【每日晨读】如此结核,无愧“妖中之王”!



01
病例资料
















POETRY PROSE
02
微信群讨论
傅昌瑜:  支气管壁增厚,考虑支原体肺炎。
段建民:老年女性,接触咳嗽人群后咳嗽伴发热,肺部基础情况尚可,双肺下叶磨玻璃影,部分沿支气管血管束分布,有树芽影,部分呈反晕征,支气管壁未见显著典型的增厚,呈间质改变 ,首先考虑感染性疾病,病毒性肺炎炎,流感?鉴别支原体感染 ,暂不考虑非感染性疾病。
蔡磊:老年女性,急性病史。白细胞不高,CRP轻度升高。入院中性粒细胞、白细胞不高,常规抗炎效果不佳 。双肺下叶多发散在斑片样磨玻璃影,边缘较清,小叶内间隔增厚,结合临床实验室,考虑感染性病变,病毒性肺炎。
良孑:高热,两肺多发实变,可见充气支气管征,反晕,细网格,支原体抗体(一),考虑鹦鹉热>病毒。有充气支气管,可否排除病毒?
小兜:女,63岁,入院前接触咳嗽家属后咳嗽咳痰,咳白痰,不易咳出,白细胞不高,血糖不高,支原体阴性,CT示双肺多发斑片状磨玻璃影及实变影,边界欠清,右肺下叶为主,考虑为病毒性感染可能。
若小虞:两下肺多发斑片、磨玻璃影,边界清晰,内可见小叶内间隔增厚。最大片位于右下肺外基底段。边界清晰的要么是非感染,感染里以慢性感染多见,如结核(这个显然不是);急性感染如支原体和病毒病毒可能性大。支原体感染,以中轴间质肺炎(近肺门为主的斑片影)或者小叶肺炎,然后融合成片状,所属支气管管壁增厚。这个不是很像,一是位置太远端,二是未见明显的所属支气管,三是右下肺的片状太大,但没有明显的新旧不一的表现(有没有例外不清楚,常规看,不像)。病毒,DNA病毒多继发免疫功能低下者。RNA病毒可好发所有人,可表现为磨玻璃+小网格。
非感染,机化性肺炎收得不够紧,机化程度不够。腺癌,病灶多发,同样也是收得不够紧。
综上,RNA病毒可能大。
采莲:老年女性,咳嗽咳痰8天,发热5天,血象不高,CRP轻度升高,双肺多发磨玻璃实变影,以右肺为主,多胸膜下或支气管血管束分布,考虑感染性疾病,病毒性肺炎?鉴别鹦鹉热?
了:双肺多发磨玻璃影,边界清楚,反晕征,支原体阴性,无免疫力下降情况,血常规及crp不高,考虑病毒感染?鉴别结缔组织病相关肺炎。
流心明智:女,咳嗽、咳痰8天,发热5天,伴肌肉酸痛,接触咳嗽患者后发病。血像正常。胸部CT:两肺多发斑片样GGO,外带分布,长轴沿胸膜展开,小叶内间隔增厚,右下斑片灶反晕?考虑不典型病原体,鹦鹉热?病毒?鉴别TB、支原体等。
雪狐7305:中老年女性,咳嗽发热,急性病程,血象不高,影像提示双下肺团片影,部分有小结节堆积感,TB?鉴别OP。
POETRY PROSE
03
南边分析
63岁女性,急性病史,咳嗽、发热,白细胞不高。



小叶核心区域网格+GGO。

小叶核心结节。




侧向融合。
考虑间质分布为主,急性炎症,支持病毒性肺炎。支原体一般沿气道分布,分布不支持。
POETRY PROSE
04
病例结果

POETRY PROSE
05
病例回顾学习
1、老年女性,急性病史,以咳嗽咳痰伴发热就诊,白细胞不高,肺炎支原体阴性,C反应蛋白增高,提示存在感染性病变。
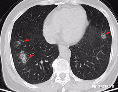
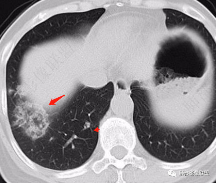
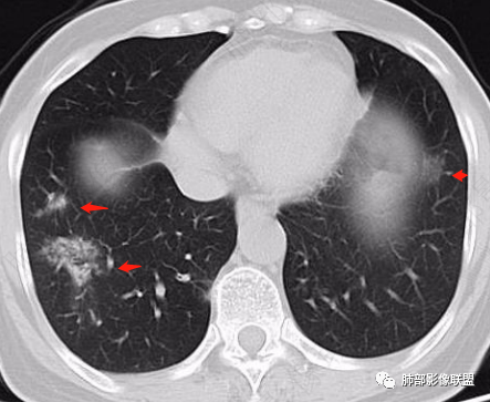
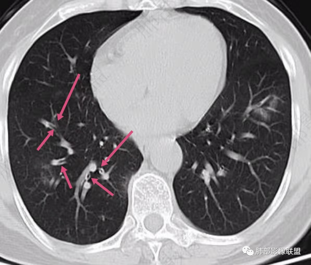
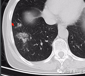
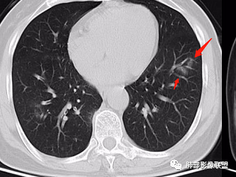
2、CT表现为两肺下叶结节影、斑片影、磨玻璃影,沿支气管血管束分布,部分支气管壁显示增厚。粗略一看部分病灶内似可见“细网格影”,但是仔细观察,可发现此“细网格影”不同于我们常见的“细网格影”,尤其是右肺下叶病灶,可以观察到病灶内部的网格上有高密度结节感或颗粒感,部分层面见“反晕征”,且反晕的边缘亦可观察到结节感。未见胸腔积液。
3、反晕征又称为环礁征、环岛征或环状珊瑚岛征,表现为中心磨玻璃影,周围为高密度影环绕,最初被认为是隐源性机化性肺炎(COP)的特征性表现之一,但随后不断有研究发现反晕征亦可出现在多种感染及非感染性疾病、肿瘤及非肿瘤性疾病中。反晕征的常见疾病谱有:①感染性疾病:肺孢子菌病、侵袭性肺真菌感染、肺结核、病毒性肺炎;②非感染性疾病:肺淋巴瘤样肉芽肿、韦格氏肉芽肿、 结节病、机化性肺炎(包括隐源性和继发性)、肺栓塞;③肺腺癌以及肺肿瘤治疗后。
4、本例急性病程,发热、咳嗽,结合影像多发磨玻璃影表现首先会考虑到感染性病变:①病毒性肺炎,病灶间质分布为主,常较弥漫,外围多见,临床症状重且常与影像表现同步;②支原体肺炎,病变多为1-2叶段、少数多叶段分布,支气管壁弥漫较均匀增厚,可见树芽征、腺泡结节及树雾征;③肺结核,上叶尖后段及下叶背段多见,多灶性、多态性,树芽征,可有空洞、钙化等;④机化性肺炎,病变胸膜下和支气管血管束分布,可有实变、结节及反晕征。
本例病变以两肺下叶为主,非结核好发部位,通常会想到感染性病变,右肺下叶病灶高密度结节感、反晕征,较为符合继发性肺结核(间质浸润为主),但双肺散落的相对柔和淡薄小片影给诊断带来困惑。
POETRY PROSE
06
大咖说间质结核

1
黄勇老师说间质结核
1、间质性肺结核是结核的一种特殊的影像学表现方式,为继发性肺结核。其临床上具有起病隐匿,临床症状轻微或不典型,痰结核杆菌图片常为阴性,而影像学表现与传统的继发性肺结核不一致,诊断上存在一定困难。但对间质性肺结核的概念,目前尚有争议。
2、但影像学具有一定的特征性,病变一般沿支气管树分布或小叶分布,一般上肺多于下肺。部分病例呈双肺“雪花样”分布,较有特点。部分病例可表现为“反晕征”。除以上表现外,间质性肺结核还可以表现为:1 肺小叶间质内异常,表现为小叶间质内网状影,呈网结节样改变,与正常肺分界较清晰是其特点。2 支气管血管束增粗和小叶间隔增厚。3 磨玻璃影。

2
南边老师说间质结核
 
 1、年轻人多见,一般提示免疫力可能有下降。
 2、好发部位与其它结核类似,上叶及下叶背段为主。 3、烟花征,反晕征,环呈结节状,可以伴随空洞,树芽征,结节灶,胸水。(反晕征:一般周围实性环形高密度影,中央呈低密度;一般环超过圆的3/4,结核的环主要是小叶核心结节组成,类似于多发树芽征聚集,边缘结节感。中央的晕:可以是腺泡结节,树芽征,细网状,磨玻璃影,很少正常,主要成分是小叶内间质增厚、小叶核心结节、肺泡内病变。)其实也体现了结核的多灶性、多态性特点。
 4、其实不一定完全表现为反晕征,还有比较密集的烟花,聚集成团,与反晕征同在。
 5、患者有时会夹杂有其他继发性结核灶,新旧不等。
POETRY PROSE
   
    参考资料:【南边讲堂】肺部影像基础知识讲座
-END-
编辑:邓文睿
审核:雷  凤   徐  晓



到顶部