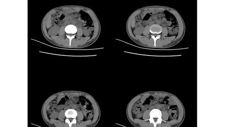
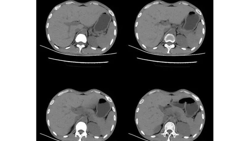
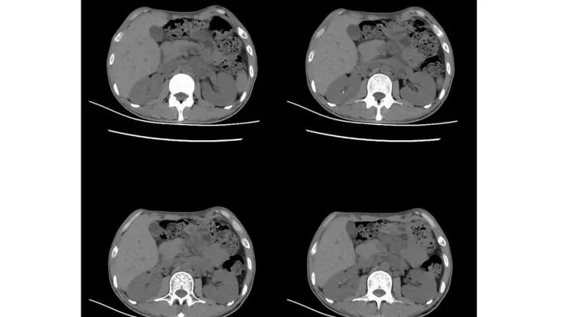
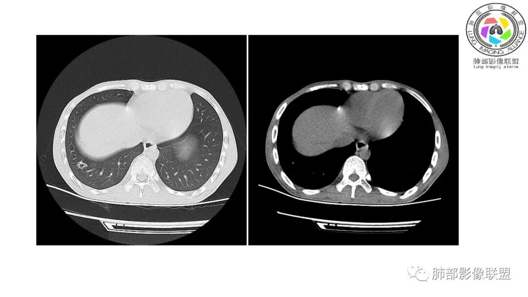
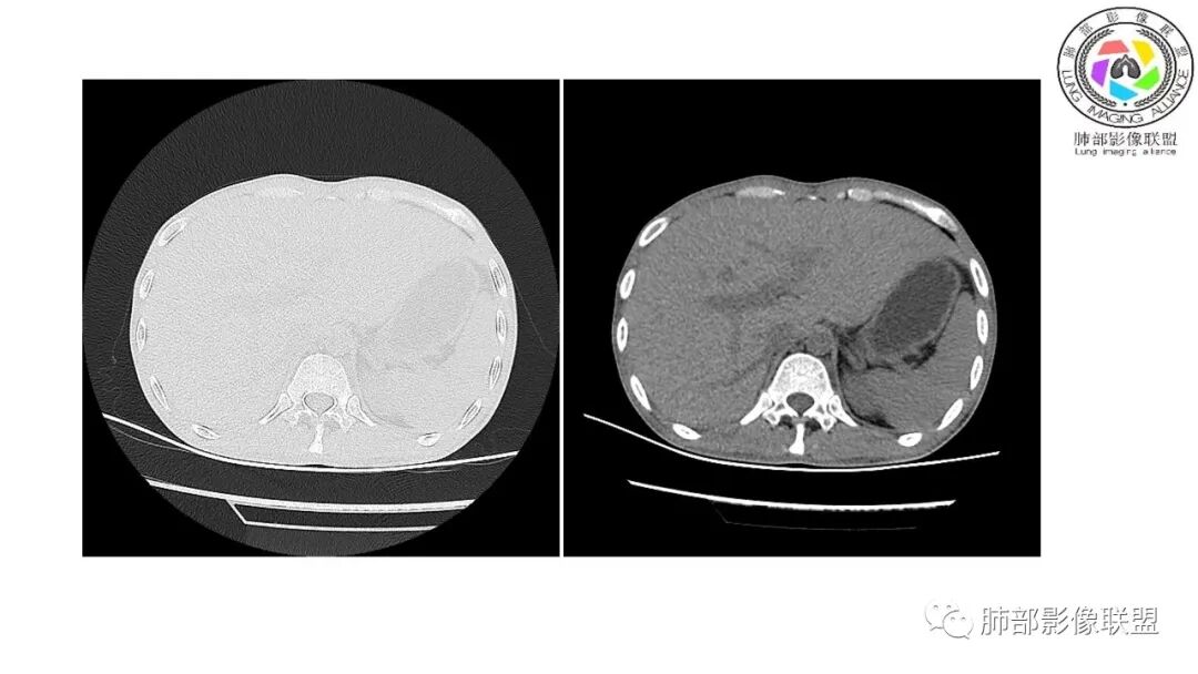
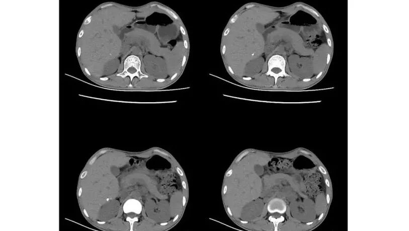
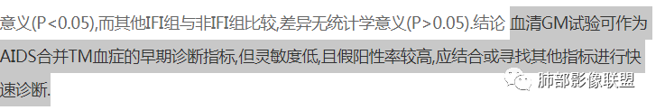
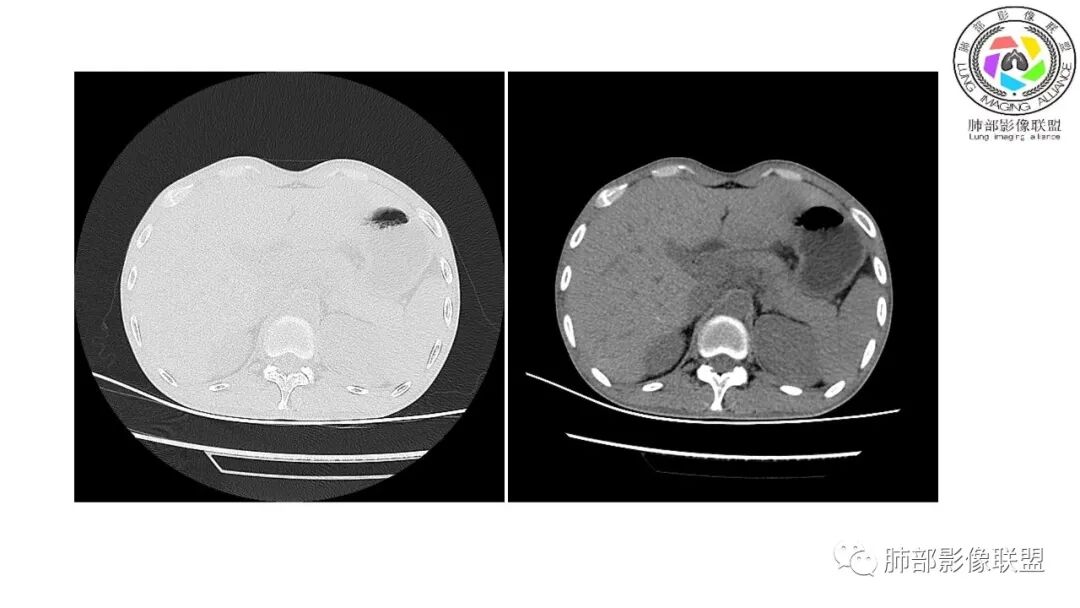
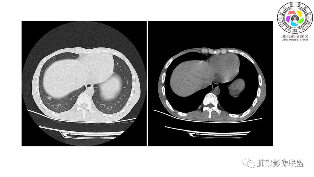
以下为2021-7-15日上腹部CT













精彩解析

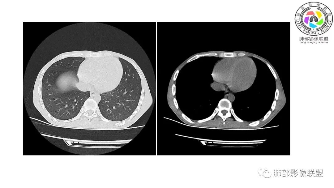
王开金:青年男性,免疫缺陷患者,crp.esr炎性指标升高,pct升高,g试验阳性,白念阳性,影像学右下基底空洞,内壁光滑,孤立,无气液平,考虑机会性格感染,隐球菌?诺卡菌?


一切∮随缘:右肺下叶小空洞+纵隔,腹膜间隙多发淋巴结肿大+皮疹+HIV阳性,考虑马尼,结核。


宇宙:青年男性,HlV阳性,皮疹、发热,实验室CRP、PCT高,结核阴性,右肺下叶薄壁空洞结节,其内线状影,纵隔淋巴结稍大,心腔密度低,腹腔多发肿大淋巴结,支持马尼


丽:青年男性,发热伴皮疹,右肺下叶空洞型病变,呈薄壁,内丝丝缕缕不干净,伴腹腔及腹膜后多发肿大淋巴结,治疗后右肺下叶空洞无明显好转,贫血,考虑马尼


毛勤香:病史即提示诊断了,马尼,肝脾大,多发淋巴结肿大,右肺下叶空洞,首先一元论


飞鹰行动:青年男性,HlV阳性,皮疹、发热,右肺下叶薄壁空洞结节病灶,其内不光滑,可见短线影,周围未见卫星灶,纵隔淋巴结稍大,腹腔可见多发增大淋巴结,支持马尼,鉴别结核,奴卡。


若晗:HlV病史,皮疹,结合淋巴结肿大,考虑马尼可能性大,鉴别曲霉

赖晓宇:病史直指马尔尼,鉴别下隐球菌,结核与NTM排最后,完善血培养双管,皮肤组织培养,隐球菌荚膜抗原,痰结核病原学等

金豆:HIV阳性,CD4 28个免疫缺陷  大方向感染没问题空洞雷老师提供病例  似乎读过   隐球不鉴别了


良孑:HIv阳性,皮疹,CD4↓右下叶空洞,空洞内可见絮状物,腹膜后淋巴结肿大,常规考虑马尼,其次马尼并曲霉


了:右肺下叶实变,可见空洞,内可分隔,有免疫缺陷,常规机会菌


流心明智:男,23,发热伴皮疹3天。HIv阳性3年。PCT、CRP、ESR、D二聚体等增高,CD4减少。胸腹部CT:右肺下叶空洞结节,周围界清磨玻璃,纵隔淋巴结增大,肝脾大,腹腔多发淋巴结肿大。考虑:1.机会性感染,马尼?TB?2.淋巴瘤待排。


琦遇:江西省、青年男性、HIV有免疫抑制、感染指标高、血沉快、G实验阳性、CT:纵膈、腹部多发肿大淋巴结、肝大、右肺下叶胸膜下空腔样病灶,复查病灶有缩小、空腔内不干净  有皮疹  提示多系受累  综合分析考虑马尼  需要就问病史 是否有竹鼠接触史  皮疹、淋巴结大、肝大、如果是HIV 病人现在AIDS本身就可以这样的话,需要鉴别金浦、隐球菌、结核、奴卡、白念等,江西与福建接壤


蓝天白云:
免疫缺陷,病灶有空洞,首选马尼。


尘缘:根据病史,大家都直接诊断马尼了。不过结核还是需要鉴别的,淋巴瘤(HD)或淋巴瘤合并其他机会性感染,也是需要鉴别的。


放射小白:支持马尔尼菲蓝状菌。


大雄:联盟真厉害,支持大家马尔尼菲



南大解析
南边:
这个影像有啥特点?大家还是读临床

南边:对侧?


南边:12日好一些

南边:支持炎性,结合病史,马尼首选
病例结果


实验检查小解析

THINKER:
GM只针对曲霉菌,G丶GM不针对隐球菌丶毛霉菌
琦遇:
隐球菌GM可以阳性吧
wonderful:
G试验和GM试验:
隐球菌:G试验(-)、GM试验(+)
酵母样真菌:G试验(+)、GM试验(-)
曲霉菌、青霉菌/拟青霉菌:G试验(+)、GM试验(+)
结合菌:G试验(-)、GM试验(-)
卡氏肺孢子虫:G试验(+)、GM试验(-)
尖端赛多孢子菌:G试验(+)、GM试验(-)
镰刀菌:G试验(+)、GM试验(-)
毛霉菌:G试验(-)、GM试验(-)
大雄:
G是真菌细胞壁的葡聚糖释放,GM是曲霉菌细胞壁特有的多糖,所以怀疑曲霉  才需要做GM,其他都不用
怀疑真菌都可以做G,除了隐球和毛霉
病例小结

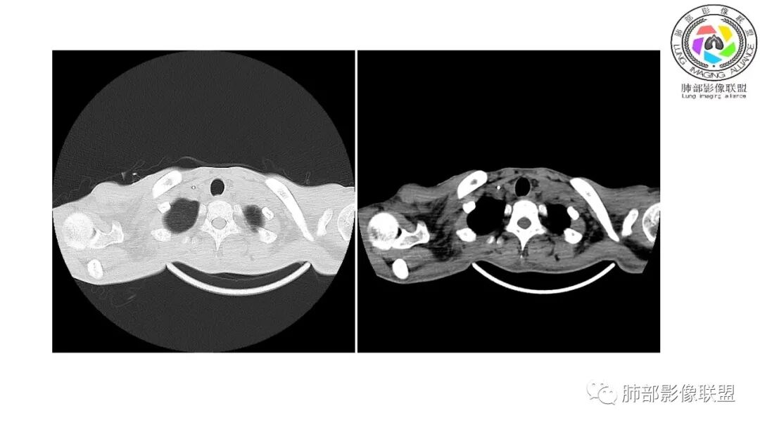
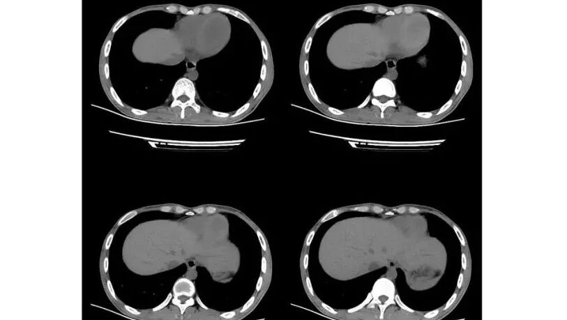
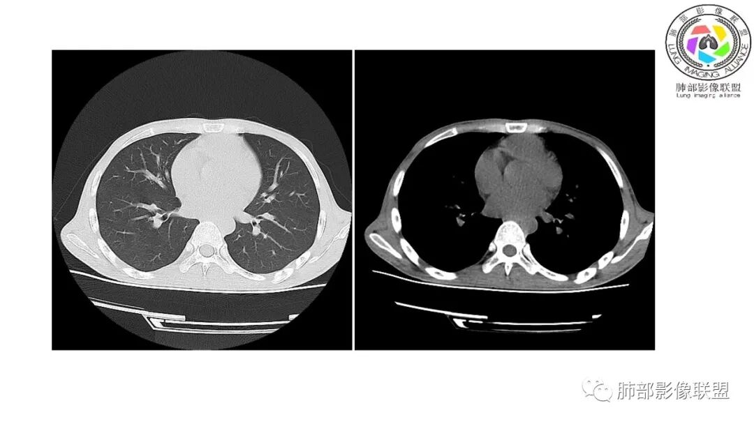
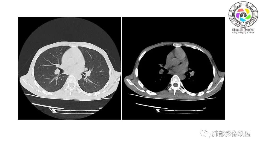
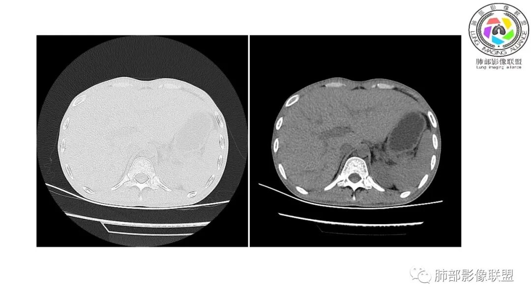
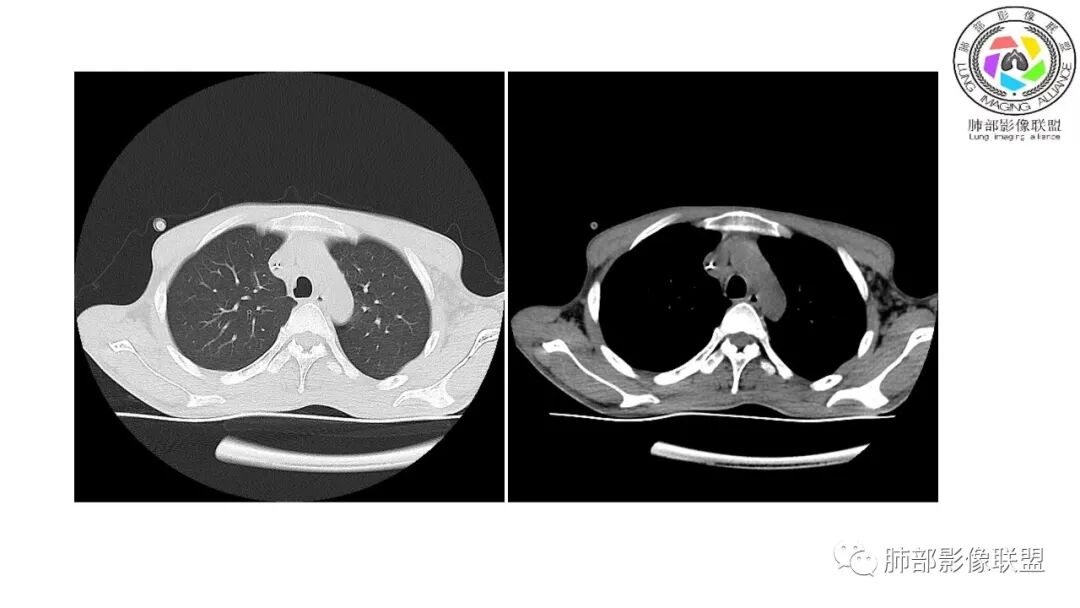
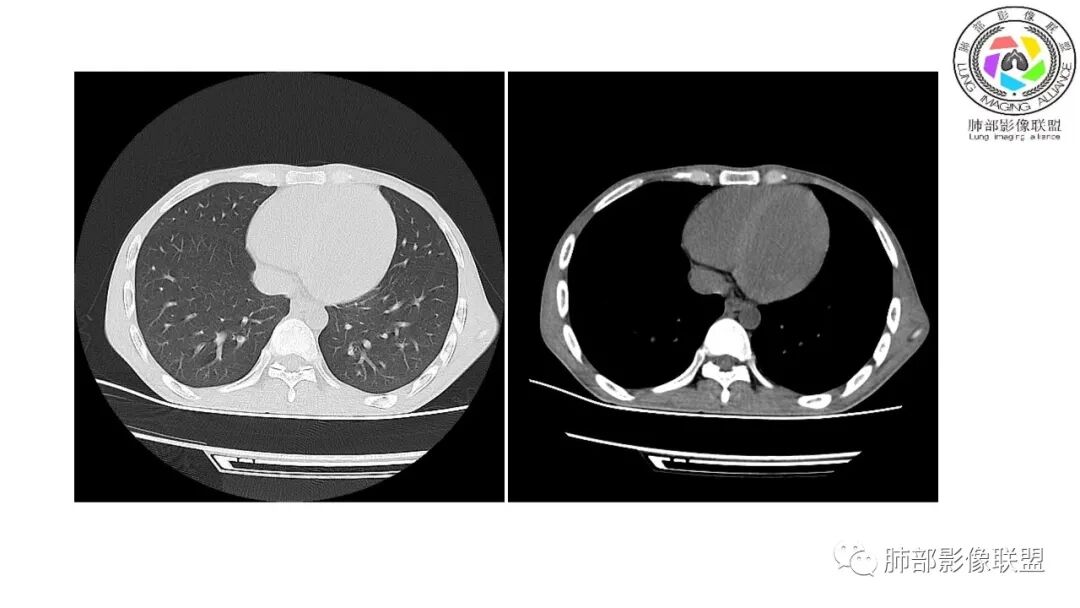
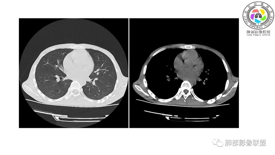
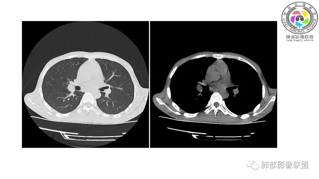
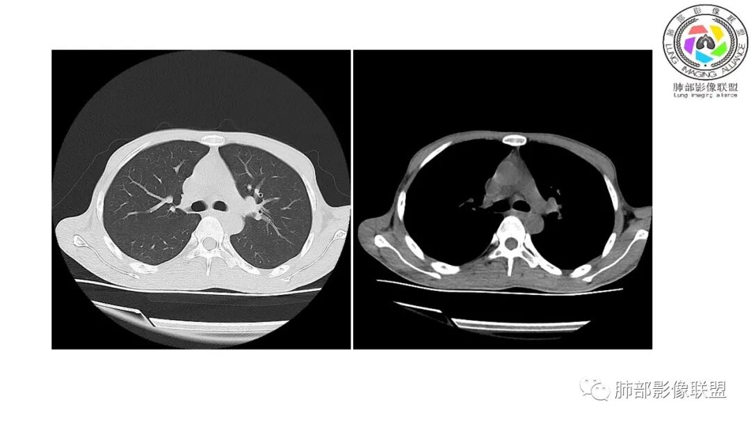
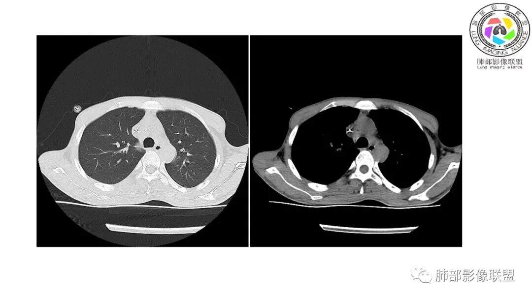
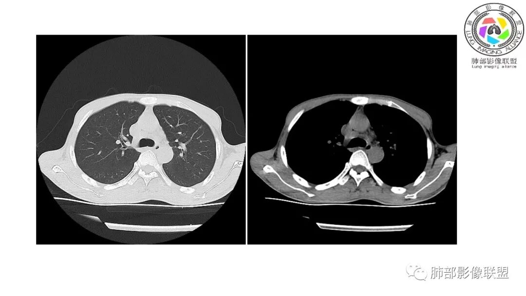
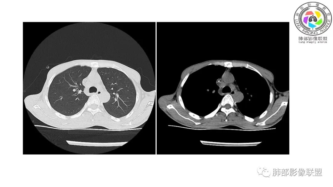
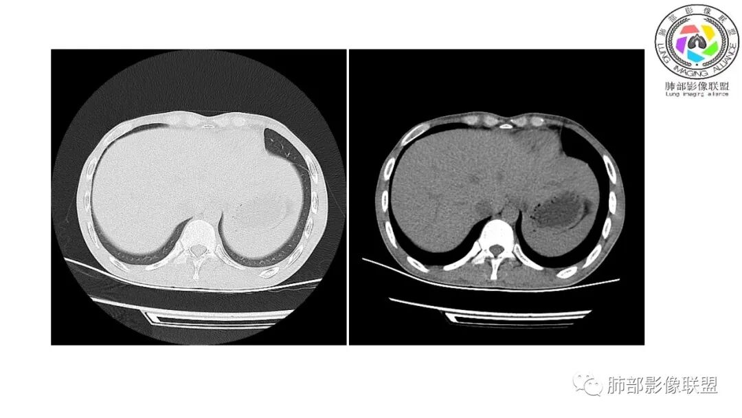
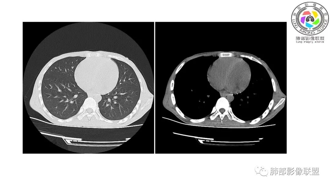
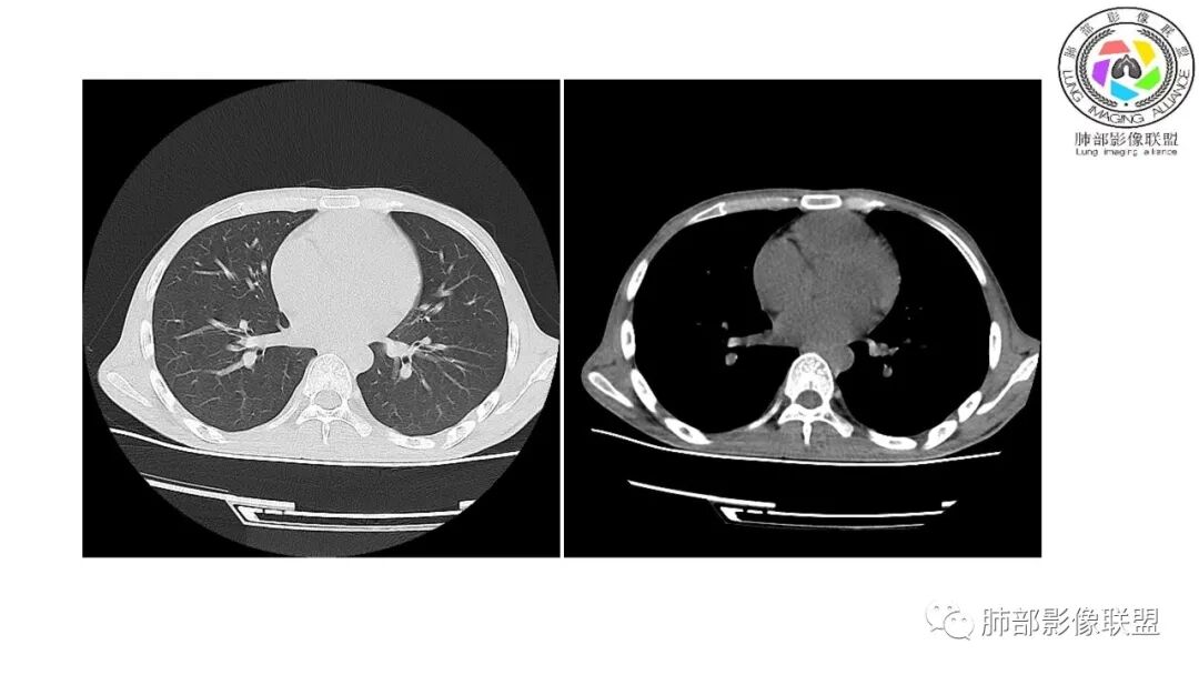
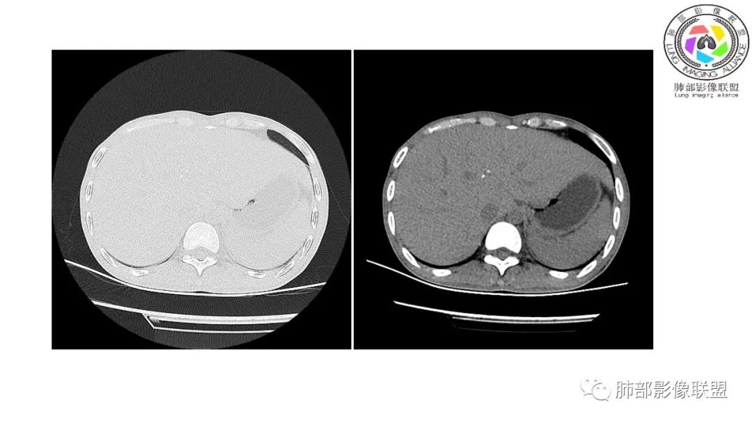
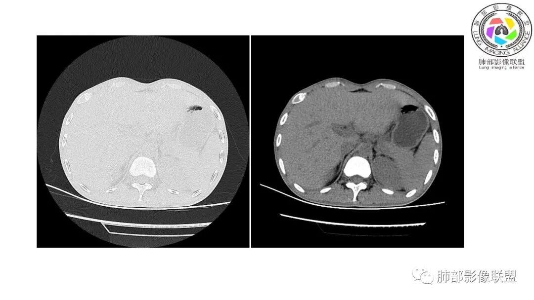
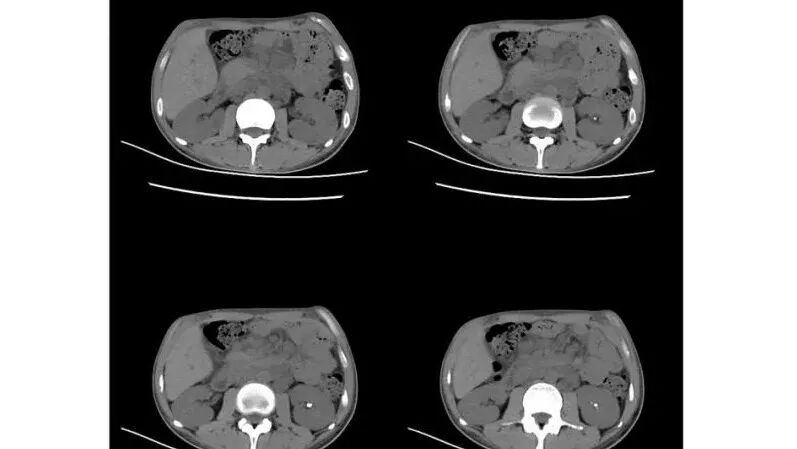
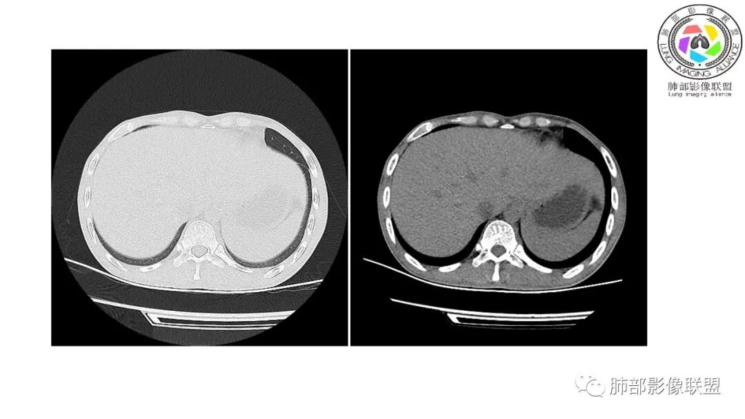
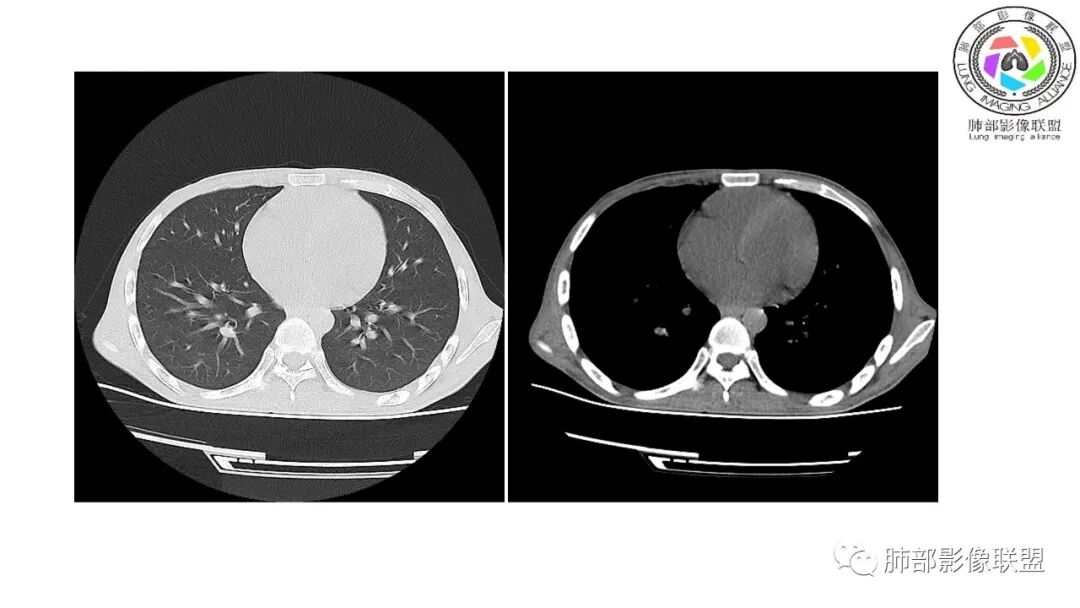
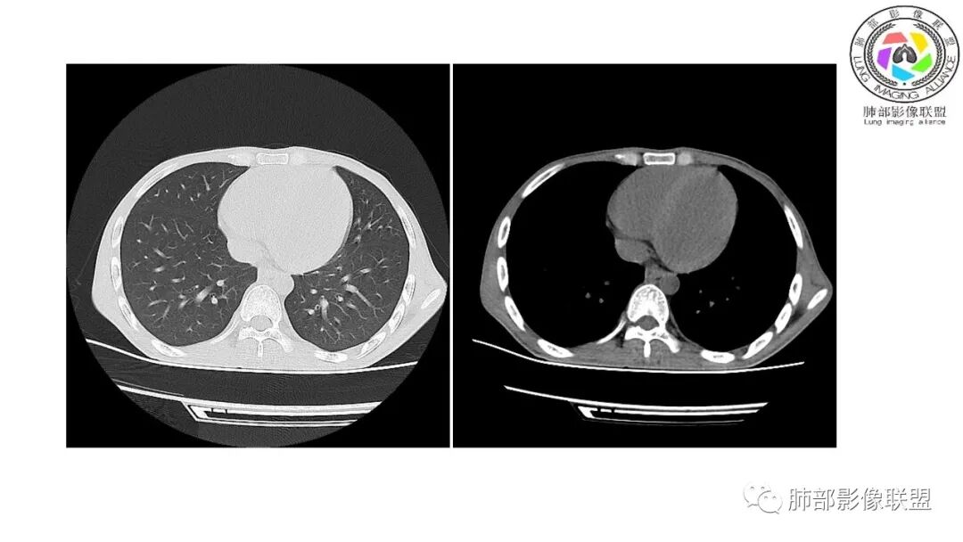
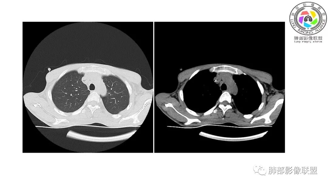
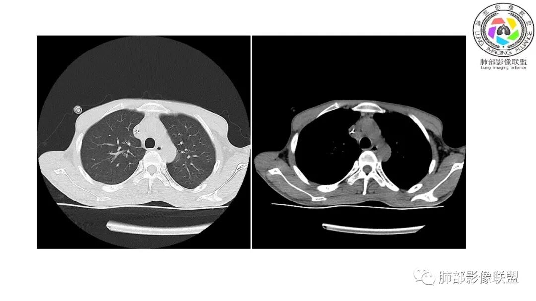
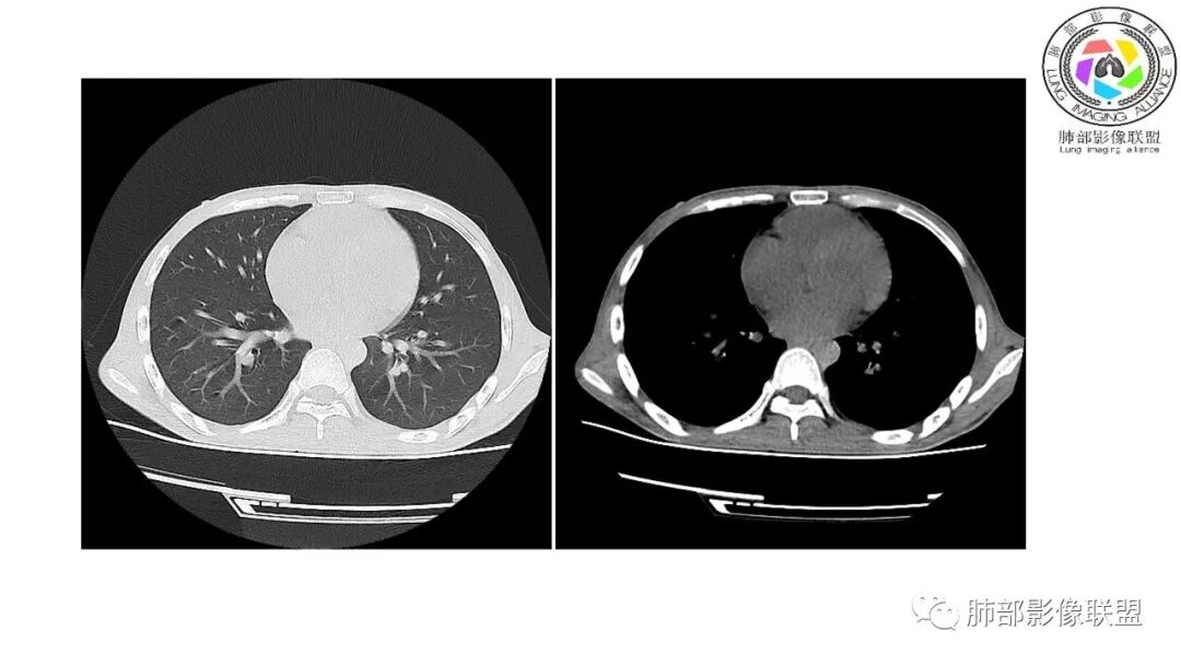
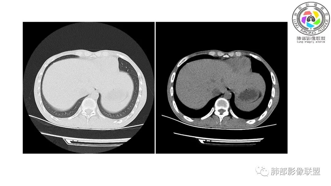
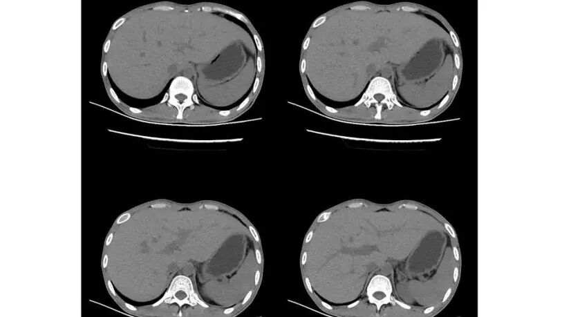
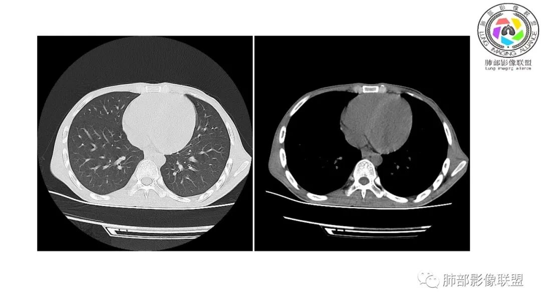
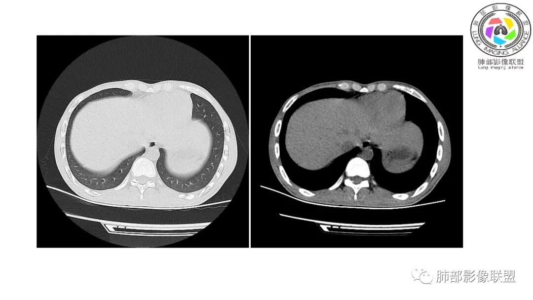
影像与临床:1.青年男性,HlV阳性,颜面部皮疹(未提供皮疹图像)、发热(高热),实验室CRP、PCT高,T-Spot阴性。2.右肺下叶空洞结节,壁厚不均,边界清楚,其内线状影,未见液平及钙化,未见卫星灶,纵隔淋巴结增大,双侧腋窝见增大淋巴结。心腔内低密度提示贫血可能。肝脾影增大,未见结节影及块影。腹膜后见多发增大淋巴结。
综合分析:本例肺部影像学改变并不具有特征性,空洞性病灶须与多种疾病鉴别,但年轻HIV阳性患者,高热,皮疹,肝脾增大,纵隔、腋窝、腹膜后见多发增大淋巴结等都强烈提示马尔尼菲篮状菌感染的可能性。

关于马尔尼菲青霉菌病
马尔尼菲青霉菌病(Penicilliosis Maneffei,PSM) 是由马尔尼菲青霉菌(Penicillium Mane&i,PM)感染引起的一种致死性深部真菌病,PM主要侵犯单核巨噬系统,可表现为局灶性和播散性感染,在免疫功能低下的感染者中,死亡率高。该菌是由Capponi1956年从越南野生中华竹鼠肝脏中首次分离出并命名。该病主要流行于东南亚一带,在我国以广西广东多见。有文献研究中国大陆1984年到2009年感染马尔尼菲青霉菌668例患者中有99.4%病例发生在中国南部,以广西广东为主,有87.7%病例发生在艾滋病患者中,有3.8%的病人发生在其它免疫抑制患者中,有8.5%发生在免疫功能正常者。PM的传播途径尚不明确,公认的主要传播途径有呼吸道,消化道,外伤等,亦不除外接触孢子污染的土壤而感染。马尔尼菲青霉菌病的常见的临床表现为发热,贫血,消瘦,呼吸道症状,皮肤损害,肝脾肿,淋巴结肿大。播散型PSM常累及肺,皮肤,网状内皮系统(包括骨,骨髓,关节,淋巴结,心包,肝脾)。不同宿主状态下PSM临床表现也有不同,HIV阳性患者主要表现为持续性发热,软疣状皮肤损害,血培养阳性率高,白细胞正常或偏低等。HIV阴性患者主要表现为间歇发热,皮下结节和脓肿,淋巴结肿大,骨痛溶骨,白细胞增高等。马尔尼菲青霉病的诊断主要靠沙氏琼脂培养基25℃及37℃环境下可培养出PM(金标准)。马尔尼菲青霉菌肺部表现具有多样性,可以表现为实质改变、间质改变、纵隔淋巴结肿大、胸膜改变及气管改变。有文献报道马尔尼菲青霉菌病患者82.7%胸部CT有异常改变,胸部CT表现:45.6%患者肺野斑片状浸润阴影或局限性肺实变,11.9%患者表现为结节影,11.5%患者表现为毛玻璃改变,8.4%患者表现为弥漫性粟粒样病变,5.3%患者表现为结节状肿块影。45.1%患者胸部影像学伴肺门或纵隔淋巴结肿大,23.5%患者伴胸腔积液,8.0%伴空洞病灶。参考文献:张建全, 杨美玲, 钟小宁, 等. 人免疫缺陷病毒抗体阴性与阳性者播散性马尔尼菲青霉菌病的临床及实验室特征[J]. 中华结核和呼吸杂志, 2008, 31(10):740-746.张云桂,赵月娟,李玉叶,等.226例艾滋病合并马尔尼菲青霉菌病患者的影像学特征[J]. 皮肤病与性病,2016, 38(2):91-94.


【每日晨读】熟悉的陌生“菌”-马尔尼菲篮状菌感染
【广西群读片系列】 落花时节遇马尼
【广西群读片系列】第7期 马尔尼菲篮状菌难以琢磨吗?
【广西群读片系列】第8期 罕见的HIV阴性马尔尼菲病
附:一张表搞懂G&GM试验
编辑:杨新娟
审核:蔡笑燕  徐  晓
病例提供:南昌市第九医院放射科  雷凤老师



到顶部