【每日晨读】老年男性,空洞壁内血管穿行,会是什么?



晨读资料
   

         























































                     





微信群精彩分析
秦化君:
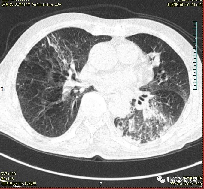
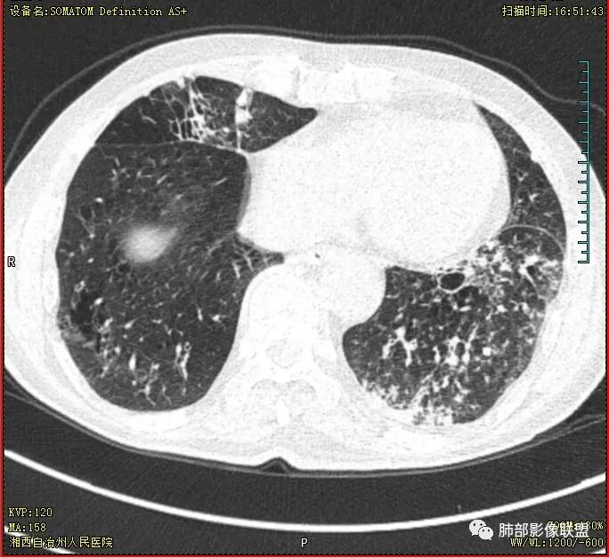
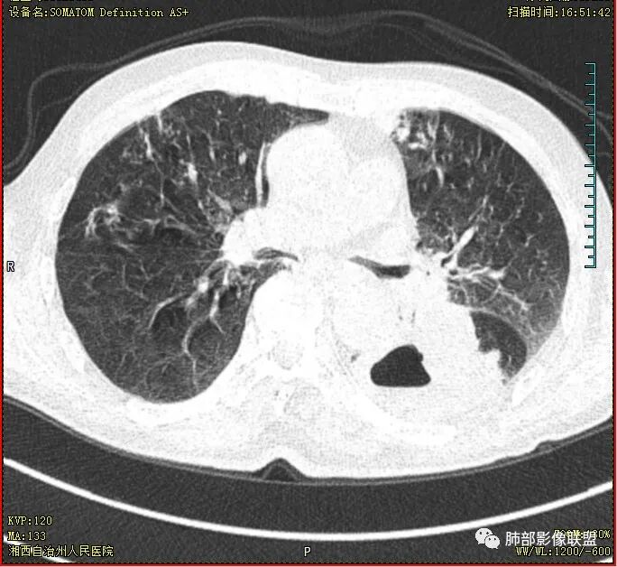
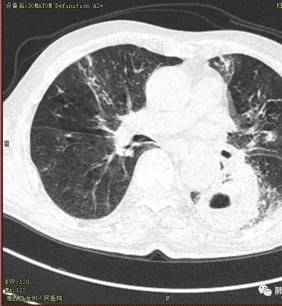
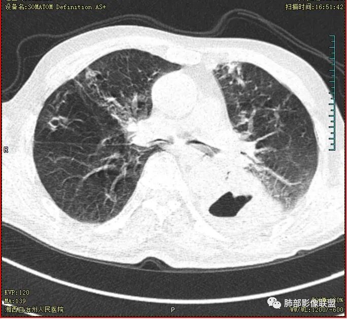
晨读 双肺多发斑片、斑点影,可见树芽征,支气管播散,右肺上叶小空洞,左肺下叶厚壁空洞,内壁较光整,有浅液平,右下叶背段支气管变窄,不均匀强化。结合临床考虑结核并感染,待排除合并肺癌可能。
许慧良:
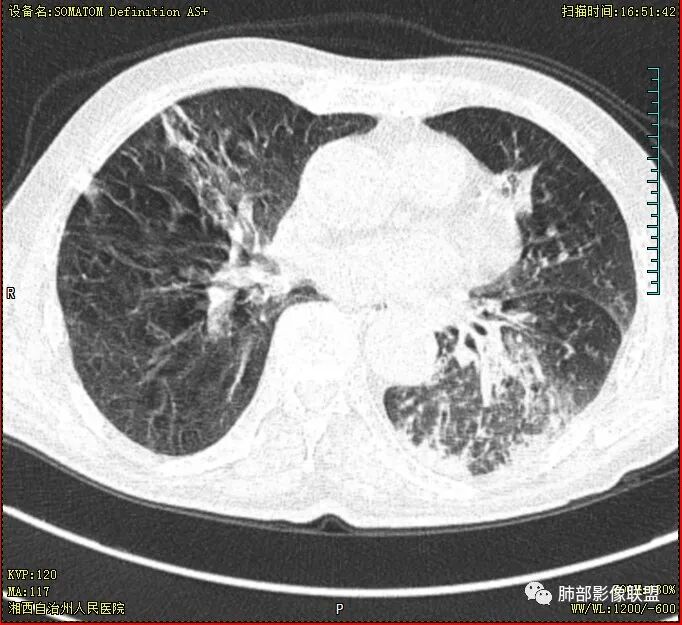
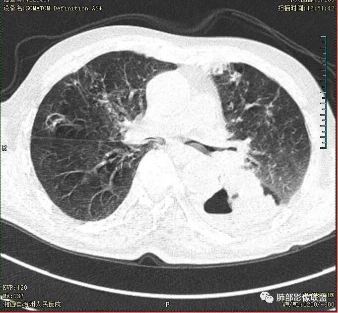
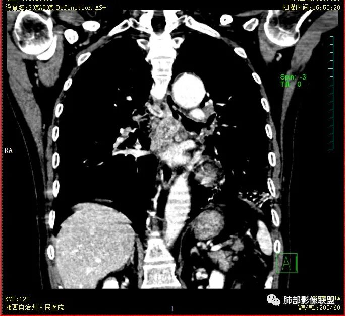
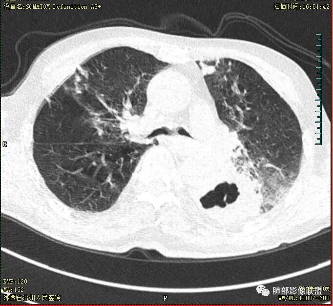
晨读:老年男性患者,痰中带血伴间断发热2周,体温39.4℃,白细胞、中性粒细胞,CRP增高,Tspot阳性,胸部CT:双肺病变,左肺下叶背段大片实变密度影,边界模糊,内部见空洞形成,空洞内壁总体光滑,有气液平,增强扫描轻度不均匀强化,一月后复查空洞消失,实变影吸收减少,考虑感染性病变,结核伴肺脓肿。
王开金江津中心医院呼吸科:
晨读,老年男性,中等病程,咳嗽,痰中带血,发热,主病灶位于左肺下叶空洞,厚壁,偏心,内壁光滑,边界清楚,不均匀强化,内有坏死,考虑结核,内有气液平,周围部分小叶中心结界,好热,白细胞升高,合并感染。结核合并感染,鉴别肺癌合并感染。
衡妈:
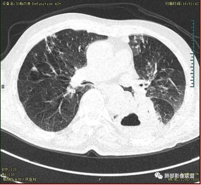
老年慢性长期吸烟,痰中带血伴发高热。左下肺大片不均质实变里可见一含气液平厚壁空洞,内壁有坏死物残留,增强可空洞壁明显强化轮廓显示清晰,空洞位于肺门侧,近端支气管壁不规则增厚。两肺散在斑片状影,并见小树芽。18号复查肺窗空洞显示不清,20号用了俯卧位扫描,液体向下流动空洞又显示出来了。左下肺病灶有变小,还是考虑感染性病变,结核合并感染,鉴别鳞癌。
红星:
老年患者。左肺下叶厚壁空洞,有液平面。空洞内壁较为光整。病灶的内侧见支气管节段性的变窄扭曲。两肺内,弥漫性的广泛性的播散病灶。考虑感染性病变。肺结核并空洞形成两肺内播散。鉴别诊断-左肺下叶鳞癌。
宇宙:
老年男性,肺气肿,左肺下叶空洞,壁厚薄不均,见液平,下叶支气管阻塞,不均匀强化,伴两肺斑片及树芽影,考虑左肺下叶癌性空洞(鳞癌)并感染及两肺结核
傅昌瑜:

傅昌瑜:

大雄:
老年男性,亚急性病程,咳嗽咯血伴发热2月。
中性粒 血沉 CRP增高,TSPOT阳性。
双肺多发结节影,树芽征,小叶中心分布,左肺下叶不规则空洞,洞内壁光滑,见液平,洞壁似与支气管相通,增强扫描明显强化,可见血管造影征。三周左右复查空洞明显缩小。
影像至少二元
双肺结核的背景
左下肺空洞伴液平,短期变化,考虑存在感染。
当然,老年男性长期吸烟史,也需要穿刺排除空洞存在肿瘤的可能
飞鹰行动:
老年男性,痰中带血,双肺多发点片状阴影,左肺下叶可见空洞影,有液平,不均匀强化,局部低密度区边界不清晰,复查病灶范围缩小,空洞消失,结合病史肿标增高,首选考虑肿瘤合并肺脓肿,鉴别淋巴瘤,结核。
wj: 我也觉得这种空洞,不像结核干净的空洞,也没有糖尿病,不存在毛霉的危险因素,坏死空洞不光滑,不彻底,壁结节,坏死与壁强化分界不清,坏死区血管未完全破坏,病史两个月,不太像普通细菌感染,体重减轻,肺癌需要首先考虑,边缘膨隆,老年抽烟,支持肺癌,鉴别结核合并细菌感染
琦遇: 我记得黄氏定律有一条:空洞壁内可见支气管,鳞癌的概率很小的,但是合并感染后就不好说了,晨读常规结核并感染,非常规结核、鳞癌、感染三元
尘缘: @万琦 辽宁沈阳结核医院?人家那个定律有个前提:小于3cm未经治疗的鳞癌
琦遇:
影像上以及临床上首先考虑结核合并感染 (CT:液平空洞、树芽、病灶整体形态走形符合支气管爬行征) 鉴别鳞癌并感染  临床上需要尽快检查的是反复查痰(抗酸杆菌、瘤细胞),必要时支气管镜支气管灌洗液查菌
自信人生:
老年,老烟枪,痰中带血伴发高热。
双肺多发点片、索条斑条灶,见多发树丫征,左下肺大片不均质实变,内见一含气液平厚壁空洞,壁厚,内壁有坏死物残留,增强可空洞壁明显强化
,空洞位于肺门侧,近端支气管壁不规则增厚。
抗炎3周洞臂缩小
18号复查肺窗空洞显示不清,20号用了俯卧位扫描,液体向下流动空洞又显示出来了。
考虑感染性病变,结核合并感染,脓肿形成?鉴别鳞癌。
赵春杨:
老年男性,亚急性病程,咳嗽咯血伴发热2月。
中性粒 血沉 CRP增高,TSPOT阳性。
双肺多发结节影,树芽征,小叶中心分布,左肺下叶不规则空洞,洞内壁光滑,见液平,洞壁似与支气管相通,增强扫描明显强化,可见血管造影征。三周左右复查空洞明显缩小。考虑结核合并鳞癌可能性大。
行云流水:
首先双肺多灶多形态病灶,考虑结核,聚焦左下肺病灶,空洞,内壁尚光整,有明显液化坏死,增强无明显强化,壁内可见支气管充气征,复查后空洞缩小,首先考虑良性,结核伴脓肿,鉴别鳞癌
放射小白:
左肺下叶后壁空洞伴两肺散在炎性改变,治疗后左肺下叶病变及肺部炎性变好转,空洞性病变近纵隔处局部可见软组织密度影及支气管壁疑似增厚,首先考虑癌性空洞,鉴别肺脓肿及结核性空洞。
流心明智:
男,72,,痰中带血伴发高热2月。
胸部CT:双肺多发小斑片、树芽、索条灶,左下肺大片不均质实变,远肺门侧厚壁空洞,气液平,内壁有坏死物残留,增强可空洞壁不均匀强化,近端支气管壁不规则增厚堵塞,实变影内可见与洞壁平行支气管。抗炎3周有缩小。
考虑:鳞癌并特殊感染,TB?鉴别单纯肺脓肿。
King:
就影像而言,不太符合鳞癌空洞。空洞内壁尚光整,洞内坏死液平,这个肿瘤伴感染也能解释。但空洞实性部分气管血管尚完好,不太符合鳞癌。当然这种老年吸烟男,临床一定是要排查癌的。就读片的话,我考虑感染性,霉菌?奴卡?另外怎么治疗病灶吸收的?常规抗炎还是用了针对性药物?
傅昌瑜:

傅昌瑜:

病例结果


回顾性讨论
傅昌瑜: 
难怪空洞壁上还有部分血管
衡妈: 
当时就觉得这个强化像个肿瘤,但时复查洞明确变小了,就考虑感染了,不过没想到是腺癌
King: 
鳞癌不像,腺癌也想了下,毕竟有分隔怕,但我从没见过肿块结节型腺癌伴感染的!!
@洪桥爱 湘西自治州人民医院感染科?这个算是我见过的第一例,其他老师有见过吗?
尘缘: 
反正这个年龄,这个影像表现,癌是表现首先要去排除的,@靳明旭南京市第一医院影像科?腺癌伴感染的也不少见
良孑: 


尘缘: @靳明旭南京市第一医院影像科?结节的没见过,肿块的不算常见,但是也见
过好多例
大雄: 空洞短期变化,这个确实有迷惑性,也遇到过几例,这个病例应该是合并感染了
洪桥爱: @於雄 九江市一医院影像?  与血象升高符合,但是有没可能是分泌的粘液?
大雄: 粘液应该也不太容易形成气液平
尘缘: 主要还是感染,粘液不是主要成分
本例要点小结:
1. 影像双肺病灶表现比较复杂。
双肺边界较清楚的斑点状影、树芽征,结合T-SPOT阳性,长病程,体重减轻等,继发性肺结核是应当考虑的,至少作为基础疾病之一。
2.患者发热,中性粒细胞等炎性指标轻度升高,C-反应蛋白高,短期内双肺病灶吸收明显,吸收部分较符合普通感染性病灶,也可以因部分肺泡积血有所吸收。
3.注意到左肺下叶空洞性病灶,腔壁厚度不均,环形强化较为明显,壁间支气管血管影走行,腔内液气平面,这通常见于感染性病灶,如脓肿,经治疗病灶吸收也高度支持病灶主体成分为脓肿。
4.老年男性患者,痰中带血,体重减轻,空洞性病灶壁厚不均疑及肿瘤性病变符合常理。
尽管坏死明显,但穿行血管结构自然,血供如此丰富,鳞癌的判断使人望而却步,腺癌的判断也缺乏有说服力的线索。

END
编辑:刘权威
审核:蔡笑燕  徐  晓


到顶部