【每日晨读】嗜酸性粒细胞增高+肺内隧道征



每日晨读


一、病例资料









二、精彩讨论
王江涛:
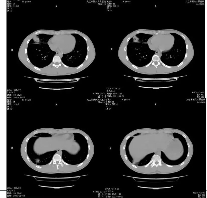
青年男性,右肺多发结节斑片状高密度影,周围较多晕,右上肺结节内见空洞形成。实验室检查嗜酸性粒细胞增高,考虑寄生虫感染,鉴别嗜酸性粒细胞肺炎
邢瑞欣:
男,青少年,右肺中下叶斑片状高密度,密度不均,其内实性成分边缘平直,周围磨玻璃灶,边界模糊,化验嗜酸性粒细胞增高,炎症,考虑嗜酸性细胞性肺炎,
王开金江津中心医院呼吸科:
年轻男性,嗜酸性细胞明显升高,多发类结界病变,边界模糊,部分空洞,空洞内无气液平,似隧道,考虑肺寄生虫病,吸虫?
春秋:
年轻男性,右肺多发斑片影边缘模糊,有空腔改变,北京友谊医院就诊记录,化验嗜酸高,考虑寄生虫
大雄:
19岁,体检发现?
右肺多发实变影伴磨玻璃影,局部空洞改变,可疑轨道征
血EOS明显升高
诊断嗜酸性肺病没问题
先排查寄生虫,再考虑单纯性嗜酸细胞增多症
King:
嗜酸>20%,右肺病灶有晕,可疑隧道,考虑寄生虫首先。疑问:一点症状如咳嗽,咯血都没有。
宇宙:
年轻男性,右肺中叶及下叶胸膜下多发结节,周围磨玻璃晕,部分似隧道,实验室嗜酸性粒细胞增高,考虑肺寄生虫,鉴别隐球菌
小兜:
男,19岁,既往肺炎病史,CT示右肺多发实变影伴周围磨玻璃影,边界不清,中叶病变伴空洞,嗜酸性粒细胞增高,考虑寄生虫或嗜酸性细胞性肺炎可能
陈学君:
年轻男性,嗜酸性细胞明显升高,右肺多发斑片影,边界模糊,局部空洞,似隧道,考虑肺寄生虫病可能性大,真菌待排。
飞鹰行动:
青少年,右肺中、下叶斑片状,结节状高密度,密度不均,内见扩张的支气管,周围磨玻璃影,嗜酸性粒细胞增高,考虑感染性病变,嗜酸性细胞性肺炎,寄生虫感染。
丽:
19岁,右肺多发片状及结节状高密度影,边缘模糊,见磨玻璃密度影,部分有空洞,呈薄壁,内壁规整,临近叶间胸膜增厚,考虑炎性肉芽肿性病变,化验嗜酸高,嗜酸性细胞性肺炎
金豆:
嗜酸高,非支气管走形,周围渗出明显,首先考虑寄生虫,肺吸虫可能。
wonderful:
ELD(嗜酸性粒细胞(EOS)肺病)疾病谱:
CEP、AEP、EGPA、ABPA、哮喘、寄生虫、药物相关。
(注意,这里没有HP)他们共同的特点是对激素治疗敏感。
肿瘤:血管免疫母细胞细胞淋巴瘤
尘缘:
单从影像改变和嗜酸性粒细胞增高来看,结合年龄,寄生虫是要首先考虑,不过嗜酸肺和隐球确实需要鉴别,但从检验申请单来看,这是北京友谊医院热带病专家李小丽开的检验申请单,她的专长就是输入性热带病和寄生虫。而患者是九江的,去找北京友谊医院找这个专家,提示病人就是奔着寄生虫去的友谊医院,最后确诊结果,寄生虫可能大,但也不能排除嗜酸肺和隐球的,所以不要一口咬定是寄生虫,有可能翻车的。毕竟这个患者也是慢性病史了。
流心明智:
男,19岁,血嗜酸性细胞明显升高。
胸部CT:右肺中下叶多发结节影、斑片影,周围模糊GGO,右中叶空洞结节,内壁光滑无气液平。右侧叶裂增厚。考虑:PC?寄生虫?鉴别药物、支气管中心肉芽肿病等。
wj:
第一考虑寄生虫,第二真菌待徘
至于egpa或aep什么的不会出现空洞,暂不考虑

三、病例结果   

尘缘:
    曼氏裂头蚴抗体阳性,可以直接确诊感染。肺吸虫抗体阳性,只是诊断条件之一。表明较大可能确诊,最好同时在痰液或者粪便或者皮下组织找到吸虫虫卵,成虫确诊。这两个抗体阳性,表明:曼氏裂头蚴感染明确,肺吸虫既往感染或很大可能正在感染。治疗上不管曼氏裂头蚴感染还是肺吸虫感染,如果累及颅脑,皮下,要手术,其他部位无法手术,一般用吡奎酮,而吡奎酮可以覆盖肺吸虫。治疗上按曼氏裂头蚴治就OK了。所以估计就没有进一步找病原体了。

四、相关知识拓展
   肺吸虫病(lung fluke disease,LFD)又称并殖吸虫病(Paragonimiasis),是由肺吸虫又称并殖吸虫(Paragonimus)感染所致的一种人畜共患的慢性寄生虫病。肺吸虫主要侵入的器官是胸肺,其次腹腔(肝脏、肾脏、腹膜等)、皮肤、神经系统、心脏也可被侵犯,可为1个或多个器官,临床表现多样。国内几个大样本研究显示,LFD首次确诊率仅为11.40%,误诊率高达68.73%~88.60%,误诊最长时间达3年之久;因误诊导致严重后遗症,甚至导致死亡。
1. 病原学确诊方法:传染病的确诊需要病原学支持,而肺吸虫的虫体和虫卵临床难于获得。根据抗原-抗体反应原理,需要通过抗原-抗体结合的方法检测患者体内的肺吸虫抗体。
2.临床确诊的FLD患者临床症状和体征、流行病学史、实验室检查、影像学检查,肺吸虫病临床诊断类型。
①胸肺型:居各型病例首位,占 57.14%。患者常以咳嗽、咯痰、胸痛、胸闷、气促和心悸等症状就诊;可有肺部啰音、胸腔积液、心包积液体征;偶有低热、但无畏寒,常有胸肺部症状体征重而体温不高的矛盾现象。
②皮肤型:占26.79%。以游走性、无红肿、轻压痛、蚕豆大小、基底不固定的皮下结节为症状和体征。
③混合型,占8.93%。主要是在胸肺型未能及时确诊时,再出现脑脊髓型和皮下型。
④脑脊髓型,占3.57%。以癫痫、头痛、头晕、肢体瘫痪等脑脊髓受损的症状和体征为首发。
⑤腹型:占3.57%(2/56)。腹痛、恶心、呕吐、腹水、肝脏肿大、肝功能损伤、腹水、血尿等症状和体征。
3. 个人史:患者有肺吸虫病个人史(生食溪蟹、生水、蝲蛄等)。
4. 血常规指标①WBC:部分患者WBC高于正常值。②EOS:所有患者EOS均升高至正常值3倍以上。③PLT:胸肺型患者PLT升高。
5. 病理学检查:组织病理学发现肺吸虫虫体或虫卵,或者痰液发现肺吸虫虫卵为LFD确诊的依据,可直接确诊。
6. 影像学检查:(1)MRI:筛查脑脊髓、肝脏、腹腔吸虫感染病灶。(2)MSCT检查:筛查脑脊髓、双肺和胸膜腔、肝脏、腹腔吸虫感染病灶。(3)超声检查:检查浆膜腔、皮下结节检查。
胸肺部是LFD最主要的病变部位,MSCT在胸肺部病变检测中显示出一定优势,在不同阶段显示出不同病理特征。移行急性阶段为炎症、出血,后期形成囊肿、结节,病灶吸收后可出现钙化影,需与肺结核、支气管扩张、肺炎、肿瘤等鉴别。
LFD胸部X线基本表现为肺实质结节浸润、囊性病变、空洞性病变、纤维化钙化、胸膜增厚与积液、气胸、心包积液和横膈局限隆起。MSCT具有高分辨率、可全身扫描的特点,肺部CT异常征象主要有结节、磨玻璃影、囊变、虫蚀样变、“隧道”征、窦道形成、胸腔积液及胸膜增厚,其中“隧道”征为对该病的特征性发现,系由于吸虫在肺内迁移游走,对肺组织的慢性破坏而形成。


参考文献:肺吸虫病“积分诊断量表”的建立——临床表现联合实验室和影像学检查;曹应海等;中华实验和临床感染病杂志(电子版) 2020年12月第14卷第6期
肺曼氏裂头蚴病是由曼氏迭宫绦虫的幼虫曼氏裂头蚴侵入人体所引起的疾病。曼氏迭宫绦虫的第二中间宿主以蛙、蛇为主,其中原尾蚴在被感染的蝌蚪体内发育成为裂头蚴,因此人可因食用蛙肉或用蛙皮帖敷皮肤导致感染。曼氏裂头蚴病在我国分布较广泛,以浙江、广东及福建等东南沿海地区多见,近年来有增多趋势,并以侵犯眼、皮下及口腔颌面部等部位多见。肺曼氏裂头蚴病临床少见,临床医师认识不足,容易误诊。
曼氏迭宫绦虫病和曼氏裂头蚴病是由曼氏迭宫绦虫引起的人兽共患寄生虫病。前者由寄生于小肠的成虫引起,产生的症状轻微;后者则由其幼虫.裂头蚴引起,裂头蚴可在体内移行,并侵犯多种组织器官,产生的症状远较成虫严重。曼氏裂头蚴的第一中间宿主是剑水蚤,第二中间宿主为两栖类、爬行类和脊椎动物,人是曼氏裂头蚴的偶然宿主叫。人体感染裂头蚴或原尾蚴经皮肤或粘膜侵入,或误食裂头蚴或原尾蚴。随着人们生活水平的提高和饮食习惯的改变,曼氏裂头蚴病等食源性寄生虫病发病率有逐年增加趋势,已成为影响我国食品安全和人民健康的重要因素之一,需引起临床医师重视。曼氏裂头蚴病根据寄生部位可分为5类:眼裂头蚴病、皮下裂头蚴病、口腔顷面部裂头蚴病、脑裂头蚴病和内脏裂头蚴病,其中内脏裂头蚴病最少见,仅占1%左右。肺曼氏裂头蚴病属于内脏裂头蚴病,国内鲜有相关报道。由于临床医师对该病缺乏认识,且该病临床表现及肺部CT检查缺乏特异性,造成在临床上易误诊为社区获得性肺炎、嗜酸性粒细胞肺炎、肺结核及过敏性肺泡炎等疾病。目前在我国肺曼氏裂头蚴病没有统一的诊断标准,结合相关诊治经验及文献资料,对肺曼氏裂头蚴诊断要点归纳如下:(1)问病史时需详细询问患者流行病学资料,其对诊断非常重要。询问有无食用蛙肉、蛇肉等食用史。(2)血清免疫学检测方法灵敏度、特异度高,简便快速且经济,尤其对轻度感染、早期感染、隐性感染、异位寄生和深部组织寄生的病例。是一种较为理想的辅助诊断手段,可以弥补病原学及影像学诊断的不足,全部患者曼氏裂头蚴抗体均呈阳性,但曼氏裂头蚴血清学检查易于与其他蠕虫存在交叉反应。采用亲和层析等生化学技术或基因重组技术制备曼氏裂头蚴特异性抗原,是曼氏裂头蚴病免疫诊断的关键,金标免疫渗滤法或免疫层析法,非常适合病例数较少的曼氏裂头蚴病临床辅助诊断。外周血及胸水嗜酸性粒细胞升高对怀疑寄生虫感染有提示作用。(3)肺部CT检查对诊断也很关键,可以表现为多发或单发的片状、斑片状或结节状影,合并胸腔积液多见,可出现嗜酸性脓胸,病灶易游走是该病较为特征性的表现,大部分合并胸腔积液。(4)本病确诊需行病理性活检及虫体鉴定,但深部内脏感染较难开展此项检查。目前很多文献报道曼氏裂头蚴病的主要治疗手段是手术摘除,特别适合浅表部位及脑部等病变,术后给予吡喹酮1~3个疗程。治疗后患者病情明显好转,肺部病灶基本吸收。部分肺曼氏裂头蚴病患者单用药物治疗效果较为理想,但其安全性及远期疗效尚需进一步临床验证。
参考文献:肺曼氏裂头蚴病6例诊治分析  赵德军,王悦虹 现代实用医学 2014年1月
病例提供:九江市濂溪区人民医院影像科  占善杰
编辑:杨宏刚
审核:徐  晓


到顶部