【每日晨读】以“大片实变影”为表现的粘液表皮样癌



每日晨读


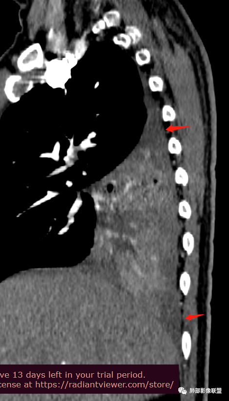
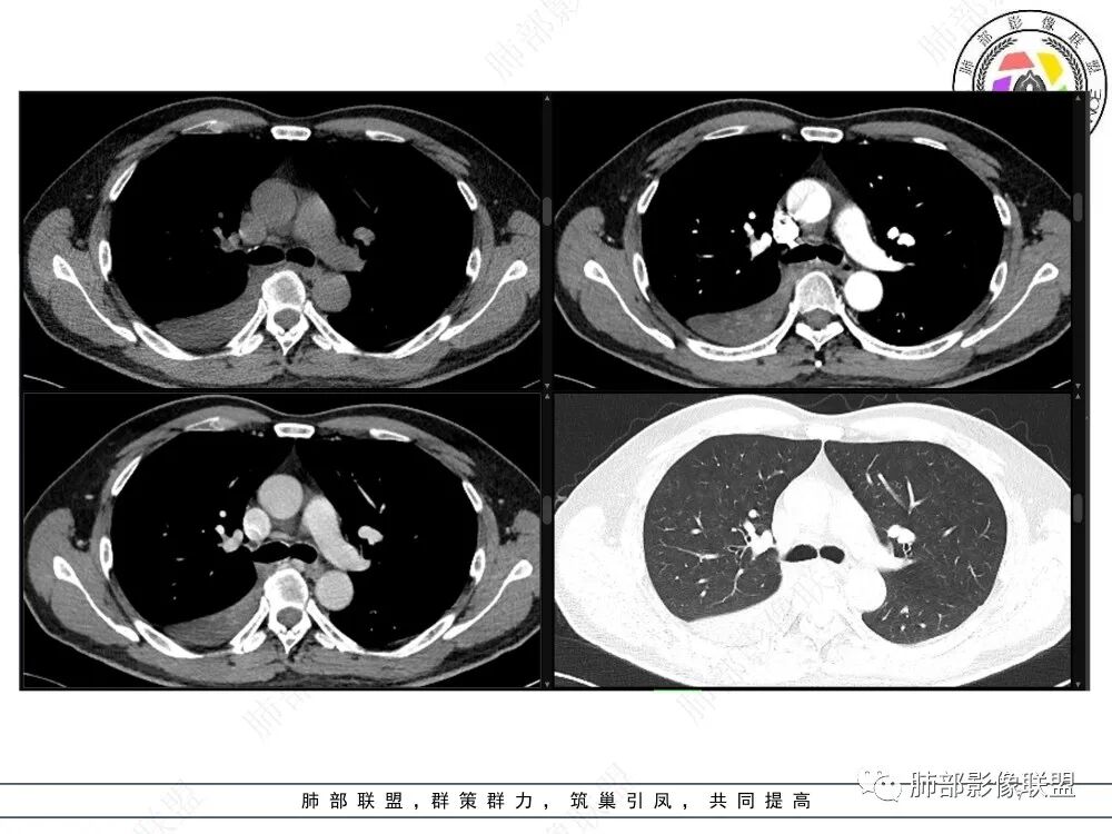
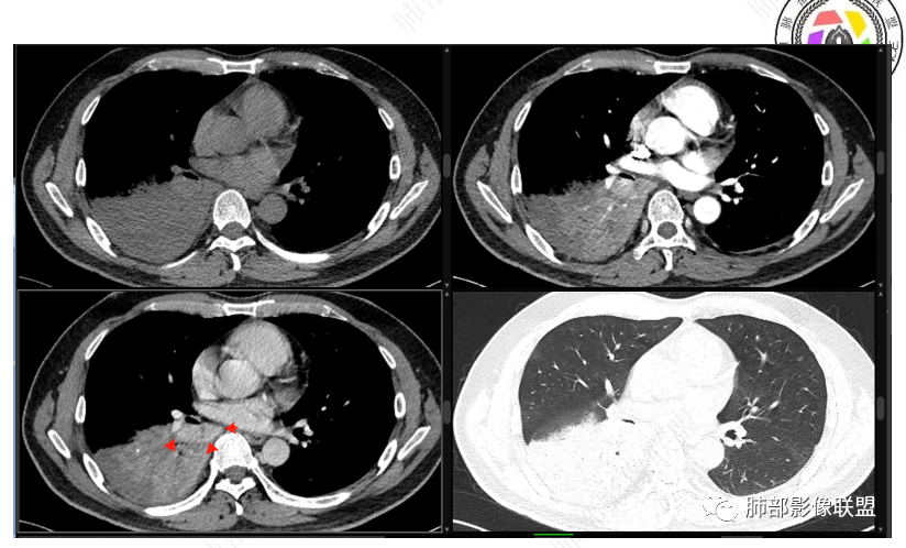
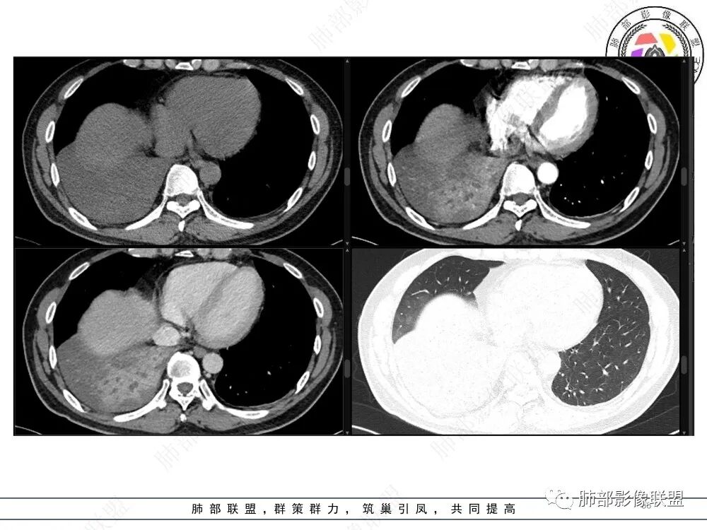
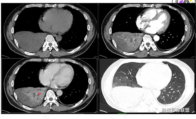
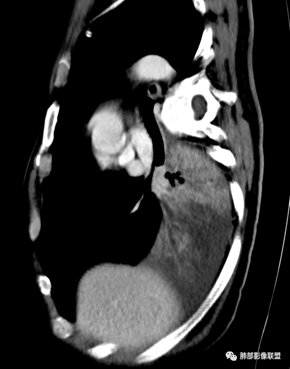
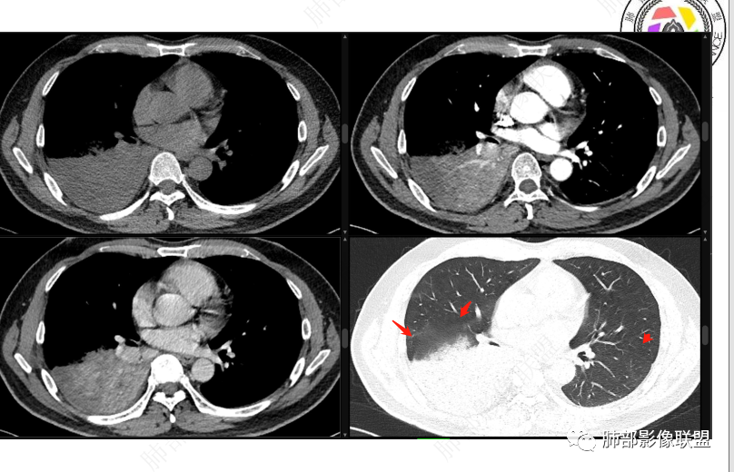
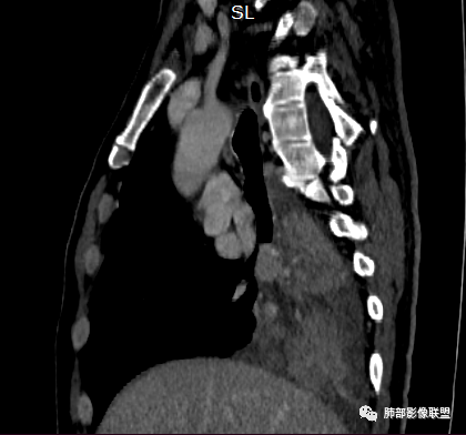
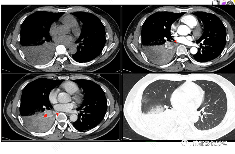
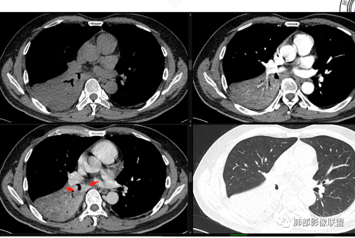
一、病例资料











































二、精彩讨论
藏客:
右肺下叶实变影,局部膨隆,边缘磨玻璃密度影,肺门区域明显强化考虑恶性,腺癌可能。
敬畏:
1.腺癌   2.类癌并阻塞性肺炎
不吝慷慨:
右肺下叶实变表现,强化和形态不考虑门口堵所致不张,枯树枝不明显,整个肺叶考虑肿瘤浸润,首先要考虑腺癌
尼古拉斯伊凡:
拟1.腺癌可能性大   2.淋巴瘤
宇宙:
右肺下叶实变,周围磨玻璃,近端支气管扩张,管壁凹凸不平,远端阻塞,可见粘液栓,不均匀强化,有低密度无强化影,其内血管显示尚可,考虑粘液腺癌,鉴别淋巴瘤
傅昌瑜:



右下叶支气管结节,明显强化,远离支气管内粘液栓及肺不张,考虑肿瘤——类癌?涎腺肿瘤?鳞癌?强化明显,类癌可能性更大一些。
金豆:
右肺下叶阻塞性肺不张,粘液栓,边缘磨玻璃影,良性,谈栓,异物,恶,鳞,腺癌,类癌,男性,46岁,病程不长,似乎有强化,选类癌。
361度:
右下叶肿块外向内生长,支气管阻塞伴阻塞性炎症,不均匀强化,血管边缘模糊,考虑腺癌,鉴别类癌。
放射线:
右肺下叶大片实变,密度不均匀,可见支气管充气征及粘液区,右肺下叶支气管内结节影,下叶支气管阻塞,病灶前下可见磨玻璃影,右侧积液,考虑粘液腺癌,鉴别类癌?
若晗:
腔内占位。远端阻塞,男性,考虑恶性可能性大,鳞癌先
张建新:
支气管腔内结节,明显强化,远端阻塞性病变,中年男性,考虑类癌,鉴别鳞癌。
良孑:
右下叶支气管狹窄,内见高密度强化结节,远端大片不张实变,实变内可见多发粘液拴,整体观察实变似有见缝就针的感觉,综和分析考虑粘液表皮样癌,其次考虑类癌
空格:
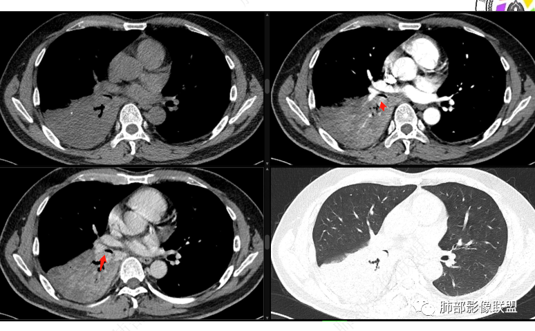
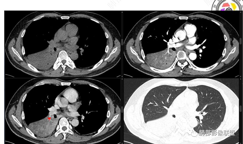
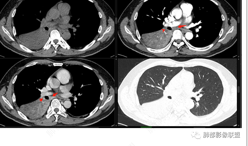
中央型肿瘤pk周围型肿瘤  。壮年男性,热咳一周伴气喘,中性白细胞升高,临床是个感染过程。支持中央型病变的证据:1  肺门明显强化结节 2 横s征  3 支气管粘液栓  4 主支气管变窄,似见冰山征      支持周围型病变:1 按叶段塑形  2 血管造影征  3 病灶内弥漫高强化  4 周围伴磨玻璃灶,但境界不清继发感染?误吸?综合 中央型肿瘤可能大:类癌》鳞癌
枷黎:
右肺下叶不张,右下肺门区高强化结节,似乎呈冰山征,首先考虑类癌可能
位移:
右下肺门似见一结节影,明显强化,远端支气管黏液栓,右肺下叶不张,考虑类癌,次之黏液表皮样癌 腺样囊腺癌
放射小白:
右肺下叶支气管见结节灶继发右肺下叶膨胀不全,右肺中央局部炎性改变,下叶支气管结节动脉期明星强化,静脉期强化减低,首先考虑肺鳞癌,鉴别类癌、粘液表皮样癌。
南边:

中年男性,急性病史——按理感染应该有
Ca125高,恶性也要警惕

实变周围GGO边界模糊
占位效应,这区域应该还是感染
我们该如何判断这个区域实变?

病灶主要在后、外基底段
长轴、支气管、血管是观察的重点
这就需要重建
中间段支气管

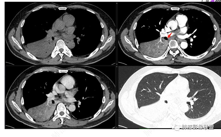
基底干是外侧朝腔内压迫?还是外侧壁占位突入腔内?

这是肺门淋巴结压迫、侵犯支气管导致堵塞?还是腔内本身肿瘤?

远端支气管是粘液栓

这个问题关系到诊断的问题
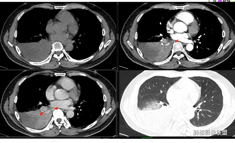
首先血管未见明显侵犯、移位,提示病灶:炎性;肿瘤:外朝内——含粘液类腺癌(肺门淋巴结转移),腔内肿瘤(鳞癌、腺癌、类癌、小细胞、粘液表皮等)
从强化看:外周密度低,强化弱

就不太符合腔内肿瘤远端不张的表现,因为外围不张——强化明显
这一例反了
按这个特点周围要考虑肿瘤组织
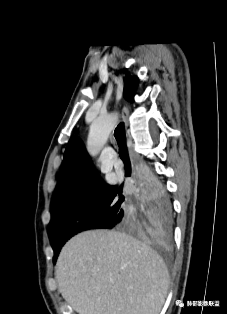
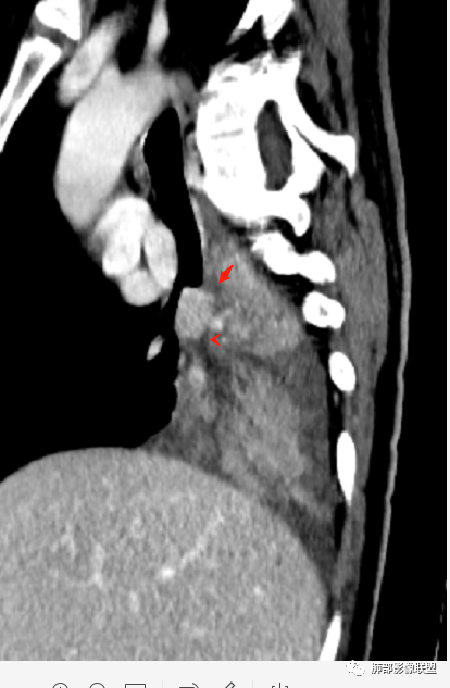
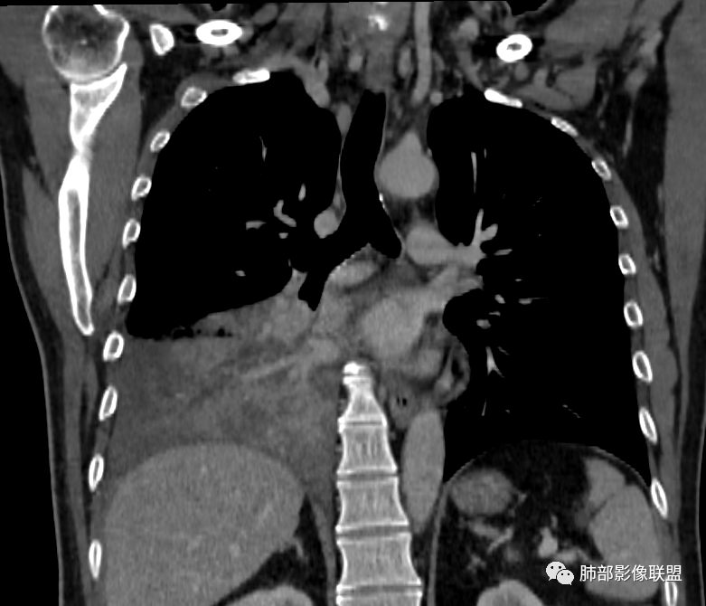
尹芳老师发dicom格式的给我了,我重建一下


腔内肿瘤,远端堵塞

必有路:
那就加粘液表皮样癌鉴别吧
wj:
这个外面明显也是肿瘤部分
可能含有粘液所以这么低
必有路:
如果重建确定在腔内,那就鉴别黏表  
南边:
我觉得粘液表皮可能要放前面
腔内
按理类癌远端密度不会这么低
而且我认为近端实变区强化与附近高密度影是否与感染有关
等一下出结果,我们看看手术记录
尘缘:
肿瘤合并感染应该没问题,至于病理类型,鳞癌,类癌可能性不大,排序:粘表,腺癌,小细胞吧
白小兔:
46岁男性,咳嗽、咳痰伴发热入院
血象和肿瘤指标升高
CT提示1、右肺下叶气管堵塞伴阻塞性肺不张,肺炎征象。2、破坏气管周边肿物可见结节样,肿物整体呈团块样
3、增强可见肿物明显强化。4、肿瘤内部血管可见破坏征象,但是破坏不完全。5.肿物坏死征象不明显。
定性:恶性肿瘤,破坏力不强。考虑肺腺癌?癌肉瘤?
必有路:
就粘液腺跟黏表鉴别 有dicm重建更好判断征象
不吝慷慨:
实变强化考虑全部都是肿瘤浸润
良孑:
冠状位重建有钻缝的感觉
南边:
粘液腺不符合
粘液腺是外围朝内推移的
不应该近端腔内结节强化明显
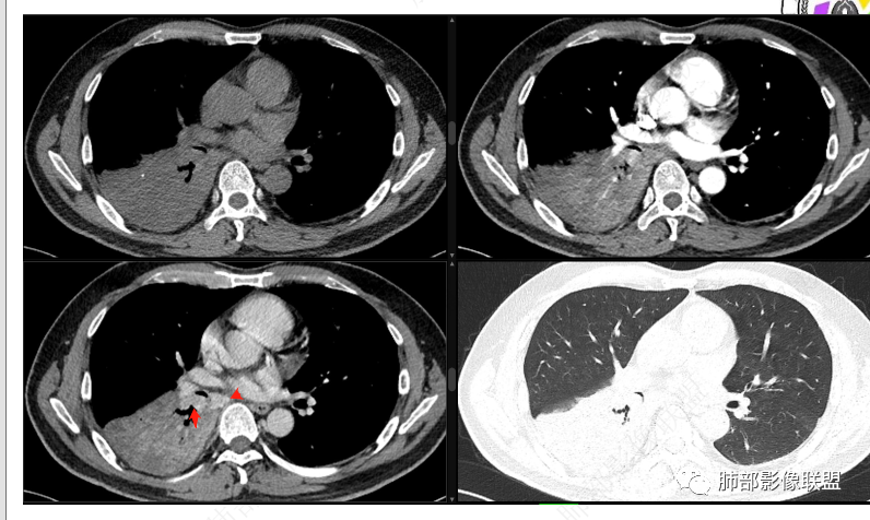
我再发一些图




这是源头

这些如果单纯不张肯定强化明显


三、病例结果   



四、相关知识拓展
   
粘液表皮样癌
MEC是最常见的涎腺恶性肿瘤,占涎腺恶性肿瘤的30%,PMEC在原发性肺肿瘤中的发病率约为0.1%~0.2%。相关文献报道,PMEC的发病年龄多在30~40岁。
PMEC的临床表现无特异性,临床症状通常与肿块的大小、部位有关,肿块较小且位于外周者通常无任何症状,肿块较大且处于肺门时可引起呼吸道刺激及阻塞症状,如咳嗽、胸闷、喘息、咯血等。PMEC好发于大、中支气管,可引起呼吸道刺激和阻塞支气管管腔,继而引起阻塞性肺炎和肺不张。多数肿瘤密度不均匀,增强后强化程度不等,多数可见分叶及毛刺。
 
影像特点:
中心性起源:主要位于段及段以上支气管,多为气管、支气管腔内软组织结节及肿块,卵圆形或分叶状,沿支气管壁生长,最长径与支气管走行长径平行,与近心端支气管管腔呈钝角,支气管内可见“空气新月征”。
周围型MEC少见,且CT表现不具特征性,周围型结节或肿块,可出现分叶、毛刺等恶性征象,坏死、空洞较常见CT平扫多为欠均匀的低-中等密度,增强扫描后病灶以轻-中度不均匀强化为主。
肿块内钙化:MEC较其他类型肺癌钙化率高,约50%病例中可见斑点或颗粒状钙化。钙化可能与病程较长,局部血供少致营养不良性钙化有关,肿瘤支气管远端可出现阻塞性肺炎及肺不张征象。
 
鉴别诊断:
1.肺腺样囊性癌:是下呼吸道最常见涎腺肿瘤,占气管肿瘤的30-40%起源,相对局限于气管侧壁及后壁腺体丰富区域。临床分期高,容易复发和转移,多预后不良。好发部位以气管、主支气管为主,沿管壁浸润性生长引起长段管腔狭窄较MEC常见。在CT上多呈均匀低密度,瘤内钙化少见,增强后强化不明显。
2.肺类癌:源于支气管粘膜Kulchtsky细胞,恶性程度低,淋巴结转移少见,平均发病年龄较MEC偏大,为45-55岁类癌常分泌血清素、缓激肽,患者常有哮鸣样支气管痉挛、阵发性心动过速、水样腹泻、皮肤潮红等副肿瘤综合征表现CT上类癌出现钙化的比例小,空洞少见,富含血供而明显均匀强化。
参考文献:乔艳俊等,31例肺黏液表皮样癌的临床分析及文献复习,《国际呼吸杂志》2019年第4期
编辑:张  强
审核:徐  晓



到顶部