【每日晨读】南边老师精彩解析肺孤立性纤维瘤!




精彩病例分享





















精彩讨论发言


飞鹰行动:
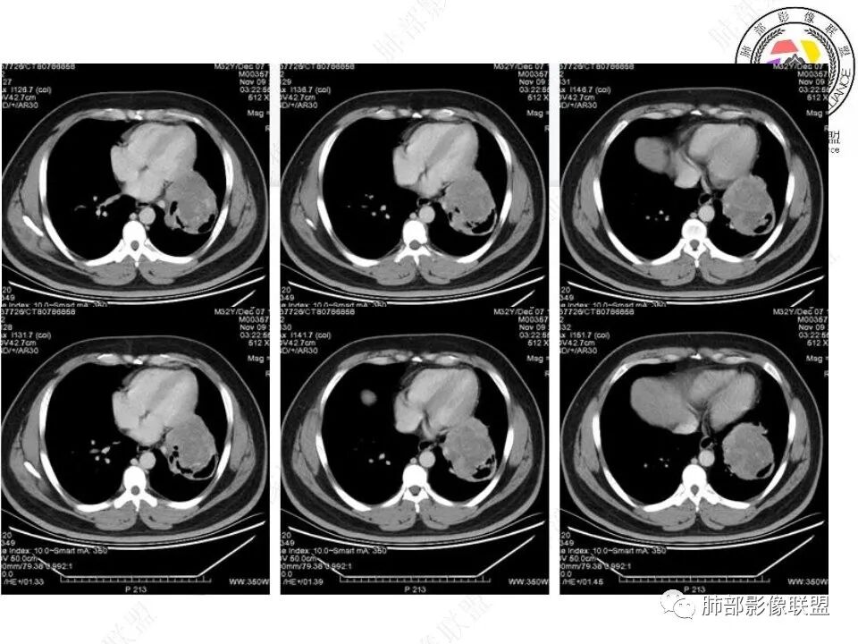
青年人,左肺下叶占位,边界清晰,支气管受包埋,病灶可见空气半月征,增强病灶内见血管影,纵膈未见增大淋巴结,考虑交界性肿瘤性病变,PSP,SFT,其次肉瘤类,鉴别淋巴瘤,小细胞癌。
穿越七海的风:
左肺下叶巨大肿物,边缘光滑,支气管截断,蛇纹血管征?肿物远端可见空气新月征,恶性SFT ?肉瘤?
金豆:
边缘圆盾,支气管截断,不均匀强化,新月征,恶,神经内分泌类,大细胞,鉴别间叶来源肉瘤。
许慧良:
青年男性患者,体检发现左肺下叶类圆形占位性病变,边界清楚,浅分叶,内部密度均匀,见血管,远端见不规则坏死,考虑恶性,肉瘤可能
周太狼:
青年男性,体检发现,左肺下叶肿块,边界清晰,支气管受压,病灶可见空气半月征,增强不均匀强化,内见血管穿行影,定位胸膜起源,PSP?SFT?肺内肉瘤类待排。
放射线:
左肺下叶肺门区软组织密度肿块,支气管进入阻塞截断,边缘清晰,外后侧可见空气半月征。强化不均,内可见杂乱强化血管及低密度坏死,考虑恶性病变,肉瘤?鉴别CD。
丽:
青年男性,左下肺肿块,边缘光滑,支气管走形迂曲,变细,部分截断,内密度不均匀,轻度强化,可见迂曲血管,考虑恶性sft 可能大,鉴别肉瘤样癌
弹指之间:
青年男性,左肺下叶肿块,特点:1.支气管包绕、鼠尾状狭窄中断,2.富血供(内部杂乱血管)+坏死;空气新月征?;3.边界清楚,与斜裂关系密切;4.生长快;综合:恶性,斜裂胸膜起源SFT可能,肉瘤样癌等待排。
晓锁:
中年人,左肺下叶占位,跨叶间裂,定位肺外胸膜来源,肿块占位效应明显,支气管血管受压移位,蛇纹状血管,考虑SFT,鉴别:PSP,肉瘤。
良孑:
左下肺门肿块,无明显分叶,支气管针孔样狹窄,肿块远端无阻塞性病变,低强化,肿块内见沼泽地样坏死,综合分析支持恶性,小细胞癌或鳞癌
Grace:
青年男性患者,体检发现左肺下叶类圆形占位性病变,骑跨叶间裂,左肺下叶支气管受压内移,边界清楚,浅分叶,内部密度不均匀,动脉期见分支状血管,渐进性强化,远端见空气新月征?坏死?定位胸膜,考虑恶性sft,癌肉瘤待排
尘缘:
定位,肺内,定性,恶性,病理:首先考虑肉瘤样癌或者肉瘤,鉴别神经内分泌肿瘤(小、大神泌等)
放射小白:
男性32岁,左肺下叶占位,下叶支气管截断,增强内部可见血管影,首先考虑淋巴上皮瘤样癌,鉴别类癌强化不够,其次鳞癌。
毛勤香:
支气管闭塞,跨叶,肺动脉被包绕,其内多发血管,外朝内生长,考虑恶性,年轻男性,首先考虑肉瘤样癌,鉴别肉瘤
看图说话:
左肺下叶软组织肿块,边界清晰,支气管进入截断,外缘可见空气新月征。增强不均匀强化,考虑恶性病变,肉瘤,类癌。
谢加平:
左肺下叶大肿块,分叶状,边界清,左肺下叶支气管远段阻断,呈鼠尾状,伴左肺下动脉远段破坏模糊,肿块见血管造影征,实质强化偏弱,方向恶性,考虑Ca肉瘤,建议肺穿刺活检!


南边老师解析

南边
我将内部结构再重建一下



骑跨在斜裂上



局部斜裂稍增厚

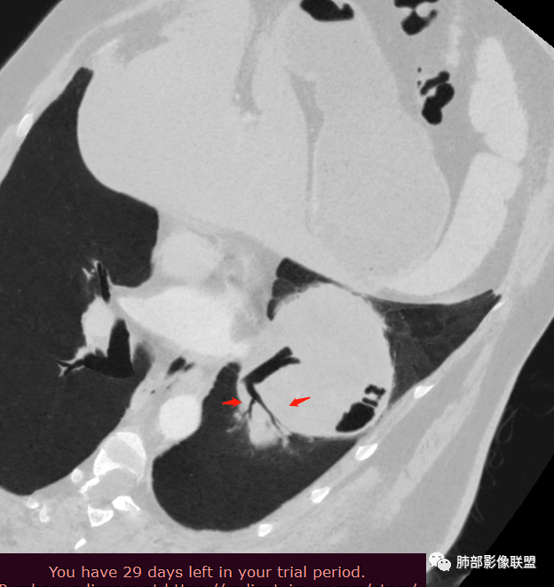
下叶基底干支气管受压下移

下叶背段支气管受压稍后内移位,通畅

就是支气管目前基本没有堵塞,只是受压
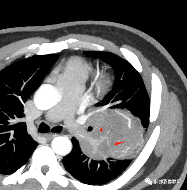
下肺静脉:


还是肺动脉供血,肺静脉引流

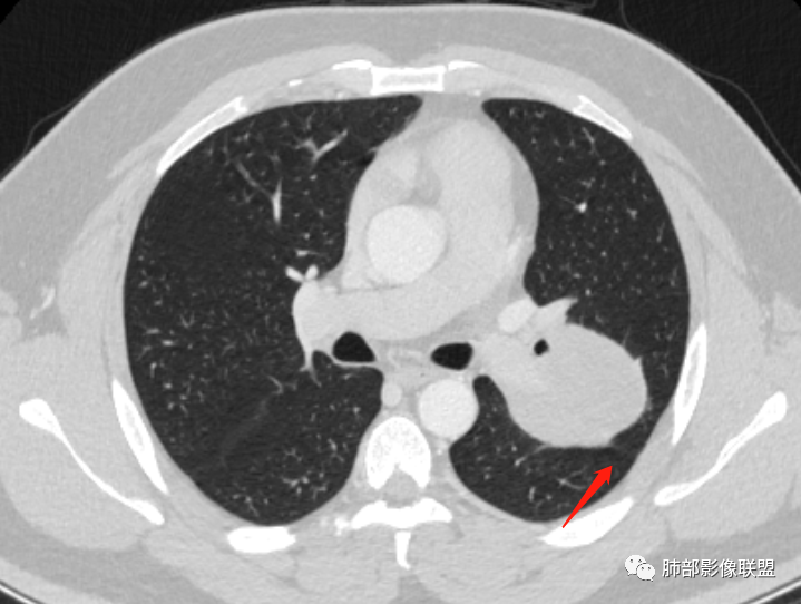
空气新月征:

南边:
大家定位在哪?诊断啥?
周太狼:
定位胸膜,叶裂
南边:
新月征很有特点,血管有特点
定位比较明确,定位胸膜就不考虑曲菌球
边缘光滑
大家考虑啥?SFT?PSP?
南边:


弹指之间:
支持胸膜来源
邢瑞欣:
考虑SFT
采莲:
看血管像蛇纹状
蓝天白云:
瘤肺界面清晰,支持肺外来源,支气管包绕,延迟强化,sft,psp
?????天涯?????:
蛇纹血管像sft,空气新月征像psp
大雄:
支持  或者肉瘤样癌
内部血管走行,应该不好考虑PSP
与支气管关系比较密切。无论是狭窄还是堵塞,都不好考虑SFT,如果是SFT,对支气管应该是推移,不会包绕,这种局部包绕支气管的,SFT很少见,有难度
wj:
今天的病例叶间裂上,蛇蚊血管,支气管包绕
叶间裂没有推移,好像是sft这种内部气体影是一个特点。


病例结果







病例小结
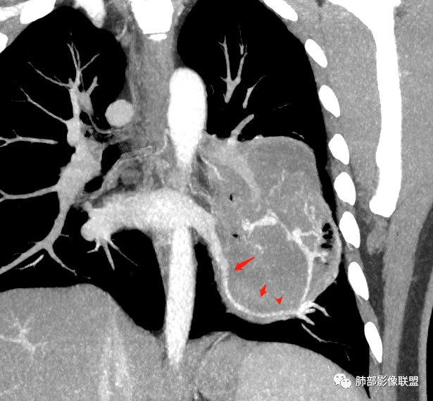
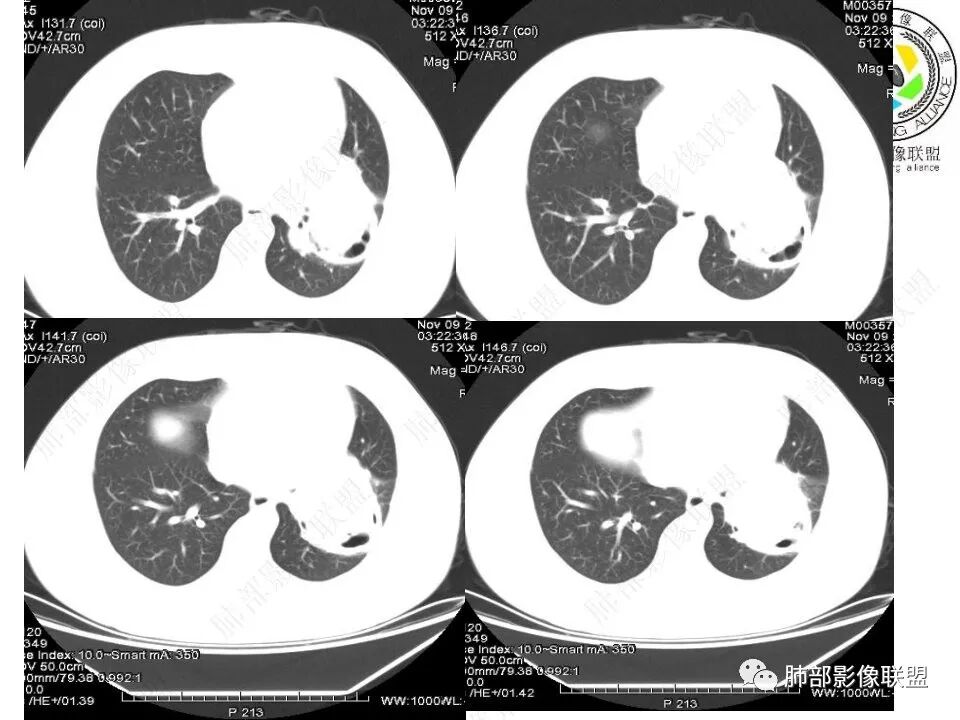
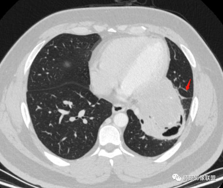
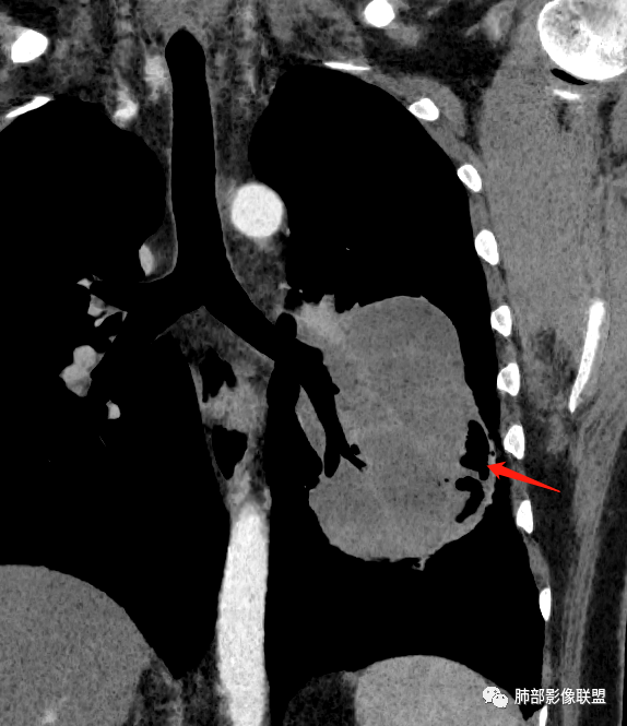
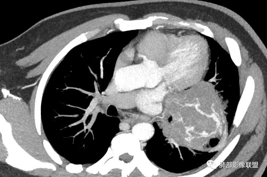
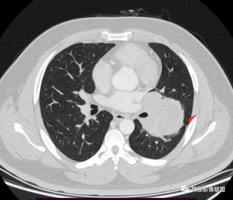
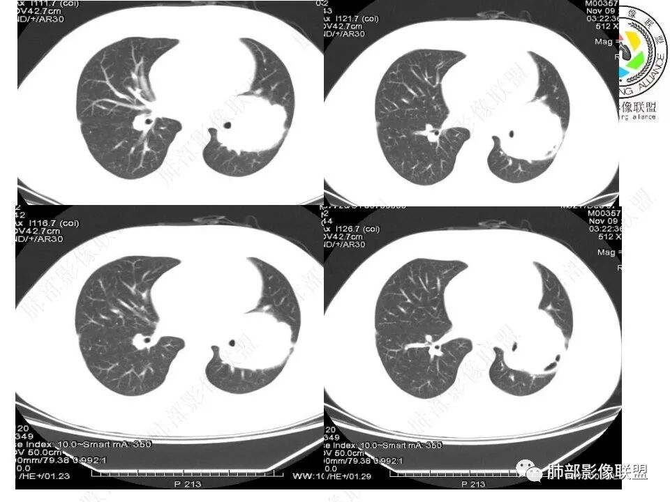
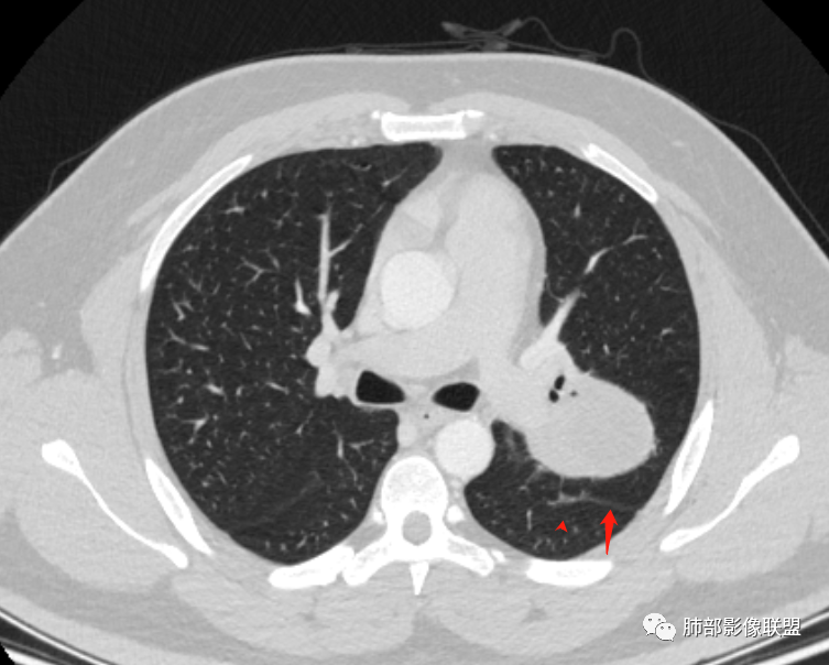
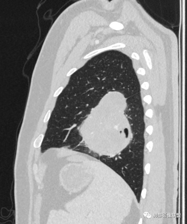
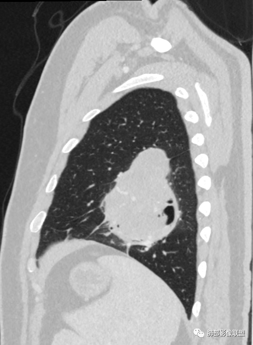
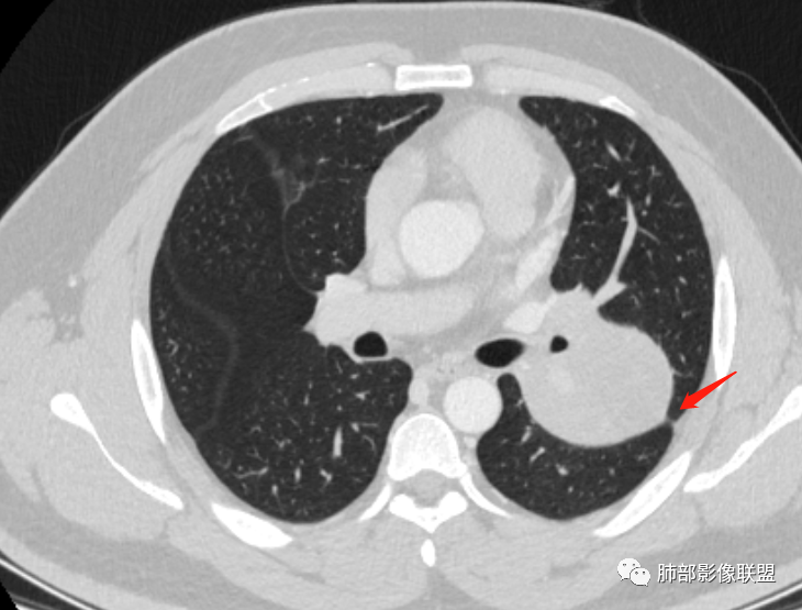
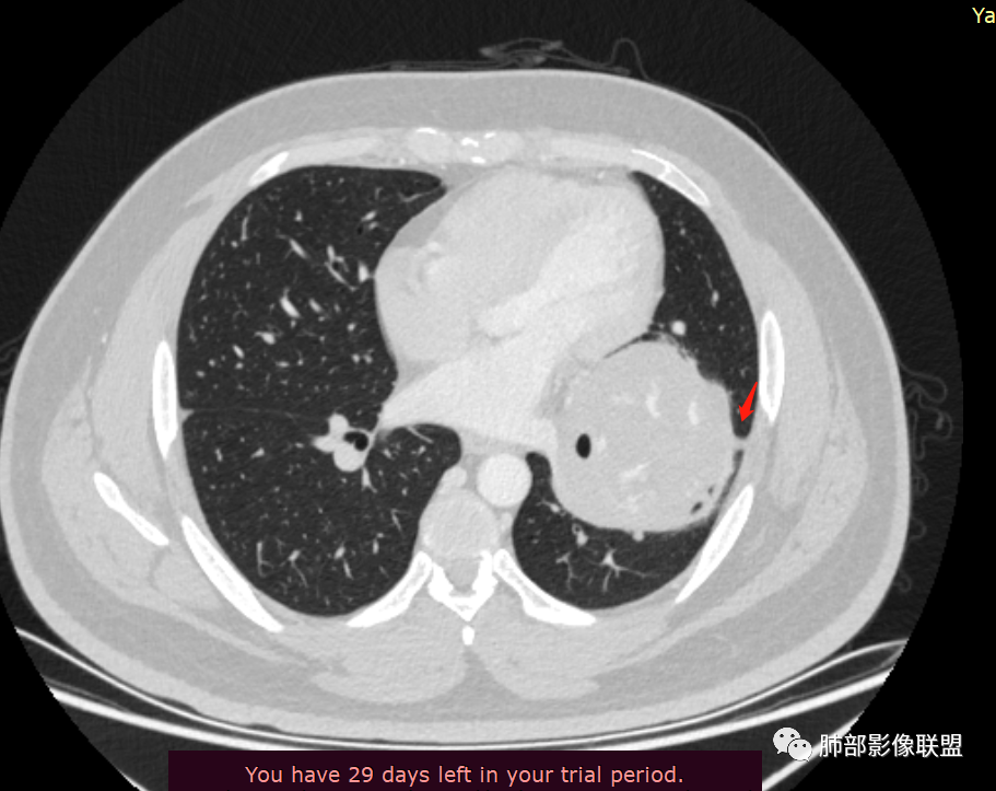
    青年男性,体检发现左肺不规则类圆形占位性病变,叶间裂区域,定位胸膜来源。左肺下叶支气管受压狭窄,但管壁光整,未见腔内阻塞或管壁受侵。包块边界清晰,浅分叶,内部密度不均匀,病灶后份见空气新月征。渐进性强化,增强动脉期见分支状血管,蛇纹血管征。肺门纵膈未见增大淋巴结,符合孤立性纤维瘤(SFT)。



相关知识分享
SFT的总结:
1、孤立性纤维性肿瘤(solitary fibrous tumor,SFT)是一种少见的梭形细胞软组织肿瘤,可发生于全身各个部位。较多见于中老年人,无明显性别差异。临床症状与肿瘤的位置及大小有关,部分患者为体检时偶然发现。多为良性,恶性者约占9%~22%。
2、肿瘤多呈类圆形或不规则形,多数有完整包膜。镜下:肿瘤细胞呈梭形,细胞排列方式多样,呈条束状、编织状、漩涡状等;细胞密集区及细胞稀疏区相间分布,细胞间可见不同程度的胶原纤维沉积,间质富含分支薄壁血管,并可形成典型的“血管外皮瘤样”区;良性病灶细胞异型性较小,核分裂象少见;恶性病灶细胞密度增加,细胞异型性明显,核分裂象>4个/10HPF。CD34是SFT最重要的特异性免疫标志物,文献报道阳性率为79%-100%,部分恶性病灶可不表达CD34。
3、影像特点:
1)形态、大小:一般为单发,较小者呈类圆形或椭圆形,较大者呈浅分叶或不规则状;大小差异较大,直径1-25cm(有2个高峰期,大多数肿瘤直径<5cm,或者>10cm),肿瘤的大小与发生部位、病程长短有关;
2)生长方式:可膨胀性生长、“铸型”生长;
3)肺部SFT好发于肺表面如叶间裂等区域,定位相当重要。肿块边界清楚光整,支气管不受侵(或可受压推移)。CT平扫肿瘤多呈等或稍低密度。发生于脑膜的SFT平扫肿瘤多为略高密度病,类似脑膜瘤;肿瘤较小者密度均匀,较大者内部密度常不均匀、见多发灶性或不规则形中心低密度区(细胞稀疏区含有丰富胶原纤维易发生黏液样变性或囊性变),钙化少见。
4)MRI T1WI常呈等信号,亦可呈低信号或者混杂信号;T2WI信号混杂多样,信号强度随着胶原纤维含量的增高而减低,多呈混杂等或稍高信号(高信号反映病灶黏液变性、坏死区,稍高信号反映病灶细胞密集区,低信号区反映胶原纤维丰富区);DWI多呈为等低信号(可能与病变含纤维成分多相关)
5)肿瘤的强化程度及方式:增强扫描肿瘤早期实性成分呈不均匀斑片或斑驳样强化,亦可呈“ 地图样” 明显强化,强化程度不一,可呈轻度-显著强化;静脉期持续强化,多期增强及动态增强扫描均呈“快进慢出”型强化,且强化范围逐渐增大并趋均匀。肿瘤内部及周围常见多发粗细不等强化或流空肿瘤血管影。瘤体内“蛇纹血管”在其他诸如硬化性肺细胞瘤、错构瘤等等是非常罕见的。
6)其它:良性SFT多具有明显较完整的纤维性包膜,文献报道包膜出现率约50%。中枢神经系统SFT多起源于硬脑膜,主要位于大脑镰、颅底硬膜及天幕区,病灶多以宽基底连于脑膜,增强后邻近硬脑膜可见明显强化,即“脑膜尾征”。
相关知识链接
【每周一例】22期读片讨论实录 孤立性纤维瘤,原来这样被攻破
南边课堂:一例胸膜孤立性纤维瘤的定位思路
孤立性纤维性肿瘤的影像学诊断
蛇纹血管征与孤立性纤维性肿瘤
两例纵隔侧胸膜孤立性纤维瘤


编辑:杨新娟
审核:徐  晓


到顶部