【每日晨读】肿瘤or炎症?常见疾病,非常影像



























群内精彩发言
睡神阿豆豆:
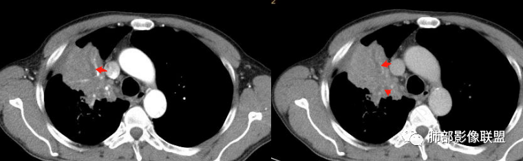
右主支气管阻塞,考虑鳞癌合并阻塞性肺炎可能大
若晗:
右上肺病灶,右上叶支气管堵塞伴实变,增强后见不均一坏死,血管破坏,考虑恶性可能性大癌肉瘤大于鳞癌。鉴别TB
张钰(无锡九院呼吸科):
支持恶性,鳞癌可能
一切∮随缘:
右主支气管堵塞,伴有实变,内部血管穿行,坏死,考虑鳞癌,鉴别结核、真菌(ABPA)
放射小白:
考虑OP伴脓肿/慢性炎性病变伴脓肿,鉴别结核及肺鳞癌。
紫气东来:
考虑结核合并感染,鉴别合并结核鳞癌
王静 安阳地区医院CT:
右肺上叶支气管腔被阻塞,远端肺组织实变,内部密度不均,有斑片状坏死区,个别内部伴有有空洞,周围肺组织伴有阻塞性肺炎改变,增强扫描实变肺呈现明显均匀性强化,内部血管走形自然,坏死区边界清晰!患者有慢性咳嗽咳痰病程,血象高!诊断,慢性肺脓肿合并肺组织机化!鉴别诊断,鳞癌!
杏林使者
支持恶性 右上实变,大肿块,主支气管堵了,增强血管破坏,远侧见片状密度减低坏死区,近侧见小花小草,倾向于鳞癌可能性大,类癌其次,鉴别诊断良性  TB合并感染。
藏客
右肺上叶团片影局部膨隆,内见坏死,支气管粘液栓,右主支气管阻塞,阻塞口局部不均匀轻度强化 首先考虑恶性,鳞癌可能,支气管镜检查,除外结核,放线菌等感染性病变。
飞鹰行动:
支气管阻塞,内部坏死,增强不均匀强化,考虑恶性病变,鳞癌,鉴别结核,OP
宇宙:
右肺上叶不规则肿块,沿支气管生长,上叶支气管截断,其内坏死及粘液栓,坏死边界清,远端阻塞改变,不均匀强化,考虑鳞癌,鉴别结核
穿越七海的风:
右肺上叶实性病变,内部低密度坏死区,支气管阻塞,首先考虑恶性占位
在路上:
考虑感染,支气管没有看到窄,强化大部实质较均匀。治疗后看看

秦化君:
右肺上叶团片状实变影边缘部分平直,内见坏死,周围见斑片斑点影,增强见较均匀延迟强化,内坏死边缘清晰,部分血管正常显示。考虑感染性病变,结核,脓肿,真菌。恶性待排。
那个人:
中年,咳嗽,痰中带血,无发热。影像,右上叶支气管堵塞,常规会首先考虑癌。但是,这个病灶外围大,整个斑片实变明显强化,病灶内似乎能见到支气管走形低密度影,局部坏死边界非常清楚,多数边界有平直边缘,有些层面膨隆,血管走形还可以,无明显推压破坏,不能排除爬行或者OP伴脓肿。支气管镜能搞定诊断
丁云:
右肺上叶支气管截断,远端肺组织实变,密度不均,有斑片状坏死伴有有空洞,周围肺组织伴有阻塞性肺炎改变,小叶间隔有增厚,增强扫描不均匀强化,内部血管走形自然,坏死区边界清晰!患者有慢性咳嗽咳痰病程,血象高!考虑慢性肺脓肿并机化!鉴别鳞癌!
?? 玫:
右肺上叶肿块影,边界清晰,病灶内见少许坏死及斑点状钙化影,右肺上叶支气管受阻,增强扫描病灶明显强化,考虑感染性病变可能,结核,脓肿,鉴别占位性病变。
小兜:
男,57岁,无诱因咳嗽咳痰,咳黄色粘痰,白细胞增高,CT示右肺上叶实变影,支气管狭窄截断,密度不均匀,增强可见不均匀强化,内部见小空泡伴周边坏死,坏死边界尚清,内部可见血管走行,考虑炎性病变可能,鉴别鳞癌,建议支气管镜镜检。
晨:
右主支气管堵塞,伴有实变,内有坏死,考虑鳞癌,鉴别结核病
周太狼:
中老年男性,慢性病程,血象稍高,肿标不高,右上肺门区实变团块,支气管狭窄、部分堵塞,密度不均匀,增强后不均强化,血管穿行,倾向于慢性炎性病变,结核需要首先考虑,需完善结核相关检查排除,其次考虑鳞癌。
了:
右肺上叶支气管口截断,可见肿块影,不均匀强化,右肺上叶实变,可见空泡征,周围可见低密度影,考虑坏死,余实变均匀强化,考虑炎症,但是感觉这个病灶需要鉴别来自肺还是纵隔
毛勤香:
右肺上叶阻塞性不张,里面有粘液栓合并气泡,考虑合并感染,上叶支气管闭塞,常规需除外肺癌所致,建议纤支镜检查
食客:
右肺上叶及肺门区实变,支气管狭窄、粘液栓堵塞,不均强化,考虑感染病变,鉴别鳞癌。
良孑:
右上叶不张,右上叶支气管闭塞,断端呈杵状,病变均匀性强化,内可见粘液栓及坏死,静脉期坏死灶及肺门肿大淋巴结有环状强化,急性起病,咳黄痰,白c↑,肿标正常,支气管断端呈杵状,实变均匀强化,可见环状强化的淋巴结,综合分析首选支气管结核,其次鉴别鳞癌
注意截断支气管断面形态
大雄:
右上叶肺内病灶倒是有炎性特点,坏死区很规则,血管走行比较自然,边缘有模糊的渗出和局部收缩凹陷。
但是,右主支气管堵塞,单这一点就不能排除鳞癌
下一步,支气管镜取活检
爱跳舞的猫:
考虑感染性病变>恶性
谢加平:
中老年男性,主体病灶右肺上叶支气管开口阻塞,呈杯口状,阻塞物强化不明显,致右肺上叶实变不张,见支气管粘液栓(有墨西哥仙人掌特点),另血管束显示清楚,并见坏死及干性空洞,坏死软廊非常清楚,胸膜下炎性反应积液带区,周围见多发小斑片实边,沿支气管血管束分布,胸廊入口右侧不对称,略缩小,炎性肉芽肿,首选TB,支气管镜取材活检,与肺Ca鉴别!
看图说话:
右肺上叶大片实变,密度不均,内见坏死区,边缘膨隆,周围斑片影,气管堵塞,强化不均,坏死区边缘清晰,空洞,考虑鳞癌,肺脓肿。
小锁:
肺门占位并阻塞性肺炎,粘液栓形成,病灶由内向外,定位支气管来源肿瘤性病变,考虑鳞癌,鉴别:腺样囊性癌、结核等。
飞杨:
右肺上叶实变影,边缘膨隆,粘液栓形成,支气管阻塞,不均匀强化,考虑鳞癌,鉴别结核。
 

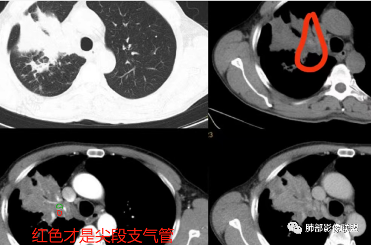
                   南边老师分析
不用考虑纵隔的,胸膜外侧的

我说一下征象,判断这类病变,首先应该考虑:炎性、恶性肿瘤
如果没把握,我们就从恶性出手。
恶性这类分析思路:整个是肿瘤?腔内肿瘤?
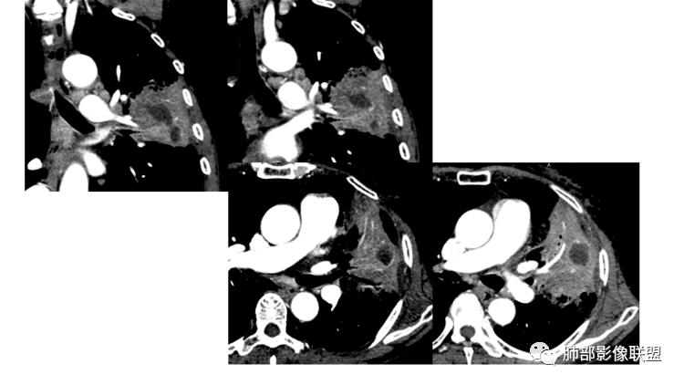
肺动脉走形自然
如果近端中央型肺癌,肺动脉破坏明显——所以晨读病例不支持中央型肺癌。
下图:这是中央型肺癌的特点:肺动脉破坏。

腔内肿瘤?肺动脉没有推移,累及多段
远端不是阻塞性不张,不支持腔内肿瘤
然后就是外朝内肺炎型肺癌或者炎性



远端支气管是通畅的,只是腔内粘液栓

南边:
形态、边缘、支气管、血管、密度及强化(坏死腔内壁)、淋巴结、与胸膜关系、附近病灶,大概这些分析点
这类病变最好重建出长轴、支气管,这样观察就比较理想
张晴:
看外围的话考虑炎性,但是肺门周围有片软组织不太放心,似乎与外围的实变强化不一致。还是支气管镜检查
南边:
临床支气管镜是肯定的,这个病例除非患者难以承受,不然支气管镜检查肯定会做
影像上其实也有特点,需要重建观察到支气管情况
可惜没提供血糖,这个患者是不是糖尿病病人?这个有没有价值?

如果炎性大家考虑啥?问个问题:大家定在上叶没问题,哪个段?


南边:
各段都受累
尖段为主
枷黎:
考虑ABPA可能?局部脓肿形成。鉴别肺癌。
南边:ABPA不支持,ABPA是腔内表现为主,一般指套征,远端实变,这一例起点就周围实变,不支持。ABPA支气管扩张明显。


就是看不清下面的支气管壁





一般如果炎症,支气管壁会延续过来,
远端粘液栓
一般来说炎性的是近端支气管狭窄,腔内粘液栓
这个支气管壁没显示出来
就怕腔内占位堵塞不全
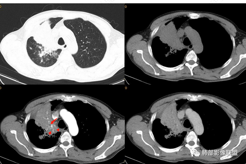
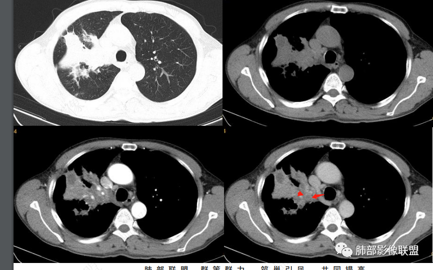
下图是炎性的



一般支气管狭窄一些,壁弥漫增厚
今天的病例追到这里断了,腔内病灶有强化就不踏实。


我找几个病例大家看看:

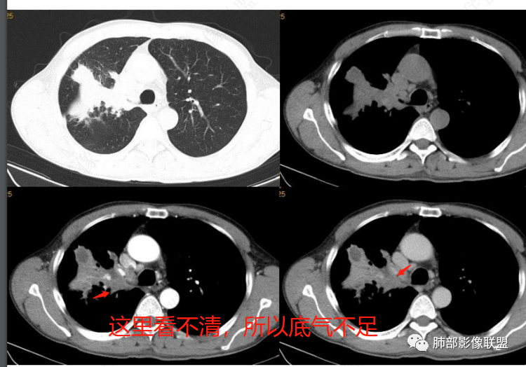
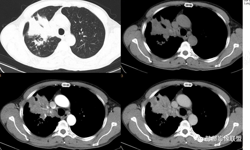
这是炎性特点,壁弥漫增厚,腔内粘液栓

这例也是,只是我调节不理想,壁其实也是弥漫增厚,腔狭窄,腔内粘液栓

南边:
有坏死。其实大片实变的病例肿大淋巴结很多,但是炎性的多梭形
一切∮随缘:
里面好像没有看到坏死,比较均匀的淋巴结。
南边:
结核的坏死多,其他的少
一切∮随缘:
如果是恶性的话,里面会有坏死的。除了结核,炎性一般几乎不会看到坏死吧
南边:
罕见

这是炎性的,支气管壁弥漫增厚,近端腔狭窄

这是肺癌的

这是腔内肺癌的
南边:
1、局部占位效应,支气管往往增大,而不是支气管狭窄
2、支气管壁破坏、不连续,腔外侵犯
3、占位效应大,局部肺动脉受压外移或侵犯
局部肺动脉没看清楚,支气管壁我没看清楚。占位效应有,这是最不踏实的地方。



病例结果
雷凤:
雷凤:
鳞癌三件套P63,P40,CK5/6
腺癌三件套:CK7,napsinA,ttf-1
小细胞三件套,CD56,syn,cga阳性


小细胞肺癌影像相关知识点复习
典型的小细胞肺癌影像:
1.周围型病灶常常表现为不大的实性密度结节影,甚至隐匿。结节影边界清楚,缺乏典型深分叶及毛刺,收缩力弱、缺乏空洞与空泡,这与肺腺癌不同。
2.鸭蹼状或腊肠状突起:肿瘤呈腊肠状或鸭蹼状突起,走行与支气管分支方向接近一致,提示肿瘤沿着支气管浸润蔓延,可能伴有轻度肺不张。
3.沼泽样坏死区,小细胞肺癌坏死常常不彻底,因此增强后可见比较小而分散的坏死区,呈沼泽样低密度区。
4.小细胞癌病灶内血管穿行、血管包埋常见。
鳞癌破坏力强,对血管挤压也明显,病灶内较少显示血管穿行。
5.早转移!肺门纵隔淋巴结肿大多较显著,与肺内病灶相比,有人形容“娘小崽大”—常常给人留下“中央型肺癌”居多的印象。
6.支气管阻塞“效率”不如发生于较大支气管的鳞癌高。肺不张及阻塞性肺炎不如肺鳞癌常见,也不如肺鳞癌明显。
(SCLC中央区肿瘤组织最初不在气管,腔内肿瘤多来自淋巴结转移,是淋巴结转移发展的结果,而侵入支气管壁的肿瘤组织以组织间隙侵袭为主)。
7.淋巴结肿大、融合,侵袭、包埋、推压大血管等结构,脂肪间隙消失明显,形成冰冻纵隔。
                                                     
参考资料:
①中央型小细胞肺癌与肺鳞癌 CT 征象分析 李燕 董兰兰;
②CT在小细胞肺癌诊断中的应用价值 赵毅刘建新;
③小细胞肺癌的病理影像分析 王兆宇。
  

编辑:张  强
审核:雷  凤  徐  晓
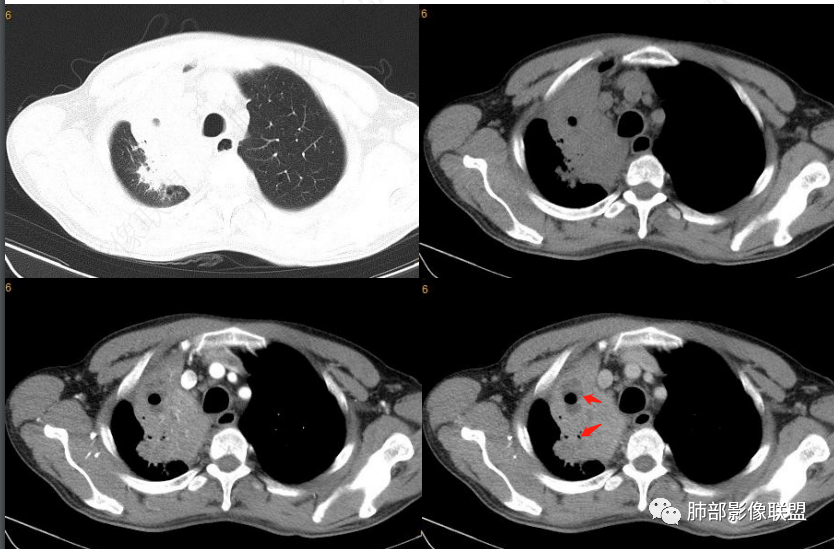
病例提供者:遵医五院影像科 王薇老师



到顶部