【每日晨读】右肺门区高强化肿块





病例展示









































































































讨论与分析




凯、KAI:
查体发现,边缘光滑,与肺门血管分界不清,强化与胸主动脉相似,考虑良性病变,肺动脉畸形?
凝睦:
病变边界清楚光滑,明显强化,支气管狭窄,考虑类癌。
周太狼:
右肺下叶结节,边缘光滑,强化明显,支气管压迫,考虑良性或低度恶性病变
许慧良:
中年女性患者,体检发现右肺下叶背段开口处类圆形占位性病变,边界清楚,内部密度不均匀,凸向支气管内,增强扫描明显强化,考虑类癌,
刘丹:
右肺下叶结节,边缘光滑,下叶背段支气管受压,周围肺实质透亮度增高,增强强化明显,考虑低度恶性,类癌可能。
看图说话:
类圆形占位,边界清楚,膨隆,无分叶,密度均匀,支气管堵塞,明显不均匀强化,考虑类癌,鉴别CD。
宇宙:
中年妇女,右下肺门类圆形肿块,边缘光整、膨隆, 下叶支气管狭窄、阻塞,明显不均匀渐进强化,考虑类癌
小兜:
中年女性,肿标正常,右肺下叶类圆形占位,边缘光滑,支气管受压狭窄,平扫内部密度欠均匀,增强明显不均匀强化,考虑为类癌可能
了:
右肺下叶球形影,夸叶间裂,边缘清楚,空泡征,血管贴边征,考虑硬化性肺细胞瘤?
lmg:
中年女性,右肺下肺门肿块,边界光滑,支气管受压不均匀明显强化,考虑类癌可能。
飞鹰行动:
中年女性患者,体检发现右肺下叶背段开口处类圆形占位性病变,形态规则,边界清楚,内部密度不均匀,病灶在支气管内外生长,有典型的冰山征,增强扫描病灶明显强化,常规考虑恶性病变,类癌,其次延腺类肿瘤(粘表,腺样囊腺癌)。
金豆:
三件套  粘表  腺样囊腺癌  类癌  明显强化 考虑类癌
自信人生:
中年女性,术前体检发现,右肺下叶背段软组织肿块灶,边缘光滑,增强明显强化,与胸主动脉相似,15年增强各期明显强化,五六年左右未见病史提供病灶大的发展变化
暂时不考虑恶性
考虑良性病变,
肺动脉畸形?或硬化性血管瘤
放射线:
右肺下叶背段支气管血管旁类圆形肿块,边缘光滑膨隆,中间段支气管及下叶支气管呈受压改变,明显不均匀渐进强化,考虑CD,PSP.鉴别类癌
小锁:
中年女性,体检发现,肿标正常,CRP明显升高。影像:右肺下叶背段类圆形占位,边缘光整,冰山征,增强扫描病灶渐进性明显强化,考虑类癌,鉴别:硬化性肺细胞瘤,CD,腺样囊性癌,炎性肌纤维母细胞瘤
流心明智:
中年女性,声音嘶哑半月。喉镜发現声带息肉。胸部CT:右下肺门类圆形肿块,边界清楚,边缘光滑膨隆, 下叶支气管开口狭窄、阻塞,堵块强化呈明显不均匀渐进强化,考虑:类Ca?粘表?CD?鉴别AⅤM、PSP、淋巴瘤、喉气道乳头瘤病、TB肉芽肿等。
大雄:
富血供显著强化的有:类癌、PSP、CD、副节、血管球瘤
考虑类癌?
先支气管镜看看管腔
吴婧wj:
支气管源性,粘液类肿瘤,类癌能明显强化,最常见鳞癌
第一感觉类癌,psp,粘液类肿瘤
良孑:
冰山征,中心型,高强化,典型类癌
琦遇:
右肺下叶背段占位,下叶背段支气管看不太清,右肺下叶体积缩小、右肺下叶支气管感觉受压性改变,病灶整体边缘清晰、增强后病灶整体强化明显,其内可见未强化区,第一感觉考虑良性病变,PSP可能性大 鉴别类癌(似有冰山征)  晨读考虑范围:PSP、类癌、鳞癌、腺样囊性癌、支气管恶性鞘瘤
                             南边老师分析
南边:
病灶是支气管腔内?腔外?
腔外与腔内考虑的方向不一致
判断的依据:主体与支气管强关系,壁的改变
腔内——类癌
腔外考虑的就不一样
现在第一不要解决的就是这个问题,支气管壁受压内移?外移?
还是破坏?
对错其实其次,因为这个支气管镜及其穿刺一般可以确诊






下面软骨环连续,好像主体部分显示不理想
背段支气管来源,突向主干的
背段支气管大家看到了吗?
如果没有,我们要考虑起源于背段支气管,然后突向基底段及中间段支气管
如果不在,是受压?还是堵塞?



还是堵塞了
这个尾巴

这个需要细节
但是引起支气管远端粘液栓了
在正中出来的

南边:
还是要考虑堵塞,支持腔内恶性肿瘤
如果偏在前方我觉得受压可以
正中就不合适
有支气管粘液栓,PSP不支持啊
赖晓宇:
堵了就是类癌,不堵就是CD




揭晓结果






                   病例小结
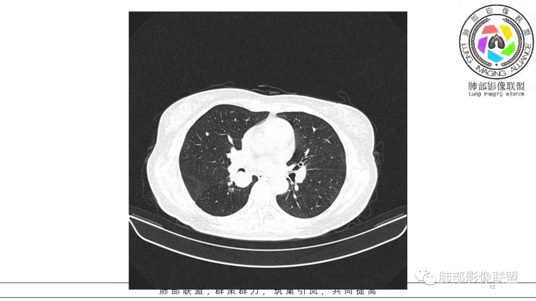
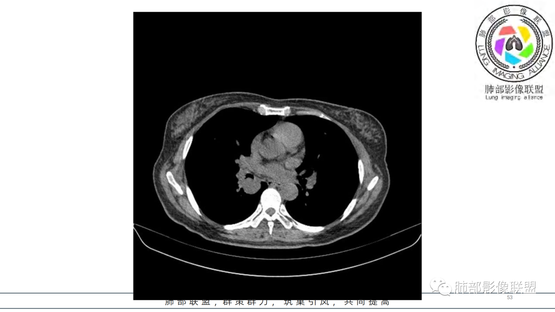
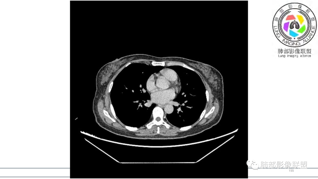
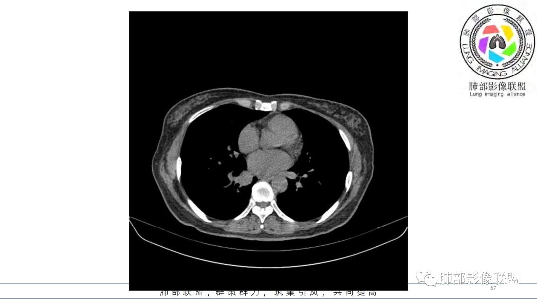
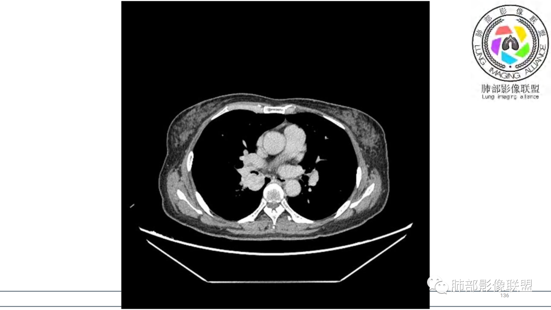
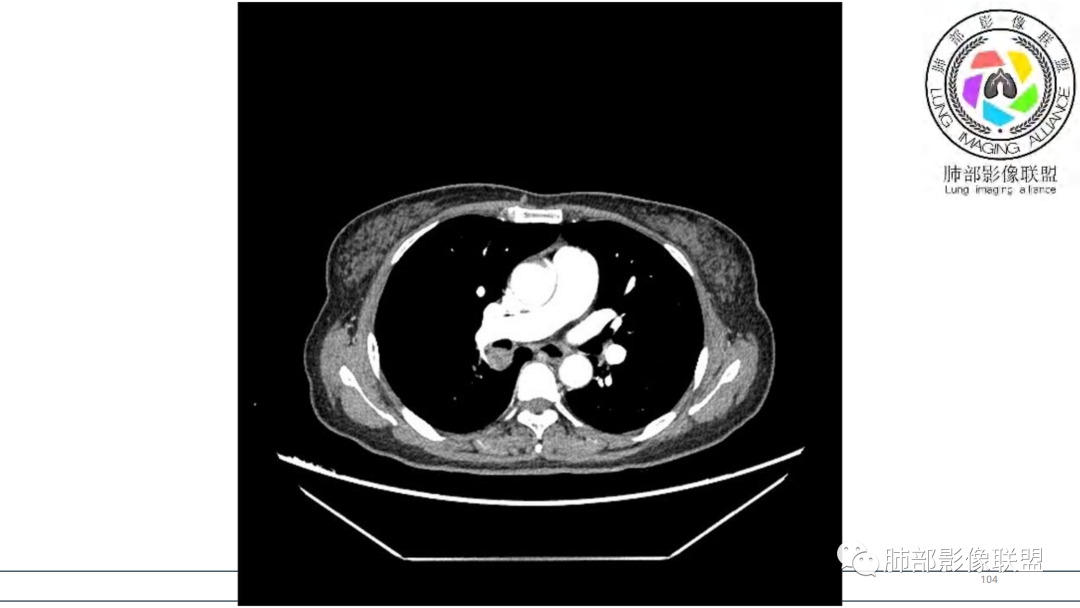
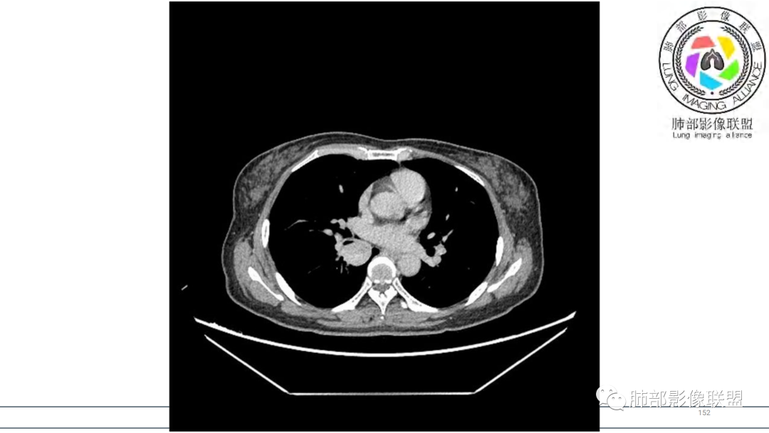
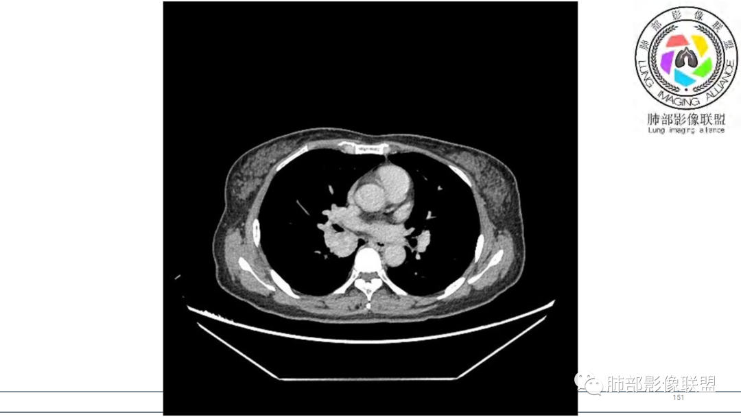
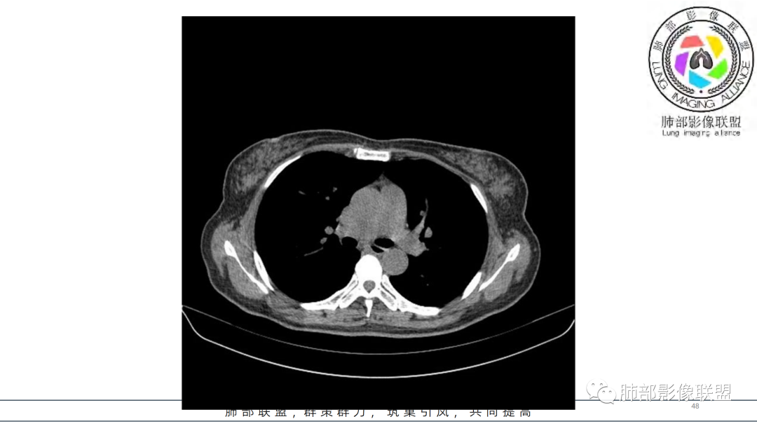
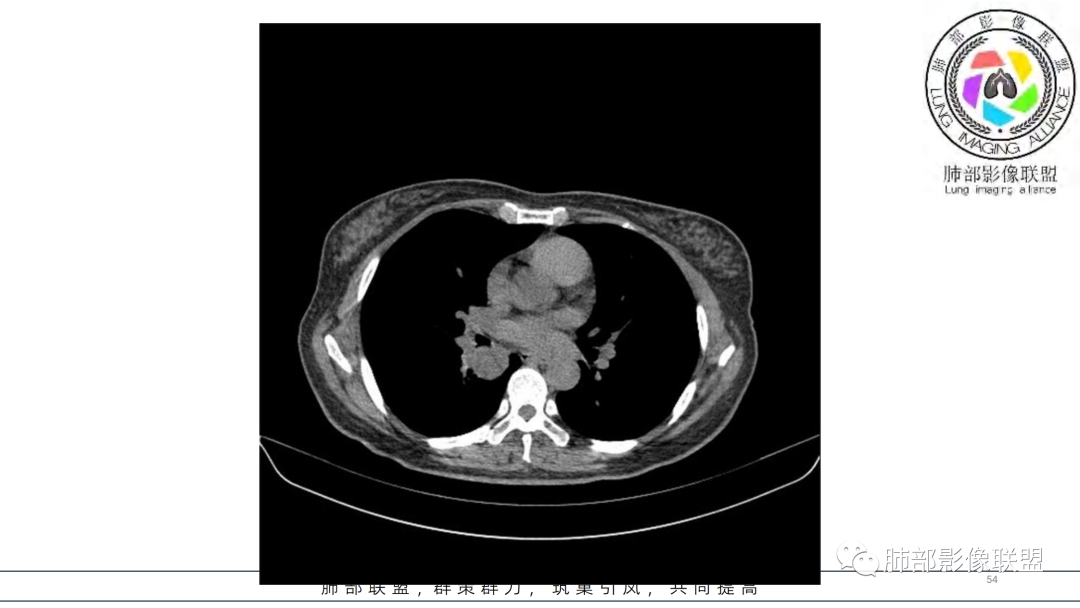
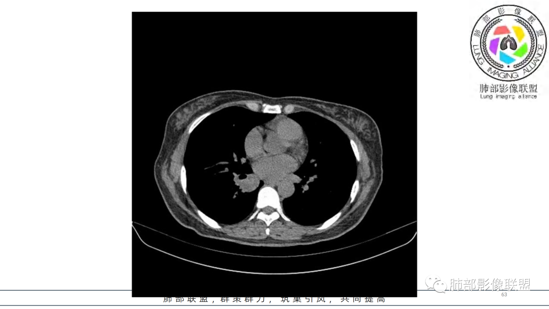
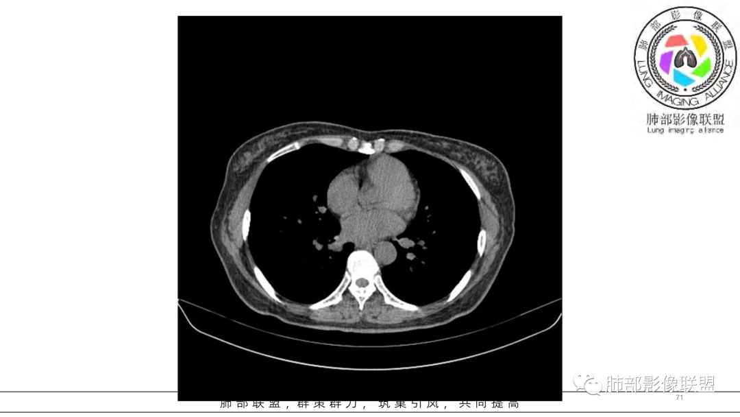
影像与临床:
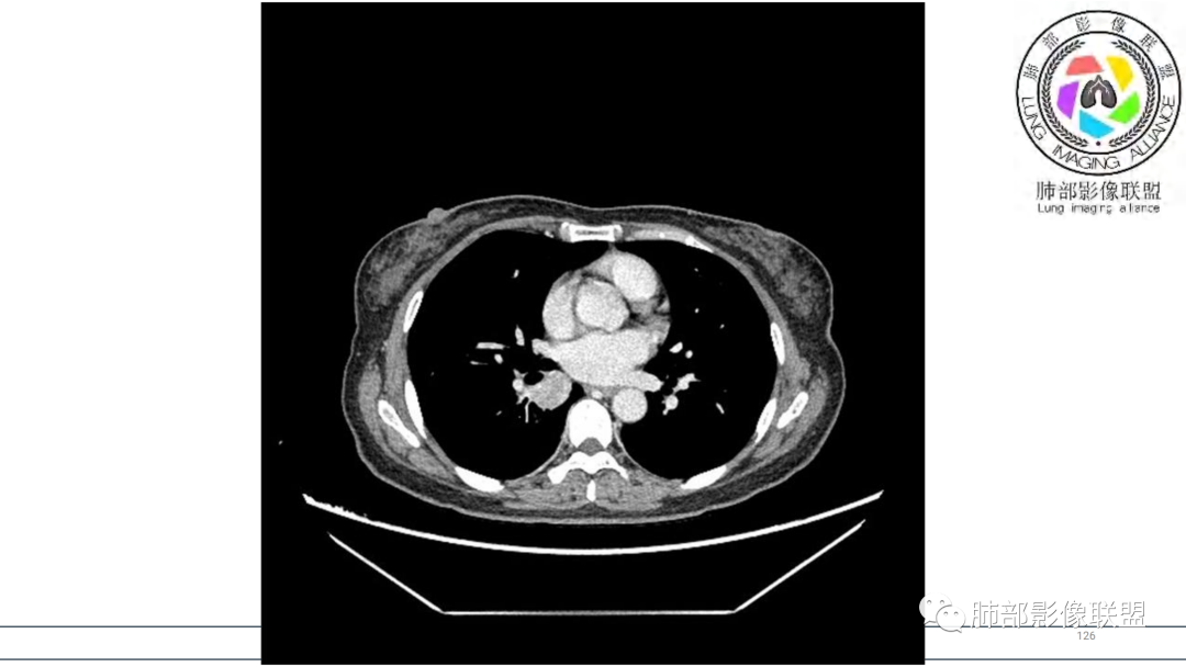
1.因声带良性病变术前CT检查意外发现肺部肿块。
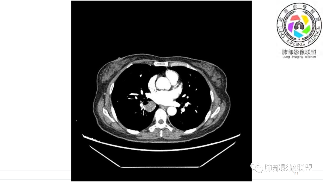
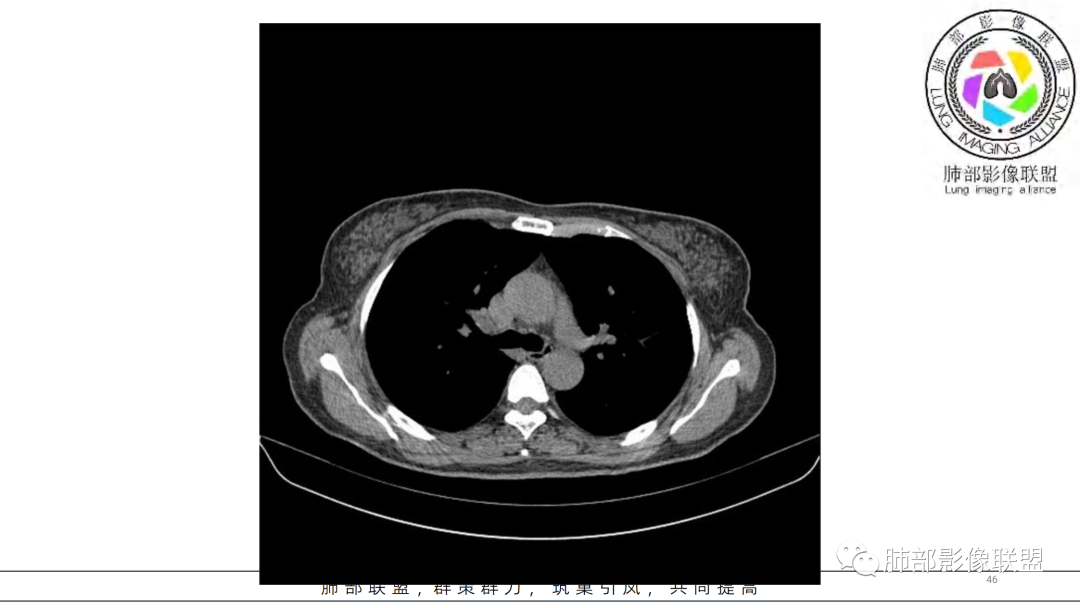
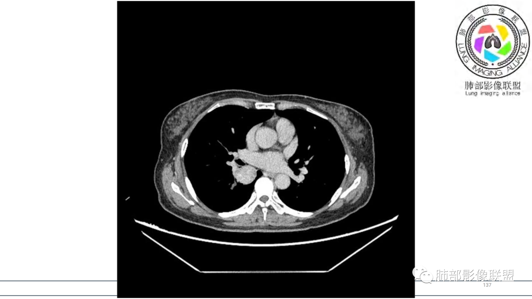
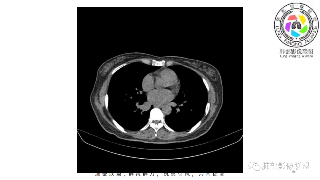
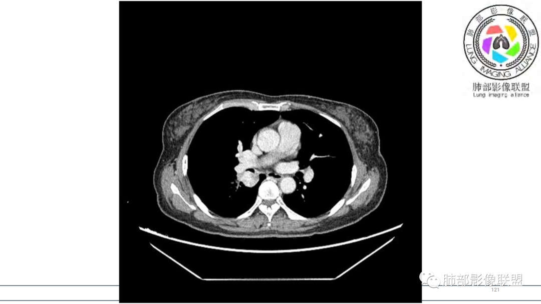
2.右肺下叶及中间段支气管后方类圆形块影,边界较清楚,未见分叶及毛刺,病灶部分突入支气管腔内(冰山一角),局部管腔狭窄,相应肺叶未见片影或体积变化。
3.块影密度均匀,未见液化坏死及钙化,渐进性强化,强化显著。
4.双肺门及纵隔未见增大淋巴结。未见胸腔积液。
综合分析:
中青年女性,支气管管腔内外肿块(“冰山征”),边界较清楚,强化显著,未见阻塞性肺不张,尽管未出现“类癌综合征”临床表现,仍然符合典型类癌影像学表现。
鉴别诊断:
1.鳞癌:中青年女性,不吸烟,病灶强化显著,未见坏死等均不符合。
2.粘液表皮样癌及腺样囊性癌:中青年女性患者,病灶位于支气管后壁等应想到该诊断,但病灶强化方式多有不符。
3.巨淋巴结增生症(CD):可以发生于肺门附近,但病灶与支气管的关系至多限于外压,并非发生于支气管壁。


肺类癌简介



     肺类癌是一种少见的低度恶性神经内分泌肿瘤,来源于支气管上皮细胞,也可以来源于Kulchitsky细胞、神经内分泌细胞或多向分化的支气管内皮干细胞。1972年,Arrigoni等首次通过电镜观察,将肺类癌分为典型类癌(TC)和不典型类癌(AC)。TC(低级别)、AC(中等级别)与高级别大细胞神经内分泌癌(LCNEC)和小细胞肺癌(SCLC)分别起源于Kulchitsky细胞I、II、III型,属于同一细胞来源而分化程度不同的肿瘤细胞群,恶性程度逐渐增高。
     由于类癌来源于Kulchitsky细胞,而Kulchitsky细胞散在支气管上皮和黏液腺中,较多见于大支气管和其分叉处,较少见于小支气管粘膜,所以类癌好发于主支气管、叶支气管和段支气管,以中央型较多见,TC好发于右肺,近2/3为中央型。AC周围型较多。类癌病人发病年龄较其他肺癌病人年轻,TC人群大都50岁左右,男女比例均等。AC更容易发生于老年病人。
     类癌临床表现无特异性,影像学检查仍然是肺类癌的主要诊断依据。其特征性表现是孤立的、边界清楚的肿物,密度可均匀或不均匀,边缘多清楚锐利,部分病例可见浅分叶及毛刺。类癌侵及的支气管局部增厚,与正常的管壁分界清楚,局部呈乳头状突起,表面光滑。肺门旁肿块往往边缘光整、轮廓清楚、密度均匀,增强扫描大多呈均匀明显强化,可有持续强化或延迟强化。中央型肺类癌可引起支气管壁局限性增厚,形成轮廓光滑的管壁结节,并与腔外大病灶形成“冰山征”。少数病例可沿支气管腔内长轴生长,呈指套样改变,类似肺鳞癌,但较肺鳞癌血供丰富。
     肺类癌生长速度缓慢,恶性程度较低,手术切除是其主要治疗方法。
选自:张嵩.《肺部疾病临床与影像解析》

编辑:许慧良
审核:徐  晓


到顶部