【每日晨读】年轻男子后纵隔占位,您能决断吗?




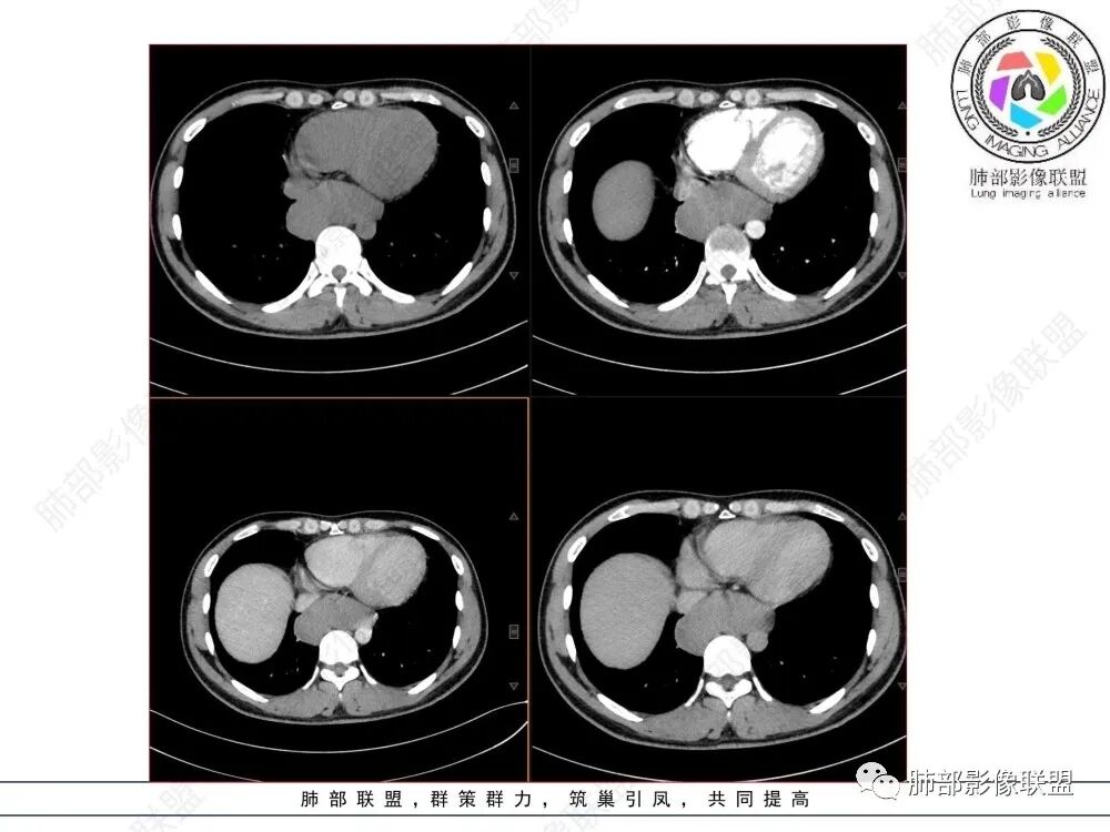
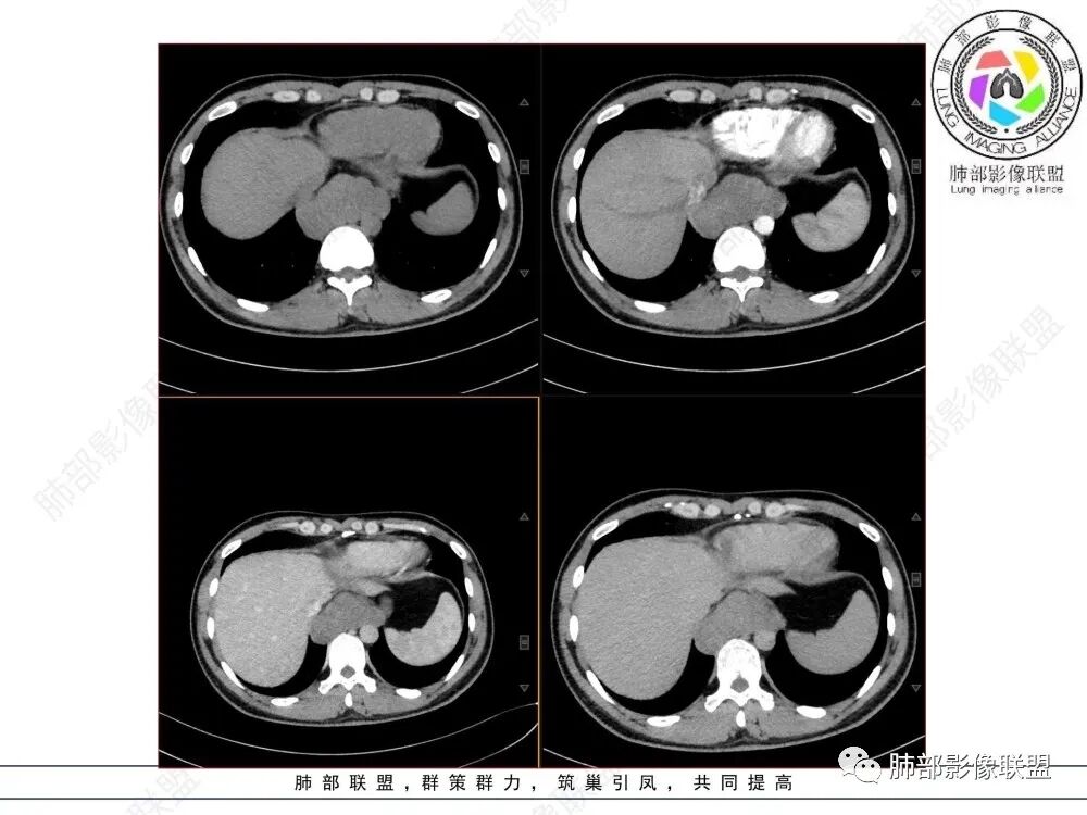
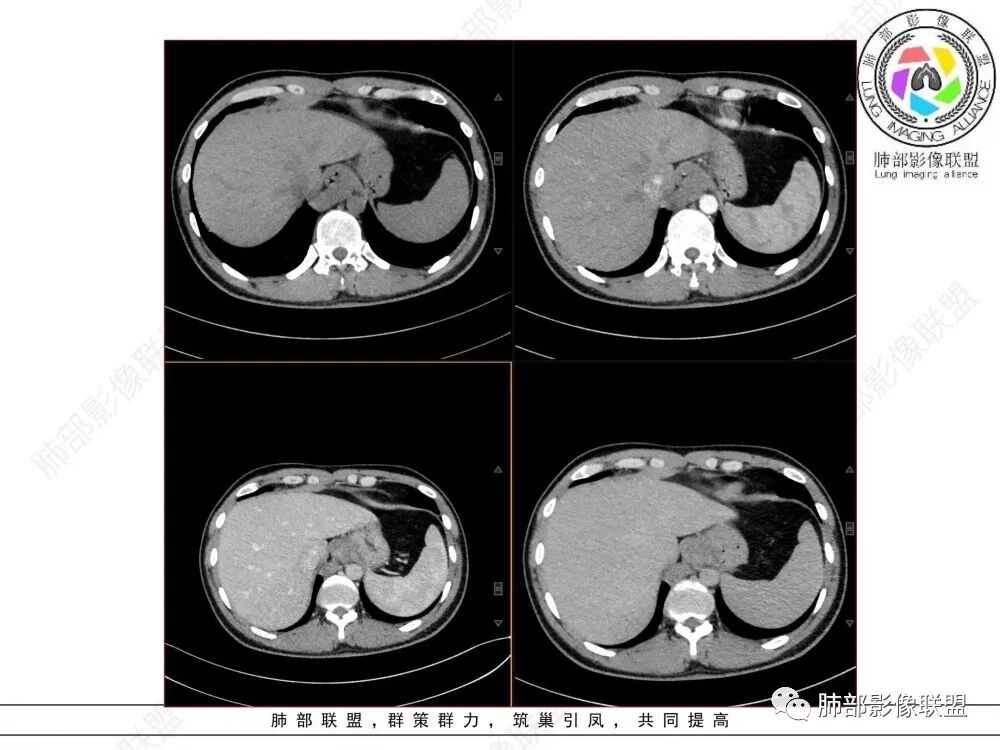
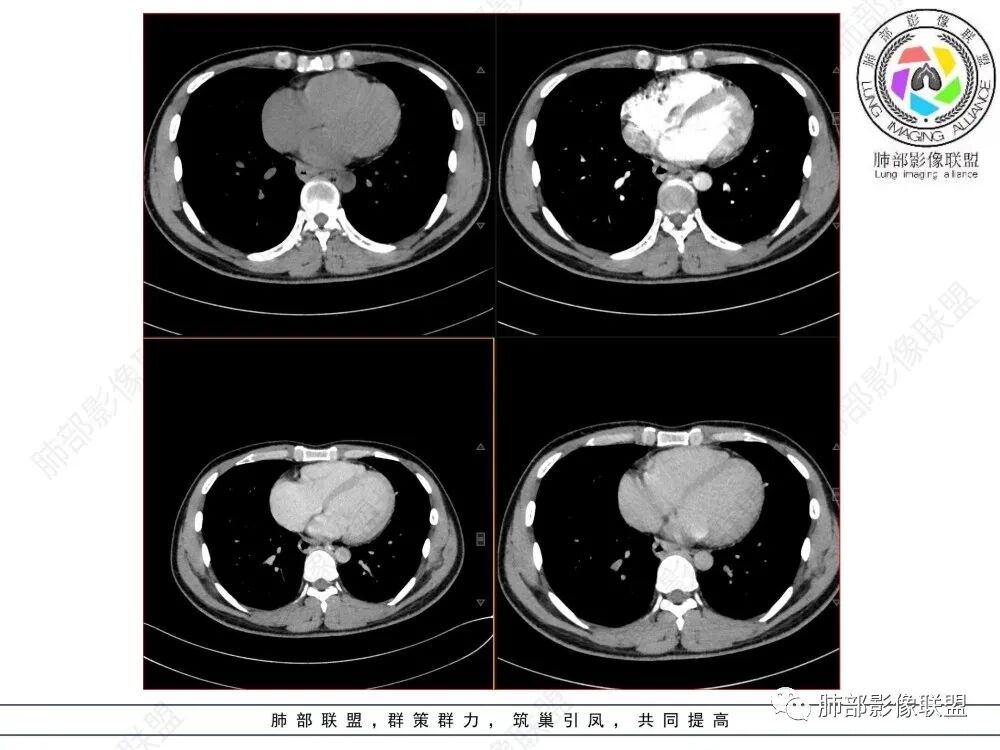
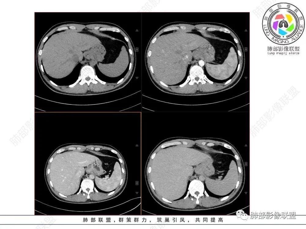
病例资料














































微信群讨论
飞鹰行动: 
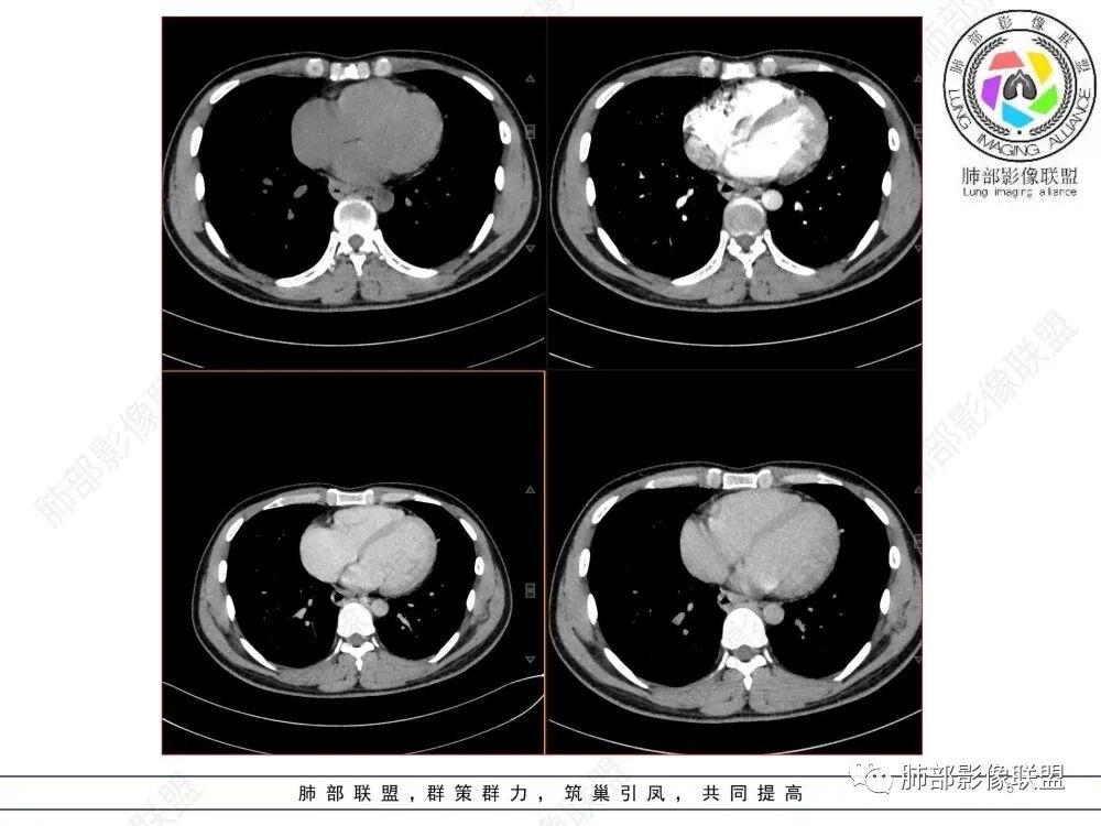
青年人,食管来源肿瘤性病变,平扫密度均质,病灶边缘分叶,食管部分僵硬,增强病灶轻中度强化,强化不愠不火,考虑恶性,淋巴瘤,鉴别食管平滑肌瘤,间质瘤。
放射线: 
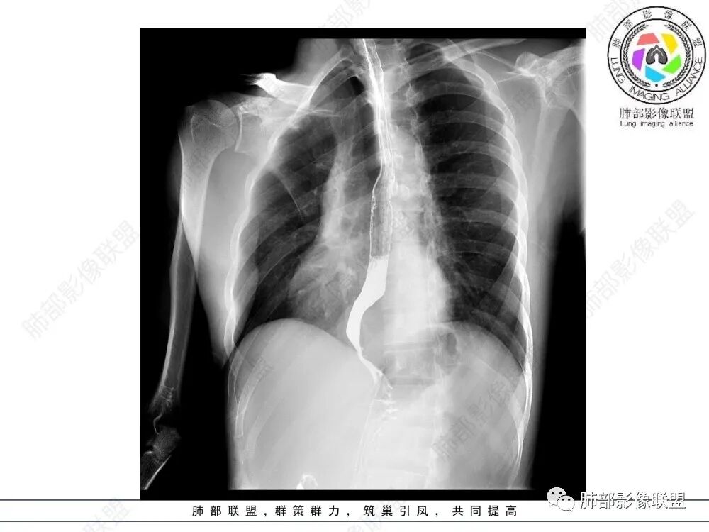
食管下段近贲门处肿块,食道受压变窄,粘膜无破坏,轻度强化,T2等低信号,考虑平滑肌瘤?神经鞘瘤?鉴别间质瘤。
小兜: 
年轻男性,食管下段占位性病变长轴平行于食管,平扫密度尚均匀,增强轻度强化,MRI示T1、T2低信号,DWI低信号。考虑来源于食管,考虑平滑肌瘤或神经鞘瘤>间质瘤
金豆: 
定位后纵膈,这个位置,神经,淋巴,食管,轻微强化,T2低信号,弥散受限,考虑平滑肌瘤,鉴别神经原性。
丁云: 
平滑肌瘤(食管下段团块状肿块,环食管生长,分叶密度均匀,增强轻度强化。钡餐时食管受压移位,T1 T2 DWi低信号,病变来源于食管,考虑平滑肌瘤)
衡妈🇨🇳: 
定位后纵膈,实性密度,增强轻度强化,T1等低信号T2低信号,弥散未受限。钡餐造影,食道及贲门管壁柔和,造影剂通过顺畅。考虑神经鞘瘤。鉴别食道平滑肌瘤。
寒江雪: 
后纵隔占位,质地均匀,信号中等,与食管关系密切,弧形受压,食管粘膜完整。考虑平滑肌瘤或孤立性纤维瘤。鉴别:神经源性肿瘤。
青藤之凉: 
食管来源的平滑肌瘤,占位大,管腔狭窄不明显是特点。
云帆沧海: 
食管下段肿块,环壁生长,有分叶状,密度比较均匀,考虑食管粘膜下肌瘤。
看图说话: 
食管下段后壁团块状肿块,管腔受压,密度均匀,增强轻度强化,食管受压移位,考虑平滑肌瘤,鉴别间质瘤。
蓝天白云: 
食管下段肿块,管腔受压变窄,密度均匀,增强轻度延迟强化,考虑平滑肌瘤,鉴别间质瘤。
放射小白: 
食道下段团块灶,增强轻度渐进性强化,首先考虑食道平滑肌瘤,鉴别后纵隔节细胞神经瘤。
毛勤香: 
轻度强化,等T1等T2,弥散不受限,密度及信号相对均匀,感觉后壁来源并食管受压推移,考虑平滑肌瘤。
良孑: 
食管下段肿块,环壁生长,分叶状,密度比较均匀,钡餐造影食管下段弧形受压移位,并可见龛影,考虑为食管平滑肌瘤或食管结核。
春秋.: 
食管下段贲门区,符合纵横比大于1.5?轻度强化,平滑肌瘤?
Dr. xiao:
影像学特点:类纵隔区病变,沿食管生长,形态不规则,但边界清楚,内部信号/密度均匀,强化程度比较弱。
影像诊断思路:起源食管肿瘤(非黏膜起源,肌层起源),良性或低度恶性肿瘤可能性大,一般以神经鞘瘤、胃肠间质瘤及平滑肌瘤为主。食管神经鞘瘤强化明显均匀、以食管上段多见,周围常见炎性增大淋巴结,不太符合;胃肠间质瘤小的比较均匀,大的不均匀,但强化程度较高;影像上看这例病例比较符合平滑肌瘤。
嘻嘻??:
@肖刚-空军军医大学附属唐都医院?肖老师,食管神经鞘瘤,一般强化幅度多少?和腹膜后的差不多嘛?
Dr. xiao:
接近于血管
不一样,食管神经鞘瘤强化程度可接近于血管,内部很均匀,坏死很少看,周围炎性增大淋巴结也很有特点
南边:
这个气体是否能将神经源性的排除?

宇宙星空:
可以
完全抱牢食管了
必有路:
后面造影图,像腔外  南边老师看得仔细

结果

wj:
造影虽然像外压,但是ct肯定更清楚,看ct就是一个环绕管壁生长,管腔狭窄,定位应该没有问题,但是大家病理都答对了,太厉害了
金豆:
T2低信号是关键,提示平滑肌细胞
wj:
精辟
·资料拓展·
食管平滑肌瘤是最常见的食管良性肿瘤,多见于男性,男女之比为2.6:1,高发年龄 30~60岁之间与食管癌相比,食管平滑肌瘤 的一个主要特点是病史相对较长,病情进展缓慢。病史最长者达10年余,平均 15.7个月,尽管病史较长,但大多数患者仍能进普食。食管平滑肌瘤的诊断一般比较容易,结合患者临床症状、食管造影及食管镜所见,一般均能得出正确诊断。食管造影主要为充盈缺损,病变与食管壁成锐角,粘膜线连续无破坏,管腔收缩扩张比较自如。钡餐造影敏感性高,但对食管壁间及食管周围情况难以判断。CT具有极高的密度分辨率,并且可以获得高质量的多平面重组图像,有利于食管壁间及食管周围情况的判断,表现为食管下段环绕管壁生长,偏心性或薄厚不均软组织密度肿块,密度均匀,内缘分叶状,管腔与正常食管壁构成不规则多角形扩张,增强动脉期无强化,多角度重建其病灶长轴与食管长轴不一致。由于食管壁在收缩状态下厚度约为5.6mm,扩张状态厚度不超过3mm,CT扫描时保持食管处于扩张状态可提高小病灶检出率。MR表现为T1加权等信号,T2加权稍高信号,可见高信号粘膜层,增强扫描轻度渐进性强化,密度均匀,无出血坏死。对于粘膜及周围脂肪间隙的判断具有明显优势。
参考文献:刘鹏,张迎,霍成存,刘迎新,赵绍宏,聂永康.食管平滑肌瘤的钡餐造影、CT及MRI影像学特点分析[J].转化医学杂志,2017,6(4):225-228.DOI:10.3969/j.issn.2095-3097.2017.04.008.
王永岗, 张汝刚, 欧阳忠, 等.  食管平滑肌瘤的诊断及外科治疗 [J] . 中华肿瘤杂志,2002,24( 04 ): 394-396.
编辑:李 菲
审核:雷 凤  徐 晓




到顶部