【每日晨读】 酷似淋巴瘤的纵隔肿物


每日晨读

























  群内讨论
doctor:
考虑淋巴瘤?鉴别胸腺瘤
361度:
中年男性,查体见前纵隔占位,多结节融合,左侧肋骨破坏,血管漂浮,平扫密度均匀,轻度强化,化验乳酸脱氢酶升高,考虑淋巴瘤。
日月@中心:
淋巴瘤?
二妹柠檬??????:
考虑淋巴瘤
张小林:
晨读考虑淋巴瘤
宇宙:
前纵膈肿块,多结节融合,血管包埋,纵膈淋巴结增大,胸椎骨质破坏,考虑淋巴瘤,鉴别胸腺癌
放射线:
前纵膈肿块,边缘可见分叶,包埋血管,胸椎及肋骨破坏,增强均匀轻度强化,考虑淋巴瘤,鉴别类癌。
由零开始:
病变位于前纵隔,有肿大淋巴结,骨质破坏,考虑胸腺类癌。
火焱:
考虑恶性,胸腺类癌可能大
春秋.:
中老年男性,前纵隔肿物,有分叶,边缘毛糙,强化中度,肋骨胸椎貌似有破坏,考虑恶性,胸腺癌?
光明:
淋巴瘤?类癌?
敬畏:
淋巴瘤
烟雨红尘,谁湿了谁的思念?:
淋巴瘤
金豆:
前纵隔占位,软趴趴的感觉,淋巴瘤,鉴别胸腺囊肿。
晕晕菜:
考虑淋巴瘤可能性大。
一切∮随缘:
前纵隔胸腺瘤,鉴别淋巴瘤
大雄:
有骨转移的话,需要考虑胸腺癌
必有路:
不典型类癌跟B1型胸腺瘤鉴别
临川江水:
中老年男性,前纵隔占位,有多结节融合征象,有骨质破坏,中度强化,首先考虑淋巴瘤,鉴别恶性胸腺瘤
杨长德:
淋巴瘤,胸腺癌
琅琊:
胸腺癌?
若晗:
胸腺占位,恶性先,胸腺癌先鉴别淋巴瘤
藏客:
考虑淋巴瘤
张建新:
支持胸腺癌,骨转移。
位移:
胸腺癌鉴别淋巴瘤
黄精燕:
考虑淋巴瘤
良孑:
前纵隔肿物,有血管飘浮,支持淋巴瘤
耿??:
支持淋巴瘤,鉴别类癌
未 来:
胸腺癌,鉴别淋巴瘤
放射小白:
男性55岁,颈根部、前纵隔、纵隔及右侧肺门见结节灶,左侧胸膜局部增厚,肋骨及胸椎骨质破坏,增强轻中度强化,结合LDH升高,首先考虑淋巴瘤 ,鉴别胸腺瘤及神经内分泌肿瘤。
晓锁:
中年男性,体检发现,CEA稍高,LDH升高。影像:前纵隔软组织占位,部分融合,血管漂浮,增强轻度均匀强化,胸椎及肋骨骨质破坏,考虑恶性病变,淋巴瘤,鉴别胸腺癌。
街头诗人:
淋巴瘤首先考虑,骨质结构有改变,恶性首先考虑,纵膈恶性肿瘤不好鉴别,有的时候也就下到恶性!
周宇元-九江学院附属医院影像科:
纵隔多发结节,肺内结节,内乳淋巴结肿大,骨质破坏,考虑恶性肿瘤并转移,小细胞转移?胸腺癌?淋巴瘤?
孙晓峰:
首先考虑淋巴瘤
加勒比海蓝:
前纵隔肿物,增强中度强化,无坏死,纵隔另有肿大淋巴结,首先考虑淋巴结瘤
侃八条:
考虑淋巴瘤先
期:
前上纵隔占位,密度均匀,均匀强化,血管包埋,围而不侵,纵隔肿大淋巴结,胸椎肋骨溶骨性骨质破坏,考虑淋巴瘤,鉴别胸腺瘤
lmg:
考虑淋巴瘤。
张世晓:
支持淋巴瘤
peek_knight:
倾向恶性肿瘤,胸腺癌可能,鉴别淋巴瘤。
                                       病理结果
                        
病例总结:
1、临床特点:本例男性55岁,无明显内分泌症状。白细胞、中性粒细胞正常,超敏CRP升高,癌胚抗原轻度升高。
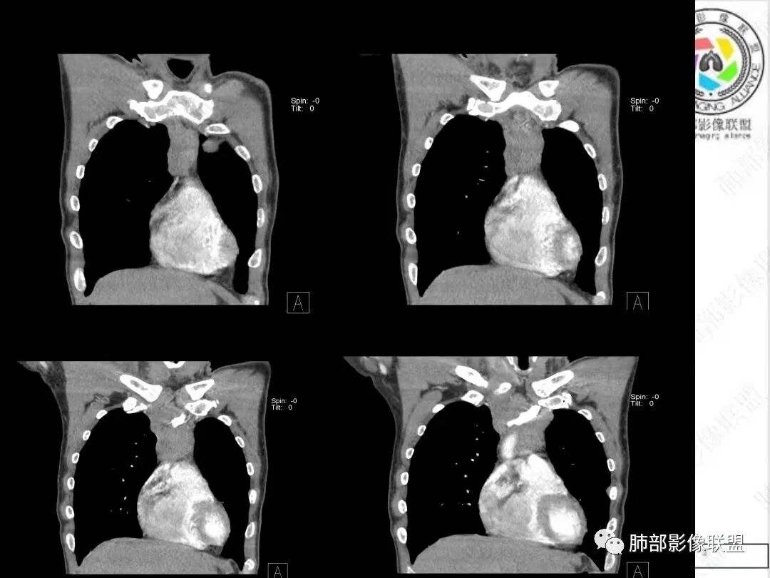
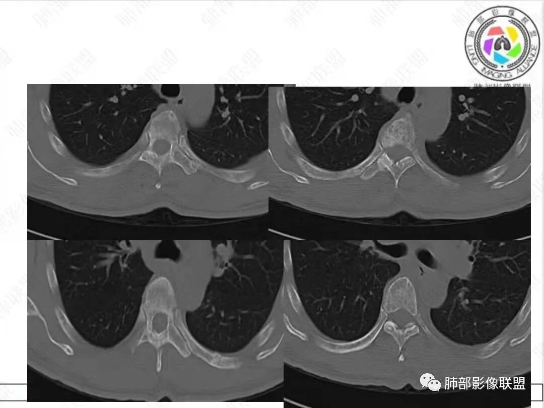
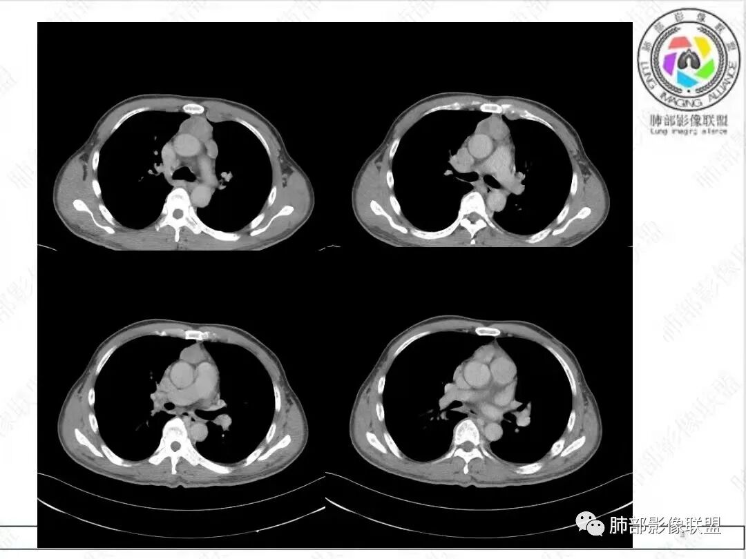
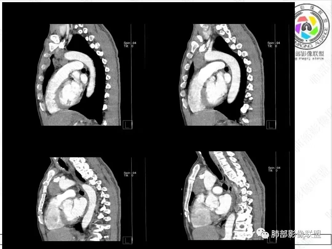
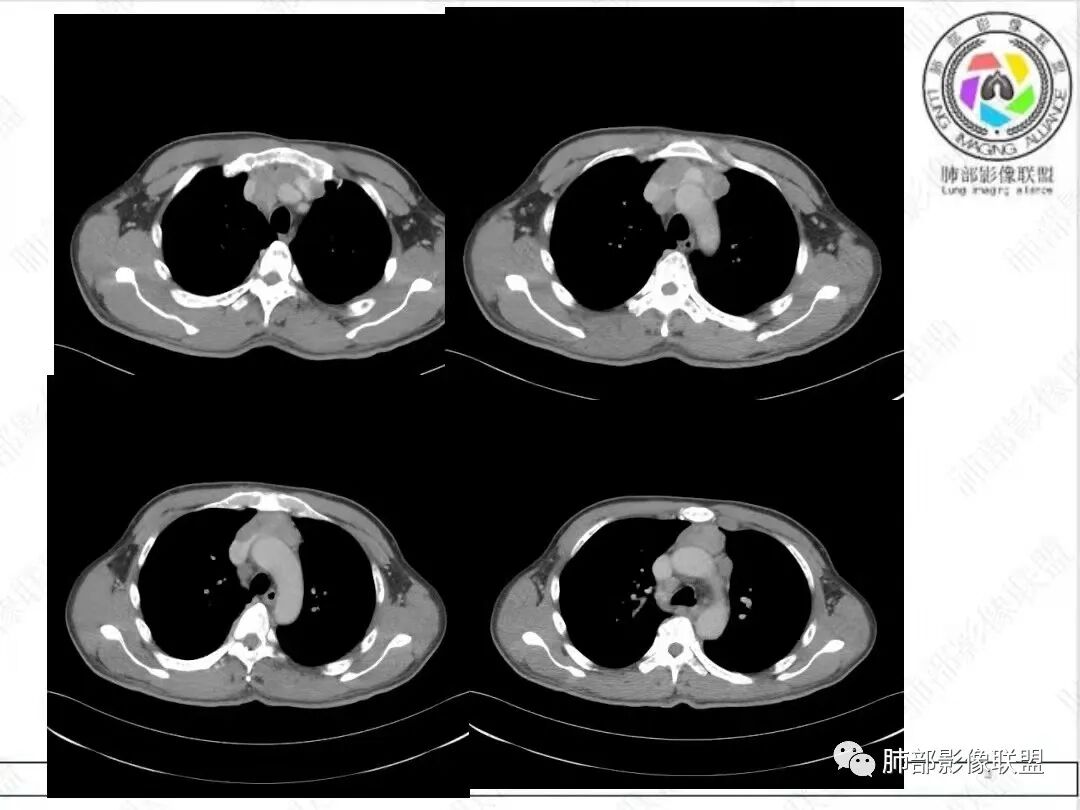
2、影像特点:胸部CT:平扫,前纵隔肿物,基本居中,与周围结构局部分界不清。增强后显示轻中度强化。肿块沿血管间隙侵袭性生长,左无名静脉受压明显变形受侵。纵隔、右肺门多处大小不等淋巴结,左侧内乳淋巴结稍增大。右侧瘤肺交界面光滑,左侧凹陷,肺组织未见明显受侵。右肺中下叶可疑小结节。胸椎及肋骨骨质增生性破坏。肋骨骨折。
病理结果:胸腺不典型类癌。
     
3、病例小结:  病人以胸痛就诊,无明显内分泌症状;前纵隔该部位肿瘤,胸腺瘤常见,乳酸脱氢酶偏高,55岁的年龄也较符合胸腺瘤,但胸腺瘤较少侵犯甚至包绕大血管生长、少有淋巴结肿大。
  很多老师提到前纵隔占位+血管肿块内漂浮+内乳淋巴结增大+轻中度强化=淋巴瘤,淋巴瘤确有上述特点,但本例血管漂浮不明确,病灶强化不均匀,胸椎及肋骨可疑增生性转移,应想到胸腺癌或不典型类癌的可能性。
                                       
                                                  知识拓展
    胸腺神经内分泌肿瘤少见,占胸腺上皮性肿瘤的2%~5%。在2021年5月出版的《WHO胸部肿瘤分类(第5版)》分类中,胸腺神经内分泌肿瘤分为两大类:高分化神经内分泌肿瘤,包括典型类癌和不典型类癌;低分化神经内分泌肿瘤包扩大细胞神经内分泌癌和小细胞癌。
  大多数胸腺神经内分泌肿瘤为不典型类癌(黄勇教授曾经强调过:这一点必须知道,会有助于诊断)。胸腺非典型类癌(thymus atypical carcinoid,TAC)通常表现为前纵隔肿物,可伴库欣综合征。病理学诊断为确诊TAC的金标准。TAC具有神经内分泌肿瘤的组织学表现,如实性细胞巢、点彩状、玫瑰样腺体及中心坏死的球形细胞,有时还可见钙化灶。世界卫生组织(WHO)胸腺神经内分泌肿瘤分类(第4版)将TAC定义
为:<2 个分裂象/2 mm2
,伴有坏死;或 2~10 个分裂象/2 mm2

伴有或不伴有坏死[2]
。免疫组织化学示TAC中神经内分泌标志物,如 Cga、Syn、NSE 为阳性。此外,ACTH、CD56、Ki-67 和
TTF-1也为阳性。肿瘤分期、复发和分裂象计数是独立的预后影响因素[1]
。有研究报道,伴有异位ACTH分泌综合征的TAC患者5
年生存率约为20%。TAC基本的治疗方案为手术R0切除,术
后放疗可降低肿瘤复发率,化疗的临床疗效亟需进一步研
究[1-2]
。同时,应开展更多研究来明确TAC的生物学特点,从
而加强对TAC患者的综合治疗。
  胸腺类癌好发于40~60岁男性,男女比例约为3:1。胸腺类癌侵袭性较胸腺癌低,属于低至中等程度恶性肿瘤。但是约80%侵犯邻近组织结构,20%~40%发生胸内淋巴结或远处转移,转移部位主要包括肺脏、骨、肝脏、脑等,一般表现为椎体成骨性转移。胸腺类癌影像特征:呈现纵隔偏侧性的生长,形态不规则,肿块体积通常较大,内见片状坏死区,增强扫描轻中度不均匀渐进性强化。肿瘤内部可见细丝状明显强化小血管影,推测此征象可能在胸腺类癌的诊断中有提示作用。肿瘤边界常不清晰,沿血管间隙侵袭性生长,易侵犯邻近纵隔大血管、心包、气管、食管等结构。钙化少见。
    鉴别诊断:包括发生纵隔的常见肿瘤性病变:胸腺瘤,胸腺癌,淋巴瘤等。
1、胸腺瘤 前纵隔最常见的肿瘤。胸腺瘤CT上表现为类圆形或分叶状软组织肿块,密度不均匀,可见囊变、坏死,包膜常完整,边界清,与周围组织结构分界清晰。侵袭性胸腺瘤常包膜不完整,沿纵隔间 隙呈浸润性生长,常边界不清,与邻近结构脂肪间隙消失,但很少发生淋巴结转移,可资鉴别。
2、胸腺癌好发于中年男性,CT上表现与胸腺类癌相似,表现为前纵隔不规则软组织肿块,密度不 均匀,常见囊变、坏死,边界不清,可侵犯邻近大血管,易发生淋巴结、肺内或肺外转移,但胸腺癌常可见斑点状、砂粒样钙化,确诊有赖于病理学检查。
3、淋巴瘤 好发于青年或50岁以后的中老年,中心向上、向下或同时向上向下生长,形态不规则,分叶状,密度多不均匀,可见低密度坏死、囊变灶,坏死、囊变区边界清晰,钙化罕见,增强扫描呈轻中度强化。肿块周围常见大 小不等的淋巴结与肿块融合或孤立散在,还可见肺门、腋窝或颈部淋巴结肿大。病灶累及邻近脂肪间隙,包绕大血管生长,但一般不引起血运障碍。
参考资料:《纵隔胸腺瘤和淋巴瘤的影像特征及鉴别诊断》,《实用放射学杂志》2006年6月第22卷第6期。《胸腺类癌的CT表现并文献复习》,《中国肿瘤临床》2011年第38卷第23期。《胸腺原发神经内分泌肿瘤的CT诊断与鉴别诊断》,《医学影像学杂志》2021年第31卷第41期,《WHO胸部肿瘤分类(第5版)》2021年5月。中国肿瘤临床2018年第45卷第1期 Chin J Clin Oncol 2018. Vol. 45. No. 1
部分资料来源于:肺部影像联盟公众号-黄勇教授倾心之作
图文编辑:王  鑫
图文审核:雷  凤  徐  晓



到顶部