【每日晨读】青少年前纵隔肿块+双肺结节之探案一!



每日
-HAPPY
DAY
每日精彩
晨读
肺部影像联盟

     一年之计在于春,一日之计在于晨,美好的一天从晨读开始!
病例资料















每日晨读
4月
群内讨论
刘权威:
纵隔多发结节,肺内多发结节   结节病
Yishion:
淋巴瘤(NK?T淋巴母?)?
刘丹(荆州):
纵隔多发增大淋巴结,双肺小结节,胃小弯淋巴结增大?考虑淋巴瘤?鉴别转移。
刘海玲:


结节边缘感觉有晕。前纵隔多发结节且融合,肺内散在实性小结节伴晕,20岁,一元化考虑淋巴瘤。
刘海玲:
淋巴细胞白血病,但是患者啥症状没有。
凝睦:
肺内及纵隔病变一元论考虑淋巴瘤。
钟学兰:
肺内淋巴道分布结节,纵隔多发淋巴结,考虑结节病,淋巴瘤
肺部联盟张延军:
前纵隔多发大小不等的结节,部分融合,双肺随机结节,伴晕征,年轻男性,一元论淋巴瘤?
月亮圆了!:
肺内结节,纵膈结节,腹腔结节。考虑淋巴瘤
丽:
青年,纵隔多发肿大淋巴结,有融合,双肺多发大小不等结节,伴腹腔肿大淋巴结,考虑淋巴增殖性病变,淋巴瘤可能大,鉴别结节病
穿越七海的风:
青年男性,前纵隔多发融合淋巴结,双肺大小不等结节影,周围晕征,伴腹腔内结节,支持淋巴瘤
王秀仙:
前纵膈胸腺区淋巴结肿大,呈簇状堆积,边缘清晰,双肺多发结节,边缘清晰,双侧肺门及腹腔未见明显肿大淋巴结,年轻男性,考虑淋巴瘤,鉴别结节病
周太狼:
青年人,纵隔多发肿大淋巴结,部分融合,双肺多发大小不等结节,伴腹腔肿大淋巴结,考虑淋巴瘤可能大,鉴别结节病
看图说话:
前纵膈淋巴结肿大,边缘清晰,双肺多发小结节,边缘清晰,肺门未见明显肿大淋巴结,考虑淋巴瘤,鉴别结节病。
於雄 九江市一医院影像:
青年男性,首选淋巴瘤
赵国千:
年轻男性,两肺见散在小结节,右肺小结节较大,前纵隔见团块状占位,感觉比较散,没有增强,考虑纵隔肿瘤伴肺内转移,排序淋巴瘤>生殖类肿瘤>胸腺癌>神经内分泌肿瘤。
良孑:
双肺多发结节,结节内支气管穿行,前纵隔多发结节样肿大淋巴结,并有融合趋势,血管脂肪间隙模糊,腹部图像不太清楚,似乎有皮革胃,年轻患者,考虑为淋巴瘤
毛勤香:
多发淋巴结肿大,边界显示稍模糊,两肺多发结节,较大结节边界稍模糊,一元论考虑淋巴瘤
李洁八期一组管理员,影像:
好难选,支持青年男性,首选淋巴瘤
流心明智:
男,19,两肺多发实性结节,沿支气管血管束、胸膜下分布,纵隔多发淋巴结肿大,腹腔也有。考虑淋巴道来源病变,未提供临床症状,结节病?鉴别淋巴瘤、转移瘤。
谢加平:
前纵隔多发淋巴结肿大及融合,包绕大血管前缘,双肺叶多发结节,最大者位于中轴间质(淋巴道来源),纵隔和肺同源,淋巴瘤首选!
doctor:
考虑结节病?或淋巴瘤?
张小林:
结节病>淋巴瘤,应该不是结核 更不支持转移瘤和自身免疫类病变。
邢瑞欣:
青年,双肺随机分布多发实性结节状高密度影,边界较清,边缘可见晕,纵隔多发肿大淋巴结,考虑淋巴瘤,鉴别结节病,结核,隐球
pharmacist:
淋巴瘤(霍奇金淋巴瘤)影像不太符合结节病
空格:
19岁,男性。临床无症状?影像特点:1  两肺多发细小结节,若在平时司空见惯,不会多想,从分布看好像没有特别明显的规律可循,最大结节垂直血管分布,应该非淋巴来源,结节病不太考虑 ,淋巴瘤印象中也少见满肺散在分布。肿瘤血行转移或炎性血行播撒有可能。2 胸腺区多个小结节聚集,形态不规则,边缘似乎有渗出,没有强化信息少了一半,右侧内乳淋巴结肿大?还是纵膈结节的一部分,即便是纵膈的一部分,此处凸于胸腺轮廓外,就有恶性可能,转移较快,首先会想到 胸腺神经内分泌肿瘤,胸腺类癌?生殖细胞瘤(卵黄囊瘤、绒癌?),转移早的都过来排队.
病例结果

病例总结
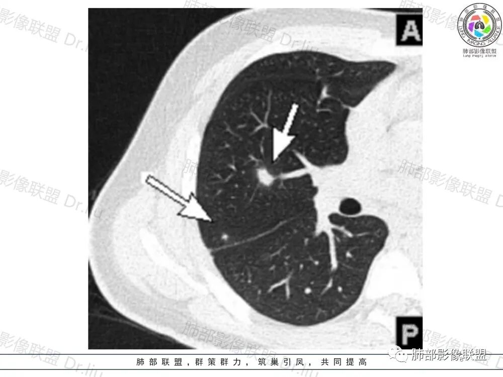
1、临床特点:19岁男性,发现双肺结节,实验室检查无特殊。
2、影像特点:两肺可见多发大小不一的结节影,部分结节周围可见晕征,部分结节沿着支气管血管束分布,部分位于胸膜下。前纵隔内可见多发结节样软组织密度影,边界不清,部分病灶融合倾向,其脂肪间隙显示模糊。由于腹腔层面少,未能确定腹腔内有无增大淋巴结,需要连续层面追踪观察。
3、病例小结:年轻男性+前纵隔多发结节样软组织影+双肺多发结节,需要警惕淋巴瘤,至于多数老师提到鉴别结节病,结节病以双肺门对称性淋巴结肿大为典型表现,其肺内表现多为沿肺门旁支气管血管周围间质分布的多发结节,结节病可表现纵隔内多发淋巴结肿大、且淋巴结密实,孤立少融合,该病例中均缺乏以上特点,另外结节病好发中青年女性,此病例年龄亦不符合。
参考文献:
[1]孙慧男,韩志海.肺结节病的影像学表现[J].中国临床医生杂志,2017,45(10):6-7.DOI:10.3969/j.issn.2095-8552.2017.10.003.
[1]刘家莉,唐小葵.肺结节病13例临床分析及文献综述[J].黑龙江医学,2016,40(2):160-163.DOI:10.3969/j.issn.1004-5775.2016.02.035.
病例欣赏

 病例来源于肺部影像联盟公众号,链接如下:
黄勇老师倾心大作——胸腺肿瘤精准影像诊断(下)
    



图文编辑:雷  凤
图文审核:徐  晓
到顶部