【每日晨读】肺内孤立结节伴PET高摄取、肿标升高,会是恶性吗?








晨读病例































精彩发言


王开金呼吸科: 晨读,左肺上叶结节,呈类圆形,毛刺,分叶,胸膜凹陷,支气管截断,考虑肺癌,cyfr升高,鳞癌?
王江涛: 晨读:结节收缩力、膨胀力不强,毛刺偏软,叶间胸膜广基增厚,无牵拉,结节周围晕,考虑炎性肉芽肿,癌待排
凝睦 (靳文剑): 左上肺结节,边缘不清,与胸膜广基底相连,刀切征,胸膜弥漫均匀增厚,考虑炎性。
采莲: 年龄不知,应该中老年男性,查体发现,左肺上叶靠近肺门斜裂附近实性结节影,边缘毛糙,周围有淡磨玻璃影,边界不清,其内及周围支气管稍扩张,考虑炎性肉芽肿,肺癌代排。
飞鹰行动: 晨读病例,病灶有一定张力,部分边缘模糊,与叶间裂相贴,首先考虑炎性病变,抗炎治疗复查。
小兜: 晨读:一月前全身乏力就诊,CT示左肺上叶舌段近肺门及叶间胸膜结节,边缘不规则伴少量磨玻璃密度,与叶间胸膜相贴,叶间胸膜局部增厚伴略彭隆,未见明显牵拉。PET/CT代谢增高,SUVMax=9.8。综合考虑为炎性肉芽肿性病变,肺癌代排
衡妈: 肺气肿背景,左肺上叶舌段实性结节,边缘有分叶,毛刺,也有平直边,少许模糊感,临近叶间胸膜增厚,高代谢,考虑炎性肉芽肿,建议抗炎两周后复查,鉴别恶性肿瘤,腺癌。
丁云: 肺部联盟晨读病例:左肺上叶舌段不规则结节,有平直凹陷及膨隆,相邻血管穿行,支气管截断,血管贴边,胸膜增厚,PET高摄取,但也不是很高。首先考虑炎性肉芽肿。鉴别腺癌。
流心明智: 晨读:发现肺部阴影1月。左舌叶实性小结节,边缘平直、毛糙,短毛刺偏软,周围模糊晕,叶间胸膜广基增厚。右中叶小斑片影,考虑炎性肉芽肿,PC?鉴别Ca。
张勇: 考虑鳞癌,光看形态炎症不好区分,但是管腔应该有阻塞,cyfra211升高,考虑鳞癌
谢加平: 左肺上叶上舌段位于叶间胸膜旁见孤立结节,边界清,不规则,见棘角状突起,小支气管边缘阻断,另见累及肺亚段支气管中轴局限增厚,周围小叶间隔也增厚,邻近叶间裂不规则厚,见多发微小结节,PET值较高摄取表现,饮酒40年(示老年男性),方向恶性,肺Ca,上述恶性表现为主,肉芽肿可能性不大。
晓锁:

尘缘: 支持恶性,病理类型(鳞癌>腺癌>小>其他类理由:1、老年男性,CRP不高,鳞癌标志物细胞角蛋白19片段增高,且结节分叶、毛刺,2、高摄取部位太局限,边界太清楚,肺门淋巴结无摄取,说明结节为恶性,淋巴结为反应性增生。不符合炎性的摄取:高摄取部位为模糊,边界不清的,且淋巴结也应有稍弱的摄取。
云帆沧海:  左肺上叶不规则结节,有平直征,支气管管腔见新生物不完全性阻塞,血管贴边,胸膜增厚,首先考虑炎性结核。鉴别磷癌。

病理结果



尘缘:
结果能理解,但是临床遇到这类病例还是很难办,尽管先会考虑炎性肉芽肿,但是抗炎治疗后复查,病变没有明显变化,支气管镜又没找到结核依据情况下怎么办?穿刺,即使穿刺是炎性,但在抗炎无效情况下,估计患者和家属还是顶不住心理压力而手术
唐绍宏 通化市中心医院 感染科
叶间胸膜增厚明显,有结节感,而病灶形态又难以用腺癌或小细胞癌解释,所以考虑结核


病例总结


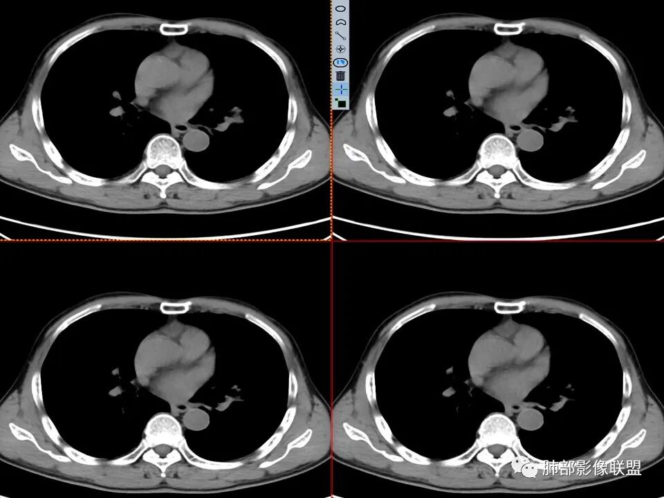
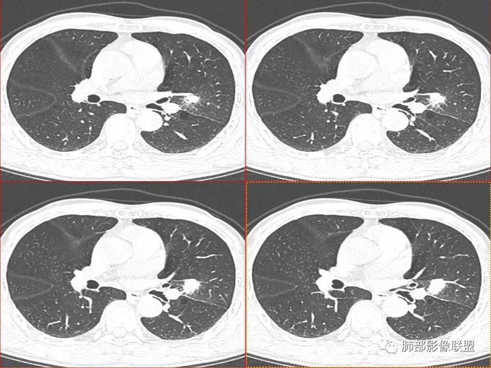
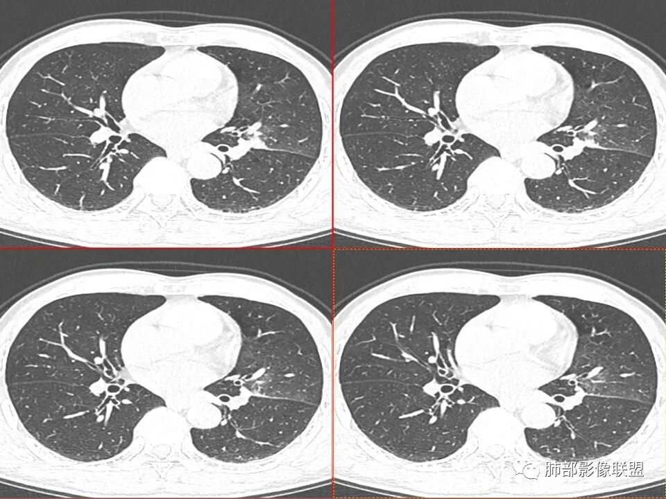
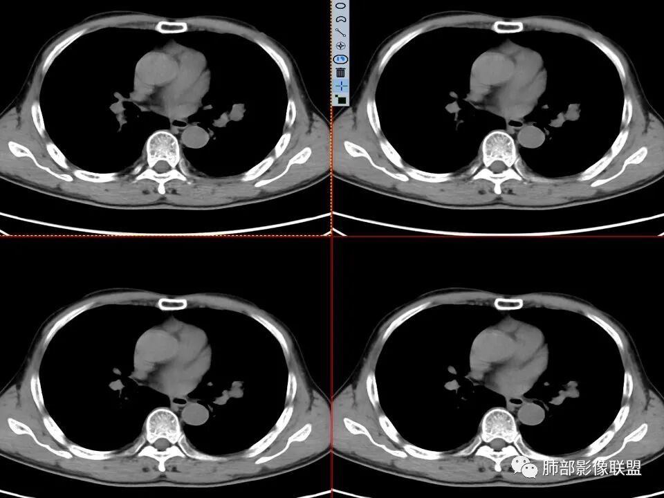
临床资料:
      年龄不详,推测中老年人,因全身乏力就诊,CT发现左肺上叶结节灶,无明显咳嗽、发热等症状,无吸烟病史,配偶曾患“肺结核”,化验检查痰结核菌涂片阴性,CYFR轻度升高,PET-CT局部高摄取。
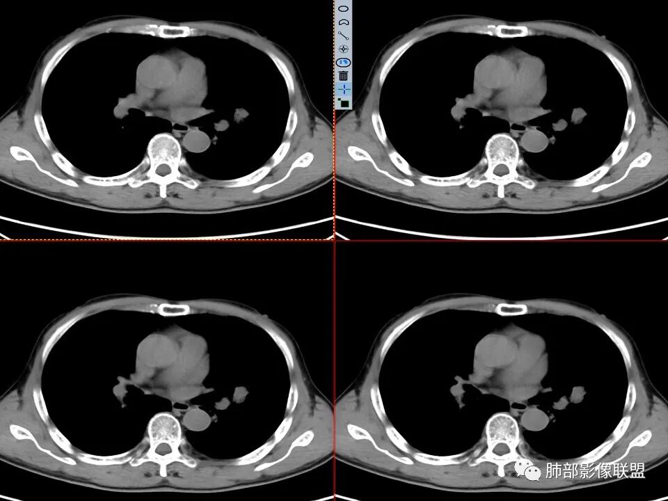
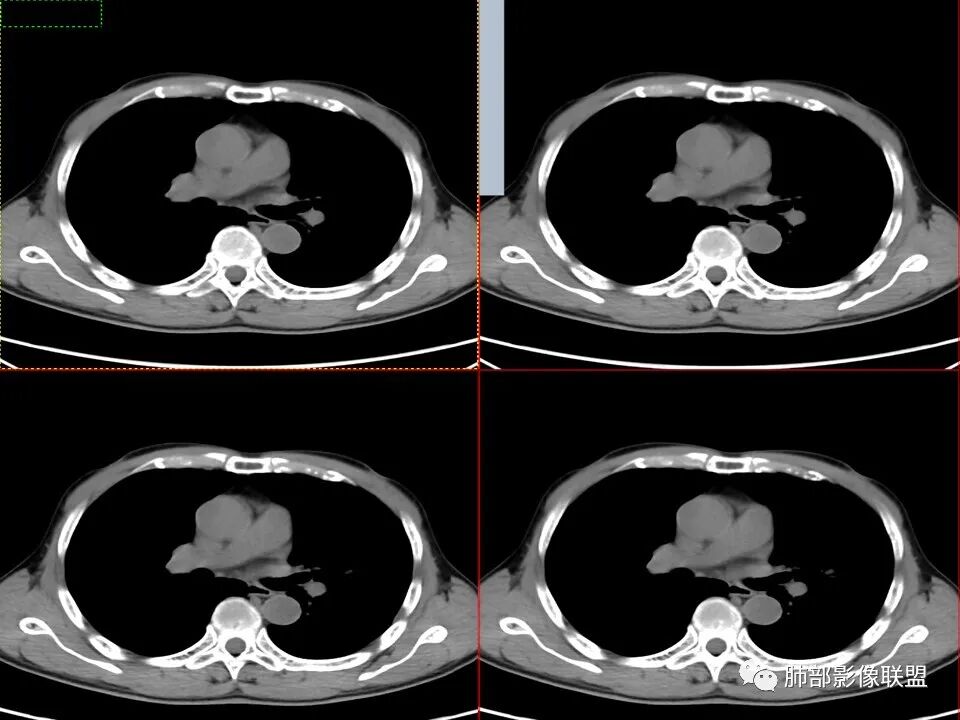
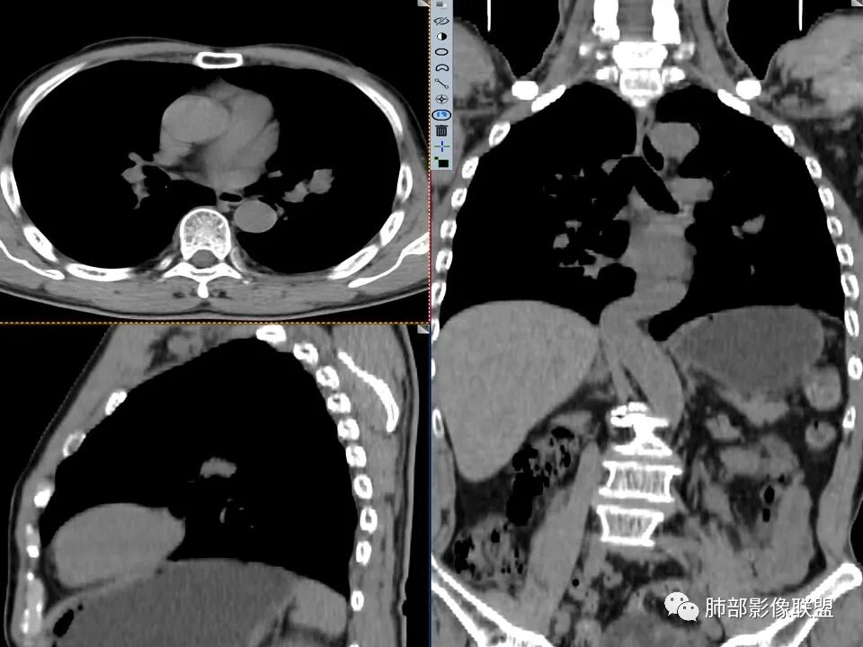
影像表现:
      左肺上叶舌段近肺门区不规则结节,密度较均匀,结节边缘平直为主,可见粗短毛刺、毛刺偏软,浅分叶,收缩力不强,膨隆也不明显,周围可见模糊GGO,病灶内部支气管显示不清,病变远端支气管明显扩张,病灶与叶间裂呈宽基底相连,见刀切征,并见叶间裂多发结节影,叶间裂未见明显移位。
病例分析:
      患者推测中老年人,无明显临床症状,肺气肿背景不明显,虽然病灶整体炎性征象较多,叶间胸膜多发结节,常规要考虑结核和腺癌,PET-CT肿瘤和炎性病变都可以高摄取,敏感性高,但特异性不高,而且腺癌周围缺乏清晰的磨玻璃及收缩力不强,故暂不考虑;虽然左肺上叶舌段病灶与支气管关系密切,如果周围磨玻璃推测为早期的阻塞性炎症,还有CYFR轻度升高,鳞癌不能除外,但是病灶的整体形态比较符合炎性改变。本病例可惜未行CT增强扫描,无法观察结节的强化特点及病灶内血管走行情况。
     总而言之,肺内孤立结节伴PET高摄取以及肿标升高,也不可定性为恶性,还需要仔细观察传统CT平扫及增强所显示的病灶的影像学征象,综合来判断结节的良恶性,为临床下一步诊疗提供更可靠的依据。  

小知识点拓展

  
  cyfra21-1是细胞角蛋白19片段,被认为是一种主要用于检测肺癌的肿瘤标志物,尤其对非小细胞肺癌的诊断具有重要价值。肺癌组织中,CYFRA21-1含量丰富,尤其是在肺鳞癌中有高表达。良性肝病、肾衰竭可引起轻微升高,但很少超过10ng/ml。CYFRA21-1的血清水平与年龄、性别、吸烟与否和妊娠等无关。如果肺部存在肿块,同时血清CYFRA21-1浓度>30ng/ml,原发性支气管肺癌的可能性非常高。之前认为肺结核疾病一般不引起CYFRA21-1升高,其实肺结核是可以引起CYFRA21-1的轻度增高。

你掌握了吗?可以点击下方阅读加深类似病例的学习

往期回顾
【广西群读片系列】确定这就是癌吗?
姿势已摆好
就等你点啦


END
编辑:蔡笑燕
审核:於雄


到顶部