【每日晨读】还是那璀璨的烟花征!



每日晨读
肺/部/影/像/联/盟






















微信群精彩讨论


王秀仙:
右肺尖可见混合磨玻璃结节影,边缘清晰,病灶比较散,多结节堆积感,近胸膜侧可见条索及卫星灶,考虑结核,鉴别腺癌
doctor:
晨读病例考虑腺癌?鉴别结核
钟学兰:
右肺上叶片状影,内见支气管穿行,另中叶见病灶,支气管圆钝,考虑op,腺癌
peek_knight:
晨读:右上肺混合磨玻璃影,边缘清,考虑腺癌可能大
361度:
右上肺混合密度磨玻璃影,边缘清,空泡,分叶,支气管扭曲扩张,考虑腺癌。
丽:
右肺上叶磨玻璃结节,边缘清晰,可见支气管局限性扩张,并可见长索条及树芽征,考虑结核
藏客:
右肺磨玻璃影,边界清楚,内见血管穿行,血管形态欠规整,考虑腺癌,鉴别慢性炎症改变。
宇宙:
右肺上叶混合磨玻璃影,边界清晰,结构松散,多结节堆积,胸膜侧纤细索条及周围卫星灶,右肺中叶斑片影,考虑炎性病变,结核可能,腺癌待除
洪桥爱:
考虑结核,鉴别腺癌
旁观者:
中年,无症状,结核好发部位,支气管壁厚,有点烟花感觉中叶?有斑片影,考虑结核可能
梵椋袅袅:
考虑结核,请结合临检,排除腺癌
轩哥:
IAC腺癌
梦妮6-1:
右肺上叶前段病灶,边界清GGO影,考虑腺癌可能
金豆:
结核与腺癌鉴别。病灶有些散,缺乏膨胀性,结节感比较强,选结核。
看图说话:
磨玻璃结节,边缘清晰,索条,外缘小结节,考虑结核,鉴别腺癌。
王海瑛:
右肺上叶混合磨玻影,边界清,病灶松散,支气管壁增厚扩张,边缘部小卫星灶,考虑炎性,这个部位结核好发,鉴别腺癌
秦化君:
右肺上叶散在磨玻璃结节,边缘清晰,支气管扩张,胸膜牵拉,右肺中叶支气管扩张伴小结节影,考虑结核,鉴别NTM,腺癌。
必有路:
TB
Kirin 9000:
右肺上叶磨玻璃影,支气管扩张,毛刺,考虑腺癌,鉴别结核
若晗:
体检发现,磨玻璃结节影,边缘似清非清,首先考虑低度恶性腺癌;鉴别TB
良孑:
右肺尖磨玻璃结节,边界不清,有长软毛刺,邻近肺野似可见播散灶,病史不详,结节松散,考虑炎性肉芽肿性结节,首选TB,鉴别腺癌
空格:
沿血管韭字型改变,提示中轴间质受累,非典型腺癌生长方式,病灶颗粒感强,远端卫星灶?首先考虑结核

黄慧仪中山市二院放射:
右肺上叶混合密度影,结构松散,形态不规则,磨玻璃密度为主,多发结节,其内小透光区考虑为扩张横断面,胸膜侧长索条,周围卫星灶,考虑结核,腺癌待除
谢加平:
右肺上叶后段混杂GGO,边界清,不规则,见月芽铲征和胸膜牵拉结节内小支气管血管束破坏(增粗及轻度扩张),常规抗炎诊断2周,4周后复查,对比前后无变化,方向lac;右肺中叶内侧段慢性炎症并小支气管轻度扩张;左肺下叶外基底段胸膜下光滑结节,良性结节!
段建民:
右上叶磨玻璃影,有结节感,首先考虑结核,类似于烟花征
姜文强:
右肺上叶ggo,边缘收缩,胸膜牵拉,血管集束,考虑腺癌
姚鹏:
右上肺混合密度磨玻璃影,边缘阶梯感,有空泡,有分叶,支气管牵拉,考虑腺癌可能。
丽:
右肺上叶磨玻璃结节,边缘清晰,可见支气管局限性扩张,并可见长索条及树芽征,考虑结核
小兜:
女,52岁,体检发现,右肺上叶尖段混合磨玻璃密度影,形态不规则,内部支气管血管穿行,胸膜牵拉,远侧端可见卫星灶,考虑结核
马春平(张家港市一院胸外科):
都火眼精金,这种病灶临床很容易当腺癌做肺叶切除
G,G,study:
烟花征,tb
滴水海:
病灶有点散乱,隐约有卫星灶,炎性病变,结核?若治疗无效再怀疑腺癌
肺部联盟张延军:
右肺上叶及中叶局部结构变形,见多发结节聚集及片状磨玻璃影,前者呈簇状改变,临近肺叶内散在实性及磨玻璃结节影,界清,结节,考虑结核,不鉴别诊断了
刘海玲:



支持结核,磨玻璃病灶为主,成簇的结节堆积感,周围散在卫星灶及条形纤维灶。鉴别腺癌。
南边:
这个最大密度重建就好了
关键在于结节感
刘海玲:
这个属于间质性肺结核吗?
宇宙星空:
小结节是血管吧,支持腺癌
刘海玲:
结节堆积感腺癌少见对不
姜春雷:
@刘海玲 滨海县人民医院 不少见
傅昌瑜:
右肺上叶不规则磨玻璃密度结节(内小结节堆积感明显),边缘清,内可见扩张支气管,见胸膜牵拉,牵拉线纤细、柔软,右肺中叶斑片影,左下肺胸膜下多发小结节。首先考虑结核,鉴别腺癌。




一米阳光:
右肺上叶磨玻璃密度影,病灶比较散,周围见小卫星灶,考虑结核,腺癌待排



病例结果






病例小结


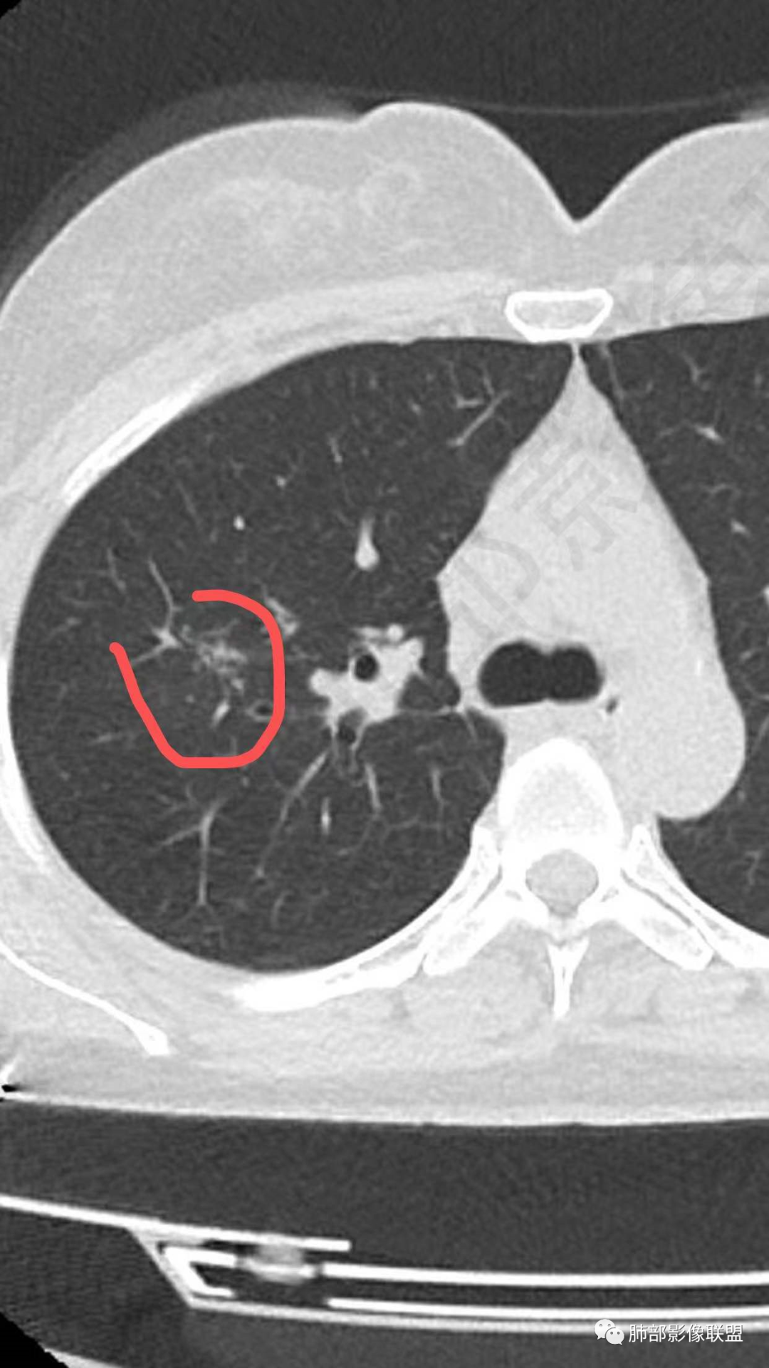
病例特点:52岁女性,体检患者。
影像特点:右肺上叶混合磨玻璃影,边界清晰,结构松散,内有多结节堆积及支气管扩张影,可见小叶间隔增厚,并局部增厚的小叶间隔上亦存在微结节,胸膜侧可见纤细索条,病灶周围可见多发微结节影。
总体分析:从病灶分布来看符合结核的好发位置,影像表现也符合结核的多态性,且出现卫星灶。由于有边界清晰的GGO,需要鉴别腺癌,虽然此病例有边界清晰的GGO,但是它的GGO的边缘有结节感,呈多结节堆积,而腺癌的GGO缺乏这种“多结节堆积感”,另外,此病例也没有发现腺癌的胸膜凹陷征、毛刺征及月牙铲等。
                   
               南边老师总结间质性结核的特点
  间质性肺结核是结核的一种特殊影像学表现,为继发性肺结核,影像学表现与常见的继发性肺结核有所不同,有一定的特征性。
 1、年轻人多见,一般提示免疫力可能有下降。 2、好发部位与其它结核类似,上叶及下叶背段为主。 3、烟花征,反晕征,环呈结节状,可以伴随空洞,树芽征,结节灶,胸水。(反晕征:一般周围实性环形高密度影,中央丛密度低;一般环超过圆的3/4,结核的环主要是小叶核心结节组成,类似于多发树芽征聚集,边缘结节感。中央的晕:可以是腺泡结节,树芽征,细网状,磨玻璃影,很少正常,主要成分是小叶内间质增厚、小叶核心结节、肺泡内病变。)其实也体现了结核的多灶性、多态性特点。
 4、其实不一定完全表现为反晕征,还有比较密集的烟花,聚集成团,与反晕征同在。
 5、患者有时会夹杂有其他继发性结核灶,新旧不等。
一般来说,间质性结核主要是实性来源的;开始是气道播散为主,主要表现最多的是树芽征,然后是腺泡结节,相互之间可融合形成片状,往往这些病人有个前提,免疫力相对低下,然后侵袭到附近的间质里面去。首先树芽征,表现在呼吸性细支气管炎及终末细支气管炎的一些粘液栓,前提是支气管壁增厚引起的;当免疫力下降时结核杆菌会沿着小叶核心区域沿着壁朝外蔓延,进入间质,而小叶核心最明显。因为在核心的细支气管周围,所以表现出类似于树芽征样,也是分枝状的。当然,前提是本身里面小叶细支气管里面的粘液栓,所以支气管显示不出,病变表现类似于树芽征一样的结节影,这些病变如果周围一圈连在一起,类似反晕征的环堤,中央区域,肺泡壁被侵犯,会呈现磨玻璃影及细网状影等。
      我个人的观点,间质性结核是通过树芽征或腺泡结节、肺泡病变蔓延到附近的间质为主一些改变,最重要是小叶核心表现为主,类似于树芽征,其次是晕内的磨玻璃、细网状影;所以看间质性结核是不是树芽征样改变很重要,但不是绝对的,也有少部分病例没有这种表现。单纯小叶核心为主的话不好解释。      间质性肺结核发病率不高,偶尔会遇到,间质性肺结核发病率不高,偶尔会遇到,一般结核分类没有单列,应归入继发性吧。


图文编辑:雷  凤 蔡笑燕
图文审核:徐  晓


到顶部