【每日晨读】典型影像之百变之妖,你可一眼识别?



                 病例资料                




























                                           讨论记录
  李丰章:
支持炎性肉芽肿性病变,左肺上叶不规则肿块,近肺门侧支气管牵拉扩张,管壁可见增厚,支气管进入病灶后再截断,病灶散在,周围见卫星病灶,其内仔细看见点状稍高密度。尾巴常规带一个,肿瘤待排。
  谢加平:
左肺上叶上舌段斑块病灶,整体形态条带状,有融合和沿支气管血管束爬行特点,边缘清,周围多发胸膜牵拉粘连索条状,范围长(肿瘤局限,且收缩有力,此病例截然不同),病灶内有小钙化和小支气管扩张,周围有卫星灶,多形态及密度不均,病灶结构比较离散,无占位特点,首位诊断炎性肉芽肿,结核!肿瘤不支持!
  张延军:
左肺上叶不规则软组织影,密度不均匀,内见结节状钙化灶,边缘多发条索,部分清秀,周围散在班片及结节状高密度影,边缘清晰,近端气管有截断,主病灶边缘膨隆,同侧肺门有淋巴结钙化。考虑炎性,结核?。主病灶边缘膨隆,近端气管有截断,腺癌代排
  周太狼:
左肺上叶结节,结节整体收缩改变为主,部分边缘平直,多个结节融合样改变,小点状钙化,卫星灶,常规考虑肉芽肿性病变,结核可能,鉴别隐球,慢性炎症
  放射线:
左肺上叶不规则结节样影,沿着支气管长轴走行,周围可见卫星灶,近端支气管壁增厚,远端病灶内可见支气管扩张,叶间胸膜牵拉凹陷,纵膈窗可见斑点状钙化,考虑结核,鉴别慢性炎症
  流心明智:
女,61。未诉症状。胸部CT:左肺上叶实性条片影,边缘平直为主,整体沿着支气管长轴走行,内可见正常密度肺区,周围卫星灶,部分支气管壁增厚、管近端管腔堵塞、远端扩张,叶裂牵拉凹陷明显、胸膜牵拉,纵膈窗可见斑点状钙化,考虑慢性炎症,TB?鉴别Ca。
  良孑:
左肺上叶实变,局部边界有膨隆及平直,近端见充气支气管征,断面呈杵状,周围见斑点状影及引流支气管,引流支气管壁增厚,可见胸膜凹陷征及斜裂胸膜牵拉移位,多轴位观察病变整体较散,综和考虑支持炎性肉芽肿一结核。鉴别腺癌
  尘缘:
与支气管相通,支气管有堵塞。而钙化是肺门区淋巴结,远端主病灶内并没有明显钙化。主病灶周围虽然有一些结节性改变,但主病灶还是有膨隆感。这个结节还是有恶性征像的,最关键的是,体检发现,没有任何症状。结核还是不好解释的。这个病灶就是在日常工作中,也不敢只是直接考虑结核,不留尾巴的。支气管堵塞+主体部分有膨隆感+无症状,就根本不敢除外恶性。所以下镜子或穿刺是必不可少的。
Grace:
晨读病例:整体收缩改变为主,多个结节融合改变,有支气管爬行感觉,周围多发卫星灶,病灶内有钙化,考虑肉芽肿性炎: 结核,常规挂上腺癌代排



                                               病例总结

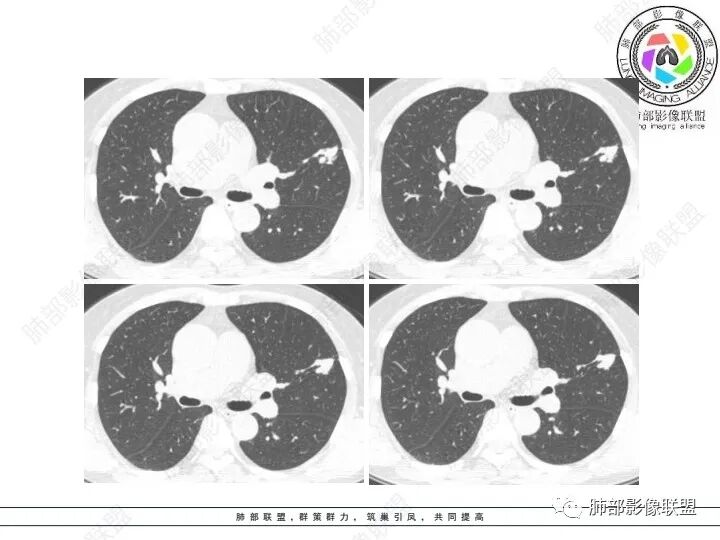
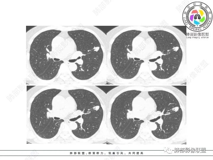
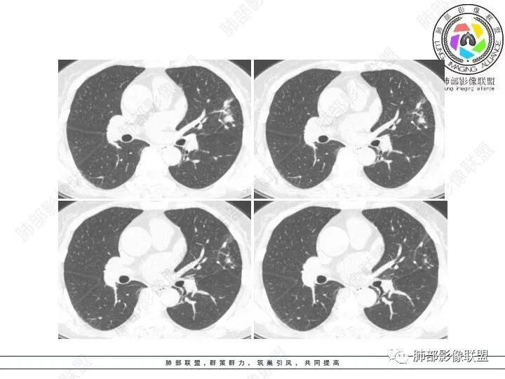
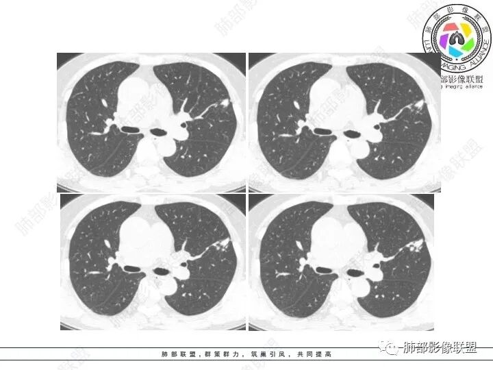
  1、临床特点:61岁女性,体检发现肺结节。
  2、影像特点:左肺上叶不规则病灶,冠状位、矢状位、斜状位重建显示病 灶整体沿着支气管方向呈斑片状,多结节堆积感明显,病灶大部分边缘显示平直,局部边缘稍膨隆,边界显示比较清楚,近端支气管壁显示增厚,周围可见长索条影及多发结节影,未显示典型“树芽征”。邻近叶间裂未受牵拉凹陷。纵隔窗显示病灶中央可见点状高密度钙化影。
  3、病例小结:老年女性体检发现肺部结节,缺乏临床表现,需要警惕恶性。结合影像特点,左肺上叶病灶整体缺乏膨隆感,边缘大多平直,周围多发卫星灶(可见多发长索条影、并非肺CA的细短毛刺),病灶收缩力很弱(邻近叶间裂未见明显凹陷),观察1mm重建图亦可以发现病灶周围没有边界清楚的GGO,病灶内可见钙化点,肺门纵隔未见肿大淋巴结。综合以上,此病灶首先考虑炎性,结核可能性大,有条件可以增强扫描,有助于我们进一步判断。      
病例整理:任正纲
病例审核:雷  凤    徐  晓



到顶部