【每日晨读】白血病合并曲霉菌感染


病例资料

































微信群发言
红日初升:
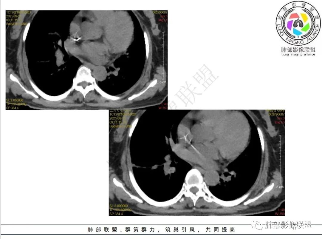
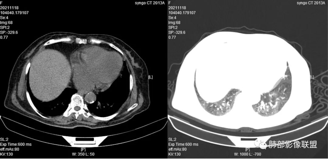
白血病化疗后,多发结节、胸膜下楔形影、反晕,大血管受侵,结合用药,考虑毛霉
甄德强:
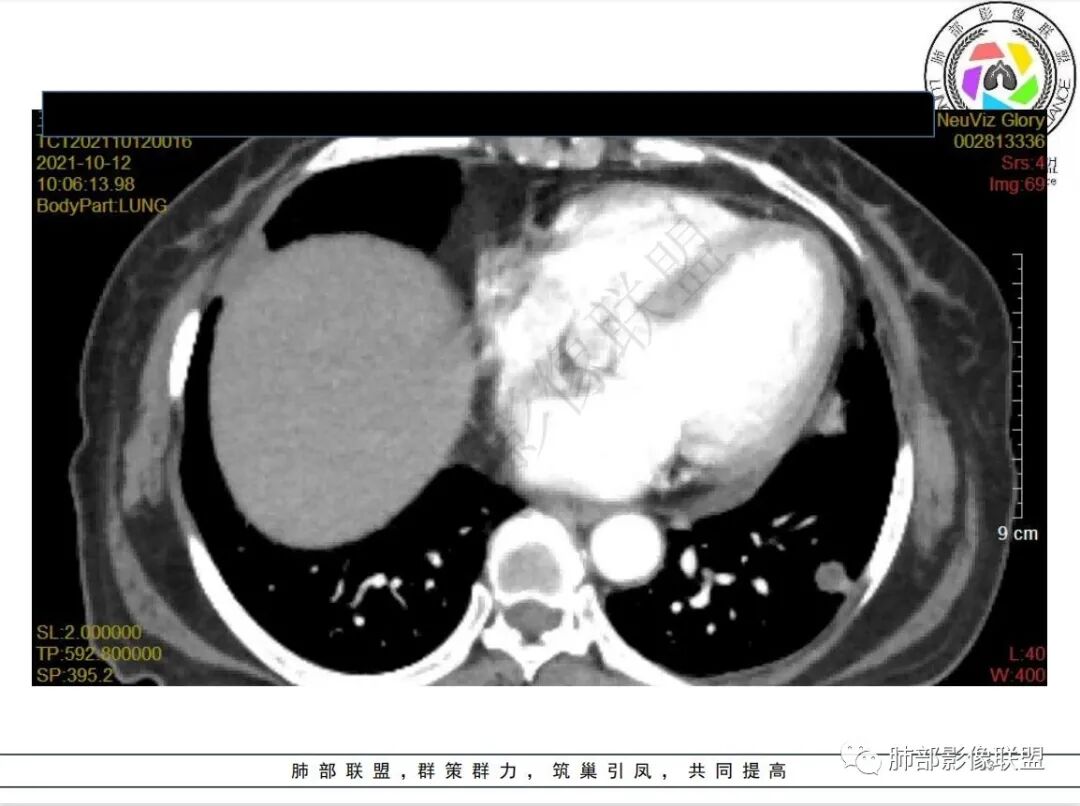
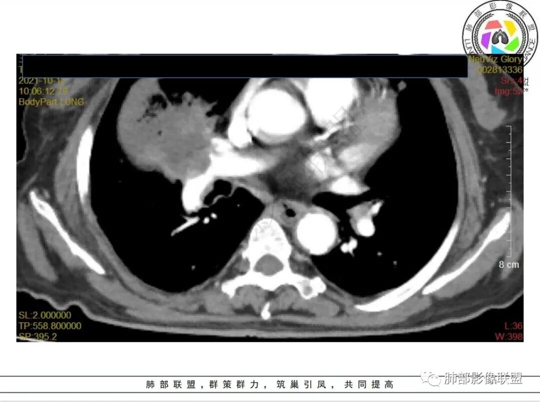
白血病化疗后,出现多发结节,边缘可见晕征,病灶内可见多发坏死,右肺中叶肺动脉可见充盈缺损,右肺中叶可见融冰征,考虑毛霉菌,右肺中叶肺动脉栓塞伴右肺中叶肺梗死。

一切∮随缘:
考虑双肺结节样实变影真菌(毛霉菌,血管侵袭性曲霉菌),右肺中叶NTM。
丽:
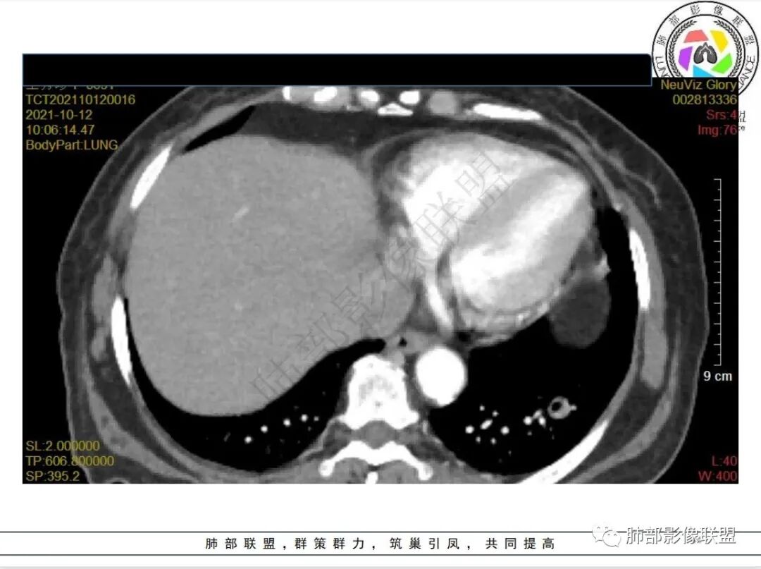
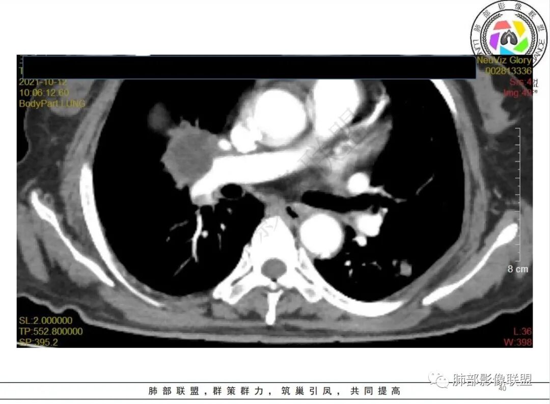
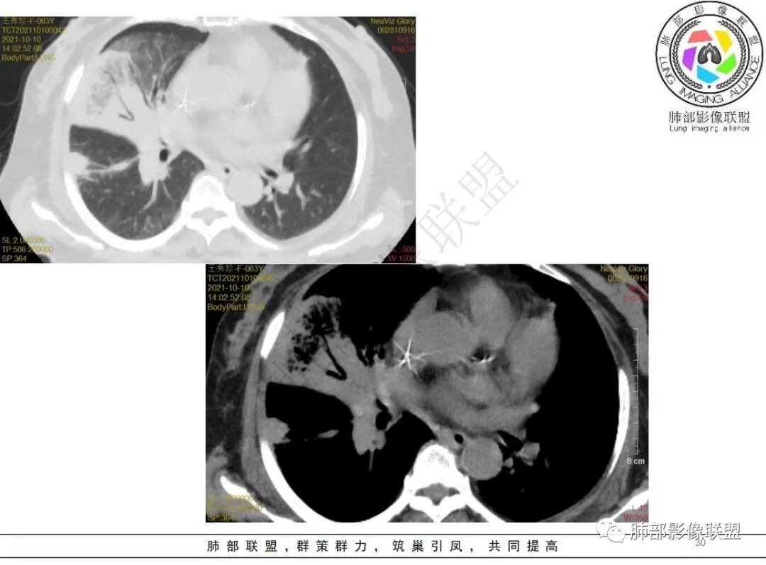
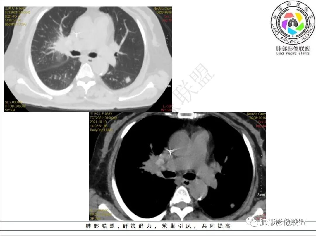
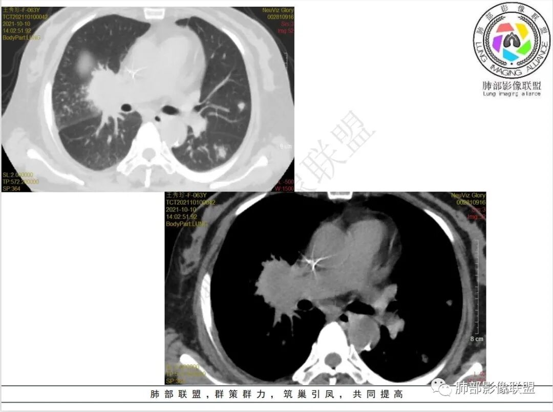
有白血病病史,免疫妥协,双肺多发结节,纵隔增大淋巴结,短期抗炎治疗后复查,病灶明显增大,右肺门肿块,内可见坏死,临近肺动脉受侵,支气管闭塞,周围见阻塞性炎症,考虑感染性病变,毛霉菌可能大
大雄:
白血病化疗后免疫抑制,机会性感染。
多发结节实变,反晕征,侵犯大血管,符合肺毛霉菌病
而且G GM试验 都阴性,也符合毛霉
滴水海:
第一次没给肺门图片,后面增强明显侵犯肺动脉,所以肺门这肿块恶性不除外,首选鳞癌。不知道毛霉有没有这么强的破坏力,如果是则一元论毛霉。不然二元论,其他随机分布结节血播感染,进展快,毛霉肺克奴卡都可能。
第一次没给肺门图片,不知道怎么样?
Yishion:
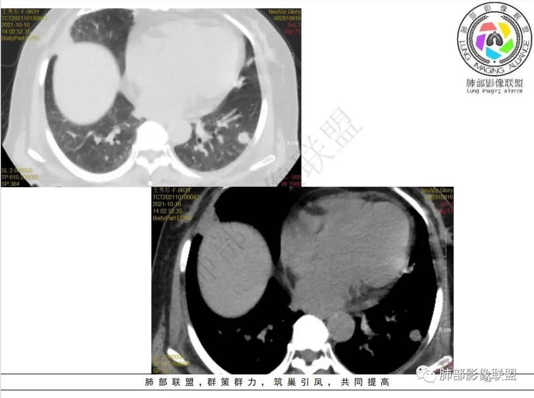
白血病病史,抗炎治疗后病灶明显增多,左肺有空洞并见液气平面,胸膜下楔形影,右肺有大片影,中心低外周密度高,符合血源性感染性病变,有位老师说过曲霉菌及结核属于干性坏死,不支持,毛霉和金葡都是液性坏死,本例有液气平面需要两者鉴别,从临床病史及影像进展情况看考虑支持毛霉菌感染,金葡一般进展比较快不支持,右肺动脉有侵犯,白血病肺侵润不知道有没有可能,工作中没遇到过,总之毛霉可能性较大,白血病肺浸润待排
旁观者:
病人白血病化疗,出现粒细胞缺乏伴发热,早期出现了咽痛伴肛周疼痛,培养到很多菌,铜绿,金葡菌(导管相关)还有肠道菌奇异变形杆菌。这些菌都能解释,用了广覆盖抗生素抗真菌药物,体温正常,影像增加,而且有血播意思,出现肺组织坏死,反晕,mNGS没有细菌真菌,可能和用了抗生素有关,没有使用抗毛霉菌药物。觉得就像个铜绿血播改变。为啥不考虑毛霉菌,没有用抗毛霉菌的药物体温下降,Ngs没有阳性结果
良孑:
老年女性,白血病史,粒细胞减少,肛周疼痛,高热,两肺多发结节,结节有晕征,治疗后肺内结节增多,并可见空洞,右肺门脓肿形成,右肺动脉受侵,纵隔内淋巴结肿大,白血病粒细胞减少常规思路,首先要考虑曲霉,曲霉在初诊治疗时,病变会增多,本例结节有晕,有血管侵蚀及胸膜楔形梗死灶,支持曲霉,有肛周疼痛,临床有发热,右肺门有脓肿,奴卡也要考虑
尘缘:
典型毛霉(多发结节实变伴不规则空洞,进展快,咳血痰,肺动脉破坏,加上白血病化疗造成免疫妥协)
King:
从临床治疗过程及G,GM实验看,更倾向毛霉。从影像嗜血管反晕多病灶看也更倾向毛霉。故考虑毛霉。
@达州红十字医院 尹发友?,施毅教授说GM实验阴性预测价值很大,假阴性情况不多,主要见于非粒缺、前期用抗真菌药物。我搬运一下。
wj:
就是说粒缺的,没有用药的,一般gm都会阳性。但是非粒缺,可以假阴性
毛霉属于接合菌纲
不吝慷慨: 
曲霉毛霉之争
黄高晓: 
这种白细胞减少的病例很难
黄高晓: 
@姜春雷青岛市立医院放射科?毛霉PCT可以异常,对吧
不吝慷慨: 
@黄高晓柳城县人民医院感染科?可以
不吝慷慨: 
髓系白血病一般是曲霉菌感染多,因为曲霉主要是中性粒细胞免疫
黄高晓: 
@姜春雷青岛市立医院放射科?绝大部分异常,对吧,可以高到多少幅度,请姜老师赐教
晶玉: 
PCT异常可以独立于感染状态
不吝慷慨: 
病例逐年增加的原因之一便是免疫抑制人群的增长,如恶性肿瘤患者、或其他长期接受放、化疗治疗以及骨髓造血干细胞移植患者中,会出现粒细胞缺乏,而中性粒细胞作为体内抗曲霉菌的主要免疫细胞,主要通过黏附菌体、脱颗粒和释放活性氧等非吞噬方式杀灭菌丝或孢子,粒细胞的缺乏是发生曲霉菌感染的最常见危险因素。
晶玉: 
文献的观点是毛霉目和PCT升高没有绝对关系
但是很多毛霉高危人群就已经有PCT升高因素了
例如肾功能不全 应激状态 免疫细胞破坏
造血干细胞移植人群在理论上讲的话 PCT升高是很正常的
一个是基础病和药物导致的肾功能不全
例如使用CNI 还有就是化疗用的免疫制剂
再一个就是化疗破坏粒细胞本身就是一个应激状态
不过干细胞移植患者毛霉很少见
姜老师说得对 曲霉感染主要依靠粒细胞的清除能力
所以粒缺会大大增加曲霉风险
但是毛霉的滋生主要是靠养分和血管通路
其次才是免疫系统的抑制 而且一般是广泛的免疫系统受损
单纯化疗没有干细胞移植的 毛霉更少见
晶玉: 
毛霉的几个特征 嗜糖 嗜铁 嗜酸
所以最容易感染的人群
一个是糖尿病控制不佳 尤其是酮症酸中毒,吸入孢子以后鼻-眶-脑感染
一个是地贫或者是MDS输血以后铁过载 表现为肺部或者是播散性感染
还有一个就是骨髓移植以后用伏立康唑 同时又有移植物抗宿主病的
GvHD本身就容易扰乱植活骨髓的抗微生物能力 然后免疫抑制治疗也会削弱这个能力
晶玉: 
再加上伏立康唑对毛霉无效 长期治疗以后就会筛选出来耐伏立康唑真菌 主要就是毛霉了

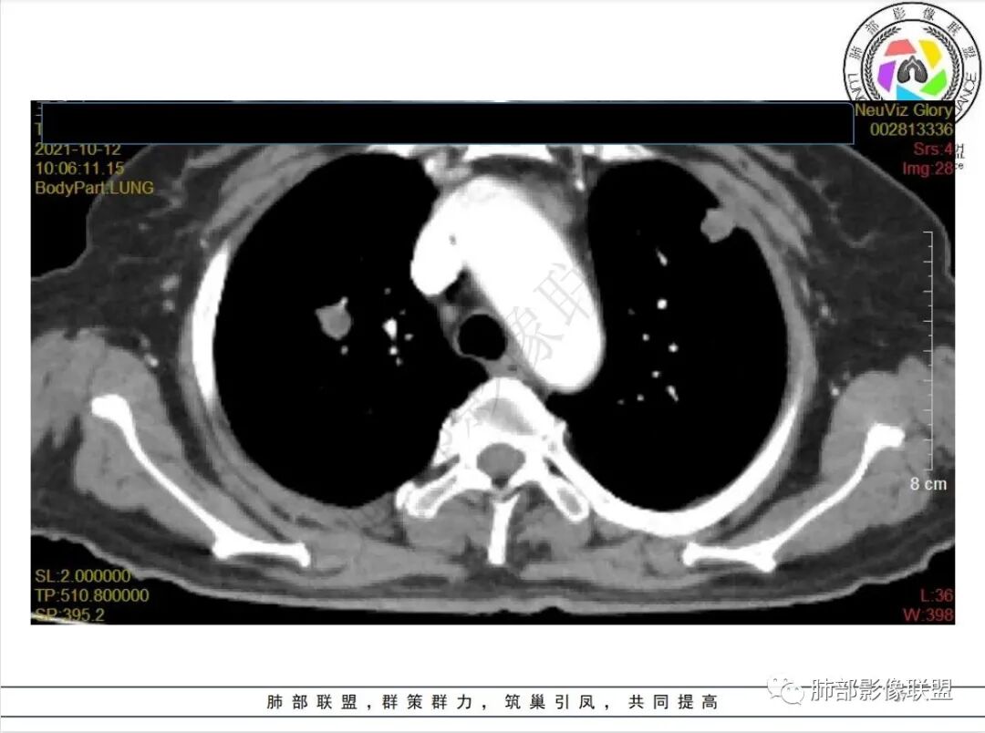
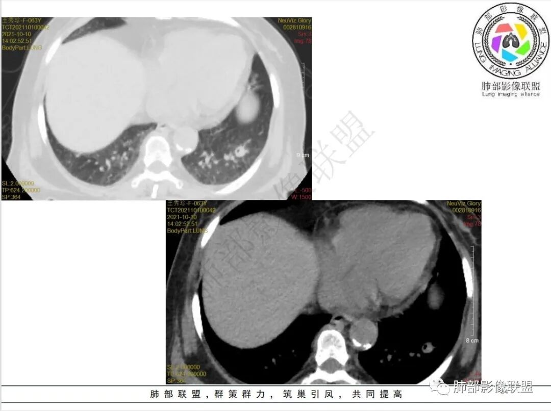
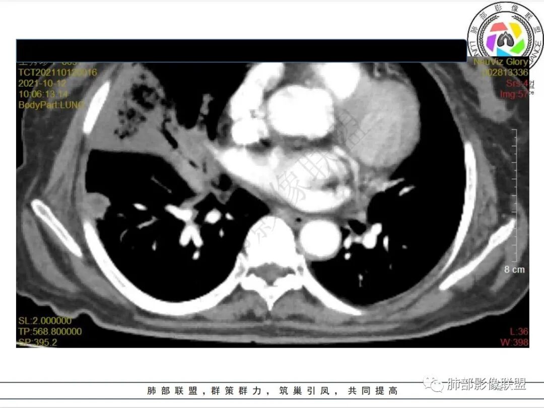
抗真菌治疗1月后复查


病例回顾分析
1.老年女性,既往白血病病史,并多次化疗,骨髓抑制明显。
2.此次急性起病,高热并咳嗽,偶有血性痰。
3.实验室培养出多种病原菌,并针对性覆盖多种抗感染药物,但肺部病灶却不断进展。
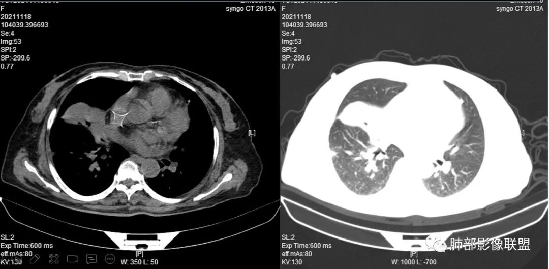
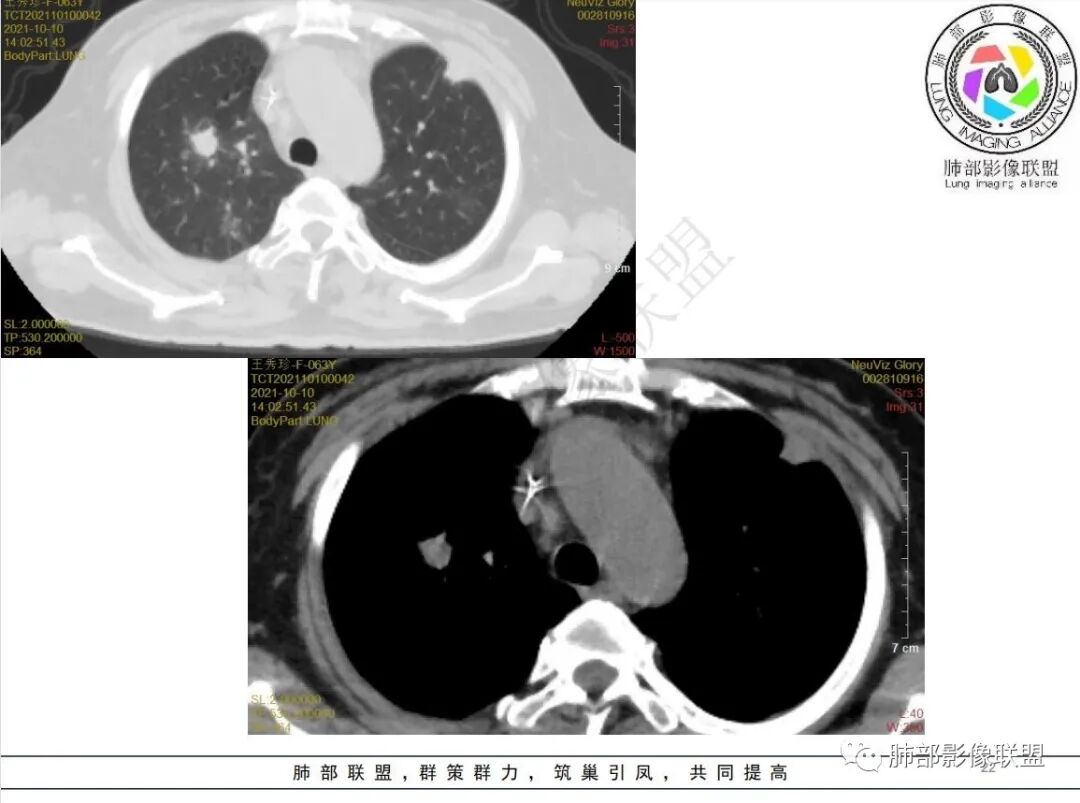
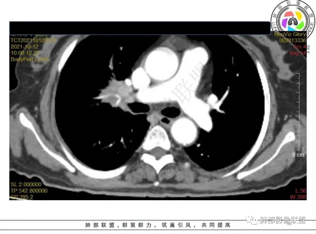
4.白血病化疗后,CT上出现多发结节,边缘可见晕征,病灶内可见多发坏死,右肺中叶肺动脉可见充盈缺损,右肺中叶可见融冰征,右肺中叶肺动脉侵犯栓塞伴右肺中叶肺梗死,可符合真菌感染。
5.肺曲霉菌病常发生在免疫功能低下的患者中,肺曲霉病通常可分为:
   曲菌球(寄生型/腐生性曲霉病)
   变应性支气管肺曲霉病(ABPA)
   半侵入性或慢性坏死性肺曲霉病
   侵袭性肺曲霉病(可分为气道侵袭性和血管侵袭性)。
血管侵袭性曲霉病是最常见的类型,其特征是真菌菌丝侵入和阻塞中小肺动脉,形成凝固性坏死、肺泡出血或出血性梗死。
6.肺曲霉病典型的CT表现是结节周围有磨玻璃样的晕征表现,或胸膜为宽基底的楔形实变。晕征表现为曲菌感染的肺结节伴梗死和凝固性坏死,周围有肺泡出血。最终可出现空泡征象,并可观察到中央坏死组织与周围肺实质分离形成空气新月征。
晕征已被认为是侵袭性曲菌病的早期征象之一。
编辑:谢壁樯
审核:徐  晓



到顶部