【每日晨读】 如此典型的支气管结核


病例资料





















































微信群发言
凯、KAI:
支气管内膜结核?
一切∮随缘:
考虑结核或NTM,鉴别奴卡菌,GPA
谢加平:
老年女性,Hiv阳性,淋巴细胞数低,两肺叶支气管束增粗,壁厚,右肺上叶前段外周分布多形态病实变影,见小树Y,边缘清(气道来源),有融合小斑片,沿支气管血管束边缘分布,累及邻近胸膜增厚,纵隔及右肺门多发淋巴结肿大及融合,部分钙化,方向肺慢性感染疾病,马尓尼菲蓝状菌与肺TB,前者可能性最大,支气管镜肺泡液灌洗,必要NGs。
衡妈:
右主支气管至右肺上叶前段支气管管壁内外广泛增厚狭窄,上叶前段支气管腔内堵塞,增强后强化偏弱,沿右肺上叶前段分布多发斑片状结节状影,部分楔形实变,周围可见树芽感。纵隔多发肿大淋巴结部分钙化。考虑肺结核,支气管结核继发淀粉样变性?
飞鹰行动:
老年人,右侧支气管壁增厚,狭窄,右肺上叶前段阻塞,增强病灶强化不明显,考虑感染性病变,结核,不排除合并支气管淀粉样变性。
宇宙:
右主支气管及上叶支气管管壁增厚,管腔狭窄,上叶支气管粘液栓,上叶阻塞性炎症伴部分支气管扩张,上叶另见多发结节及树芽,纵膈淋巴结略增大伴钙化,考虑结核,鉴别淀粉样变,GPA
金豆:
树丫有些大,胸膜下有栽赃感觉,猜恶,腺癌肺内转移。
冬瓜:
就怕合并腺癌
若晗:
右上肺病灶,右主气管及右上支气管狭窄,纵隔淋巴结肿大,强化明显,首先考虑TB。鉴别小
了:
右肺上叶实变,不张,枯树枝征,不均匀强化,小叶间隔增厚,结节感,腺泡结节,首先排除结核,其次考虑肿瘤
流心明智:
女,83,咳嗽、咳痰、气短、喘息2月。胸部CT:右肺上叶多发树芽、小斑片影,右总、右上叶支气管狭窄,纵隔淋巴结肿大、部分钙化。考虑:TB。鉴别TB并Ca。
期:
考虑结核 不排除合并支气管淀粉样变性
放射线:
右肺上叶多发斑片,结节影及实变影,沿支气管血管束分布,部分支气管壁增厚并扩张,右主支气管及上叶支气管、中间段支气管管壁弥漫性增厚狭窄,肺门纵隔淋巴结增大,邻近胸膜增厚,考虑结核?NTM?鉴别马尼
采莲:
老年女性,咳嗽憋喘2个月,痰为白色泡沫样痰,无血痰,血象及炎症标志物不高,右肺上叶支气管狭窄,周围有软组织密度影,周围有钙化,远端支气管狭窄,支气管壁增厚,远端有小树芽及结节影。病灶中度强化。气道狭窄性病变有支气管结核,曲霉菌病,气管淀粉样变性,复发性多软骨炎,腺样囊性癌等,血象不高,考虑气道淀粉样变?鉴别支气管结核,肺曲霉菌病。
小飞:
右肺上叶支气管壁增厚、狭窄,沿支气管树分布斑片、结节及树芽征,邻近胸膜增厚,轻度强化,考虑结核
放射小白:
老年女性,右侧支气管影像表现如上所述,右肺前叶支气管扩张伴周围斑片状影,CRP增高,血沉加快,综合考虑结核/NTM。
良孑:
右上肺多发斑片状实变,沿支气管血管束发布,可见树芽征,右上叶支气管狹窄并前段肺不张,纵隔内淋巴结肿大并融合,慢性病史,淋巴细胞↓,HlV阳性,首先考虑感染性病变,马尼>TB>NTM
暖爸爸:
结核,想说纤维素性纵膈炎
病  例  结  果




病例回顾分析
1. 老年女性,慢性病程,Hiv阳性,淋巴细胞数低,蛋白降低。
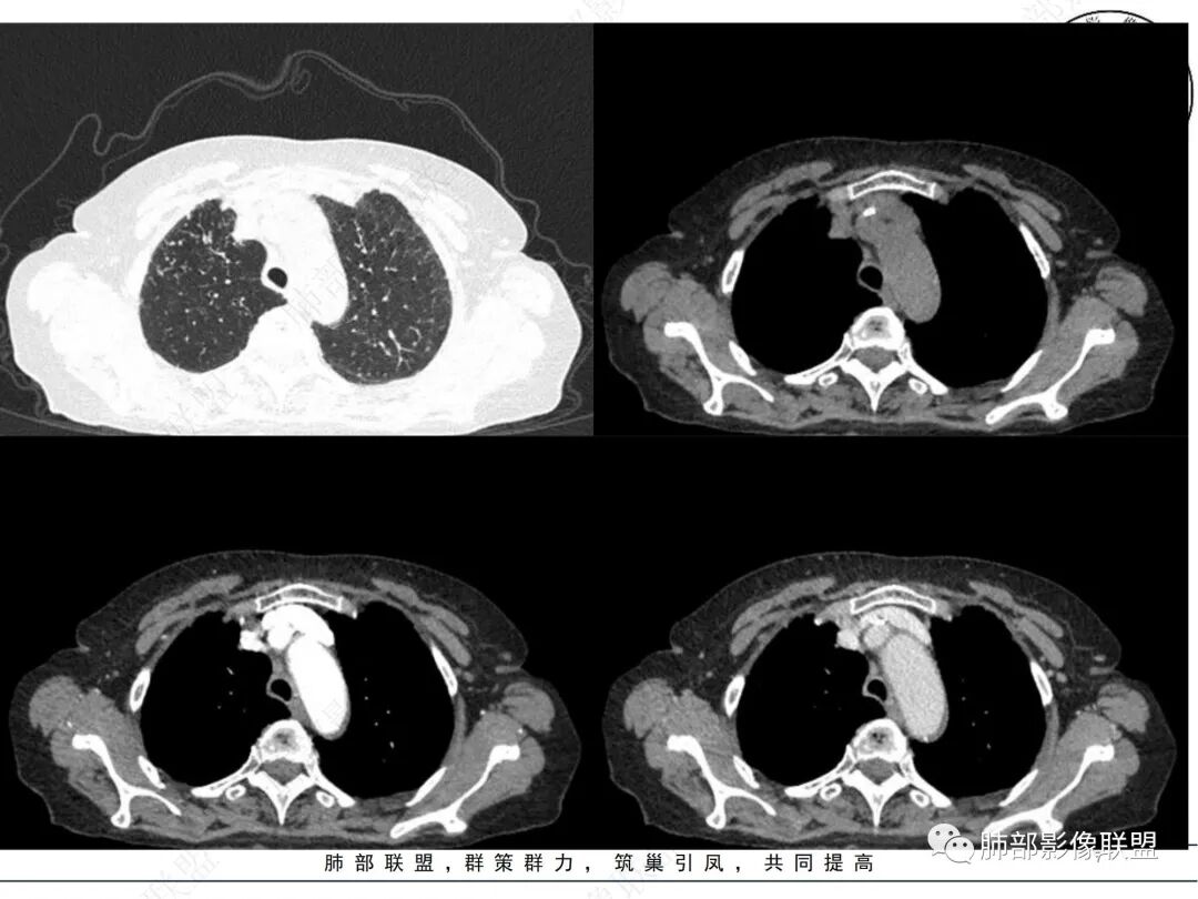
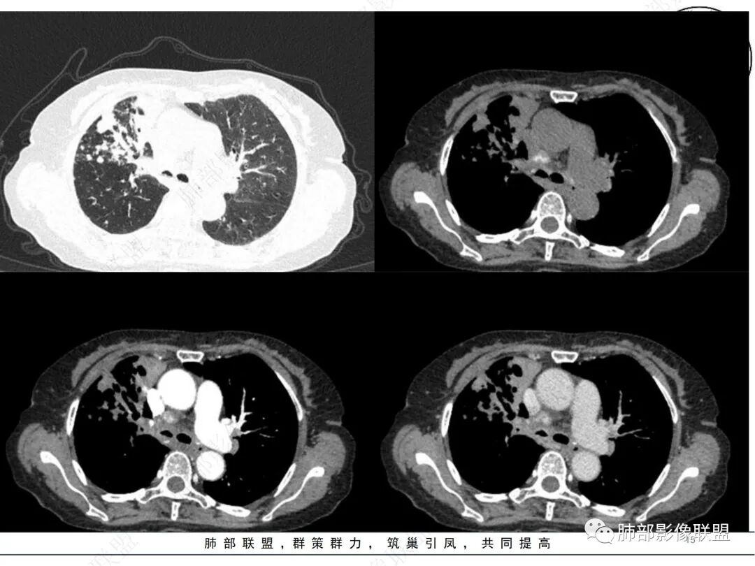
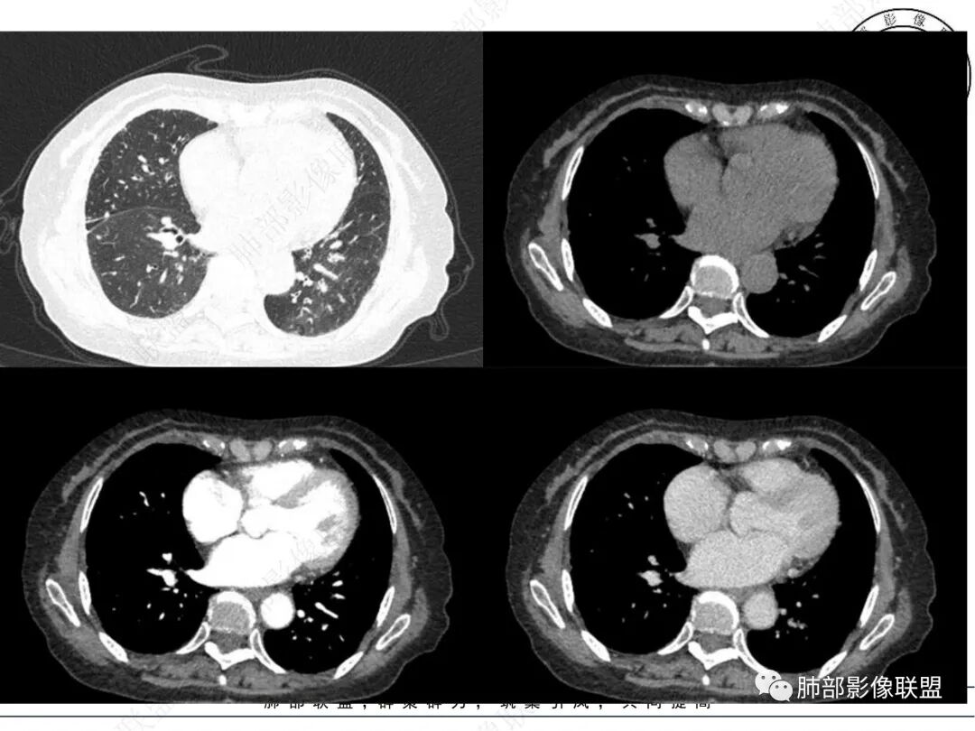
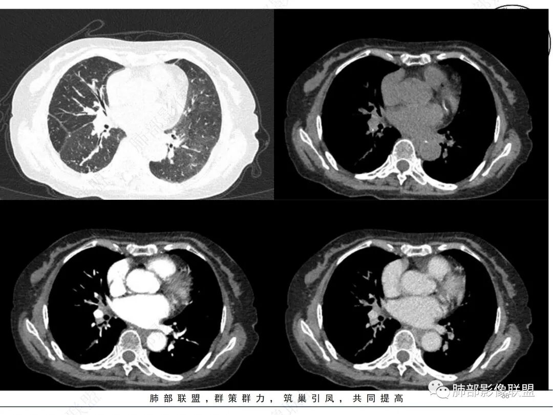
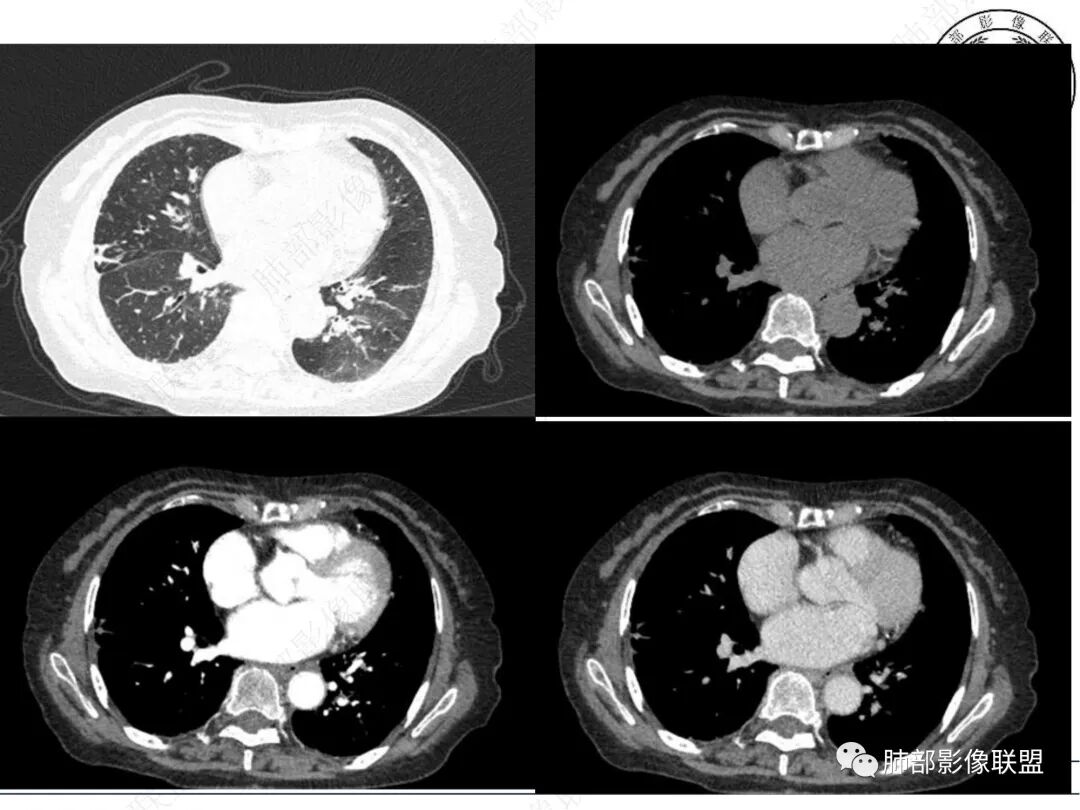
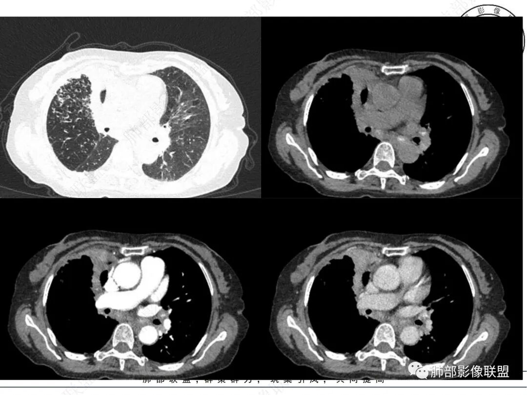
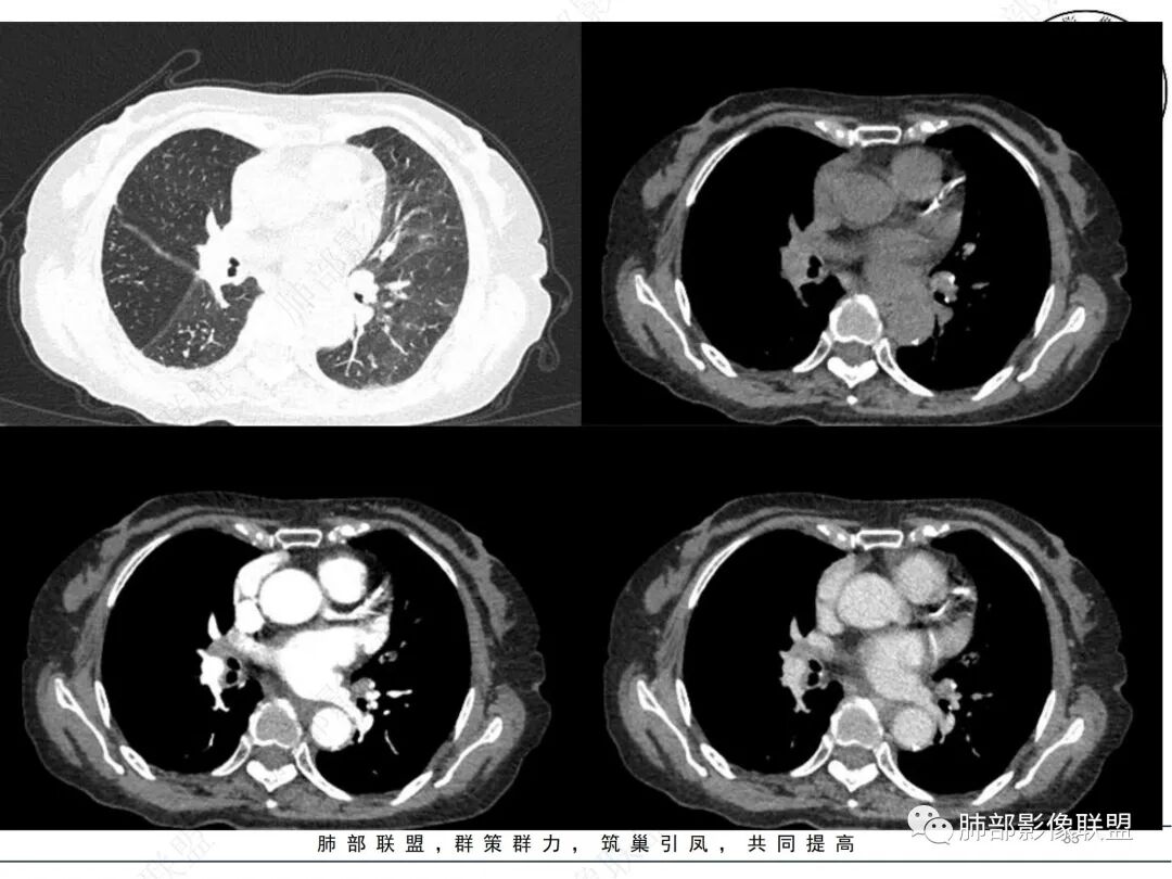
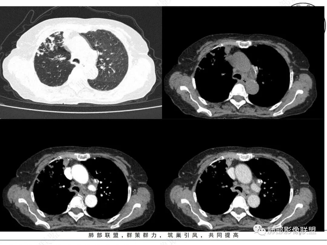
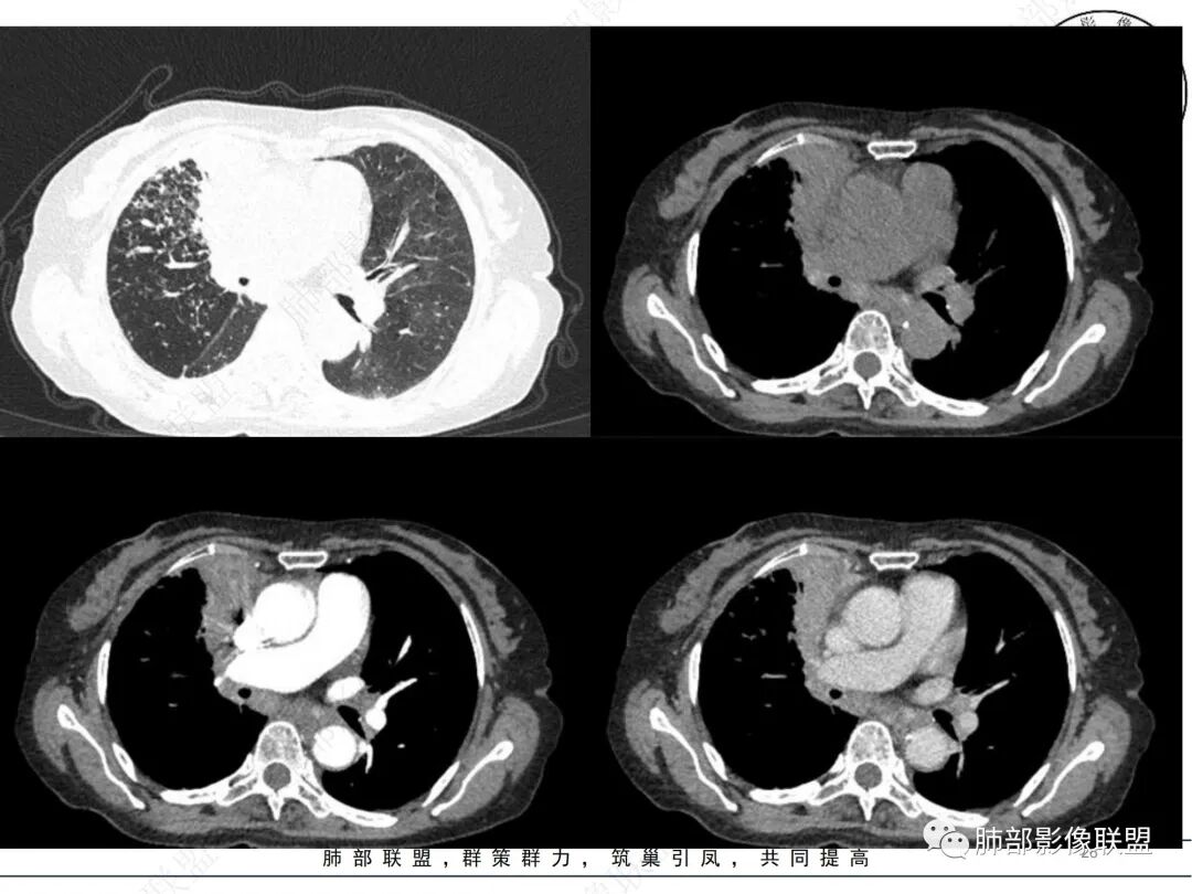
2. CT示右肺上叶多发斑片状实变影,结节影,集群散落,夹杂条索影,边界可分辨,有沿支气管血管束分布趋势,可见树芽征。病灶新旧不等、密度不均。右上叶支气管壁不均匀节段性增厚狹窄,斑点状钙化。纵隔旁部分肺组织含气不良,并显示轻度扩张支气管。病灶邻近胸膜增厚,轻度强化。
3.余双肺显示马赛克灌注、轻度气肿。双肺散在微小实行密度结节影,边界清楚。
4.纵隔多发增大淋巴结,部分融合、钙化。
成簇分布斑片影、结节影、树芽征,边界较清楚,新旧不等,节段性支气管壁增厚伴钙化,管腔狭窄,纵隔及肺门淋巴结增大钙化等都较符合“继发性肺结核、支气管内膜结核”诊断。
继发性肺结核尾随而来的淀粉样变性应当想到,但支气管肺组织淀粉样变性受累及分布范围应当更加广泛、更加弥漫。
老年女性患者应当警惕基础疾病办法新生物的可能性,如常见的肺腺癌等,须仔细甄别有无密度相对均匀的分叶状的磨玻璃或实性密度结节影,以及其他与众不同强化病灶,尤其应当重视复查对比。
编辑:谢壁樯
审核:徐  晓
到顶部