【每日晨读】老年女性,右肺下叶感染性病变,究竟谁是真凶?




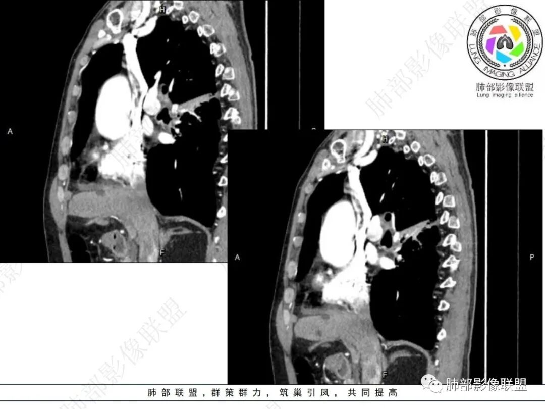
病例资料





























































































微信群讨论
一切∮随缘:
右肺下叶背段可见斑片状、条片状高密度影,支气管扩张,周围伴有磨玻璃影,边界欠清,纵隔窗:可见脊柱偏右侧可见斑片状影,与食管交界面欠清,食管形态不规则,考虑食管支气管瘘?食管异物穿孔?支气管异物?建议食管镜及支气管镜检查。
金豆:
慢性病程,支气管管壁增厚,远端花花草草,胸膜下少累及,淋巴结肿大,大的方向,炎症,结核?曲霉?铜绿?鉴别鳞癌。食管也有问题,平滑肌瘤?
不吝慷慨:
病史很长,瘘的可能性大,淋巴结核?
宇宙:
气管隆突下团片影,其内积气,与食道分界不清,食道壁增厚,管腔狭窄,右下肺实变影,支气管壁增厚,考虑食管支气管瘘并右下肺感染,食道肿瘤病变不除外
谢加平:
后纵隔,位于奇食窝右侧肿块,形态不规则,明显强化,右肺下叶背段支气管受压,并右肺下叶背段为主阻性炎症,右肺斜裂胸膜增厚,见多发微小串珠结节,纵隔内淋巴结肿大,与主体病灶强化性质相同,另外右下肺静脉主干边缘不规则(侵蚀破坏?),老年男性,2月前夜间刺激性干咳为主,方向恶性,纵隔旁型肺Ca,补充重建供血支气管动脉!
宇宙星空:
支持食管支气管瘘(考虑食管癌)伴后纵隔及右肺感染,食管管壁明显增厚,管腔狭窄,相邻右侧后纵隔内软组织内可见气体影,与食管分界不清,右肺有实变及不张。
放射线:
右肺下叶背段条片状实变影,内可见支气管走行,支气管有狭窄有扩张,周围可见磨玻璃影,隆突下团片影,内密度不均可见气体影,与周围结构界限不清。食管下段壁增厚,管腔狭窄,右肺下叶慢性炎、肺不张,考虑食道肿瘤所致气管食管瘘。
尘缘:
我与众不同考虑:食道异物后慢性肉芽肿形成继发食道支气管瘘,肺不张及阻塞性炎症,鉴别鳞癌。强化像肉芽肿。
十年病史,肿瘤和结核都不好解释,感染也不好解释,异物慢性表现倒是符合,反正我考虑异物可能最大,补充一下,除了食道异物可能外,支气管异物也可能
龚小萌:
老年男性,慢性病程,右肺下叶斑片影、斑点影、实变影,支气管轻度扩张,病灶整体稍收缩;食道壁增厚、肿胀、模糊,气管隆突及右后纵隔旁见软组织块影,其内见气泡影,均匀强化,符合食道支气管瘘伴周围炎症,右下肺炎症
空格:
老年男性,病史十年,食道气管瘘肯定存在,先天的,还是后天肿瘤继发?我倾向于先天的,因为食道、气道不像肿瘤性瘘管,但好像发病年龄太迟?右下肺远端吸入性肺炎好解释,右下肺没有伴发纵隔型肺癌?我觉得有,有占位效应,综合先天瘘管继发感染+纵隔型肺癌
这个瘘管过于清秀纤细,考虑先天性

红星:
男性69岁,咳嗽,咳痰10多年。两肺下叶有支气管扩张的改变,右肺下叶背段的片状实变阴影,有支气管的扭曲样穿行,有病灶的收缩,以及沿着支气管的 播散病灶,肺门纵隔内支气管隆突的上下呈大片状的实变影,结构比较混乱,食管显示的不清楚,伴有多发的淋巴结增大。临床上主要提及呼吸道的症状,但是没有提及消化道的症状。另外还见到肝内有多发的低密度病灶,考虑囊肿。
肺内的病灶考虑:气管食管瘘?食管癌?结核?
毛勤香:
隆突下少量气体,隆突下团片状影,食管壁增厚,右肺下叶斑片状影明显强化,夹杂少量气体,纵隔瘘应该有,合并感染,食管肿瘤累及?临床没提食道症状,建议钡餐和内镜检查,没有看到体动脉供血,排除隔离症
流心明智:
男,69,咳嗽咳痰10年,加重2月。ESR快。胸部CT:右肺下叶背段斑片影、条片状实变影,周围伴有磨玻璃影,边界欠清,支气管有狭窄扩张,隆突下积气团片影,与周围结构界限不清。考虑:慢性炎症致支气管-纵隔-瘘?TB?鉴别食道肿瘤致气管食管瘘。
补充资料


结果










尘缘:
胃镜排除食管癌了
不吝慷慨:
我看见的淋巴结核瘘,全部在右边,左边因为有食管有些阻挡作用的



病例小结
1.临床资料:
   老年男性,有慢性阻塞性肺病病史,入院前2月复发加重,C-反应蛋白增高。抗炎治疗效果不佳。
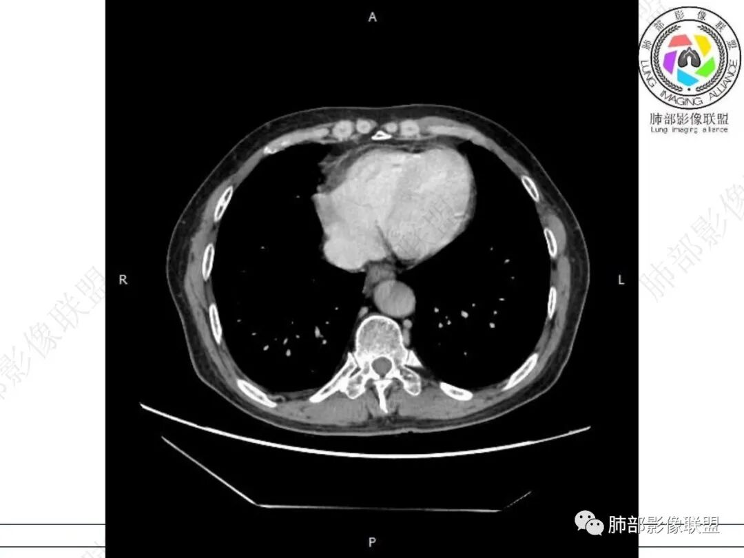
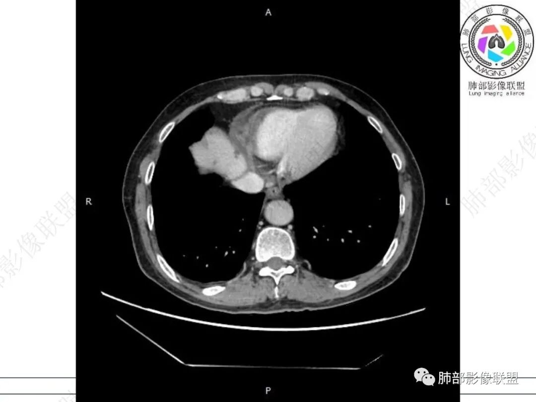
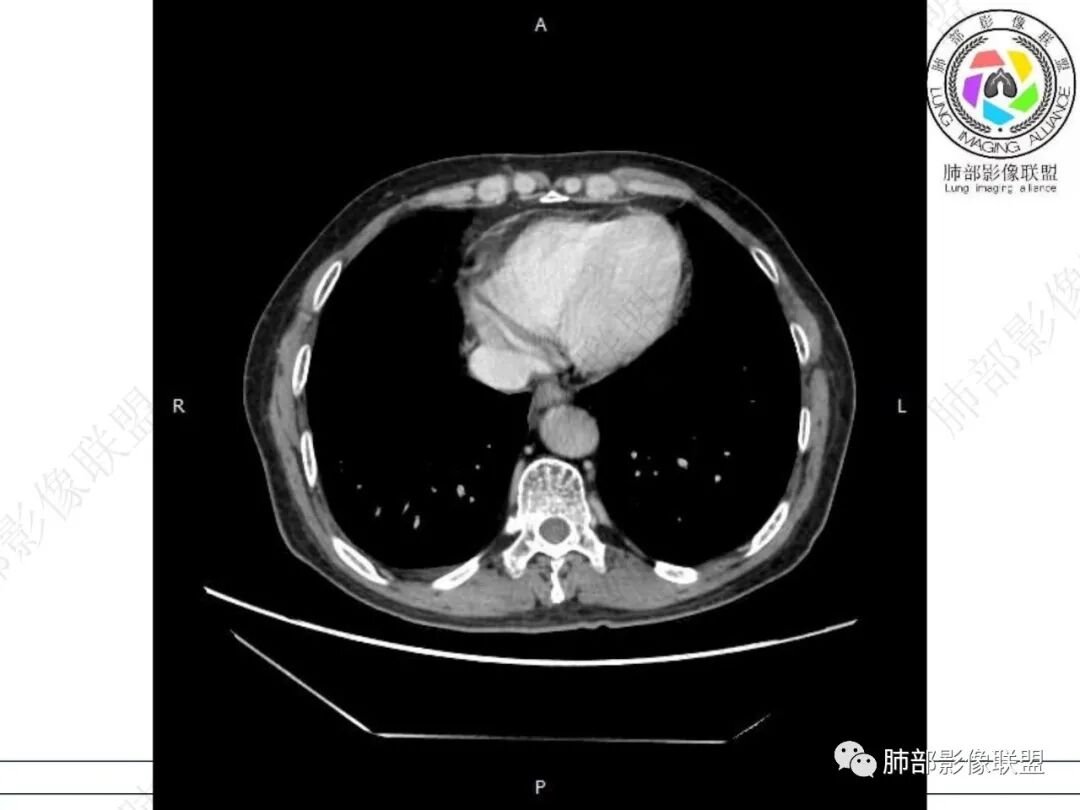
2.影像特点:
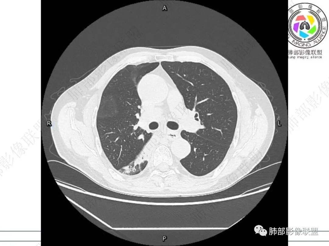
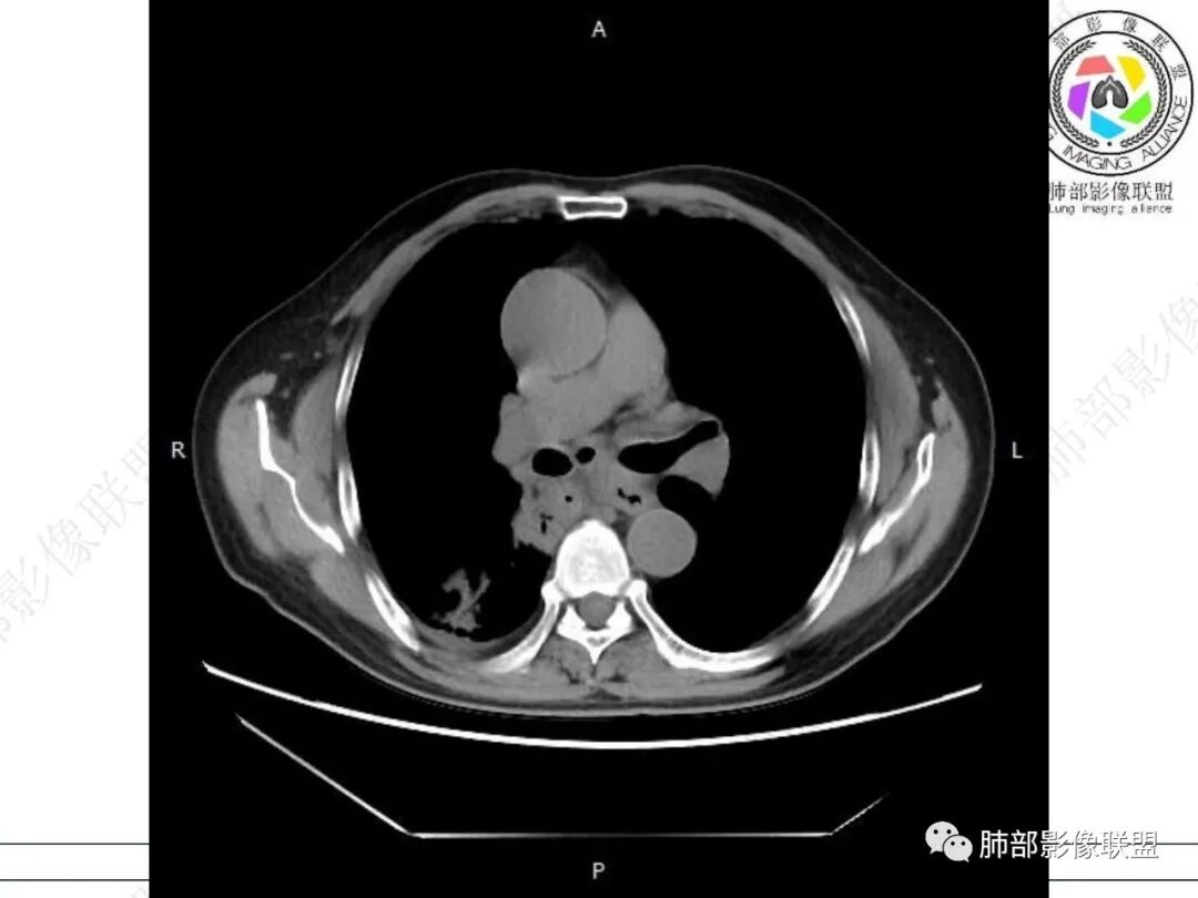
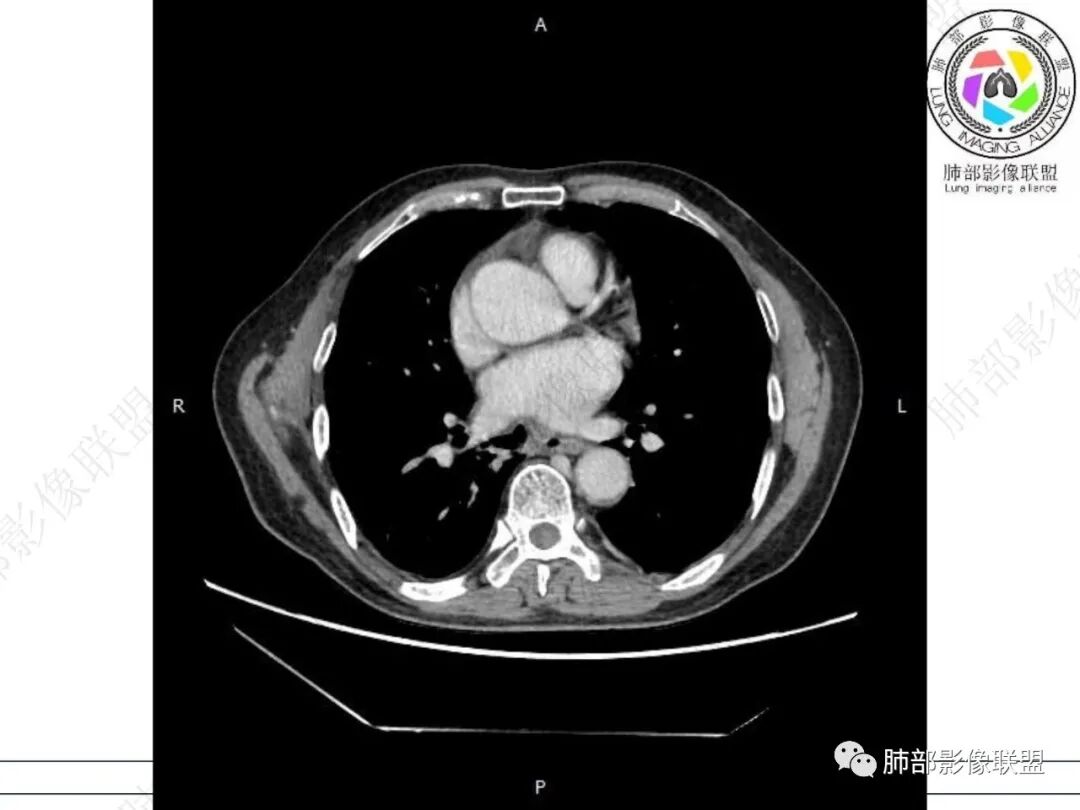
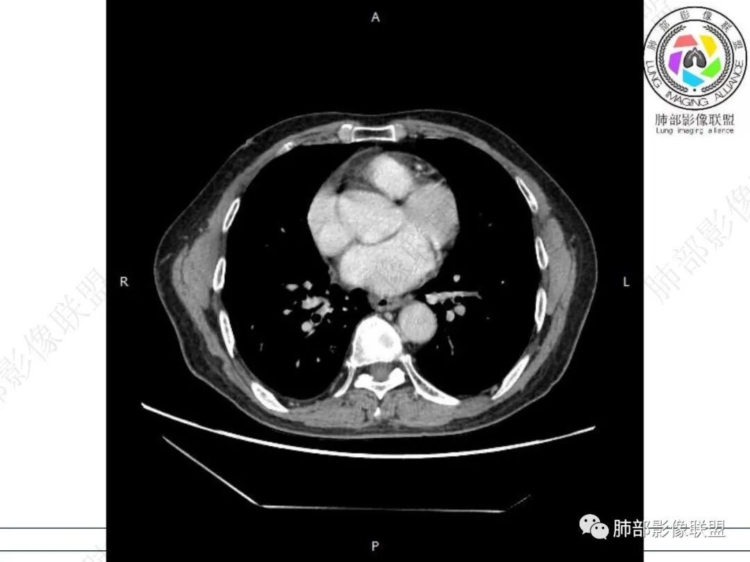
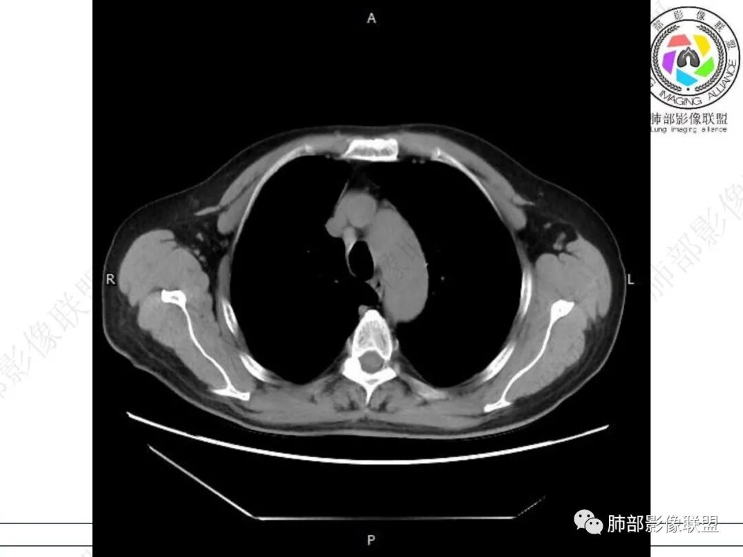
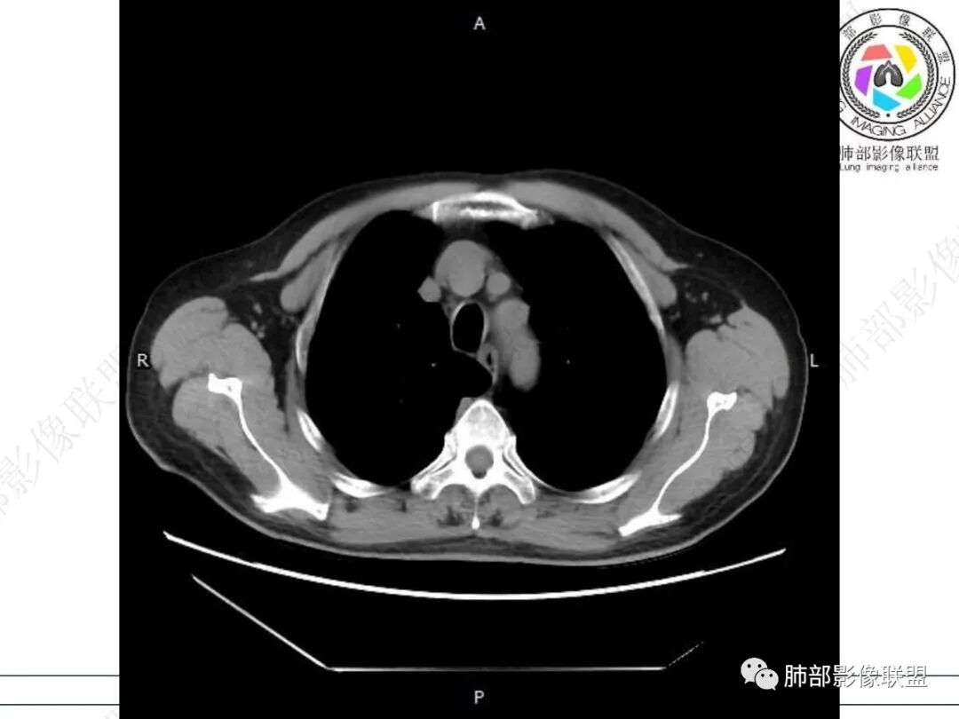
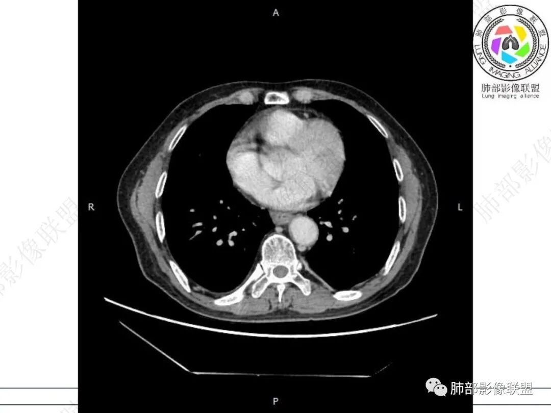
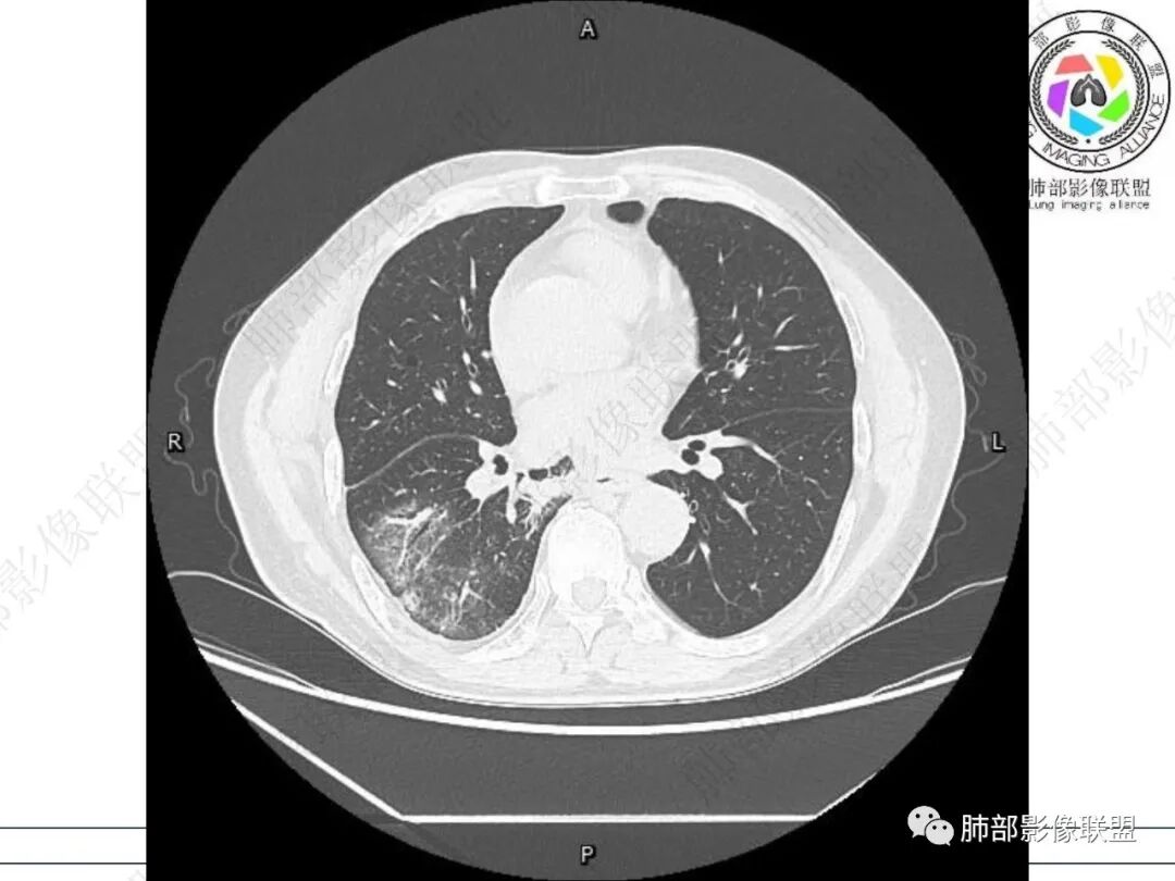
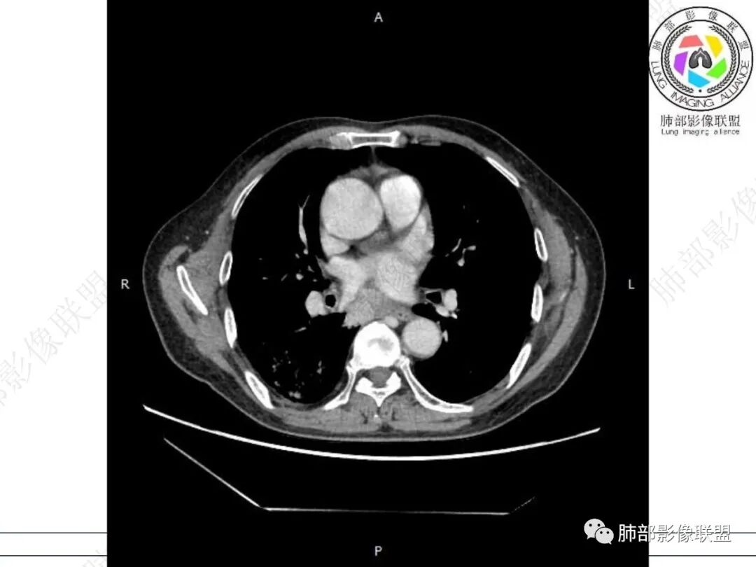
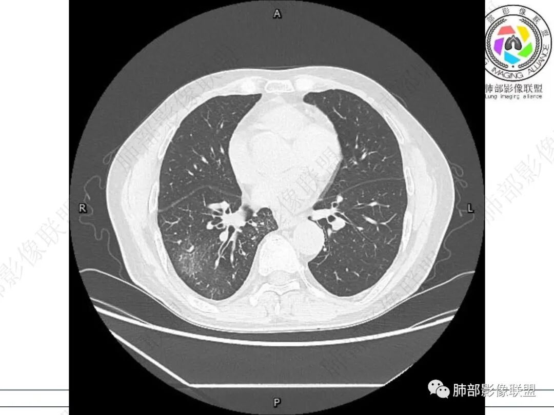
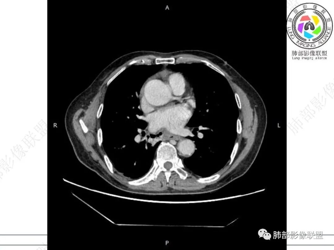
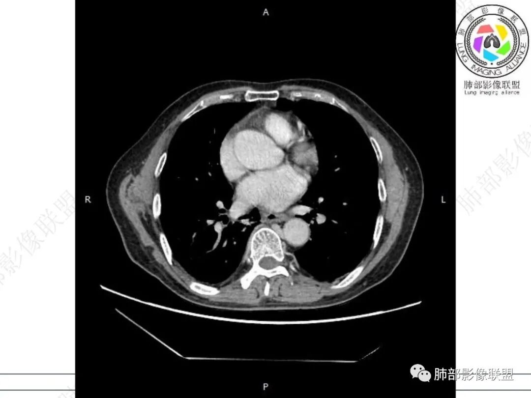
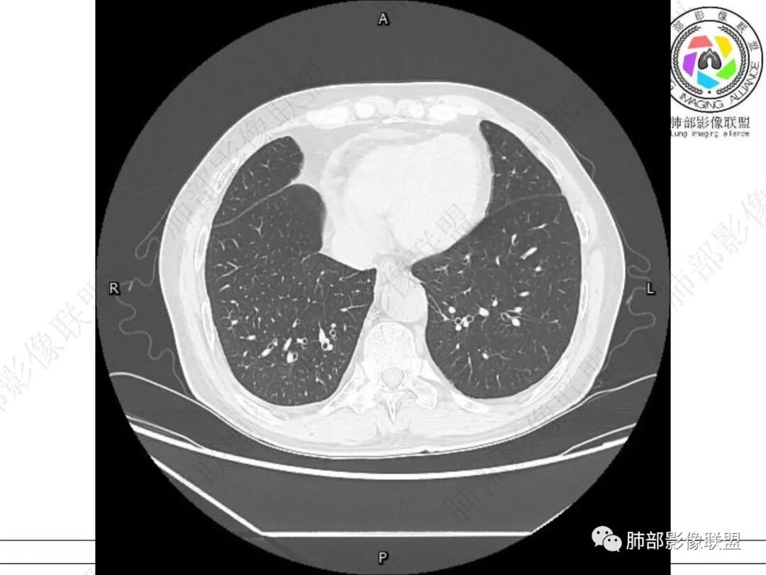
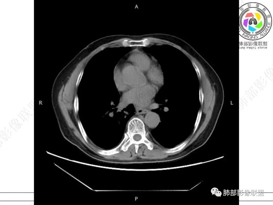
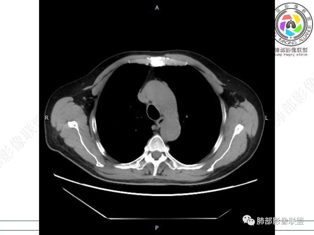
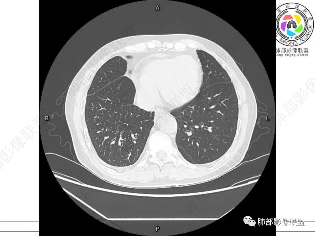
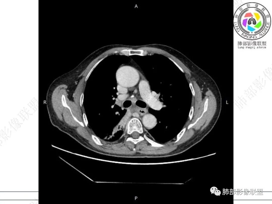
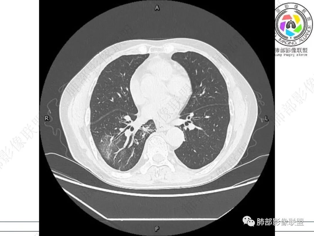
    右肺下叶沿肺叶肺段分布斑片、条片状影,以下叶背段为显,边缘模糊,内可见支气管走行,局部支气管管壁增厚,右侧胸腔少量积液。纵隔隆突下可见不均匀软组织密度影,与周围结构分界不清,内见气体密度影,与食管及相邻右肺支气管之间未显示通道。邻近食管下段壁明显不规则增厚,增强后食管管壁明显不均匀强化,可见线样强化的连续完整粘膜影。
3.综合分析:
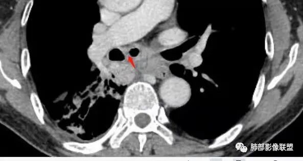
    右肺下叶片影,气道相关,符合感染性病变。纵隔隆突下软组织密度影,异常气体影,长病程,起病缓慢,提示存在气管或食管瘘。食管镜未见明显新生物形成,临床未提供进食或饮水呛咳临床表现,综合分析应该考虑支气管瘘的形成。
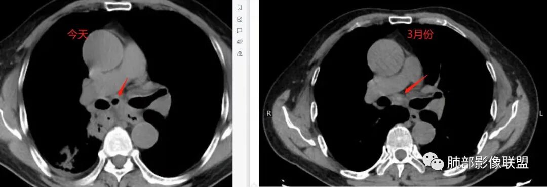
    对比患者3月份的CT图,原隆突下存在增大钙化淋巴结,现在出现气体影,且钙化显示不清,应想到淋巴结结核破溃成瘘可能性。
   这个病例提示我们纵隔内淋巴结伴钙化或肺内结核伴钙化,可能会因患者的免疫力下降使结核复燃。
  追溯寻找既往影像资料对影像诊断也至关重要。该病灶因毗邻食管,临床工作中还有详细询问患者的吞咽情况,是否存在呛咳、呕吐情况,及与呼吸道发病时间的先后顺序。
  应当注意的是,瘘口较小或较为隐匿时,内窥镜寻找并非易事,影像检查使用阳性对比剂,或者临床使用美兰等有助于确立判断。
编辑:杨  丽
审核:蔡笑燕  徐  晓

到顶部