【每日晨读】年轻女性的肺结节!



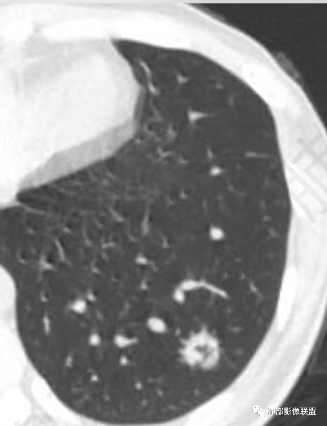
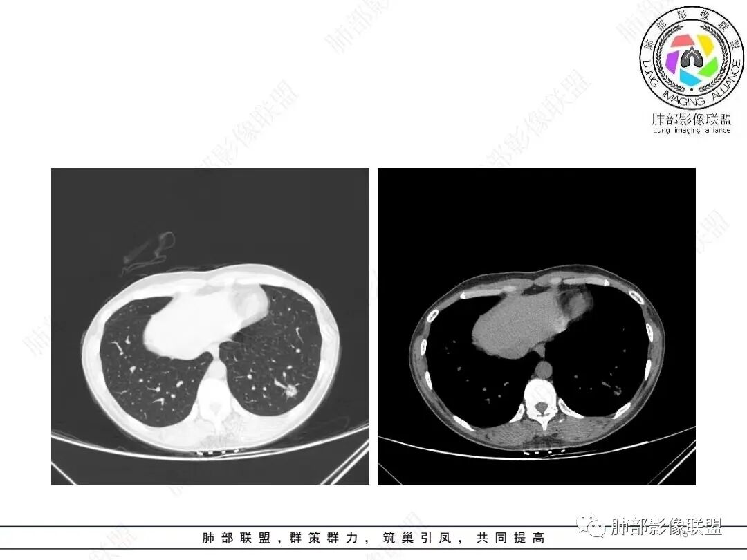
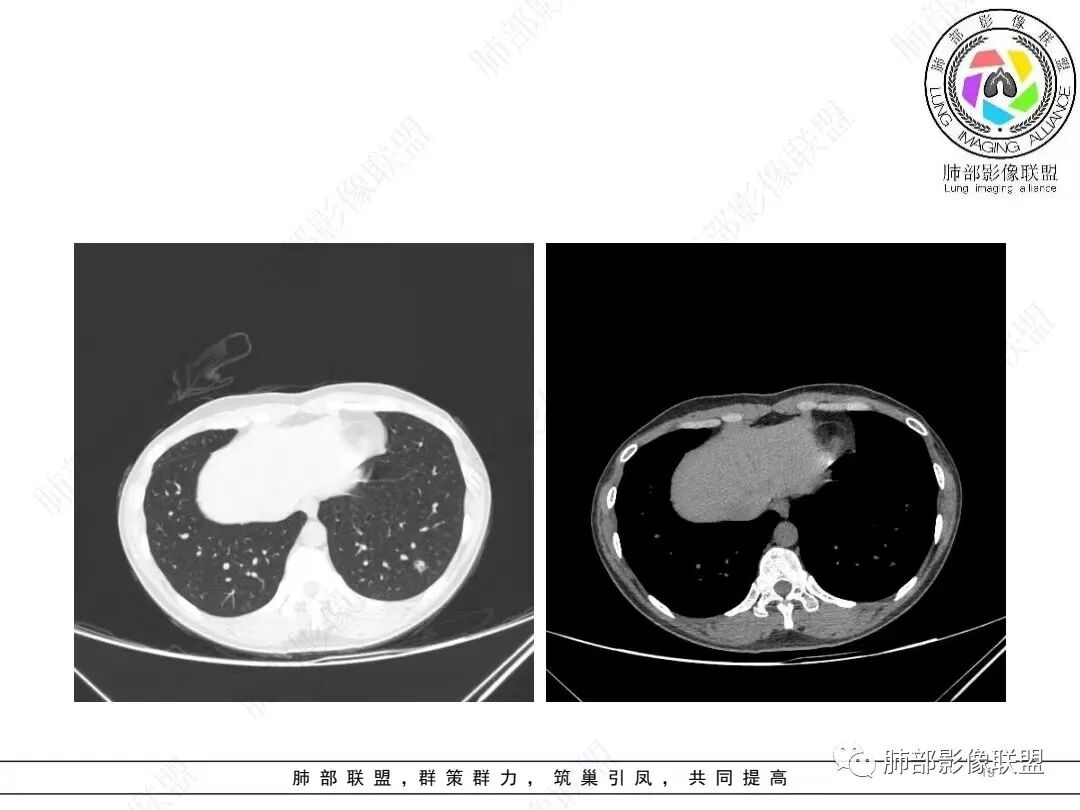
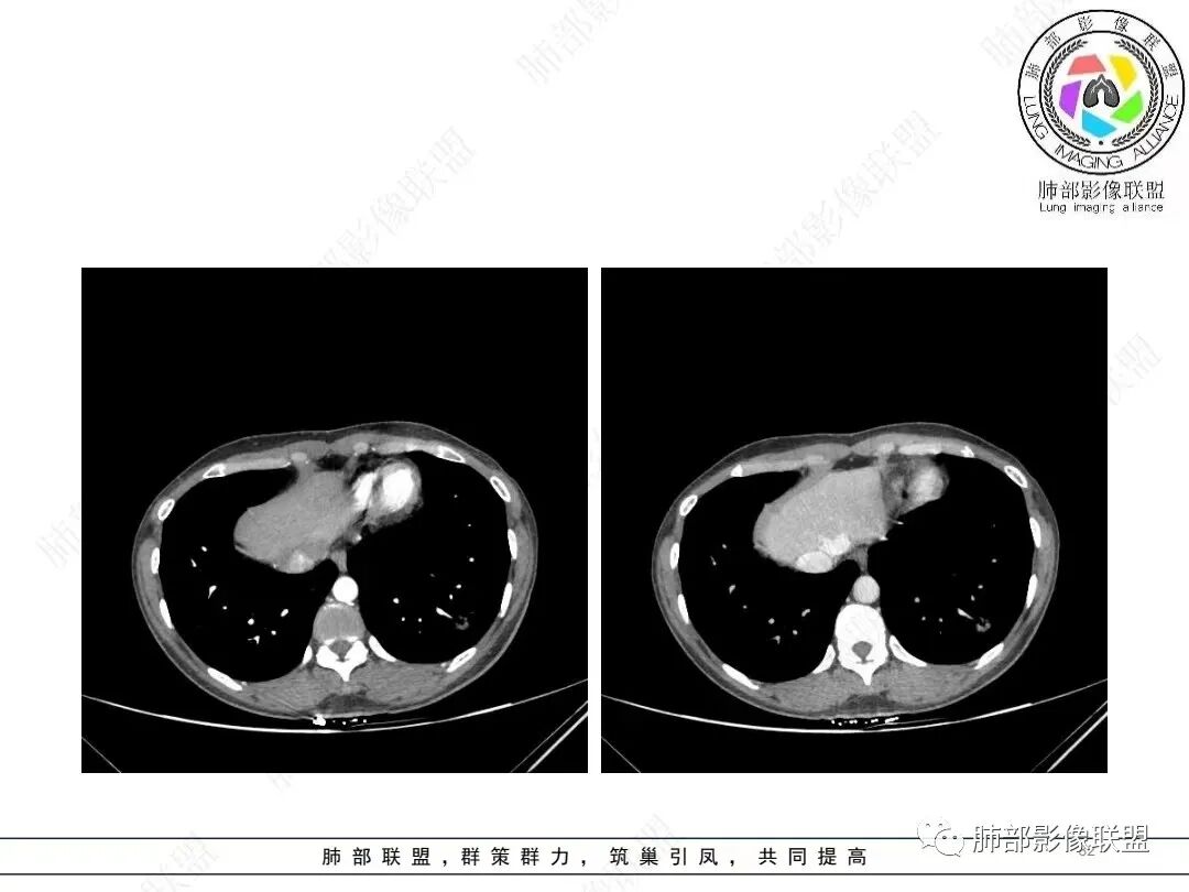
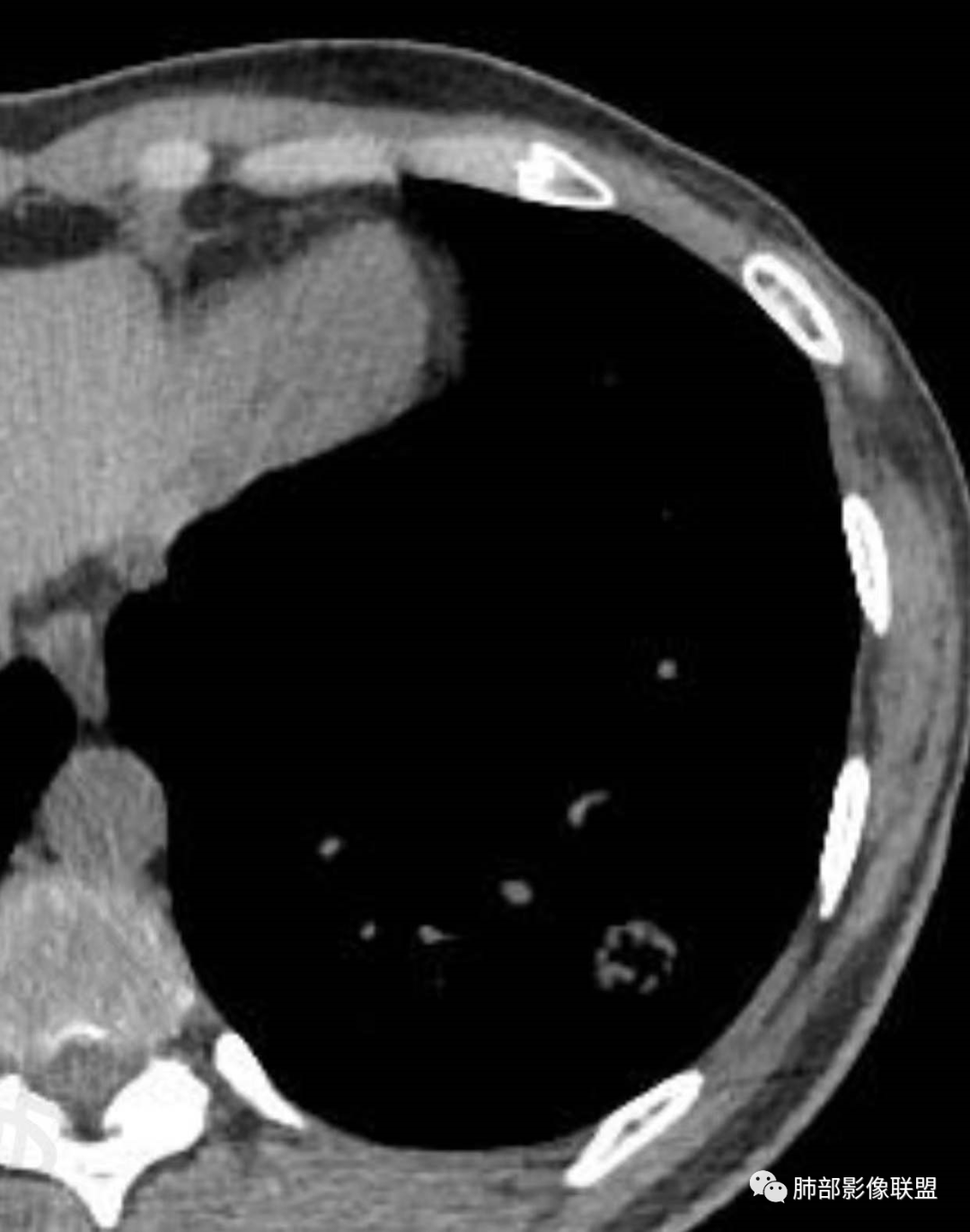
01病例资料





































02精彩讨论
甄德强:
左肺下叶结节,边缘可见短小毛刺及血管聚集,其内可见空泡,不均匀强化,考虑浸润性腺癌,鉴别诊断隐球菌。
小兜:
女,37岁,甲状腺腺瘤病史,体检发现左肺下叶结节伴空泡,周边可见细小毛刺及血管聚集,不均匀强化,考虑为恶性,腺癌可能
破风5:
年轻女性,无临床症状,肿标正常。影像左下肺孤立结节,周边毛刺,与血管相连,血管走形自然,部分层面似可见晕征,结节内多发空腔,腔内未见异常密度影,无钙化,考虑肉芽肿,隐球?鉴别:结核、肺癌
丁云:
青年男性,左肺下叶结节,边缘可见短小毛刺及血管聚集,月牙铲,内见空泡,不均匀强化,首先考虑腺癌,鉴别肉芽肿性炎。
邢瑞欣:
年轻女性,实验室检查阴性,无症状,左肺下叶结节影,边缘平直,有空泡,血管通过,强化明显,考虑肉芽肿鉴别腺癌,隐球
💞 玫:
女,37岁,体检发现左肺结节,甲状腺腺瘤病史,左肺下叶结节影,分叶,细短毛刺及空泡影,不均匀性强化,考虑腺癌可能,鉴别炎性病变
飞鹰行动:
中年女性,左肺下叶膨胀性生长结节,内见空泡,相邻血管增粗伸入病灶内,考虑恶性病变,腺癌
伟:
考虑腺癌可能大,炎性待排
weiwei:
女,37岁,体检发现左肺结节,左肺下叶结节影,分叶,细短毛刺,血管集束,偏心空泡或者空洞,似乎有壁结节。不均匀性强化,考虑腺癌可能。
李丰章:
年轻女性,病灶较小,出现空洞,洞壁似见透亮影,周围见粗毛刺,好像无张力,考虑肉芽肿性病灶可能性大,腺癌待排。
金豆:
分叶,毛刺,空泡,恶,腺癌,鉴别转移。
周太狼:
左肺下叶结节,边缘可见短小毛刺,其内空泡,不均匀强化,考虑浸润性腺癌,鉴别肉芽肿
放射线:
左肺下叶结节,边缘有分叶毛刺,内有小空泡,周围供血血管增粗,考虑腺癌,鉴别炎性肉芽肿
衡妈:



中间这个裂隙样低密度影是空泡还是空洞呢?
年轻女性,体检发现,左肺下叶亚实性结节,边缘有毛刺、分叶,磨玻璃晕,病灶内可见裂隙样空腔改变,纵隔窗显示实性小于肺窗,近端血管呈杵状增粗,考虑腺癌,鉴别炎性结节(隐球菌),转移性结节。
良孑:
左下肺结节,局部边缘见u型凹陷及平直征,可见长毛刺,周围肺野可见斑点状播散灶,结节内可见低密度坏死,坏死边界清,坏死壁上可见结节堆彻,低强化,延迟强化呈环状,年轻患者,肿标阴性,综合分析首选炎性肉芽肿性病变,TB可能性大,其次鉴别腺癌
谢加平:
左肺下叶后基底段实性结节,边缘锯齿状,实性强化明显,内见空泡征,见血管进入,首先肺腺ca。
doctor:
考虑腺癌?
毛勤香:
良恶性征象都有,年轻女性,先飞一下吧
心灵鸡汤:
年轻女性,体检发现,左肺下叶外基底部结节,密度不均匀,纵隔窗较肺窗体积小,边界尚清,边缘似见短毛征,近侧血管进入增粗,支持飞一下,先抗炎治疗2周后再2-4周复查,隐球?结核?鉴别腺癌
Yishion:
又是一个良恶之争的病例,难啊,难办的事情交给时间
小锁:
中年女性,结节形态膨隆,边界清楚,黑晕征,内可见颗粒征,内支气管扩张,增强不均性强化,考虑浸润性腺癌,鉴别隐球菌。
唐绍宏:



肺动脉为主征的话,PSP要考虑,还有贴边的意思
摘星空竹子:
唐老师说的有道理,常规进入肿瘤的血管不会这么粗,PSP确实要考虑。
风往北吹:
拍肺纤毛黏液结节性乳头状瘤/细支气管腺瘤,鉴别肉芽肿性炎。不支持恶性病变
摘星空竹子:
短粗毛刺,排列有序,就不像恶性病变。
风往北吹:
嗯嗯,星芒样改变,中心透光区,支持CMPT,等结果学习
doctor:
@张明辉临沂市人民医院 支持张主任诊断:典型肺纤毛黏液结节性乳头状肿瘤。上传一个类似病例。

肺动脉供血
风往北吹:
@张东明(甘肃平凉市二院呼吸科) ,感觉和平时实战中我遇到的CMPT有很多相同的地方,等结果学习,如果错了进行反思和思考,不断完善。肉芽肿性炎需要鉴别。
doctor:
@张明辉临沂市人民医院 今天病例粗大肺动脉供血+空洞结节,和我上传病例比较像。
风往北吹:
@张东明(甘肃平凉市二院呼吸科) 嗯嗯,病理上也是中等大小肌性动脉相连,如果病理科不强,会误诊为黏液腺癌
03病例结果

 04病例总结
1、临床特点: 37岁女性,体检发现肺结节,2年前有甲状腺腺瘤手术史。实验室无阳性发现。
2、影像特点:左肺下叶类圆形结节影,周围可见多发细小毛刺,浅分叶,张力不高,未见胸膜牵拉。病灶内隐约见空泡影(未提供CT值),近端部分血管呈杵状增粗,可疑脐凹征。增强后实性部分有轻度强化。外围病灶,与支气管关系不明确。
4、病例小结:中青年女性偶然发现结节,表面欠光整,内部空泡,不均匀强化,边缘分叶毛刺等都具有影像学上的恶性征象,正如大多数老师所分析与肺腺癌较为符合。部分肺部肿瘤年轻化,尤其是肺腺癌等应当引发我们高度关注。
图文编辑:朱伟超
图文审核:雷  凤    徐  晓




END
到顶部