【每日晨读】精准打击——小细胞肺癌!



不论怎样心动
背上行囊
迈出属于你的步伐
才算是真正的出发
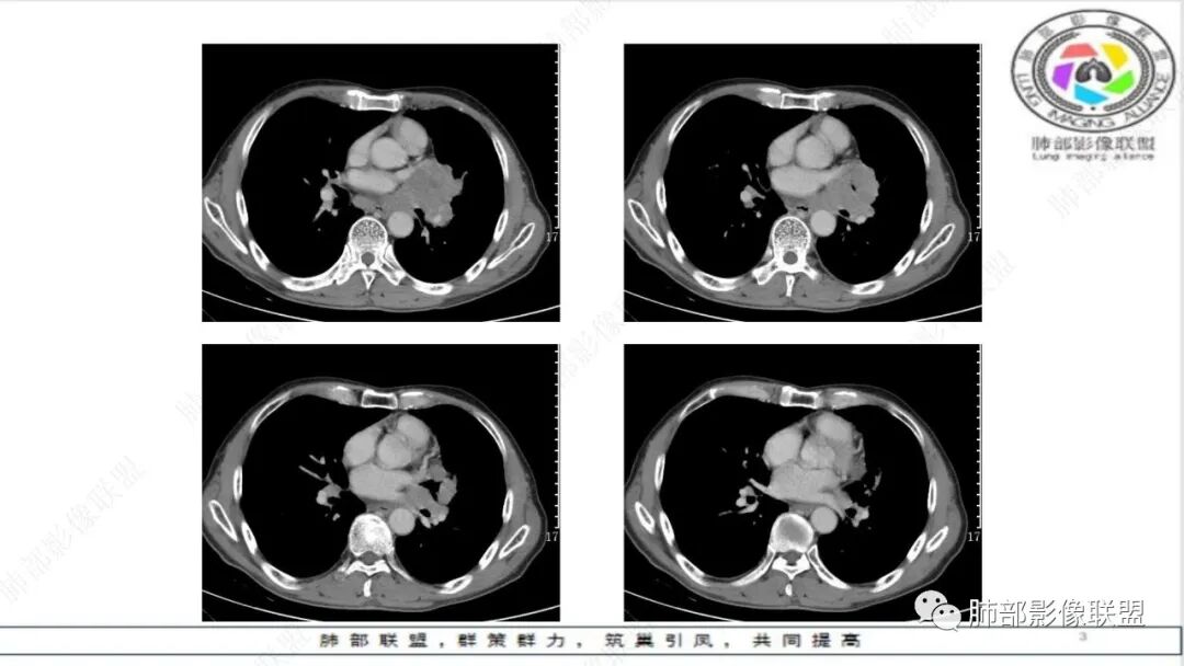
病例资料






























宇宙:
老年男性,肺气肿,左肺门及纵膈多发肿大淋巴结融合,包埋血管,冰冻,左肺上叶支气管受压变窄,左肺上叶胸膜下楔形实变,梗死灶?考虑小细胞癌,鉴别腺癌
金豆:
晨读:老年男性,肺气肿背景,冰冻,血管挤压,恶,小,左肺胸膜下原发?肺栓塞?
白衣影帝:
冰冻纵隔,冰冻肺门,血管变细、变直,未见明显阻塞性肺炎,结合老年男性,考虑小细胞肺癌。
放射线:
纵隔内及左肺门淋巴结肿大,冰冻纵膈,肺动脉包绕受压,支气管受压变窄,呈针孔样。双肺上叶结节及条索考虑陈旧结核。老年男性,慢支肺气肿背景,考虑小细胞肺癌。左肺上叶后段大片实变,不符合小细胞肺癌原发灶,二元论感染灶?肺栓塞?
流心明智:
晨读:男,65,咳喘1月余,加重3天。胸部CT:纵隔、肺门多发淋巴结肿大融合,冰冻纵隔,冰冻肺门,大血管包埋挤压,左肺A主干变窄。平扫密度较均匀,不均匀强化,灶性低密度。右上肺多发实性结节,中轴间质分布;左上叶针孔状支气管,后段胸膜下近楔形斑片影,融冰?考虑Ca,SCLC,并左上叶PTE?鉴别淋巴瘤。
小飞:
纵隔及左肺门肿大、融合淋巴结,轻度不均匀强化,肺动脉、支气管包绕受压,左肺上叶叶间胸膜下条状实变,边界清,考虑小细胞肺癌
晓锁:
老年男性,肺气肿。影像:冰冻纵膈及肺门,大病灶内小灶状坏死,少部分病灶明显坏死,肺动脉包绕受压,支气管受压变窄,呈针孔样改变。考虑小细胞肺癌,鉴别淋巴瘤,转移瘤。
周太狼:
晨读,老年男性,肺气肿背景,左肺门及纵隔内多发肿大淋巴结,部分融合、包埋血管,冰冻状,左肺上叶支气管受压变窄。双肺散在小结节,左肺上叶胸膜下楔形实变。考虑恶性病变,小细胞肺癌,鉴别淋巴瘤、转移瘤
衡妈:
老年慢性,肺气肿背景,纵隔左肺门明显多发肿大淋巴结且融合,密度相对均匀,增强后轻中度强化,偏纵隔右侧淋巴结坏死明显,左肺支气管可见受压变窄,呈针孔样改变。左肺上叶叶间裂上方山丘状混合磨玻璃病灶,内密度不均可见空泡。考虑小细胞肺癌(娘小崽大)。
谢加平:
老年男性,肺气肿背景,左肺上叶后段斑块病灶,边缘清膨隆感,有强化,蜂窝状破坏,胸膜下载赃,纵隔及左肺门多发淋巴结肿大及强化,部分坏死,融合呈大团块,左主支气管外压变窄,并包埋左肺动脉受压,方向左肺上叶后段低分压腺ca并左肺门及纵隔淋巴结转移肿大,右肺上叶转移结节,建议超声支气管镜,左肺门淋巴结活检。
good and see:
老年男性,娘小崽大,冰冻纵膈,小山丘征,支持恶性肿瘤中小细胞肺癌。
良孑:
冰冻肺门,冰冻纵隔,肺A包绕受压,针孔样支气管,典型小细胞癌
冰柠雨露:
联盟晨读病例:左肺门软组织肿块,纵隔淋巴结肿大相互融合,左肺上叶支气管狭窄,血管受压,左肺上叶阻塞性肺炎,考虑左肺上叶中心型肺癌伴纵隔淋巴结肿大,左肺上叶阻塞性肺炎。小细胞癌。

病例结果



小细胞肺癌的一些CT征象
-王兆宇

一些实用的CT征象:
冰冻征
血管包埋征
“鸭蹼状”、“腊肠样”凸起
娘小崽大
脂肪间隙消失
侵袭力强、破坏力弱
“沼泽样”强化
阻塞性肺炎不重
......

冰冻肺门多于冰冻纵隔,与淋巴引流方向一致,淋巴转移先增值扩大,然后侵犯周围组织

血管包埋时一般均匀变细,提示侵袭力强

鸭蹼状凸起一般比较圆钝,边缘清,走行与支气管一致

腊肠样凸起,粗细相对均匀,与支气管走行一致

”娘小崽大“原发灶一般较小,转移灶很大

脂肪间隙消失-淋巴转移后侵犯到周围脂肪间隙,提示侵袭力强

小细胞坏死不彻底,坏死区小而分散,增强后为小片状稍低密度边界模糊的坏死区,对应的是鳞癌的”湖泊样坏死“

小细胞肺癌的支气管内肿瘤多来自淋巴结转移,小细胞肺癌侵入支气管是以组织间隙侵袭生长为主,对应的是鳞癌的气管内生长,明显的阻塞性肺炎
......
编辑:李志强
审核:雷凤   徐晓



到顶部