【每日晨读】青少年前纵隔肿块+双肺结节之探案二



MEET SPRING
希望春天的风可以吹散你所有的不愉快




MEET SPRING

晨读资料





















遇见春天
精彩发言


一切∮随缘: 前纵隔偏右侧实性占位,向右肺挤压,右肺膨胀不全,右侧胸水,心包似乎也有胸水,病灶较大无增强,平扫密度欠均匀,内部似可见低密度坏死及高密度钙化影,年轻男性,考虑恶性,生殖细胞肿瘤(精原细胞瘤?恶性畸胎瘤?),鉴别神经母细胞瘤,肺母细胞瘤,PNET?
建议增强扫描,实验室肿瘤标志物检查,
PET~CT。
秦化君: 右前上纵隔软组织密度肿块,边缘部分清晰澎隆,与血管及心包间界线不清,密度较均匀。挤压相邻肺组织形成膨胀不良,侵及胸膜形成胸腔积液。双肺内见随机分布结节。考虑纵隔恶性占位(肺及胸膜转移),生殖细胞瘤,畸胎瘤,淋巴瘤。建议穿刺活检。
放射线 (王秀仙): 右侧前纵膈巨大肿块,与纵膈大血管分界不清并受压,右肺组织受压膨胀不全,密度不均,内可见高密度钙化及低密度坏死区,双肺多发结节状转移灶,右侧胸腔积液,年轻男性,考虑生殖细胞肿瘤,精原细胞瘤可能性大。
不吝慷慨: 小孩儿,首先考虑生殖类肿瘤,双肺胸膜转移,恶性程度非常高,首先考虑精原细胞瘤,鉴别内胚窦瘤,查hcg,AFP和ldh。
宇宙: 男性小孩,右前纵膈不规则肿块,与心脏及大血管分界不清,邻近肺组织受压,其内可见钙化及低密度坏死,两肺多发类圆形结节,右侧胸水,考虑精原细胞瘤伴两肺及胸膜转移,鉴别恶性畸胎瘤。
金豆 (刘权威): 病灶主体位于纵隔,密度不均,内可见点状钙化灶,邻近肺组织受限不张,两肺散在结节,右侧胸水,9岁,恶,生殖类,恶性畸胎瘤,鉴别精原。
放射小白: 男9岁,胸痛,定位右前纵隔占位,内部可见钙化灶,右肺局部实变,两肺散在结节灶,右侧胸腔少量积液,常规考虑生殖类肿瘤,精原细胞瘤伴两肺转移,请结合实验室检查。
空格: 9岁,胸痛10天,胸腔积液,肺内结节,纵膈占位,密度均匀,低于胸腺密度,肺压迫性不张,恶性没问题,小孩子拍死生殖细胞瘤,那个细胞类型,不好说, 绒癌可能大。
良孑: 右侧前纵膈巨大肿块,与纵膈大血管分界不清并受压,右肺组织受压膨胀不全,密度不均,内可见高密度钙化及低密度坏死区,坏死边界不清,双肺多发结节状转移灶,右侧胸腔积液,定性恶性,考虑生殖细胞肿瘤,精原细胞瘤或内脏窦瘤可能性大。
位移: 右侧前纵膈巨大肿块,内可见钙化及坏死区,两肺多发结节状转移灶,右侧胸腔积液,儿童,男,考虑生殖细胞肿瘤,精原细胞瘤可能性大,其次恶性畸胎瘤,外周性原始神经外胚层肿瘤。
蔡磊: 男孩,9岁,胸痛10天就诊。前纵隔偏右侧巨大肿块,内见点状钙化,与周围大血管结构不清,推移挤压。右肺受压,节段性不张。增强后双肺内多发类圆形实性结节。恶性病变肺内转移,生殖可能。


病理结果


生殖源性肿瘤(卵黄囊瘤+畸胎瘤)

病例总结及分析


一.临床特点:
   青少年男性,因胸痛入院;
二.影像表现:
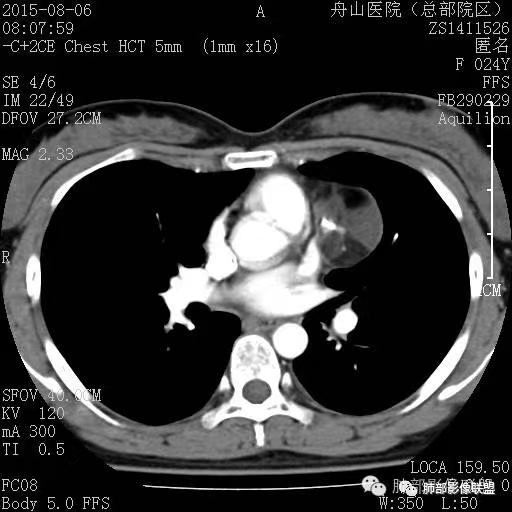
  右前纵隔巨大软组织肿块,主要偏向右侧生长,边界不清,密度不均匀,内见大片状低密度坏死区及散在钙化灶,未见骨骼影及脂肪密度影。、双肺随机分布的转移瘤结节,右肺肺不张及右侧胸腔积液,提示恶性肿瘤病变伴双肺及胸膜转移。
三.病例分析:
    前纵隔肿块常见的良性病变为畸胎瘤,恶性肿瘤有侵袭性胸腺瘤或胸腺癌、淋巴瘤、恶性生殖源性肿瘤、Askin(Pnet)瘤等。患儿9岁,30岁以下的胸腺肿瘤非常罕见。而且从病变密度不均,缺乏多结节堆积感,可见钙化等淋巴瘤的可能性不大。虽然这个病例缺乏增强及相关实验室检查,小儿前纵隔恶性肿瘤中恶性生殖细胞肿瘤相对常见,须鉴别的是Askin(Pnet)瘤,可结合有关HCG,AFP和LDH实验室检查帮助甄别。
四.纵隔生殖细胞肿瘤拓展
    生殖细胞肿瘤多起源于多能性原始生殖细胞,纵隔生殖细胞肿瘤是性腺外生殖细胞肿瘤最常见的部位,好发于青年男性。生殖细胞肿瘤有精原细胞瘤、畸胎瘤、内胚窦瘤(卵黄囊瘤)绒毛膜癌、胚胎癌、及混合生殖细胞肿瘤,其中除成熟的畸胎瘤为良性,余生殖细胞肿瘤均为恶性肿瘤。
精原细胞瘤
 临床缺乏特异性,几乎见于男性,一般血清LDH升高,部分β-HCG轻度升高,精原细胞瘤不产生AFP,血AFP升高可考虑非精原细胞瘤或混合生殖细胞肿瘤。影像表现一般肿块巨大,分叶状,边界不清,可浸润性生长,无钙化及脂肪,有纤维分隔,轻中度强化,易转移。


男性,32岁,精原细胞瘤
畸胎瘤
 前纵隔最常见的生殖细胞肿瘤,分为良性的成熟畸胎瘤和恶性的未成熟畸胎瘤;良性畸胎瘤肿瘤标志物一般为阴性,恶性畸胎瘤特别含有胚胎成份的畸胎瘤部分肿瘤标志物可以阳性,如何AFP、HCG、LDH或CA199。成熟畸胎瘤影像上一般为多房囊性肿瘤,大部分含有脂肪密度和钙化,可发生破裂;而不成熟畸胎瘤肿块边界不清楚,包膜不完整,对周围结构有压迫或侵犯,可以钙化及脂肪密度,还有不均质强化或见血管影均可提示未成熟畸胎瘤。

                女性,24y,成熟畸胎瘤
                   
         女性,16Y,囊性成熟畸胎瘤
内胚窦瘤(卵黄囊瘤)
   是高度恶性生殖细胞肿瘤,卵黄囊细胞是唯一产生AFP的细胞,所以AFP升高是卵黄囊瘤或含有卵黄囊成份的生殖细胞肿瘤最重要的特征,其中卵黄囊瘤一般大于1000ug/L;影像表现肿块体积往往较大,易坏死囊变,易侵犯周围结构及转移。


4、绒毛膜癌
  纵隔原发性绒毛癌病人几乎为男性,也是高度恶性生殖细胞肿瘤,血、尿β-HCG升高是绒毛膜癌的一个特征,男性乳房发育,影像表现呈分叶状巨大肿块,亦出血坏死,富血供病变,易侵犯血管,所以早期容易出血转移,最常累及的器官为肺。



          男性,12岁,绒癌伴双肺转移
5、胚胎癌
   是一种起源于胚胎期多功能造血干细胞的未分化癌,可单独或作为混合型纵隔生殖细胞肿瘤出血,与卵黄囊瘤并发在青少年中较为常见,以青少年男性多见,HCG明显升高,AFP升高,影像表现也是体积巨大,易坏死囊变及钙化,呈浸润性生长,易转移;
6、混合生殖细胞肿瘤
  是由两种或两种以上的生殖细胞肿瘤成分构成的肿瘤,恶性程度较高,临床无特异性,影像表现与具体混合成分有关,亦对周围结构侵犯及远处转移。
五.病例小结:
  年轻男性,临床大多表现胸痛为主,前纵隔偏一侧生长的巨大肿块,可见囊变、坏死,侵犯周围结构及血管,有远处转移,应想到恶性生殖细胞肿瘤,再结合AFP、HCG、LDH实验室检查进一步明确,如果AFP、HCG、LDH结果正常,诊断性穿刺活检明确病理是很有必要的。
END

编辑:蔡笑燕
审核:雷  凤  徐  晓



到顶部