【每日晨读】前纵隔肿块,淋巴瘤or胸腺癌?



每日·晨读



































































一切∮随缘:
前纵肿块,包绕主动脉血管,心包积液,肺部似乎有小结节,考虑:胸腺淋巴瘤,鉴别胸腺癌
金豆:
定位前纵隔,膨胀性生长兼具侵袭性,病灶不规则,整体偏软,似乎多结节融合,分叶,局部心包受累,心包积液,不均匀强化,裂隙,右肺结节影,恶,不典型类癌,鉴别淋巴瘤。
飞鹰行动:
前上纵膈占位,内见多发结节融合,增强病灶轻度均匀强化,与周围血管分界不清晰,考虑恶性,淋巴瘤。
王江涛:
前纵隔肿块轮廓不光整,不均匀强化,侵及心包,考虑胸腺癌》淋巴瘤
看图说话:
前上纵膈肿块,密度均匀,边缘不规整,内见多发结节融合,胸骨密度不均,增强病灶轻度均匀强化,与周围血管分界不清晰,恶性,淋巴瘤,胸腺瘤,转移瘤。
Yishion:
上腔静脉有局部显示不清,是受压还是受侵这个很关键,受压―胸腺癌可能,受侵―淋巴瘤可能性大,倾向于后者
宇宙:
前纵膈肿块,中心性生长,边缘分叶,上腔静脉及心包侵犯,心包积液,纵膈淋巴结肿大,不均匀强化,坏死边界不清,胸骨骨质破坏,考虑胸腺癌,鉴别淋巴瘤
衡妈:
男,50岁。前纵隔肿块,边缘分叶,周围可见增大淋巴结,密度不均,包绕血管,上腔静脉受压堵塞,累及心包,心包积液。考虑胸腺淋巴瘤,鉴别胸腺癌。


小兜:
男,50岁,胸痛入院,CT示前纵隔不规则占位,密度不均匀,增强不均匀强化,与周边大血管分界不清,心包积液,考虑为淋巴瘤,鉴别胸腺瘤
周太狼:
中年男性,前纵隔肿块,周围多发淋巴结肿大融合,密度不均匀,增强病灶轻度不均匀强化,包埋血管,常规考虑淋巴瘤,鉴别胸腺癌
lily:
男,50岁,前纵膈分叶状肿块,周围多发肿大淋巴结融合,上腔静脉及心包侵犯,心包积液。增强扫描肿块不均匀强化,可见低密度坏死。胸骨似有骨质破坏(无骨窗),综合考虑胸腺癌可能。
?? 玫:
前纵隔肿块影,呈膨胀性生长,纵隔内血管包埋,心包积液,考虑淋巴瘤可能,鉴别胸腺癌
King:
两侧生长,周围淋巴结,右肺小结节,上腔及心包受侵,强化不均。小细胞癌和淋巴瘤,胸腺癌鉴别。胸腺癌一般偏侧,少有单侧肺结节。淋巴瘤一般偏软一些,包绕血管。肿瘤指标看看。个人感觉,小细胞>淋巴瘤>胸腺癌。
薄层看看如果确实是钙化,就把淋巴瘤往后放放,神经内分泌癌提上来
放射线:
前纵膈肿块,边缘呈结节状,内可见低密度坏死,与血管分界不清,有泥沙样钙化,心包积液,考虑胸腺鳞癌,鉴别淋巴瘤
南边:
恶性没问题,就是病理类型的问题。问个问题:这个病检应该很简单吧,穿刺胸壁就行了吧?胸骨这样的破坏不符合淋巴瘤吗?考虑鳞癌的依据是啥?考虑淋巴瘤的依据是啥?
放射小白:
男性50岁,前纵隔不规则团块状占位,增强轻中度强化,血管受压异位,左侧颈根部可见肿大淋巴结,心包积液,结合LDH升高,首先考虑淋巴瘤可能性大。
丽:
老年男性,前纵隔肿块,与周围组织分界不清,密度欠均匀,见点状钙化,增强后不均匀强化,上腔静脉受侵,心包积液,考虑恶性,胸腺瘤,鉴别淋巴瘤
若晗:
50岁男性患者,前纵隔占位,似淋巴融合,边界不清,考虑恶性,淋巴瘤可能性大
傅昌瑜:
考虑恶性,淋巴瘤或者胸腺癌,有多结节堆积,淋巴瘤可能性大。
良孑:
前纵隔巨大肿物,其内坏死边界不清,血管受压后移,内乳A增粗,心包受累,首先考虑胸腺癌,其次考虑淋巴瘤
毛勤香:
多结节融合感,边界不清,病灶总体居中,恶性,LDH高,首先考虑淋巴瘤
谢加平:
前纵隔不规则肿块,边缘清楚呈波浪状,实质强化明显,坏死轮廓不清,胸骨后间隙增宽明显(说明肿块质地硬),另外胸骨柄溶骨破坏,周围肿块,心包侵犯及心包积液。胸骨疼痛,恶性:胸腺Ca,淋巴瘤不太支持,因淋巴瘤影像明显,与症状轻,分离),另坏死边界不清,也不符合淋巴瘤,淋巴瘤坏死边界相对清。最后穿刺病理活检!
周宇元-九江学院附属医院影像科:
肺内结节纵隔占位,心包积液,胸骨不确定有异常,考虑恶性肿瘤,胸腺癌?小细胞肺癌转移?淋巴瘤。
藏客:
前纵隔占位病变,包绕血管,界限不清,心包,血管,胸骨受侵考虑恶性病变,淋巴瘤可能。
peek_knight:
前纵隔占位,边界不清,部分包绕血管、心包,血管,倾向恶性病变,淋巴瘤可能。
王静 安阳地区医院CT:
前纵隔肿块,不规则,中心性生长,对大血管挤压推移包绕,周围脂肪组织有被侵袭纠结征象,对胸骨有侵袭,对心包壁分解不清,心包积液,肿块内部有坏死,增强扫描呈现快进快出强化!气管旁及左侧锁骨上窝淋巴结肿大!右肺上叶两个结节,性质待定!男,50,诊断,胸腺癌!鉴别淋巴瘤,侵袭性胸腺瘤!
街头诗人:
定位:前纵膈 
定性:恶性
定病:胸腺癌>淋巴瘤
春秋.:
中老年男性,前纵隔肿物,分叶,周围毛糙,强化不均匀,相邻胸骨不规整,考虑胸腺癌
王海瑛:
前纵隔肿块,周围血管受浸,心包积液,胸骨受浸,胸骨左侧包块,纵隔多发淋巴结肿大,强化不均,稍低密度坏死区边界不清,有侵袭有破坏,恶性,考虑胸腺鳞癌>淋巴瘤
刘斌:
中老年男性,前纵隔肿物,分叶,强化不均匀,血管推挤,相邻胸骨不规整,心包积液,肺内结节,考虑胸腺癌
梦妮6-1:
前纵隔占位不规则,推挤血管,纵隔淋巴结无明显肿大,考虑胸腺癌
缘:
前纵膈肿物,密度不均匀,形态不规则,胸骨及上腔静脉受侵犯。增强病灶轻度不均匀强化,综合考虑恶性,胸腺癌可能大。
丁云:
考前纵隔软组织肿物,边缘不规整伴坏死,结节堆积,深入血管间隙,不均匀强化,首先考虑淋巴瘤,鉴别胸腺癌。
刘和林:
前纵隔肿块,比较居中,侵犯胸骨及心包,考虑恶性肿瘤,淋巴瘤或胸腺癌。











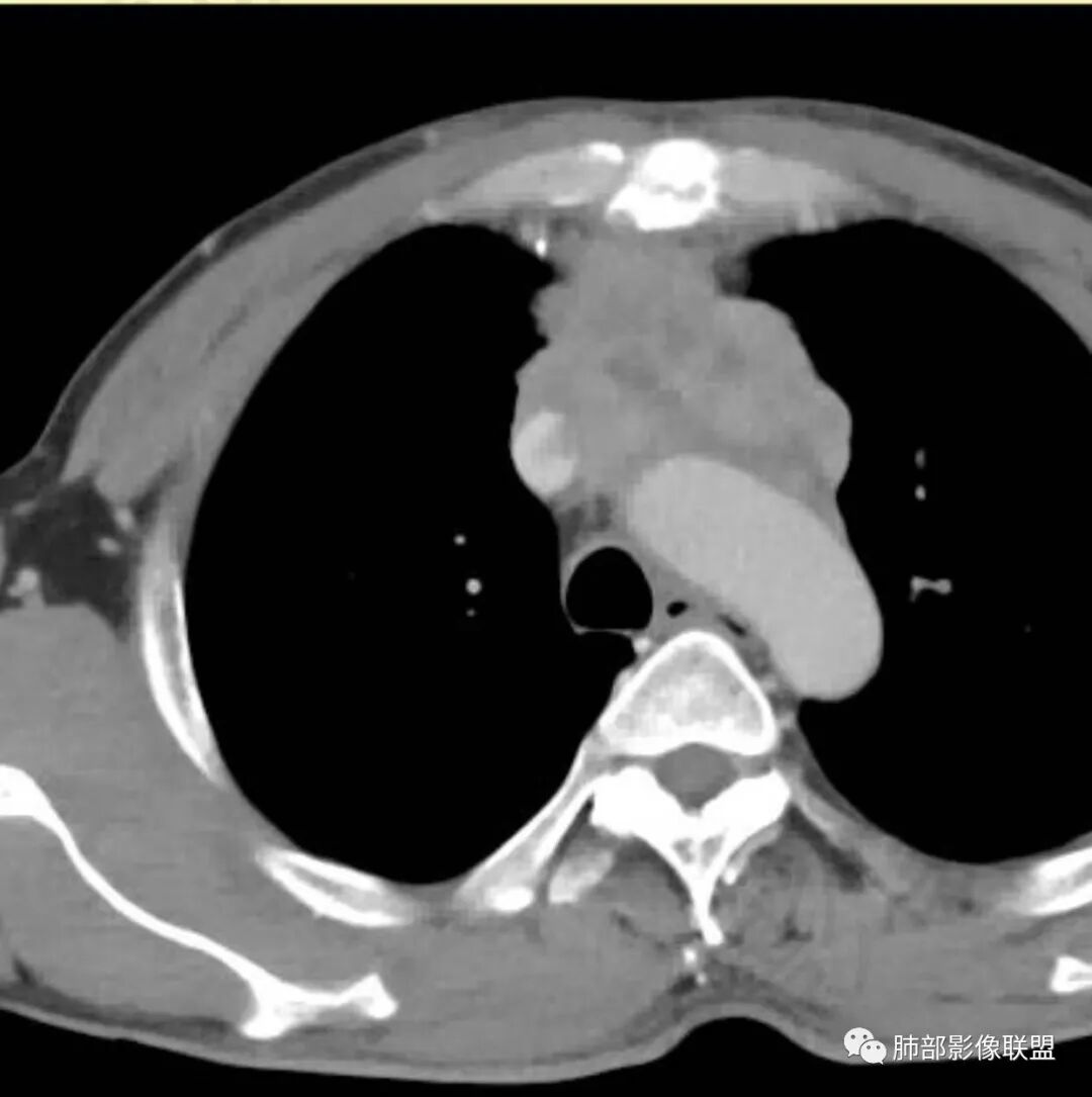
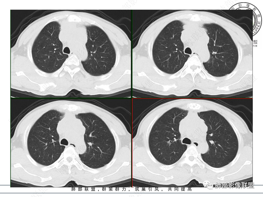
1.临床资料:中老年男性,病史较长-8个月,主诉胸痛,实验室资料:乳酸脱氢酶(LDH)升高。
2.影像表现:前上纵隔较大肿块,密度不均,形态不规则,边界不清,有结节样突起,脂肪间隙显示不清。病灶侵犯左无名静脉及上腔静脉,其中左无名静脉闭塞(胸背部侧支循环明显,亦表明回流受阻)。增强后轻中度不均强化。坏死边界欠清晰。可见心包积液,提示心包受侵犯。右侧上叶及纵隔胸膜下结节影,疑胸膜肺转移可能。胸骨柄后缘皮质不完整,疑骨质破坏(未提供骨窗及矢状位图像)。左锁骨上可见肿大淋巴结。
3.诊断及鉴别诊断:
胸腺癌:病灶边界不清,骨骼及血管受侵破坏,胸膜、肺及心包受侵转移等首先想到胸腺癌。胸腺癌最常见病理类型为鳞癌,占70-79%。预后较差,50-65%初诊时伴肺转移,极少伴重症肌无力。影像:胸腺鳞癌形态不规则,易坏死,范围大,坏死区边缘常模糊。
胸腺瘤:胸腺瘤大多边界较清楚。边界模糊或心包侵犯可见于B3型胸腺瘤和癌,但胸腺瘤罕见远处转移、淋巴结转移和纵隔大血管侵犯。
淋巴瘤:体积常较大,常见常在10cm以上,相对低密度结节样堆砌感比较明显,对待骨骼、血管等结构相对“温和”,所谓“血管漂浮”、“肉包骨”则较为常见。病理类型几乎只见于:经典HD、大B细胞淋巴瘤,前驱T淋巴母细胞瘤。实验室检查LDH可升高。初诊时罕见钙化,罕见胸膜受侵。有坏死也常常边界清楚或呈囊变样外观,可伴纵隔、锁骨上淋巴结肿大。
神经内分泌肿瘤:包括不典型类癌,类癌,小细胞癌,大细胞神经内分泌癌。最常见“不典型类癌”,临床可伴发Cushing综合征,肿瘤体积往往较大,近半的病灶边界较清晰,骨转移以成骨常见,如发现胸椎的骨转移,要想到类癌可能。增强后可轻度、中等或显著强化。
生殖细胞肿瘤:年轻人多见,常有特异的肿瘤指标升高,如精原细胞瘤常见HCG升高少见AFP升高,内胚窦瘤(卵黄囊瘤)90%AFP升高。
       



END

黄勇老师倾心大作——胸腺肿瘤精准影像诊断(上)
黄勇老师倾心大作——胸腺肿瘤精准影像诊断(下)
编辑:高巧灵
审核:雷  凤  徐  晓  清  茶



到顶部