【每日晨读】右上肺Ca术后,左肺上叶新增肺结节,到底是什么?



病例资料




















































精彩讨论
一切∮随缘:
左肺胸膜下结节多次随访复查增大,考虑恶性腺癌
红星:
老年男性患者,有高血压病史,鼻咽癌病史,还有右肺上叶鳞癌手术病史。在复查时候发现左肺上叶前段的结节影,开始是以囊实结节为主,经过一段时间的随访,变为实性结节,实性成分增多,体积增大,有毛刺有分叶改变。整体明显的膨胀,远端有片状的磨玻璃样影,考虑远端支气管有堵塞引起的渗出性的炎症改变。考虑恶性结节。转移性鳞癌?腺癌?
lily:
老年男性患者,有鼻咽癌病史及右肺上叶鳞癌手术病史。左肺上叶前段结节影以囊实性小结节逐渐增大并成为实性结节,整体膨隆,结合病史考虑转移性鳞癌可能。
衡妈:
鼻咽癌五年。2019右肺周围空洞型鳞癌术后,2021左上肺新发微小空腔/空洞性结节,这么小病灶还有空洞还是空腔的,相隔五个月复查增大变实,又一个半月复查病灶再次增大,增强后不均匀强化,有低密度坏死区,肿瘤病史先考虑转移,鉴别原发肺肿瘤,低分化腺癌?
宇宙:
右肺上叶囊腔鳞癌术后2年发现左肺上叶空洞结节,壁不规则,分别于5月及7月复查增大、变实,边界清,浅分叶、毛刺,不均匀强化,坏死明显,考虑转移性鳞癌,鉴别腺癌
大雄:
结节边缘毛糙,整体收缩,局部平直,增殖速度快,倾向炎性肉芽肿,隐球>结核,建议穿刺
衡妈:
确实有明显的平直边
G,G,study:
炎性的特点多一些,ige很高啊,考虑肉芽肿炎,曲霉、隐球>鳞癌转移;不支持腺癌,倍增时间太快了
强化有没有?太小了
金豆:
既往肿瘤病史,转移一定要优先考虑,形态略扁,边缘刀切,似乎有粘液栓,血管通过,炎性肉芽肿,鉴别转移。
王学礼:
病灶有牵拉胸膜凹陷,但是增强又有坏死,腺癌会这样子吗?还是结核?没方向
衡妈:
原始病灶这个样子,转移可能更大些,什么样的炎性结节开始这样呢?结核?隐球?
月亮圆了!:
鼻咽癌,右肺上叶鳞癌手术病史。左肺上叶结节影,逐渐增大,旁边有囊,,整体膨隆,考虑转移性鳞癌可能。”
周太狼:
老年男性,有鼻咽癌病史及右肺上叶鳞癌手术病史,左肺上叶结节影,第一次片以囊实性小结节为主,后面半年复查逐渐增大并形成为实性结节,结合病史首先考虑转移性鳞癌可能,鉴别炎性肉芽肿。
张延军:
老年患者鳞癌右肺上叶切除2年,鼻咽癌5年,左肺舌叶结节,发现时囊腔伴小结节,经过两次复查结节进行性增大,囊腔消失,增强,结节内血管增粗,边缘不清,强化后密度不均似有斑片状坏死区,考虑1原发鳞癌。2转移。前者放首位
小兜:
老年男性,右肺鳞癌术后,左肺上叶囊腔伴小结节,复查短期增大明显,边缘平直,增强可见坏死区,首先考虑为鳞癌转移,鉴别炎性病变
流心明智:
体检发現左肺结节7月。鼻咽癌、鳞癌史。胸部CT:左上叶胸膜下结节,空洞结节→实性结节,边缘膨隆、平直都有,不均匀强化,灶性低密度,血管增粗进入、边缘模糊,似有支气管边缘堵塞?考虑恶性,鳞Ca?转移?鉴别PC、TB。
邢瑞欣:
老年男性,肿瘤病史,左肺上叶结节,边界较清,病灶范围逐渐增大,考虑恶性肿瘤
飞鹰行动:
老年男性,有肿瘤病史,左肺上叶结节,边界较清,复查病灶范围逐渐增大,膨胀性生长尽管有一些炎性病变表现,但结合病史和病灶随检,首先考虑恶性肿瘤,腺癌或转移。
小飞:
老年男性,右上肺鳞癌病史,左上肺结节,与右上肺鳞癌形态相似,复查病灶增大,首先考虑恶性鳞癌。
洪桥爱:
鼻咽癌、肺鳞癌病史,左上肺单发实性结节,动态复查逐渐增大,结核、隐球相关检查阴性,常规思路考虑恶性,转移性鳞癌?腺癌?
这么几个月复查,病灶一直进展,患者应该已经精神崩溃,估计应该是切了
崔少钢:
老年男性,多发癌病史,左肺上叶结节,初始小囊,出现逐渐增大实性病变,囊变小,可见胸膜牵拉,部分边缘膨胧,考虑恶性,首先排查转移。
放射小白:
联盟晨读病例:左肺结节短期增大,常规考虑炎性肉芽肿;感觉如果是肿瘤倍增时间太短了,那只能是转移瘤或小细胞肺癌。
放射线:
鼻咽癌病史及右肺上叶鳞癌手术病史,左肺上叶结节影,第一次片以囊实性小结节为主,后面半年复查逐渐增大并形成为实性结节,结合病史首先考虑转移性鳞癌可能,鉴别炎性肉芽肿。
尘缘:
原来右上肺是囊腔型鳞癌手术的。2021年四月左肺发现结节,9月增大,11月再次明显增大。原发腺癌,可以排除,时间轴明显不符。原发鳞癌,半年这么明显变化的也基本不可能,小细胞生长这么快,没有沿淋巴道转移的串珠样或蠕虫样改变,也没有肺门淋巴结肿大,机率也小。至于转移,短期内出现这种孤立的结节并迅速长大,而且不在右肺。可能也很小。所以只有用炎性肉芽肿解释这个变化最适合,而且边缘平直,强化明显,边缘索条明显,均更符合炎性。所以我直接考虑炎性肉芽肿,隐球>慢性非特异性炎>结核。
晨读结果

尘缘:
应该还是原发的。这个原发鳞癌长太快了。低分化能理解。又增长见识了。
陳显静:
直径长了一倍吧,原来6mm左右
强化不均匀 有低密度区 血管进去 临床还是怀疑肿瘤 建议直接手术了
                   编后语
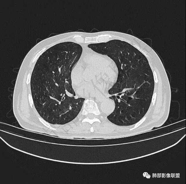
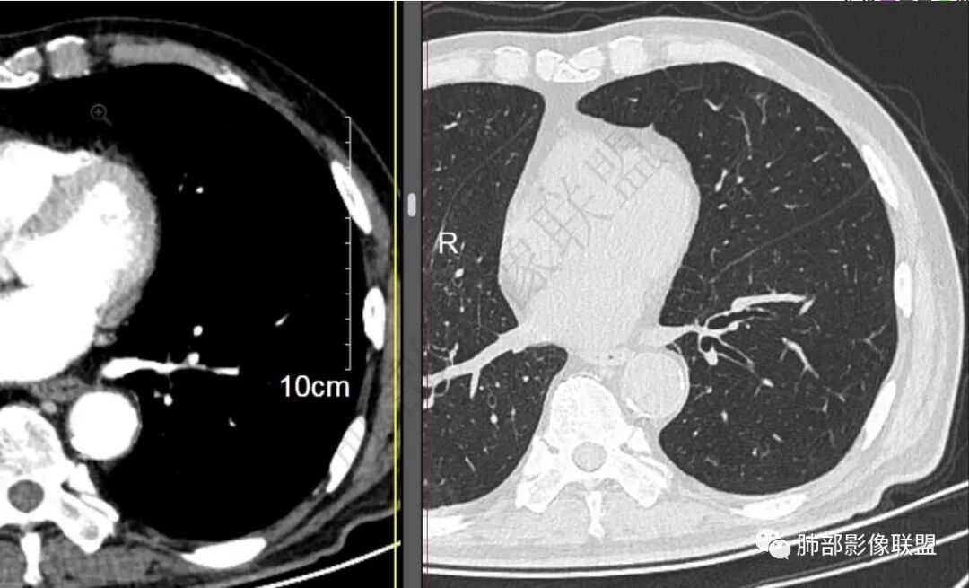
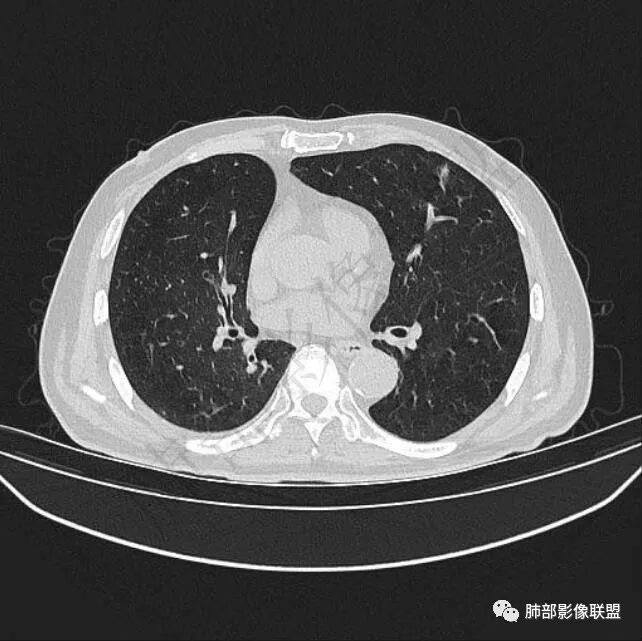
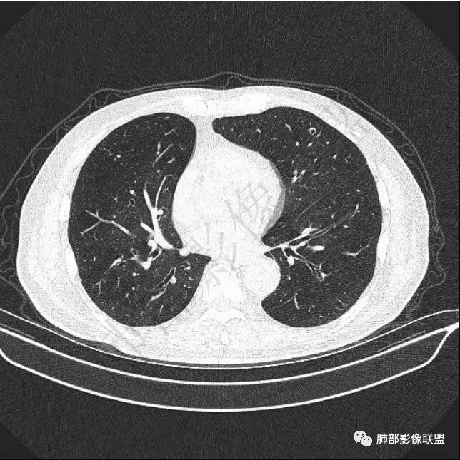
一.老年男性,体检发现肺部结节。
实验室检查无特殊发现。有多年吸烟史。
5年前鼻咽癌,2年前右肺上叶鳞癌手术史。
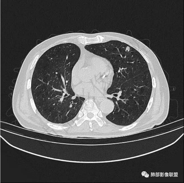
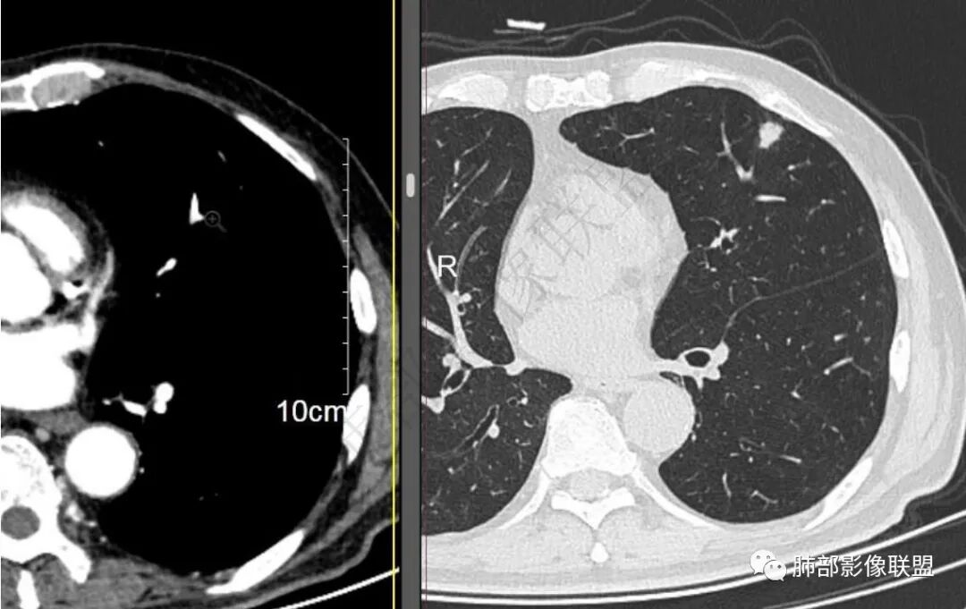
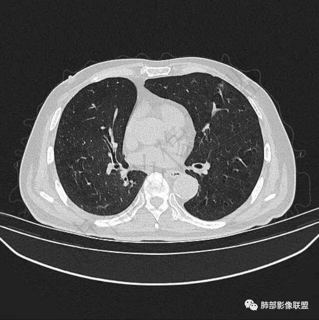
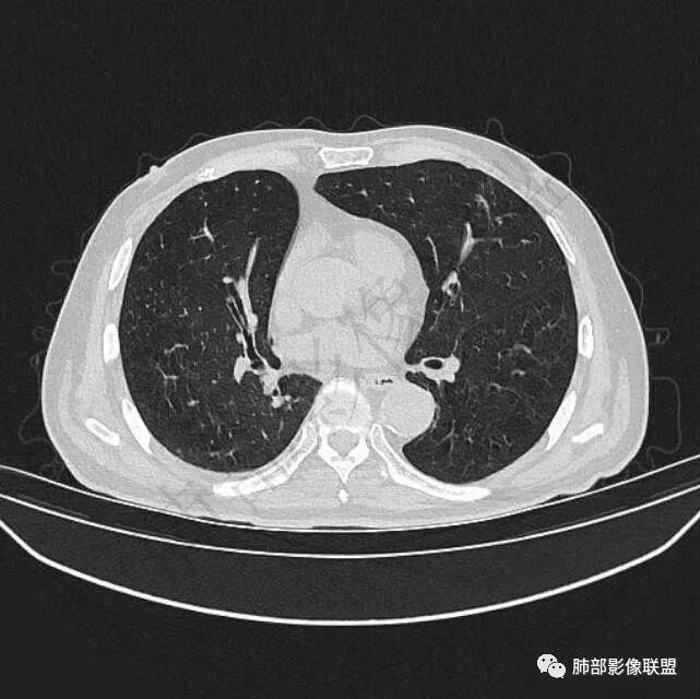
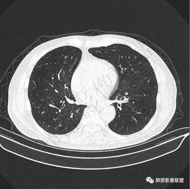
二..发现左肺上叶舌段实性密度小结节影,不规则略呈半环形,边界清楚,未见分叶、毛刺及磨玻璃晕。未见卫星病灶。
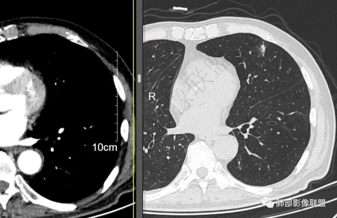
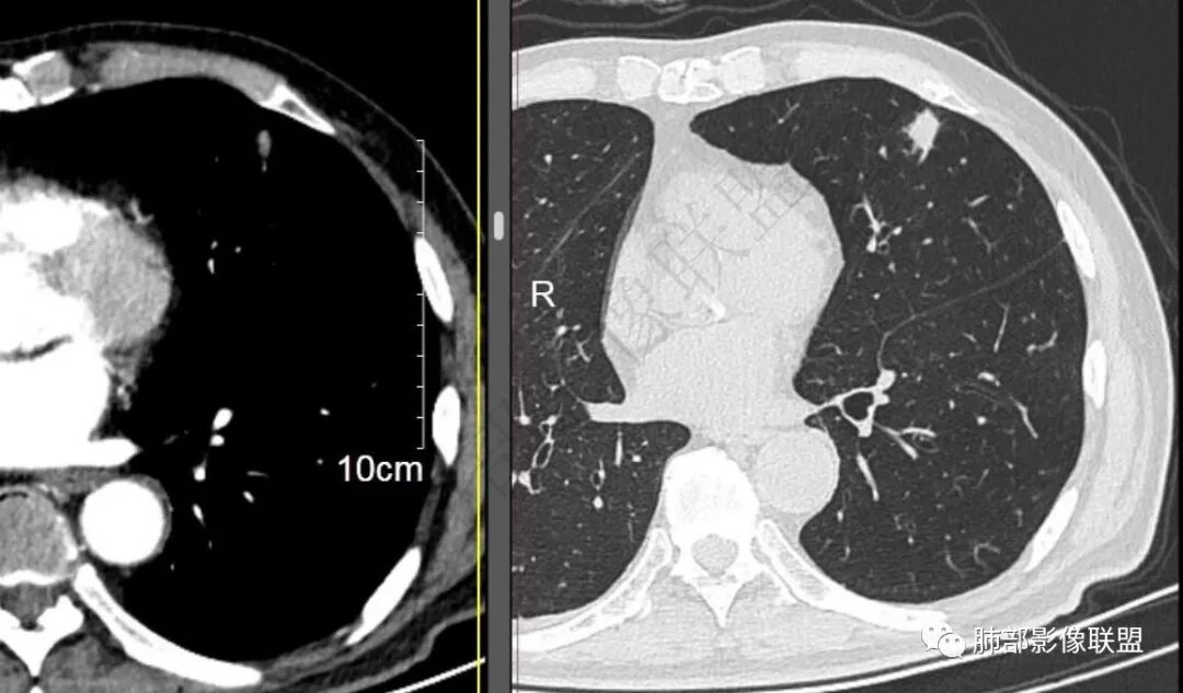
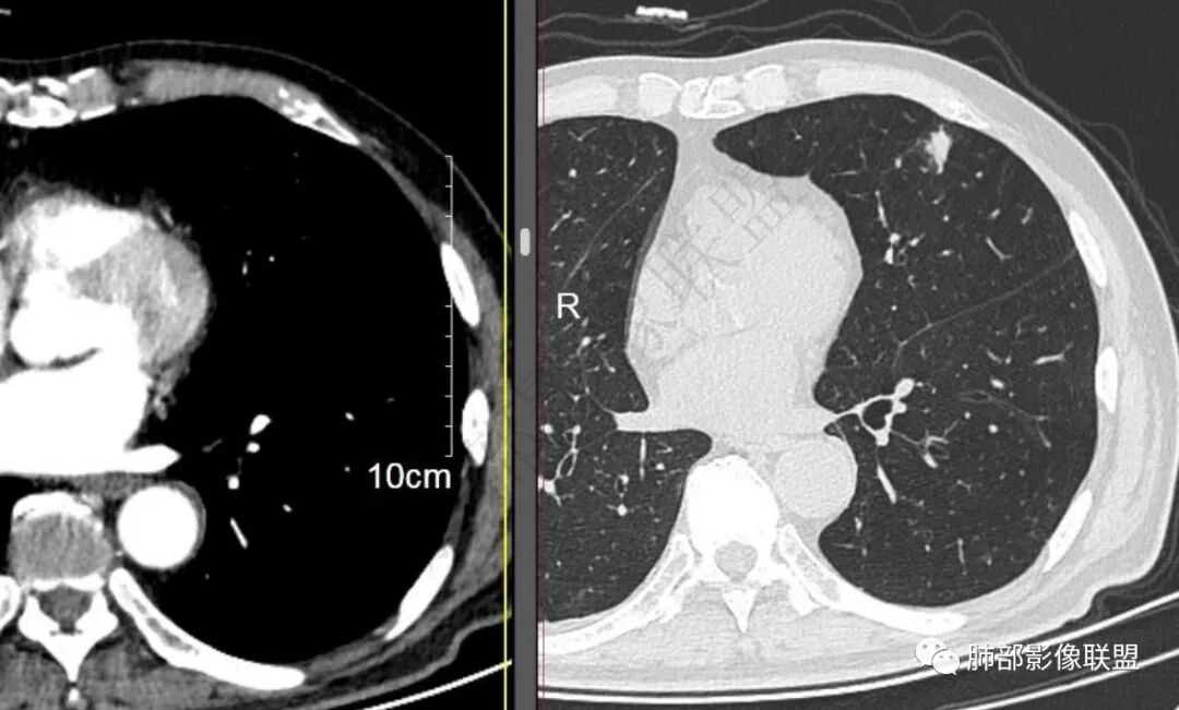
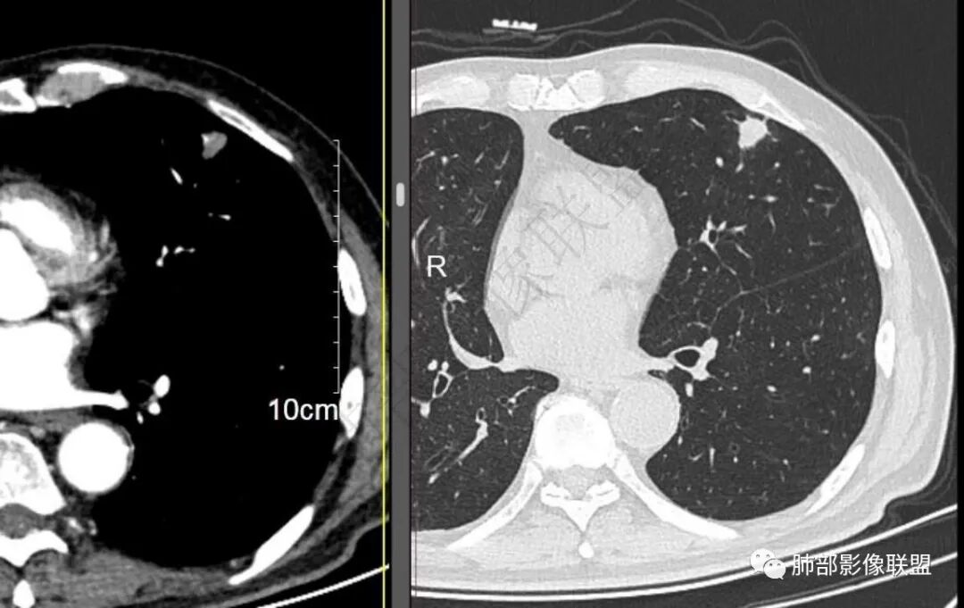
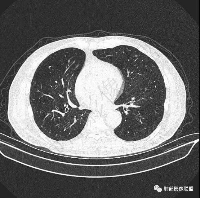
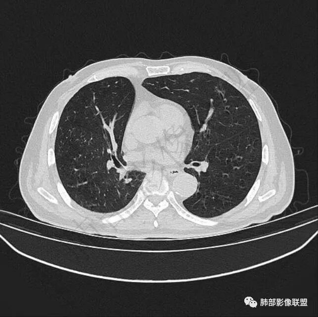
9个月后病灶明显增大,边缘较平直,部分膨隆,锁扣样外观,仍旧缺乏典型深分叶及张力,未见胸膜凹陷。
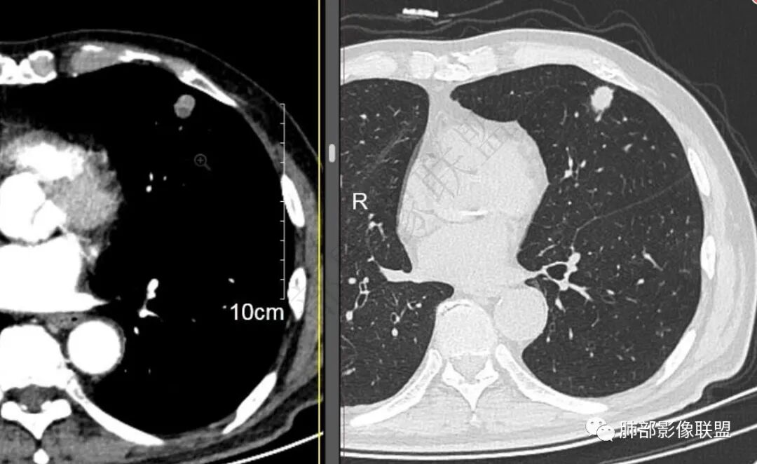
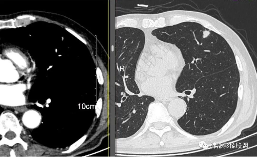
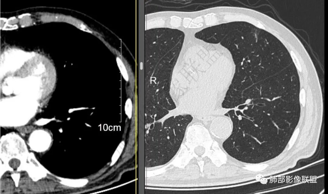
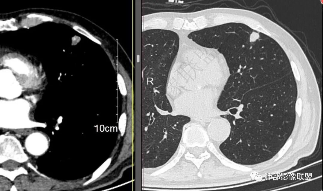
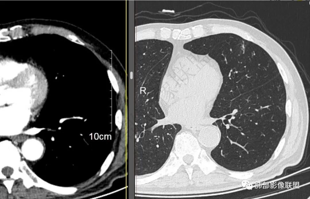
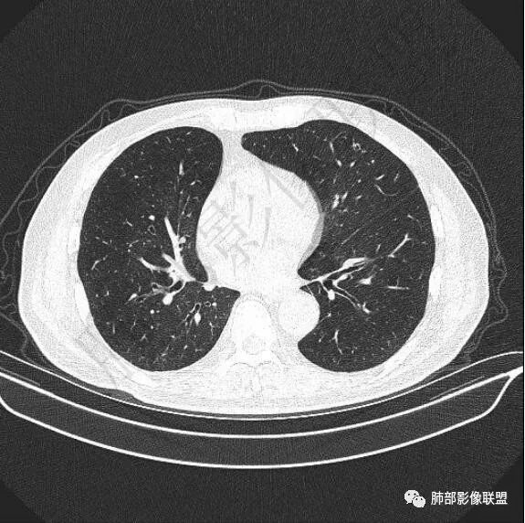
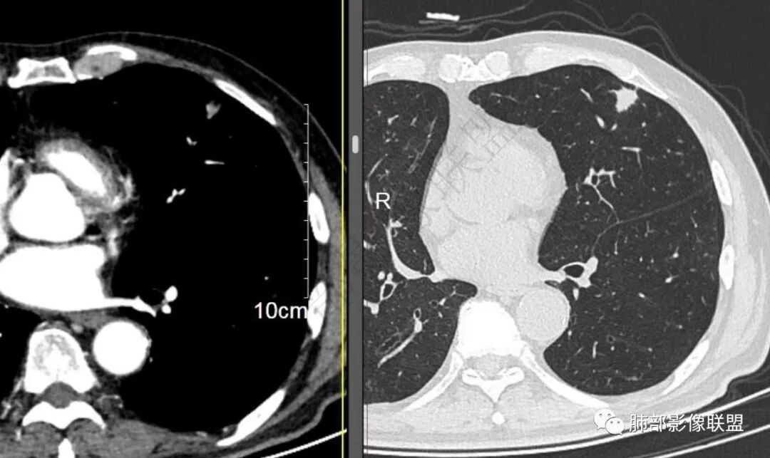
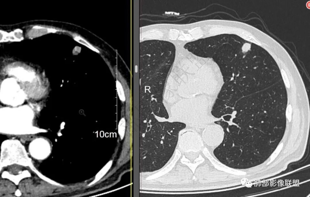
再1个多月后病灶继续增大,较明显不均匀强化,肺门一侧见低密度区。病灶边缘相对不清,可见毛刺。
三.病程脉络相当清楚,即病灶进行性增大,易想到新生物或转移瘤,但经验上分析增长速度显然太快,尤其是对于原发肺腺癌或者肺鳞癌而言,单发转移瘤也较少这样的进展速度。
四.单就影像而言,病灶肿瘤特征不够充分,恶性肿瘤病史,隐球菌等特殊感染确实不能排除。
五.尽管本例鳞癌的病例意见出乎预料,但部分低分化肿瘤迅速增长也不时出现,仍须警惕!

END
编辑:任正纲
审核:   蔡笑燕  徐  晓


到顶部