【每日晨读】老年女性双肺多发病灶的“真正面目”!




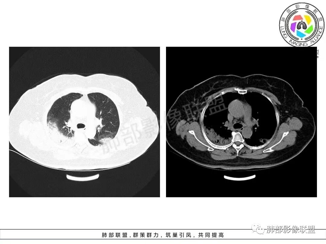
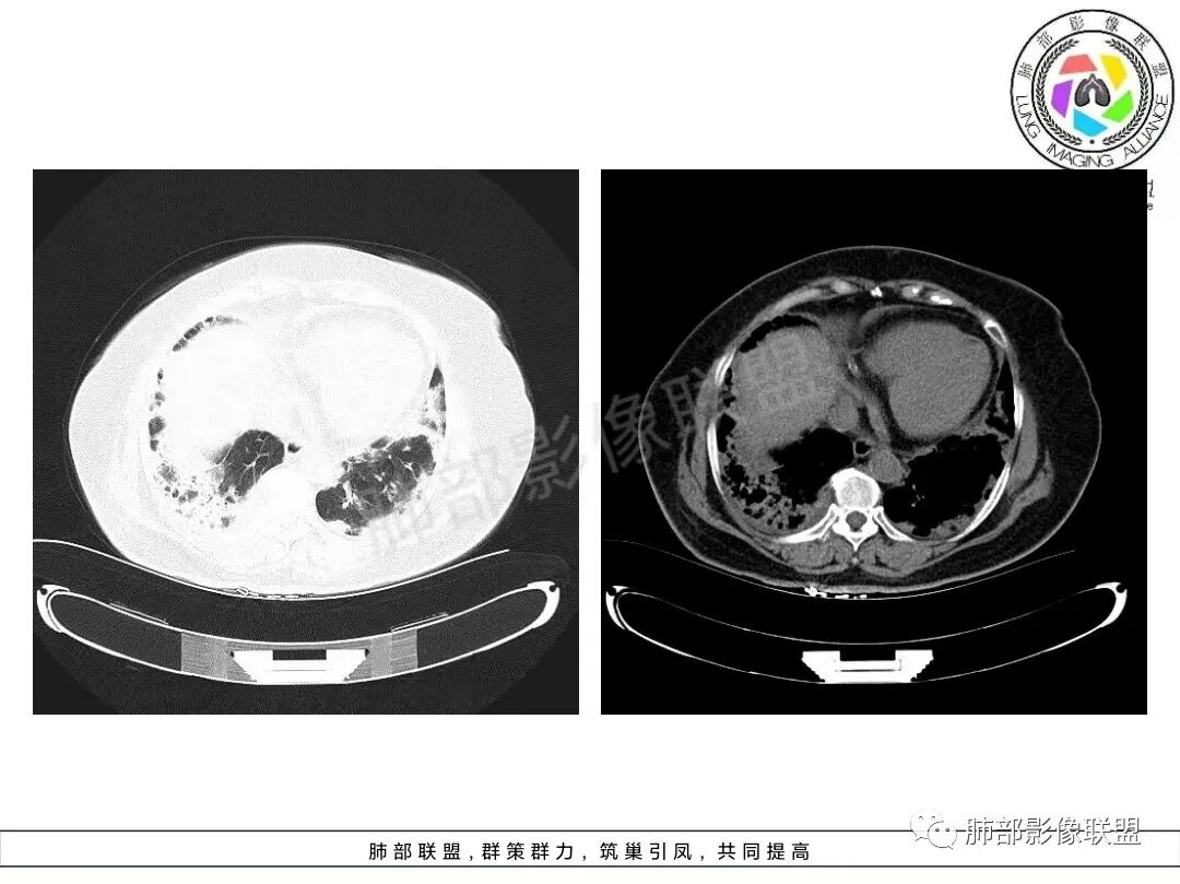
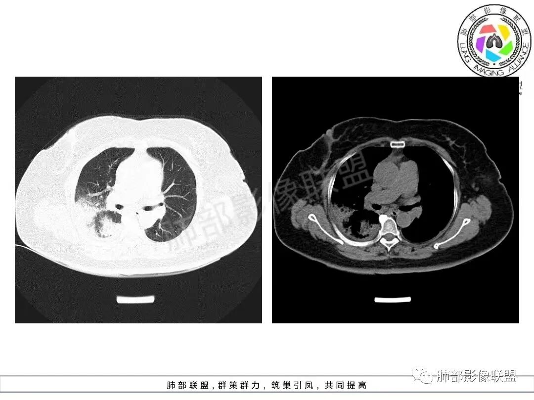
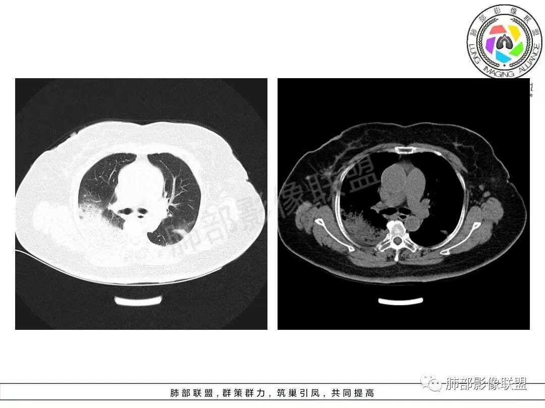
病例资料














































微信群讨论

不吝慷慨: 
典型op表现,病原体呼吸道九项,培养都没有病原体,考虑非感染性病变,肌炎谱查一下
衡妈🇨🇳: 
两肺沿胸膜下分布为主,大片、斑片状不均质实变,肺窗>纵隔窗,提示累及肺实质和间质,实变内充气支气管征空洞几乎不见,边缘收缩凹陷,部分平直,肺体积整体未见缩小。临床血氧降低,白细胞升高,考虑OP,COP,鉴别隐球菌,粘液腺癌!
宇宙: 
老年女性,咳嗽、咳黄白痰,无发热,化验炎性指标高,右肺胸膜下实变,其内支气管充气、扩张,周围索条,左肺胸膜下多发结节及斑片实变,胸膜下线影,右侧少量胸水,考虑机化性肺炎,鉴别隐球菌、粘液腺癌
良孑: 
双肺胸膜下多发实变,边界不清,较大病变长轴与胸膜平行,近端可见充气支气管征,部分病灶内坏死边界清,胸膜下有多发相类似病灶,综合考虑首选隐球菌,其次0P尚不除外
放射线: 
双肺胸膜下多发斑片及大片实变影,边缘清晰,长轴平行于胸膜,部分病灶呈细网格状,右侧胸膜增厚,右侧叶间胸膜增厚,血糖高,感染指标高,考虑OP,鉴别隐球菌
看图说话:
 双肺胸膜下大片、斑片影,密度不均,边缘模糊,周围索条,右侧少量胸水,考虑机化性肺炎,鉴别隐球菌、粘液腺癌
晓锁: 
老年女性,呼吸道亚急性病程,低氧血症,糖尿病,皮炎。化验:CRP明显升高,PCT不高,蛋白低,血管炎阴性。胸部CT:双肺胸膜下分布实变和磨玻璃影,考虑间质性病变,皮肌炎可能。
王静 安阳地区医院CT: 
双肺胸膜下多发斑片状,片状实变阴性,边界不清,内部有反晕,同时累及肺实质和间质!患者急性起病,咳嗽伴黄白痰,考虑感染存在!实验室检查,白蛋白低,血糖高!C反高,PCT不高!诊断首选机会性真菌感染性病变,隐球菌!鉴别机化性肺炎合并感染!
梦妮6-1: 
老年女性,咳嗽、咳黄白痰,无发热,右肺胸膜下实变,其内支气管充气、扩张,周围索条,左肺胸膜下多发结节及斑片实变,胸膜下线影,右侧少量胸水,考虑机化性肺炎。
段建民: 
老年女性,亚急性起病,咳嗽气促来诊,既往高血压病史,血糖偏高,实验室检查提示轻度低氧 WBC CRP 显著增高,高血糖 低蛋白,CEA G试验增高,ANCA阴性,支气管灌洗液无微生物培养结果。胸部CT提示双肺基础尚可,双肺多发实变影,以双侧胸膜下为主要分布,实变内部支气管扭曲,实变周围有磨玻璃影。考虑机化性肺炎 隐球菌 粘液腺癌?首先考虑隐球 鉴别皮肌炎吧。
滕翔: 
双肺下叶胸膜下为主实变并渗出影,胸膜下清楚,无骨受累,病灶中心空腔或未完全实变区域,双肺分布,患者农民,亚急性病程,I型呼吸衰竭,低蛋白血症,考虑亚急性感染性肺病所致,需详细追问病史,近期接触史,居住环境,病原菌考虑努卡菌,放线菌可能,部分少见真菌。
谢加平: 
两肺叶胸膜分布多发片状和小斑片实边影,侧方融合,边缘模糊,见支气管充气征,大方向炎性病变,隐球菌感染,隐球菌荚膜抗原检查,结缔组织相关肺病鉴别!
尘缘: 
老年女性,咳嗽咳痰伴气急20余天,有皮炎数月,CRP,血沉高,PCT略高,CEA高,血糖稍高,CEA高,缺氧,尿蛋白及尿白细胞高,G试验阳性,GM临界阳性。影像表现:双肺胸膜下为主多发斑片状及结节样实变影,支气管扩张表现为主,部分支气管直达远端,部分中断于实变影中部。影像初步诊断为双肺OP样改变。临床分析:一、感染性疾病1、隐球,亚急性渐进性加重病程,有皮炎史,CRP,血沉高,PCT稍高,GM试验临界阳性都可以支持,影像表现也可以支持。但一般G试验为阴性,此例阳性,加上灌洗液未找到依据,有疑问。需要查隐球荚膜抗原或NGS。2、曲霉,临床表现及G试验和GM试验支持,但影像表现不算典型表现。可能稍小。二、非感染性疾病1、风湿相关性间质性肺炎,双肺胸膜下多发OP样改变,有皮炎史,有尿蛋白增高,灌洗液病原体检测阴性。要考虑,但此患者70多岁,无吸烟史及职业史,亚急性发病,双肺改变以实质受累为主,没有明显的间质受累的细网格表现,也存疑,需要查相关抗体。2、CEP,灌洗液没有提嗜酸情况,除非故意隐瞒,否则不太支持。3、血管炎,有尿蛋白改变,但影像不支持,ANCA阴性也不支持。4、COP,目前依据不是太足。三、肿瘤性病变。肺炎型肺癌,老年女性,CEA增高,加上右肺胸膜下改变,要想到,但分布太广泛,病史太短,没有增强表现,没有以前的老片对照,灌洗液也没有提找到肿瘤细胞,直接诊断还是依据不足。综上,考虑感染性疾病(隐球或曲霉)>风湿相关性结缔组织疾病>肺炎型肺癌(粘液腺)。
南边:
老年女性,农民,病史20天.可惜的是外院片没发上来.既往史:高血压。
皮炎,血糖偏高。
双侧背侧胸膜下大片状、斑片状实变影+GGO,不太对称



侧向融合为主,边缘收缩。

机化有。
这样分布的:间质来源病变、肺泡性病变
间质——OP(皮炎,要查查相关风免疾病)
肺实质——隐球菌(糖尿病)

病例结果





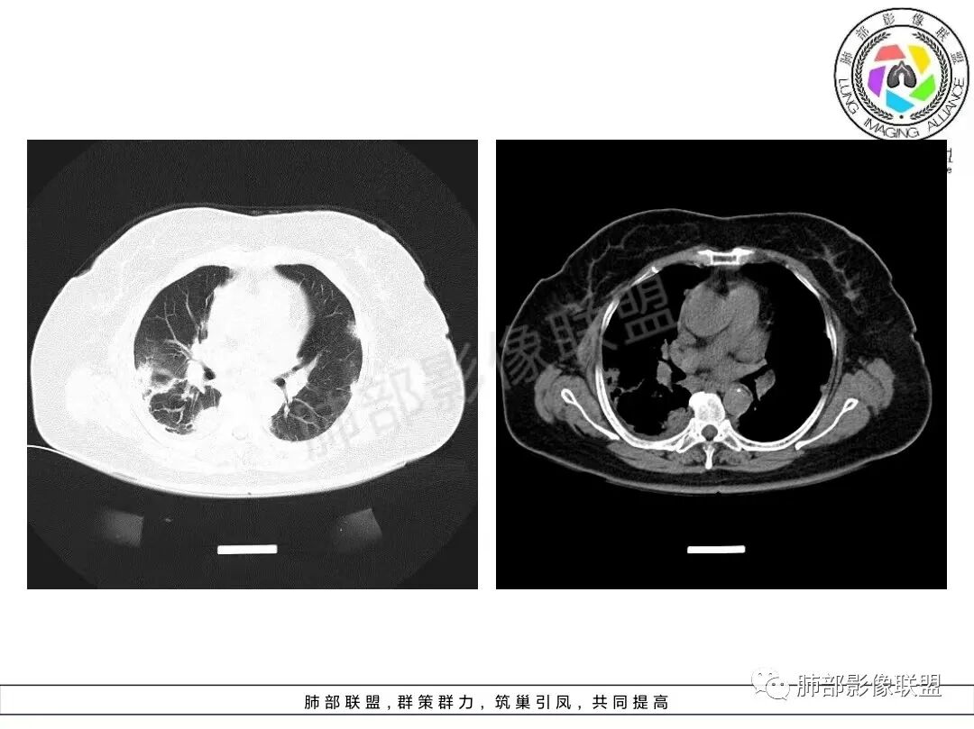
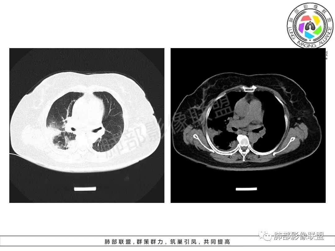
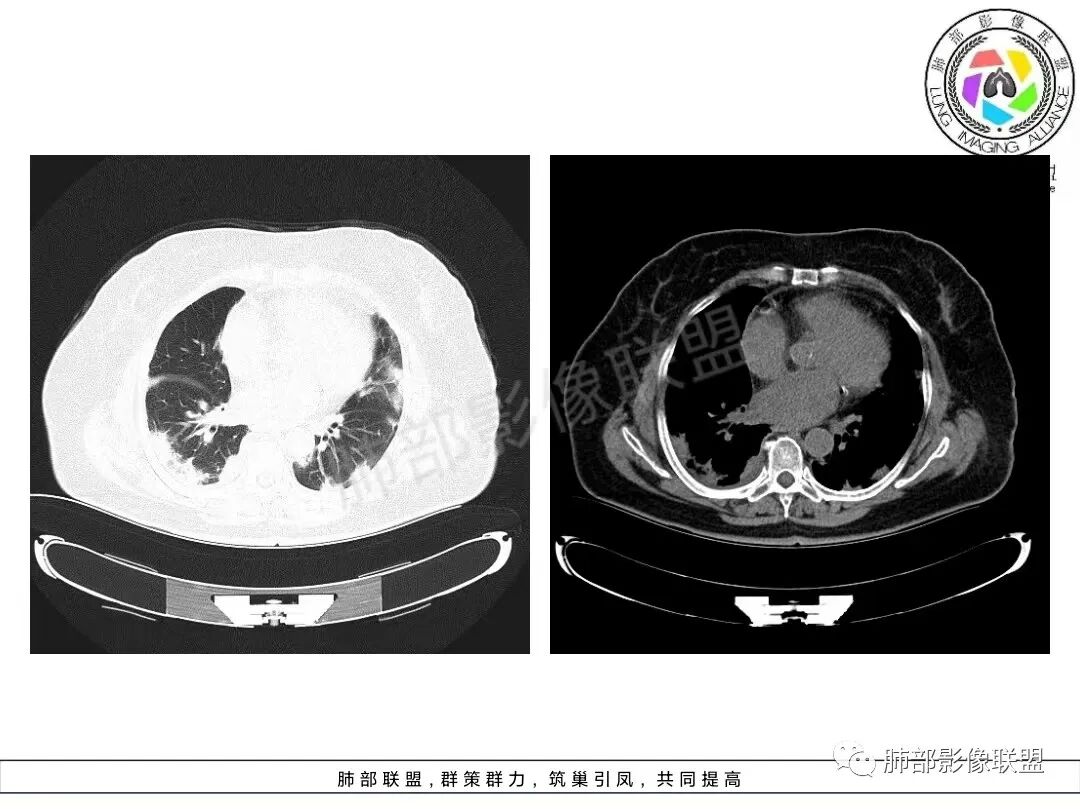
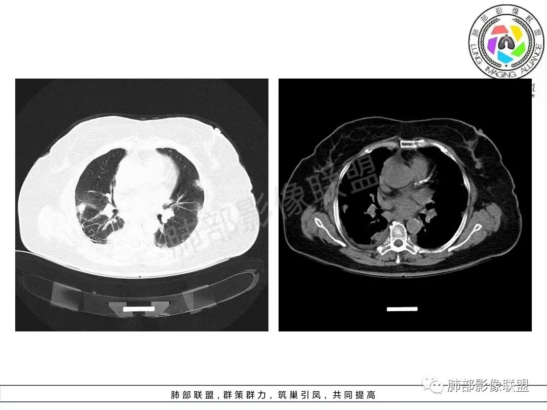
1、临床特点:70岁女性,务农。咳嗽咳痰伴气急20天。症状逐渐加重。有高血压病史。入院查体:体温37.5℃,急性面容。白细胞、CRP、红细胞沉降率升高。血糖高,CEA升高、余肿瘤标志物正常。ANCA检查阴性。血培养阴性,支气管灌洗液培养、真菌检测、抗酸杆菌均阴性。
2、影像特点:双肺胸膜下为主、多发斑片影、结节样实变影及磨玻璃样密度影,大部分病灶边缘平直、边界清,磨玻璃密度病灶内可见细网格影,部分病灶内可见支气管扩张表现,部分支气管直达远端,部分中断于病灶中部。部分病灶有侧向融合趋势。
3、病例小结:老年女性,咳嗽咳痰伴气急逐渐加重,入院后有低热。部分炎性指标升高,肺部片影,可以符合感染性病变,但是血培养、支气管灌洗液培养等检查无阳性表现。但仍影警惕隐球菌感染,患者临床表现相对轻微,胸膜下病灶,磨玻璃影等。
  影像上双肺多发磨玻璃影及实行密度影,对称分布趋势,op样改变,结缔组织相关性疾病需要排除。临床上可进一步查皮肌炎相关指标、仔细进行体格检查看看患者皮肤等情况。
资料拓展
  
   皮肌炎属自身免疫系统疾病.是以骨骼肌间质性炎性改变和肌纤维变性为特征的综合征.可累及多个系统和器官。临床表现为对称性近端肌无力、疼痛,伴皮肤损害。肌酶升高。以肌酸激酶为主,及肌电图肌活检的相关改变。研究表明,30%的皮肌炎患者并发间质性肺炎.且可成为皮肌炎的主要临床症状或首发症状。易导致误诊和延误治疗。
   皮肌炎并发间质性肺炎的病理为:肺间质内出现单核细胞和巨噬细胞的浸润.局部有组织纤维化.少数存在阻塞性支气管炎.可演变成弥漫性肺纤维化,直接影响预后。并发间质性肺炎患者血清出现各类抗合成酶抗体的阳性率很高.如Jo-I抗体阳性率达68%,因此间质性肺炎被称为皮肌炎的合成酶的主要症状。皮肌炎并发间质性肺炎可见于任何年龄组,与肌无力程度无相关性。可呈急性和慢性发作,急性型表现为发热,干咳,紫绀,呼吸困难,同时因皮肌炎可至胸壁肌肉和膈肌受累.继而出现呼吸衰竭,预后差。慢性型起病隐匿,进展慢,可出现进行性呼吸困难,易继发感染.并少量咯血。间质性肺炎肺部早期体征不明显。后可出现细湿罗音,X线胸片可见肺部呈毛玻璃状,网状阴影。皮肌炎并发间质性肺炎是其预后不良的指标之一,除间质性肺炎本身病变外。尚可增加患者肺部感染率,加之皮肌炎患者呼吸肌无力易致分泌物滞留,糖皮质激素和/或免疫抑制剂的应用促进感染的产生,以至许多患者处于感染和病情不能缓解的恶性循环中,引起肺限制性通气功能障碍及弥散功能障碍,最终因呼吸衰竭而死亡国。
参考文献:
[1]李为洲,邓西萍.皮肌炎并发间质性肺炎1例报告[J].江西医药,2007,42(6):529-530.DOI:10.3969/j.issn.1006-2238.2007.06.025.
编辑:李  菲
审核:雷  凤   徐  晓



到顶部