【每日晨读】年龄与环形强化可大致锁定病原体



   从一桩桩如烟般飘散的往事中,体悟到了善待自己,人生最贵是健康;感受到了世相百态,人生最美是善良。滚滚红尘,繁华若梦,平平淡淡是最真!肺部影像联盟每日有趣读片,群里的大咖将为您呈现如何找到那个重要端丝!这里更是一场联盟盛宴,邀您一起共同体验它博大精深的专业内涵和我为人人的无私情怀

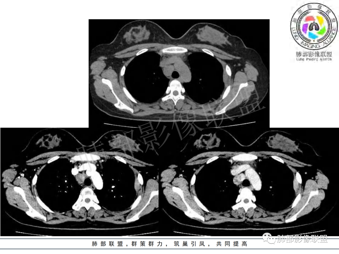
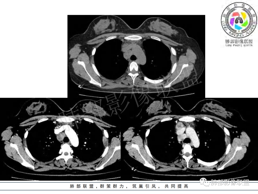
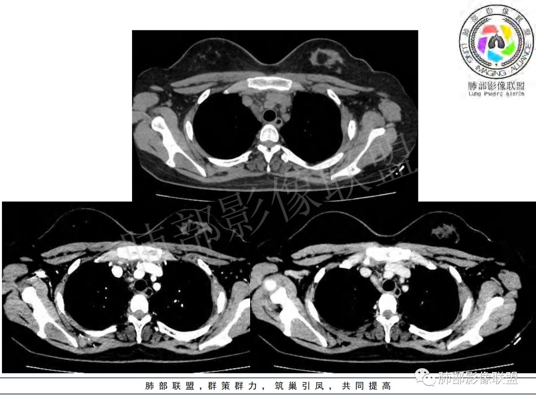
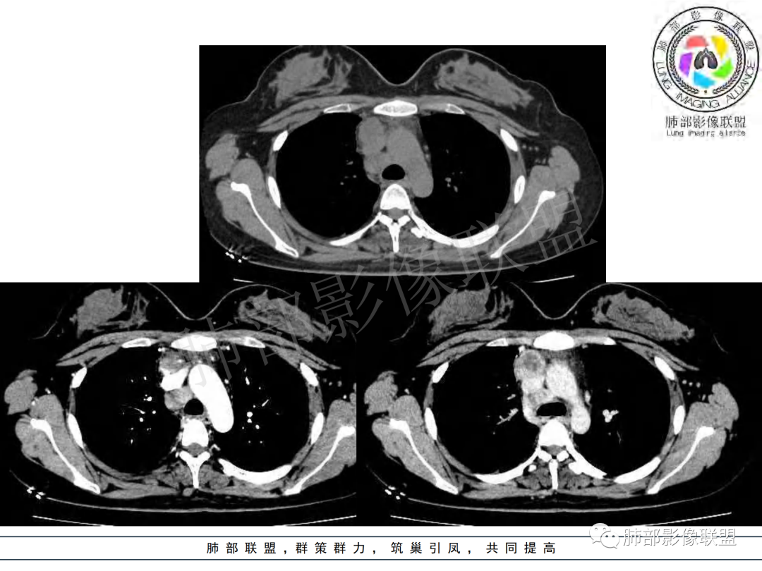
病例展示































































-HAPPY 2022 NEW YEAR-




分析与讨论



刘丹:
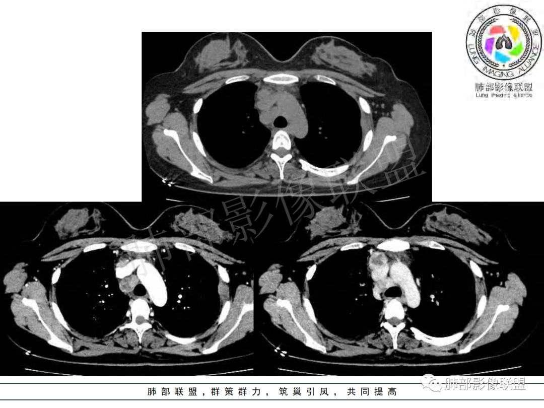
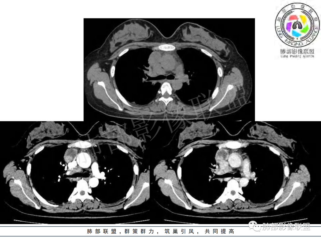
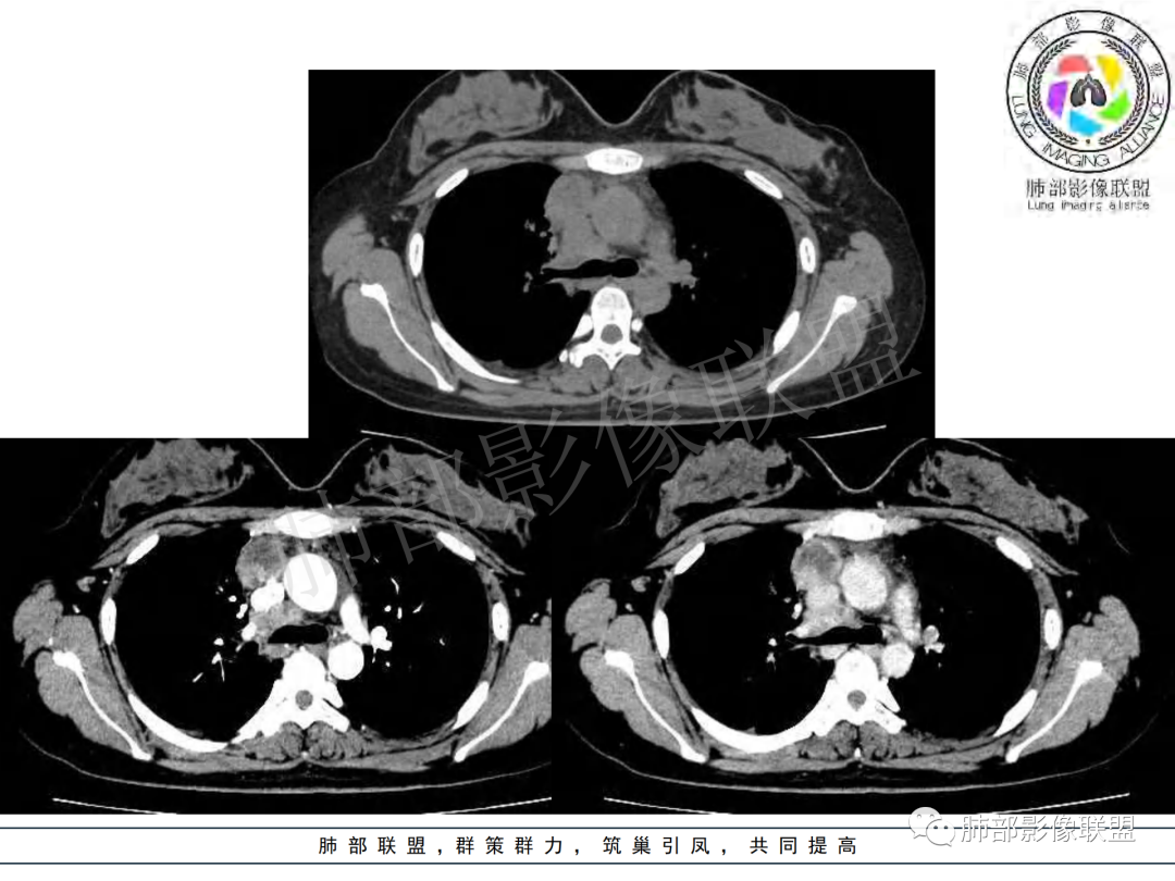
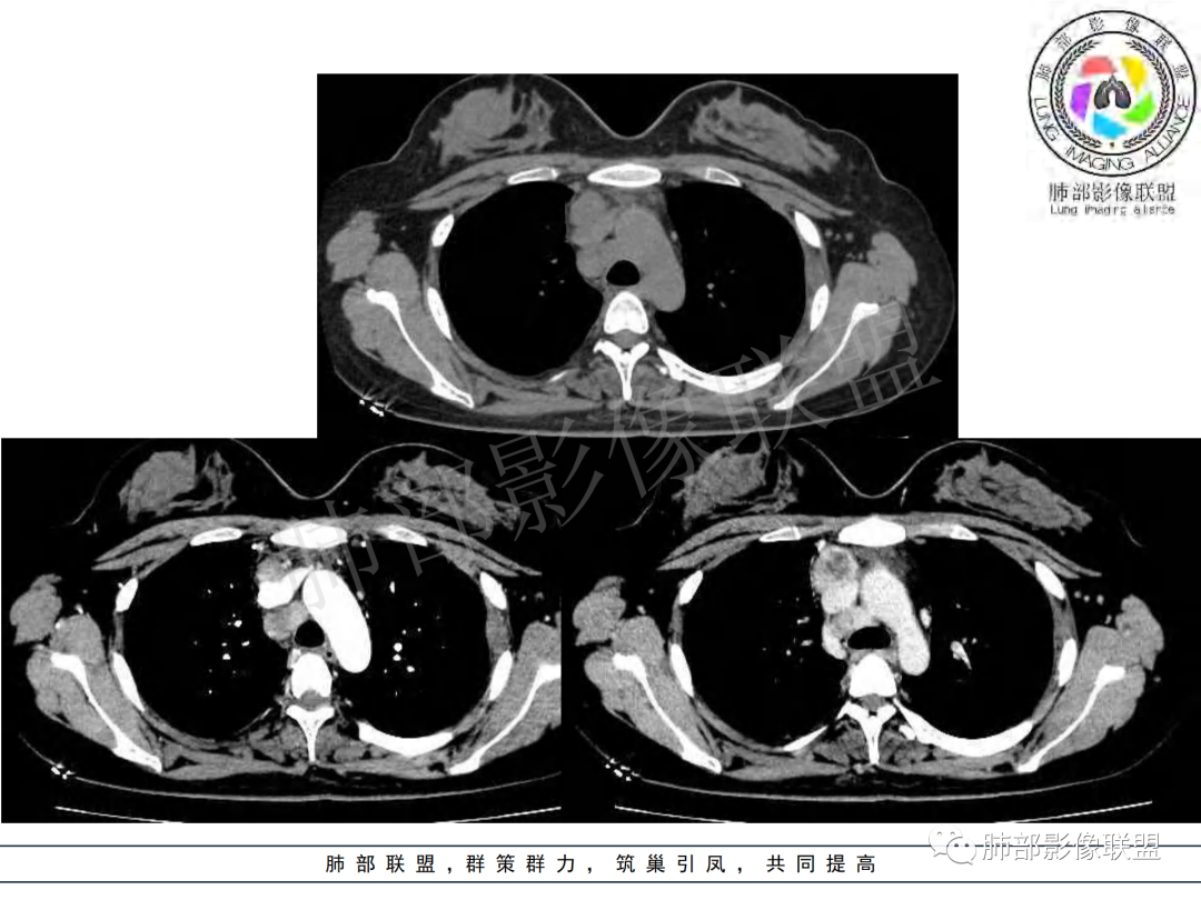
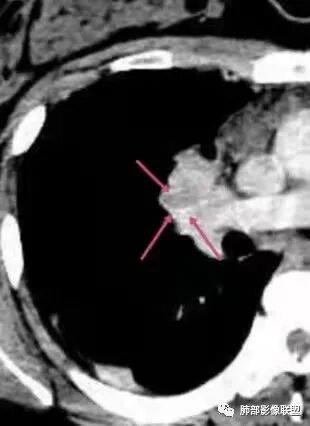
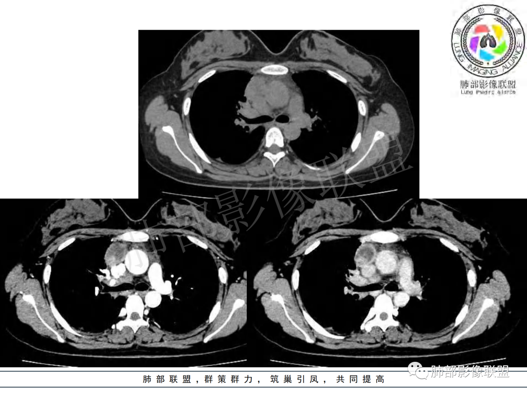
右肺肺门旁肿块,右肺中间段支气管腔内结节,增强强化不均;纵隔多发淋巴结环形强化,右侧少量胸腔积液,临床发热入院,考虑结核,鉴别肿瘤。
金豆:
右肺门增大,远端花花草草不明显,支气管管壁增厚,纵隔淋巴结环形强化,年龄,病程,考虑炎性病变,结核可能,有个层面支气管截断,有强化,鉴别粘表。
张延军:
纵隔多组及右侧肺门多发肿大淋巴结,部分融合,不均匀强化,内见斑片状坏死区及环状强化,后者坏死边界尚清晰,肺门区肿大淋巴结与肺组织边界不清,年轻女性,8个月病史,发热首发症状,考虑淋巴结核并向肺内侵及(破溃?),鉴别淋巴瘤
流心明智:
女,20,病程长达8月,发热、胸痛、右侧胸腔积液病史。胸部CT:右肺门旁不规则肿块影,右中间支气管腔内结节,纵隔多发淋巴结肿大;强化不均匀,灶性坏死灶,环形强化;右侧少量胸腔积液并局部肉芽肿样突起。年轻女性,长病程,多部位,考虑慢性炎症,结核?鉴别肿瘤。
丽:
青年,右肺门增大,见软组织肿块影,部分支气管腔结节,并管腔狭窄,增强后明显不均匀强化,伴纵隔多发肿大淋巴结,环形强化,考虑恶性,类癌,鉴别支气管内膜结核
宇宙:
右肺门不规则肿块,向气管腔内生长,不均匀强化,其内粘液栓,纵隔淋巴结增大,部分有坏死,胸膜结节强化,考虑恶性,粘表?类癌?鉴别结核
晨:
右肺肺门旁肿块,右肺中间段支气管腔内结节,增强强化不均;纵隔多发淋巴结环形强化,右侧少量胸腔积液,考虑结核可能,鉴别肿瘤。
一切∮随缘:
结核伴淋巴结瘘
周太狼:
年轻女性,慢性病程,发热、胸痛。右肺门旁不规则肿块影,纵隔多发淋巴结肿大;强化不均匀,环形强化;右侧少量胸腔积液;首先考虑结核,鉴别肿瘤,结节病。
放射线:
右肺门及纵膈多发淋巴结肿大,部分融合,密度不均,部分呈环形强化,年轻女性,病史长,发热,考虑淋巴结结核
青藤之凉:
支持考虑淋巴结核
傅昌瑜:
环形强化,考虑结核


大雄:
年龄和病史比较符合结核,但是中叶支气管好像堵塞了,管腔有新生物,恶性肿瘤也不能排除,做一个支气管镜应该能确诊
琦遇:
年轻女性 大支气管占位恶性三件套 高强化 内部可见无强化区,无强化区与强化区内边界大部分不清晰,类癌、粘表、腺样囊性癌。首先考虑粘表   其次需要鉴别的有结核   这么大片的坏死 结节病可能性小  
看图说话:
慢性病程,前纵隔右肺门旁多发淋巴结肿大;强化不均匀,环形强化;右侧少量胸腔积液;考虑结核,鉴别结节病。
春秋:
年轻女性,右肺门区病变伴纵隔淋巴结肿大,强化显示环形强化,考虑结核可能性大
果哣.:
年轻女性,右侧肺门一肿块,边缘不规则,纵膈淋巴结肿大,环形强化,右侧胸膜少量积液,发热首先考虑结核鉴别恶性淋巴瘤
毛勤香:
支气管腔内有占位,肺门区病灶和胸膜结节明显强化,淋巴结环状强化为主,部分明显强化,年轻女性,首先考虑结核,鉴别腺癌
晓锁:
青年女性,发热、胸痛、右侧胸腔积液病史,病程8个月。曾多次抗炎后均有好转。CT:右肺门旁肿块影,双侧胸膜结节,纵隔多发淋巴结肿大,边缘模糊;增强渐进性明显强化,纵膈淋巴结较彻底坏死灶,边缘环形强化。考虑结核,鉴别恶性肿瘤。
蔡磊:
女性,20岁。高热、畏寒。右肺上叶近肺门区不规则肿块,周围斑点、片小结节影伴肿大淋巴结,肿块包绕并突入右主支气管腔内,增强后肿块不均匀强化,淋巴结环形强化中心低密度,考虑结核。
King:
纵隔肺门及两侧胸膜强化结节,支气管管腔不通畅。结核能解释临床及影像,就是强化有点猛,这个妖怪真不好说。恶性如类癌/高级别黏表/恶性间皮也要考虑。

-HAPPY 2022 NEW YEAR-




病例结果





-HAPPY 2022 NEW YEAR-




相关学习



       纵隔淋巴结结核是有MTB感染所致淋巴结慢性炎症,常累及单个或多个淋巴结。以往纵隔淋巴结结核多见于儿童和青少年,近年来随着器官移植术后免疫抑制剂的应用及艾滋病的流行和蔓延,成人纵隔淋巴结结核等肺外结核的发病率逐渐增高。
      无典型结核病中毒症状的成人纵隔淋巴结结核的文献报道不在少数,因此,当临床中遇到症状不典型的患者时,不能轻易排除结核病的诊断,胸部增强CT对本病的诊断与鉴别诊断有一定价值。增强CT扫描时,肿大的淋巴结呈典型的边缘强化或分割样强化,这是纵隔淋巴结结核极具特征性表现,其强化形式与淋巴结内血管及肉芽组织数量及分布有关。淋巴结环形强化或分割样强化的病理基础是淋巴结外周或液化区分隔带有毛细血管丰富的肉芽组织,而无强化的液化区则为无结构的干酪样坏死物质。
     近年来,介入呼吸病学的发展,为纵隔疾病的诊治提供了更多微创手段,文献报道,经超声支气管镜引导下针吸活检术(EBUS-TBNA)可实时观察纵隔内组织结构,早超声引导下进行淋巴结穿刺活检,用于诊断胸内淋巴结结核是安全有效的,穿刺组织进行MTB培养可获得较高阳性率,有研究者推荐将其作为诊断胸内淋巴结结核的一线方法。传统的图片抗酸染色检出MTB的概率较低,而近年来免疫学及分子生物学技术的辅助诊断价值逐渐显现,如γ-干扰素释放试验和PCR等技术有助于提高结合病诊断的敏感度和特异度。PCR技术再明确诊断的同时还分析MTB耐药基因,进行药物敏感试验,这对指导耐药结核病的治疗具有重要价值。
     本例患者,年轻女性,慢性病程,多次抗感染治疗效果不佳,实验室检查示白细胞及中性粒细胞不高,不支持普通细菌感染,虽然肺泡灌洗液X-Pert检测阴性,结合患者胸部CT结核感染亦不能排除,胸部CT主要表现为右侧肺门及纵隔淋巴结肿大,仔细观察不难发现右中间支气管内新生物凸向管腔内,增强扫描,右肺门(10R)及纵隔淋巴结(2R,4R)明显不均匀强化,内部呈不规则低密度无强化区,被周边高强化区包绕(环形强化)的特点,首先应当想到纵隔淋巴结结核诊断。淋巴结分布亦不符合肺部恶性肿瘤迁徙途径。
    马尔尼菲篮状菌感染也可表现为多处环形强化肿大淋巴结,但常见于易感人群。
    对于病原学诊断,如临床、实验室、影像学高度怀疑的病例,需临床医生多部位取材,多种方式进行病原学检查,才不容易漏诊及延迟诊断。
部分选自:陈楠,董淑文,张杰.成人纵隔淋巴结结核一例.中华结核与呼吸杂志,2012,35(8):625-626.

-HAPPY 2022 NEW YEAR-



编辑:许慧良
审核:蔡笑燕  徐  晓



到顶部