【每日晨读】金葡菌肺炎的是是非非



金葡菌肺炎的是是非非


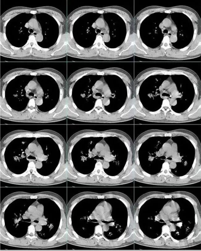
第一:病例资料













第二:精彩讨论:
一切∮随缘:
考虑左下肺黏液腺癌伴双肺转移,鉴别OP,淋巴瘤。
再加两个:鉴别EP和HP。
采莲:
中年男性,咳嗽咳痰伴咯血胸疼,发热。双肺野多发斑片磨玻璃影实变影,结节影,结节影大小不一,主要沿支气管血管束分布,边界清楚,支气管进入,有支气管充气征,左下肺大片实变影,周围磨玻璃影,边界不清,考虑粘液腺癌并双肺转移,鉴别淋巴瘤,血管炎,机化性肺炎。
王江涛:
考虑感染,金葡或肺克
丽:
老年男性,急性起病,伴发热、咳血,双肺多发结节、片状高密度影及磨玻璃密度影,边缘模糊不清,支气管穿行,考虑感染性病变,金葡菌,建议抗炎治疗后复查除外粘液腺癌
飞鹰行动:
老年男性咳嗽,胸疼,发热,双肺多发斑片状,结节状阴影,部分病灶边缘模糊,内见支气管影,支气管无僵硬表现,没有给化验结果,考虑,1,感染性病变,2.淋巴瘤。
衡妈:
中年男性,咳嗽发热伴咳血胸痛。以左下肺大片实变混合磨玻璃为主,另两肺散在斑片状阴影,渗出明显边缘模糊,左下肺病灶部分边缘平直,病灶内未见明显空洞气囊等,未见树芽。纵隔窗显示病灶范围明显缩小提示渗出为主,双侧胸腔未见明显积液。首诊还是感染性病变,细菌,真菌,病毒,气道播散型金葡菌?非典型肺炎?
这个沿支气管分布,有平直变,叶间裂平直明显,而粘液腺癌主病灶大部分沿胸膜分布

好好学习:
双肺弥漫性斑片、结节影、实变,大部分边界不清,支气管血管束似乎增粗,小叶间隔厚,结合病史考虑出血疾病肺泡腔填充,考虑血管炎?左下肺近端支气管及实变区域显影不清,不除外肿瘤、结核
宇宙:
两肺多发磨玻璃结节、斑片及实变,沿支气管血管束分布,部分边界清,左肺下叶大片实变,考虑腺癌,鉴别血管炎
King:
临床资料少了些,影像首诊有困难。
两肺支气管血管束分布实变,结节,部分似磨玻璃,细网格,支气管穿行。考虑1.血管炎。2.新冠少见模式。鉴别肺癌,结核,鹦鹉等
特意看,没看到壁厚的支气管。似乎有细网格,有没可能病毒后继发金葡菌?
THINKER:
影像小叶改变丶大叶实变都有,气柱征明显,支气管走行自然,间质改变不明显不支持非典型病原体,年龄不支持支原体,影像丶症状不支持军团菌、鹦鹉热衣原体,病毒后既发细菌感染病史不支持。
左肺实变膨胀感不强,未见枯树枝征,多发小叶改交,但不是支气管播散的腺泡结节,纵隔窗左下实变蜜度明显等于大于肌肉密度,粘液感不强,男性,病史短、有发热不支持粘液腺癌
考虑:CAP,吸入性金葡
流心明智:
男,52,咳嗽咳痰胸痛半月,近期加重,发热3天,声嘶伴气短1天,昨晚痰血。胸部CT:双肺多发斑片影、结节影,大小不一,密度不一,有GGO、有实性,沿支气管血管束分布,中内带多,边界不清,支气管进入,支气管充气征,似有小叶内间隔增厚,考虑:血管炎?肺水肿?鉴别感染、腺Ca、淋巴瘤等。
月亮圆了!:
男性咳嗽,胸疼半月,发热,双肺多发斑片状,结节状阴影,部分病灶边缘模糊,内见支气管影。考虑1.肉芽肿,2.金葡或肺克病史偏长了一点。临床症状似乎轻了点。3.肺癌转移。
云帆沧海:
中年男性,两肺多发磨玻璃及实变影,边缘模糊,左下肺病灶部分边缘平直,双侧胸腔未见明显积液。考虑感染性病变
南边:
恶性的依据好像不明显
良孑:
发热3天,两肺多发实变,边界模糊,两肺多发树芽,考虑感染性病变,衣原体感染,鹦鹉热
尘缘:
今天这个病例提供的信息太少了。血像,炎性指标都没有,到底是隐瞒了还是正常未提供,这个很关键,如果隐瞒,自然首先考虑感染,如果是正常,那首先就要考虑恶性。单从影像来看,感染,腺癌合并转移,淋巴瘤都可能。临床的话,肯定会综合各项检查,必要时结合支气管灌洗和穿刺确定。至于读片,既然没看到相关检查,就认为都是正常的,再结合发热,声嘶(转移或淋巴结压迫喉返神经),双肺多发结节,还是考虑淋巴瘤>腺癌伴转移>感染
感染的话,首选隐球。

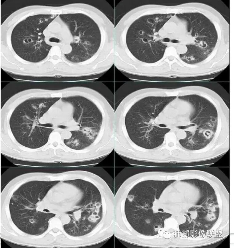
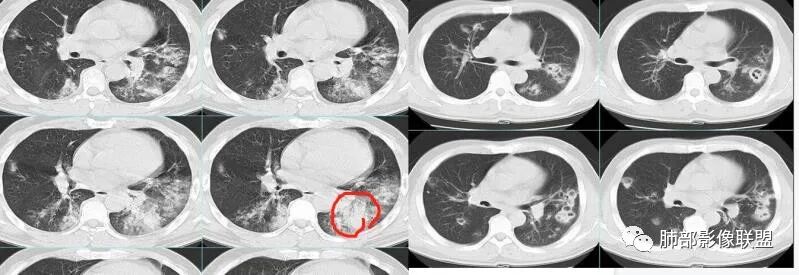
第三:病例结果


治疗后复查




第四:南边老师分析
南边:
今天的病例复查很符合金葡菌
第一次不典型

左下肺的囊腔呈簇状分布

这个区域应该是外侧最重的,但是没有看到空洞。二元论也可以,单纯从影像看金葡也不一定都是小叶性改变的,肺泡性改变也可以,从病史看,可能病毒合并金葡。
金葡不会等到半个月还是斑片状影的,金葡变化很快,一般是按天、甚至按小时计算的。
这个炎症当时也考虑过金葡,但是病史是半个月,所以就排除了,病史不符合金葡
这个病史发热三天,胸痛可能是后面金葡引起的,这些不一定是金葡,可能就有基础疾病,合并的这个。真正的病史就是金葡引起,病史就发热三天,近期加重,这三天就是金葡的改变。
就是说这个基础病变不知道是什么,肯定有基础病变,不然不符合,因为前上个星期才去讲这个金葡的,当时一看,这个斑片斑片确实有金葡的一些特点存在,支气管壁有增厚。
那我当时很诧异的就是这个,刚才说这个感染没有问题,恶性特征真没有,不符合,看到这个周围有一定的修复的迹象,这个特别诧异,怎么会是这样改变。
怀疑这个可能是在治疗过程中,改变了影像学表现。




这是气道早期金葡菌的特点
衡妈:
因为我看过一篇吴婧及南边老师分析的气道吸入型金葡菌肺炎觉得很像 还有就是这个分布我不考虑粘液腺癌 王兆宇老师说过 粘液腺癌先是周围型开始 我觉得主病灶应该是从外围胸膜下向内蔓延+播散
THINKER:
肺克小叶性支气管肺炎少,书上说大叶实变、叶间隙下坠,我没见过。绿脓丶金葡早期可以支气管肺炎表现,既往史没给视为正常,CAp,健康人常见肺链、支原体,少部分可以CA一MRSA,军团菌也可,但G-杆菌CAp,更常见于免疫妥协丶结构性肺病丶心肝肾基础病、近3个月内用过抗生素丶一年内有大于4个疗程抗生素等高危人群,肺链丶支原体影像不支持,所以猜个金葡。
个人理解不一定对啊@靳明旭南京市第一医院影像科?靳老师

卜学勇老师对气道来源金葡菌的总结:
  金黄色葡萄球菌为厌氧的革兰氏阳性球菌,可产生凝固酶和多种其他毒素及酶,其感染的病理改变中最突出的特点是化脓倾向强,尤其是MRSA肺炎具有起病急,病情进展快,病死率高的特点,早期诊断并进行足量、敏感的抗菌药物治疗对减少其发病率及死亡率具有重要作用。金葡菌肺炎常表现为多种CT征象并存,磨玻璃密度影及斑片影是最常见、最主要的CT表现,肺气囊是典型的影像表现。肺气囊是支气管周围脓肿使终末细支气管和肺泡发生坏死,当与支气管相通后坏死物质排空形成的含气空腔,表现为圆形或类圆形的薄壁空腔,壁厚1—2 mm。部分患者因起病急,使用抗生素较早,在一定程度上也影响了金葡菌感染的程度及转归,表现为磨玻璃样影及斑片影,因此在脓肿基础上形成的肺气囊亦相对较少或出现较晚。
下面是卜老师对气道来源金葡菌的总结:









病例提供:黄石爱康医院医学影像科   邬涌
编辑:杨宏刚
审核:徐  晓


到顶部