【每日晨读】青少年男性,前纵隔区多发结节,到底是何物?





























精彩讨论
邢瑞欣:
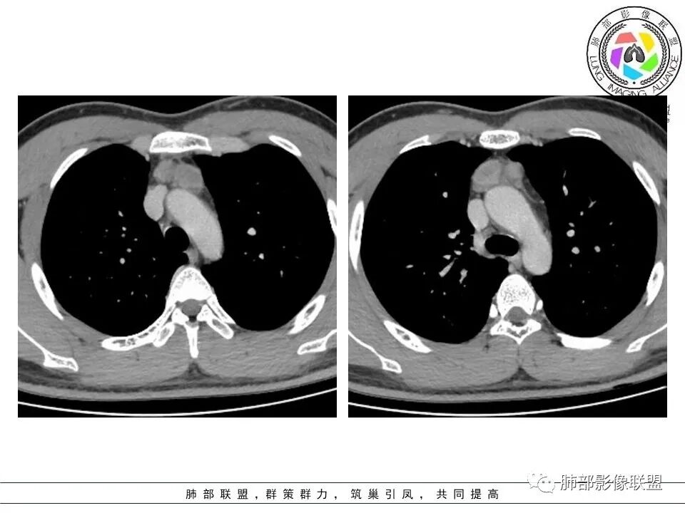
青少年无症状,前纵隔多个软组织结节,没有钙化,边界清,有强化,没有重症肌无力,考虑淋巴瘤,鉴别胸腺瘤,畸胎瘤,生殖细胞瘤,淋巴结增生,转移瘤
飞鹰行动:
青少年,前纵膈软组织占位,密度均匀,边界欠清晰,增强病灶强化不明显,考虑淋巴瘤,鉴别胸腺增生,生殖细胞瘤
?? 玫:
男,16岁,体检发现纵隔肿物,前纵隔多个软组织密度影,边界清晰,其内密度不均,增强扫描病灶轻度强化,考虑淋巴瘤可能,鉴别胸腺病变。
蓝天白云:
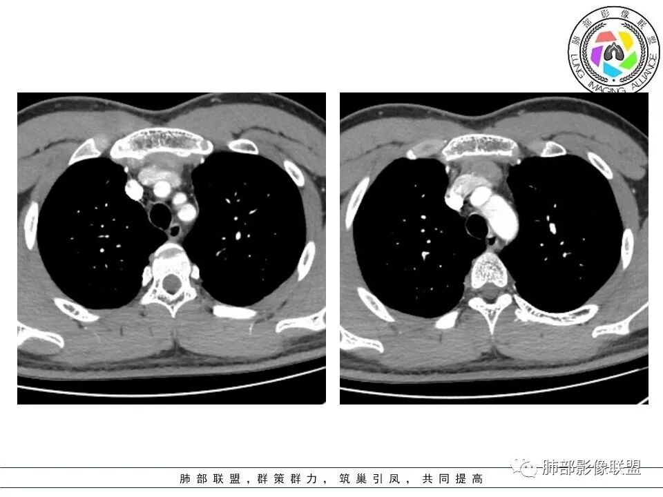
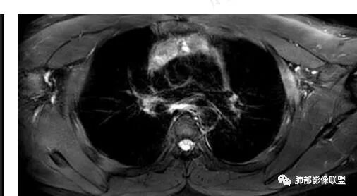
青少年男性,前纵隔结节,多结节间可见脂肪间隙,t2稍高,内见条状低信号,胸腺增生,淋巴瘤,生殖源性肿瘤
周太狼:
青少年男性,无症状,体检发现,前纵隔多个软组织结节影,边界尚清晰,密度不均,增强扫描轻度不均匀强化,考虑胸腺增生,鉴别:淋巴瘤(结节融合不明显,放第二吧),生殖细胞瘤(年轻人要考虑,需查AFP),纵隔结核(没肺窗,不知道肺上情况如何),其它如胸腺瘤,转移瘤等,一般发病年龄偏大,有原发肿瘤史,估计可能性不大。
看图说话:
青少年,前纵隔多个结节,密度不均,边界清晰,轻度不均匀强化,考虑胸腺增生,鉴别淋巴瘤,生殖细胞瘤。
空格:
胸腺增生pk淋巴瘤,16 男,发病年龄两个都符合。支持胸腺增生证据 :
1 结节基本按左右叶分布,没有明显横跨中线的结节  
2 结节形态基本类肾型,低张力状态? 
3 结节周围有密度稍高的胸腺背景(区别于淋巴瘤) 磁共振正反相位估计有帮助     
支持淋巴瘤证据:  左侧有结节凸于胸腺形态外,有无价值,待验证  综合  胸腺增生可能大
必有路: 先做下ppd 结核干扰素实验,排除结核再考虑肿瘤
良孑: 有环状强化,年青患者,首选TB,其次淋巴瘤
周宇元-九江学院附属医院影像科: 青少年,体检发现前纵隔多发结节,轻度环形强化,考虑淋巴结结核,淋巴结炎?鉴别胸腺囊肿并感染,胸腺增生?
空格: 部分结节DWI高,T2有积液,不符合胸腺增生,还是淋巴瘤优先考虑。CT增强有环形强化。但DWI病灶中央也亮的,结核可能不大。

南边老师分析
16岁男性,体检发现纵隔病变,提示无症状
白介素6升高——提示炎症?
前纵隔胸腺区病变
按分叶一边一个
大家看看这病灶信号


南边:
边界清吗
看看这个内部结构

宇宙星空:
是分叶还是两个病灶?
南边:
两个
两部分
孙老师发一下冠状位
多个病灶
孙海峰:

南边:
但是结构疏松,边界不清:

南边:
问题是不是都是结节状,部分是条带状




南边:
胸腺内的
多发病灶
从MR看结构松散
不太符合肿瘤
首先考虑非肿瘤性病变
炎症?
增生?
炎症:符合点——强化、周围边界不清,白介素6高,但是没症状,DWI中央低强化区不高
增生:符合点——整体内部结构松散,不符合点强化,白介素6高


病理结果

南边:
大方向没问题
关键在于其结构松散,外周密度增高,周围渗出
整体形态没有肿瘤的特点,特别是MR
DWI好像中央高一些
看这个图

南边:
就觉得内部结构松散
无肿瘤的特点
就不知道这个胸腺增生,是炎症反应的修复所致?还是影响到了内分泌所致?
与炎性病变相关肯定是
不知道是不是单纯的炎性修复
空格: 看到的结节其实还是增生结节,为什么t2有积液,是伴发了脓肿、感染
必有路: 还有坏死区域部分弥散受限
常规会考虑到tb  其他的炎症,还是少见 ,不太优先考虑肿瘤
周边模糊,中央坏死,弥散受限
炎性特点是有的  只是常规会考虑tb  至于化脓性淋巴结炎,症状太轻,没常规考虑
周宇元-九江学院附属医院影像科:
纤维性纵隔炎又称硬化性纵隔炎,分局限性和弥漫性。
WJ:
有多发结节,强化不明显,应该周围是增生的胸腺,结节是胸腺囊肿。原因因为里面有炎症细胞,是某种炎症刺激,哪一中炎症细胞?是中性粒细胞还是淋巴细胞?可能并不是感染,而是非感染的炎症刺激了滤泡增生,囊肿形成和纤维修复
编辑:李  剑
审核:蔡笑燕  徐  晓


到顶部