【每日晨读】糖尿病+多发结节、树芽影,你如何诊断?

















群内讨论
不吝慷慨:
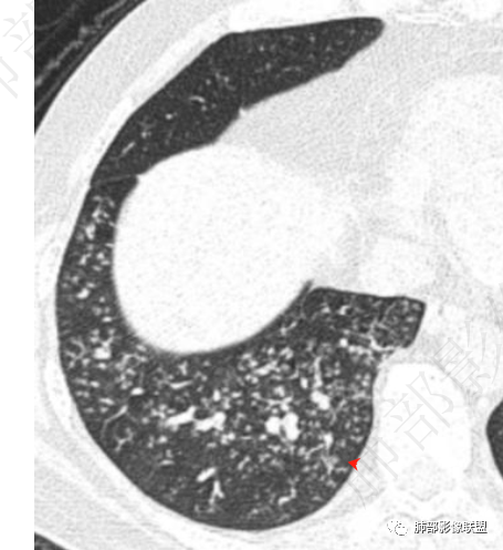
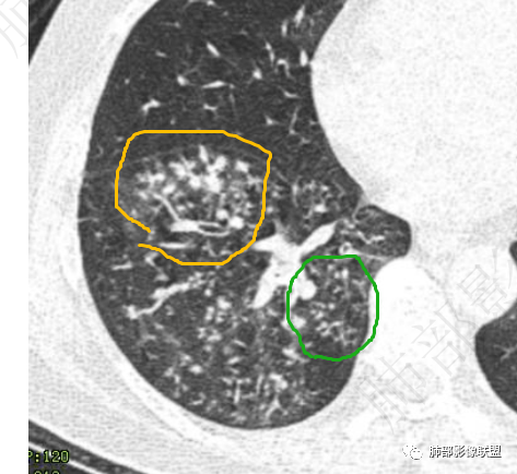
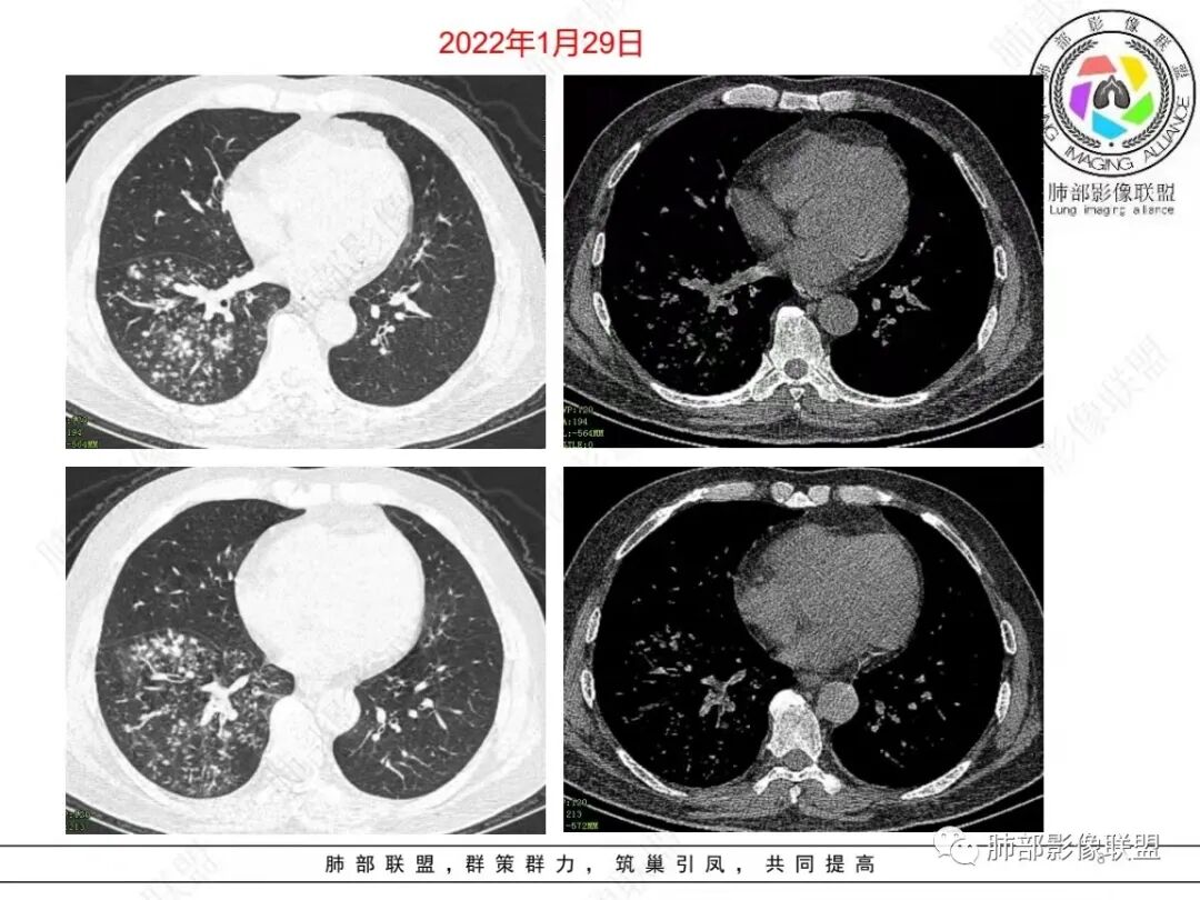
老年男性,糖尿病人,右下肺弥漫性小叶核心结节,治疗10天后明显吸收,血象高,中性粒细胞计数高,pct略高,首先考虑金葡菌感染,鉴别G-肠杆菌
秦化君:
右肺下叶多发腺泡结节影,边缘部分模糊,伴树芽征,支气管壁增厚,10天复查腺泡结节有吸收变淡,病变内出现多发囊状影,考虑感染性病变,金葡?真菌?
放射线:
右肺下叶多发腺泡结节影及树芽征,抗炎治疗后吸收好转,白细胞及中性明显增高,有糖尿病病史,首先考虑气道来源感染性病变,金葡菌?吸入?
丁云:
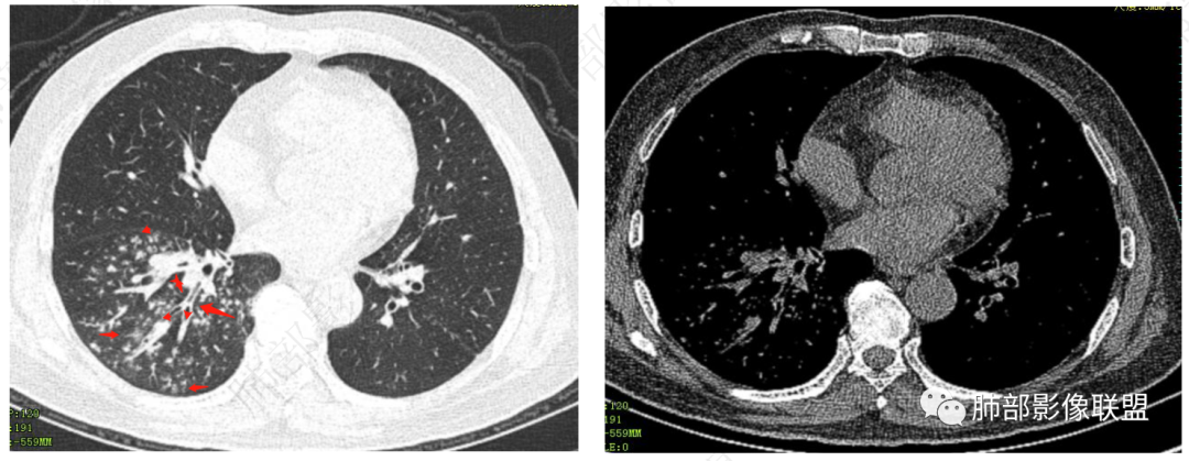
中年男性,咳嗽咳黄脓痰一周,有糖尿病,肾病病史,长期使用激素血象白细胞自然会升高,但CRP明显升高。降钙素原不高,肺泡灌洗液阴性。右下肺沿支气管分布腺泡结节影,少于树芽征,小实变影,支气管壁轻度增厚,考虑感染性疾病,从病灶形态来看气道来源,复查病灶有小空洞形成,病灶明显吸收。考虑气道金葡菌肺炎,鉴别奴卡菌
位移:
中老年 男性 白细胞高,基础病多, 右肺下叶多发小结节 小斑片影,边缘模糊,伴树芽征,支气管壁略增厚,短期治疗后复查病灶有所吸收,可见小囊状透光区形成,考虑气道来源化脓性感染,金葡 可能
若晗:
糖尿病史及长期服用激素史,右下肺结节伴小斑片影,其他肺叶没有,不是TB的好发位,但临床上虽然白细胞高,不排除激素的影响,感染是肯定的,考虑金葡.鉴别NTM
宇宙:
中老年男性,糖尿病史,免疫抑制,白细胞及C反应蛋白明显升高,右肺下叶多发腺泡结节、树芽,边缘模糊,支气管管壁增厚,治疗10日复查吸收好转,可见小空洞,考虑金葡,鉴别曲霉
我是冰墩墩!:
从临床资料看,应该是感染性病变,该基础病糖尿病:从以下4种中选择,金,毛,结,克。结核的相关检查阴性,结核可以排除,毛霉没反晕,也可以排在后面,原发性肺克好发于中上肺,有叶间裂下坠的表现,也可以排后,所以剩下个金葡,10天的时间出现气囊,金葡的可能性大。
空格:
57岁男性,糖尿病、肾病基础。白细胞升高、以中性升高为主,黄浓痰提示细菌感染、球菌可能大。结核几次相关检查都阴性,可能性不大。几次血培养无细菌生长,结合影像,病灶不是血播而是气道播散。影像:沿气道播散,树芽明显,(树芽有没有特征?部分枝细芽大?),部分支气管弥漫增厚,治疗10后复查,临床没有怀疑真菌类,结核阴性,所以抗结核抗真菌的可能小,只能是抗炎治疗10天后复查,树芽缩小、部分消散,支气管壁变薄,提示抗菌有效,但部分出现了气囊空洞。细菌、空洞、黄浓痰,加起来,首先考虑金葡菌支气管播撒应该顺理成章。
洪桥爱:
CRP提示炎症活动,虽然特异性不强,不能鉴别细菌、病毒、非典型病原体,但是非常灵敏,CRP上百的,提示高炎症状态,常见急性病毒感染、非典型病原体、细菌感染,当然非感染性疾病也会出现CRP的升高,要结合临床;PCT相比较CRP,相对特异,主要见于细菌感染,尤其是G-菌,但是缺点是敏感性较低,局部的感染,特别是局部的G+菌感染,PCT可正常或仅轻度升高,不过PCT的特异性,也是相对的,在急性应急状态、严重休克,或者肾衰竭患者,PCT也可以升高,还有甲状旁腺肿瘤,可以出现长期持续的PCT升高。
何老师这个患者,CRP这么高,白细胞这么高(激素相关?感染?),但是PCT基本正常,如果是G-菌感染,PCT的轻微升高,与患者的高炎症状态不匹配,所以临床考虑G+感染,给的窄谱抗球菌治疗。

结果




南大解析
阚:这种金葡和感染小支气管的其它炎症,怎么鉴别呢?比如NTM。
南边:急性、慢性,看树芽征的边缘。NTM也好,结核也好,他们属于慢性病变、反复发作,毒力不那么强,所以他相对来说发展速度非常慢,病变以增殖为主,因此他的边缘比较清楚,也可以引起支气管增厚。但是金葡菌是急性感染,所以他的边界是非常模糊的,外围磨玻璃非常多。
病变区支气管壁弥漫增厚,远端树芽征,周围GGO——渗出



南边:
我大概说一下这类小叶性病变与大片病灶的一些关系。
小叶性肺炎——病原菌气道进来,进来之后应该停留在哪里?大气道壁上。
一般大气道壁是停留不了的,纤毛、粘液,支气管安保措施很有效。只有一些特殊的病原菌可以,比如支原体可以,它有特殊装置,勾住纤毛,停留在大气道,可以向外面间质蔓延。
曲霉菌可以,它一般都是在气道壁破坏后,或者直接过敏反应在大气道内发生病变
1.常规的细菌、病毒等——小气道、肺泡。
2.结核、NTM——容易侵犯小气道,多表现小气道为主,或到远端呼吸部,引起烟花。
3.常规的病毒:小气道、呼吸部,容易侵犯间质,部分嗜血管性,引起间质的改变为主。
4.金葡——小气道、肺泡,早期小叶性肺炎:树芽征、腺泡结节等
当然也会引起气道壁的损伤

南边:
问题来了
小气道树芽征、周围渗出——GGO
为啥我们看到的金葡菌大部分都是大片的?我们需要有一个概念。
微生物——微。它是靠团体作业的。不是单干的。一小群金葡菌引起一个小树芽征,这里就很多小团队。


黄色、绿色啥差异?大小?什么意思?
就是病灶因为炎性反应,渗出、增生,会融合。
小树芽——增大,与旁边的病灶融合,形成大病灶。再融合——再增大。金葡菌发展速度快,很快就是一个大病灶,呈叶段性改变。
我们大部分都是在发病一两天之后看病,办手续,住院,做检查,这时候,金葡菌肺炎已经发展壮大了——大叶性改变了或者说大片了
结核就慢
也是病灶融合,一般我们看到大片的,往往都是经历过一段时间的,或者免疫力低下,直接大片形成的。
我目前对感染的观点:来源。主要侵犯大气道、小气道、间质、肺泡。然后就是如何融合的问题。
肺部感染大部分都是主要侵犯区域、如何融合方式的问题
个人认为感染:1、急性、慢性、急慢性混合2、主要分布特点3、如何融合-----对病灶发展趋势的预判
个人以为以影像的特点判断一些感染。能够缩小范围,排除一些都好,但是主要在临床及实验室检查。我一直反思我们影像在感染到底起一个啥作用?是否能帮到临床?到底多大作用?我们该如何去与临床沟通,发挥作用?这些都是需要进一步探索的。临床手段很多,有一些病例我们无须区判断病原菌。
有一些需要帮助临床去鉴别临床查到的病原菌是否符合?病变走向的预判,一些特殊感染,我觉得影像确实很大的价值。许多时候常规细菌感染,难以认定、也没必要认定病原菌,临床不是需要这个。

常见病原体致病特点及表现





编辑:李  剑
审核:雷  凤  徐  晓



到顶部