【每日晨读】 肺结节病,一眼定乾坤!



精彩病例分享






























精彩讨论发言
张军营:
结节病,鉴别小细胞
一切∮随缘:
考虑结节病,鉴别结核
洪桥爱:
青年女性,纵隔、肺门多发淋巴结肿大,肿大淋巴结均质,无坏死,无钙化,淋巴结孤立、不融合,两肺门肿大淋巴结对称,诊断结节病。
宇宙:
两肺门及纵膈多发肿大淋巴结,强化密度均匀,无融合,考虑结节病,鉴别结核
放射线:
纵隔及两肺门多发淋巴结肿大,左肺上叶斑片状影,部分小叶间隔呈串珠状改变,年轻女性考虑结节病


秦化君:
左肺上叶斑片影,纵隔及双肺门淋巴结肿大,部分有融合。常规结节病要考虑,但3个月时间从无到有,结节病及淋巴瘤都似乎太快了。待除外转移或炎性肉芽肿,建议穿刺活检。
看图说话:
青年女性,纵隔、双侧肺门多发淋巴结肿大,结节病。
飞鹰行动:
青年女性,肺门、纵膈多发增大淋巴结,增强内部未见坏死,双肺支气管血管束周围可见多发小结节,考虑结节病。
张延军:
纵隔及双侧对称性淋巴结肿大,相对独立,无确切坏死区,年轻,女性,考虑结节病
月亮圆了!:
肺门、纵膈多发增大淋巴结,增强无坏死。考虑结节病。
流心明智:
女性,28,胸部CT:纵隔、双侧肺门多发淋巴结肿大,密度较均质,未见坏死,未见钙化,淋巴结无融合,两肺门肿大淋巴结对称,考虑:结节病,鉴别TB,SCLC等。
lily:
年轻女性,多发纵膈及双肺门对称肿大淋巴结,增强扫描均匀强化,考虑结节病。
衡妈:
女,28岁,双肺门纵隔多发肿大淋巴结,结节密度相对均匀,未见融合。左侧叶间裂可见串珠样小结节感。考虑结节病,鉴别结核。
邢瑞欣:
年轻女性,病史2个月,纵隔和肺门多发肿大淋巴结,无明显融合,左肺叶间裂可见小结节影,首先考虑结节病,鉴别淋巴瘤,结核
良孑:
年轻女性,双肺门及纵隔淋巴结肿大,支持结节病。
大雄:
结节病  3个月 进展挺快
?????天涯?????:
支持结节病考虑,鉴别小细胞、转移、淋巴瘤、结核
南边:
大家尾巴都不带,这么自信啊,按理还是符合结节病,尾巴还是要带,安全第一吧
King:
就是长得快了点,3月前CT正常,最好看看淋巴结,其他符合结节病。如南大所言,带尾巴淋巴瘤最好
丁云:

晓锁:
青年男性,纵隔、双肺门对称性多发淋巴结肿大,部分融合,密度均匀,无坏死,无钙化,边缘清楚,脂肪间隙存在,定位淋巴道来源病变,考虑结节病可能,鉴别转移瘤、淋巴瘤、小细胞肺癌等。
谢加平:
年轻女性,纵隔和两肺门对称性淋巴结肿大,并融合包左右肺动脉干,血管无受侵,双肺中轴间质有增厚,首选结节病,淋巴瘤淋巴结质地硬,对血管挤压明显,扫及肝脾不大,淋巴瘤不支持!


病例结果



病例总结

1、临床特点:28岁女性,发现肺部阴影2周,体格检查无异常。实验室检查无特殊。
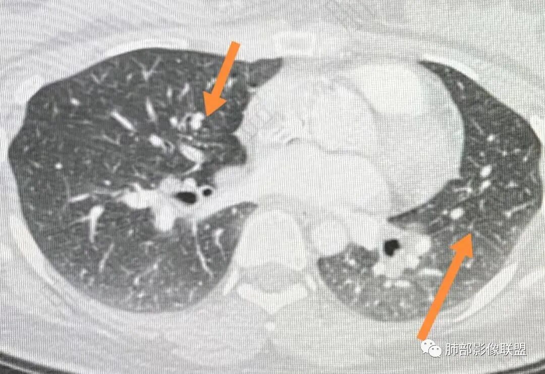
2、影像特点:双肺部分区域小叶间隔增厚并串有微小结节影,叶间裂见微小结节影。纵隔、双肺门多发肿大淋巴结,密度较高,边界清楚,未见坏死及钙化。
3、病例小结:年轻女性,无临床表现。纵隔、双肺门多发淋巴结增大(尤其双肺门淋巴结对称性增大)+叶间裂结节+小叶间隔结节,常规应想到结节病可能。
同时出现双侧肺门淋巴结肿大不符合肺癌通常转移途径。
本例需要鉴别淋巴瘤,但是淋巴瘤更多成块,密度偏低,块影中可见血管穿行,多无双肺门对称性淋巴结肿大。



相关知识链接
【每日晨读】典型结节病
【每日晨读】不典型结节病
【每日晨读】经典重现---肺结节病
结节病,给你全方位的了解

编辑:杨新娟
审核:雷  凤  徐  晓



到顶部