【每日晨读】关于右肺上叶支气管病变的分析思路!



     
  等风来,不如追风去,追逐的过程就是旅行的意义。别说岁月漫长,长不过沿途的山脉,长不过车窗外的阳光,长不过光线突然暗下来的隧道,更长不过下一个远方。
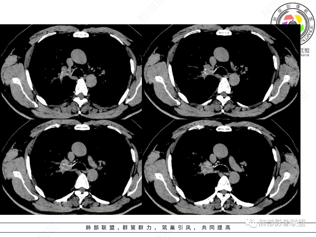
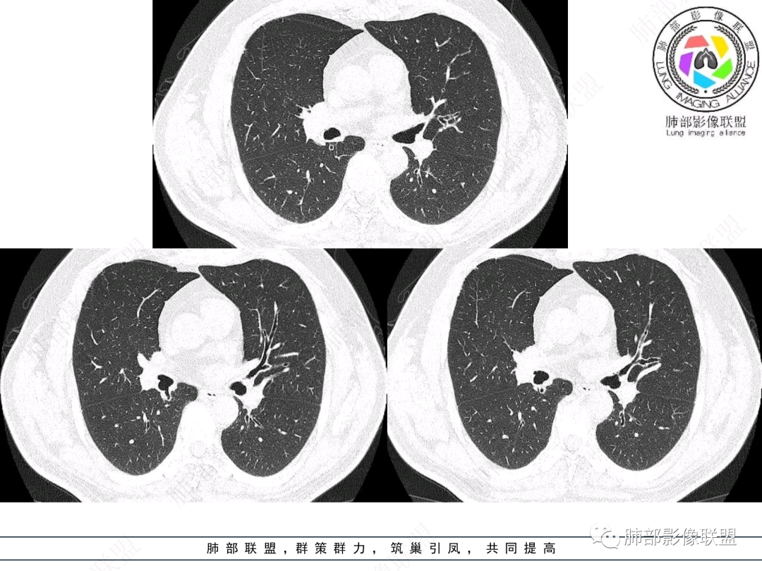
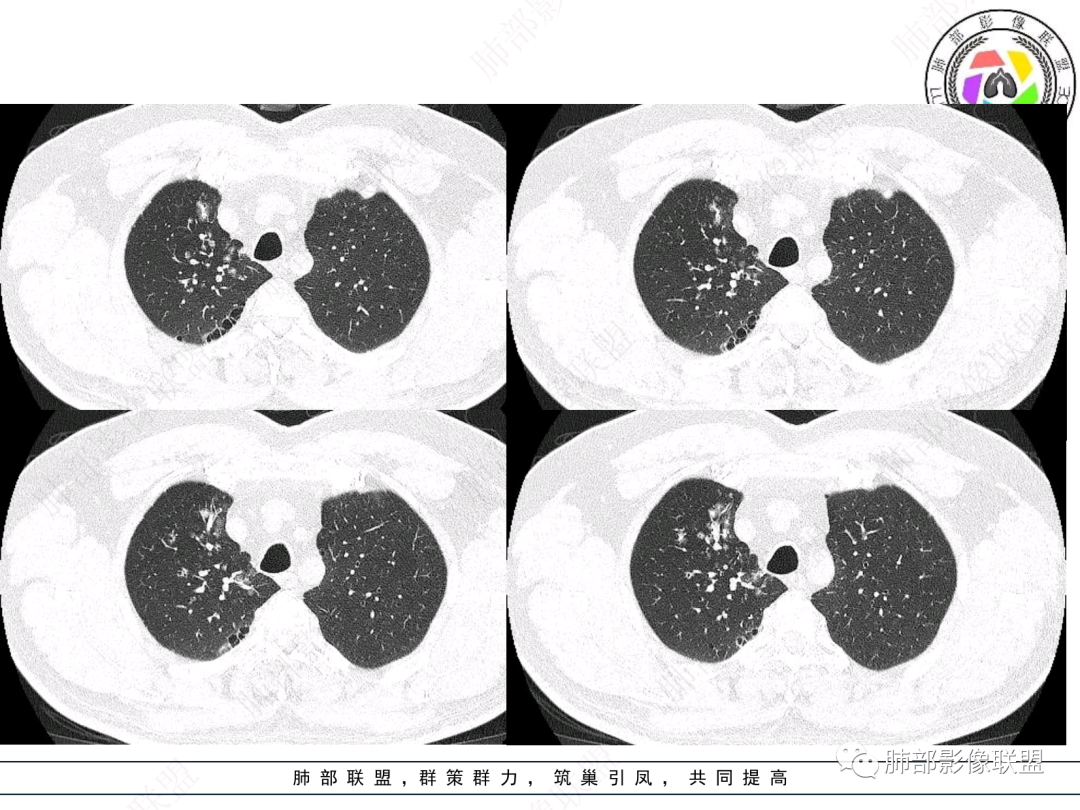
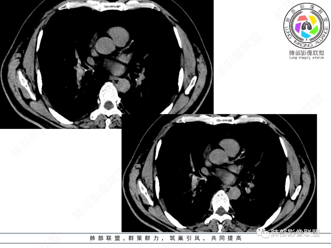
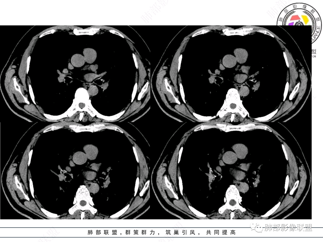
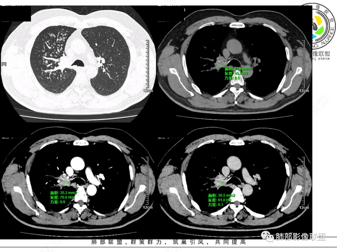
                    01  病例资料




































                 02   微信群讨论
                                                                                  
秦化君:
右肺上叶支气管截断,内见软组织密度结节,支气管管壁破坏,病变侵及管外,增强强化明显。右肺上叶沿气管血管束多发斑片影,考虑恶性性病变并阻塞性炎症,鳞癌,神经内分泌肿瘤。
若晗:
右肺门病灶,支气管腔内堵塞,见有多处低密度影,支气管镜下凹凸不平,直观下不像鳞癌,恶性肯定的,考虑腺样囊性癌可能。
王江涛:
右肺主支气管-上叶支气管腔内结节伴钙化,轻度强化,考虑类癌,鉴别错构瘤与结核。
丽:
老年男性,咳嗽咳痰,右肺门增大,右主支气管开口见高密度影,密度不均匀,轻度强化,右肺上叶见多发腺泡结节,支气管管壁增厚,近端粘液栓,支气管镜检查见新生物,考虑鳞癌,鉴别结核。
丁云:


一元论?还是二元论呢?
宇宙:
右主支气管及肺门不规则软组织结节,点状钙化,不均匀强化,气管壁破坏,上叶支气管阻塞,分支粘液栓,血管束增粗,沿支气管分布多发结节,考虑鳞癌合并阻塞性炎症,鉴别结核。
行云流水:
右气管腔内结节,右肺门肿物,有钙化,右侧肺内多发气腔结节,散在,左肺部分支气管壁增厚,首先分析气管内结节,多考虑1鳞癌,形态规则,边缘光滑,宽基底,不太支持,远端阻塞性炎症不典型,2类癌,冰山一角和冰山分离了,不太支持3结核,多为支气管壁广泛增厚钙化,形成结节少,但是肺门肿块有钙化,可作为结核支持点,4黏痰,不像。其他不太懂了,肺内多发磨玻璃结节,并可见支气管手指状扩张,综合分析影像,考虑感染性病变,结核?有没有这样子的气管曲霉呢?向老师们学习。
周太狼:
老年男性,右肺门主支气管腔内软组织肿块影,密度不均,有钙化,右上叶支气管腔部分阻塞,强化较明显,右肺上叶远端散在斑片状高密度影,相应支气管壁厚,树丫状腺泡结节,常规首先考虑结核,鉴别类癌。
金豆:
右主支气管占位,累及全层,中度强化,远端管壁增厚,似乎花花草草,恶或者低度恶性。疾病谱:鳞(必须首先考虑 概率),腺样囊腺癌(位置 年龄符合 似乎强化也符合),类癌(强化不太支持),良性,结核(妖)。综合考虑腺样囊腺癌。
ZhaoXRay:
男性,52岁,右侧主支气管腔内外占位伴点状钙化,病灶大部分位于腔外,右肺上叶散在结节影,气管腔内病灶,动脉期中度强化,静脉期强化减低,首先考虑气管腔内类癌可能,鉴别鳞癌,肺内病变倾向感染性病变;再有气管结核伴肺内播散。
流心明智:
男,52。间断咳嗽、咳痰2周,加重3天。胸部CT:右主、右上叶支气管多发软组织影,跳跃不连续,内可见小环状高密度,点状钙化,管壁破坏,上叶支气管堵塞,远端分支粘液栓,可见小支气管管壁增厚、管腔狭窄,沿支气管分布多发结节,无大片炎症不张。考虑:TB?NTM?鉴别Ca并阻塞性炎症。
风儿:
肺门肿块,支气管铸型,远侧小花小草,考虑鳞癌,右主支气管结节,鳞癌?二元论:腺样囊性癌?
采莲:
中年男性,咳嗽咳痰,右肺上叶近肺门肿块,上叶支气管近端阻塞,内有粘液栓,右肺上叶多发结节影有小空泡,沿支气管血管束分布,血象不高,CRP及PCT不高,XPERT阴性,结核可能性不大,考虑恶性肿瘤可能,类癌?腺样囊性癌?鳞癌?远端肺内的考虑阻塞性炎症还是转移?
HP:
患者中老年男性,咳嗽咳痰2周,无发热、咯血,伴胸闷、乏力及盗汗等,右上叶沿支气管血管束分布结节样变,管壁增厚;右肺门肿块,形态不规则、密度欠均匀,似有钙化,轻强化,主气道下端及右主支气管开口处见新生物,强化不支持类癌,镜下病变形态不大支持腺样囊性癌,考虑鳞癌可能性大,右肺上叶病变结核可能。
谢加平:
右肺上叶支气管开口见阻塞物影及强化,息肉样向腔内外浸润性生长,并有颗粒钙化,右肺上叶段支气管主干增粗及密度增高,见指套征,支气管血管旁见多发小斑点,小斑片影阻塞性炎性病灶〈小花小草表现〉,支气管镜示新生物血供丰富(结核完全排除),方向恶性,符合鳞癌特点,与小细胞Ca鉴定,临床专科支气管镜取材活检明确诊断。
HP:小细胞癌镜下病变也不支持
尘缘:
腔内肿物,强化不均匀,强化程度为轻中度强化(CT值增加25HU),且强化特点为快进快出,右肺上叶支气管责任区域的阻塞性炎症加痰栓(气管镜也证实右上叶支气管内痰多)。这些均明确指向鳞癌。
HP:
但感觉阻塞性炎症影像还是有点“异常”,王老师不会提供这么“简单”病例吧
尘缘:
一点不异常啊,分布在阻塞责任气管区域的支气管增粗伴腺泡结节(细支气管腔内及肺泡内阻塞性炎症伴痰栓),只不过还没有大片实变而已。@韩平     临沂市人民医院呼吸科


屈运良:
右上叶支气管闭塞,腔内可见软组织肿块,右肺门见肿大淋巴结,远端有阻塞性肺炎,右肺门肿块不均匀强化,其内血管侵蚀边缘模糊,定性恶性,考虑鳞癌或腺样囊腺癌
毛勤香:
赶个尾巴,肺门区肿块,气管闭塞,壁增厚,局部破坏,远端阻塞性炎症,中度强化,肺气肿背景,定性恶性,常规鳞癌
03
南边老师分析

南边:
这个病例比较好,我们的观察点在哪?这是右上叶支气管病变,需要了解:腔内、壁、腔外、远端,腔内有软组织密度影,近端膨隆。

这是软骨

壁厚

红色:软骨连续性良好,壁外有软组织密度影,绿色:软骨不连续,破坏了,外面软组织密度影。

南边:提示软骨破坏,也就是病灶腔内朝壁外侵犯了——恶性。
远端支气管腔内不强化的是粘液栓,强化的是肿瘤。
患者只要能耐受,支气管镜是要做的,病检也会有结果。
如果在这种情况下临床想通过CT了解啥?主要是:a、与附近结构的关系:血管、淋巴结;b、远端情况;c、其他区域转移情况;
影像上分析的观察点:腔内、壁、腔外、远端,然后就是远端肺组织、淋巴结、肺血管、胸膜、其他肺部,这个人就是阻塞性炎症为主。

                          04    病例结果

HP:
没进一步分类?这样的话倾向于小,类癌镜下及强化不像
王崇军:
从KI67来看,应该是小
明日の路过:
是小细胞,类癌和不典型类癌ki67不大于50
不吝慷慨:
肺部联盟晨读不像典型类癌和小细胞肺癌,可能是非典型类癌,局部70%。
尘缘:
要么整体都是小细胞,要么是鳞癌伴小细胞分化。要么是大细胞。类癌免疫组不支持。
HP:
小细胞癌一般粘膜下生长为主,镜下这种病变形态相对少些
支持尹院,大细胞影像上不支持
尘缘:
@韩平     临沂市人民医院呼吸科?大细胞影像上是不太符合,不过也见过一些类似情况的大细胞。所以也不能完全排除。
                     05     知识拓展
                           ——神经内分泌肿瘤
一、神经内分泌肿瘤的发生
       神经内分泌肿瘤的起源细胞遍布全身,最常见的发生部位为消化系统(75%)和支气管肺部(25%)。在人的肺和气道上皮内散在分布着在肺的发育过程中起重要作用的肺神经内分泌细胞(pulmonary neuroendocrine cell,PNEC),这些细胞兼有神经细胞和内分泌细胞的功能。研究发现,新生儿的PNEC数量约占总气道上皮细胞数的0.4%,随后迅速下降,成人则少于0.02%,这种数量的差异显示PNEC与促进人体肺发育功能有关。
 二、 神经内分泌肿瘤的分类
        从肺的神经内分泌肿瘤概念的提出以及命名上的历史演变可以反映出人们对这一类肿瘤的认识和分类是一个不断深入的过程。随着免疫组织化学及电镜观察在肺癌诊断上的广泛应用,神经内分泌肿瘤的类型不断增多,原有的3种类型已不能真实地反映肺神经内分泌肿瘤的复杂性。几十年来形成了几种分类系统,虽然各自有其逻辑,但仍需要建立一个明确的分类系统来区分这类复杂的肿瘤。
     2015年,WHO将肺癌组织学分型肺的神经内分泌病变分为良性的神经内分泌细胞增生和微小瘤,以及一系列恶性的神经内分泌肿瘤,这些肺的神经内分泌肿瘤包括低度恶性的TC、中度恶性的AC以及高度恶性的LCNEC和SCLC。

 
三、肺神经内分泌肿瘤的病理特征
肺神经内分泌肿瘤的临床病理特征及鉴别要点见表。
肺神经内分泌肿瘤临床病理特征及鉴别要点

 肺神经内分泌肿瘤临床病理特征及鉴别要点

 肺神经内分泌肿瘤临床病理特征及鉴别要点

       
四、 如何区分LuNET和非小细胞肺癌?LuNET又该如何分类?
    从名字中我们不难得知,LuNET是由肺神经内分泌细胞恶化而来的肿瘤,尽管临床常见的一些LuNET(例如小细胞肺癌)具有明显的去分化倾向,但万变不离其宗,所有LuNET均具有神经内分泌组织的一些基本特征,在病理检查中不难和以上皮细胞恶变为基础的非小细胞肺癌(主要是肺鳞癌和肺腺癌)相区分。
  而根据WHO 2015版肺癌病理分类,LuNET又可以细分为:1.小细胞肺癌2.大细胞神经内分泌癌3.肺类癌瘤(包括典型肺类癌和不典型肺类癌)
  其中小细胞肺癌和大细胞神经内分泌癌尽管在细胞形态和特征上差异巨大,但二者均属于高级别(低分化)LuNET,治疗和临床转归均与肺类癌瘤完全不同。至于肺类癌瘤(分化良好的LuNET)中的典型肺类癌和不典型肺类癌,其区别主要在于细胞学特征,而预后差别并不十分显著。
  根据WHO 2015版肺癌病理分类,肿瘤组织的核分裂象是区分LuNET亚型的重要标准,肿瘤组织每10个高倍镜视野存在>10个核分裂象即为低分化LuNET,存在2-10个核分裂象为不典型肺类癌,存在<2个核分裂象则为典型肺类癌。另请注意,该分类已不再要求Ki-67指数作为诊断LuNET的必需条件,但该检查仍对LuNET的区分有一定指导作用。
LCNEC 与 SCLC 的差异性对比

       

鉴别诊断:
(1) 类癌及小细胞神经内分泌癌: 类癌多见于无吸烟史的中年女性,CT上多表现为支气管腔内外边界清楚的结节或肿块,钙化较常见,增强后呈显著均匀强化。小细胞神经内分泌癌恶性程度更高,病程发展快、转移早、预后差,对放、化疗敏感,多表现为病灶较小但伴有广泛的肺门、纵隔淋巴结和远处转移。
(2) 肺腺癌及鳞癌: 腺癌好发于无吸烟史的女性,多表现为类圆形磨玻璃影或肿块,内常见空泡征,边缘毛糙,可见分叶、短毛刺征及“胸膜凹陷征”。肺鳞癌病灶内囊变坏死更常见,常因中心坏死的组织与支气管相通排出而形成空洞,壁厚不均匀。
(3) 肺淋巴瘤: 病灶影像表现多样,常为多发结节状或斑片状密度,且多数内部可见“支气管充气征”,伴全身多处淋巴结肿大。
参考文献:
1.乔贵宾,陈保富等,肺神经内分泌肿瘤[M].中南大学出版社.2019
2.Ferrara MG, Stefani A, Simbolo M, et al. Large Cell Neuro-Endocrine Carcinoma of the Lung: Current Treatment Options and Potential Future Opportunities[J]. Front Oncol. 2021 Apr 15;11:650293. doi: 10.3389/fonc.2021.650293.
3.刘洋,王悦虹,阮伟良,等.肺大细胞神经内分泌癌患者的临床病理学和胸部CT特征分析[J].上海医学,2018,41(06):339-343.
4.陈涛,陈伟,吴彩云,等.肺原发性大细胞神经内分泌癌CT与PET-CT表现及病理分析[J].临床放射学杂志,2019,38(06):1038-1041.
编辑:龚子龙
审核:雷 凤  徐 晓




到顶部