【每日晨读】同为胸膜下结节,“性质”是否相同?)




每日晨读
   肺部影像联盟

    屏幕前的小伙伴们请看过来,今天的每日晨读病例分析带来了同为胸膜下结节的两个病例,方便大家对比分析,希望小伙伴们读完此文章都有所收获,谢谢大家参与!

01病例资料
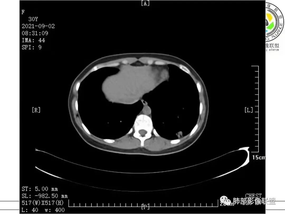
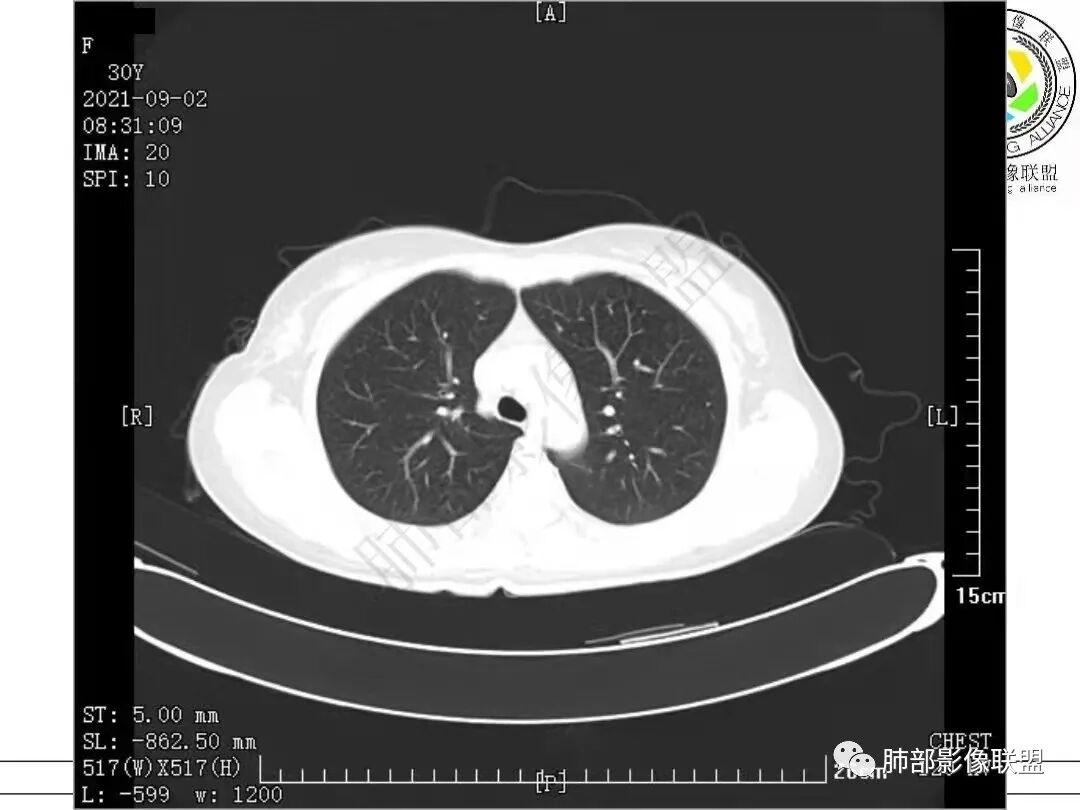
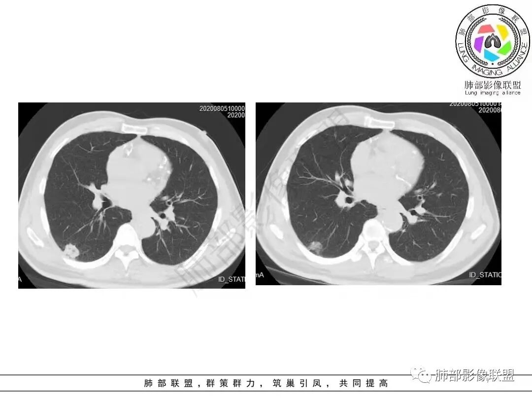
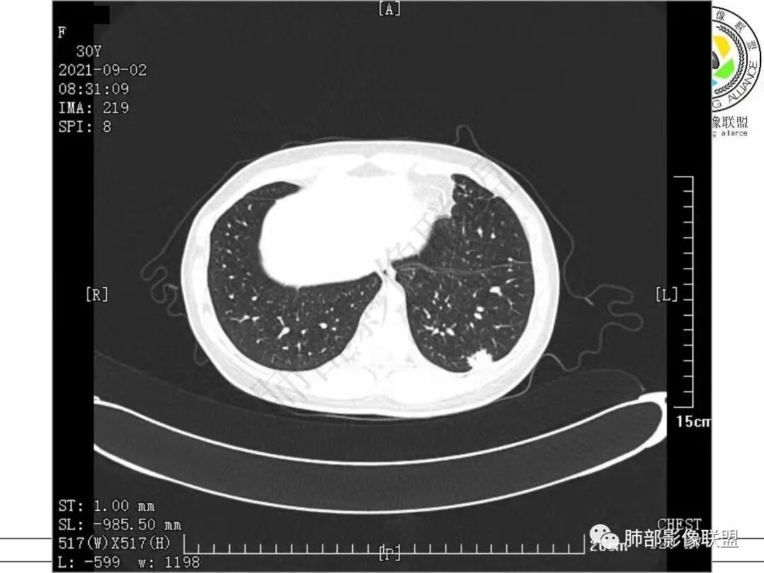
病例一


















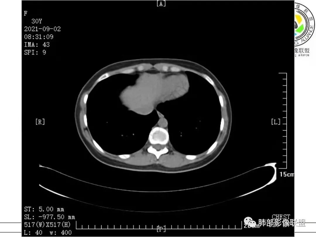
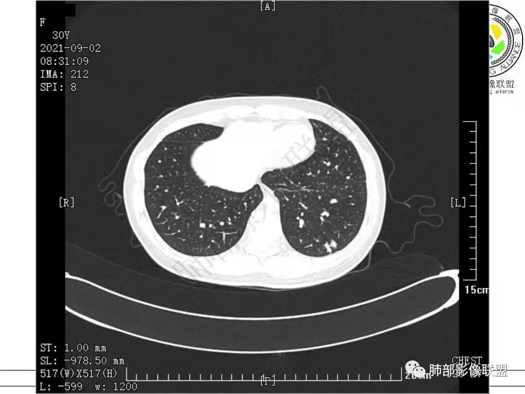
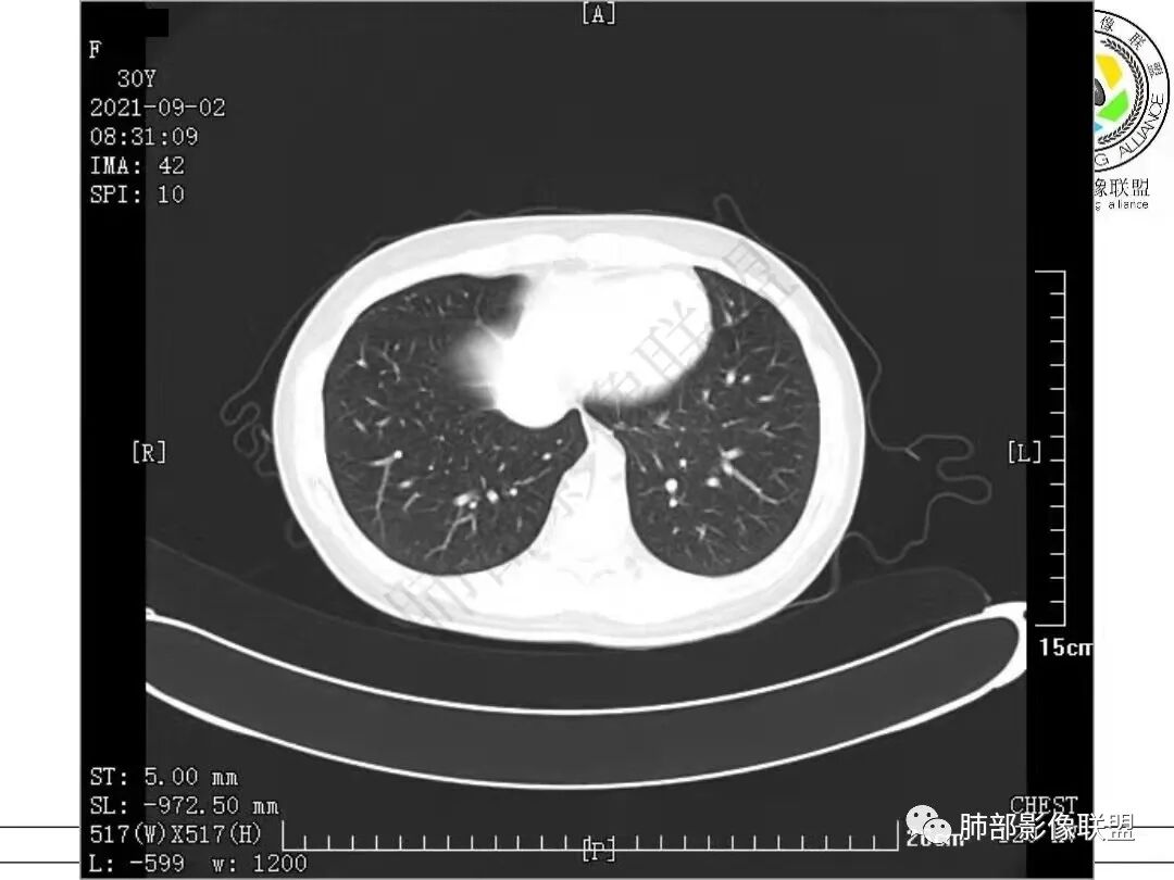
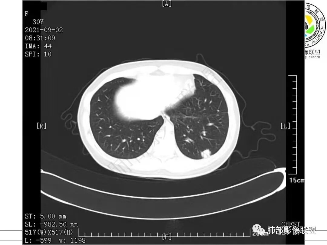
病例二



































02精彩讨论
                                              
病例一讨论
甄德强:
老年男性,肿瘤标志物高,右肺下叶结节,边缘可见短毛刺及胸膜牵拉,期内可见空泡,不均匀强化,考虑浸润性腺癌。
秦化君:
晨读 老年男性,肿标高。右肺下叶胸膜下结节影,轻度分叶,短毛刺,支气管截断,病灶内密度不均空泡形成,胸膜牵拉。考虑腺癌可能大,隐球菌待排。
好好学习:
CEA,太高了,腺
王开金江津中心医院呼吸科:
晨读,老年男性,cea,ca199升高,右肺结节,有毛刺,分叶,空泡征,胸膜凹陷,血管集束,考虑肺腺癌,鉴别隐球菌。
大雄:
CEA259!也高的离谱啊。不可能不是癌
了:
右肺下叶球形影,分叶,细毛刺,血管集支束,空泡征,可见分隔,可见壁结节,不均匀强化,恶性,腺癌首先考虑。
李:
不规则影,空泡,腺癌
宇宙:
老年男性,肿标高,右肺下叶胸膜下结节,边界清,浅分叶、短毛刺,胸膜下脂肪间隙消失,其内空泡,支气管截断,不均匀强化,考虑腺癌,鉴别隐球、结核
看图说话:
右肺下叶胸膜下结节,长轴平行胸膜,分叶,短毛刺,支气管截断,密度不均,空洞内呈丝状,胸膜牵拉。考虑隐球菌,结核,鉴别腺癌。
果哣.:
老年男性,右肺下叶靠近胸膜一结节影,有分叶,短粗毛刺,内有空泡胸膜牵拉,考虑隐球鉴别腺癌
徐超:
炎性恶性特点都有,cea太高了,不知道其他部位有无肿瘤引起的CEA增高,如果其它都阴,那就倾向癌肿。
单纯影像隐球先考虑。
曹志勇:
考虑隐球菌,单这么小的病灶,CEA一般不会有改变吧
张延军:
右肺下叶后基底段结节近段支气管截断,内有囊及扩张支气管,与临近胸膜牵拉,临床CEA明显升高,考虑腺癌,排除隐球菌感染
丽:
晨读 老年男性,右肺下叶胸膜下结节影,轻度分叶,短毛刺,支气管截断,病灶内密度不均匀,可见空泡,考虑腺癌可能大,隐球菌待排。
云中月影:
晨读右下肺结节,边界清楚,短毛刺,分叶,内有空泡征,增强轻中度强化,肿瘤标志物升高,考虑恶性肿瘤,腺癌可能性大。鉴别鳞癌。
飞鹰行动:
晨读病例,老年男性,cea,ca199明显升高,右肺下叶胸膜下结节病灶,病灶膨胀性生长,周围可见毛刺,分叶,空泡征,胸膜凹陷征,考虑肺腺癌,鉴别隐球菌。
红星:
右肺下叶胸膜下结节影,有毛刺,支气管变窄截断,与胸膜之间有扯不清的关系,内部有空泡征。考虑腺癌

晨:
老年男性,cea,右肺结节,有毛刺,分叶,空泡征,胸膜凹陷,考虑肺腺癌。
大雄:
没有肿标  单纯影像也支持腺癌
一切∮随缘:
右肺胸膜下结节,边缘毛糙,不光滑,考虑腺癌,不鉴别
放射小白:
中老年男性,右肺下叶结节,增强边缘强化,首先考虑肺腺癌,鉴别肺隐球菌。
放射线:
右肺下叶结节,边缘有毛刺、分叶,内部有空泡征,胸膜凹陷,考虑:浸润性腺癌。
鉴别隐球菌。
毛勤香:
肺气肿背景,首先考虑腺癌,鉴别隐球菌
尘缘:
这么高的CEA,不看影像,也一定有癌。但就怕有坑。
所以考虑必须全面:
1、一元:肺上腺癌,CEA高。
2、一元:肺上肺癌,CEA高。腺癌伴小细胞分化。
3、二元:肺上炎性肉芽肿,腹部或其他地方癌。
弹指之间:
还是支持恶性可能大,粘液腺(原发或转移),二元:肺上是隐、其他部位有恶性待排。
小锁:
老年男性,cea,ca199显著升高。右肺下叶胸膜下结节,膨隆、小分叶、空泡征,边界清楚,细毛刺,支气管进入后鼠尾状狭窄,血管集束,不均匀中度强化,考虑肺腺癌,鉴别隐球菌。
金豆:
右肺下叶胸膜下结节,分叶,空泡征,CEA偏高,腺癌。
?????天涯?????:
支持恶性考虑先,肿标高,待排其它部位有癌,肺肉芽肿性炎鉴别
周太狼:
老年男性,肿瘤标志物高,右肺下叶结节,边缘毛刺及胸膜牵拉,鬼脸征,不均匀强化,支持考虑肺腺癌
飞杨:
右肺下叶结节影,边界清,短毛刺、分叶、空泡征,支气管截断,轻中度强化,肿瘤标志物升高,考虑恶性,腺癌可能。
?? 玫:
男,68岁,肿瘤标志物增高,右肺下叶胸膜下结节,边缘见毛刺、分叶及轻度空胸膜牵拉,病灶内见空泡影,轻度不均匀强化,考虑恶性病变,腺癌可能。
蓝天白云:
腺癌,消化道转移瘤
良孑:
老年男性,CEA显著升高,下叶结节周围GG0边界清,轻分叶,可见毛刺及胸膜凹陷,不均匀强化,空洞壁上似可见血管影,常规思路首先要考虑恶性,支持腺癌,坏死壁边界有点清,鉴别一下隐球菌
崔少钢:
右肺下叶胸膜下实性结节,边界清晰,边缘稍有膨胧,血管进入,内部可见空泡征,薄层示支气管截断,强化不均匀,CEA高,支持腺癌。
浮生:
cea临床不可能不优先考虑肿瘤的,影像炎性和恶性征象都有,就算有坑也先考虑腺癌可能大,鉴别隐球。
                                               
病例二讨论
曹志勇:
左肺下叶病灶,边缘分叶,边缘平直,胸膜牵拉不著,像多病灶融合,考虑感染性病变,隐球菌可能
?? 玫:
女,39岁,咳嗽半年,左肺下叶结节影,边界清晰,边缘见浅分叶及短毛刺,病灶呈宽基底与胸膜相连,病灶边缘少许晕影,考虑炎性病变。
甄德强:
左肺下叶胸膜下多发结节,互相融合,支气管进入截断,护墙,考虑隐球菌,鉴别浸润性腺癌。
蔣勝華:
青年女性,咳嗽,影像 左肺下叶胸膜下结节,融合,蘑菇兄弟,支持PC
秦化君:
青年女性,左肺下叶外基底段胸膜下结节影,边缘清晰,密度不均,似有多结节融合,支气管进去后截断。考虑炎性肉芽肿病变,隐球菌或慢性机化性炎症
丽:
青年女性,左肺下叶胸膜下结节,似多结节融合,边缘毛躁,临近支气管管壁略厚,考虑炎性肉芽肿性病变
谢加平:
半年前肺部感染治愈出院史,复查肺部CT至关重要,后出现左肺下叶后基底段小斑块影,整体病灶不密实,边缘清楚,不规则,胸膜下条形反应增厚,短时间倍增明显特点,首选炎性肉芽肿,建议隐球夹膜抗原检查。
张燕萍:
左肺下叶胸膜下多个结节堆积,边缘清晰,与胸膜宽基底接触,考虑炎性肉芽肿
宇宙:
左肺下叶胸膜下结节,边界清,多结节融合,可见分叶、毛刺,支气管进入后堵塞,邻近胸膜增厚,考虑炎性结节,隐球菌可能,鉴别腺癌
张丽红:
左肺下,实性结节影。呈多个结节聚合形成,周围干净,边缘整齐,内部支气管走形自然通畅。与胸膜粘连。考虑炎性肉芽肿。慢性炎症,鉴别隐球。
春秋:
胸膜下结节,分叶,边界清,表面凹凸不平,考虑恶性,腺癌?
红日东升:
青年女性,咳嗽六个月,免疫正常。左肺下叶胸膜下结节、多病灶融合状,边缘平直,支气管部分进入,周围干净,考虑炎性病变,PC可能,鉴别腺
周太狼:
青年女性,慢性咳嗽病程,左肺下叶胸膜下多个结节,融合,蘑菇兄弟,首先考虑肉芽肿病变,PC可能,鉴别腺癌
陈学君:
青年女性,胸膜下结节,呈多结节融合,支气管进入后阻塞,考虑隐球菌,鉴别腺癌
若晗:
年轻女性,左肺下叶病灶。为多个结节堆积融合,密度较高,宽基底,考虑炎性肉芽肿可能,隐球,鉴别腺癌
衡妈:
左肺下叶胸膜下结节,多病灶融合,主病灶边缘多毛刺且位于晕中,毛刺粗短,病灶整体锯齿状,部分平直,纵隔窗病灶范围<肺窗,邻近胸膜局部牵拉凹陷。考虑慢性炎性肉芽肿,隐球可能。机化性肺炎也有可能。鉴别腺癌,肺粘膜相关淋巴瘤。
黄 毅:
青年女性,左肺下叶胸膜下结节,边缘清晰,有多结节融合,支气管进入截断,宽基底与胸膜相连。考虑隐球菌。
小兜:
女,30岁,咳嗽六个月,肺炎病史。CT示左肺下叶胸膜下结节,支气管进入后截断,多个结节堆积感,分叶,边缘清晰,考虑为隐球菌
食客:
左肺下叶胸膜下团片影,密度不均,多结节融合,支气管进去后截断。考虑隐球菌
流心明智:
女,30岁,胸膜下实性结节,边界清,表面凹凸不平、锯齿样,分叶,少许界清GGO,内见空泡、低密度间隙,胸膜糊墙,考虑恶性,腺癌?鉴别PC、TB等慢性肉芽肿性炎。
云帆沧海:
左下肺胸膜下实性结节,边界清,有分叶,支气管截断,考虑结核,鉴别腺癌。
飞鹰行动:
青年女性,咳嗽, 左肺下叶胸膜下结节,平行胸膜生长,相互融合,蘑菇兄弟,考虑炎性病变,隐球感染可能性大。
了:
左肺下叶结节影,宽基地与胸膜粘连,胸膜肥厚,边缘清楚,分叶征,细毛刺,空泡征,无卫星灶,恶性证据多,但支气管远端截断,隐球菌待排。
爱跳舞的猫:
青年女性,肿标正常,胸膜下结节,多结节融合,支气管进入后截断,考虑炎性,隐球菌可能
心灵鸡汤:
青年女性,6月前有受凉病史,左肺下叶外基底段胸膜下结节,支气管进入后变窄,边缘欠规则,部分膨隆部分平直,边界尚清,与胸膜宽基底,呈糊墙改变,考虑炎性结节,隐球?鉴别腺癌,本例收缩力弱,无胸膜牵拉,不太支持。建议结合隐球荚膜试验及抗炎后复查。
金豆:
结合年龄和影像,纠结啊。左肺下叶胸膜下结节,整体比较散,似乎多结节融合,支气管血管束走形,支气管截断,病程6个月,综合考虑炎症,结核或者隐球,鉴别腺癌。
红星:
胸膜下结节,有一定毛刺,虽结构较松驰,但与胸膜较广基粘连,糊墙。结合病史,考虑肉芽肿,炎性或隐球。不考虑腺癌

南边:
30岁,还是年轻啊
考虑癌,我觉得还是要慎重,
影像确实有短毛刺,但是年龄、形态不太支持。

03病例结果
病例一结果:

病例二结果:


04病例小结
  影像与临床:
1.病例一:68岁男性,体检发现肺结节,肿瘤标志物CA199、CA50、CEA升高,其中CEA升高显著,超过正常范围的5倍以上。右肺下叶胸膜下结节影,整体较膨隆,部分层面可见锯齿状边缘,边界清晰,周围可见细毛细影,可见血管集束征、胸膜牵拉。密度不均,可见磨玻璃密度区及空泡征,胸膜下脂肪间隙显示不清。增强后显示轻、中度强化。
 
     2.病例二:30岁女性,发现病灶6个月前有咳嗽咳痰及治疗史,肿瘤标志物阴性。左肺下叶胸膜下结节影,整体较膨隆,局部边缘较平直,可见毛刺,同样可见磨玻璃密度区,病灶内可见空泡征,周围可见细小毛刺及多发棘突影,同样外围病灶支气管情况难以判断。邻近肺组织内可见多发微小结节影。病灶张力不高,未见分叶及胸膜牵拉,由于纵隔窗图像太少,不宜判断胸膜下脂肪间隙有无受累,可疑胸膜下有微量积液。
 
      综合分析:两份病例都是位于胸膜下的孤立结节,同样具有锯齿状边缘,有细毛刺、空泡。病例一老年男性+CEA显著升高,常规恶性病变肯定是要考虑;至于病例二青年女性,肿瘤标志物阴性,在未见非常典型恶性征象情况下,临床通常会优先选择炎性病灶进行处置,病灶持续存在,复查无变化或出现进展,则应想到新生物可能,而选择穿刺或其他进一步检查。
 
编辑:雷凤
审核:蔡笑燕 徐  晓



到顶部