【每日晨读】纵隔占位,您诊断对了吗?



 01
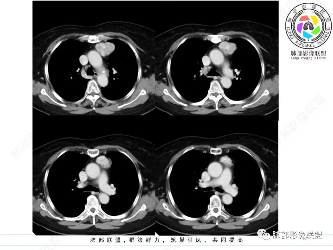
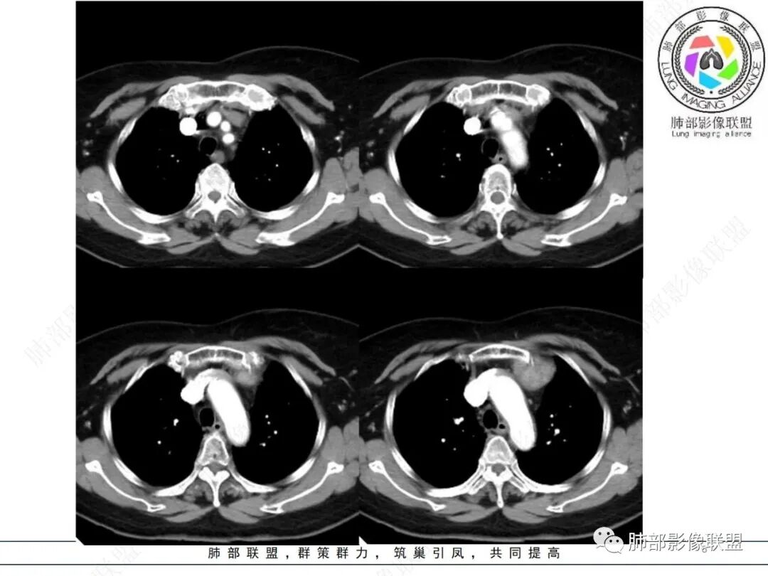
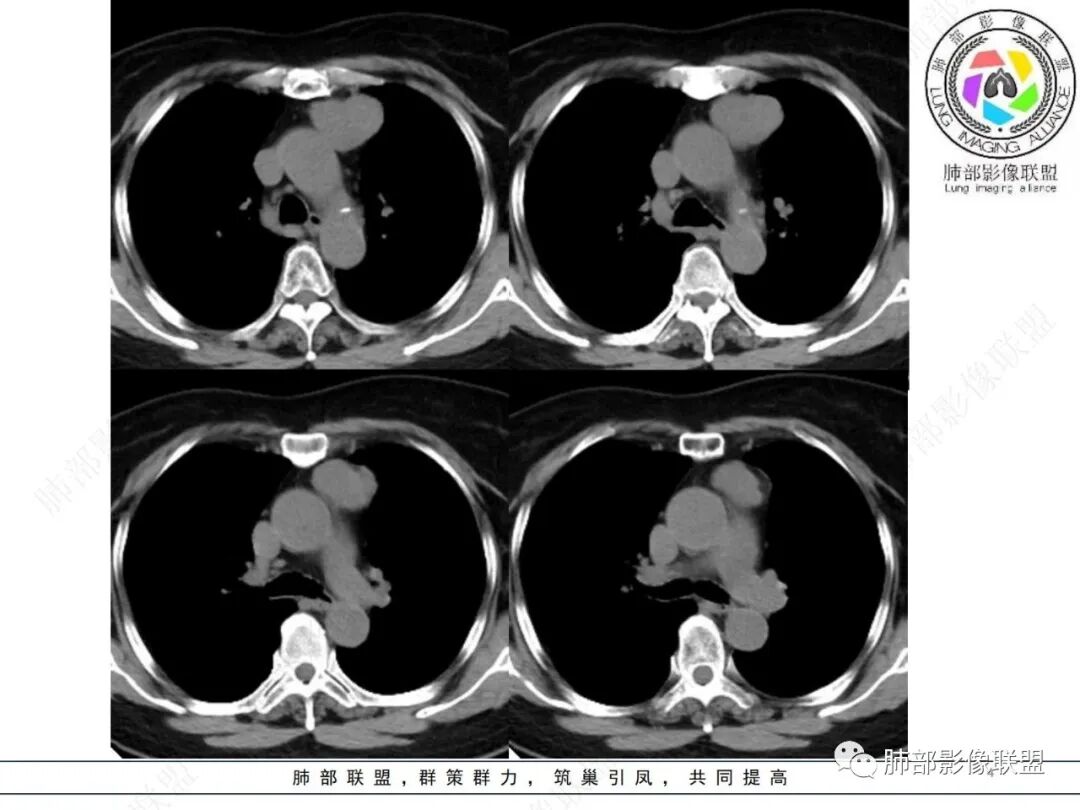
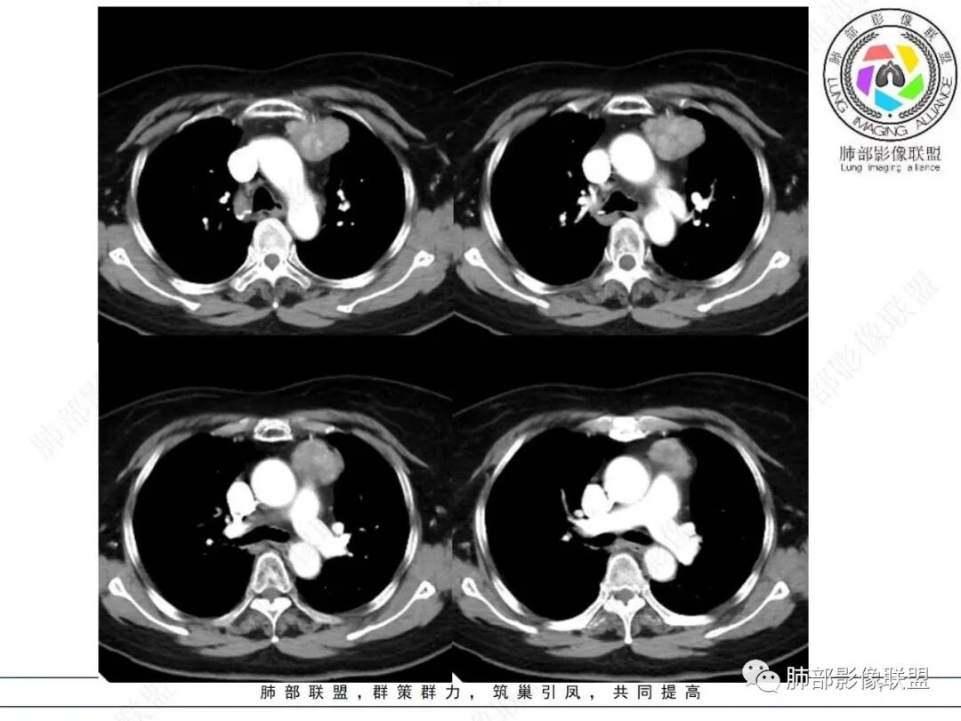
病例资料
















 02
精彩讨论
丁云:
考虑胸腺瘤 鉴别血管瘤
飞鹰行动:
老年人,前纵膈占位,形态不规则,与周围器官分界清晰,增强病灶明显强化,考虑副节瘤,巨淋,胸腺瘤。
张晴:
分叶太明显了点,同意各位老师的基础上,加个类癌?建议穿刺。
金豆:
分叶,分隔,AB型胸腺瘤
丽:
前纵隔占位,偏侧生长,边缘分叶,增强后明显不均匀强化,首先考虑胸腺瘤,鉴别CD,副节瘤
采莲:
老年女性,左前纵隔肿块,边缘光滑,有分叶,强化明显,延迟强化,成巢团状,有分隔及灶性坏死,坏死边界不清,考虑胸腺类癌,CD可能。
宇宙:
左前纵膈肿块,浅分叶,与血管分界清,明显不均匀渐进强化,可见分隔,考虑胸腺瘤,鉴别血管瘤
小兜:
女性,70岁。,体检发现纵隔占位。CT示前纵隔偏侧占位,分叶,边界清晰,增强扫描明显不均匀强化,可见分隔及坏死区,首先考虑胸腺瘤,鉴别副节瘤
小丽:
老年人,前纵隔肿瘤,首选胸腺瘤,鉴别于类癌。CD强化不太符合
月亮圆了!:
前纵隔占位,明显分叶,增强后强化不均匀,边界清楚,首先考虑胸腺瘤。
放射线:
左侧前纵膈肿块,分叶状,边缘清晰,密度不均,内可见低密度坏死及纤维分隔,明显强化,左侧内乳动脉供血,常规考虑胸腺瘤,鉴别副节瘤
良孑:
前纵隔占位,偏心性生长,边界清,中度强化,内可见坏死囊变及纤维分格,坏死边界不清,高龄无症状,考虑胸腺瘤(AB型)
流心明智:
女,70岁。前纵隔偏左侧实性病灶,边界较清,分叶。平扫密度较均匀,增强明显不均匀强化,内见宽条低密度分隔。考虑胸腺肿瘤,胸腺瘤AB型?鉴别CD,副节瘤,血管瘤,异位甲状腺等。
放射小白:
老年女性,左前纵隔占位,增强明显强化,内部疑似细条状低密度影,首先考虑胸腺瘤(AB型),鉴别神经内分泌肿瘤如类癌,再有副节瘤、CD,异位组织,其它想不到了。
蓝天白云:
前上纵隔占位偏左,内见条状分隔,明显强化,考虑胸腺瘤(AB),副节,异位甲状腺
Yishion:
老年女性,前上纵隔偏左占位,边界清楚,分叶,内有纤维分隔,左侧内乳动脉稍增粗,首先考虑AB型胸腺瘤,鉴别CD或副节瘤
尘缘:
这个位置,形态,强化,疾病谱:胸腺瘤,副节,透明血管型CD,异位甲状腺都可能,可惜没有延迟期的强化情况,前两期是渐进性强化的,且静脉期强化和血管差不多。如果有延迟期明显延迟强化和填充。就要考虑血管源性肿瘤在前,综合来看,我还是考虑胸腺瘤>血管源性肿瘤,其他可能相对较小。
好纠结血管瘤和胸腺瘤哪个排在前面
毛勤香:
前纵隔占位,偏心,分叶,明显渐进性强化,首先考虑血管瘤,鉴别胸腺瘤
看图说话:
左侧前纵膈肿块,密度不均,明显不均匀强化,考虑胸腺瘤,鉴别CD
克拉迪奥.跳:
老年女性,左前纵隔肿块,边缘光滑,有分叶,强化明显,延迟强化,成巢团状,有分隔及灶性坏死,坏死边界不清,考虑胸腺瘤,CD 可能。鉴别神经源性肿瘤
 03
影像分析
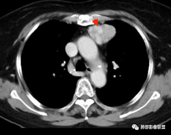
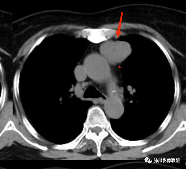
病史,老年女性,检查发现前上纵隔占位。

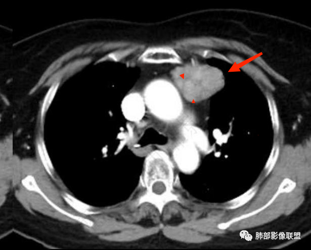
前上纵隔偏左侧实性病灶,边界清楚,边缘彭隆,浅分叶,内部密度均匀,未见钙化、脂肪密度,周围脂肪间隙清晰。
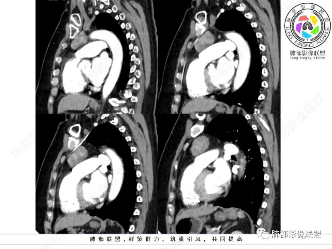
包膜完整,纤维分隔,结节感明显

平扫密度较均匀,增强渐进性不均匀强化,内见低密度纤维分隔。未见肿大淋巴结。未见胸腔积液。

肿块边界清楚,低密度纤维间隔,未见侵犯转移及增大淋巴结,多见于胸腺瘤AB型
—平扫密度不高,加之缺乏与颈部甲状腺解剖关联性,胸腔内甲状腺肿可能性较小。
—强化程度及强化方式不支持常见的血管瘤及巨淋巴结增生症(CD)。
—患者血压高,应当排除副节瘤可能。病灶未见坏死区,且发生于纵隔的嗜铬性副节瘤罕见。
 04
诊断结果

 05
黄勇老师胸腺瘤总结































【每日晨读】胸腺瘤or胸腺癌,且听南边老师娓娓道来
胸腺瘤之罕见类型

病例提供:刘海玲
编辑:杨宏刚
审核:徐  晓



到顶部