【每日晨读】 肺内光滑实性结节的分析



群内讨论
甄德强: 















飞鹰行动:
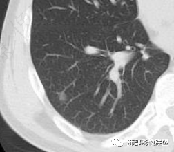
老年男性,右肺下叶胸膜下结节,膨胀性生长,边缘清晰,无胸膜凹陷,增强可见环形强化,内见低密度区,考虑炎性肉芽肿病变,结核可能。
丽:
老年男性,右肺下叶实性结节,边缘膨隆分叶,增强后轻度不均匀强化,考虑良性肉芽肿结节,建议随诊观察除外腺癌
穿越七海的风:
右肺下叶实性结节,边缘光滑,无毛刺分叶,支持肉芽肿性病变
王开金江津中心医院呼吸科
中年男性,右肺实性结界,边界清楚,光滑,见低密度区,考虑肉芽肿性病变?错构瘤?
凯、KAI:
边缘光滑,密度不均,提示良性病变可能性大,错构瘤?
宇宙:
右肺下叶近胸膜处类圆形结节,边缘光整,浅分叶,挂果,周围黑边,密度不均,轻度不均匀强化,考虑错构瘤,鉴别腺癌
春秋:
右肺下叶结节,整体光整,浅分叶,强化低,考虑良性,错构瘤?
邢瑞欣:
老年男性查体,右下肺类圆形高密度影,边缘光滑清楚,强化不明显,看着血管贴边,首先考虑良性肿瘤,PSP,错构瘤,鉴别肉芽肿性病变,腺癌
周太狼:
老年男性,右肺下叶结节,边缘膨隆分叶、浅分叶,增强后边缘强化,血管贴边,首先考虑PSP,鉴别腺癌,肉芽肿结节。
流心明智:
男,51。右肺下叶孤立实性结节,边界清,边缘少许磨玻璃,周围气肿带,浅分叶,平扫内见点状低密度,强化不明显。考虑良性结节,错构瘤>炎性肉芽肿鉴别腺癌。
衡妈:
右肺下叶胸膜下一类圆形实性结节,边缘似乎有点磨玻璃晕感,边缘圆钝,浅分叶,血管贴边包绕,增强后轻度强化,矢状面显示病灶后方有条线样尾巴,结节形态及强化可以符合错构瘤,但血管包绕,病灶后方的小尾巴又有点让人不安。考虑恶性,腺癌可能,鉴别错构瘤。
平时工作1如果有老片尽量找到老片对比 2. 1个月的超短时间复查 3.建议穿刺活检 




弹指之间:
考虑恶性,如粘液腺癌或转移瘤,建议PET。
如果pet阴性考虑粘液腺

衡妈:
多个片子出现,有点疑惑
放射小白:
男性51岁,右肺下叶结节灶,增强轻度强化,常规考虑错构瘤,但是有血管聚集及边缘磨玻璃密度影,恶性排在前面首先腺癌,鉴别错构瘤,结合前片,必要时穿刺活检。
良孑:
右下叶胸膜下结节,轻分叶,结节内可见低密度区,CT值一83Hu,结节周围见空气新月征(黑边征),结节膨胀性生长,收缩力差,轻度强化,体检发现,综合分析,考虑错构瘤,但多个层面显示结节周围有边缘清楚的磨玻璃影,不知是否与层厚有关,有似清非清的感受,鉴别排除一下低分化腺癌
嘻嘻??:
补充晨读视频
晓锁:
感觉磨玻璃影是容积效应
有没有薄层的?
看到视频,是容积效应
那错构瘤的可能性就较大了
优彤:
考虑错构瘤(软骨型)?
张世晓:
考虑pSp,鉴别错构瘤,腺癌
Zhuweichao:
考虑错构瘤
了:
我记得黑边征可以排除肿瘤
医然为伱つ:
高少说是瘤肺截然征
南边:
不能排除,一般提示局部无浸润,属于良性特点
结果


讨论

此病例中结节,与支气管无关系,边缘清晰,形态规则,缺乏张力,未见典型的分叶及毛刺,病灶周围磨玻璃为部分容积效应所致,肺门纵隔未见肿大淋巴结,良性病变可能性较大,肺部的良性肿瘤中,最常见的是错构瘤,其次是硬化性肺细胞瘤(PSP),第三是孤立性纤维性肿瘤(SFT)。
恶性病灶容易想到孤立转移灶或大细胞肺癌等,病史以及强化特点等不大支持。
肺错构瘤
常表面光滑,可有浅分叶或无分叶,无毛刺,对周围肺组织无牵拉;常挂枝头(挂在肺动脉枝头上),很少到达胸膜。出现脂肪成分,或者典型的爆米花样钙化几乎可以确诊,软骨型错构瘤因软骨组织多,强化弱。平滑肌型错构瘤增强有一定强化。病灶周围边界清楚,常有很低密度的黑晕。
硬化性肺细胞瘤
大多无分叶,血供丰富,通常增强幅度高于肺腺癌(本例强化不符合);部分有钙化,大多有血管支气管贴边征,血管离开时比原来细一些,即“留下买路钱”(本例强化不符合),约30%的病例周边有淡薄的出血晕,磨玻璃密度,边界模糊(本例强化不符合)。
孤立性纤维性肿瘤
多起自脏层胸膜,表面光滑,强化多均匀,部分肿瘤内部可见蛇纹状血管(本例起病部位不符合)
综上所述,错构瘤可能性最大

编辑:李志强
审核:徐  晓


到顶部