【每日晨读】咳嗽、发热,饲养鹦鹉,接种疫苗,双肺弥漫磨玻璃密度影,你怎么考虑?




扑簌迷离的肺水肿
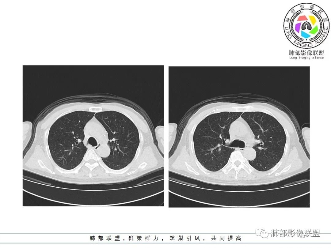
 01
病例资料


















视频补充:
 02
精彩讨论
王开金:
老年男性,病程短,起病急,咳嗽,发热,白细胞及中性粒升高,双肺多发磨玻璃及实变,下垂部位多,延支气管分布,考虑cap,病原体考虑非典型病原体。
采莲:
老年男性,咳嗽咳痰伴发热一天,急性起病,白细胞及中性粒细胞轻度升高,双肺野多发斑片磨玻璃影,边界模糊,沿支气管血管束分布,成细网格,考虑气道来源,间质性肺炎,首选感染性疾病,有养鹦鹉,鹦鹉热可能。鉴别支原体肺炎。
初级诊断师:
老年男性,起病急,咳嗽、咳痰伴发热一天,炎性指标增高,双肺散在、多发磨玻璃密度影,部分实变,边缘模糊,主沿支气管束分布,其内可见细小网格,小叶内间质增厚,家中有养鹦鹉,考虑非典型病原体感染,鹦鹉热?
衡妈:
两肺门对称不均匀分布斑片状磨玻璃影,小叶内间隔增厚形成细网格征,整体肺透亮度增强。未见胸腔积液。有养鹦鹉病史,发热,D2聚体非常高。氧分压和二氧化碳分压都下降,肺泡通气功能下降。考虑非典型肺炎,鹦鹉热?还有PCP有没有可能?
宇宙:
老年男性,急性起病,咳嗽、咳痰伴发热一天,白细胞及中性粒细胞增高,PCT不高,两肺多发磨玻璃影,边缘模糊,支气管血管束分布为主,其内可见细网格,养鹦鹉,考虑鹦鹉热,鉴别病毒、肺水肿
金豆:
老年男性,病程1天,发烧,咳嗽。两肺弥漫斑片状磨玻璃影,沿支气管血管束走形,累及间隙,胸膜下回避,白细胞,中性高,肿瘤类排除,感染与非感染鉴别,三件套选鹦鹉,鉴别血管炎。
毛勤香:
发热,38℃,首选鹦鹉热,不过好像一般是高热,鉴别肺水肿
大雄:
临床:老年男性,急性病程,发热咳嗽一天,不超过38度,间有咯血。
实验室:中性粒,CRP稍高,淋巴细胞及血氧减低。饲养鹦鹉。
PCT正常,心脏彩超心肌酶谱正常,肝肾功能正常,血管炎抗体阴性。
影像:双肺对称性中内带为主分布磨玻璃影,实变不明显。无胸水及小叶间隔增厚。
影像不符合常见的鹦鹉热或其他非典表现。临床不符合肺水肿及常见细菌性肺炎。
倾向非感染病变,自身免疫性疾病或吸入
查一下自身抗体
弹指之间:
病史中D2聚体明显升高,影像:双肺对称性中内带为主分布磨玻璃影,有坠积感,实变不明显,胸膜下回避。无胸水及小叶间隔增厚;肺水肿?感染?建议CTPA检查除外肺栓。
红日东升:
老年男性,咳嗽发热38度1天,crp、血象增高,pct不高,血气尚可,饲鹦鹉。双肺弥漫中心性多发磨玻璃密度影,以肺门区为中心性GGO伴细网格,无小叶间隔增厚,考虑非典,鹦鹉热?鉴别DAH
小锁:
老年男性,呼吸道症状,发热,急性起病,炎性指标增高。
CT示双肺中内带多发斑片状磨玻璃影,沿支气管血管束分布,边界模糊,部分支气管壁增厚。定位气道来源的病变,考虑非典型病原体感染,鹦鹉热可能。
流心明智:
男,65,咳嗽、发热1天,黄粘痰,痰中带血。饲养鹦鹉,新冠疫苗第二针后,本地有新冠病例。血像高。胸部CT:双肺中内带多发斑片样磨玻璃影,边缘不清,沿支气管血管束分布,左肺重,细网络,小叶内间隔增厚,支气管充气征。诊断:肺门为中心两侧大概对称GGO,首先考虑DAH(血管炎)?不典型病原体感染,鹦鹉热、病毒待排。鉴别肺水肿、PCP等。
 03
临床及影像分析
丁啸:
抗感染覆盖非典型病原体,激素,查自身免疫,气管镜ngs。
这个影像不是典型鹦鹉热表现
不得不考虑其他疾病
不知道会不会和这个疫苗有关系
比如诱发的变态反应,肺出血等
wj:
像肺泡出血
两肺弥漫毛玻璃,hp,pcp ,dah,肺水肿,病毒性肺炎。
再进行逐一排除
需要完善一个支气管镜的balf细胞数
这样,是出血,是淋巴细胞还是什么就知道,然后复查就能排除水肿和出血了
仅仅一次,比较难
pcp则病史就可以排除
白沙:
这个病人我们是再次梳理了病史:全身痛,头晕,乏力
这几点被忽视了
有没有神经系统的问题?做了头部CT就出结果了
除了高血压没其他病史,HIV抗体阴性
wj:
这好像是提示病毒的样子
他不是说是常见吗
想看看头颅有无问题
张三红:
神经源性肺水肿?头部CT有不?
wj:
弥漫肺疾病, hp,pcp,病毒,肺水肿,肺出血。
1.本例没有提供hiv,和激素使用,不知道这个是否能再补充,如果没有,pcp不是
2.肺水肿,心源性不是,应该是神经源性肺水肿,
3.肺泡出血,anca是阴性,没有提供说皮肤,肾损伤。另外如大家对于钩体的描述,不再赘述。影像符合,又有血痰,建议balf看看,如果出血朝着这个方向再去分析
4.hp,这个人有发热,有血痰,似乎不符合,随访便知
结合头颅的有问题,神经源性肺水肿?
不是肺出血就是肺水肿
白沙:
这个病人诊断蛛网膜下腔出血
wj:
那有可能神经源性肺水肿的
神经源性肺水肿是不多见,有一次读片会就有一个这种题目,两肺弥漫毛玻璃,我也是在hp,pcp.肺水肿,肺出血纠结,他最后给出头颅,就真相大白了
大雄:
影像是符合肺水肿
已有临床资料可以排除心源性和肾源性水肿
只不过也很难往神经源性那个方向去考虑
 04
病例结果







 05
相关知识拓展
肺水肿
1
病因和发病机制
    肺水肿是多种疾病或病理基础上发生的过多体液积聚于肺组织内的状态。
  肺静脉回流受阻,毛细血管血压增高,肺泡毛细血管通透性增高,肾功能不全的血浆胶体渗透压降低,肺淋巴回流障碍。
2
主要病因
   左心功能不全、肾功能不全、高原性肺水肿、输液量过多过快、肺静脉闭塞、溺水性肺水肿、复张性肺水肿、神经源性肺水肿等。
3
肺水肿分型
1)间质性肺水肿:水肿液聚积在肺间质内(如肺泡间隔、小叶间隔、支气管和血管周围及胸膜下结締组织)。
2)肺泡性肺水肿:过多的液体积聚在终末气腔内(如肺泡腔、肺泡囊、肺泡管、呼吸性细支气管) 。
 3)两者往往同时存在,但以某一类型为主。
4
肺水肿影像表现
1.间质性肺水肿:小叶间隔增厚,尚光滑,支气管血管束增粗,肺血管影模糊,胸膜或叶间裂增厚,肺内有磨玻璃密度影,常有重力分布趋势。
2.肺泡性肺水肿 :
(1)中央型分布:以肺门为中心,两肺中内带对称分布的大片状实变,称为“蝶翼征”。常见于心源性及肾源性肺水肿患者。也可表现为磨玻璃密度病灶,弥漫性分布或以小叶中心性分布。
(2)弥漫型肺水肿:弥漫分布于两肺内的多发斑片状磨玻璃密度及实变影,大小和密度不等,可融合成大片状阴影,可见空气支气管征。
(3)局灶性肺水肿:肺泡性肺水肿所产生的阴影呈局限性,以右侧多见。与心脏疾病患者倾向于右侧卧位和心脏增大压迫左肺动脉,使左、右肺血液量不同有关,也可见于限局性的肺动静脉闭塞性病变。
(4)病变动态变化较快,在1~2d或数小时内可有显著变化。
(5)胸腔积液较常见。
 06
神经源性肺水肿
神经源性肺水肿(neurogenic pulmonry edema,NPE)是指在无原发性心、肺和肾脏疾病情况下,由于颅脑损伤或中枢神经系统其他疾病引起突发性颅内压增高,从而导致急性肺水肿,又称脑源性肺水肿、中枢性肺水肿。其特点是起病急骤、进展快、治疗困难、病死率高(60%-100%)。
NPE可在中枢神经系统损伤、病变发生数分钟至数天内发生。NPE的发生不是单一因素造成的,而是一个复杂的病理生理过程,与中枢神经系统损伤后神经因素、体液因素、生物活性因子等多方面的改变有关,较为经典的NPE发病机制包括冲击伤理论和渗透缺陷理论,目前普遍认为NPE是两种损伤共同作用的结果。常见易导致NPE的中枢神经系统病变包括:急性开放或闭合性颅脑损伤;严重颅内出血;蛛网膜下腔出血;脑肿瘤;癫痫(主要是癫痫持续状态);急性脑水肿;EV-71病毒感染合并严重中枢神经系统病变,如脑干脑炎、无菌性脑膜炎,特别是脑干脑炎,易合并NPE,是造成5岁以下儿童EV-71病毒感染致手足口病死亡的主要原因。
NPE成人诊断标准: 1)既往无心肺疾患,发病前无心功能不全表现,颅脑损伤或病变后突然出现呼吸窘迫、血性泡沫痰、双肺湿啰音,胸部影像学检查可见云雾状阴影;2) 无过量、过快输液,多数患者出现肺水肿前有血压增高、心率加快等前期表现;3)呼吸>30次/min;4)血气分析PaO2<8.0kPa(60.0mmHg),PaCO2>5.76kPa(42.5mmHg)。NPE临床表现以急性呼吸困难及进行性低氧血症为突出特征。早期仅表现为烦躁、心率增快、血压升高及呼吸急促等异常表现。胸部X线检查常无明显异常或仅有双肺纹理增粗模糊,早期诊断较困难。当出现较典型临床表现,如紫绀、呼吸窘迫、双肺满布湿啰音、粉红色泡沫痰、严重低氧血症及肺部X线见大片浸润影,血气分析有严重的PaO2下降和升高,可肯定诊断,但此时抢救成功率极低。NPE早期发现是抢救成功的关键。
4)血气分析PaO2<8.0kPa(60.0mmHg),PaCO2>5.76kPa(42.5mmHg)。

编辑:杨宏刚
审核:蔡笑燕  徐  晓
病例提供:湖南省人民医院呼吸三科  符代炎


到顶部