【每日晨读】最常见的肺部条片影—“尖角”定乾坤



01
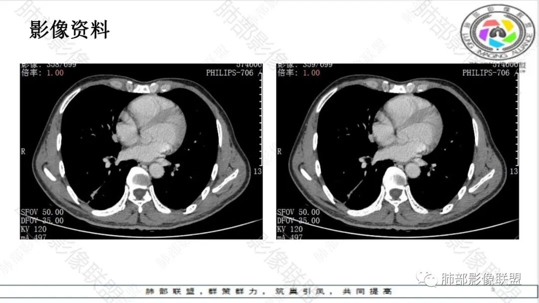
病例资料
































02
微信群讨论
秦化君:
右肺下叶病灶,良性征象:条片状,病变较散,粗条索,支气管穿行,磨玻璃部分边界不清。恶性征象:部分边缘膨隆,轻分叶,见毛刺,棘状突起,胸膜牵拉。考虑炎性肉芽肿病变可能,建议抗炎治疗复查对比,腺癌待排。
藏客:
右肺下叶条块状病变,长轴边缘收缩、平直为主,周围散在点状高密度影,均匀强化,胸膜牵拉首先考虑良性炎性病变,结核?寄生虫待排。
谢加平:
右肺下叶背段胸膜下结节,呈小梭形,边界清,支气管穿行牵引扩张,周围见长柔毛刺,长索条纤维化及胸膜粘连,局部增厚,结节周边见多发小斑点模糊影(小树Y特点?),总体病灶有爬行特点,诊断炎性肉芽肿,往TB方向考虑,最后肺穿刺和颅脑MRⅠ平扫及增强补充检查!
刘海波:
这个嗜睡症状倒是很符合OSAS,后来用焦虑解释,而且治疗有效,焦虑的话可能引起了人体的免疫功能紊乱,导致机会性感染,长毛刺加纤维条索,还得首先考虑良性病变,病史这么长,结核首先考虑,另外机化性肺炎要考虑,隐球菌要考虑
空格:
男58岁,肺部偶发结节,临床嗜睡,脑血管病变缺氧?还是感染肿瘤继发,安全起见脑部磁共振做一个。   肺结节影像特征:1 长毛刺 2 尖角征 3 长条索移行  4 轻度支扩 5 血管从尖角进入,6 总体条片状病灶,恶性证据不多,炎性病灶,抗炎两周,一月复查。
良孑:
右下叶不规则结节,轻分叶呈锯齿状,边缘见细长毛刺及胸膜凹陷,走行僵直,结节内支气管穿行,并可见空泡征,形态单一,无播散灶,边缘呈锯齿状,支气管穿行,可排除TB,无晕征,毛刺僵硬可排除隐球,综合分析,恶性征象较多,考虑腺癌,其次腺鳞癌
离殇??:
中老年男性,右肺下叶不规则结节影,内见扩张小支气管影,可见供血血管影,平扫密度均匀,病灶以远端肺小叶未见明显侵犯,小叶间隔增厚,病灶周围可见斑片状/结节灶密度增高影,边缘不清,临近胸膜增高,周围可见长毛刺及胸膜牵拉影,增强轻中度强化,考虑腺癌可能大,鉴别炎性肉芽肿,及慢性炎性病变。
红星:
老年男性患者,病灶长条状,垂直与胸膜面,支气管穿行,软组织的边界较为毛糙,轻度的毛刺征象,临近胸膜轻度的增厚。增强扫描明显强化。考虑腺癌的可能性大,鉴别诊断结核肉芽肿性病变。
黄高晓:
右肺下叶长条状病灶,有多个结节融合而成,病灶长轴与支气管平行,边缘模糊不清,胸膜有牵拉和长毛棘,内有支气管、血管通行,气管壁厚,病灶向肺门爬行。胸膜闲置。考虑炎性肉芽肿,不排除结核
傅昌瑜:
考虑炎性病变

张延军:
右肺下叶条片状高密度影,局部呈结节状改变,边缘膨隆,周围见多发长毛刺影,部分与临近胸膜粘连,考虑炎性,机化性肺炎可能性,继发于肺部药物损害性改变?
飞鹰行动:
老年人,偶然发现,右肺下叶条状病灶,局部可见膨胀性生长,边缘可见长毛刺,内部小泡征,周围胸膜牵拉,增强病灶似有明显强化,良恶性征象均有,常规考虑炎性病变,腺癌待排除。
流心明智:
男,58。反复思睡10余年,加重20天。胸部CT:右肺下叶后基底段条片影,边缘平直内收为主,长软毛刺,内见支气管充气征、不畅,部分层面病灶内可见正常密度肺区,周围GGO模糊界不清,邻近胸膜条索牵拉。考虑炎些肉芽肿,TB?鉴别腺癌。
晓锁:
中年男性,嗜睡。 
右肺下叶条片状稍高密度影,边缘收缩为主,尖角征 、U型凹陷征,周围长软毛刺征,支气管通畅,临近胸膜牵拉,考虑炎性病灶,鉴别腺癌。


03
病例小结

1.病例特点:中老年男性,长期睡眠异常(嗜睡),焦虑状态。病例右肺下叶长条片状病灶,实性密度为主,轻度强化,边缘多平直(可见尖角征),未见明显膨隆分叶及毛刺,边缘见模糊磨玻璃影,未见钙化、液化或空洞。病灶长轴顺延下叶支气管方向,长索条状牵张于胸壁肺门间,轻度胸膜凹陷。病灶内见支气管、血管通行,气管略壁厚。
  未见卫星病灶,未见“树芽征”或拐枣样改变“拐枣征”。未显示新旧不等改变。
  右肺门及纵膈未见肿大淋巴结。
2.综合分析:条片状病灶,边缘平直,尖角,未见典型的分叶毛刺,少张力,也未见边界清楚的磨玻璃晕,同侧肺门及纵隔未见增大淋巴结等等,总之,如多数老师分析,缺乏典型恶性肿瘤影像学特征。
  病灶相对孤立,未见钙化或新旧不等,未见“树芽征”或“拐枣征”,亦未见典型继发性肺结核影像学特点。
 
编辑:杨  丽
审核:雷  凤   徐  晓



到顶部